JavaScript is disabled in your browser. Please enable JavaScript to view this website.
AB184962

Anti-PCBP2/hnRNP E2 antibody [EPR14858]

Be the first to review this product! Submit a review

|

(11 Publications)

Rabbit Recombinant Monoclonal PCBP2/hnRNP E2 antibody. Suitable for IP, WB, ICC/IF, Flow Cyt (Intra), IHC-P and reacts with Human samples. Cited in 11 publications.

View Alternative Names

Poly(rC)-binding protein 2, Alpha-CP2, Heterogeneous nuclear ribonucleoprotein E2, hnRNP E2, PCBP2

7 Images
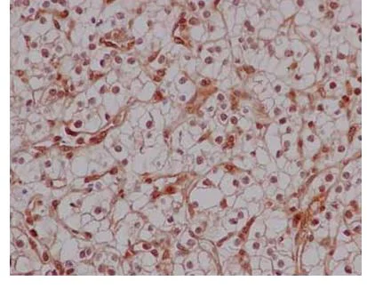
Immunohistochemistry (Formalin/PFA-fixed paraffin-embedded sections) - Anti-PCBP2/hnRNP E2 antibody [EPR14858] (AB184962)
  • IHC-P

Supplier Data

Immunohistochemistry (Formalin/PFA-fixed paraffin-embedded sections) - Anti-PCBP2/hnRNP E2 antibody [EPR14858] (AB184962)

Immunohistochemical analysis of paraffin-embedded Human clear cell carcinoma of kidney tissue labeling PCBP2/hnRNP E2 with ab184962 at 1/100 dilution followed by pre-diluted HRP-conjugated secondary antibody and counter-stained with Hematoxylin.

Perform heat mediated antigen retrieval with EDTA buffer pH 9 before commencing with IHC staining protocol.

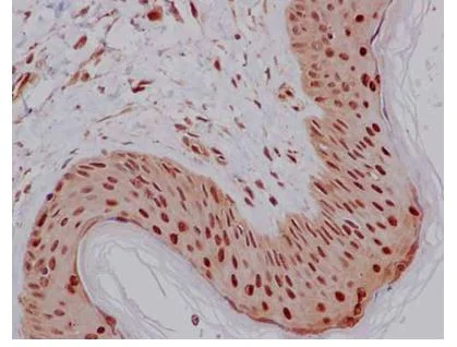
Immunohistochemistry (Formalin/PFA-fixed paraffin-embedded sections) - Anti-PCBP2/hnRNP E2 antibody [EPR14858] (AB184962)
  • IHC-P

Supplier Data

Immunohistochemistry (Formalin/PFA-fixed paraffin-embedded sections) - Anti-PCBP2/hnRNP E2 antibody [EPR14858] (AB184962)

Immunohistochemical analysis of paraffin-embedded human skin tissue labeling PCBP2/hnRNP E2 with ab184962 at 1/100 dilution followed by pre-diluted HRP-conjugated secondary antibody and counter-stained with Hematoxylin.

Perform heat mediated antigen retrieval with EDTA buffer pH 9 before commencing with IHC staining protocol.

Flow Cytometry (Intracellular) - Anti-PCBP2/hnRNP E2 antibody [EPR14858] (AB184962)
  • Flow Cyt (Intra)

Supplier Data

Flow Cytometry (Intracellular) - Anti-PCBP2/hnRNP E2 antibody [EPR14858] (AB184962)

Intracellular flow cytometric anlaysis of HeLa cells (2% paraformaldehyde-fixed)labeling PCBP2/hnRNP E2 with ab184962 at 1/110 dilution (red) or a rabbit IgG (negative) (green), followed by Goat anti rabbit IgG (FITC) secondary at 1/150 dilution.

Immunocytochemistry/ Immunofluorescence - Anti-PCBP2/hnRNP E2 antibody [EPR14858] (AB184962)
  • ICC/IF

Supplier Data

Immunocytochemistry/ Immunofluorescence - Anti-PCBP2/hnRNP E2 antibody [EPR14858] (AB184962)

Immunofluorescent analysis of HeLa cells (-20°C Acetone-fixed) labeling PCBP2/hnRNP E2 with ab184962 at 1/250 dilution (red) followed by Goat anti rabbit IgG (Alexa Fluor®555) secondary at 1/200 dilution and counter-stained with DAPI (blue).

Immunoprecipitation - Anti-PCBP2/hnRNP E2 antibody [EPR14858] (AB184962)
  • IP

Supplier Data

Immunoprecipitation - Anti-PCBP2/hnRNP E2 antibody [EPR14858] (AB184962)

Immunoprecipitation analysis of HeLa lysates labeling PCBP2/hnRNP E2 with ab18492 at 1/50 dilution (Lane 1) and PBS (Lane 2). Anti-Rabbit IgG (HRP), specific to the non-reduced form of IgG used as secondary antibody.

All lanes:

Immunoprecipitation - Anti-PCBP2/hnRNP E2 antibody [EPR14858] (ab184962)

Predicted band size: 39 kDa

false

Western blot - Anti-PCBP2/hnRNP E2 antibody [EPR14858] (AB184962)
  • WB

Supplier Data

Western blot - Anti-PCBP2/hnRNP E2 antibody [EPR14858] (AB184962)

All lanes:

Western blot - Anti-PCBP2/hnRNP E2 antibody [EPR14858] (ab184962) at 1/5000 dilution

Lane 1:

HeLa cell lysate

Lane 2:

Raji cell lysate

Lane 3:

K562 cell lysate

Secondary

All lanes:

Goat Anti-Rabbit IgG, (H+L), Peroxidase conjugated at 1/1000 dilution

Predicted band size: 39 kDa

false

Western blot - Anti-PCBP2/hnRNP E2 antibody [EPR14858] (AB184962)
  • WB

CiteAb

Western blot - Anti-PCBP2/hnRNP E2 antibody [EPR14858] (AB184962)

PCBP2/hnRNP E2 western blot using anti-PCBP2/hnRNP E2 antibody [EPR14858] ab184962. Publication image and figure legend from Liu, Y., Zhang, X., et al., 2019, Cell Death Dis, PubMed 31501420.

ab184962 was used in this publication in western blot. This may not be the same as the application(s) guaranteed by Abcam. For a full list of applications guaranteed by Abcam for ab184962 please see the product overview.

CCT3 blocked the interaction between PCBP2 and YAP/TFCP2.a PCBP2 directly interacted with YAP but not with TFCP2, as evaluated by PLA in Bel-7402 and SMMC-7721 cells. Scale bar, 50 μm. b YAP, TFCP2 bond with PCBP2, as measured by co-IP in Bel-7402 cells. c Schematic presentation of the hypothesis that CCT3 might prevent YAP/TFCP2 from interaction with PCBP2. d Interaction between exogenous PCBP2 and YAP, but not between PCBP2 and TFCP2, was identified by co-IP in Bel-7402 cells. e The WB2 motif was essential for the interaction between PCBP2 and YAP, as measured by co-IP in Bel-7402 cells. d, deletion. f The PCBP2-YAP interaction replied on the two WW domains in YAP, as measured by co-IP in Bel-7402 cells. d, deletion. g The WB2 motif was critical for ubiquitination of YAP and TFCP2. h The WB2 motif of PCBP2 was essential for CCT3-mediated suppression of ubiquitination of YAP and TFCP2, as measured in Bel-7402 cells with or without expressing increasing concentrations of CCT3. i The two WW domains of YAP were prerequisite for suppression of TFCP2 by PCBP2, as measured in control cells, Bel-7402 cells with YAP knocked down with or without simultaneous expressing exogenous YAP-WT/YAP-d2WW. j The two WW domains of YAP were essential for CCT3-induced disassociation of PCBP2 from YAP/TFCP2, as measured by co-IP in Bel-7402 cells. To clearly identify the interaction between PCBP2, TFCP2 and YAP, we artificially adjusted the concentrations of PCBP2 to the same level in the immune precipitates that were immunoprecipitated by the anti-PCBP2 antibodies. Images of WB are representative of three independent experiments

false

  • Carrier free

    Anti-PCBP2/hnRNP E2 antibody [EPR14858] - BSA and Azide free

  • 578 PE

    PE Anti-PCBP2/hnRNP E2 antibody [EPR14858]

  • HRP

    HRP Anti-PCBP2/hnRNP E2 antibody [EPR14858]

  • 519 Alexa Fluor® 488

    Alexa Fluor® 488 Anti-PCBP2/hnRNP E2 antibody [EPR14858]

  • 603 Alexa Fluor® 568

    Alexa Fluor® 568 Anti-PCBP2/hnRNP E2 antibody [EPR14858]

  • 660 APC

    APC Anti-PCBP2/hnRNP E2 antibody [EPR14858]

  • 617 Alexa Fluor® 594

    Alexa Fluor® 594 Anti-PCBP2/hnRNP E2 antibody [EPR14858]

  • 665 Alexa Fluor® 647

    Alexa Fluor® 647 Anti-PCBP2/hnRNP E2 antibody [EPR14858]

  • 565 Alexa Fluor® 555

    Alexa Fluor® 555 Anti-PCBP2/hnRNP E2 antibody [EPR14858]

  • 775 Alexa Fluor® 750

    Alexa Fluor® 750 Anti-PCBP2/hnRNP E2 antibody [EPR14858]

Key facts

Host species

Rabbit

Clonality

Monoclonal

Clone number

EPR14858

Isotype

IgG

Carrier free

No

Reacts with

Human

Applications

WB, IHC-P, IP, ICC/IF, Flow Cyt (Intra)

applications

Immunogen

The exact immunogen used to generate this antibody is proprietary information.

Reactivity data

{ "title": "Reactivity Data", "filters": { "stats": ["", "Species", "Dilution Info", "Notes"], "tabs": { "all-applications": {"fullname" : "All Applications", "shortname": "All Applications"}, "IP" : {"fullname" : "Immunoprecipitation", "shortname":"IP"}, "WB" : {"fullname" : "Western blot", "shortname":"WB"}, "ICCIF" : {"fullname" : "Immunocytochemistry/ Immunofluorescence", "shortname":"ICC/IF"}, "FlowCytIntra" : {"fullname" : "Flow Cytometry (Intracellular)", "shortname":"Flow Cyt (Intra)"}, "IHCP" : {"fullname" : "Immunohistochemistry (Formalin/PFA-fixed paraffin-embedded sections)", "shortname":"IHC-P"} }, "product-promise": { "all": "all", "testedAndGuaranteed": "tested", "guaranteed": "expected", "predicted": "predicted", "notRecommended": "not-recommended" } }, "values": { "Human": { "IP-species-checked": "testedAndGuaranteed", "IP-species-dilution-info": "1/40 - 1/60", "IP-species-notes": "<p></p>", "WB-species-checked": "testedAndGuaranteed", "WB-species-dilution-info": "1/1000 - 1/10000", "WB-species-notes": "<p></p>", "ICCIF-species-checked": "testedAndGuaranteed", "ICCIF-species-dilution-info": "1/250", "ICCIF-species-notes": "<p></p>", "FlowCytIntra-species-checked": "testedAndGuaranteed", "FlowCytIntra-species-dilution-info": "1/110", "FlowCytIntra-species-notes": "<p><a href='/en-us/products/primary-antibodies/rabbit-igg-monoclonal-epr25a-isotype-control-ab172730'>ab172730</a> - Rabbit monoclonal IgG, is suitable for use as an isotype control with this antibody.</p>", "IHCP-species-checked": "testedAndGuaranteed", "IHCP-species-dilution-info": "1/50 - 1/100", "IHCP-species-notes": "<p></p> Perform heat-mediated antigen retrieval with Tris/EDTA buffer pH 9.0 before commencing with IHC staining protocol." }, "Mouse": { "IP-species-checked": "predicted", "IP-species-dilution-info": "", "IP-species-notes": "", "WB-species-checked": "predicted", "WB-species-dilution-info": "", "WB-species-notes": "", "ICCIF-species-checked": "predicted", "ICCIF-species-dilution-info": "", "ICCIF-species-notes": "", "FlowCytIntra-species-checked": "predicted", "FlowCytIntra-species-dilution-info": "", "FlowCytIntra-species-notes": "", "IHCP-species-checked": "predicted", "IHCP-species-dilution-info": "", "IHCP-species-notes": "" }, "Rat": { "IP-species-checked": "predicted", "IP-species-dilution-info": "", "IP-species-notes": "", "WB-species-checked": "predicted", "WB-species-dilution-info": "", "WB-species-notes": "", "ICCIF-species-checked": "predicted", "ICCIF-species-dilution-info": "", "ICCIF-species-notes": "", "FlowCytIntra-species-checked": "predicted", "FlowCytIntra-species-dilution-info": "", "FlowCytIntra-species-notes": "", "IHCP-species-checked": "predicted", "IHCP-species-dilution-info": "", "IHCP-species-notes": "" } } }

Product details

Patented technology
Our RabMAb® technology is a patented hybridoma-based technology for making rabbit monoclonal antibodies. For details on our patents, please refer to RabMAb® patents.

What are the advantages of a recombinant monoclonal antibody?
This product is a recombinant monoclonal antibody, which offers several advantages including:

  • - High batch-to-batch consistency and reproducibility
  • - Improved sensitivity and specificity
  • - Long-term security of supply
  • - Animal-free batch production

For more information, read more on recombinant antibodies.

Properties and storage information

Form
Liquid
Purification technique
Affinity purification Protein A
Storage buffer
pH: 7.2 - 7.4 Preservative: 0.01% Sodium azide Constituents: PBS, 40% Glycerol (glycerin, glycerine), 0.05% BSA
Shipped at conditions
Blue Ice
Appropriate short-term storage duration
1-2 weeks
Appropriate short-term storage conditions
+4°C
Appropriate long-term storage conditions
-20°C
Aliquoting information
Upon delivery aliquot
Storage information
Avoid freeze / thaw cycle

Supplementary information

This supplementary information is collated from multiple sources and compiled automatically.

PCBP2 also known as hnRNP E2 is a poly(C) binding protein with a molecular weight of approximately 38 kDa. It binds to single-stranded poly(C) sequences in RNA molecules. PCBP2 is widely expressed in various tissues where it modulates pre-mRNA splicing RNA stability and translation. It functions as part of ribonucleoprotein complexes and is known for its role in regulating mRNA transport and localization within the cell.
Biological function summary

A significant function of PCBP2 involves the maintenance of mRNA stability particularly for certain growth factor and cytokine mRNAs. PCBP2 is part of the ribonucleosome complex supporting various cellular processes by regulating the turnover of target mRNAs. Through these actions it helps control cellular proliferation and immune responses. PCBP2 collaborates with several other proteins influencing cellular adaptation to stress and changes in the environment.

Pathways

PCBP2 plays key roles in the Wnt signaling and Toll-like receptor pathways. In the Wnt signaling pathway its interaction with mRNA targets such as beta-catenin is significant for cellular communication processes. In the Toll-like receptor pathway it works alongside proteins like MyD88 modulating innate immune responses to pathogens. PCBP2's participation in these pathways highlights its versatility and influence on cellular and systemic communication networks.

Researchers have linked PCBP2 to cancer particularly due to its involvement with oncogene regulation. Disruptions in the expression of PCBP2 can affect cell cycle control contributing to tumorigenesis. PCBP2 also connects with amyotrophic lateral sclerosis (ALS) through its interaction with proteins like TDP-43 which are critical in neurodegenerative disease pathways. Understanding PCBP2's function and its connections to these conditions remains important for developing therapeutic strategies.

Product protocols

For this product, it's our understanding that no specific protocols are required. You can visit:

Target data

Single-stranded nucleic acid binding protein that binds preferentially to oligo dC (PubMed : 12414943, PubMed : 7607214). Major cellular poly(rC)-binding protein (PubMed : 12414943). Binds also poly(rU) (PubMed : 12414943). Acts as a negative regulator of antiviral signaling (PubMed : 19881509, PubMed : 35322803). Negatively regulates cellular antiviral responses mediated by MAVS signaling (PubMed : 19881509). It acts as an adapter between MAVS and the E3 ubiquitin ligase ITCH, therefore triggering MAVS ubiquitination and degradation (PubMed : 19881509). Negativeley regulates the cGAS-STING pathway via interaction with CGAS, preventing the formation of liquid-like droplets in which CGAS is activated (PubMed : 35322803). Together with PCBP1, required for erythropoiesis, possibly by regulating mRNA splicing (By similarity).. (Microbial infection) In case of infection by poliovirus, binds to the viral internal ribosome entry site (IRES) and stimulates the IRES-mediated translation (PubMed : 12414943, PubMed : 24371074). Also plays a role in initiation of viral RNA replication in concert with the viral protein 3CD (PubMed : 12414943).
See full target information PCBP2

Publications (11)

Recent publications for all applications. Explore the full list and refine your search

Journal of nanobiotechnology 22:800 PubMed39731111

2024

Role of PCBP2 in regulating nanovesicles loaded with curcumin to mitigate neuroferroptosis in neural damage caused by heat stroke.

Applications

Unspecified application

Species

Unspecified reactive species

Fei Guo,Yizhan Wu,Guangjun Wang,Jiangwei Liu

Journal of nanobiotechnology 22:559 PubMed39267043

2024

Curcumin nanoparticles in heat stroke management.

Applications

Unspecified application

Species

Unspecified reactive species

Fei Guo,Yizhan Wu,Jiangwei Liu

Cellular and molecular life sciences : CMLS 81:336 PubMed39120751

2024

Overexpression of long noncoding RNA DUXAP8 inhibits ER-phagy through activating AKT/mTOR signaling and contributes to preeclampsia.

Applications

Unspecified application

Species

Unspecified reactive species

Xiao-Hong Wei,Ling-Yun Liao,Yang-Xue Yin,Qin Xu,Shuang-Shuang Xie,Min Liu,Lin-Bo Gao,Hong-Qin Chen,Rong Zhou

Journal of nanobiotechnology 22:298 PubMed38811968

2024

Exosome-derived circUPF2 enhances resistance to targeted therapy by redeploying ferroptosis sensitivity in hepatocellular carcinoma.

Applications

Unspecified application

Species

Unspecified reactive species

Feng-Lin Dong,Zong-Zhen Xu,Ying-Qiao Wang,Tao Li,Xin Wang,Jie Li

RNA biology 18:612-622 PubMed34904931

2021

Poly C Binding Protein 2 dependent nuclear retention of the utrophin-A mRNA in C2C12 cells.

Applications

Unspecified application

Species

Unspecified reactive species

Gargi Ghosh,Satyabrata Samui,Santanu Das,Vandana Singh,Doel Pal,Subhanwita Das,Jishu Naskar,Soumya Sinha Roy,Utpal Basu

Journal of translational medicine 19:492 PubMed34861864

2021

CircSERPINA3 regulates SERPINA3-mediated apoptosis, autophagy and aerobic glycolysis of prostate cancer cells by competitively binding to MiR-653-5p and recruiting BUD13.

Applications

Unspecified application

Species

Unspecified reactive species

Zengshu Xing,Sailian Li,Zhenxiang Liu,Chong Zhang,Zhiming Bai

Cell death & disease 12:42 PubMed33414446

2021

TRIB2 modulates proteasome function to reduce ubiquitin stability and protect liver cancer cells against oxidative stress.

Applications

Unspecified application

Species

Unspecified reactive species

Susu Guo,Yuxin Chen,Yueyue Yang,Xiao Zhang,Lifang Ma,Xiangfei Xue,Yongxia Qiao,Jiayi Wang

Biochimica et biophysica acta. Molecular basis of 1866:165844 PubMed32480040

2020

Acireductone dioxygenase 1 (ADI1) is regulated by cellular iron by a mechanism involving the iron chaperone, PCBP1, with PCBP2 acting as a potential co-chaperone.

Applications

Unspecified application

Species

Unspecified reactive species

Dong-Hun Bae,Darius J R Lane,Aritee R Siafakas,Robert Sutak,Jasmina Paluncic,Michael L H Huang,Patric J Jansson,Yohan Suryo Rahmanto,Des R Richardson

Cell death & disease 10:644 PubMed31501420

2019

CCT3 acts upstream of YAP and TFCP2 as a potential target and tumour biomarker in liver cancer.

Applications

Unspecified application

Species

Unspecified reactive species

Ya Liu,Xiao Zhang,Jiafei Lin,Yuxin Chen,Yongxia Qiao,Susu Guo,Yueyue Yang,Guoqing Zhu,Qiuhui Pan,Jiayi Wang,Fenyong Sun

Nature communications 10:2071 PubMed31061501

2019

The transcription factor CBFB suppresses breast cancer through orchestrating translation and transcription.

Applications

Unspecified application

Species

Unspecified reactive species

Navdeep Malik,Hualong Yan,Nellie Moshkovich,Murali Palangat,Howard Yang,Vanesa Sanchez,Zhuo Cai,Tyler J Peat,Shunlin Jiang,Chengyu Liu,Maxwell Lee,Beverly A Mock,Stuart H Yuspa,Daniel Larson,Lalage M Wakefield,Jing Huang
View all publications

Product promise

We are committed to supporting your work with high-quality reagents, and we're here for you every step of the way. In the unlikely event that one of our products does not perform as expected, you're protected by our Product Promise.
For full details, please see our Terms & Conditions

Please note: All products are 'FOR RESEARCH USE ONLY. NOT FOR USE IN DIAGNOSTIC OR THERAPEUTIC PROCEDURES'.

For licensing inquiries, please contact partnerships@abcam.com