JavaScript is disabled in your browser. Please enable JavaScript to view this website.
AB154142

Anti-PCM1 antibody [CL0206]

3

(4 Reviews)

|

(3 Publications)

Mouse Monoclonal PCM1 antibody. Suitable for IHC-P, WB and reacts with Human samples. Cited in 3 publications.

View Alternative Names

Pericentriolar material 1 protein, PCM-1, hPCM-1, PCM1

6 Images
Immunohistochemistry (Formalin/PFA-fixed paraffin-embedded sections) - Anti-PCM1 antibody [CL0206] (AB154142)
  • IHC-P

Unknown

Immunohistochemistry (Formalin/PFA-fixed paraffin-embedded sections) - Anti-PCM1 antibody [CL0206] (AB154142)

Immunohistochemical analysis of Human cerebral cortex tissue labeling PCM1 with ab154142 at 1/200 dilution.

Immunohistochemistry (Formalin/PFA-fixed paraffin-embedded sections) - Anti-PCM1 antibody [CL0206] (AB154142)
  • IHC-P

Unknown

Immunohistochemistry (Formalin/PFA-fixed paraffin-embedded sections) - Anti-PCM1 antibody [CL0206] (AB154142)

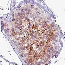
Immunohistochemical analysis of Human testis tissue labeling PCM1 with ab154142 at 1/200 dilution.

Immunohistochemistry (Formalin/PFA-fixed paraffin-embedded sections) - Anti-PCM1 antibody [CL0206] (AB154142)
  • IHC-P

Unknown

Immunohistochemistry (Formalin/PFA-fixed paraffin-embedded sections) - Anti-PCM1 antibody [CL0206] (AB154142)

Immunohistochemical analysis of Human dtriated muscle tissue labeling PCM1 with ab154142 at 1/200 dilution.

Immunohistochemistry (Formalin/PFA-fixed paraffin-embedded sections) - Anti-PCM1 antibody [CL0206] (AB154142)
  • IHC-P

Unknown

Immunohistochemistry (Formalin/PFA-fixed paraffin-embedded sections) - Anti-PCM1 antibody [CL0206] (AB154142)

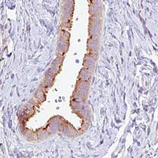
Immunohistochemical analysis of Human fallopian tube tissue labeling PCM1 with ab154142 at 1/200 dilution.

Western blot - Anti-PCM1 antibody [CL0206] (AB154142)
  • WB

Supplier Data

Western blot - Anti-PCM1 antibody [CL0206] (AB154142)

All lanes:

Western blot - Anti-PCM1 antibody [CL0206] (ab154142) at 1/1000 dilution

All lanes:

Human cell line U-251

Predicted band size: 229 kDa

false

Western blot - Anti-PCM1 antibody [CL0206] (AB154142)
  • WB

Unknown

Western blot - Anti-PCM1 antibody [CL0206] (AB154142)

All lanes:

Western blot - Anti-PCM1 antibody [CL0206] (ab154142) at 1/1000 dilution

All lanes:

RT4 cell lysate

Predicted band size: 229 kDa

false

Key facts

Host species

Mouse

Clonality

Monoclonal

Clone number

CL0206

Isotype

IgG1

Carrier free

No

Reacts with

Human

Applications

IHC-P, WB

applications

Immunogen

The exact immunogen used to generate this antibody is proprietary information.

Reactivity data

{ "title": "Reactivity Data", "filters": { "stats": ["", "Species", "Dilution Info", "Notes"], "tabs": { "all-applications": {"fullname" : "All Applications", "shortname": "All Applications"}, "IHCP" : {"fullname" : "Immunohistochemistry (Formalin/PFA-fixed paraffin-embedded sections)", "shortname":"IHC-P"}, "WB" : {"fullname" : "Western blot", "shortname":"WB"} }, "product-promise": { "all": "all", "testedAndGuaranteed": "tested", "guaranteed": "expected", "predicted": "predicted", "notRecommended": "not-recommended" } }, "values": { "Human": { "IHCP-species-checked": "testedAndGuaranteed", "IHCP-species-dilution-info": "1/200 - 1/500", "IHCP-species-notes": "<p></p> Perform heat-mediated antigen retrieval with citrate buffer pH 6 before commencing with IHC staining protocol.", "WB-species-checked": "testedAndGuaranteed", "WB-species-dilution-info": "1/500 - 1/1000", "WB-species-notes": "<p></p>" }, "Mouse": { "IHCP-species-checked": "predicted", "IHCP-species-dilution-info": "", "IHCP-species-notes": "", "WB-species-checked": "predicted", "WB-species-dilution-info": "", "WB-species-notes": "" }, "Rat": { "IHCP-species-checked": "predicted", "IHCP-species-dilution-info": "", "IHCP-species-notes": "", "WB-species-checked": "predicted", "WB-species-dilution-info": "", "WB-species-notes": "" } } }

Properties and storage information

Form
Liquid
Purification technique
Affinity purification Protein A
Storage buffer
pH: 7.2 Preservative: 0.02% Sodium azide Constituents: PBS, 40% Glycerol (glycerin, glycerine)
Shipped at conditions
Blue Ice
Appropriate short-term storage conditions
+4°C
Appropriate long-term storage conditions
-20°C
Aliquoting information
Upon delivery aliquot
Storage information
Avoid freeze / thaw cycle

Supplementary information

This supplementary information is collated from multiple sources and compiled automatically.

PCM1 (Pericentriolar Material 1) also known as the PCM-1 protein functions mechanically in the organization of centrosomes and microtubules. This mechanistic role is linked with its name due to its positioning around the centrosome a critical cellular structure for division. The PCM1 protein shows an approximate mass of 228 kDa. It is expressed broadly in various tissues but mainly in organs with high cellular turnover including the testis thymus and heart. Notably PCM1 serves as a scaffold protein anchoring various centrosomal proteins important for their correct assembly and positioning.
Biological function summary

The PCM1 protein plays an important role in the microtubule stabilization and cell cycle progression. This protein becomes part of the larger pericentriolar material complex which supports the necessary structural platform for centrosome and cilia function. PCM1 assists in docking other proteins like centrin centrin-binding proteins and pericentriolar satellites in the complex ensuring the intricacies of ciliary trafficking and centrosome cohesion are well-maintained. It helps in regulating processes critical to normal cell polarity and division.

Pathways

PCM1 protein integrates pathway activities relating to not only microtubule dynamism but also cellular motility. It is involved in the centrosome-cilia interface important for signal transduction and cellular homeostasis. PCM1 interacts with key pathway proteins such as CEP290 and OFD1 which are significant for ciliogenesis thereby influencing cellular responses to extracellular cues. These pathways directly tie the mechanics of PCM1 to essential biological responses including cell signaling pathways that ensure normal embryonic development and cell differentiation.

PCM1 plays a relevant role in the context of ciliopathies and certain cancers. Abnormalities or mutations in PCM1 have associations with disorders such as Bardet-Biedl Syndrome a ciliopathy characterized by malfunctioning cilia. Aberrant PCM1 expressions or mutations also have links to leukemia through its implication in the ETV6-PCM1 fusion gene. The interplay between PCM1 and proteins such as ETV6 in leukemia highlights its impact on chromosomal translocations and the potential muscular pathway misregulation leading to malignancy.

Product protocols

For this product, it's our understanding that no specific protocols are required. You can visit:

Target data

Required for centrosome assembly and function (PubMed : 12403812, PubMed : 15659651, PubMed : 16943179). Essential for the correct localization of several centrosomal proteins including CEP250, CETN3, PCNT and NEK2 (PubMed : 12403812, PubMed : 15659651). Required to anchor microtubules to the centrosome (PubMed : 12403812, PubMed : 15659651). Also involved in cilium biogenesis by recruiting the BBSome, a ciliary protein complex involved in cilium biogenesis, to the centriolar satellites (PubMed : 20551181, PubMed : 24121310, PubMed : 27979967). Recruits the tubulin polyglutamylase complex (TPGC) to centriolar satellites (PubMed : 34782749).
See full target information PCM1

Publications (3)

Recent publications for all applications. Explore the full list and refine your search

Journal of cell science 134: PubMed33483367

2021

EFA6A, an exchange factor for Arf6, regulates early steps in ciliogenesis.

Applications

Unspecified application

Species

Unspecified reactive species

Mariagrazia Partisani,Carole L Baron,Rania Ghossoub,Racha Fayad,Sophie Pagnotta,Sophie Abélanet,Eric Macia,Frédéric Brau,Sandra Lacas-Gervais,Alexandre Benmerah,Frédéric Luton,Michel Franco

The EMBO journal 38: PubMed30737259

2019

Length-independent telomere damage drives post-mitotic cardiomyocyte senescence.

Applications

Unspecified application

Species

Unspecified reactive species

Rhys Anderson,Anthony Lagnado,Damien Maggiorani,Anna Walaszczyk,Emily Dookun,James Chapman,Jodie Birch,Hanna Salmonowicz,Mikolaj Ogrodnik,Diana Jurk,Carole Proctor,Clara Correia-Melo,Stella Victorelli,Edward Fielder,Rolando Berlinguer-Palmini,Andrew Owens,Laura C Greaves,Kathy L Kolsky,Angelo Parini,Victorine Douin-Echinard,Nathan K LeBrasseur,Helen M Arthur,Simon Tual-Chalot,Marissa J Schafer,Carolyn M Roos,Jordan D Miller,Neil Robertson,Jelena Mann,Peter D Adams,Tamara Tchkonia,James L Kirkland,Jeanne Mialet-Perez,Gavin D Richardson,João F Passos

Nature communications 7:11005 PubMed26987684

2016

A CEP215-HSET complex links centrosomes with spindle poles and drives centrosome clustering in cancer.

Applications

Unspecified application

Species

Unspecified reactive species

Pavithra L Chavali,Gayathri Chandrasekaran,Alexis R Barr,Péter Tátrai,Chris Taylor,Evaggelia K Papachristou,C Geoffrey Woods,Sreenivas Chavali,Fanni Gergely
View all publications

Product promise

We are committed to supporting your work with high-quality reagents, and we're here for you every step of the way. In the unlikely event that one of our products does not perform as expected, you're protected by our Product Promise.
For full details, please see our Terms & Conditions

Please note: All products are 'FOR RESEARCH USE ONLY. NOT FOR USE IN DIAGNOSTIC OR THERAPEUTIC PROCEDURES'.

For licensing inquiries, please contact partnerships@abcam.com