JavaScript is disabled in your browser. Please enable JavaScript to view this website.
AB300059

Anti-PCGF6 antibody [EPR26301-72]

Be the first to review this product! Submit a review

|

(0 Publication)

Rabbit Recombinant Monoclonal PCGF6 antibody. Suitable for WB, Flow Cyt (Intra), IP, ICC/IF and reacts with Human samples.

View Alternative Names

MBLR, RNF134, PCGF6, Polycomb group RING finger protein 6, Mel18 and Bmi1-like RING finger, RING finger protein 134

5 Images
Flow Cytometry (Intracellular) - Anti-PCGF6 antibody [EPR26301-72] (AB300059)
  • Flow Cyt (Intra)

Supplier Data

Flow Cytometry (Intracellular) - Anti-PCGF6 antibody [EPR26301-72] (AB300059)

Flow cytometric analysis of 4% paraformaldehyde fixed 90% methanol permeabilized HEK-293T (Human embryonic kidney epithelial cell) cells labelling PCGF6 with ab300059 at 1/50 dilution (1μg) (Red) compared with a Rabbit monoclonal IgG (ab172730) (Black) isotype control and an unlabelled control (cells without incubation with primary antibody and secondary antibody) (Blue). A Goat Anti-Rabbit IgG (Alexa Fluor® 488, ab150081) at 1/2000 dilution was used as the secondary antibody.

Immunocytochemistry/ Immunofluorescence - Anti-PCGF6 antibody [EPR26301-72] (AB300059)
  • ICC/IF

Supplier Data

Immunocytochemistry/ Immunofluorescence - Anti-PCGF6 antibody [EPR26301-72] (AB300059)

Immunofluorescent analysis of 4% Paraformaldehyde-fixed, 0.1% TritonX-100 permeilized 293T (human embryonic kidney epithelial cell) cells lebelling PCGF6 with ab300059 at 1/500 (0.914 μg/ml) dilution, followed by ab150081 Goat Anti-Rabbit IgG H&L (Alexa Fluor® 488) preadsorbed antibody at 1/1000 2 μg/mL dilution (Green). Confocal image showing nuclear staining in 293T cell line is observed. ab195889 Anti-alpha Tubulin mouse monoclonal antibody - Microtubule Marker (Alexa Fluor® 594) was used to counterstain tubulin at 1/200 2.5 μg/ml dilution (Red). The Nuclear counterstain was DAPI (Blue).

Secondary antibody only control : Secondary antibody is ab150081 Goat Anti-Rabbit IgG H&L (Alexa Fluor® 488) preadsorbed at 1/1000 2 μg/mL dilution.

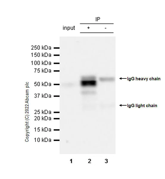
Immunoprecipitation - Anti-PCGF6 antibody [EPR26301-72] (AB300059)
  • IP

Supplier Data

Immunoprecipitation - Anti-PCGF6 antibody [EPR26301-72] (AB300059)

PCGF6 was immunoprecipitated from 0.35 mg HEK-293 (human embryonic kidney epithelial cell) whole cell lysate 10 μg with ab300059 at 1/30 dilution (2μg in 0.35mg lysates). Western blot was performed on the immunoprecipitate using ab300059 at 1/1000 dilution. VeriBlot for IP secondary antibody(HRP)(ab131366) was used at 1/5000 dilution.

Lane 1 : HEK-293 (human embryonic kidney epithelial cell) whole cell lysate 10 μg

Lane 2 : ab300059 in HEK-293 whole cell lysate

Lane 3 : Rabbit monoclonal IgG (ab172730) instead of ab300059 in HEK-293 whole cell lysate

Blocking and dilution buffer and concentration : 5% NFDM/TBST.

Exposure time : 7.75 seconds

All lanes:

Immunoprecipitation - Anti-PCGF6 antibody [EPR26301-72] (ab300059)

Predicted band size: 39 kDa

false

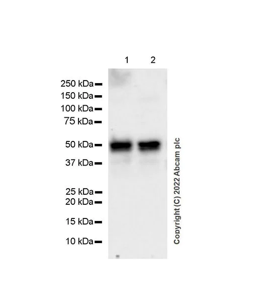
Western blot - Anti-PCGF6 antibody [EPR26301-72] (AB300059)
  • WB

Supplier Data

Western blot - Anti-PCGF6 antibody [EPR26301-72] (AB300059)

5% NFDM/TBST was used as blocking and diluting buffer and concentration.

The expression profile/molecular weight observed is consistent with that described in the literature (PMID : 28049731).
This blot was developed using a higher sensitivity ECL substrate.

All lanes:

Western blot - Anti-PCGF6 antibody [EPR26301-72] (ab300059) at 1000 Cells

Lane 1:

HeLa (human cervix adenocarcinoma epithelial cell) whole cell lysate at 20 µg

Lane 2:

293T (human embryonic kidney epithelial cell) whole cell lysate at 20 µg

Secondary

All lanes:

Western blot - Goat Anti-Rabbit IgG H&L (HRP) (<a href='/en-us/products/secondary-antibodies/goat-rabbit-igg-h-l-hrp-ab97051'>ab97051</a>) at 1/100000 dilution

Predicted band size: 39 kDa

Observed band size: 48 kDa,50 kDa

false

Exposure time: 59s

Western blot - Anti-PCGF6 antibody [EPR26301-72] (AB300059)
  • WB

Supplier Data

Western blot - Anti-PCGF6 antibody [EPR26301-72] (AB300059)

Blocking and diluting buffer and concentration : 5% NFDM/TBST.

Exposure time :
Lane 1 : 3 minutes
Lane 2 : 26 seconds

The expression profile/molecular weight observed is consistent with that described in the literature (PMID : 28049731).

This blot was developed using a high sensitivity ECL substrate. The high-sensitivity ECL substrate used allows for the detection of proteins in the mid-femtogram range.

All lanes:

Western blot - Anti-PCGF6 antibody [EPR26301-72] (ab300059) at 1/1000 dilution

Lane 1:

Human testis tissue lysate at 20 µg

Lane 2:

Human thymus tissue lysate at 20 µg

Secondary

All lanes:

Goat Anti-Rabbit IgG (HRP) with minimal cross-reactivity with human IgG at 1/2000 dilution

Predicted band size: 39 kDa

Observed band size: 48 kDa,50 kDa

true

  • Carrier free

    Anti-PCGF6 antibody [EPR26301-72] (BSA and Azide free)

Key facts

Host species

Rabbit

Clonality

Monoclonal

Clone number

EPR26301-72

Isotype

IgG

Carrier free

No

Reacts with

Human

Applications

ICC/IF, WB, Flow Cyt (Intra), IP

applications

Immunogen

The exact immunogen used to generate this antibody is proprietary information.

Reactivity data

{ "title": "Reactivity Data", "filters": { "stats": ["", "Species", "Dilution Info", "Notes"], "tabs": { "all-applications": {"fullname" : "All Applications", "shortname": "All Applications"}, "WB" : {"fullname" : "Western blot", "shortname":"WB"}, "FlowCytIntra" : {"fullname" : "Flow Cytometry (Intracellular)", "shortname":"Flow Cyt (Intra)"}, "IP" : {"fullname" : "Immunoprecipitation", "shortname":"IP"}, "ICCIF" : {"fullname" : "Immunocytochemistry/ Immunofluorescence", "shortname":"ICC/IF"}, "IHCP" : {"fullname" : "Immunohistochemistry (Formalin/PFA-fixed paraffin-embedded sections)", "shortname":"IHC-P"}, "ChIP" : {"fullname" : "ChIP", "shortname":"ChIP"} }, "product-promise": { "all": "all", "testedAndGuaranteed": "tested", "guaranteed": "expected", "predicted": "predicted", "notRecommended": "not-recommended" } }, "values": { "Human": { "WB-species-checked": "testedAndGuaranteed", "WB-species-dilution-info": "1/1000", "WB-species-notes": "<p></p>", "FlowCytIntra-species-checked": "testedAndGuaranteed", "FlowCytIntra-species-dilution-info": "1/50", "FlowCytIntra-species-notes": "<p></p>", "IP-species-checked": "testedAndGuaranteed", "IP-species-dilution-info": "1/30", "IP-species-notes": "<p></p>", "ICCIF-species-checked": "testedAndGuaranteed", "ICCIF-species-dilution-info": "1/500", "ICCIF-species-notes": "<p></p>", "IHCP-species-checked": "notRecommended", "IHCP-species-dilution-info": "", "IHCP-species-notes": "<p></p>", "ChIP-species-checked": "notRecommended", "ChIP-species-dilution-info": "", "ChIP-species-notes": "<p></p>" }, "Mouse": { "WB-species-checked": "notRecommended", "WB-species-dilution-info": "", "WB-species-notes": "", "FlowCytIntra-species-checked": "notRecommended", "FlowCytIntra-species-dilution-info": "", "FlowCytIntra-species-notes": "", "IP-species-checked": "notRecommended", "IP-species-dilution-info": "", "IP-species-notes": "", "ICCIF-species-checked": "notRecommended", "ICCIF-species-dilution-info": "", "ICCIF-species-notes": "", "IHCP-species-checked": "notRecommended", "IHCP-species-dilution-info": "", "IHCP-species-notes": "<p></p>", "ChIP-species-checked": "notRecommended", "ChIP-species-dilution-info": "", "ChIP-species-notes": "" }, "Rat": { "WB-species-checked": "notRecommended", "WB-species-dilution-info": "", "WB-species-notes": "", "FlowCytIntra-species-checked": "notRecommended", "FlowCytIntra-species-dilution-info": "", "FlowCytIntra-species-notes": "", "IP-species-checked": "notRecommended", "IP-species-dilution-info": "", "IP-species-notes": "", "ICCIF-species-checked": "notRecommended", "ICCIF-species-dilution-info": "", "ICCIF-species-notes": "", "IHCP-species-checked": "notRecommended", "IHCP-species-dilution-info": "", "IHCP-species-notes": "<p></p>", "ChIP-species-checked": "notRecommended", "ChIP-species-dilution-info": "", "ChIP-species-notes": "" } } }

Product details

Patented technology
Our RabMAb® technology is a patented hybridoma-based technology for making rabbit monoclonal antibodies. For details on our patents, please refer to RabMAb® patents.

What are the advantages of a recombinant monoclonal antibody?
This product is a recombinant monoclonal antibody, which offers several advantages including:

  • - High batch-to-batch consistency and reproducibility
  • - Improved sensitivity and specificity
  • - Long-term security of supply
  • - Animal-free batch production

For more information, read more on recombinant antibodies.

Properties and storage information

Form
Liquid
Purification technique
Affinity purification Protein A
Storage buffer
pH: 7.2 - 7.4 Preservative: 0.01% Sodium azide Constituents: PBS, 40% Glycerol (glycerin, glycerine), 0.05% BSA
Shipped at conditions
Blue Ice
Appropriate short-term storage duration
1-2 weeks
Appropriate short-term storage conditions
+4°C
Appropriate long-term storage conditions
-20°C
Aliquoting information
Upon delivery aliquot
Storage information
Avoid freeze / thaw cycle

Supplementary information

This supplementary information is collated from multiple sources and compiled automatically.

PCGF6 also known as Polycomb group RING finger protein 6 plays a role in regulating gene expression. This protein with a molecular mass of about 36 kDa is part of the Polycomb Group (PcG) proteins that epigenetically silence genes preventing their expression. Scientists have observed PCGF6 expression in embryonic stem cells as well as in various tissues hinting at its broad potential impact on cellular processes. The protein contains a RING finger motif which suggests it functions as an E3 ubiquitin ligase tagging other proteins for modification or degradation.
Biological function summary

PCGF6 participates in transcriptional repression through its involvement in the non-canonical Polycomb Repressive Complex 1 (PRC1). The protein acts by aiding the assembly of PRC1 alongside other constituents such as RING1B to modify histones and maintain stem cell characteristics. This activity is important for cell differentiation and maintaining the balance between pluripotency and lineage specification during development. Disruptions in PCGF6 function may influence epigenetic landscapes significantly thereby impacting cellular identity and behavior.

Pathways

PCGF6 integrates its activity with key biological systems such as the Wnt signaling and the polycomb repression pathways. Within these pathways PCGF6 interacts with core PRC1 components like RING1B to affect gene silencing and chromatin remodeling. These interactions allow the protein to serve as a critical node in controlling genetic hierarchies that regulate embryogenesis and other developmental processes. The pathway network involving PCGF6 and PRC1 provides essential insights into the fine-tuning of gene expressions needed for cellular differentiation.

Aberrations in PCGF6 expression or function have connections to cancer and developmental disorders. Altered PCGF6 activity can lead to dysregulated expression of genes that are normally repressed fostering oncogenic or detrimental developmental outcomes. In the context of cancer its interaction with components such as BMI1 helps to drive tumor progression by supporting unchecked cell proliferation. Furthermore understanding these interactions highlights potential therapeutic avenues by targeting the components influenced by PCGF6 offering opportunities for better management of these diseases.

Product protocols

For this product, it's our understanding that no specific protocols are required. You can visit:

Target data

Transcriptional repressor (PubMed : 12167161). May modulate the levels of histone H3K4Me3 by activating KDM5D histone demethylase (PubMed : 17320162). Component of a Polycomb group (PcG) multiprotein PRC1-like complex, a complex class required to maintain the transcriptionally repressive state of many genes, including Hox genes, throughout development. PcG PRC1 complex acts via chromatin remodeling and modification of histones; it mediates monoubiquitination of histone H2A 'Lys-119', rendering chromatin heritably changed in its expressibility (PubMed : 12167161). Within the PRC1-like complex, regulates RNF2 ubiquitin ligase activity (PubMed : 26151332).
See full target information PCGF6

Product promise

We are committed to supporting your work with high-quality reagents, and we're here for you every step of the way. In the unlikely event that one of our products does not perform as expected, you're protected by our Product Promise.
For full details, please see our Terms & Conditions

Please note: All products are 'FOR RESEARCH USE ONLY. NOT FOR USE IN DIAGNOSTIC OR THERAPEUTIC PROCEDURES'.

For licensing inquiries, please contact partnerships@abcam.com