JavaScript is disabled in your browser. Please enable JavaScript to view this website.
AB220363

Anti-PC1/3 antibody [EPR21908]

Be the first to review this product! Submit a review

|

(10 Publications)

Rabbit Recombinant Monoclonal PC1/3 antibody. Suitable for IHC-P, IP, WB, ICC/IF, IHC-Fr, Flow Cyt (Intra) and reacts with Mouse, Rat, Human samples. Cited in 10 publications.

View Alternative Names

NEC1, PCSK1, Neuroendocrine convertase 1, NEC 1, Prohormone convertase 1, Proprotein convertase 1, PC1

12 Images
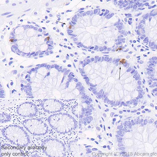
Immunohistochemistry (Formalin/PFA-fixed paraffin-embedded sections) - Anti-PC1/3 antibody [EPR21908] (AB220363)
  • IHC-P

Supplier Data

Immunohistochemistry (Formalin/PFA-fixed paraffin-embedded sections) - Anti-PC1/3 antibody [EPR21908] (AB220363)

Immunohistochemical analysis of paraffin-embedded human colon tissue labeling PC1/3 with ab220363 at 1/500 dilution, followed by a ready to use Goat Anti-Rabbit IgG H&L (HRP). Sporadic cytoplasmic staining (arrows) in human colon (PMID : 18706454) is observed. Counter stained with Hematoxylin.
Secondary antibody only control : Used PBS instead of primary antibody, secondary antibody is a ready to use Goat Anti-Rabbit IgG H&L (HRP).

Perform heat-mediated antigen retrieval using ab93678 (citrate buffer, pH 6.0).

Immunohistochemistry (Formalin/PFA-fixed paraffin-embedded sections) - Anti-PC1/3 antibody [EPR21908] (AB220363)
  • IHC-P

Supplier Data

Immunohistochemistry (Formalin/PFA-fixed paraffin-embedded sections) - Anti-PC1/3 antibody [EPR21908] (AB220363)

Immunohistochemical analysis of paraffin-embedded human pancreas tissue labeling PC1/3 with ab220363 at 1/500 dilution, followed by a ready to use Goat Anti-Rabbit IgG H&L (HRP). Cytoplasmic staining in human pancreatic islets (PMID : 7925129; PMID : 21190012) is observed. Counter stained with Hematoxylin.
Secondary antibody only control : Used PBS instead of primary antibody, secondary antibody is a ready to use Goat Anti-Rabbit IgG H&L (HRP).

Perform heat-mediated antigen retrieval using ab93678 (citrate buffer, pH 6.0).

Immunocytochemistry/ Immunofluorescence - Anti-PC1/3 antibody [EPR21908] (AB220363)
  • ICC/IF

Supplier Data

Immunocytochemistry/ Immunofluorescence - Anti-PC1/3 antibody [EPR21908] (AB220363)

Immunofluorescent analysis of 4% paraformaldehyde-fixed, 0.1% Triton X-100 permeabilized Beta-TC-6 (mouse pancreas insulinoma beta cell) cells labeling PC1/3 with ab220363 at 1/100 dilution, followed by Goat Anti-Rabbit IgG H&L (Alexa Fluor® 488) (ab150077) secondary antibody at 1/1000 dilution (green).

Confocal image showing cytoplasmic staining in Beta-TC-6 cell line.

Negative cell control : NIH/3T3 (PMID : 9405066; PMID : 15143067).

Counterstained with ab195889 Anti-alpha Tubulin antibody [DM1A] - Microtubule Marker (Alexa Fluor® 594) at a 1/200 dilution (red). The nuclear counter stain is DAPI (blue). The negative control is the secondary antibody only.

Immunohistochemistry (Formalin/PFA-fixed paraffin-embedded sections) - Anti-PC1/3 antibody [EPR21908] (AB220363)
  • IHC-P

Supplier Data

Immunohistochemistry (Formalin/PFA-fixed paraffin-embedded sections) - Anti-PC1/3 antibody [EPR21908] (AB220363)

Immunohistochemical analysis of paraffin-embedded rat pancreas tissue labeling PC1/3 with ab220363 at 1/500 dilution, followed by a ready to use Goat Anti-Rabbit IgG H&L (HRP). Cytoplasmic staining in rat pancreatic islets (PMID : 7925129; PMID : 21190012) is observed. Counter stained with Hematoxylin.
Secondary antibody only control : Used PBS instead of primary antibody, secondary antibody is a ready to use Goat Anti-Rabbit IgG H&L (HRP).

Perform heat-mediated antigen retrieval using ab93678 (citrate buffer, pH 6.0).

Immunohistochemistry (Frozen sections) - Anti-PC1/3 antibody [EPR21908] (AB220363)
  • IHC-Fr

Supplier Data

Immunohistochemistry (Frozen sections) - Anti-PC1/3 antibody [EPR21908] (AB220363)

Immunohistochemical analysis of frozen mouse pancreas tissue labeling PC1/3 with ab220363 at 1/500 dilution (green), followed by ab150077 AlexaFluor®488 Goat anti-Rabbit secondary at a 1/1000 dilution. Positive cytoplasmic staining in mouse pancreatic islet (PMID : 25976560) is observed. Counter stained with DAPI (blue).
Secondary antibody only control : Used PBS instead of primary antibody, secondary antibody is ab150077 AlexaFluor®488 Goat anti-Rabbit used at a 1/1000 dilution.

Perform heat-mediated antigen retrieval by using Tris-EDTA buffer (10mM Tris base pH 9.0, 1mM EDTA, 0.05% Tween 20).

Flow Cytometry (Intracellular) - Anti-PC1/3 antibody [EPR21908] (AB220363)
  • Flow Cyt (Intra)

Supplier Data

Flow Cytometry (Intracellular) - Anti-PC1/3 antibody [EPR21908] (AB220363)

Intracellular flow cytometric analysis of 4% paraformaldehyde-fixed, 90% methanol permeabilized Beta-TC-6 (mouse pancreas insulinoma beta cell) cell line labeling PC1/3 with ab220363 at 1/50 (red) compared with a Rabbit monoclonal IgG (ab172730) (black) and an unlabeled control (cells without incubation with primary antibody and secondary antibody) (blue). Goat anti rabbit IgG (Alexa Fluor® 488, ab150077), at 1/2000 dilution was used as the secondary antibody.

Immunohistochemistry (Formalin/PFA-fixed paraffin-embedded sections) - Anti-PC1/3 antibody [EPR21908] (AB220363)
  • IHC-P

Supplier Data

Immunohistochemistry (Formalin/PFA-fixed paraffin-embedded sections) - Anti-PC1/3 antibody [EPR21908] (AB220363)

Immunohistochemical analysis of paraffin-embedded mouse pancreas tissue labeling PC1/3 with ab220363 at 1/500 dilution, followed by a ready to use Goat Anti-Rabbit IgG H&L (HRP). Cytoplasmic staining in mouse pancreatic islets (PMID : 7925129; PMID : 21190012) is observed. Counter stained with Hematoxylin.
Secondary antibody only control : Used PBS instead of primary antibody, secondary antibody is a ready to use Goat Anti-Rabbit IgG H&L (HRP).

Perform heat-mediated antigen retrieval using ab93678 (citrate buffer, pH 6.0).

Immunohistochemistry (Frozen sections) - Anti-PC1/3 antibody [EPR21908] (AB220363)
  • IHC-Fr

Supplier Data

Immunohistochemistry (Frozen sections) - Anti-PC1/3 antibody [EPR21908] (AB220363)

Immunohistochemical analysis of frozen rat pancreas tissue labeling PC1/3 with ab220363 at 1/500 dilution (green), followed by ab150077 AlexaFluor®488 Goat anti-Rabbit secondary at a 1/1000 dilution. Positive cytoplasmic staining in rat pancreatic islet (PMID : 25976560) is observed. Counter stained with DAPI (blue).
Secondary antibody only control : Used PBS instead of primary antibody, secondary antibody is ab150077 AlexaFluor®488 Goat anti-Rabbit used at a 1/1000 dilution.

Perform heat-mediated antigen retrieval by using Tris-EDTA buffer (10mM Tris base pH 9.0, 1mM EDTA, 0.05% Tween 20).

Immunoprecipitation - Anti-PC1/3 antibody [EPR21908] (AB220363)
  • IP

Supplier Data

Immunoprecipitation - Anti-PC1/3 antibody [EPR21908] (AB220363)

PC1/3 was immunoprecipitated from 0.35 mg Beta-TC-6 (mouse pancreas insulinoma beta cell) whole cell lysate with ab220363 at 1/30 dilution. Western blot was performed from the immunoprecipitate using ab220363 at 1/1000 dilution. VeriBlot for IP Detection Reagent (HRP) (ab131366), was used for detection at 1/1000 dilution.
Lane 1 : Beta-TC-6 (mouse pancreas insulinoma beta cell) whole cell lysate 10 μg (Input).
Lane 2 : ab220363 IP in Beta-TC-6 whole cell lysate (+).
Lane 3 : Rabbit monoclonal IgG (ab172730) instead of ab220363 in Beta-TC-6 whole cell lysate (-).

Blocking/Dilution buffer and concentration : 5% NFDM/TBST.
Exposure time : 3 minutes.

The PC1/3 protein undergoes multiple intracellular cleavage steps to its 66 kDa mature form (PMID : 26778167).

All lanes:

Immunoprecipitation - Anti-PC1/3 antibody [EPR21908] (ab220363)

Predicted band size: 84 kDa

false

Western blot - Anti-PC1/3 antibody [EPR21908] (AB220363)
  • WB

Supplier Data

Western blot - Anti-PC1/3 antibody [EPR21908] (AB220363)

Blocking/Dilution buffer and concentration : 5% NFDM/TBST.

The PC1/3 protein undergoes multiple intracellular cleavage steps to its 66 kDa mature form; the 87 kDa represents the ProPC1/3 intermediate (PMID : 26778167).

This blot was developed using a higher sensitivity ECL substrate.

Negative control : NIH/3T3 (PMID : 9405066; PMID : 15143067).

All lanes:

Western blot - Anti-PC1/3 antibody [EPR21908] (ab220363) at 1/1000 dilution

Lane 1:

Beta-TC-6 (mouse pancreas insulinoma beta cell) whole cell lysate at 10 µg

Lane 2:

NIH/3T3 (mouse embryonic fibroblast) whole cell lysate at 10 µg

Secondary

All lanes:

Western blot - Goat Anti-Rabbit IgG H&L (HRP) (<a href='/en-us/products/secondary-antibodies/goat-rabbit-igg-h-l-hrp-ab97051'>ab97051</a>) at 1/100000 dilution

Predicted band size: 84 kDa

true

Exposure time: 125s

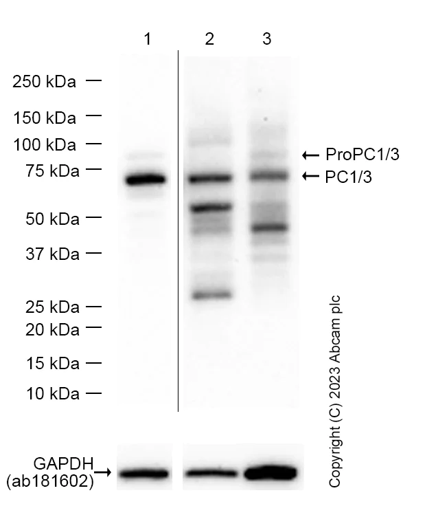
Western blot - Anti-PC1/3 antibody [EPR21908] (AB220363)
  • WB

Supplier Data

Western blot - Anti-PC1/3 antibody [EPR21908] (AB220363)

Blocking and Diluting Buffer : 5% NFDM /TBST 87 kDa ProPC1/3; 66 kDa mature form (PMID : 26778167) Lane1 Expsoure Time : 20 seconds Lane2 and Lane3 were developed using a high sensitivity ECL substrate.

All lanes:

Western blot - Anti-PC1/3 antibody [EPR21908] (ab220363) at 1/1000 dilution

Lane 1:

Beta-TC-6 (mouse pancreas insulinoma beta cell) whole cell lysate at 20 µg

Lane 2:

Mouse pancreas lysate at 20 µg

Lane 3:

Mouse brain lysate at 20 µg

Secondary

All lanes:

Western blot - PE Anti-ENPP3/B10 antibody [NP4D6] (<a href='/en-us/products/primary-antibodies/pe-enpp3-b10-antibody-np4d6-ab90751'>ab90751</a>) at 1/20000 dilution

Predicted band size: 87 kDa

Observed band size: 66 kDa

false

Exposure time: 80s

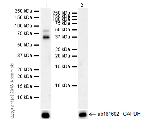
Western blot - Anti-PC1/3 antibody [EPR21908] (AB220363)
  • WB

Supplier Data

Western blot - Anti-PC1/3 antibody [EPR21908] (AB220363)

Blocking/Dilution buffer and concentration : 5% NFDM/TBST.

The 66 kDa band is the mature form of PC1/3 (PMID : 26778167).

This blot was developed using a higher sensitivity ECL substrate.

All lanes:

Western blot - Anti-PC1/3 antibody [EPR21908] (ab220363) at 1/1000 dilution

All lanes:

Mouse hypothalamus lysate at 10 µg

Secondary

All lanes:

Western blot - Goat Anti-Rabbit IgG H&L (HRP) (<a href='/en-us/products/secondary-antibodies/goat-rabbit-igg-h-l-hrp-ab97051'>ab97051</a>) at 1/100000 dilution

Predicted band size: 84 kDa

true

Exposure time: 3min

  • Carrier free

    Anti-PC1/3 antibody [EPR21908] - BSA and Azide free

Key facts

Host species

Rabbit

Clonality

Monoclonal

Clone number

EPR21908

Isotype

IgG

Carrier free

No

Reacts with

Rat, Human, Mouse

Applications

WB, IHC-P, IP, ICC/IF, IHC-Fr, Flow Cyt (Intra)

applications

Immunogen

The exact immunogen used to generate this antibody is proprietary information.

Reactivity data

{ "title": "Reactivity Data", "filters": { "stats": ["", "Species", "Dilution Info", "Notes"], "tabs": { "all-applications": {"fullname" : "All Applications", "shortname": "All Applications"}, "IHCP" : {"fullname" : "Immunohistochemistry (Formalin/PFA-fixed paraffin-embedded sections)", "shortname":"IHC-P"}, "IP" : {"fullname" : "Immunoprecipitation", "shortname":"IP"}, "WB" : {"fullname" : "Western blot", "shortname":"WB"}, "ICCIF" : {"fullname" : "Immunocytochemistry/ Immunofluorescence", "shortname":"ICC/IF"}, "IHCFr" : {"fullname" : "Immunohistochemistry (Frozen sections)", "shortname":"IHC-Fr"}, "FlowCytIntra" : {"fullname" : "Flow Cytometry (Intracellular)", "shortname":"Flow Cyt (Intra)"} }, "product-promise": { "all": "all", "testedAndGuaranteed": "tested", "guaranteed": "expected", "predicted": "predicted", "notRecommended": "not-recommended" } }, "values": { "Human": { "IHCP-species-checked": "testedAndGuaranteed", "IHCP-species-dilution-info": "1/500", "IHCP-species-notes": "<p></p>", "IP-species-checked": "guaranteed", "IP-species-dilution-info": "", "IP-species-notes": "", "WB-species-checked": "guaranteed", "WB-species-dilution-info": "", "WB-species-notes": "", "ICCIF-species-checked": "guaranteed", "ICCIF-species-dilution-info": "", "ICCIF-species-notes": "", "IHCFr-species-checked": "guaranteed", "IHCFr-species-dilution-info": "", "IHCFr-species-notes": "", "FlowCytIntra-species-checked": "guaranteed", "FlowCytIntra-species-dilution-info": "", "FlowCytIntra-species-notes": "" }, "Mouse": { "IHCP-species-checked": "testedAndGuaranteed", "IHCP-species-dilution-info": "1/500", "IHCP-species-notes": "<p></p>", "IP-species-checked": "testedAndGuaranteed", "IP-species-dilution-info": "1/30", "IP-species-notes": "<p></p>", "WB-species-checked": "testedAndGuaranteed", "WB-species-dilution-info": "1/1000", "WB-species-notes": "<p></p>", "ICCIF-species-checked": "testedAndGuaranteed", "ICCIF-species-dilution-info": "1/100", "ICCIF-species-notes": "<p></p>", "IHCFr-species-checked": "testedAndGuaranteed", "IHCFr-species-dilution-info": "1/500", "IHCFr-species-notes": "<p></p>", "FlowCytIntra-species-checked": "testedAndGuaranteed", "FlowCytIntra-species-dilution-info": "1/50", "FlowCytIntra-species-notes": "<p></p>" }, "Rat": { "IHCP-species-checked": "testedAndGuaranteed", "IHCP-species-dilution-info": "1/500", "IHCP-species-notes": "<p></p>", "IP-species-checked": "guaranteed", "IP-species-dilution-info": "", "IP-species-notes": "", "WB-species-checked": "guaranteed", "WB-species-dilution-info": "", "WB-species-notes": "", "ICCIF-species-checked": "guaranteed", "ICCIF-species-dilution-info": "", "ICCIF-species-notes": "", "IHCFr-species-checked": "testedAndGuaranteed", "IHCFr-species-dilution-info": "1/500", "IHCFr-species-notes": "<p></p>", "FlowCytIntra-species-checked": "guaranteed", "FlowCytIntra-species-dilution-info": "", "FlowCytIntra-species-notes": "" } } }

Product details

Patented technology
Our RabMAb® technology is a patented hybridoma-based technology for making rabbit monoclonal antibodies. For details on our patents, please refer to RabMAb® patents.

What are the advantages of a recombinant monoclonal antibody?
This product is a recombinant monoclonal antibody, which offers several advantages including:

  • - High batch-to-batch consistency and reproducibility
  • - Improved sensitivity and specificity
  • - Long-term security of supply
  • - Animal-free batch production

For more information, read more on recombinant antibodies.

Properties and storage information

Form
Liquid
Purification technique
Affinity purification Protein A
Storage buffer
pH: 7.2 - 7.4 Preservative: 0.01% Sodium azide Constituents: PBS, 40% Glycerol (glycerin, glycerine), 0.05% BSA
Shipped at conditions
Blue Ice
Appropriate short-term storage duration
1-2 weeks
Appropriate short-term storage conditions
+4°C
Appropriate long-term storage conditions
-20°C
Aliquoting information
Upon delivery aliquot
Storage information
Avoid freeze / thaw cycle

Supplementary information

This supplementary information is collated from multiple sources and compiled automatically.

PC1/3 also known as Proprotein Convertase 1 or PCSK1 is a member of the proprotein convertase family which is responsible for processing precursor proteins into their active forms. This protein with a mass of approximately 84 kDa is expressed in neuroendocrine and endocrine tissues. PC1/3 operates primarily in the secretory pathways of these tissues cleaving prohormones and other precursor proteins at specific sites to generate active peptides and proteins essential for various physiological processes.
Biological function summary

The proprotein convertase enzyme PC1/3 plays a critical role in activating hormone precursors. It is involved in the conversion of proinsulin to insulin as well as the processing of proopiomelanocortin (POMC) to generate peptides like ACTH and beta-endorphin. PC1/3 does not generally form part of a complex but interacts closely with other convertases for complete prohormone processing. This enzyme is essential for maintaining homeostasis in hormone regulation and is an important player in metabolic control.

Pathways

Specific functions of PC1/3 are closely tied to metabolic and neuroendocrine pathways. It is significant in the insulin signaling pathway where its role in converting proinsulin to insulin directly impacts glucose metabolism. Additionally PC1/3 contributes to neuropeptide signaling pathways by processing neuroendocrine peptides which influence appetite and energy homeostasis. PC1/3 works alongside proteins like PC2 another proprotein convertase to ensure comprehensive processing of peptide hormones.

Malfunction or deficiency in PC1/3 activity is associated with disorders such as obesity and hypogonadotropic hypogonadism. Obesity can result from improper proinsulin processing affecting insulin regulation. Hypogonadotropic hypogonadism may occur due to faulty prohormone processing impacting gonadotropin-releasing hormone production. PC1/3 interactions with other convertases like PC2 highlight its involvement in regulatory networks that maintain metabolic and reproductive health.

Product protocols

For this product, it's our understanding that no specific protocols are required. You can visit:

Target data

Involved in the processing of hormone and other protein precursors at sites comprised of pairs of basic amino acid residues. Substrates include POMC, renin, enkephalin, dynorphin, somatostatin, insulin and AGRP.
See full target information PCSK1

Publications (10)

Recent publications for all applications. Explore the full list and refine your search

Probiotics and antimicrobial proteins : PubMed40366615

2025

Lactobacillus rhamnosus GG Supernatant Improves GLP-1 Secretion Through Attenuating L Cell Lipotoxicity and Modulating Gut Microbiota in Obesity.

Applications

Unspecified application

Species

Unspecified reactive species

Xu Wang,Xinrui Lv,Yaxin Qi,Sipu Wang,Mo Yang,Bangmao Wang,Hailong Cao,Jie Zhang,Xin Xu

Diabetes, obesity & metabolism 27:1296-1313 PubMed39803714

2025

Chemerin loss-of-function attenuates glucagon-like peptide-1 secretion in exercised obese mice.

Applications

Unspecified application

Species

Unspecified reactive species

Qilong Zhang,Yi Jia,Yifan Guo,Xiaohan Yu,Ru Wang,Xiaohui Wang

Experimental & molecular medicine 57:131-150 PubMed39741186

2025

SPOCK2 controls the proliferation and function of immature pancreatic β-cells through MMP2.

Applications

Unspecified application

Species

Unspecified reactive species

Katarzyna Blaszczyk,Anna P Jedrzejak,Natalia Ziojla,Ekaterina Shcheglova,Karolina Szarafin,Artur Jankowski,Christine A Beamish,Jolanta Chmielowiec,Omaima M Sabek,Ashok Balasubramanyam,Sanjeet Patel,Malgorzata Borowiak

iScience 27:110017 PubMed39021804

2024

Insulin receptor isoform B is required for efficient proinsulin processing in pancreatic β cells.

Applications

Unspecified application

Species

Unspecified reactive species

Mingchao Jiang,Ning Wang,Yuqin Zhang,Jinjin Zhang,Youwei Li,Xiu Yan,Honghao Zhang,Chengbin Li,Youfei Guan,Bin Liang,Weiping Zhang,Yingjie Wu

Cell metabolism 36:48-61.e6 PubMed38128529

2023

Disrupted RNA editing in beta cells mimics early-stage type 1 diabetes.

Applications

Unspecified application

Species

Unspecified reactive species

Udi Ehud Knebel,Shani Peleg,Chunhua Dai,Roni Cohen-Fultheim,Sara Jonsson,Karin Poznyak,Maya Israeli,Liza Zamashanski,Benjamin Glaser,Erez Y Levanon,Alvin C Powers,Agnes Klochendler,Yuval Dor

Frontiers in pharmacology 14:1228722 PubMed37469873

2023

Berberine enhances the function of db/db mice islet β cell through GLP-1/GLP-1R/PKA signaling pathway in intestinal L cell and islet α cell.

Applications

Unspecified application

Species

Unspecified reactive species

Wenbin Wu,Qingsong Xia,Yujin Guo,Hongzhan Wang,Hui Dong,Fuer Lu,Fen Yuan

Stem cell research & therapy 14:45 PubMed36941658

2023

BM-MSCs overexpressing the Numb enhance the therapeutic effect on cholestatic liver fibrosis by inhibiting the ductular reaction.

Applications

Unspecified application

Species

Unspecified reactive species

Yan-Nan Xu,Wen Xu,Xu Zhang,Dan-Yang Wang,Xin-Rui Zheng,Wei Liu,Jia-Mei Chen,Gao-Feng Chen,Cheng-Hai Liu,Ping Liu,Yong-Ping Mu

The Journal of cell biology 221: PubMed36053215

2022

VAMP4 regulates insulin levels by targeting secretory granules to lysosomes.

Applications

Unspecified application

Species

Unspecified reactive species

Min Li,Fengping Feng,Han Feng,Pengkai Hu,Yanhong Xue,Tao Xu,Eli Song

eLife 9: PubMed33164744

2020

Distinct insulin granule subpopulations implicated in the secretory pathology of diabetes types 1 and 2.

Applications

Unspecified application

Species

Unspecified reactive species

Alex J B Kreutzberger,Volker Kiessling,Catherine A Doyle,Noah Schenk,Clint M Upchurch,Margaret Elmer-Dixon,Amanda E Ward,Julia Preobraschenski,Syed S Hussein,Weronika Tomaka,Patrick Seelheim,Iman Kattan,Megan Harris,Binyong Liang,Anne K Kenworthy,Bimal N Desai,Norbert Leitinger,Arun Anantharam,J David Castle,Lukas K Tamm

Diabetes, metabolic syndrome and obesity : targets 13:1407-1415 PubMed32425572

2020

Sennoside A Induces GLP-1 Secretion Through Activation of the ERK1/2 Pathway in L-Cells.

Applications

Unspecified application

Species

Unspecified reactive species

Li Ma,Xinyu Cao,Xiaotong Ye,Jianping Ye,Yongning Sun
View all publications

Product promise

We are committed to supporting your work with high-quality reagents, and we're here for you every step of the way. In the unlikely event that one of our products does not perform as expected, you're protected by our Product Promise.
For full details, please see our Terms & Conditions

Please note: All products are 'FOR RESEARCH USE ONLY. NOT FOR USE IN DIAGNOSTIC OR THERAPEUTIC PROCEDURES'.

For licensing inquiries, please contact partnerships@abcam.com