JavaScript is disabled in your browser. Please enable JavaScript to view this website.
AB84459

Anti-PC4 antibody

Be the first to review this product! Submit a review

|

(4 Publications)

Rabbit Polyclonal PC4 antibody. Suitable for IHC-P and reacts with Mouse, Human samples. Cited in 4 publications. Immunogen corresponding to Synthetic Peptide within Human SUB1.

View Alternative Names

PC4, RPO2TC1, SUB1, Activated RNA polymerase II transcriptional coactivator p15, Positive cofactor 4, SUB1 homolog, p14

3 Images
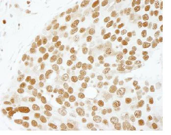
Immunohistochemistry (Formalin/PFA-fixed paraffin-embedded sections) - Anti-PC4 antibody (AB84459)
  • IHC-P

Unknown

Immunohistochemistry (Formalin/PFA-fixed paraffin-embedded sections) - Anti-PC4 antibody (AB84459)

Immunohistochemistry analysis of formalin-fixed, paraffin-embedded Human prostate carcinoma tissue using 1/250 ab84459, followed by DAB staining.

Immunohistochemistry (Formalin/PFA-fixed paraffin-embedded sections) - Anti-PC4 antibody (AB84459)
  • IHC-P

Unknown

Immunohistochemistry (Formalin/PFA-fixed paraffin-embedded sections) - Anti-PC4 antibody (AB84459)

Immunohistochemistry analysis of formalin-fixed, paraffin-embedded Human breast carcinoma tissue using 1/250 ab84459, followed by DAB staining.

Immunohistochemistry (Formalin/PFA-fixed paraffin-embedded sections) - Anti-PC4 antibody (AB84459)
  • IHC-P

Unknown

Immunohistochemistry (Formalin/PFA-fixed paraffin-embedded sections) - Anti-PC4 antibody (AB84459)

Immunohistochemistry analysis of formalin-fixed, paraffin-embedded Mouse teratoma tissue using 1/250 ab84459, followed by DAB staining.

Key facts

Host species

Rabbit

Clonality

Polyclonal

Isotype

IgG

Carrier free

No

Reacts with

Mouse, Human

Applications

IHC-P

applications

Immunogen

Synthetic Peptide within Human SUB1. The exact immunogen used to generate this antibody is proprietary information.

P53999

Reactivity data

{ "title": "Reactivity Data", "filters": { "stats": ["", "Species", "Dilution Info", "Notes"], "tabs": { "all-applications": {"fullname" : "All Applications", "shortname": "All Applications"}, "IHCP" : {"fullname" : "Immunohistochemistry (Formalin/PFA-fixed paraffin-embedded sections)", "shortname":"IHC-P"} }, "product-promise": { "all": "all", "testedAndGuaranteed": "tested", "guaranteed": "expected", "predicted": "predicted", "notRecommended": "not-recommended" } }, "values": { "Human": { "IHCP-species-checked": "testedAndGuaranteed", "IHCP-species-dilution-info": "1/100 - 1/500", "IHCP-species-notes": "<p></p> Antigen retrieval is not essential but may optimise staining." }, "Mouse": { "IHCP-species-checked": "testedAndGuaranteed", "IHCP-species-dilution-info": "1/100 - 1/500", "IHCP-species-notes": "<p></p> Antigen retrieval is not essential but may optimise staining." }, "Rat": { "IHCP-species-checked": "predicted", "IHCP-species-dilution-info": "", "IHCP-species-notes": "" }, "Chicken": { "IHCP-species-checked": "predicted", "IHCP-species-dilution-info": "", "IHCP-species-notes": "" }, "Cow": { "IHCP-species-checked": "predicted", "IHCP-species-dilution-info": "", "IHCP-species-notes": "" }, "Dog": { "IHCP-species-checked": "predicted", "IHCP-species-dilution-info": "", "IHCP-species-notes": "" }, "Gorilla": { "IHCP-species-checked": "predicted", "IHCP-species-dilution-info": "", "IHCP-species-notes": "" }, "Guinea pig": { "IHCP-species-checked": "predicted", "IHCP-species-dilution-info": "", "IHCP-species-notes": "" }, "Horse": { "IHCP-species-checked": "predicted", "IHCP-species-dilution-info": "", "IHCP-species-notes": "" }, "Orangutan": { "IHCP-species-checked": "predicted", "IHCP-species-dilution-info": "", "IHCP-species-notes": "" }, "Pig": { "IHCP-species-checked": "predicted", "IHCP-species-dilution-info": "", "IHCP-species-notes": "" }, "Platypus": { "IHCP-species-checked": "predicted", "IHCP-species-dilution-info": "", "IHCP-species-notes": "" }, "Rabbit": { "IHCP-species-checked": "predicted", "IHCP-species-dilution-info": "", "IHCP-species-notes": "" }, "Rhesus monkey": { "IHCP-species-checked": "predicted", "IHCP-species-dilution-info": "", "IHCP-species-notes": "" }, "Turkey": { "IHCP-species-checked": "predicted", "IHCP-species-dilution-info": "", "IHCP-species-notes": "" } } }

Properties and storage information

Form
Liquid
Purification technique
Affinity purification Immunogen
Storage buffer
pH: 6.8 - 7.4 Preservative: 0.09% Sodium azide Constituents: Tris buffered saline, 0.1% BSA
Shipped at conditions
Blue Ice
Appropriate short-term storage conditions
+4°C
Appropriate long-term storage conditions
+4°C
Aliquoting information
Upon delivery aliquot
Storage information
Avoid freeze / thaw cycle

Supplementary information

This supplementary information is collated from multiple sources and compiled automatically.

PC4 also known as Sub1 is a transcriptional coactivator protein. Its molecular weight is approximately 20 kDa. The protein is expressed in various tissues with particularly high expression in the liver and heart. PC4 facilitates transcription by interacting with basal transcription factors. It bonds with single-stranded DNA enhancing RNA polymerase II's ability to start transcription.
Biological function summary

Many experts note PC4's significant role in transcriptional regulation and chromatin structure dynamics. It operates as part of a multifunctional complex that regulates gene expression. PC4 stabilizes transcriptional pre-initiation complexes which helps initiate gene transcription. Its capacity to modulate chromatin can also impact DNA repair and replication processes emphasizing its diverse roles beyond transcriptional activation.

Pathways

Transcription regulation processes often feature PC4 prominently. It interacts within the transcriptional machinery alongside proteins such as TFIIB and TFIIH. Additionally PC4 participates in chromatin remodeling pathways which affect DNA accessibility and gene transcription. This protein's interaction with other transcription factors establishes it as a versatile component in gene expression pathways.

Researchers link PC4 to cancer and cardiac hypertrophy. In cancer PC4 can influence oncogene activation and tumor suppressor pathways interacting with proteins like p53 in these contexts. Studies also suggest PC4 involvement in cardiac hypertrophy by affecting genes associated with heart muscle enlargement where it functions alongside other cardiac stress-responsive proteins. These associations highlight PC4's potential as a therapeutic target in various pathologies.

Product protocols

For this product, it's our understanding that no specific protocols are required. You can visit:

Target data

General coactivator that functions cooperatively with TAFs and mediates functional interactions between upstream activators and the general transcriptional machinery. May be involved in stabilizing the multiprotein transcription complex. Binds single-stranded DNA. Also binds, in vitro, non-specifically to double-stranded DNA (ds DNA).
See full target information SUB1

Publications (4)

Recent publications for all applications. Explore the full list and refine your search

STAR protocols 2:100633 PubMed34258594

2021

Protocol for BCR-mediated plasma cell differentiation and purification of chromatin-associated proteins.

Applications

Unspecified application

Species

Unspecified reactive species

Kyoko Ochiai,Hiroki Shima,Tsuyoshi Ikura,Marissa C Franke,Evelyn P Sievert,Roger Sciammas,Kazuhiko Igarashi

Cell reports 33:108517 PubMed33357426

2020

Chromatin Protein PC4 Orchestrates B Cell Differentiation by Collaborating with IKAROS and IRF4.

Applications

Unspecified application

Species

Unspecified reactive species

Kyoko Ochiai,Mari Yamaoka,Amrutha Swaminathan,Hiroki Shima,Hitoshi Hiura,Mitsuyo Matsumoto,Daisuke Kurotaki,Jun Nakabayashi,Ryo Funayama,Keiko Nakayama,Takahiro Arima,Tomokatsu Ikawa,Tomohiko Tamura,Roger Sciammas,Philippe Bouvet,Tapas K Kundu,Kazuhiko Igarashi

Burns & trauma 8:tkaa010 PubMed32373645

2020

PC4 serves as a negative regulator of skin wound healing in mice.

Applications

Unspecified application

Species

Unspecified reactive species

Fengying Liao,Long Chen,Peng Luo,Zhongyong Jiang,Zelin Chen,Ziwen Wang,Chi Zhang,Yu Wang,Jintao He,Qing Wang,Yawei Wang,Lang Liu,Yu Huang,Huilan Wang,Qingzhi Jiang,Min Luo,Yibo Gan,Yunsheng Liu,Yang Wang,Jie Wu,Wentao Xie,Zhuo Cheng,Yali Dai,Jialun Li,Zujuan Liu,Fan Yang,Chunmeng Shi

Scientific reports 7:13631 PubMed29051583

2017

Nuclear fragments of the neural cell adhesion molecule NCAM with or without polysialic acid differentially regulate gene expression.

Applications

Unspecified application

Species

Unspecified reactive species

Nina Westphal,Thomas Theis,Gabriele Loers,Melitta Schachner,Ralf Kleene
View all publications

Product promise

We are committed to supporting your work with high-quality reagents, and we're here for you every step of the way. In the unlikely event that one of our products does not perform as expected, you're protected by our Product Promise.
For full details, please see our Terms & Conditions

Please note: All products are 'FOR RESEARCH USE ONLY. NOT FOR USE IN DIAGNOSTIC OR THERAPEUTIC PROCEDURES'.

For licensing inquiries, please contact partnerships@abcam.com