JavaScript is disabled in your browser. Please enable JavaScript to view this website.
AB236137

Anti-PCBP2/hnRNP E2 antibody [EPR14858] - BSA and Azide free

Be the first to review this product! Submit a review

|

(2 Publications)

Rabbit Recombinant Monoclonal PCBP2/hnRNP E2 antibody. Carrier free. Suitable for IP, WB, ICC/IF, Flow Cyt (Intra), IHC-P and reacts with Human samples. Cited in 2 publications.

View Alternative Names

Poly(rC)-binding protein 2, Alpha-CP2, Heterogeneous nuclear ribonucleoprotein E2, hnRNP E2, PCBP2

5 Images
Immunohistochemistry (Formalin/PFA-fixed paraffin-embedded sections) - Anti-PCBP2/hnRNP E2 antibody [EPR14858] - BSA and Azide free (AB236137)
  • IHC-P

Supplier Data

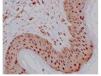
Immunohistochemistry (Formalin/PFA-fixed paraffin-embedded sections) - Anti-PCBP2/hnRNP E2 antibody [EPR14858] - BSA and Azide free (AB236137)

Immunohistochemical analysis of paraffin-embedded human skin tissue labeling PCBP2/hnRNP E2 with ab184962 at 1/100 dilution followed by pre-diluted HRP-conjugated secondary antibody and counter-stained with Hematoxylin.

This data was developed using the same antibody clone in a different buffer formulation containing PBS, BSA, glycerol, and sodium azide (ab184962).

Perform heat mediated antigen retrieval with EDTA buffer pH 9 before commencing with IHC staining protocol.

Flow Cytometry (Intracellular) - Anti-PCBP2/hnRNP E2 antibody [EPR14858] - BSA and Azide free (AB236137)
  • Flow Cyt (Intra)

Supplier Data

Flow Cytometry (Intracellular) - Anti-PCBP2/hnRNP E2 antibody [EPR14858] - BSA and Azide free (AB236137)

Intracellular flow cytometric anlaysis of HeLa cells (2% paraformaldehyde-fixed) labeling PCBP2/hnRNP E2 with ab184962 at 1/110 dilution (red) or a rabbit IgG (negative) (green), followed by Goat anti rabbit IgG (FITC) secondary at 1/150 dilution.

This data was developed using the same antibody clone in a different buffer formulation containing PBS, BSA, glycerol, and sodium azide (ab184962).

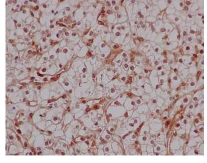
Immunohistochemistry (Formalin/PFA-fixed paraffin-embedded sections) - Anti-PCBP2/hnRNP E2 antibody [EPR14858] - BSA and Azide free (AB236137)
  • IHC-P

Supplier Data

Immunohistochemistry (Formalin/PFA-fixed paraffin-embedded sections) - Anti-PCBP2/hnRNP E2 antibody [EPR14858] - BSA and Azide free (AB236137)

Immunohistochemical analysis of paraffin-embedded Human clear cell carcinoma of kidney tissue labeling PCBP2/hnRNP E2 with ab184962 at 1/100 dilution followed by pre-diluted HRP-conjugated secondary antibody and counter-stained with Hematoxylin.

This data was developed using the same antibody clone in a different buffer formulation containing PBS, BSA, glycerol, and sodium azide (ab184962).

Perform heat mediated antigen retrieval with EDTA buffer pH 9 before commencing with IHC staining protocol.

Immunocytochemistry/ Immunofluorescence - Anti-PCBP2/hnRNP E2 antibody [EPR14858] - BSA and Azide free (AB236137)
  • ICC/IF

Supplier Data

Immunocytochemistry/ Immunofluorescence - Anti-PCBP2/hnRNP E2 antibody [EPR14858] - BSA and Azide free (AB236137)

Immunofluorescent analysis of HeLa cells (-20°C Acetone-fixed) labeling PCBP2/hnRNP E2 with ab184962 at 1/250 dilution (red) followed by Goat anti rabbit IgG (Alexa Fluor®555) secondary at 1/200 dilution and counter-stained with DAPI (blue).

This data was developed using the same antibody clone in a different buffer formulation containing PBS, BSA, glycerol, and sodium azide (ab184962).

Immunoprecipitation - Anti-PCBP2/hnRNP E2 antibody [EPR14858] - BSA and Azide free (AB236137)
  • IP

Supplier Data

Immunoprecipitation - Anti-PCBP2/hnRNP E2 antibody [EPR14858] - BSA and Azide free (AB236137)

Immunoprecipitation analysis of HeLa lysates labeling PCBP2/hnRNP E2 with ab18492 at 1/50 dilution (Lane 1) and PBS (Lane 2). Anti-Rabbit IgG (HRP), specific to the non-reduced form of IgG used as secondary antibody.

This data was developed using the same antibody clone in a different buffer formulation containing PBS, BSA, glycerol, and sodium azide (ab184962).

All lanes:

Immunoprecipitation - Anti-PCBP2/hnRNP E2 antibody [EPR14858] (<a href='/en-us/products/primary-antibodies/pcbp2-hnrnp-e2-antibody-epr14858-ab184962'>ab184962</a>)

Predicted band size: 39 kDa

false

  • Unconjugated

    Anti-PCBP2/hnRNP E2 antibody [EPR14858]

  • 775 Alexa Fluor® 750

    Alexa Fluor® 750 Anti-PCBP2/hnRNP E2 antibody [EPR14858]

  • 578 PE

    PE Anti-PCBP2/hnRNP E2 antibody [EPR14858]

  • 660 APC

    APC Anti-PCBP2/hnRNP E2 antibody [EPR14858]

  • HRP

    HRP Anti-PCBP2/hnRNP E2 antibody [EPR14858]

  • 519 Alexa Fluor® 488

    Alexa Fluor® 488 Anti-PCBP2/hnRNP E2 antibody [EPR14858]

  • 665 Alexa Fluor® 647

    Alexa Fluor® 647 Anti-PCBP2/hnRNP E2 antibody [EPR14858]

  • 617 Alexa Fluor® 594

    Alexa Fluor® 594 Anti-PCBP2/hnRNP E2 antibody [EPR14858]

  • 565 Alexa Fluor® 555

    Alexa Fluor® 555 Anti-PCBP2/hnRNP E2 antibody [EPR14858]

  • 603 Alexa Fluor® 568

    Alexa Fluor® 568 Anti-PCBP2/hnRNP E2 antibody [EPR14858]

Key facts

Host species

Rabbit

Clonality

Monoclonal

Clone number

EPR14858

Isotype

IgG

Carrier free

Yes

Reacts with

Human

Applications

ICC/IF, Flow Cyt (Intra), IHC-P, WB, IP

applications

Immunogen

The exact immunogen used to generate this antibody is proprietary information.

Reactivity data

{ "title": "Reactivity Data", "filters": { "stats": ["", "Species", "Dilution Info", "Notes"], "tabs": { "all-applications": {"fullname" : "All Applications", "shortname": "All Applications"}, "IP" : {"fullname" : "Immunoprecipitation", "shortname":"IP"}, "WB" : {"fullname" : "Western blot", "shortname":"WB"}, "ICCIF" : {"fullname" : "Immunocytochemistry/ Immunofluorescence", "shortname":"ICC/IF"}, "FlowCytIntra" : {"fullname" : "Flow Cytometry (Intracellular)", "shortname":"Flow Cyt (Intra)"}, "IHCP" : {"fullname" : "Immunohistochemistry (Formalin/PFA-fixed paraffin-embedded sections)", "shortname":"IHC-P"} }, "product-promise": { "all": "all", "testedAndGuaranteed": "tested", "guaranteed": "expected", "predicted": "predicted", "notRecommended": "not-recommended" } }, "values": { "Human": { "IP-species-checked": "testedAndGuaranteed", "IP-species-dilution-info": "", "IP-species-notes": "<p></p>", "WB-species-checked": "guaranteed", "WB-species-dilution-info": "", "WB-species-notes": "<p></p>", "ICCIF-species-checked": "testedAndGuaranteed", "ICCIF-species-dilution-info": "", "ICCIF-species-notes": "<p></p>", "FlowCytIntra-species-checked": "testedAndGuaranteed", "FlowCytIntra-species-dilution-info": "", "FlowCytIntra-species-notes": "<p><a href='/en-us/products/primary-antibodies/rabbit-igg-monoclonal-epr25a-isotype-control-ab172730'>ab172730</a> - Rabbit monoclonal IgG, is suitable for use as an isotype control with this antibody.</p>", "IHCP-species-checked": "testedAndGuaranteed", "IHCP-species-dilution-info": "", "IHCP-species-notes": "<p></p>" }, "Mouse": { "IP-species-checked": "predicted", "IP-species-dilution-info": "", "IP-species-notes": "", "WB-species-checked": "predicted", "WB-species-dilution-info": "", "WB-species-notes": "", "ICCIF-species-checked": "predicted", "ICCIF-species-dilution-info": "", "ICCIF-species-notes": "", "FlowCytIntra-species-checked": "predicted", "FlowCytIntra-species-dilution-info": "", "FlowCytIntra-species-notes": "", "IHCP-species-checked": "predicted", "IHCP-species-dilution-info": "", "IHCP-species-notes": "" }, "Rat": { "IP-species-checked": "predicted", "IP-species-dilution-info": "", "IP-species-notes": "", "WB-species-checked": "predicted", "WB-species-dilution-info": "", "WB-species-notes": "", "ICCIF-species-checked": "predicted", "ICCIF-species-dilution-info": "", "ICCIF-species-notes": "", "FlowCytIntra-species-checked": "predicted", "FlowCytIntra-species-dilution-info": "", "FlowCytIntra-species-notes": "", "IHCP-species-checked": "predicted", "IHCP-species-dilution-info": "", "IHCP-species-notes": "" } } }

Product details

ab236137 is the carrier-free version of ab184962.

Patented technology
Our RabMAb® technology is a patented hybridoma-based technology for making rabbit monoclonal antibodies. For details on our patents, please refer to RabMAb® patents.

What are the advantages of a recombinant monoclonal antibody?
This product is a recombinant monoclonal antibody, which offers several advantages including:

  • - High batch-to-batch consistency and reproducibility
  • - Improved sensitivity and specificity
  • - Long-term security of supply
  • - Animal-free batch production

For more information, read more on recombinant antibodies.

Conjugation ready
Our carrier-free antibodies are typically supplied in a PBS-only formulation, purified and free of BSA, sodium azide and glycerol. This conjugation-ready format is designed for use with fluorochromes, metal isotopes, oligonucleotides, and enzymes, which makes them ideal for antibody labelling, functional and cell-based assays, flow-based assays (e.g. mass cytometry) and Multiplex Imaging applications.

Use our conjugation kits for antibody conjugates that are ready-to-use in as little as 20 minutes with 1 minute hands-on-time and 100% antibody recovery: available for fluorescent dyes, HRP, biotin and gold.

Compatibility
This product is compatible with the Maxpar® Antibody Labeling Kit from Fluidigm, without the need for antibody preparation. Maxpar® is a trademark of Fluidigm Canada Inc.

Properties and storage information

Form
Liquid
Purification technique
Affinity purification Protein A
Storage buffer
pH: 7.2 - 7.4 Constituents: PBS
Shipped at conditions
Blue Ice
Appropriate short-term storage conditions
+4°C
Appropriate long-term storage conditions
+4°C
Storage information
Do Not Freeze

Supplementary information

This supplementary information is collated from multiple sources and compiled automatically.

PCBP2 also known as hnRNP E2 is a poly(C) binding protein with a molecular weight of approximately 38 kDa. It binds to single-stranded poly(C) sequences in RNA molecules. PCBP2 is widely expressed in various tissues where it modulates pre-mRNA splicing RNA stability and translation. It functions as part of ribonucleoprotein complexes and is known for its role in regulating mRNA transport and localization within the cell.
Biological function summary

A significant function of PCBP2 involves the maintenance of mRNA stability particularly for certain growth factor and cytokine mRNAs. PCBP2 is part of the ribonucleosome complex supporting various cellular processes by regulating the turnover of target mRNAs. Through these actions it helps control cellular proliferation and immune responses. PCBP2 collaborates with several other proteins influencing cellular adaptation to stress and changes in the environment.

Pathways

PCBP2 plays key roles in the Wnt signaling and Toll-like receptor pathways. In the Wnt signaling pathway its interaction with mRNA targets such as beta-catenin is significant for cellular communication processes. In the Toll-like receptor pathway it works alongside proteins like MyD88 modulating innate immune responses to pathogens. PCBP2's participation in these pathways highlights its versatility and influence on cellular and systemic communication networks.

Researchers have linked PCBP2 to cancer particularly due to its involvement with oncogene regulation. Disruptions in the expression of PCBP2 can affect cell cycle control contributing to tumorigenesis. PCBP2 also connects with amyotrophic lateral sclerosis (ALS) through its interaction with proteins like TDP-43 which are critical in neurodegenerative disease pathways. Understanding PCBP2's function and its connections to these conditions remains important for developing therapeutic strategies.

Product protocols

For this product, it's our understanding that no specific protocols are required. You can visit:

Target data

Single-stranded nucleic acid binding protein that binds preferentially to oligo dC (PubMed : 12414943, PubMed : 7607214). Major cellular poly(rC)-binding protein (PubMed : 12414943). Binds also poly(rU) (PubMed : 12414943). Acts as a negative regulator of antiviral signaling (PubMed : 19881509, PubMed : 35322803). Negatively regulates cellular antiviral responses mediated by MAVS signaling (PubMed : 19881509). It acts as an adapter between MAVS and the E3 ubiquitin ligase ITCH, therefore triggering MAVS ubiquitination and degradation (PubMed : 19881509). Negativeley regulates the cGAS-STING pathway via interaction with CGAS, preventing the formation of liquid-like droplets in which CGAS is activated (PubMed : 35322803). Together with PCBP1, required for erythropoiesis, possibly by regulating mRNA splicing (By similarity).. (Microbial infection) In case of infection by poliovirus, binds to the viral internal ribosome entry site (IRES) and stimulates the IRES-mediated translation (PubMed : 12414943, PubMed : 24371074). Also plays a role in initiation of viral RNA replication in concert with the viral protein 3CD (PubMed : 12414943).
See full target information PCBP2

Publications (2)

Recent publications for all applications. Explore the full list and refine your search

Open life sciences 20:20221016 PubMed40059873

2025

SIK1 inhibits IL-1β-stimulated cartilage apoptosis and inflammation through the CRTC2/CREB1 signaling.

Applications

Unspecified application

Species

Unspecified reactive species

Mangmang Chen,Luyou Ye,Shenglei Lin

eLife 9: PubMed32163370

2020

ATR expands embryonic stem cell fate potential in response to replication stress.

Applications

Unspecified application

Species

Unspecified reactive species

Sina Atashpaz,Sara Samadi Shams,Javier Martin Gonzalez,Endre Sebestyén,Negar Arghavanifard,Andrea Gnocchi,Eliene Albers,Simone Minardi,Giovanni Faga,Paolo Soffientini,Elisa Allievi,Valeria Cancila,Angela Bachi,Óscar Fernández-Capetillo,Claudio Tripodo,Francesco Ferrari,Andrés Joaquin López-Contreras,Vincenzo Costanzo
View all publications

Product promise

We are committed to supporting your work with high-quality reagents, and we're here for you every step of the way. In the unlikely event that one of our products does not perform as expected, you're protected by our Product Promise.
For full details, please see our Terms & Conditions

Please note: All products are 'FOR RESEARCH USE ONLY. NOT FOR USE IN DIAGNOSTIC OR THERAPEUTIC PROCEDURES'.

For licensing inquiries, please contact partnerships@abcam.com