JavaScript is disabled in your browser. Please enable JavaScript to view this website.
AB227559

Anti-PCID2 antibody

Be the first to review this product! Submit a review

|

(1 Publication)

Rabbit Polyclonal PCID2 antibody. Suitable for WB, IHC-P and reacts with Human, Mouse, Rat samples. Cited in 1 publication. Immunogen corresponding to Recombinant Fragment Protein within Human PCID2.

View Alternative Names

HT004, PCID2, PCI domain-containing protein 2, CSN12-like protein

3 Images
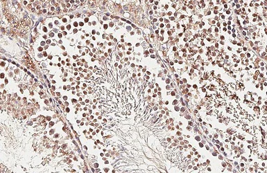
Immunohistochemistry (Formalin/PFA-fixed paraffin-embedded sections) - Anti-PCID2 antibody (AB227559)
  • IHC-P

Supplier Data

Immunohistochemistry (Formalin/PFA-fixed paraffin-embedded sections) - Anti-PCID2 antibody (AB227559)

Immunohistochemical analysis of paraffin-embedded mouse testis tissue labelling PCID2 protein with ab227559 at a 1/500 dilution.

Antigen retrieval : Citrate buffer, pH 6.0, 15 min

Western blot - Anti-PCID2 antibody (AB227559)
  • WB

Supplier Data

Western blot - Anti-PCID2 antibody (AB227559)

10% SDS-PAGE

All lanes:

Western blot - Anti-PCID2 antibody (ab227559) at 1/1000 dilution

All lanes:

HCT 116 (human colorectal carcinoma cell line) whole cell extract at 30 µg

Secondary

All lanes:

HRP-conjugated anti-rabbit IgG

Predicted band size: 46 kDa

true

Western blot - Anti-PCID2 antibody (AB227559)
  • WB

Supplier Data

Western blot - Anti-PCID2 antibody (AB227559)

Samples were separated by 10% SDS PAGE.

All lanes:

Western blot - Anti-PCID2 antibody (ab227559) at 1/1000 dilution

Lane 1:

Mouse testis tissue lysates at 50 µg

Lane 2:

rat testis tissue lysates at 50 µg

Secondary

All lanes:

HRP-conjugated anti-rabbit IgG antibody

Predicted band size: 46 kDa

false

Key facts

Host species

Rabbit

Clonality

Polyclonal

Isotype

IgG

Carrier free

No

Reacts with

Human, Mouse, Rat

Applications

WB, IHC-P

applications

Immunogen

Recombinant Fragment Protein within Human PCID2. The exact immunogen used to generate this antibody is proprietary information.

Q5JVF3

Reactivity data

{ "title": "Reactivity Data", "filters": { "stats": ["", "Species", "Dilution Info", "Notes"], "tabs": { "all-applications": {"fullname" : "All Applications", "shortname": "All Applications"}, "WB" : {"fullname" : "Western blot", "shortname":"WB"}, "IHCP" : {"fullname" : "Immunohistochemistry (Formalin/PFA-fixed paraffin-embedded sections)", "shortname":"IHC-P"} }, "product-promise": { "all": "all", "testedAndGuaranteed": "tested", "guaranteed": "expected", "predicted": "predicted", "notRecommended": "not-recommended" } }, "values": { "Human": { "WB-species-checked": "testedAndGuaranteed", "WB-species-dilution-info": "1/500 - 1/3000", "WB-species-notes": "<p></p>", "IHCP-species-checked": "guaranteed", "IHCP-species-dilution-info": "", "IHCP-species-notes": "" }, "Mouse": { "WB-species-checked": "testedAndGuaranteed", "WB-species-dilution-info": "1/500 - 1/3000", "WB-species-notes": "<p></p>", "IHCP-species-checked": "testedAndGuaranteed", "IHCP-species-dilution-info": "", "IHCP-species-notes": "<p></p>" }, "Rat": { "WB-species-checked": "testedAndGuaranteed", "WB-species-dilution-info": "1/500 - 1/3000", "WB-species-notes": "<p></p>", "IHCP-species-checked": "guaranteed", "IHCP-species-dilution-info": "", "IHCP-species-notes": "" }, "Chicken": { "WB-species-checked": "predicted", "WB-species-dilution-info": "", "WB-species-notes": "", "IHCP-species-checked": "predicted", "IHCP-species-dilution-info": "", "IHCP-species-notes": "" }, "Chimpanzee": { "WB-species-checked": "predicted", "WB-species-dilution-info": "", "WB-species-notes": "", "IHCP-species-checked": "predicted", "IHCP-species-dilution-info": "", "IHCP-species-notes": "" }, "Cow": { "WB-species-checked": "predicted", "WB-species-dilution-info": "", "WB-species-notes": "", "IHCP-species-checked": "predicted", "IHCP-species-dilution-info": "", "IHCP-species-notes": "" }, "Xenopus laevis": { "WB-species-checked": "predicted", "WB-species-dilution-info": "", "WB-species-notes": "", "IHCP-species-checked": "predicted", "IHCP-species-dilution-info": "", "IHCP-species-notes": "" } } }

Properties and storage information

Form
Liquid
Purification technique
Affinity purification Immunogen
Storage buffer
pH: 7 Preservative: 0.01% Thimerosal (merthiolate) Constituents: PBS, 20% Glycerol (glycerin, glycerine)
Shipped at conditions
Blue Ice
Appropriate short-term storage duration
1-2 weeks
Appropriate short-term storage conditions
+4°C
Appropriate long-term storage conditions
-20°C
Aliquoting information
Upon delivery aliquot
Storage information
Avoid freeze / thaw cycle

Supplementary information

This supplementary information is collated from multiple sources and compiled automatically.

PCID2 also known as PCI domain containing 2 is a protein that functions mechanically in the transport of RNA within the nucleus. It is a component of the TREX-2 complex which plays an important role in the export of mRNA from the nucleus to the cytoplasm. The protein has an approximate mass of 38 kDa. You can find PCID2 expressed in multiple tissues but its expression is higher in areas with active RNA processing such as the liver and kidneys.
Biological function summary

PCID2 interacts with other proteins as part of the TREX-2 complex to facilitate mRNA export ensuring efficient transcription and translation of genetic information. By binding to nuclear structures PCID2 links newly synthesized mRNA to the export machinery. This interaction contributes significantly to maintaining cell function cell cycle progression and viability. PCID2 also interacts with nucleoporins such as NUP153 to assist mRNA processing through the nuclear pore complexes.

Pathways

PCID2 plays an integral role in the mRNA export pathway and the general process of gene expression regulation. The protein's interaction with the TREX-2 complex highlights its importance in linking transcription to mRNA export while ensuring proper gene expression. Through these pathways PCID2 is closely related to proteins like NXF1 which mediates nuclear export as well as other members of the exon junction complex.

The dysfunction or altered regulation of PCID2 links to certain cancers and neurodegenerative diseases. Specifically disruptions in its expression or its interaction with pathway-related proteins such as NUP153 are observed in some cancer types affecting cell proliferation and tumorigenesis. Moreover its relationship with gene expression pathways suggests potential associations with conditions like amyotrophic lateral sclerosis (ALS) through interactions with proteins involved in RNA processing abnormalities.

Product protocols

For this product, it's our understanding that no specific protocols are required. You can visit:

Target data

Required for B-cell survival through the regulation of the expression of cell-cycle checkpoint MAD2L1 protein during B cell differentiation (By similarity). As a component of the TREX-2 complex, involved in the export of mRNAs to the cytoplasm through the nuclear pores (PubMed : 22307388). Binds and stabilizes BRCA2 and is thus involved in the control of R-loop-associated DNA damage and transcription-associated genomic instability (PubMed : 24896180). Blocks the activity of the SRCAP chromatin remodeling complex by interacting with SRCAP complex member ZNHIT1 and inhibiting its interaction with the complex (By similarity). This prevents the deposition of histone variant H2AZ1/H2A.Z at the nucleosomes of key lymphoid fate regulator genes which suppresses their expression and restricts lymphoid lineage commitment (By similarity).
See full target information PCID2

Publications (1)

Recent publications for all applications. Explore the full list and refine your search

Communications biology 8:1079 PubMed40683971

2025

HBV DNA integration gene CCDC91 is oncogenic and a potential therapeutic target for hepatocellular carcinoma.

Applications

Unspecified application

Species

Unspecified reactive species

Mengge Li,Shusheng Wu,Huiqin Luo,Jiayu Niu,Yuan Fang,Wenju Chen,Lulu Cao,Yifu He
View all publications

Product promise

We are committed to supporting your work with high-quality reagents, and we're here for you every step of the way. In the unlikely event that one of our products does not perform as expected, you're protected by our Product Promise.
For full details, please see our Terms & Conditions

Please note: All products are 'FOR RESEARCH USE ONLY. NOT FOR USE IN DIAGNOSTIC OR THERAPEUTIC PROCEDURES'.

For licensing inquiries, please contact partnerships@abcam.com