JavaScript is disabled in your browser. Please enable JavaScript to view this website.
AB194556

Anti-PCGF1 antibody

Be the first to review this product! Submit a review

|

(0 Publication)

Mouse Polyclonal PCGF1 antibody. Suitable for WB and reacts with Recombinant fragment - Human, Human samples. Immunogen corresponding to Recombinant Fragment Protein within Human PCGF1 aa 100-200.

View Alternative Names

NSPC1, RNF68, PCGF1, Polycomb group RING finger protein 1, Nervous system Polycomb-1, RING finger protein 68, NSPc1

2 Images
Western blot - Anti-PCGF1 antibody (AB194556)
  • WB

Supplier Data

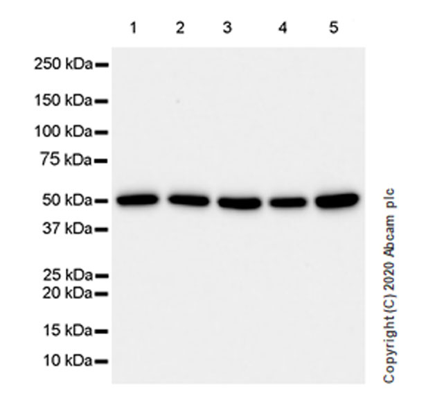
Western blot - Anti-PCGF1 antibody (AB194556)

Predicted MWt of immunogen is 35.24 kDa.

All lanes:

Western blot - Anti-PCGF1 antibody (ab194556) at 1/1000 dilution

All lanes:

recombinant immunogen at 0.2 µg

Predicted band size: 30 kDa

false

Western blot - Anti-PCGF1 antibody (AB194556)
  • WB

Supplier Data

Western blot - Anti-PCGF1 antibody (AB194556)

All lanes:

Western blot - Anti-PCGF1 antibody (ab194556) at 1/500 dilution

All lanes:

Daoy cell lysate at 50 µg

Predicted band size: 30 kDa

false

Key facts

Host species

Mouse

Clonality

Polyclonal

Isotype

IgG

Carrier free

No

Reacts with

Human

Applications

WB

applications

Immunogen

Recombinant Fragment Protein within Human PCGF1 aa 100-200. The exact immunogen used to generate this antibody is proprietary information.

Q9BSM1

Reactivity data

{ "title": "Reactivity Data", "filters": { "stats": ["", "Species", "Dilution Info", "Notes"], "tabs": { "all-applications": {"fullname" : "All Applications", "shortname": "All Applications"}, "WB" : {"fullname" : "Western blot", "shortname":"WB"} }, "product-promise": { "all": "all", "testedAndGuaranteed": "tested", "guaranteed": "expected", "predicted": "predicted", "notRecommended": "not-recommended" } }, "values": { "Human": { "WB-species-checked": "testedAndGuaranteed", "WB-species-dilution-info": "1/500 - 1/2500", "WB-species-notes": "<p></p>" }, "Mouse": { "WB-species-checked": "predicted", "WB-species-dilution-info": "", "WB-species-notes": "" }, "Cow": { "WB-species-checked": "predicted", "WB-species-dilution-info": "", "WB-species-notes": "" }, "Recombinant fragment - Human": { "WB-species-checked": "testedAndGuaranteed", "WB-species-dilution-info": "1/500 - 1/2500", "WB-species-notes": "<p></p>" } } }

Properties and storage information

Form
Liquid
Purity
Whole antiserum
Storage buffer
Constituents: 50% Glycerol (glycerin, glycerine)
Shipped at conditions
Blue Ice
Appropriate short-term storage duration
1-2 weeks
Appropriate short-term storage conditions
+4°C
Appropriate long-term storage conditions
-20°C
Aliquoting information
Upon delivery aliquot
Storage information
Avoid freeze / thaw cycle

Supplementary information

This supplementary information is collated from multiple sources and compiled automatically.

PCGF1 also known as Polycomb group RING finger protein 1 is a component of the Polycomb Group (PcG) proteins. It has a mass of approximately 36 kDa. This protein functions mechanically as part of the Polycomb Repressive Complex 1 (PRC1) where it plays a role in chromatin modification and gene silencing. PCGF1 is expressed in various tissues including embryonic stem cells and can affect cellular differentiation and proliferation through epigenetic regulation.
Biological function summary

PCGF1 serves as a regulatory factor within the Polycomb Repressive Complex 1 which is involved in maintaining the transcriptionally repressive state of many genes through histone modifications. PCGF1 assists in the ubiquitination of histone H2A an essential modification for chromatin conformation that leads to transcriptional repression. Through this modification PCGF1 contributes to the control of gene networks necessary for development and cellular identity.

Pathways

PCGF1 is a part of the Polycomb Repressive Complex 1 pathway and contributes to the intricate network of gene expression regulation. The complex participates in the Wnt signaling pathway which plays a critical role in embryonic development and cell growth. Through its participation in these pathways PCGF1 interacts with other proteins like BMI1 and RING1 which help in establishing transcriptional repression important for proper cellular function.

Alterations in PCGF1 have been linked to certain cancers and neurological disorders. Dysregulation of PCGF1 expression or function can lead to aberrant cell proliferation contributing to oncogenesis in cancers such as leukemia. Moreover defects in the PcG pathway involving PCGF1 are associated with neurodevelopmental disorders where altered expression patterns of target genes disrupt normal neural function. These conditions highlight the connections between PCGF1 and proteins like EED and SUZ12 which also play roles in the regulation of gene expression and are implicated in similar disease processes.

Product protocols

For this product, it's our understanding that no specific protocols are required. You can visit:

Target data

Component of the Polycomb group (PcG) multiprotein BCOR complex, a complex required to maintain the transcriptionally repressive state of some genes, such as BCL6 and the cyclin-dependent kinase inhibitor, CDKN1A. Transcriptional repressor that may be targeted to the DNA by BCL6; this transcription repressor activity may be related to PKC signaling pathway. Represses CDKN1A expression by binding to its promoter, and this repression is dependent on the retinoic acid response element (RARE element). Promotes cell cycle progression and enhances cell proliferation as well. May have a positive role in tumor cell growth by down-regulating CDKN1A. Component of a Polycomb group (PcG) multiprotein PRC1-like complex, a complex class required to maintain the transcriptionally repressive state of many genes, including Hox genes, throughout development. PcG PRC1 complex acts via chromatin remodeling and modification of histones; it mediates monoubiquitination of histone H2A 'Lys-119', rendering chromatin heritably changed in its expressibility (PubMed : 26151332). Within the PRC1-like complex, regulates RNF2 ubiquitin ligase activity (PubMed : 26151332). Regulates the expression of DPPA4 and NANOG in the NT2 embryonic carcinoma cells (PubMed : 26687479).
See full target information PCGF1

Product promise

We are committed to supporting your work with high-quality reagents, and we're here for you every step of the way. In the unlikely event that one of our products does not perform as expected, you're protected by our Product Promise.
For full details, please see our Terms & Conditions

Please note: All products are 'FOR RESEARCH USE ONLY. NOT FOR USE IN DIAGNOSTIC OR THERAPEUTIC PROCEDURES'.

For licensing inquiries, please contact partnerships@abcam.com