JavaScript is disabled in your browser. Please enable JavaScript to view this website.
AB300487

Anti-PCIF1 antibody [EPR24319-207]

  • BOND RX™ Validated
  • 20ul selling size
  • RabMAb
  • Recombinant
  • What is this?

5

(1 Review)

|

(1 Publication)

Rabbit Recombinant Monoclonal PCIF1 antibody. Suitable for WB, IHC-P, ICC/IF, Flow Cyt (Intra), IP and reacts with Human, Mouse samples. Cited in 1 publication.

View Alternative Names

C20orf67, CAPAM, PPP1R121, PCIF1, mRNA (2'-O-methyladenosine-N(6)-)-methyltransferase, Cap-specific adenosine methyltransferase, Phosphorylated CTD-interacting factor 1, Protein phosphatase 1 regulatory subunit 121, hCAPAM, hPCIF1

12 Images
Immunocytochemistry/ Immunofluorescence - Anti-PCIF1 antibody [EPR24319-207] (AB300487)
  • ICC/IF

Supplier Data

Immunocytochemistry/ Immunofluorescence - Anti-PCIF1 antibody [EPR24319-207] (AB300487)

Immunofluorescent analysis of 4% Paraformaldehyde-fixed, 0.1% TritonX-100 permeabilized HeLa (human cervix adenocarcinoma epithelial cell) cells labelling PCIF1 with ab300487 at 1/50 (9.4 ug/ml) dilution, followed by ab150081 Goat Anti-Rabbit IgG H&L (Alexa Fluor® 488) preadsorbed antibody at 1/1000 2 ug/ml dilution (Green). Confocal image showing nuclear staining in HeLa cell line is observed. ab195889 Anti-alpha Tubulin mouse monoclonal antibody - Microtubule Marker (Alexa Fluor® 594) was used to counterstain tubulin at 1/200 2.5 ug/ml dilution (Red). The Nuclear counterstain was DAPI (Blue). Secondary antibody only control : Secondary antibody is ab150081 Goat Anti-Rabbit IgG H&L (Alexa Fluor® 488) preadsorbed at 1/1000 2 ug/ml dilution.

Immunocytochemistry/ Immunofluorescence - Anti-PCIF1 antibody [EPR24319-207] (AB300487)
  • ICC/IF

Supplier Data

Immunocytochemistry/ Immunofluorescence - Anti-PCIF1 antibody [EPR24319-207] (AB300487)

Immunofluorescent analysis of 4% Paraformaldehyde-fixed, 0.1% TritonX-100 permeabilized MCF7 (human breast adenocarcinoma epithelial cell) cells labelling PCIF1 with ab300487 at 1/50 (9.4 ug/ml) dilution, followed by ab150081 Goat Anti-Rabbit IgG H&L (Alexa Fluor® 488) preadsorbed antibody at 1/1000 2 ug/ml dilution (Green). Confocal image showing nuclear staining in MCF7 cell line is observed. ab195889 Anti-alpha Tubulin mouse monoclonal antibody - Microtubule Marker (Alexa Fluor® 594) was used to counterstain tubulin at 1/200 2.5 ug/ml dilution (Red). The Nuclear counterstain was DAPI (Blue). Secondary antibody only control : Secondary antibody is ab150081 Goat Anti-Rabbit IgG H&L (Alexa Fluor® 488) preadsorbed at 1/1000 2 ug/ml dilution.

Flow Cytometry (Intracellular) - Anti-PCIF1 antibody [EPR24319-207] (AB300487)
  • Flow Cyt (Intra)

Supplier Data

Flow Cytometry (Intracellular) - Anti-PCIF1 antibody [EPR24319-207] (AB300487)

Flow cytometric analysis of 4% paraformaldehyde fixed 90% methanol permeabilized MCF7 (human breast adenocarcinoma epithelial cell) cells labelling PCIF1 with ab300487 at 1/500 dilution (0.1ug) (Red) (Red) compared with a Rabbit monoclonal IgG (ab172730) (Black) isotype control and an unlabelled control (cells without incubation with primary antibody and secondary antibody) (Blue). A Goat Anti-Rabbit IgG (Alexa Fluor® 488, ab150081) at 1/2000 dilution was used as the secondary antibody.

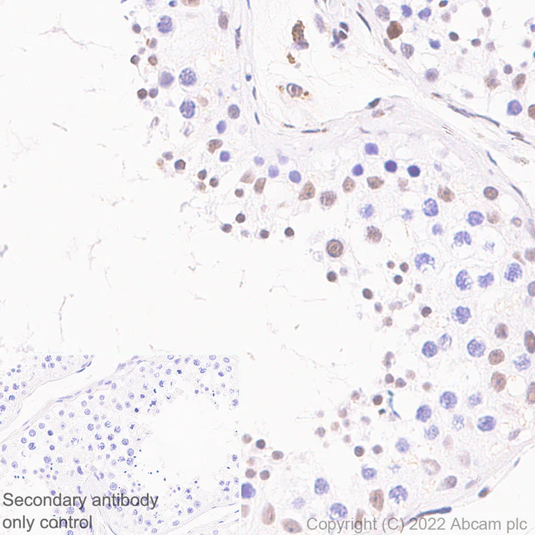
Immunohistochemistry (Formalin/PFA-fixed paraffin-embedded sections) - Anti-PCIF1 antibody [EPR24319-207] (AB300487)
  • IHC-P

Supplier Data

Immunohistochemistry (Formalin/PFA-fixed paraffin-embedded sections) - Anti-PCIF1 antibody [EPR24319-207] (AB300487)

Immunohistochemical analysis of paraffin-embedded Human testis tissue labeling PCIF1 with ab300487 at 1/200 (2.35 ug/ml) followed by a ready to use LeicaDS9800 (Bond™ Polymer Refine Detection) was used. Nuclear staining on human testis. The section was incubated with ab300487 for 30 mins at room temperature.The immunostaining was performed on a Leica Biosystems BOND® RX instrument Counterstained with Hematoxylin. Secondary antibody only control : Secondary antibody is a ready to use LeicaDS9800 (Bond™ Polymer Refine Detection) was used.Heat mediated antigen retrieval with Tris-EDTA buffer (pH 9.0, epitope retrieval solution2) for 20 mins

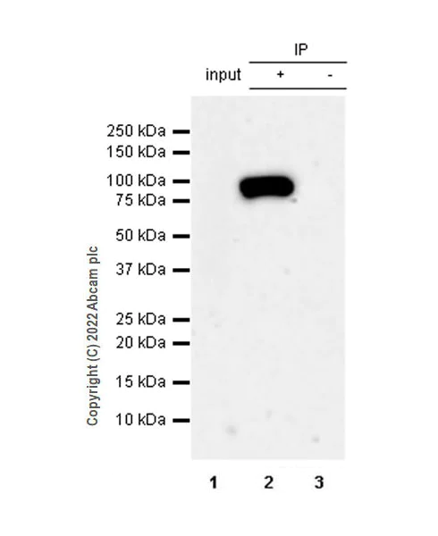
Immunoprecipitation - Anti-PCIF1 antibody [EPR24319-207] (AB300487)
  • IP

Supplier Data

Immunoprecipitation - Anti-PCIF1 antibody [EPR24319-207] (AB300487)

PCIF1 was immunoprecipitated from 0.35 mg HeLa (human cervical adenocarcinoma epithelial cell) whole cell lysate 10 ug with ab300487 at 1/30 dilution (2ug in 0.35mg lysates). Western blot was performed on the immunoprecipitate using ab300487 at 1/1000 dilution. VeriBlot for IP secondary antibody (HRP) (ab131366) was used at 1/5000 dilution.

Lane 1 : HeLa (human cervical adenocarcinoma epithelial cell) whole cell lysate 10 ug

Lane 2 : ab300487 IP in HeLa whole cell lysate

Lane 3 : Rabbit monoclonal IgG (ab172730) instead of ab300487 in HeLa whole cell lysate

Blocking and dilution buffer and concentration : 5% NFDM/TBST.

Exposure time : 84 seconds

All lanes:

Immunoprecipitation - Anti-PCIF1 antibody [EPR24319-207] (ab300487) at 1/1000 dilution

All lanes:

HeLa whole cell lysate at 10 µg

Secondary

All lanes:

Immunoprecipitation - VeriBlot for IP Detection Reagent (HRP) (<a href='/en-us/products/reagents/veriblot-for-ip-detection-reagent-hrp-ab131366'>ab131366</a>) at 1/5000 dilution

false

Exposure time: 84s

Flow Cytometry (Intracellular) - Anti-PCIF1 antibody [EPR24319-207] (AB300487)
  • Flow Cyt (Intra)

Supplier Data

Flow Cytometry (Intracellular) - Anti-PCIF1 antibody [EPR24319-207] (AB300487)

Flow cytometric analysis of 4% paraformaldehyde fixed 90% methanol permeabilized NIH/3T3 (mouse embryonic fibroblast) cells labelling PCIF1 with ab300487 at 1/500 dilution (0.1ug) (Red) (Red) compared with a Rabbit monoclonal IgG (ab172730) (Black) isotype control and an unlabelled control (cells without incubation with primary antibody and secondary antibody) (Blue). A Goat Anti-Rabbit IgG (Alexa Fluor® 488, ab150081) at 1/2000 dilution was used as the secondary antibody.

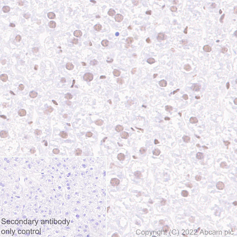
Immunohistochemistry (Formalin/PFA-fixed paraffin-embedded sections) - Anti-PCIF1 antibody [EPR24319-207] (AB300487)
  • IHC-P

Supplier Data

Immunohistochemistry (Formalin/PFA-fixed paraffin-embedded sections) - Anti-PCIF1 antibody [EPR24319-207] (AB300487)

Immunohistochemical analysis of paraffin-embedded Mouse liver tissue labeling PCIF1 with ab300487 at 1/200 (2.35 ug/ml) followed by a ready to use LeicaDS9800 (Bond™ Polymer Refine Detection) was used. Nuclear staining on mouse liver. The section was incubated with ab300487 for 30 mins at room temperature.The immunostaining was performed on a Leica Biosystems BOND® RX instrument Counterstained with Hematoxylin. Secondary antibody only control : Secondary antibody is a ready to use LeicaDS9800 (Bond™ Polymer Refine Detection) was used.Heat mediated antigen retrieval with Tris-EDTA buffer (pH 9.0, epitope retrieval solution2) for 20 mins

Immunocytochemistry/ Immunofluorescence - Anti-PCIF1 antibody [EPR24319-207] (AB300487)
  • ICC/IF

Supplier Data

Immunocytochemistry/ Immunofluorescence - Anti-PCIF1 antibody [EPR24319-207] (AB300487)

Immunofluorescent analysis of 4% Paraformaldehyde-fixed, 0.1% TritonX-100 permeabilized NIH/3T3 (mouse embryonic fibroblast) cells labelling PCIF1 with ab300487 at 1/50 (9.4 ug/ml) dilution, followed by ab150081 Goat Anti-Rabbit IgG H&L (Alexa Fluor® 488) preadsorbed antibody at 1/1000 2 ug/ml dilution (Green). Confocal image showing nuclear staining in NIH/3T3 cell line is observed. was used to counterstain tubulin at 1/200 2.5 dilution (Red). The Nuclear counterstain was DAPI (Blue). Secondary antibody only control : Secondary antibody is ab150081 Goat Anti-Rabbit IgG H&L (Alexa Fluor® 488) preadsorbed at 1/1000 2 ug/ml dilution.

Immunoprecipitation - Anti-PCIF1 antibody [EPR24319-207] (AB300487)
  • IP

Supplier Data

Immunoprecipitation - Anti-PCIF1 antibody [EPR24319-207] (AB300487)

PCIF1 was immunoprecipitated from 0.35 mg NIH/3T3 (mouse embryonic fibroblast), whole cell lysate 10 ug with ab300487 at 1/30 dilution (2ug in 0.35mg lysates). Western blot was performed on the immunoprecipitate using ab300487 at 1/1000 dilution. VeriBlot for IP secondary antibody (HRP) (ab131366) was used at 1/5000 dilution.

Lane 1 : NIH/3T3 (mouse embryonic fibroblast), whole cell lysate 10 ug

Lane 2 : ab300487 IP in NIH/3T3 whole cell lysate

Lane 3 : Rabbit monoclonal IgG (ab172730) instead of ab300487 in NIH/3T3 whole cell lysate

Blocking and dilution buffer and concentration : 5% NFDM/TBST.

Exposure time : 3 minutes

This blot was developed using a high sensitivity ECL substrate.

Lanes 1 - 3:

Immunoprecipitation - Anti-PCIF1 antibody [EPR24319-207] (ab300487) at 1/1000 dilution

Lanes 1 - 3:

Immunoprecipitation - Anti-PCIF1 antibody [EPR24319-207] (BSA and Azide free) (<a href='/en-us/products/primary-antibodies/pcif1-antibody-epr24319-207-bsa-and-azide-free-ab300488'>ab300488</a>)

All lanes:

NIH/3T3 whole cell lysate at 10 µg

Secondary

All lanes:

Immunoprecipitation - VeriBlot for IP Detection Reagent (HRP) (<a href='/en-us/products/reagents/veriblot-for-ip-detection-reagent-hrp-ab131366'>ab131366</a>) at 1/5000 dilution

false

Exposure time: 3min

Western blot - Anti-PCIF1 antibody [EPR24319-207] (AB300487)
  • WB

Supplier Data

Western blot - Anti-PCIF1 antibody [EPR24319-207] (AB300487)

Blocking and diluting buffer and concentration : 5% NFDM/TBST

All lanes:

Western blot - Anti-PCIF1 antibody [EPR24319-207] (ab300487) at 1/1000 dilution

Lane 1:

Jurkat (human T cell leukemia T lymphocyte), whole cell lysate

Lane 2:

293T (human embryonic kidney epithelial cell), whole cell lysate

Lane 3:

MCF7 (human breast adenocarcinoma epithelial cell), whole cell lysate

Lane 4:

NIH/3T3 (mouse embryonic fibroblast), whole cell lysate

Secondary

All lanes:

Western blot - Goat Anti-Rabbit IgG H&L (HRP) (<a href='/en-us/products/secondary-antibodies/goat-rabbit-igg-h-l-hrp-ab97051'>ab97051</a>) at 1/20000 dilution

Observed band size: 85 kDa

false

Western blot - Anti-PCIF1 antibody [EPR24319-207] (AB300487)
  • WB

Supplier Data

Western blot - Anti-PCIF1 antibody [EPR24319-207] (AB300487)

Blocking and diluting buffer and concentration : 5% NFDM/TBST

All lanes:

Western blot - Anti-PCIF1 antibody [EPR24319-207] (ab300487) at 1/1000 dilution

Lane 1:

HeLa (human cervical adenocarcinoma epithelial cell) transfected with scrambled siRNA control, whole cell lysate

Lane 2:

HeLa transfected with siRNA specifically targeti PCIF1, whole cell lysate 40

Secondary

All lanes:

Western blot - Goat Anti-Rabbit IgG H&L (HRP) (<a href='/en-us/products/secondary-antibodies/goat-rabbit-igg-h-l-hrp-ab97051'>ab97051</a>) at 1/20000 dilution

Observed band size: 85 kDa

false

Exposure time: 3min

Western blot - Anti-PCIF1 antibody [EPR24319-207] (AB300487)
  • WB

Supplier Data

Western blot - Anti-PCIF1 antibody [EPR24319-207] (AB300487)

Blocking and diluting buffer and concentration : 5% NFDM/TBST

All lanes:

Western blot - Anti-PCIF1 antibody [EPR24319-207] (ab300487) at 1/1000 dilution

Lane 1:

Human testis tissue lysate

Lane 2:

Mouse testis tissue lysate

Lane 3:

Mouse liver tissue lysate

Lane 4:

Mouse heart tissue lysate

Secondary

All lanes:

Goat Anti-Rabbit IgG (HRP) with minimal cross-reactivity with human IgG at 1/2000 dilution

Observed band size: 85 kDa

false

Exposure time: 3min

  • Carrier free

    Anti-PCIF1 antibody [EPR24319-207] (BSA and Azide free)

Key facts

Host species

Rabbit

Clonality

Monoclonal

Clone number

EPR24319-207

Isotype

IgG

Carrier free

No

Reacts with

Human, Mouse

Applications

ICC/IF, Flow Cyt (Intra), WB, IP, IHC-P

applications

Immunogen

The exact immunogen used to generate this antibody is proprietary information.

Reactivity data

{ "title": "Reactivity Data", "filters": { "stats": ["", "Species", "Dilution Info", "Notes"], "tabs": { "all-applications": {"fullname" : "All Applications", "shortname": "All Applications"}, "WB" : {"fullname" : "Western blot", "shortname":"WB"}, "IHCP" : {"fullname" : "Immunohistochemistry (Formalin/PFA-fixed paraffin-embedded sections)", "shortname":"IHC-P"}, "ICCIF" : {"fullname" : "Immunocytochemistry/ Immunofluorescence", "shortname":"ICC/IF"}, "FlowCytIntra" : {"fullname" : "Flow Cytometry (Intracellular)", "shortname":"Flow Cyt (Intra)"}, "IP" : {"fullname" : "Immunoprecipitation", "shortname":"IP"} }, "product-promise": { "all": "all", "testedAndGuaranteed": "tested", "guaranteed": "expected", "predicted": "predicted", "notRecommended": "not-recommended" } }, "values": { "Human": { "WB-species-checked": "testedAndGuaranteed", "WB-species-dilution-info": "1/1000", "WB-species-notes": "<p></p>", "IHCP-species-checked": "testedAndGuaranteed", "IHCP-species-dilution-info": "1/200", "IHCP-species-notes": "<p></p> Perform heat-mediated antigen retrieval with Tris/EDTA buffer pH 9.0 before commencing with IHC staining protocol.", "ICCIF-species-checked": "testedAndGuaranteed", "ICCIF-species-dilution-info": "1/50", "ICCIF-species-notes": "<p></p>", "FlowCytIntra-species-checked": "testedAndGuaranteed", "FlowCytIntra-species-dilution-info": "1/500", "FlowCytIntra-species-notes": "<p></p>", "IP-species-checked": "testedAndGuaranteed", "IP-species-dilution-info": "1/30", "IP-species-notes": "<p></p>" }, "Mouse": { "WB-species-checked": "testedAndGuaranteed", "WB-species-dilution-info": "1/1000", "WB-species-notes": "<p></p>", "IHCP-species-checked": "testedAndGuaranteed", "IHCP-species-dilution-info": "1/200", "IHCP-species-notes": "<p></p> Perform heat-mediated antigen retrieval with Tris/EDTA buffer pH 9.0 before commencing with IHC staining protocol.", "ICCIF-species-checked": "testedAndGuaranteed", "ICCIF-species-dilution-info": "1/50", "ICCIF-species-notes": "<p></p>", "FlowCytIntra-species-checked": "testedAndGuaranteed", "FlowCytIntra-species-dilution-info": "1/500", "FlowCytIntra-species-notes": "<p></p>", "IP-species-checked": "testedAndGuaranteed", "IP-species-dilution-info": "1/30", "IP-species-notes": "<p></p>" }, "Rat": { "WB-species-checked": "notRecommended", "WB-species-dilution-info": "1/1000", "WB-species-notes": "<p></p>", "IHCP-species-checked": "notRecommended", "IHCP-species-dilution-info": "1/200", "IHCP-species-notes": "<p></p> Perform heat-mediated antigen retrieval with Tris/EDTA buffer pH 9.0 before commencing with IHC staining protocol.", "ICCIF-species-checked": "notRecommended", "ICCIF-species-dilution-info": "", "ICCIF-species-notes": "", "FlowCytIntra-species-checked": "notRecommended", "FlowCytIntra-species-dilution-info": "", "FlowCytIntra-species-notes": "", "IP-species-checked": "notRecommended", "IP-species-dilution-info": "", "IP-species-notes": "" } } }

Product details

Patented technology
Our RabMAb® technology is a patented hybridoma-based technology for making rabbit monoclonal antibodies. For details on our patents, please refer to RabMAb® patents.

What are the advantages of a recombinant monoclonal antibody?
This product is a recombinant monoclonal antibody, which offers several advantages including:

  • - High batch-to-batch consistency and reproducibility
  • - Improved sensitivity and specificity
  • - Long-term security of supply
  • - Animal-free batch production

For more information, read more on recombinant antibodies.

Properties and storage information

Form
Liquid
Purification technique
Affinity purification Protein A
Storage buffer
pH: 7.2 - 7.4 Preservative: 0.01% Sodium azide Constituents: PBS, 40% Glycerol (glycerin, glycerine), 0.05% BSA
Shipped at conditions
Blue Ice
Appropriate short-term storage duration
1-2 weeks
Appropriate short-term storage conditions
+4°C
Appropriate long-term storage conditions
-20°C
Aliquoting information
Upon delivery aliquot
Storage information
Avoid freeze / thaw cycle

Supplementary information

This supplementary information is collated from multiple sources and compiled automatically.

PCIF1 also known as Phosphorylated CTD-interacting factor 1 is a protein with a mass of around 66 kDa. It functions mechanically as an enzyme that methylates the 2'-O position of RNA cap structures modulating mRNA stability and translation. You find PCIF1 expression predominantly in the nucleus of human cells where it interacts with the C-terminal domain of RNA polymerase II. Its role is essential in RNA processing impacting the regulation of gene expression at a post-transcriptional level.
Biological function summary

PCIF1 modifies RNA molecules influencing mRNA cap structure formation and methylation. This activity is a part of the cap-binding complex which ensures proper RNA maturation and function. By interacting with the cap structure it plays a non-ignorable role in the control of RNA export translation and degradation facilitating the precise regulation of genetic information flow within cells. Its presence in the methyltransferase complex highlights its importance in cell biology.

Pathways

PCIF1 plays a prominent role in the mRNA capping and processing pathways. It partners with proteins such as RNA polymerase II in the pathway to ensure successful transcription and subsequent RNA modifications. The involvement in the mRNA cap methylation pathway highlights its connection with transcription and subsequent mRNA fate marking it as an important regulator in post-transcriptional gene expression regulation.

PCIF1 has been associated with conditions such as cancer and neurodegenerative diseases. Altered expression or function of PCIF1 can disrupt normal cellular processes leading to the progression of these disorders. Studies link PCIF1 changes to irregular mRNA methylation patterns which may relate to oncogenic transformation or neuronal dysfunction. Related proteins like RNA polymerase II also play important roles in understanding these disease mechanisms as they interact within the same pathways disrupted during disease states.

Product protocols

For this product, it's our understanding that no specific protocols are required. You can visit:

Target data

Cap-specific adenosine methyltransferase that catalyzes formation of N(6),2'-O-dimethyladenosine cap (m6A(m)) by methylating the adenosine at the second transcribed position of capped mRNAs (PubMed : 30467178, PubMed : 30487554, PubMed : 31279658, PubMed : 31279659, PubMed : 33428944). Recruited to the early elongation complex of RNA polymerase II (RNAPII) via interaction with POLR2A and mediates formation of m6A(m) co-transcriptionally (PubMed : 30467178).
See full target information PCIF1

Publications (1)

Recent publications for all applications. Explore the full list and refine your search

The Journal of cell biology 223: PubMed38526325

2024

m6Am methyltransferase PCIF1 negatively regulates ciliation by inhibiting BICD2 expression.

Applications

Unspecified application

Species

Unspecified reactive species

Shanshan Xie,Wenjun Kuang,Mengzhe Guo,Feng Yang,Hao Jin,Xiying Chen,Li Yi,Chunxiao Huo,Zhangqi Xu,Aifu Lin,Wei Liu,Jianhua Mao,Qiang Shu,Tianhua Zhou
View all publications

Product promise

We are committed to supporting your work with high-quality reagents, and we're here for you every step of the way. In the unlikely event that one of our products does not perform as expected, you're protected by our Product Promise.
For full details, please see our Terms & Conditions

Please note: All products are 'FOR RESEARCH USE ONLY. NOT FOR USE IN DIAGNOSTIC OR THERAPEUTIC PROCEDURES'.

For licensing inquiries, please contact partnerships@abcam.com