JavaScript is disabled in your browser. Please enable JavaScript to view this website.
AB230105

Anti-PCID1 antibody

Be the first to review this product! Submit a review

|

(1 Publication)

Rabbit Polyclonal PCID1 antibody. Suitable for IP, WB, IHC-P and reacts with Human, Mouse samples. Cited in 1 publication. Immunogen corresponding to Recombinant Full Length Protein corresponding to Human EIF3M.

View Alternative Names

HFLB5, PCID1, GA17, PNAS-125, EIF3M, Eukaryotic translation initiation factor 3 subunit M, eIF3m, Fetal lung protein B5, PCI domain-containing protein 1, hFL-B5

4 Images
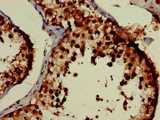
Immunohistochemistry (Formalin/PFA-fixed paraffin-embedded sections) - Anti-PCID1 antibody (AB230105)
  • IHC-P

Supplier Data

Immunohistochemistry (Formalin/PFA-fixed paraffin-embedded sections) - Anti-PCID1 antibody (AB230105)

Paraffin-embedded human testis tissue stained for PCID1 using ab230105 at 1/100 dilution in immunohistochemical analysis.

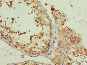
Immunohistochemistry (Formalin/PFA-fixed paraffin-embedded sections) - Anti-PCID1 antibody (AB230105)
  • IHC-P

Supplier Data

Immunohistochemistry (Formalin/PFA-fixed paraffin-embedded sections) - Anti-PCID1 antibody (AB230105)

Paraffin-embedded human pancreatic cancer tissue stained for PCID1 using ab230105 at 1/100 dilution in immunohistochemical analysis.

Immunoprecipitation - Anti-PCID1 antibody (AB230105)
  • IP

Supplier Data

Immunoprecipitation - Anti-PCID1 antibody (AB230105)

PCID1 was immunoprecipitated from 0.5 mg HeLa (human epithelial cell line from cervix adenocarcinoma) whole cell lysate with 4 μg of ab230105. Western blot was performed from the immunoprecipitate using ab230105. HRP-conjugated light chain specific antibody was used as the secondary antibody at 1/50000 dilution.

Lane 1 : 1 μg control IgG instead of ab230105 in HeLa whole cell lysate .
Lane 2 : ab230105 IP in HeLa whole cell lysate.
Lane 3 : HeLa whole cell lysate 20 μg (Input).

All lanes:

Immunoprecipitation - Anti-PCID1 antibody (ab230105)

Predicted band size: 43 kDa

false

Western blot - Anti-PCID1 antibody (AB230105)
  • WB

Supplier Data

Western blot - Anti-PCID1 antibody (AB230105)

All lanes:

Western blot - Anti-PCID1 antibody (ab230105) at 1/1000 dilution

Lane 1:

HeLa (human epithelial cell line from cervix adenocarcinoma) whole cell lysate

Lane 2:

A549 (human lung carcinoma cell line) whole cell lysate

Lane 3:

Mouse gonadal tissue lysate

Lane 4:

Human placenta tissue lysate

Lane 5:

Mouse stomach tissue lysate

Lane 6:

Mouse brain tissue lysate

Secondary

All lanes:

Goat polyclonal to rabbit IgG at 1/10000 dilution

Predicted band size: 43 kDa

Observed band size: 43 kDa

false

Key facts

Host species

Rabbit

Clonality

Polyclonal

Isotype

IgG

Carrier free

No

Reacts with

Mouse, Human

Applications

WB, IHC-P, IP

applications

Immunogen

Recombinant Full Length Protein corresponding to Human EIF3M.

Q7L2H7

Reactivity data

{ "title": "Reactivity Data", "filters": { "stats": ["", "Species", "Dilution Info", "Notes"], "tabs": { "all-applications": {"fullname" : "All Applications", "shortname": "All Applications"}, "IP" : {"fullname" : "Immunoprecipitation", "shortname":"IP"}, "WB" : {"fullname" : "Western blot", "shortname":"WB"}, "IHCP" : {"fullname" : "Immunohistochemistry (Formalin/PFA-fixed paraffin-embedded sections)", "shortname":"IHC-P"} }, "product-promise": { "all": "all", "testedAndGuaranteed": "tested", "guaranteed": "expected", "predicted": "predicted", "notRecommended": "not-recommended" } }, "values": { "Human": { "IP-species-checked": "testedAndGuaranteed", "IP-species-dilution-info": "1/200 - 1/2000", "IP-species-notes": "<p></p>", "WB-species-checked": "testedAndGuaranteed", "WB-species-dilution-info": "1/1000 - 1/5000", "WB-species-notes": "<p></p>", "IHCP-species-checked": "testedAndGuaranteed", "IHCP-species-dilution-info": "1/20 - 1/200", "IHCP-species-notes": "<p></p>" }, "Mouse": { "IP-species-checked": "guaranteed", "IP-species-dilution-info": "", "IP-species-notes": "", "WB-species-checked": "testedAndGuaranteed", "WB-species-dilution-info": "1/1000 - 1/5000", "WB-species-notes": "<p></p>", "IHCP-species-checked": "guaranteed", "IHCP-species-dilution-info": "", "IHCP-species-notes": "" }, "Chicken": { "IP-species-checked": "predicted", "IP-species-dilution-info": "", "IP-species-notes": "", "WB-species-checked": "predicted", "WB-species-dilution-info": "", "WB-species-notes": "", "IHCP-species-checked": "predicted", "IHCP-species-dilution-info": "", "IHCP-species-notes": "" }, "Cow": { "IP-species-checked": "predicted", "IP-species-dilution-info": "", "IP-species-notes": "", "WB-species-checked": "predicted", "WB-species-dilution-info": "", "WB-species-notes": "", "IHCP-species-checked": "predicted", "IHCP-species-dilution-info": "", "IHCP-species-notes": "" }, "Orangutan": { "IP-species-checked": "predicted", "IP-species-dilution-info": "", "IP-species-notes": "", "WB-species-checked": "predicted", "WB-species-dilution-info": "", "WB-species-notes": "", "IHCP-species-checked": "predicted", "IHCP-species-dilution-info": "", "IHCP-species-notes": "" }, "Xenopus tropicalis": { "IP-species-checked": "predicted", "IP-species-dilution-info": "", "IP-species-notes": "", "WB-species-checked": "predicted", "WB-species-dilution-info": "", "WB-species-notes": "", "IHCP-species-checked": "predicted", "IHCP-species-dilution-info": "", "IHCP-species-notes": "" } } }

Properties and storage information

Form
Liquid
Purification technique
Affinity purification Immunogen
Storage buffer
pH: 7.3 Preservative: 0.02% Sodium azide Constituents: PBS, 50% Glycerol (glycerin, glycerine)
Shipped at conditions
Blue Ice
Appropriate short-term storage duration
1-2 weeks
Appropriate short-term storage conditions
+4°C
Appropriate long-term storage conditions
-20°C
Aliquoting information
Upon delivery aliquot
Storage information
Avoid freeze / thaw cycle

Supplementary information

This supplementary information is collated from multiple sources and compiled automatically.

PCID1 also known as PCI domain containing 1 is a protein with a molecular weight of approximately 125 kDa. It plays an essential role in cellular processes as it is a component of the nuclear structure influencing key regulatory functions. PCID1 is broadly expressed with higher levels detected in tissues such as the brain heart and liver. Its interaction with cellular machinery highlights its significance in maintaining cellular homeostasis.
Biological function summary

PCID1 operates as part of the central mRNA export machinery within the Transcription Export (TREX) complex. This complex is important for the proper export of mRNA from the nucleus to the cytoplasm thereby influencing gene expression. PCID1 directly facilitates the binding and release of mRNA molecules ensuring their correct processing and transport. Disruption in its function can impede mRNA export affecting cellular function and gene expression.

Pathways

PCID1 is integrally involved in the mRNA transport pathway and the gene expression pathway. Within these pathways it interacts closely with proteins like Aly/REF export factor (ALYREF) and nuclear RNA export factor 1 (NXF1). These proteins work in concert with PCID1 to mediate the efficient export of mature mRNA transcripts impacting various biological processes such as cellular metabolism growth and response to stimuli.

PCID1 has potential associations with conditions like neurodegenerative disorders and certain types of cancer. Alterations in its expression or function may disrupt mRNA export impacting cellular function and leading to disease pathogenesis. Proteins like ALYREF and NXF1 connected through these pathways may also exhibit altered activity in such conditions highlighting potential therapeutic targets for treatment development.

Product protocols

For this product, it's our understanding that no specific protocols are required. You can visit:

Target data

Component of the eukaryotic translation initiation factor 3 (eIF-3) complex, which is required for several steps in the initiation of protein synthesis (PubMed : 17403899, PubMed : 25849773, PubMed : 27462815). The eIF-3 complex associates with the 40S ribosome and facilitates the recruitment of eIF-1, eIF-1A, eIF-2 : GTP : methionyl-tRNAi and eIF-5 to form the 43S pre-initiation complex (43S PIC). The eIF-3 complex stimulates mRNA recruitment to the 43S PIC and scanning of the mRNA for AUG recognition. The eIF-3 complex is also required for disassembly and recycling of post-termination ribosomal complexes and subsequently prevents premature joining of the 40S and 60S ribosomal subunits prior to initiation (PubMed : 17403899). The eIF-3 complex specifically targets and initiates translation of a subset of mRNAs involved in cell proliferation, including cell cycling, differentiation and apoptosis, and uses different modes of RNA stem-loop binding to exert either translational activation or repression (PubMed : 25849773).. (Microbial infection) May favor virus entry in case of infection with herpes simplex virus 1 (HSV1) or herpes simplex virus 2 (HSV2).
See full target information EIF3M

Publications (1)

Recent publications for all applications. Explore the full list and refine your search

Blood cancer discovery 4:180-207 PubMed36763002

2023

In Vivo Screening Unveils Pervasive RNA-Binding Protein Dependencies in Leukemic Stem Cells and Identifies ELAVL1 as a Therapeutic Target.

Applications

Unspecified application

Species

Unspecified reactive species

Ana Vujovic,Laura de Rooij,Ava Keyvani Chahi,He Tian Chen,Brian A Yee,Sampath K Loganathan,Lina Liu,Derek C H Chan,Amanda Tajik,Emily Tsao,Steven Moreira,Pratik Joshi,Joshua Xu,Nicholas Wong,Zaldy Balde,Soheil Jahangiri,Sasan Zandi,Stefan Aigner,John E Dick,Mark D Minden,Daniel Schramek,Gene W Yeo,Kristin J Hope
View all publications

Product promise

We are committed to supporting your work with high-quality reagents, and we're here for you every step of the way. In the unlikely event that one of our products does not perform as expected, you're protected by our Product Promise.
For full details, please see our Terms & Conditions

Please note: All products are 'FOR RESEARCH USE ONLY. NOT FOR USE IN DIAGNOSTIC OR THERAPEUTIC PROCEDURES'.

For licensing inquiries, please contact partnerships@abcam.com