JavaScript is disabled in your browser. Please enable JavaScript to view this website.
AB233397

Anti-PC1/3 antibody [EPR21908] - BSA and Azide free

Be the first to review this product! Submit a review

|

(4 Publications)

Rabbit Recombinant Monoclonal PC1/3 antibody. Carrier free. Suitable for IHC-P, IP, WB, ICC/IF, IHC-Fr, Flow Cyt (Intra) and reacts with Mouse, Rat, Human samples. Cited in 4 publications.

View Alternative Names

NEC1, PCSK1, Neuroendocrine convertase 1, NEC 1, Prohormone convertase 1, Proprotein convertase 1, PC1

10 Images
Immunohistochemistry (Formalin/PFA-fixed paraffin-embedded sections) - Anti-PC1/3 antibody [EPR21908] - BSA and Azide free (AB233397)
  • IHC-P

Supplier Data

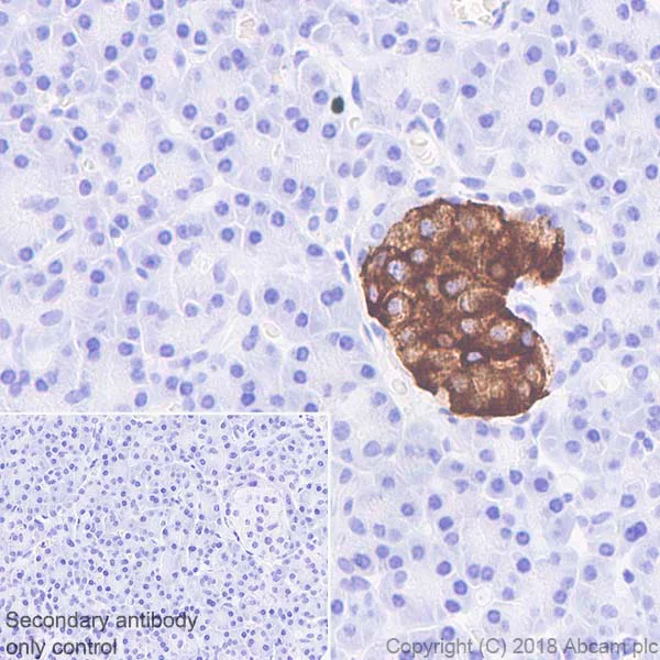
Immunohistochemistry (Formalin/PFA-fixed paraffin-embedded sections) - Anti-PC1/3 antibody [EPR21908] - BSA and Azide free (AB233397)

Immunohistochemical analysis of paraffin-embedded human pancreas tissue labeling PC1/3 with ab220363 at 1/500 dilution, followed by a ready to use Goat Anti-Rabbit IgG H&L (HRP). Cytoplasmic staining in human pancreatic islets (PMID : 7925129; PMID : 21190012) is observed. Counter stained with Hematoxylin.
Secondary antibody only control : Used PBS instead of primary antibody, secondary antibody is a ready to use Goat Anti-Rabbit IgG H&L (HRP).

Perform heat-mediated antigen retrieval using ab93678 (citrate buffer, pH 6.0).

This data was developed using the same antibody clone in a different buffer formulation containing PBS, BSA, glycerol, and sodium azide (ab220363).

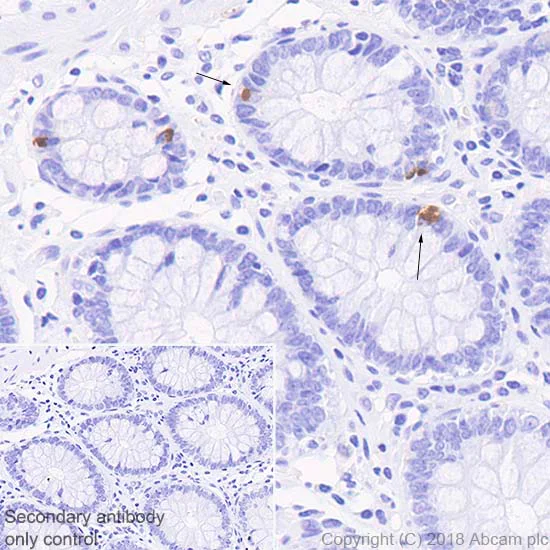
Immunohistochemistry (Formalin/PFA-fixed paraffin-embedded sections) - Anti-PC1/3 antibody [EPR21908] - BSA and Azide free (AB233397)
  • IHC-P

Supplier Data

Immunohistochemistry (Formalin/PFA-fixed paraffin-embedded sections) - Anti-PC1/3 antibody [EPR21908] - BSA and Azide free (AB233397)

Immunohistochemical analysis of paraffin-embedded human colon tissue labeling PC1/3 with ab220363 at 1/500 dilution, followed by a ready to use Goat Anti-Rabbit IgG H&L (HRP). Sporadic cytoplasmic staining (arrows) in human colon (PMID : 18706454) is observed. Counter stained with Hematoxylin.
Secondary antibody only control : Used PBS instead of primary antibody, secondary antibody is a ready to use Goat Anti-Rabbit IgG H&L (HRP).

Perform heat-mediated antigen retrieval using ab93678 (citrate buffer, pH 6.0).

This data was developed using the same antibody clone in a different buffer formulation containing PBS, BSA, glycerol, and sodium azide (ab220363).

Immunocytochemistry/ Immunofluorescence - Anti-PC1/3 antibody [EPR21908] - BSA and Azide free (AB233397)
  • ICC/IF

Supplier Data

Immunocytochemistry/ Immunofluorescence - Anti-PC1/3 antibody [EPR21908] - BSA and Azide free (AB233397)

Immunofluorescent analysis of 4% paraformaldehyde-fixed, 0.1% Triton X-100 permeabilized Beta-TC-6 (mouse pancreas insulinoma beta cell) cells labeling PC1/3 with ab220363 at 1/100 dilution, followed by Goat Anti-Rabbit IgG H&L (Alexa Fluor® 488) (ab150077) secondary antibody at 1/1000 dilution (green).

Confocal image showing cytoplasmic staining in Beta-TC-6 cell line.

Negative cell control : NIH/3T3 (PMID : 9405066; PMID : 15143067).

Counterstained with ab195889 Anti-alpha Tubulin antibody [DM1A] - Microtubule Marker (Alexa Fluor® 594) at a 1/200 dilution (red). The nuclear counter stain is DAPI (blue). The negative control is the secondary antibody only.

This data was developed using the same antibody clone in a different buffer formulation containing PBS, BSA, glycerol, and sodium azide (ab220363).

Immunohistochemistry (Formalin/PFA-fixed paraffin-embedded sections) - Anti-PC1/3 antibody [EPR21908] - BSA and Azide free (AB233397)
  • IHC-P

Supplier Data

Immunohistochemistry (Formalin/PFA-fixed paraffin-embedded sections) - Anti-PC1/3 antibody [EPR21908] - BSA and Azide free (AB233397)

Immunohistochemical analysis of paraffin-embedded rat pancreas tissue labeling PC1/3 with ab220363 at 1/500 dilution, followed by a ready to use Goat Anti-Rabbit IgG H&L (HRP). Cytoplasmic staining in rat pancreatic islets (PMID : 7925129; PMID : 21190012) is observed. Counter stained with Hematoxylin.
Secondary antibody only control : Used PBS instead of primary antibody, secondary antibody is a ready to use Goat Anti-Rabbit IgG H&L (HRP).

Perform heat-mediated antigen retrieval using ab93678 (citrate buffer, pH 6.0).

This data was developed using the same antibody clone in a different buffer formulation containing PBS, BSA, glycerol, and sodium azide (ab220363).

Immunohistochemistry (Frozen sections) - Anti-PC1/3 antibody [EPR21908] - BSA and Azide free (AB233397)
  • IHC-Fr

Supplier Data

Immunohistochemistry (Frozen sections) - Anti-PC1/3 antibody [EPR21908] - BSA and Azide free (AB233397)

Immunohistochemical analysis of frozen mouse pancreas tissue labeling PC1/3 with ab220363 at 1/500 dilution (green), followed by ab150077 AlexaFluor®488 Goat anti-Rabbit secondary at a 1/1000 dilution. Positive cytoplasmic staining in mouse pancreatic islet (PMID : 25976560) is observed. Counter stained with DAPI (blue).
Secondary antibody only control : Used PBS instead of primary antibody, secondary antibody is ab150077 AlexaFluor®488 Goat anti-Rabbit used at a 1/1000 dilution.

Perform heat-mediated antigen retrieval by using Tris-EDTA buffer (10mM Tris base pH 9.0, 1mM EDTA, 0.05% Tween 20).

This data was developed using the same antibody clone in a different buffer formulation containing PBS, BSA, glycerol, and sodium azide (ab220363).

Immunohistochemistry (Formalin/PFA-fixed paraffin-embedded sections) - Anti-PC1/3 antibody [EPR21908] - BSA and Azide free (AB233397)
  • IHC-P

Supplier Data

Immunohistochemistry (Formalin/PFA-fixed paraffin-embedded sections) - Anti-PC1/3 antibody [EPR21908] - BSA and Azide free (AB233397)

Immunohistochemical analysis of paraffin-embedded mouse pancreas tissue labeling PC1/3 with ab220363 at 1/500 dilution, followed by a ready to use Goat Anti-Rabbit IgG H&L (HRP). Cytoplasmic staining in mouse pancreatic islets (PMID : 7925129; PMID : 21190012) is observed. Counter stained with Hematoxylin.
Secondary antibody only control : Used PBS instead of primary antibody, secondary antibody is a ready to use Goat Anti-Rabbit IgG H&L (HRP).

Perform heat-mediated antigen retrieval using ab93678 (citrate buffer, pH 6.0).

This data was developed using the same antibody clone in a different buffer formulation containing PBS, BSA, glycerol, and sodium azide (ab220363).

Flow Cytometry (Intracellular) - Anti-PC1/3 antibody [EPR21908] - BSA and Azide free (AB233397)
  • Flow Cyt (Intra)

Supplier Data

Flow Cytometry (Intracellular) - Anti-PC1/3 antibody [EPR21908] - BSA and Azide free (AB233397)

Intracellular flow cytometric analysis of 4% paraformaldehyde-fixed, 90% methanol permeabilized Beta-TC-6 (mouse pancreas insulinoma beta cell) cell line labeling PC1/3 with ab220363 at 1/50 (red) compared with a Rabbit monoclonal IgG (ab172730) (black) and an unlabeled control (cells without incubation with primary antibody and secondary antibody) (blue). Goat anti rabbit IgG (Alexa Fluor® 488, ab150077), at 1/2000 dilution was used as the secondary antibody.

This data was developed using the same antibody clone in a different buffer formulation containing PBS, BSA, glycerol, and sodium azide (ab220363).

Immunohistochemistry (Frozen sections) - Anti-PC1/3 antibody [EPR21908] - BSA and Azide free (AB233397)
  • IHC-Fr

Supplier Data

Immunohistochemistry (Frozen sections) - Anti-PC1/3 antibody [EPR21908] - BSA and Azide free (AB233397)

Immunohistochemical analysis of frozen rat pancreas tissue labeling PC1/3 with ab220363 at 1/500 dilution (green), followed by ab150077 AlexaFluor®488 Goat anti-Rabbit secondary at a 1/1000 dilution. Positive cytoplasmic staining in rat pancreatic islet (PMID : 25976560) is observed. Counter stained with DAPI (blue).
Secondary antibody only control : Used PBS instead of primary antibody, secondary antibody is ab150077 AlexaFluor®488 Goat anti-Rabbit used at a 1/1000 dilution.

Perform heat-mediated antigen retrieval by using Tris-EDTA buffer (10mM Tris base pH 9.0, 1mM EDTA, 0.05% Tween 20).

This data was developed using the same antibody clone in a different buffer formulation containing PBS, BSA, glycerol, and sodium azide (ab220363).

Immunoprecipitation - Anti-PC1/3 antibody [EPR21908] - BSA and Azide free (AB233397)
  • IP

Supplier Data

Immunoprecipitation - Anti-PC1/3 antibody [EPR21908] - BSA and Azide free (AB233397)

PC1/3 was immunoprecipitated from 0.35 mg Beta-TC-6 (mouse pancreas insulinoma beta cell) whole cell lysate with ab220363 at 1/30 dilution. Western blot was performed from the immunoprecipitate using ab220363 at 1/1000 dilution. VeriBlot for IP Detection Reagent (HRP) (ab131366), was used for detection at 1/1000 dilution.
Lane 1 : Beta-TC-6 (mouse pancreas insulinoma beta cell) whole cell lysate 10 μg (Input).
Lane 2 : ab220363 IP in Beta-TC-6 whole cell lysate (+).
Lane 3 : Rabbit monoclonal IgG (ab172730) instead of ab220363 in Beta-TC-6 whole cell lysate (-).

Blocking/Dilution buffer and concentration : 5% NFDM/TBST.
Exposure time : 3 minutes.

The PC1/3 protein undergoes multiple intracellular cleavage steps to its 66 kDa mature form (PMID : 26778167).

This data was developed using the same antibody clone in a different buffer formulation containing PBS, BSA, glycerol, and sodium azide (ab220363).

All lanes:

Immunoprecipitation - Anti-PC1/3 antibody [EPR21908] (<a href='/en-us/products/primary-antibodies/pc1-3-antibody-epr21908-ab220363'>ab220363</a>)

Predicted band size: 84 kDa

false

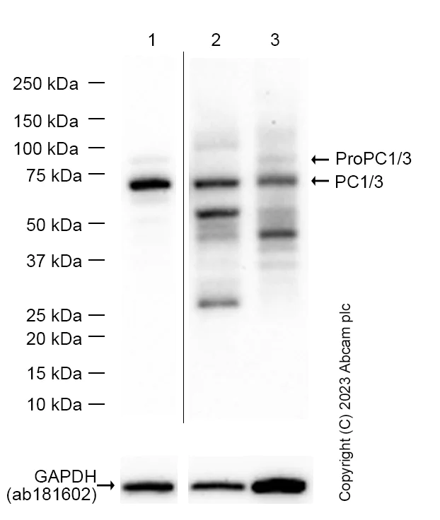
Western blot - Anti-PC1/3 antibody [EPR21908] - BSA and Azide free (AB233397)
  • WB

Supplier Data

Western blot - Anti-PC1/3 antibody [EPR21908] - BSA and Azide free (AB233397)

Blocking and Diluting Buffer : 5% NFDM /TBST 87 kDa ProPC1/3; 66 kDa mature form (PMID : 26778167) Lane1 Expsoure Time : 20 seconds Lane2 and Lane3 were developed using a high sensitivity ECL substrate. This data was developed using the same antibody clone in a different buffer formulation containing PBS, BSA, glycerol, and sodium azide (ab220363).

All lanes:

Western blot - Anti-PC1/3 antibody [EPR21908] (<a href='/en-us/products/primary-antibodies/pc1-3-antibody-epr21908-ab220363'>ab220363</a>) at 1/1000 dilution

Lane 1:

Beta-TC-6 (mouse pancreas insulinoma beta cell) whole cell lysate at 20 µg

Lane 2:

Mouse pancreas lysate at 20 µg

Lane 3:

Mouse brain lysate at 20 µg

Secondary

All lanes:

Western blot - PE Anti-ENPP3/B10 antibody [NP4D6] (<a href='/en-us/products/primary-antibodies/pe-enpp3-b10-antibody-np4d6-ab90751'>ab90751</a>) at 1/20000 dilution

Predicted band size: 87 kDa

Observed band size: 66 kDa

false

Exposure time: 80s

Key facts

Host species

Rabbit

Clonality

Monoclonal

Clone number

EPR21908

Isotype

IgG

Carrier free

Yes

Reacts with

Mouse, Rat, Human

Applications

ICC/IF, IP, WB, Flow Cyt (Intra), IHC-P, IHC-Fr

applications

Immunogen

The exact immunogen used to generate this antibody is proprietary information.

Reactivity data

{ "title": "Reactivity Data", "filters": { "stats": ["", "Species", "Dilution Info", "Notes"], "tabs": { "all-applications": {"fullname" : "All Applications", "shortname": "All Applications"}, "IHCP" : {"fullname" : "Immunohistochemistry (Formalin/PFA-fixed paraffin-embedded sections)", "shortname":"IHC-P"}, "IP" : {"fullname" : "Immunoprecipitation", "shortname":"IP"}, "WB" : {"fullname" : "Western blot", "shortname":"WB"}, "ICCIF" : {"fullname" : "Immunocytochemistry/ Immunofluorescence", "shortname":"ICC/IF"}, "IHCFr" : {"fullname" : "Immunohistochemistry (Frozen sections)", "shortname":"IHC-Fr"}, "FlowCytIntra" : {"fullname" : "Flow Cytometry (Intracellular)", "shortname":"Flow Cyt (Intra)"} }, "product-promise": { "all": "all", "testedAndGuaranteed": "tested", "guaranteed": "expected", "predicted": "predicted", "notRecommended": "not-recommended" } }, "values": { "Human": { "IHCP-species-checked": "testedAndGuaranteed", "IHCP-species-dilution-info": "", "IHCP-species-notes": "<p></p>", "IP-species-checked": "guaranteed", "IP-species-dilution-info": "", "IP-species-notes": "", "WB-species-checked": "guaranteed", "WB-species-dilution-info": "", "WB-species-notes": "<p></p>", "ICCIF-species-checked": "guaranteed", "ICCIF-species-dilution-info": "", "ICCIF-species-notes": "", "IHCFr-species-checked": "guaranteed", "IHCFr-species-dilution-info": "", "IHCFr-species-notes": "", "FlowCytIntra-species-checked": "guaranteed", "FlowCytIntra-species-dilution-info": "", "FlowCytIntra-species-notes": "" }, "Mouse": { "IHCP-species-checked": "testedAndGuaranteed", "IHCP-species-dilution-info": "", "IHCP-species-notes": "<p></p>", "IP-species-checked": "testedAndGuaranteed", "IP-species-dilution-info": "", "IP-species-notes": "<p></p>", "WB-species-checked": "guaranteed", "WB-species-dilution-info": "", "WB-species-notes": "<p></p>", "ICCIF-species-checked": "testedAndGuaranteed", "ICCIF-species-dilution-info": "", "ICCIF-species-notes": "<p></p>", "IHCFr-species-checked": "testedAndGuaranteed", "IHCFr-species-dilution-info": "", "IHCFr-species-notes": "<p></p>", "FlowCytIntra-species-checked": "testedAndGuaranteed", "FlowCytIntra-species-dilution-info": "", "FlowCytIntra-species-notes": "<p></p>" }, "Rat": { "IHCP-species-checked": "testedAndGuaranteed", "IHCP-species-dilution-info": "", "IHCP-species-notes": "<p></p>", "IP-species-checked": "guaranteed", "IP-species-dilution-info": "", "IP-species-notes": "", "WB-species-checked": "guaranteed", "WB-species-dilution-info": "", "WB-species-notes": "<p></p>", "ICCIF-species-checked": "guaranteed", "ICCIF-species-dilution-info": "", "ICCIF-species-notes": "", "IHCFr-species-checked": "testedAndGuaranteed", "IHCFr-species-dilution-info": "", "IHCFr-species-notes": "<p></p>", "FlowCytIntra-species-checked": "guaranteed", "FlowCytIntra-species-dilution-info": "", "FlowCytIntra-species-notes": "" } } }

Product details

ab233397 is the carrier-free version of ab220363.

Patented technology
Our RabMAb® technology is a patented hybridoma-based technology for making rabbit monoclonal antibodies. For details on our patents, please refer to RabMAb® patents.

What are the advantages of a recombinant monoclonal antibody?
This product is a recombinant monoclonal antibody, which offers several advantages including:

  • - High batch-to-batch consistency and reproducibility
  • - Improved sensitivity and specificity
  • - Long-term security of supply
  • - Animal-free batch production

For more information, read more on recombinant antibodies.

Conjugation ready
Our carrier-free antibodies are typically supplied in a PBS-only formulation, purified and free of BSA, sodium azide and glycerol. This conjugation-ready format is designed for use with fluorochromes, metal isotopes, oligonucleotides, and enzymes, which makes them ideal for antibody labelling, functional and cell-based assays, flow-based assays (e.g. mass cytometry) and Multiplex Imaging applications.

Use our conjugation kits for antibody conjugates that are ready-to-use in as little as 20 minutes with 1 minute hands-on-time and 100% antibody recovery: available for fluorescent dyes, HRP, biotin and gold.

Compatibility
This product is compatible with the Maxpar® Antibody Labeling Kit from Fluidigm, without the need for antibody preparation. Maxpar® is a trademark of Fluidigm Canada Inc.

Properties and storage information

Form
Liquid
Purification technique
Affinity purification Protein A
Storage buffer
pH: 7.2 - 7.4 Constituents: PBS
Shipped at conditions
Blue Ice
Appropriate short-term storage conditions
+4°C
Appropriate long-term storage conditions
+4°C
Storage information
Do Not Freeze

Supplementary information

This supplementary information is collated from multiple sources and compiled automatically.

PC1/3 also known as Proprotein Convertase 1 or PCSK1 is a member of the proprotein convertase family which is responsible for processing precursor proteins into their active forms. This protein with a mass of approximately 84 kDa is expressed in neuroendocrine and endocrine tissues. PC1/3 operates primarily in the secretory pathways of these tissues cleaving prohormones and other precursor proteins at specific sites to generate active peptides and proteins essential for various physiological processes.
Biological function summary

The proprotein convertase enzyme PC1/3 plays a critical role in activating hormone precursors. It is involved in the conversion of proinsulin to insulin as well as the processing of proopiomelanocortin (POMC) to generate peptides like ACTH and beta-endorphin. PC1/3 does not generally form part of a complex but interacts closely with other convertases for complete prohormone processing. This enzyme is essential for maintaining homeostasis in hormone regulation and is an important player in metabolic control.

Pathways

Specific functions of PC1/3 are closely tied to metabolic and neuroendocrine pathways. It is significant in the insulin signaling pathway where its role in converting proinsulin to insulin directly impacts glucose metabolism. Additionally PC1/3 contributes to neuropeptide signaling pathways by processing neuroendocrine peptides which influence appetite and energy homeostasis. PC1/3 works alongside proteins like PC2 another proprotein convertase to ensure comprehensive processing of peptide hormones.

Malfunction or deficiency in PC1/3 activity is associated with disorders such as obesity and hypogonadotropic hypogonadism. Obesity can result from improper proinsulin processing affecting insulin regulation. Hypogonadotropic hypogonadism may occur due to faulty prohormone processing impacting gonadotropin-releasing hormone production. PC1/3 interactions with other convertases like PC2 highlight its involvement in regulatory networks that maintain metabolic and reproductive health.

Product protocols

For this product, it's our understanding that no specific protocols are required. You can visit:

Target data

Involved in the processing of hormone and other protein precursors at sites comprised of pairs of basic amino acid residues. Substrates include POMC, renin, enkephalin, dynorphin, somatostatin, insulin and AGRP.
See full target information PCSK1

Publications (4)

Recent publications for all applications. Explore the full list and refine your search

Cancer immunology, immunotherapy : CII 74:147 PubMed40088295

2025

The prognosis prediction value of CD69+ CD8+ tissue-resident memory T cell as a novel indicator of pathologic complete response heterogeneity following different neoadjuvant therapy regimen in esophageal squamous cell carcinoma.

Applications

Unspecified application

Species

Unspecified reactive species

Ao Liu,Defeng Liu,Xiuli Liu,Yuxiang Chi,Longxiang Guo,Dianxing Li,Qiankun Wang,Yuanlin Li,Yi Li,Guiwen Zheng,Haiqun Lin,Qiuan Yang,Yaru Tian,Jinming Yu,Minghuan Li

iScience 27:111064 PubMed39635125

2024

Complement C3 promotes islet β-cell dedifferentiation by activating Wnt/β-catenin pathway.

Applications

Unspecified application

Species

Unspecified reactive species

Lei Zhuang,Qi Li,Wenjun You,Shengke Wen,Tianxing Chen,Jianbin Su,Wei Zhao,Ji Hu

iScience 27:110836 PubMed39310774

2024

Single-cell sequencing reveals the heterogeneity of pancreatic neuroendocrine tumors under genomic instability and histological grading.

Applications

Unspecified application

Species

Unspecified reactive species

Zeng Ye,Yan Zhou,Yuheng Hu,Qiang Li,Zijin Xu,Xin Lou,Wuhu Zhang,Di Zhu,Cao Xie,Qingtong Zhou,Jing Gao,Hu Zhou,Dehua Yang,Yi Qin,Xiaowu Xu,Jie Chen,Shunrong Ji,Ming-Wei Wang,Xianjun Yu

Metabolism: clinical and experimental 109:154290 PubMed32522488

2020

Mof regulates glucose level via altering different α-cell subset mass and intra-islet glucagon-like peptide-1, glucagon secretion.

Applications

Unspecified application

Species

Unspecified reactive species

Xinghong Guo,Danyang Li,Jia Song,Qibing Yang,Meng Wang,Yang Yang,Lingshu Wang,Xinguo Hou,Li Chen,Xiangzhi Li
View all publications

Product promise

We are committed to supporting your work with high-quality reagents, and we're here for you every step of the way. In the unlikely event that one of our products does not perform as expected, you're protected by our Product Promise.
For full details, please see our Terms & Conditions

Please note: All products are 'FOR RESEARCH USE ONLY. NOT FOR USE IN DIAGNOSTIC OR THERAPEUTIC PROCEDURES'.

For licensing inquiries, please contact partnerships@abcam.com