JavaScript is disabled in your browser. Please enable JavaScript to view this website.
AB222922

Anti-PCGF3+PCGF5 antibody [EPR19475] - BSA and Azide free

Be the first to review this product! Submit a review

|

(1 Publication)

Rabbit Recombinant Monoclonal PCGF3 antibody. Carrier free. Suitable for WB and reacts with Rat, Human, Mouse samples. Cited in 1 publication.

View Alternative Names

RNF3, RNF3A, PCGF3, Polycomb group RING finger protein 3, RING finger protein 3A

3 Images
Western blot - Anti-PCGF3+PCGF5 antibody [EPR19475] - BSA and Azide free (AB222922)
  • WB

Collaborator

Western blot - Anti-PCGF3+PCGF5 antibody [EPR19475] - BSA and Azide free (AB222922)

This data was developed using the same antibody clone in a different buffer formulation containing PBS, BSA, glycerol, and sodium azide (ab222922).

Blocking buffer : 3% milk in PBST

Dilution buffer : 3% BSA in PBST.

Exposure time : 2-10 minutes.

All lanes:

Western blot - Anti-PCGF3+PCGF5 antibody [EPR19475] (<a href='/en-us/products/primary-antibodies/pcgf3pcgf5-antibody-epr19475-ab201510'>ab201510</a>) at 1/1000 dilution

Lane 1:

PCGF3 WT mouse embryonic stem cell lysate at 100 µg

Lane 2:

PCGF3 knockout mouse embryonic stem cell lysate at 100 µg

Lane 3:

PCGF3/PCGF5 knockout mouse embryonic stem cell lysate at 100 µg

Secondary

All lanes:

Goat anti-rabbit IgG-HRP at 1/2000 dilution

Predicted band size: 28 kDa

Observed band size: 28 kDa

false

The data is kindly provided by our collaborator Dr. Jinzhong Qin (Nanjing University).

Western blot - Anti-PCGF3+PCGF5 antibody [EPR19475] - BSA and Azide free (AB222922)
  • WB

Lab

Western blot - Anti-PCGF3+PCGF5 antibody [EPR19475] - BSA and Azide free (AB222922)

Blocking buffer and concentration : 5% NFDM/TBST Diluting buffer and concentration : 5% NFDM/TBST This data was developed using the same antibody clone in a different buffer formulation containing PBS, BSA, glycerol, and sodium azide (ab201510).

Lanes 1 - 3:

Western blot - Anti-PCGF3+PCGF5 antibody [EPR19475] - BSA and Azide free (ab222922) at 1/1000 dilution

Lanes 1 - 3:

Western blot - Anti-PCGF3+PCGF5 antibody [EPR19475] (<a href='/en-us/products/primary-antibodies/pcgf3pcgf5-antibody-epr19475-ab201510'>ab201510</a>) at 1/1000 dilution

Lane 1:

HepG2 (human hepatocellular carcinoma epithelial cell) whole cell lysate at 20 µg

Lane 2:

Raji (human Burkitt's lymphoma B lymphocyte) whole cell lysate at 20 µg

Lane 3:

293T (human embryonic kidney epithelial cell) whole cell lysate at 20 µg

Secondary

All lanes:

Western blot - Goat Anti-Rabbit IgG H&L (HRP) (<a href='/en-us/products/secondary-antibodies/goat-rabbit-igg-h-l-hrp-ab97051'>ab97051</a>) at 1/50000 dilution

Predicted band size: 30 kDa,28 kDa

Observed band size: 30 kDa,28 kDa

false

Exposure time: 3min

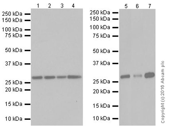
Western blot - Anti-PCGF3+PCGF5 antibody [EPR19475] - BSA and Azide free (AB222922)
  • WB

Lab

Western blot - Anti-PCGF3+PCGF5 antibody [EPR19475] - BSA and Azide free (AB222922)

Blocking buffer and concentration : 5% NFDM/TBST Diluting buffer and concentration : 5% NFDM/TBST This blot was developed using a higher sensitivity ECL substrate. This data was developed using the same antibody clone in a different buffer formulation containing PBS, BSA, glycerol, and sodium azide (ab201510).

Lanes 1 - 4:

Western blot - Anti-PCGF3+PCGF5 antibody [EPR19475] - BSA and Azide free (ab222922) at 1/1000 dilution

Lanes 1 - 4:

Western blot - Anti-PCGF3+PCGF5 antibody [EPR19475] (<a href='/en-us/products/primary-antibodies/pcgf3pcgf5-antibody-epr19475-ab201510'>ab201510</a>) at 1/1000 dilution

Lane 1:

C6 (rat glial tumor glial cell) whole cell lysate at 20 µg

Lane 2:

RAW264.7 (mouse Abelson murine leukemia virus-induced tumor macrophage) whole cell lysate at 20 µg

Lane 3:

PC-12 (rat adrenal gland pheochromocytoma) whole cell lysate at 20 µg

Lane 4:

NIH/3T3 (mouse embryonic fibroblast) whole cell lysate at 20 µg

Secondary

All lanes:

Western blot - Goat Anti-Rabbit IgG H&L (HRP) (<a href='/en-us/products/secondary-antibodies/goat-rabbit-igg-h-l-hrp-ab97051'>ab97051</a>) at 1/50000 dilution

Observed band size: 30 kDa,28 kDa

false

Exposure time: 3min

Key facts

Host species

Rabbit

Clonality

Monoclonal

Clone number

EPR19475

Isotype

IgG

Carrier free

Yes

Reacts with

Human, Rat, Mouse

Applications

WB

applications

Immunogen

The exact immunogen used to generate this antibody is proprietary information.

Reactivity data

{ "title": "Reactivity Data", "filters": { "stats": ["", "Species", "Dilution Info", "Notes"], "tabs": { "all-applications": {"fullname" : "All Applications", "shortname": "All Applications"}, "IP" : {"fullname" : "Immunoprecipitation", "shortname":"IP"}, "ICCIF" : {"fullname" : "Immunocytochemistry/ Immunofluorescence", "shortname":"ICC/IF"}, "IHCP" : {"fullname" : "Immunohistochemistry (Formalin/PFA-fixed paraffin-embedded sections)", "shortname":"IHC-P"}, "WB" : {"fullname" : "Western blot", "shortname":"WB"} }, "product-promise": { "all": "all", "testedAndGuaranteed": "tested", "guaranteed": "expected", "predicted": "predicted", "notRecommended": "not-recommended" } }, "values": { "Human": { "IP-species-checked": "notRecommended", "IP-species-dilution-info": "", "IP-species-notes": "<p></p>", "ICCIF-species-checked": "notRecommended", "ICCIF-species-dilution-info": "", "ICCIF-species-notes": "<p></p>", "IHCP-species-checked": "notRecommended", "IHCP-species-dilution-info": "", "IHCP-species-notes": "<p></p>", "WB-species-checked": "testedAndGuaranteed", "WB-species-dilution-info": "", "WB-species-notes": "<p></p>" }, "Mouse": { "IP-species-checked": "notRecommended", "IP-species-dilution-info": "", "IP-species-notes": "<p></p>", "ICCIF-species-checked": "notRecommended", "ICCIF-species-dilution-info": "", "ICCIF-species-notes": "<p></p>", "IHCP-species-checked": "notRecommended", "IHCP-species-dilution-info": "", "IHCP-species-notes": "<p></p>", "WB-species-checked": "testedAndGuaranteed", "WB-species-dilution-info": "", "WB-species-notes": "<p></p>" }, "Rat": { "IP-species-checked": "notRecommended", "IP-species-dilution-info": "", "IP-species-notes": "", "ICCIF-species-checked": "notRecommended", "ICCIF-species-dilution-info": "", "ICCIF-species-notes": "", "IHCP-species-checked": "notRecommended", "IHCP-species-dilution-info": "", "IHCP-species-notes": "<p></p>", "WB-species-checked": "testedAndGuaranteed", "WB-species-dilution-info": "", "WB-species-notes": "<p></p>" } } }

Product details

ab222922 is the carrier-free version of ab201510.

Patented technology
Our RabMAb® technology is a patented hybridoma-based technology for making rabbit monoclonal antibodies. For details on our patents, please refer to RabMAb® patents.

Conjugation ready
Our carrier-free antibodies are typically supplied in a PBS-only formulation, purified and free of BSA, sodium azide and glycerol. This conjugation-ready format is designed for use with fluorochromes, metal isotopes, oligonucleotides, and enzymes, which makes them ideal for antibody labelling, functional and cell-based assays, flow-based assays (e.g. mass cytometry) and Multiplex Imaging applications.

Use our conjugation kits for antibody conjugates that are ready-to-use in as little as 20 minutes with 1 minute hands-on-time and 100% antibody recovery: available for fluorescent dyes, HRP, biotin and gold.

Compatibility
This product is compatible with the Maxpar® Antibody Labeling Kit from Fluidigm, without the need for antibody preparation. Maxpar® is a trademark of Fluidigm Canada Inc.

Properties and storage information

Form
Liquid
Purification technique
Affinity purification Protein A
Storage buffer
pH: 7.2 - 7.4 Constituents: PBS
Shipped at conditions
Blue Ice
Appropriate short-term storage conditions
+4°C
Appropriate long-term storage conditions
+4°C
Storage information
Do Not Freeze

Supplementary information

This supplementary information is collated from multiple sources and compiled automatically.

The combined targets PCGF3 (Polycomb Group RING Finger 3) and PCGF5 (Polycomb Group RING Finger 5) are involved in transcriptional regulation through PRC1 (Polycomb Repressive Complex 1). These proteins usually have a molecular mass of approximately 34 kDa and 42 kDa respectively. PCGF3 and PCGF5 act as part of the non-canonical PRC1 complexes which are important in modulating gene repression and chromatin structure. Researchers have identified their expression in various tissues indicating a possible widespread role across the organism.
Biological function summary

These targets function as transcriptional repressors by facilitating the ubiquitination of histone H2A an important step in chromatin remodeling and gene silencing. PCGF3 and PCGF5 are components of the non-canonical PRC1 complexes where they interact with RING1B to impart their regulatory effects effectively. Their roles in these complexes suggest significant involvement in maintaining the repression of developmental genes and preserving cellular identity throughout development.

Pathways

PCGF3 and PCGF5 are essential players in chromatin modification and gene regulation pathways. They participate in the Polycomb pathways a pivotal element in controlling gene expression during differentiation and development. Within these pathways PCGF3 and PCGF5 interact with other Polycomb group proteins such as RING1A and CBX proteins to regulate specific sets of genes vital for cell fate decisions and lineage commitment.

Aberrations in PCGF3 and PCGF5 expression or function have connections to cancer and developmental disorders. Dysregulation of these proteins can lead to inappropriate activation or repression of genes necessary for normal cell growth contributing to oncogenesis. In particular their interaction with RING1B has been implicated in tumorigenesis highlighting their potential as targets for cancer therapy. Additionally their role in development suggests that mutations or misregulation might affect processes leading to congenital anomalies.

Product protocols

For this product, it's our understanding that no specific protocols are required. You can visit:

Target data

Component of a Polycomb group (PcG) multiprotein PRC1-like complex, a complex class required to maintain the transcriptionally repressive state of many genes, including Hox genes, throughout development. PcG PRC1 complex acts via chromatin remodeling and modification of histones; it mediates monoubiquitination of histone H2A 'Lys-119', rendering chromatin heritably changed in its expressibility. Within the PRC1-like complex, regulates RNF2 ubiquitin ligase activity (PubMed : 26151332). Plays a redundant role with PCGF5 as part of a PRC1-like complex that mediates monoubiquitination of histone H2A 'Lys-119' on the X chromosome and is required for normal silencing of one copy of the X chromosome in XX females (By similarity).
See full target information PCGF3

Additional targets

PCGF5

Publications (1)

Recent publications for all applications. Explore the full list and refine your search

The Journal of biological chemistry 292:2773-2784 PubMed28049731

2017

Essential Role for Polycomb Group Protein Pcgf6 in Embryonic Stem Cell Maintenance and a Noncanonical Polycomb Repressive Complex 1 (PRC1) Integrity.

Applications

WB

Species

Unspecified reactive species

Wukui Zhao,Huan Tong,Yikai Huang,Yun Yan,Huajian Teng,Yin Xia,Qing Jiang,Jinzhong Qin
View all publications

Product promise

We are committed to supporting your work with high-quality reagents, and we're here for you every step of the way. In the unlikely event that one of our products does not perform as expected, you're protected by our Product Promise.
For full details, please see our Terms & Conditions

Please note: All products are 'FOR RESEARCH USE ONLY. NOT FOR USE IN DIAGNOSTIC OR THERAPEUTIC PROCEDURES'.

For licensing inquiries, please contact partnerships@abcam.com