JavaScript is disabled in your browser. Please enable JavaScript to view this website.
AB229266

Anti-PCB antibody - C-terminal

Be the first to review this product! Submit a review

|

(1 Publication)

Rabbit Polyclonal PCB antibody. C-terminal. Suitable for WB, IHC-P, ICC/IF and reacts with Mouse, Human samples. Cited in 1 publication. Immunogen corresponding to Recombinant Fragment Protein within Human PC.

View Alternative Names

Pyruvic carboxylase, PCB, PC

3 Images
Western blot - Anti-PCB antibody - C-terminal (AB229266)
  • WB

Supplier Data

Western blot - Anti-PCB antibody - C-terminal (AB229266)

5% SDS-PAGE

All lanes:

Western blot - Anti-PCB antibody - C-terminal (ab229266) at 1/1000 dilution

Lane 1:

HEK-293T (human epithelial cell line from embryonic kidney transformed with large T antigen) whole cell lysate at 30 µg

Lane 2:

A431 (human epidermoid carcinoma cell line) whole cell lysate at 30 µg

Lane 3:

HeLa (human epithelial cell line from cervix adenocarcinoma) whole cell lysate at 30 µg

Lane 4:

Mouse liver tissue lysate at 30 µg

Predicted band size: 130 kDa

true

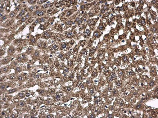
Immunohistochemistry (Formalin/PFA-fixed paraffin-embedded sections) - Anti-PCB antibody - C-terminal (AB229266)
  • IHC-P

Supplier Data

Immunohistochemistry (Formalin/PFA-fixed paraffin-embedded sections) - Anti-PCB antibody - C-terminal (AB229266)

Paraffin-embedded mouse liver tissue stained for PCB using ab229266 at 1/500 dilution in immunohistochemical analysis.

Immunocytochemistry/ Immunofluorescence - Anti-PCB antibody - C-terminal (AB229266)
  • ICC/IF

Supplier Data

Immunocytochemistry/ Immunofluorescence - Anti-PCB antibody - C-terminal (AB229266)

HeLa (human epithelial cell line from cervix adenocarcinoma) cells stained for PCB using ab229266 (green) at 1/500 dilution in ICC/IF. Cells were fixed in ice-cold methanol for 5 minutes. Blue : Hoechst 33342 staining.

Key facts

Host species

Rabbit

Clonality

Polyclonal

Isotype

IgG

Carrier free

No

Reacts with

Mouse, Human

Applications

IHC-P, ICC/IF, WB

applications

Immunogen

Recombinant Fragment Protein within Human PC. The exact immunogen used to generate this antibody is proprietary information.

P11498

Reactivity data

{ "title": "Reactivity Data", "filters": { "stats": ["", "Species", "Dilution Info", "Notes"], "tabs": { "all-applications": {"fullname" : "All Applications", "shortname": "All Applications"}, "WB" : {"fullname" : "Western blot", "shortname":"WB"}, "IHCP" : {"fullname" : "Immunohistochemistry (Formalin/PFA-fixed paraffin-embedded sections)", "shortname":"IHC-P"}, "ICCIF" : {"fullname" : "Immunocytochemistry/ Immunofluorescence", "shortname":"ICC/IF"} }, "product-promise": { "all": "all", "testedAndGuaranteed": "tested", "guaranteed": "expected", "predicted": "predicted", "notRecommended": "not-recommended" } }, "values": { "Human": { "WB-species-checked": "testedAndGuaranteed", "WB-species-dilution-info": "1/500 - 1/3000", "WB-species-notes": "<p></p>", "IHCP-species-checked": "guaranteed", "IHCP-species-dilution-info": "", "IHCP-species-notes": "", "ICCIF-species-checked": "testedAndGuaranteed", "ICCIF-species-dilution-info": "1/100 - 1/1000", "ICCIF-species-notes": "<p></p>" }, "Mouse": { "WB-species-checked": "testedAndGuaranteed", "WB-species-dilution-info": "1/500 - 1/3000", "WB-species-notes": "<p></p>", "IHCP-species-checked": "testedAndGuaranteed", "IHCP-species-dilution-info": "1/100 - 1/1000", "IHCP-species-notes": "<p></p>", "ICCIF-species-checked": "guaranteed", "ICCIF-species-dilution-info": "", "ICCIF-species-notes": "" }, "Rat": { "WB-species-checked": "predicted", "WB-species-dilution-info": "", "WB-species-notes": "", "IHCP-species-checked": "predicted", "IHCP-species-dilution-info": "", "IHCP-species-notes": "", "ICCIF-species-checked": "predicted", "ICCIF-species-dilution-info": "", "ICCIF-species-notes": "" }, "Cow": { "WB-species-checked": "predicted", "WB-species-dilution-info": "", "WB-species-notes": "", "IHCP-species-checked": "predicted", "IHCP-species-dilution-info": "", "IHCP-species-notes": "", "ICCIF-species-checked": "predicted", "ICCIF-species-dilution-info": "", "ICCIF-species-notes": "" }, "Pig": { "WB-species-checked": "predicted", "WB-species-dilution-info": "", "WB-species-notes": "", "IHCP-species-checked": "predicted", "IHCP-species-dilution-info": "", "IHCP-species-notes": "", "ICCIF-species-checked": "predicted", "ICCIF-species-dilution-info": "", "ICCIF-species-notes": "" }, "Rhesus monkey": { "WB-species-checked": "predicted", "WB-species-dilution-info": "", "WB-species-notes": "", "IHCP-species-checked": "predicted", "IHCP-species-dilution-info": "", "IHCP-species-notes": "", "ICCIF-species-checked": "predicted", "ICCIF-species-dilution-info": "", "ICCIF-species-notes": "" } } }

Properties and storage information

Form
Liquid
Purification technique
Affinity purification Immunogen
Storage buffer
pH: 7 Preservative: 0.025% Proclin 300 Constituents: 79% PBS, 20% Glycerol (glycerin, glycerine)
Shipped at conditions
Blue Ice
Appropriate short-term storage duration
1-2 weeks
Appropriate short-term storage conditions
+4°C
Appropriate long-term storage conditions
-20°C
Aliquoting information
Upon delivery aliquot
Storage information
Avoid freeze / thaw cycle

Supplementary information

This supplementary information is collated from multiple sources and compiled automatically.

The target 'PCB' also known as pyruvate carboxylase is a critical enzyme in metabolism. This enzyme has a significant molecular weight of around 130 kDa. It is expressed within the mitochondria of various tissues including liver kidney and adipose tissue. Pyruvate carboxylase catalyzes the carboxylation of pyruvate to form oxaloacetate which is an important step in several metabolic processes especially in gluconeogenesis.
Biological function summary

Pyruvate carboxylase plays a significant role in maintaining metabolic balance. It is a biotin-dependent enzyme and part of a multienzyme complex that facilitates the conversion of pyruvate into oxaloacetate. This conversion is vital for replenishing intermediates in the citric acid cycle supporting the energy supply and anaplerotic reactions necessary for biosynthesis. The activity of pyruvate carboxylase also influences cellular levels of ATP and other nucleotides.

Pathways

The carboxylation of pyruvate by pyruvate carboxylase integrates into gluconeogenesis and lipogenesis. In gluconeogenesis pyruvate carboxylase works alongside phosphoenolpyruvate carboxykinase (PEPCK) to achieve the synthesis of glucose from non-carbohydrate precursors. In lipogenesis oxaloacetate produced by pyruvate carboxylase is important for generating the precursor acetyl-CoA. These pathways involve pyruvate dehydrogenase and malate dehydrogenase reflecting the interconnectedness of metabolic functions.

Deficiencies or mutations in pyruvate carboxylase can lead to metabolic dysfunctions such as lactic acidosis and Leigh's disease. These conditions affect the body's ability to produce energy efficiently causing neurological and metabolic symptoms. Pyruvate carboxylase interacts closely with enzymes like lactate dehydrogenase and citrate synthase in these disorders highlighting its importance in metabolic homeostasis.

Product protocols

For this product, it's our understanding that no specific protocols are required. You can visit:

Target data

Pyruvate carboxylase catalyzes a 2-step reaction, involving the ATP-dependent carboxylation of the covalently attached biotin in the first step and the transfer of the carboxyl group to pyruvate in the second. Catalyzes in a tissue specific manner, the initial reactions of glucose (liver, kidney) and lipid (adipose tissue, liver, brain) synthesis from pyruvate.
See full target information PC

Publications (1)

Recent publications for all applications. Explore the full list and refine your search

Scientific reports 10:14589 PubMed32883997

2020

Lipocalin-2 deficiency may predispose to the progression of spontaneous age-related adiposity in mice.

Applications

Unspecified application

Species

Unspecified reactive species

Keya Meyers,María López,Joanna Ho,Savannah Wills,Srujana Rayalam,Shashidharamurthy Taval
View all publications

Product promise

We are committed to supporting your work with high-quality reagents, and we're here for you every step of the way. In the unlikely event that one of our products does not perform as expected, you're protected by our Product Promise.
For full details, please see our Terms & Conditions

Please note: All products are 'FOR RESEARCH USE ONLY. NOT FOR USE IN DIAGNOSTIC OR THERAPEUTIC PROCEDURES'.

For licensing inquiries, please contact partnerships@abcam.com