JavaScript is disabled in your browser. Please enable JavaScript to view this website.
AB251349

Anti-PCGF5 antibody [EP19476] - BSA and Azide free

Be the first to review this product! Submit a review

|

(0 Publication)

Rabbit Recombinant Monoclonal PCGF5 antibody. Carrier free. Suitable for WB and reacts with Mouse, Rat, Human samples.

View Alternative Names

RNF159, PCGF5, Polycomb group RING finger protein 5, RING finger protein 159

2 Images
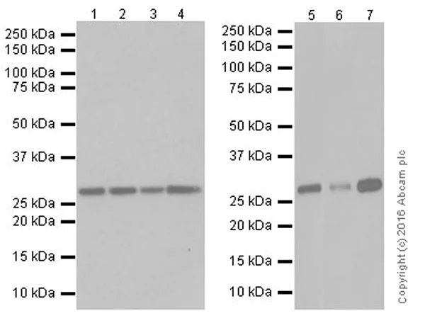
Western blot - Anti-PCGF5 antibody [EP19476] - BSA and Azide free (AB251349)
  • WB

Supplier Data

Western blot - Anti-PCGF5 antibody [EP19476] - BSA and Azide free (AB251349)

This data was developed using ab201511, the same antibody clone in a different buffer formulation.

Blocking and dilution buffer : 5% NFDM/TBST.

Exposure time : Lanes 1-4 : 30 seconds; Lanes 5-7 : 3 minutes.

All lanes:

Western blot - Anti-PCGF5 antibody [EP19476] (<a href='/en-us/products/primary-antibodies/pcgf5-antibody-ep19476-ab201511'>ab201511</a>) at 1/1000 dilution

Lane 1:

C6 (Rat glial tumor cell line) whole cell lysate at 10 µg

Lane 2:

RAW 264.7 (Mouse macrophage cell line transformed with Abelson murine leukemia virus) whole cell lysate at 10 µg

Lane 3:

PC-12 (Rat adrenal gland pheochromocytoma cell line) whole cell lysate at 10 µg

Lane 4:

NIH/3T3 (Mouse embryonic fibroblast cell line) whole cell lysate at 10 µg

Lane 5:

Rat testis lysate at 10 µg

Lane 6:

Human testis lysate at 10 µg

Lane 7:

HeLa (Human epithelial cell line from cervix adenocarcinoma) whole cell lysate at 10 µg

Secondary

All lanes:

Western blot - Goat Anti-Rabbit IgG H&L (HRP) (<a href='/en-us/products/secondary-antibodies/goat-rabbit-igg-h-l-hrp-ab97051'>ab97051</a>) at 1/100000 dilution

Predicted band size: 30 kDa

Observed band size: 30 kDa

false

Western blot - Anti-PCGF5 antibody [EP19476] - BSA and Azide free (AB251349)
  • WB

Supplier Data

Western blot - Anti-PCGF5 antibody [EP19476] - BSA and Azide free (AB251349)

This data was developed using ab201511, the same antibody clone in a different buffer formulation.

Blocking and dilution buffer : 5% NFDM/TBST.

All lanes:

Western blot - Anti-PCGF5 antibody [EP19476] (<a href='/en-us/products/primary-antibodies/pcgf5-antibody-ep19476-ab201511'>ab201511</a>) at 1/1000 dilution

Lane 1:

Mouse testis lysate at 10 µg

Lane 2:

Mouse ovary lysate at 10 µg

Lane 3:

Mouse thymus lysate at 10 µg

Lane 4:

mES-D3 (Mouse embryo stem cell line) whole cell lysate at 10 µg

Lane 5:

F9 (Mouse embryonic testicular cancer cell line) whole cell lysate at 10 µg

Secondary

All lanes:

Western blot - Goat Anti-Rabbit IgG H&L (HRP) (<a href='/en-us/products/secondary-antibodies/goat-rabbit-igg-h-l-hrp-ab97051'>ab97051</a>) at 1/100000 dilution

Predicted band size: 30 kDa

Observed band size: 30 kDa

false

Exposure time: 3min

Key facts

Host species

Rabbit

Clonality

Monoclonal

Clone number

EP19476

Isotype

IgG

Carrier free

Yes

Reacts with

Mouse, Rat, Human

Applications

WB

applications

Immunogen

The exact immunogen used to generate this antibody is proprietary information.

Reactivity data

{ "title": "Reactivity Data", "filters": { "stats": ["", "Species", "Dilution Info", "Notes"], "tabs": { "all-applications": {"fullname" : "All Applications", "shortname": "All Applications"}, "WB" : {"fullname" : "Western blot", "shortname":"WB"} }, "product-promise": { "all": "all", "testedAndGuaranteed": "tested", "guaranteed": "expected", "predicted": "predicted", "notRecommended": "not-recommended" } }, "values": { "Human": { "WB-species-checked": "testedAndGuaranteed", "WB-species-dilution-info": "", "WB-species-notes": "<p></p>" }, "Mouse": { "WB-species-checked": "testedAndGuaranteed", "WB-species-dilution-info": "", "WB-species-notes": "<p></p>" }, "Rat": { "WB-species-checked": "testedAndGuaranteed", "WB-species-dilution-info": "", "WB-species-notes": "<p></p>" } } }

Product details

ab251349 is the carrier-free version of ab201511.

Patented technology
Our RabMAb® technology is a patented hybridoma-based technology for making rabbit monoclonal antibodies. For details on our patents, please refer to RabMAb® patents.

What are the advantages of a recombinant monoclonal antibody?
This product is a recombinant monoclonal antibody, which offers several advantages including:

  • - High batch-to-batch consistency and reproducibility
  • - Improved sensitivity and specificity
  • - Long-term security of supply
  • - Animal-free batch production

For more information, read more on recombinant antibodies.

Conjugation ready
Our carrier-free antibodies are typically supplied in a PBS-only formulation, purified and free of BSA, sodium azide and glycerol. This conjugation-ready format is designed for use with fluorochromes, metal isotopes, oligonucleotides, and enzymes, which makes them ideal for antibody labelling, functional and cell-based assays, flow-based assays (e.g. mass cytometry) and Multiplex Imaging applications.

Use our conjugation kits for antibody conjugates that are ready-to-use in as little as 20 minutes with 1 minute hands-on-time and 100% antibody recovery: available for fluorescent dyes, HRP, biotin and gold.

Compatibility
This product is compatible with the Maxpar® Antibody Labeling Kit from Fluidigm, without the need for antibody preparation. Maxpar® is a trademark of Fluidigm Canada Inc.

Properties and storage information

Form
Liquid
Purification technique
Affinity purification Protein A
Storage buffer
pH: 7.2 - 7.4 Constituents: PBS
Shipped at conditions
Blue Ice
Appropriate short-term storage conditions
+4°C
Appropriate long-term storage conditions
+4°C
Storage information
Do Not Freeze

Supplementary information

This supplementary information is collated from multiple sources and compiled automatically.

PCGF5 also known as Polycomb group RING finger protein 5 functions as an essential component of the cellular machinery involved in transcriptional repression. This protein has a molecular mass of approximately 47 kDa. PCGF5 is widely expressed in various tissues suggesting a role in multiple cellular contexts. It associates with other proteins as part of the Polycomb Repressive Complex which modulates gene expression by altering chromatin structure.
Biological function summary

PCGF5 participates extensively in the regulation of gene expression by participating in the Polycomb Repressive Complex 1 (PRC1). It contributes to maintaining transcriptional silencing of target genes which is important for processes like development and cell differentiation. The protein acts in concert with other members of the Polycomb group working together to modify histone proteins and maintain genes in a repressed state through chromatin remodeling.

Pathways

PCGF5 plays a significant role within the Wnt signaling pathway and the Notch signaling pathway. These pathways are integral to cellular processes such as proliferation and differentiation. PCGF5 interacts with proteins such as Bmi1 and RING1B in the PRC1 complex influencing these important signaling routes. Its activity ensures proper regulation and maintenance of gene expression patterns necessary for cellular homeostasis.

PCGF5 has implications in cancer and neurodevelopmental disorders. Its dysregulation can lead to aberrant expression of genes critical in cell cycle control and differentiation contributing to tumorigenesis. In some cases altered function or expression of PCGF5 associates with proteins like EZH2 in the context of cancer. Furthermore disruptions in its activity may relate to defects in neural development showcasing its broader relevance in human health.

Product protocols

For this product, it's our understanding that no specific protocols are required. You can visit:

Target data

Component of a Polycomb group (PcG) multiprotein PRC1-like complex, a complex class required to maintain the transcriptionally repressive state of many genes, including Hox genes, throughout development. PcG PRC1 complex acts via chromatin remodeling and modification of histones; it mediates monoubiquitination of histone H2A 'Lys-119', rendering chromatin heritably changed in its expressibility (PubMed : 26151332). Within the PRC1-like complex, regulates RNF2 ubiquitin ligase activity (PubMed : 26151332). Plays a redundant role with PCGF3 as part of a PRC1-like complex that mediates monoubiquitination of histone H2A 'Lys-119' on the X chromosome and is required for normal silencing of one copy of the X chromosome in XX females (By similarity).
See full target information PCGF5

Product promise

We are committed to supporting your work with high-quality reagents, and we're here for you every step of the way. In the unlikely event that one of our products does not perform as expected, you're protected by our Product Promise.
For full details, please see our Terms & Conditions

Please note: All products are 'FOR RESEARCH USE ONLY. NOT FOR USE IN DIAGNOSTIC OR THERAPEUTIC PROCEDURES'.

For licensing inquiries, please contact partnerships@abcam.com