JavaScript is disabled in your browser. Please enable JavaScript to view this website.
AB271081

Anti-PCIF1 antibody [EPR24319-21]

Be the first to review this product! Submit a review

|

(1 Publication)

Rabbit Recombinant Monoclonal PCIF1 antibody. Suitable for IP, WB and reacts with Human, Rat samples. Cited in 1 publication.

View Alternative Names

C20orf67, CAPAM, PPP1R121, PCIF1, mRNA (2'-O-methyladenosine-N(6)-)-methyltransferase, Cap-specific adenosine methyltransferase, Phosphorylated CTD-interacting factor 1, Protein phosphatase 1 regulatory subunit 121, hCAPAM, hPCIF1

4 Images
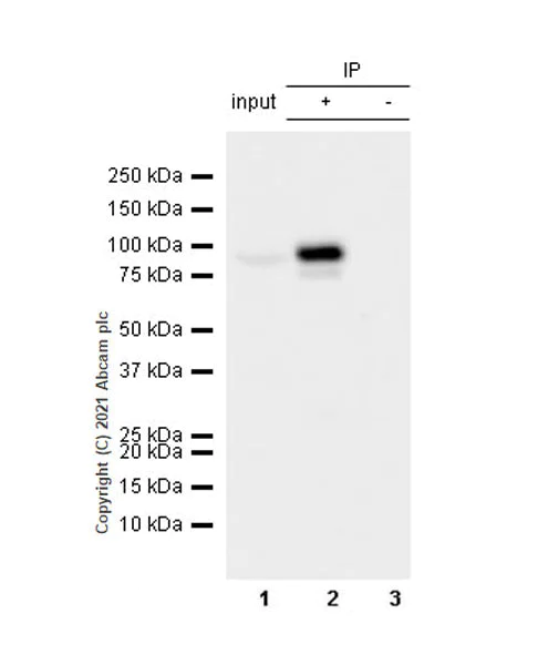
Immunoprecipitation - Anti-PCIF1 antibody [EPR24319-21] (AB271081)
  • IP

Supplier Data

Immunoprecipitation - Anti-PCIF1 antibody [EPR24319-21] (AB271081)

PCIF1 was immunoprecipitated from 0.35 mg MCF-7 (human breast adenocarcinoma epithelial cell) whole cell lysate 10 ug with ab271081 at 1/30 dilution (2ug in 0.35mg lysates). Western blot was performed on the immunoprecipitate using ab271081 at 1/1000 dilution. VeriBlot for IP secondary antibody(HRP)(ab131366) was used at 1/5000 dilution.

Lane 1 : MCF-7 (human breast adenocarcinoma epithelial cell) whole cell lysate 10 ug

Lane 2 : ab271081 IP in MCF-7 whole cell lysate

Lane 3 : Rabbit monoclonal IgG (ab172730) instead of ab271081 in MCF-7 whole cell lysate

Blocking and dilution buffer and concentration : 5% NFDM/TBST.

Exposure time : 24 seconds

This blot was developed using a higher sensitivity ECL substrate.

All lanes:

Immunoprecipitation - Anti-PCIF1 antibody [EPR24319-21] (ab271081)

Predicted band size: 81 kDa

Observed band size: 85 kDa

false

Western blot - Anti-PCIF1 antibody [EPR24319-21] (AB271081)
  • WB

Lab

Western blot - Anti-PCIF1 antibody [EPR24319-21] (AB271081)

Blocking and diluting buffer and concentration : 5% NFDM/TBST.

Exposure time : 3 minutes.

All lanes:

Western blot - Anti-PCIF1 antibody [EPR24319-21] (ab271081) at 1/1000 dilution

All lanes:

Human testis tissue lysate at 20 µg

Secondary

All lanes:

Goat Anti-Rabbit IgG (HRP) with minimal cross-reactivity with human IgG at 1/2000 dilution

Predicted band size: 81 kDa

Observed band size: 85 kDa

false

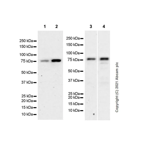
Western blot - Anti-PCIF1 antibody [EPR24319-21] (AB271081)
  • WB

Lab

Western blot - Anti-PCIF1 antibody [EPR24319-21] (AB271081)

Blocking and diluting buffer and concentration : 5% NFDM/TBST

This blot (lane 3 and 4) was developed using a higher sensitivity ECL substrate.

Exposure time : 3 minutes.

All lanes:

Western blot - Anti-PCIF1 antibody [EPR24319-21] (ab271081) at 1/1000 dilution

Lane 1:

293T (human embryonic kidney epithelial cell) whole cell lysate at 20 µg

Lane 2:

MCF-7 (human breast adenocarcinoma epithelial cell) whole cell lysate at 20 µg

Lane 3:

HeLa (human cervix adenocarcinoma epithelial cell) whole cell lysate at 20 µg

Lane 4:

Jurkat (human T cell leukemia T lymphocyte) whole cell lysate at 20 µg

Secondary

All lanes:

Western blot - Goat Anti-Rabbit IgG H&L (HRP) (<a href='/en-us/products/secondary-antibodies/goat-rabbit-igg-h-l-hrp-ab97051'>ab97051</a>) at 1/100000 dilution

Predicted band size: 81 kDa

Observed band size: 85 kDa

false

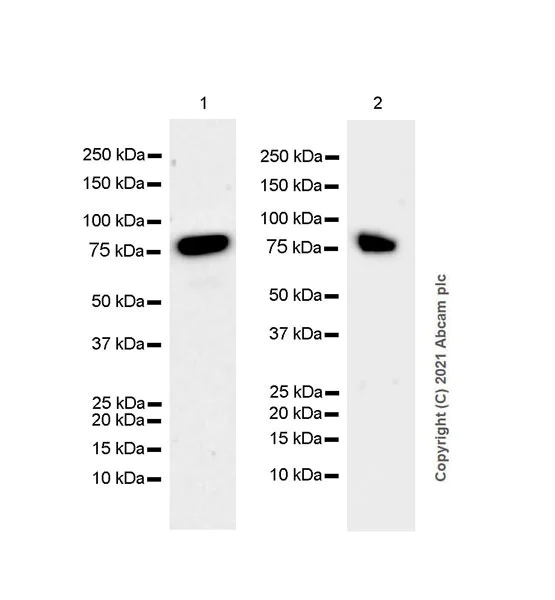
Western blot - Anti-PCIF1 antibody [EPR24319-21] (AB271081)
  • WB

Lab

Western blot - Anti-PCIF1 antibody [EPR24319-21] (AB271081)

Blocking and diluting buffer and concentration : 5% NFDM/TBST.

Exposure time : 3 minutes.

All lanes:

Western blot - Anti-PCIF1 antibody [EPR24319-21] (ab271081) at 1/1000 dilution

Lane 1:

Rat liver tissue lysate at 20 µg

Lane 2:

Rat testis tissue lysate at 20 µg

Secondary

All lanes:

Western blot - Goat Anti-Rabbit IgG H&L (HRP) (<a href='/en-us/products/secondary-antibodies/goat-rabbit-igg-h-l-hrp-ab97051'>ab97051</a>) at 1/100000 dilution

Predicted band size: 81 kDa

Observed band size: 85 kDa

false

  • Carrier free

    Anti-PCIF1 antibody [EPR24319-21] - BSA and Azide free

Key facts

Host species

Rabbit

Clonality

Monoclonal

Clone number

EPR24319-21

Isotype

IgG

Carrier free

No

Reacts with

Rat, Human

Applications

IP, WB

applications

Immunogen

The exact immunogen used to generate this antibody is proprietary information.

Reactivity data

{ "title": "Reactivity Data", "filters": { "stats": ["", "Species", "Dilution Info", "Notes"], "tabs": { "all-applications": {"fullname" : "All Applications", "shortname": "All Applications"}, "ICCIF" : {"fullname" : "Immunocytochemistry/ Immunofluorescence", "shortname":"ICC/IF"}, "IP" : {"fullname" : "Immunoprecipitation", "shortname":"IP"}, "WB" : {"fullname" : "Western blot", "shortname":"WB"}, "IHCP" : {"fullname" : "Immunohistochemistry (Formalin/PFA-fixed paraffin-embedded sections)", "shortname":"IHC-P"}, "FlowCytIntra" : {"fullname" : "Flow Cytometry (Intracellular)", "shortname":"Flow Cyt (Intra)"} }, "product-promise": { "all": "all", "testedAndGuaranteed": "tested", "guaranteed": "expected", "predicted": "predicted", "notRecommended": "not-recommended" } }, "values": { "Human": { "ICCIF-species-checked": "notRecommended", "ICCIF-species-dilution-info": "", "ICCIF-species-notes": "<p></p>", "IP-species-checked": "testedAndGuaranteed", "IP-species-dilution-info": "1/30", "IP-species-notes": "<p></p>", "WB-species-checked": "testedAndGuaranteed", "WB-species-dilution-info": "1/1000", "WB-species-notes": "<p></p>", "IHCP-species-checked": "notRecommended", "IHCP-species-dilution-info": "", "IHCP-species-notes": "<p></p>", "FlowCytIntra-species-checked": "notRecommended", "FlowCytIntra-species-dilution-info": "", "FlowCytIntra-species-notes": "<p></p>" }, "Mouse": { "ICCIF-species-checked": "notRecommended", "ICCIF-species-dilution-info": "", "ICCIF-species-notes": "<p></p>", "IP-species-checked": "notRecommended", "IP-species-dilution-info": "1/30", "IP-species-notes": "<p></p>", "WB-species-checked": "notRecommended", "WB-species-dilution-info": "1/1000", "WB-species-notes": "<p></p>", "IHCP-species-checked": "notRecommended", "IHCP-species-dilution-info": "", "IHCP-species-notes": "<p></p>", "FlowCytIntra-species-checked": "notRecommended", "FlowCytIntra-species-dilution-info": "", "FlowCytIntra-species-notes": "<p></p>" }, "Rat": { "ICCIF-species-checked": "notRecommended", "ICCIF-species-dilution-info": "", "ICCIF-species-notes": "", "IP-species-checked": "guaranteed", "IP-species-dilution-info": "", "IP-species-notes": "", "WB-species-checked": "testedAndGuaranteed", "WB-species-dilution-info": "1/1000", "WB-species-notes": "<p></p>", "IHCP-species-checked": "notRecommended", "IHCP-species-dilution-info": "", "IHCP-species-notes": "<p></p>", "FlowCytIntra-species-checked": "notRecommended", "FlowCytIntra-species-dilution-info": "", "FlowCytIntra-species-notes": "" } } }

Product details

Patented technology
Our RabMAb® technology is a patented hybridoma-based technology for making rabbit monoclonal antibodies. For details on our patents, please refer to RabMAb® patents.

What are the advantages of a recombinant monoclonal antibody?
This product is a recombinant monoclonal antibody, which offers several advantages including:

  • - High batch-to-batch consistency and reproducibility
  • - Improved sensitivity and specificity
  • - Long-term security of supply
  • - Animal-free batch production

For more information, read more on recombinant antibodies.

Properties and storage information

Form
Liquid
Purification technique
Affinity purification Protein A
Storage buffer
pH: 7.2 - 7.4 Preservative: 0.01% Sodium azide Constituents: PBS, 40% Glycerol (glycerin, glycerine), 0.05% BSA
Shipped at conditions
Blue Ice
Appropriate short-term storage duration
1-2 weeks
Appropriate short-term storage conditions
+4°C
Appropriate long-term storage conditions
-20°C
Aliquoting information
Upon delivery aliquot
Storage information
Avoid freeze / thaw cycle

Supplementary information

This supplementary information is collated from multiple sources and compiled automatically.

PCIF1 also known as Phosphorylated CTD-interacting factor 1 is a protein with a mass of around 66 kDa. It functions mechanically as an enzyme that methylates the 2'-O position of RNA cap structures modulating mRNA stability and translation. You find PCIF1 expression predominantly in the nucleus of human cells where it interacts with the C-terminal domain of RNA polymerase II. Its role is essential in RNA processing impacting the regulation of gene expression at a post-transcriptional level.
Biological function summary

PCIF1 modifies RNA molecules influencing mRNA cap structure formation and methylation. This activity is a part of the cap-binding complex which ensures proper RNA maturation and function. By interacting with the cap structure it plays a non-ignorable role in the control of RNA export translation and degradation facilitating the precise regulation of genetic information flow within cells. Its presence in the methyltransferase complex highlights its importance in cell biology.

Pathways

PCIF1 plays a prominent role in the mRNA capping and processing pathways. It partners with proteins such as RNA polymerase II in the pathway to ensure successful transcription and subsequent RNA modifications. The involvement in the mRNA cap methylation pathway highlights its connection with transcription and subsequent mRNA fate marking it as an important regulator in post-transcriptional gene expression regulation.

PCIF1 has been associated with conditions such as cancer and neurodegenerative diseases. Altered expression or function of PCIF1 can disrupt normal cellular processes leading to the progression of these disorders. Studies link PCIF1 changes to irregular mRNA methylation patterns which may relate to oncogenic transformation or neuronal dysfunction. Related proteins like RNA polymerase II also play important roles in understanding these disease mechanisms as they interact within the same pathways disrupted during disease states.

Product protocols

For this product, it's our understanding that no specific protocols are required. You can visit:

Target data

Cap-specific adenosine methyltransferase that catalyzes formation of N(6),2'-O-dimethyladenosine cap (m6A(m)) by methylating the adenosine at the second transcribed position of capped mRNAs (PubMed : 30467178, PubMed : 30487554, PubMed : 31279658, PubMed : 31279659, PubMed : 33428944). Recruited to the early elongation complex of RNA polymerase II (RNAPII) via interaction with POLR2A and mediates formation of m6A(m) co-transcriptionally (PubMed : 30467178).
See full target information PCIF1

Publications (1)

Recent publications for all applications. Explore the full list and refine your search

The Journal of clinical investigation 133: PubMed37643007

2023

The CTBP2-PCIF1 complex regulates m6Am modification of mRNA in head and neck squamous cell carcinoma.

Applications

Unspecified application

Species

Unspecified reactive species

Kang Li,Jie Chen,Caihua Zhang,Maosheng Cheng,Shuang Chen,Wei Song,Chunlong Yang,Rongsong Ling,Zhi Chen,Xiaochen Wang,Gan Xiong,Jieyi Ma,Yan Zhu,Quan Yuan,Qi Liu,Liang Peng,Qianming Chen,Demeng Chen
View all publications

Product promise

We are committed to supporting your work with high-quality reagents, and we're here for you every step of the way. In the unlikely event that one of our products does not perform as expected, you're protected by our Product Promise.
For full details, please see our Terms & Conditions

Please note: All products are 'FOR RESEARCH USE ONLY. NOT FOR USE IN DIAGNOSTIC OR THERAPEUTIC PROCEDURES'.

For licensing inquiries, please contact partnerships@abcam.com