JavaScript is disabled in your browser. Please enable JavaScript to view this website.
AB222819

Anti-PCF11 antibody

Be the first to review this product! Submit a review

|

(1 Publication)

Rabbit Polyclonal PCF11 antibody. Suitable for IHC-P and reacts with Human samples. Cited in 1 publication. Immunogen corresponding to Recombinant Fragment Protein within Human PCF11 aa 400-650.

View Alternative Names

KIAA0824, PCF11, Pre-mRNA cleavage complex 2 protein Pcf11, Pre-mRNA cleavage complex II protein Pcf11

2 Images
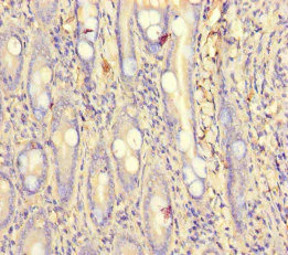
Immunohistochemistry (Formalin/PFA-fixed paraffin-embedded sections) - Anti-PCF11 antibody (AB222819)
  • IHC-P

Supplier Data

Immunohistochemistry (Formalin/PFA-fixed paraffin-embedded sections) - Anti-PCF11 antibody (AB222819)

Paraffin-embedded human colon cancer tissue stained for PCF11 using ab222819 at 1/100 dilution in immunohistochemical analysis.

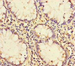
Immunohistochemistry (Formalin/PFA-fixed paraffin-embedded sections) - Anti-PCF11 antibody (AB222819)
  • IHC-P

Supplier Data

Immunohistochemistry (Formalin/PFA-fixed paraffin-embedded sections) - Anti-PCF11 antibody (AB222819)

Paraffin-embedded human small intestine tissue stained for PCF11 using ab222819 at 1/100 dilution in immunohistochemical analysis.

Key facts

Host species

Rabbit

Clonality

Polyclonal

Isotype

IgG

Carrier free

No

Reacts with

Human

Applications

IHC-P

applications

Immunogen

Recombinant Fragment Protein within Human PCF11 aa 400-650. The exact immunogen used to generate this antibody is proprietary information.

O94913

Reactivity data

{ "title": "Reactivity Data", "filters": { "stats": ["", "Species", "Dilution Info", "Notes"], "tabs": { "all-applications": {"fullname" : "All Applications", "shortname": "All Applications"}, "IHCP" : {"fullname" : "Immunohistochemistry (Formalin/PFA-fixed paraffin-embedded sections)", "shortname":"IHC-P"} }, "product-promise": { "all": "all", "testedAndGuaranteed": "tested", "guaranteed": "expected", "predicted": "predicted", "notRecommended": "not-recommended" } }, "values": { "Human": { "IHCP-species-checked": "testedAndGuaranteed", "IHCP-species-dilution-info": "1/20 - 1/200", "IHCP-species-notes": "<p></p>" } } }

Properties and storage information

Form
Liquid
Purification technique
Affinity purification Protein G
Storage buffer
pH: 7.4 Preservative: 0.03% Proclin 300 Constituents: PBS, 50% Glycerol (glycerin, glycerine)
Shipped at conditions
Blue Ice
Appropriate short-term storage duration
1-2 weeks
Appropriate short-term storage conditions
+4°C
Appropriate long-term storage conditions
-20°C
Aliquoting information
Upon delivery aliquot
Storage information
Avoid freeze / thaw cycle

Supplementary information

This supplementary information is collated from multiple sources and compiled automatically.

The protein PCF11 occasionally referred to as "Polypeptide Cleavage Factor 1" is an essential player in the transcription termination process. This protein serves as a component of the cleavage and polyadenylation specificity factor complex enabling the final stages of pre-mRNA synthesis. PCF11 has a molecular mass of approximately 63 kDa and is highly expressed in the nucleus where transcription occurs. It is found in many types of tissues indicating its wide-ranging roles in cellular biology.
Biological function summary

PCF11 influences the even regulation of gene expression by aiding in the removal of RNA polymerase II from DNA which helps in the proper conclusion of transcription. It works as part of a larger complex partnering with other factors to ensure that mRNA is properly released and processed which is important for functional mRNA maturation. These actions highlight its importance in RNA metabolism and stability.

Pathways

PCF11 is intricately involved in the transcriptional regulation pathway especially influencing the maturation of mRNA through interactions with RNA polymerase II. It closely coordinates its activities with proteins such as CTD phosphatase and SCAF8 directing the proper progression and termination of transcription. Additionally its involvement in RNA processing links it to the spliceosome-mediated mRNA decay pathway ensuring accurate gene expression control.

Mutations and disruptions in PCF11 expression are linked to neurological disorders and various carcinomas. PCF11 anomalies can lead to defective RNA metabolism affecting neural development and cancer proliferation. In cancer it has connections with overexpressed proteins such as MYC which promotes malignant growth through misregulated transcription termination similarly impacting neurological health when dysregulated.

Product protocols

For this product, it's our understanding that no specific protocols are required. You can visit:

Target data

Component of pre-mRNA cleavage complex II, which promotes transcription termination by RNA polymerase II.
See full target information PCF11

Publications (1)

Recent publications for all applications. Explore the full list and refine your search

Scientific reports 14:27448 PubMed39523403

2024

Assessing expression patterns of PTGR1, a potential biomarker for acylfulven sensitivity in urothelial carcinoma.

Applications

Unspecified application

Species

Unspecified reactive species

Dag Rune Stormoen,Signe Lehn,Kent W Mouw,Zoltan Szallasi,Linea Cecilie Melchior,Line Hammer Dohn,Judit Börcsok,Maria Rossing,Birgitte Grønkaer Toft,Helle Pappot
View all publications

Product promise

We are committed to supporting your work with high-quality reagents, and we're here for you every step of the way. In the unlikely event that one of our products does not perform as expected, you're protected by our Product Promise.
For full details, please see our Terms & Conditions

Please note: All products are 'FOR RESEARCH USE ONLY. NOT FOR USE IN DIAGNOSTIC OR THERAPEUTIC PROCEDURES'.

For licensing inquiries, please contact partnerships@abcam.com