JavaScript is disabled in your browser. Please enable JavaScript to view this website.
AB324615

Anti-PCM1 antibody [EPR30467-546]

Be the first to review this product! Submit a review

|

(0 Publication)

Rabbit Recombinant Monoclonal PCM1 antibody. Suitable for Flow Cyt (Intra), ICC/IF, IHC-P, WB, mIHC and reacts with Human, Mouse samples.

View Alternative Names

Pericentriolar material 1 protein, PCM-1, hPCM-1, PCM1

9 Images
Immunocytochemistry/ Immunofluorescence - Anti-PCM1 antibody [EPR30467-546] (AB324615)
  • ICC/IF

Supplier Data

Immunocytochemistry/ Immunofluorescence - Anti-PCM1 antibody [EPR30467-546] (AB324615)

Immunofluorescent analysis of 4% Paraformaldehyde-fixed, 0.1% TritonX-100 permeabilized HeLa (human cervical adenocarcinoma epithelial cell) cells labelling PCM1 with ab324615 at 1/5000 (0.1 ug/ml) dilution, followed by ab150081 Goat Anti-Rabbit IgG H&L (Alexa Fluor® 488) preadsorbed antibody at 1/ab150081 1000 2ug/ml dilution (Green).

Confocal image showing centrosome staining in HeLa cell line (shown in green). The counterstain was observed in magenta. Nuclear DNA was labelled with DAPI (shown in blue). Image was taken with a confocal microscope (Leica-Microsystems, TCS SP8).

ab28144 Anti-Pericentrin mouse monoclonal antibody - Centrosome Marker was used to counterstain tubulin at 1/ab28144 100 10.00ug/ml dilution (Magenta). The Nuclear counterstain was DAPI (Blue).

Secondary antibody only control : Secondary antibody is ab150081 Goat Anti-Rabbit IgG H&L (Alexa Fluor® 488) preadsorbed at 1/ab150081 1000 2ug/ml dilution.

Immunohistochemistry (Formalin/PFA-fixed paraffin-embedded sections) - Anti-PCM1 antibody [EPR30467-546] (AB324615)
  • IHC-P

Supplier Data

Immunohistochemistry (Formalin/PFA-fixed paraffin-embedded sections) - Anti-PCM1 antibody [EPR30467-546] (AB324615)

Immunohistochemical analysis of paraffin-embedded Human lung carcinoma tissue labeling PCM1 with ab324615 at 1/200 (2.5 ug/ml) dilution, followed by a ready to use LeicaDS9800 (Bond™ Polymer Refine Detection).

Positive staining on centrosomes in human lung carcinoma.
The primary antibody was incubated for 30 mins at room temperature.
The immunostaining was performed on a Leica Biosystems BOND® RX instrument

Counterstained with Hematoxylin.

Secondary antibody only control : Secondary antibody is a ready to use LeicaDS9800 (Bond™ Polymer Refine Detection).

Heat mediated antigen retrieval was performed with Tris-EDTA buffer (pH 9.0, Epitope Retrieval Solution2) for 20 mins

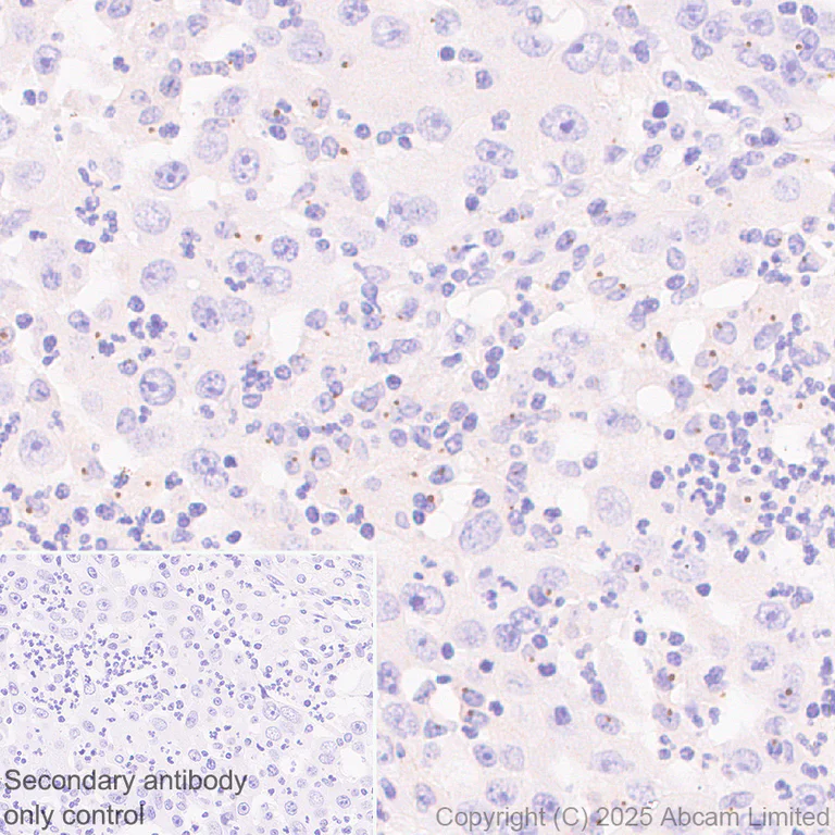
Immunohistochemistry (Formalin/PFA-fixed paraffin-embedded sections) - Anti-PCM1 antibody [EPR30467-546] (AB324615)
  • IHC-P

Supplier Data

Immunohistochemistry (Formalin/PFA-fixed paraffin-embedded sections) - Anti-PCM1 antibody [EPR30467-546] (AB324615)

Immunohistochemical analysis of paraffin-embedded Human tonsil tissue labeling PCM1 with ab324615 at 1/200 (2.5 ug/ml) dilution, followed by a ready to use LeicaDS9800 (Bond™ Polymer Refine Detection).

Positive staining on centrosomes in human tonsil. (A) Low-powered (magnification, x20) and (B) high-powered (magnification, x40).
The primary antibody was incubated for 30 mins at room temperature.
The immunostaining was performed on a Leica Biosystems BOND® RX instrument

Counterstained with Hematoxylin.

Secondary antibody only control : Secondary antibody is a ready to use LeicaDS9800 (Bond™ Polymer Refine Detection).

Heat mediated antigen retrieval was performed with Tris-EDTA buffer (pH 9.0, Epitope Retrieval Solution2) for 20 mins

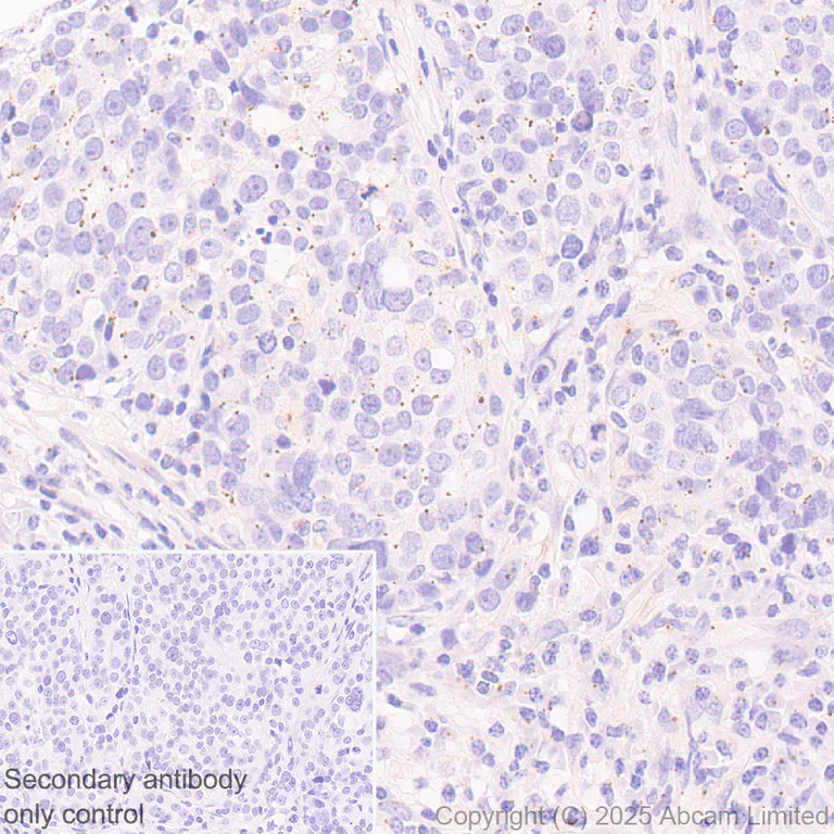
Immunohistochemistry (Formalin/PFA-fixed paraffin-embedded sections) - Anti-PCM1 antibody [EPR30467-546] (AB324615)
  • IHC-P

Supplier Data

Immunohistochemistry (Formalin/PFA-fixed paraffin-embedded sections) - Anti-PCM1 antibody [EPR30467-546] (AB324615)

Immunohistochemical analysis of paraffin-embedded Human ovarian carcinoma tissue labeling PCM1 with ab324615 at 1/200 (2.5 ug/ml) dilution, followed by a ready to use LeicaDS9800 (Bond™ Polymer Refine Detection).

Positive staining on centrosomes in human ovarian carcinoma.
The primary antibody was incubated for 30 mins at room temperature.
The immunostaining was performed on a Leica Biosystems BOND® RX instrument

Counterstained with Hematoxylin.

Secondary antibody only control : Secondary antibody is a ready to use LeicaDS9800 (Bond™ Polymer Refine Detection).

Heat mediated antigen retrieval was performed with Tris-EDTA buffer (pH 9.0, Epitope Retrieval Solution2) for 20 mins

Multiplex immunohistochemistry - Anti-PCM1 antibody [EPR30467-546] (AB324615)
  • mIHC

Supplier Data

Multiplex immunohistochemistry - Anti-PCM1 antibody [EPR30467-546] (AB324615)

Multiplex immunohistochemistry analysis of formalin/PFA-fixed paraffin-embedded human colon tissue staining PCM1 with ab324615 at a 1 : 200 (2.5 ug/ml) dilution, ab237034 anti-Pericentrin used at 1 : 200 (5.0 ug/ml) dilution.

Panel A : merged staining of anti-PCM1 (green; Opal™520) and anti-Pericentrin (magenta; Opal™570) on human colon.
Panel B : anti-PCM1 staining centrosomes in human colon.
Panel C : ant-Pericentrin staining centrosomes in human colon.
Panel D : Nuclear DNA was labeled with DAPI (shown in blue).

The section was incubated in three rounds of staining : in the order of ab324615 and ab237034 for 30 mins at room temperature. Each round was followed by a separate fluorescent tyramide signal amplification system.

The immunostaining was performed on a Leica Biosystems BOND® RX instrument with an Opal™ 4-color kit. Image acquisition was performed with Leica SP8 confocal microscope.

Nuclear counter stain with DAPI.

Heat mediated antigen retrieval with Tris-EDTA buffer (pH 9.0, epitope retrieval solution2) for 20 mins.

Flow Cytometry (Intracellular) - Anti-PCM1 antibody [EPR30467-546] (AB324615)
  • Flow Cyt (Intra)

Supplier Data

Flow Cytometry (Intracellular) - Anti-PCM1 antibody [EPR30467-546] (AB324615)

Flow cytometric analysis of 4% paraformaldehyde fixed 90% methanol permeabilized HeLa (human cervical adenocarcinoma epithelial cell) cells labelling PCM1 with ab324615 at 1/500 dilution (0.1ug) (Red) compared with a Rabbit monoclonal IgG (ab172730) (Black) isotype control and an unlabelled control (cells without incubation with primary antibody and secondary antibody).

Goat Anti-Rabbit IgG (Alexa Fluor® 488, ab150081) at 1/5000 dilution was used as the secondary antibody.

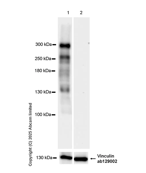
Western blot - Anti-PCM1 antibody [EPR30467-546] (AB324615)
  • WB

Supplier Data

Western blot - Anti-PCM1 antibody [EPR30467-546] (AB324615)

Blocking and diluting buffer and concentration : 5% NFDM/TBST.

To minimize protein degradation, the fresh lysates were lysed immediately after harvest and then applied to a gel and transfer membrane for Western blotting as soon as possible.

In Western blot, Anti-Vinculin antibody EPR8185 staining at 1/10000 dilution.

All lanes:

Western blot - Anti-PCM1 antibody [EPR30467-546] (ab324615) at 1/1000 dilution

Lane 1:

K-562 (human chronic myelogenous leukemia lymphoblast) transfected with scrambled siRNA control fresh whole cell lysate at 20 µg

Lane 2:

K-562 transfected with siRNA specifically targeting PCM1 fresh whole cell lysate at 20 µg

Secondary

All lanes:

Western blot - Goat Anti-Rabbit IgG H&L (HRP) (<a href='/en-us/products/secondary-antibodies/goat-rabbit-igg-h-l-hrp-ab97051'>ab97051</a>) at 1/100000 dilution

Observed band size: 300 kDa,124 kDa

false

Exposure time: 6s

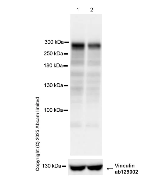
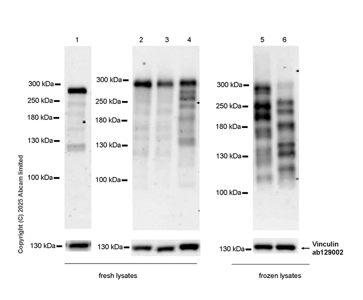
Western blot - Anti-PCM1 antibody [EPR30467-546] (AB324615)
  • WB

Supplier Data

Western blot - Anti-PCM1 antibody [EPR30467-546] (AB324615)

Blocking and diluting buffer and concentration : 5% NFDM/TBST.

To minimize protein degradation, the lane1-4 fresh lysates were lysed immediately after harvest and then applied to a gel and transfer membrane for Western blotting as soon as possible.

Lanes 1-4 are applied with Goat Anti-Rabbit IgG, (H+L), Peroxidase conjugated (ab97051) at 1/100000, lanes 5-6 are applied with Goat Anti-Rabbit IgG, (H+L), Peroxidase conjugated (ab97051) at 1/20000.

Lanes 2-4 was developed using a high-sensitivity ECL substrate, allowing for the detection of proteins in the mid-femtogram range.

In Western blot, Anti-Vinculin antibody EPR8185 staining at 1/10000 dilution.

Exposure time : Lane1 : 180 seconds, lane2-4 : 114 seconds, lane 5-6 : 125 seconds

All lanes:

Western blot - Anti-PCM1 antibody [EPR30467-546] (ab324615) at 1/1000 dilution

Lane 1:

Neuro-2a (mouse neuroblastoma neuroblast) fresh whole cell lysate at 20 µg

Lane 2:

HeLa (human cervical adenocarcinoma epithelial cell) fresh whole cell lysate at 20 µg

Lane 3:

293T (human embryonic kidney epithelial cell) fresh whole cell lysate at 20 µg

Lane 4:

NIH/3T3 (mouse embryonic fibroblast) fresh whole cell lysate  at 20 µg

Lane 5:

HeLa (human cervical adenocarcinoma epithelial cell) whole cell lysate  at 20 µg

Lane 6:

NIH/3T3 (mouse embryonic fibroblast) (mouse embryonic fibroblast) whole cell lysate  at 20 µg

Secondary

Lanes 1 - 4:

Western blot - Goat Anti-Rabbit IgG H&L (HRP) (<a href='/en-us/products/secondary-antibodies/goat-rabbit-igg-h-l-hrp-ab97051'>ab97051</a>) at 1/100000 dilution

Lanes 5 - 6:

Western blot - Goat Anti-Rabbit IgG H&L (HRP) (<a href='/en-us/products/secondary-antibodies/goat-rabbit-igg-h-l-hrp-ab97051'>ab97051</a>) at 1/20000 dilution

Observed band size: 300 kDa,124 kDa

true

Western blot - Anti-PCM1 antibody [EPR30467-546] (AB324615)
  • WB

Supplier Data

Western blot - Anti-PCM1 antibody [EPR30467-546] (AB324615)

Blocking and diluting buffer and concentration : 5% NFDM/TBST.

Low expression : spleen

In Western blot, Anti-Vinculin antibody EPR8185 staining at 1/10000 dilution.

All lanes:

Western blot - Anti-PCM1 antibody [EPR30467-546] (ab324615) at 1/1000 dilution

Lane 1:

Mouse testis tissue lysate at 20 µg

Lane 2:

Mouse spleen tissue lysate  at 20 µg

Secondary

All lanes:

Western blot - Goat Anti-Rabbit IgG H&L (HRP) (<a href='/en-us/products/secondary-antibodies/goat-rabbit-igg-h-l-hrp-ab97051'>ab97051</a>) at 1/20000 dilution

Observed band size: 300 kDa,1324 kDa

false

Exposure time: 26s

Key facts

Host species

Rabbit

Clonality

Monoclonal

Clone number

EPR30467-546

Isotype

IgG

Carrier free

No

Reacts with

Human, Mouse

Applications

IHC-P, mIHC, WB, ICC/IF, Flow Cyt (Intra)

applications

Immunogen

The exact immunogen used to generate this antibody is proprietary information.

Reactivity data

{ "title": "Reactivity Data", "filters": { "stats": ["", "Species", "Dilution Info", "Notes"], "tabs": { "all-applications": {"fullname" : "All Applications", "shortname": "All Applications"}, "FlowCytIntra" : {"fullname" : "Flow Cytometry (Intracellular)", "shortname":"Flow Cyt (Intra)"}, "ICCIF" : {"fullname" : "Immunocytochemistry/ Immunofluorescence", "shortname":"ICC/IF"}, "IHCP" : {"fullname" : "Immunohistochemistry (Formalin/PFA-fixed paraffin-embedded sections)", "shortname":"IHC-P"}, "WB" : {"fullname" : "Western blot", "shortname":"WB"}, "mIHC" : {"fullname" : "Multiplex immunohistochemistry", "shortname":"mIHC"} }, "product-promise": { "all": "all", "testedAndGuaranteed": "tested", "guaranteed": "expected", "predicted": "predicted", "notRecommended": "not-recommended" } }, "values": { "Human": { "FlowCytIntra-species-checked": "testedAndGuaranteed", "FlowCytIntra-species-dilution-info": "1/500", "FlowCytIntra-species-notes": "<p></p>", "ICCIF-species-checked": "testedAndGuaranteed", "ICCIF-species-dilution-info": "1/5000", "ICCIF-species-notes": "<p></p>", "IHCP-species-checked": "testedAndGuaranteed", "IHCP-species-dilution-info": "1/200", "IHCP-species-notes": "<p></p> Perform heat-mediated antigen retrieval with Tris/EDTA buffer pH 9.0 before commencing with IHC staining protocol.", "WB-species-checked": "testedAndGuaranteed", "WB-species-dilution-info": "1/1000", "WB-species-notes": "<p></p>", "mIHC-species-checked": "testedAndGuaranteed", "mIHC-species-dilution-info": "1/200", "mIHC-species-notes": "<p></p> Perform heat-mediated antigen retrieval with Tris/EDTA buffer pH 9.0 before commencing with IHC staining protocol." }, "Mouse": { "FlowCytIntra-species-checked": "guaranteed", "FlowCytIntra-species-dilution-info": "", "FlowCytIntra-species-notes": "", "ICCIF-species-checked": "notRecommended", "ICCIF-species-dilution-info": "", "ICCIF-species-notes": "<p></p>", "IHCP-species-checked": "guaranteed", "IHCP-species-dilution-info": "", "IHCP-species-notes": "", "WB-species-checked": "testedAndGuaranteed", "WB-species-dilution-info": "1/1000", "WB-species-notes": "<p></p>", "mIHC-species-checked": "guaranteed", "mIHC-species-dilution-info": "", "mIHC-species-notes": "" } } }

Product details

Patented technology
Our RabMAb® technology is a patented hybridoma-based technology for making rabbit monoclonal antibodies. For details on our patents, please refer to RabMAb® patents.

What are the advantages of a recombinant monoclonal antibody?
This product is a recombinant monoclonal antibody, which offers several advantages including:

  • - High batch-to-batch consistency and reproducibility
  • - Improved sensitivity and specificity
  • - Long-term security of supply
  • - Animal-free batch production

For more information, read more on recombinant antibodies.

Properties and storage information

Form
Liquid
Purification technique
Affinity purification Protein A
Storage buffer
pH: 7.2 - 7.4 Preservative: 0.01% Sodium azide Constituents: PBS, 40% Glycerol (glycerin, glycerine), 0.05% BSA
Shipped at conditions
Blue Ice
Appropriate short-term storage duration
1-2 weeks
Appropriate short-term storage conditions
+4°C
Appropriate long-term storage conditions
-20°C
Aliquoting information
Upon delivery aliquot

Product protocols

For this product, it's our understanding that no specific protocols are required. You can visit:

Target data

Required for centrosome assembly and function (PubMed : 12403812, PubMed : 15659651, PubMed : 16943179). Essential for the correct localization of several centrosomal proteins including CEP250, CETN3, PCNT and NEK2 (PubMed : 12403812, PubMed : 15659651). Required to anchor microtubules to the centrosome (PubMed : 12403812, PubMed : 15659651). Also involved in cilium biogenesis by recruiting the BBSome, a ciliary protein complex involved in cilium biogenesis, to the centriolar satellites (PubMed : 20551181, PubMed : 24121310, PubMed : 27979967). Recruits the tubulin polyglutamylase complex (TPGC) to centriolar satellites (PubMed : 34782749).
See full target information PCM1

Product promise

We are committed to supporting your work with high-quality reagents, and we're here for you every step of the way. In the unlikely event that one of our products does not perform as expected, you're protected by our Product Promise.
For full details, please see our Terms & Conditions

Please note: All products are 'FOR RESEARCH USE ONLY. NOT FOR USE IN DIAGNOSTIC OR THERAPEUTIC PROCEDURES'.

For licensing inquiries, please contact partnerships@abcam.com