JavaScript is disabled in your browser. Please enable JavaScript to view this website.
AB97446

Anti-PCMT1 antibody

5

(4 Reviews)

|

(7 Publications)

Rabbit Polyclonal PCMT1 antibody. Suitable for WB, IHC-P and reacts with Human samples. Cited in 7 publications. Immunogen corresponding to Recombinant Fragment Protein within Human PCMT1 aa 1-200.

View Alternative Names

Protein-L-isoaspartate(D-aspartate) O-methyltransferase, PIMT, L-isoaspartyl protein carboxyl methyltransferase, Protein L-isoaspartyl/D-aspartyl methyltransferase, Protein-beta-aspartate methyltransferase, PCMT1

2 Images
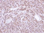
Immunohistochemistry (Formalin/PFA-fixed paraffin-embedded sections) - Anti-PCMT1 antibody (AB97446)
  • IHC-P

Unknown

Immunohistochemistry (Formalin/PFA-fixed paraffin-embedded sections) - Anti-PCMT1 antibody (AB97446)

Immunohistochemical analysis of PCMT1 in paraffin embedded U87 xenograft, using ab97446 at a 1/500 dilution.

Western blot - Anti-PCMT1 antibody (AB97446)
  • WB

Unknown

Western blot - Anti-PCMT1 antibody (AB97446)

12% SDS PAGE

All lanes:

Western blot - Anti-PCMT1 antibody (ab97446) at 1/1000 dilution

All lanes:

293T whole cell lysate at 30 µg

Predicted band size: 25 kDa

false

Key facts

Host species

Rabbit

Clonality

Polyclonal

Isotype

IgG

Carrier free

No

Reacts with

Human

Applications

IHC-P, WB

applications

Immunogen

Recombinant Fragment Protein within Human PCMT1 aa 1-200. The exact immunogen used to generate this antibody is proprietary information.

P22061

Reactivity data

{ "title": "Reactivity Data", "filters": { "stats": ["", "Species", "Dilution Info", "Notes"], "tabs": { "all-applications": {"fullname" : "All Applications", "shortname": "All Applications"}, "WB" : {"fullname" : "Western blot", "shortname":"WB"}, "IHCP" : {"fullname" : "Immunohistochemistry (Formalin/PFA-fixed paraffin-embedded sections)", "shortname":"IHC-P"} }, "product-promise": { "all": "all", "testedAndGuaranteed": "tested", "guaranteed": "expected", "predicted": "predicted", "notRecommended": "not-recommended" } }, "values": { "Human": { "WB-species-checked": "testedAndGuaranteed", "WB-species-dilution-info": "1/500 - 1/3000", "WB-species-notes": "<p></p>", "IHCP-species-checked": "testedAndGuaranteed", "IHCP-species-dilution-info": "1/100 - 1/1000", "IHCP-species-notes": "<p></p>" }, "Mouse": { "WB-species-checked": "predicted", "WB-species-dilution-info": "", "WB-species-notes": "", "IHCP-species-checked": "predicted", "IHCP-species-dilution-info": "", "IHCP-species-notes": "" }, "Rat": { "WB-species-checked": "predicted", "WB-species-dilution-info": "", "WB-species-notes": "", "IHCP-species-checked": "predicted", "IHCP-species-dilution-info": "", "IHCP-species-notes": "" }, "Cow": { "WB-species-checked": "predicted", "WB-species-dilution-info": "", "WB-species-notes": "", "IHCP-species-checked": "predicted", "IHCP-species-dilution-info": "", "IHCP-species-notes": "" } } }

Properties and storage information

Form
Liquid
Purification technique
Affinity purification Immunogen
Storage buffer
pH: 7 Preservative: 0.01% Thimerosal (merthiolate) Constituents: 10% Glycerol (glycerin, glycerine), 1.21% Tris, 0.75% Glycine
Shipped at conditions
Blue Ice
Appropriate short-term storage conditions
+4°C
Appropriate long-term storage conditions
-20°C
Aliquoting information
Upon delivery aliquot
Storage information
Avoid freeze / thaw cycle

Supplementary information

This supplementary information is collated from multiple sources and compiled automatically.

The PCMT1 protein also known as protein-L-isoaspartate (D-aspartate) O-methyltransferase catalyzes the repair of damaged proteins by recognizing and converting abnormal L-isoaspartyl residues to normal L-aspartyl residues. This enzymatic activity is important for maintaining protein integrity and function. The purified form of PCMT1 has a mass of approximately 24 kDa. It is ubiquitously expressed in various tissues with high levels found in the liver and brain emphasizing its essential role across different body systems.
Biological function summary

The PCMT1 enzyme plays a significant role in cellular repair mechanisms by rejuvenating proteins that have been altered due to spontaneous deamidation or isomerization. This process is critical for preserving the longevity of proteins and preventing cellular aging and dysfunction. PCMT1 does not generally form part of a complex but works by interacting directly with protein substrates that contain abnormal isoaspartyl residues. It functions independently in its activity and this specificity highlights its importance in maintaining cellular homeostasis.

Pathways

PCMT1 is an integral component of protein repair pathways specifically the pathways that manage protein maintenance and degradation. These pathways help prevent the accumulation of dysfunctional proteins thereby preserving cell function and survival. PCMT1 activity relates closely to proteins such as CHIP and ubiquitin-proteasome pathway elements which also manage protein quality control within the cell. Together these proteins ensure accurate protein folding and turnover.

PCMT1 activity connects to neurodegenerative disorders like Alzheimer's disease and demyelinating conditions such as multiple sclerosis. The deficiency or dysfunction in PCMT1 could lead to abnormal accumulation of damaged proteins causing cellular stress and contributing to disease pathology. In the context of these conditions PCMT1 has also been linked to other proteins like beta-amyloid in Alzheimer's illustrating the cascading effect that modified protein repair can have on disease development and progression.

Product protocols

For this product, it's our understanding that no specific protocols are required. You can visit:

Target data

Initiates the repair of damaged proteins by catalyzing methyl esterification of L-isoaspartyl and D-aspartyl residues produced by spontaneous isomerization and racemization of L-aspartyl and L-asparaginyl residues in aging peptides and proteins (PubMed : 3167043, PubMed : 6469980). Acts on EIF4EBP2, microtubule-associated protein 2, calreticulin, clathrin light chains a and b, Ubiquitin C-terminal hydrolase isozyme L1, phosphatidylethanolamine-binding protein 1, stathmin, beta-synuclein and alpha-synuclein (By similarity).
See full target information PCMT1

Publications (7)

Recent publications for all applications. Explore the full list and refine your search

Chemical biology & drug design 103:e14559 PubMed38853025

2024

Silencing PCMT1 enhances the sensitivity of breast cancer cells to paclitaxel through the PI3K/Akt/STMN1 pathway.

Applications

Unspecified application

Species

Unspecified reactive species

Ke Zhang,Jin-You Li,Kai Li

Frontiers in genetics 11:612343 PubMed33552132

2021

l-Isoaspartyl Methyltransferase Deficiency in Zebrafish Leads to Impaired Calcium Signaling in the Brain.

Applications

Unspecified application

Species

Unspecified reactive species

Remon Soliman,Maria Lorena Cordero-Maldonado,Teresa G Martins,Mahsa Moein,Jean-François Conrotte,Rebeccah A Warmack,Alexander Skupin,Alexander D Crawford,Steven G Clarke,Carole L Linster

Cancer science 109:3794-3804 PubMed30290049

2018

Forkhead box C1 boosts triple-negative breast cancer metastasis through activating the transcription of chemokine receptor-4.

Applications

Unspecified application

Species

Unspecified reactive species

Hongchao Pan,Zhilan Peng,Jiediao Lin,Xiaosha Ren,Guojun Zhang,Yukun Cui

Oncotarget 9:13287-13300 PubMed29568357

2018

Deficiency of protein-L-isoaspartate (D-aspartate) -methyl-transferase expression under endoplasmic reticulum stress promotes epithelial mesenchymal transition in lung adenocarcinoma.

Applications

Unspecified application

Species

Unspecified reactive species

Masahiro Yamashita,Masahito Ogasawara,Yasushi Kawasaki,Miyuki Niisato,Heisuke Saito,Shuya Kasai,Chihaya Maesawa,Makoto Maemondo,Kohei Yamauchi

Human pathology 50:1-10 PubMed26997432

2016

Chaperone protein L-isoaspartate (D-aspartyl) O-methyltransferase as a novel predictor of poor prognosis in lung adenocarcinoma.

Applications

Unspecified application

Species

Unspecified reactive species

Heisuke Saito,Masahiro Yamashita,Masahito Ogasawara,Noriyuki Yamada,Miyuki Niisato,Makoto Tomoyasu,Hiroyuki Deguchi,Tatsuo Tanita,Kazuyuki Ishida,Tamotsu Sugai,Kohei Yamauchi

Scientific reports 4:6674 PubMed25327473

2014

Methylation of histone H4 at aspartate 24 by protein L-isoaspartate O-methyltransferase (PCMT1) links histone modifications with protein homeostasis.

Applications

Unspecified application

Species

Unspecified reactive species

Burcu Biterge,Florian Richter,Gerhard Mittler,Robert Schneider

International journal of cardiology 168:3291-9 PubMed23647599

2013

Protein-L-isoaspartate (D-aspartate) O-methyltransferase protects cardiomyocytes against hypoxia induced apoptosis through inhibiting proapoptotic kinase Mst1.

Applications

Unspecified application

Species

Human

Guijun Yan,Qing Qin,Bing Yi,Kurt Chuprun,Haixiang Sun,Shengdong Huang,Jianxin Sun
View all publications

Product promise

We are committed to supporting your work with high-quality reagents, and we're here for you every step of the way. In the unlikely event that one of our products does not perform as expected, you're protected by our Product Promise.
For full details, please see our Terms & Conditions

Please note: All products are 'FOR RESEARCH USE ONLY. NOT FOR USE IN DIAGNOSTIC OR THERAPEUTIC PROCEDURES'.

For licensing inquiries, please contact partnerships@abcam.com