JavaScript is disabled in your browser. Please enable JavaScript to view this website.
AB218310

Anti-PCNA antibody [EPR3821] - BSA and Azide free

Be the first to review this product! Submit a review

|

(3 Publications)

Rabbit Recombinant Monoclonal PCNA antibody. Carrier free. Suitable for IHC-P, IP, WB, ICC/IF, Flow Cyt (Intra) and reacts with Human, Mouse, Rat samples. Cited in 3 publications.

View Alternative Names

Proliferating cell nuclear antigen, PCNA, Cyclin

15 Images
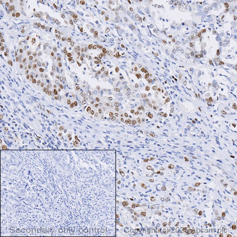
Immunohistochemistry (Formalin/PFA-fixed paraffin-embedded sections) - Anti-PCNA antibody [EPR3821] - BSA and Azide free (AB218310)
  • IHC-P

Lab

Immunohistochemistry (Formalin/PFA-fixed paraffin-embedded sections) - Anti-PCNA antibody [EPR3821] - BSA and Azide free (AB218310)

This data was developed using ab92552 the same antibody clone in a different buffer formulation.

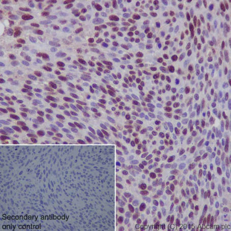
Immunohistochemical analysis of formalin fixed paraffin embedded human colon labelling PCNA with ab92552 at a concentration of 0.01µg/ml. The immunostaining was performed on a Ventana DISCOVERY ULTRA (Roche Tissue Diagnostics) instrument with a OptiView DAB IHC Detection Kit. Heat mediated antigen retrieval was performed with DISCOVERY cell conditioning solution (CC1) 100°C, pH8.5 for 32 mins .ab92552 Anti-PCNA antibody [EPR3821] was incubated for 16 mins at 37°C. Sections were counterstained with Hematoxylin II. Image inset shows absence of staining in secondary antibody only control.

Customers are encouraged to optimise antigen retrieval conditions, antibody concentration, incubation times and temperature for best results in their own IHC assay workflow (automated and manual).

Flow Cytometry (Intracellular) - Anti-PCNA antibody [EPR3821] - BSA and Azide free (AB218310)
  • Flow Cyt (Intra)

Unknown

Flow Cytometry (Intracellular) - Anti-PCNA antibody [EPR3821] - BSA and Azide free (AB218310)

Overlay histogram showing HeLa cells stained with unpurified ab92552 (red line). The cells were fixed with 80% methanol (5 min) and then permeabilized with 0.1% PBS-Tween for 20 min. The cells were then incubated in 1x PBS / 10% normal goat serum / 0.3M glycine to block non-specific protein-protein interactions followed by the antibody (ab92552, 1/1000 dilution) for 30 min at 22°C. The secondary antibody used was Alexa Fluor® 488 goat anti-rabbit IgG (H+L) (ab150077) at 1/2000 dilution for 30 min at 22°C. Isotype control antibody (black line) was rabbit IgG (monoclonal) (0.1μg/1x106 cells) used under the same conditions. Unlabelled sample (blue line) was also used as a control. Acquisition of >5,000 events were collected using a 20mW Argon ion laser (488nm) and 525/30 bandpass filter.

This data was developed using the same antibody clone in a different buffer formulation containing PBS, BSA, glycerol, and sodium azide (ab92552).

Flow Cytometry (Intracellular) - Anti-PCNA antibody [EPR3821] - BSA and Azide free (AB218310)
  • Flow Cyt (Intra)

Unknown

Flow Cytometry (Intracellular) - Anti-PCNA antibody [EPR3821] - BSA and Azide free (AB218310)

Overlay histogram showing HeLa cells fixed in 4% PFA and stained with purified ab92552 at a dilution of 1 in 40 (red line). The secondary antibody used was FITC goat anti-rabbit at a dilution of 1 in 500. Rabbit monoclonal IgG was used as an isotype control (black line) and cells incubated in the absence of both primary and secondary antibody were used as a negative control (blue line). This data was developed using the same antibody clone in a different buffer formulation containing PBS, BSA, glycerol, and sodium azide (ab92552).

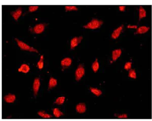
Immunocytochemistry/ Immunofluorescence - Anti-PCNA antibody [EPR3821] - BSA and Azide free (AB218310)
  • ICC/IF

AbReview30057****

Immunocytochemistry/ Immunofluorescence - Anti-PCNA antibody [EPR3821] - BSA and Azide free (AB218310)

Unpurified ab92552 (1/200) staining PCNA in Hela cells (green). Cells were fixed in methanol and counterstained with DAPI in order to highlight the nucleus (red). For further experimental details please refer to abreview.

This data was developed using the same antibody clone in a different buffer formulation containing PBS, BSA, glycerol, and sodium azide (ab92552).

This image is courtesy of an Abreview submitted by Kirk McManus.

Immunohistochemistry (Formalin/PFA-fixed paraffin-embedded sections) - Anti-PCNA antibody [EPR3821] - BSA and Azide free (AB218310)
  • IHC-P

Unknown

Immunohistochemistry (Formalin/PFA-fixed paraffin-embedded sections) - Anti-PCNA antibody [EPR3821] - BSA and Azide free (AB218310)

Unpurified ab92552 showing positive staining in human ovarian carcinoma tissue.

This data was developed using the same antibody clone in a different buffer formulation containing PBS, BSA, glycerol, and sodium azide (ab92552).

Perform heat mediated antigen retrieval via the pressure cooker method before commencing with IHC staining protocol.

Immunohistochemistry (Formalin/PFA-fixed paraffin-embedded sections) - Anti-PCNA antibody [EPR3821] - BSA and Azide free (AB218310)
  • IHC-P

Unknown

Immunohistochemistry (Formalin/PFA-fixed paraffin-embedded sections) - Anti-PCNA antibody [EPR3821] - BSA and Azide free (AB218310)

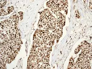
Unpurified ab92552 showing positive staining in human breast carcinoma tissue.

This data was developed using the same antibody clone in a different buffer formulation containing PBS, BSA, glycerol, and sodium azide (ab92552).

Perform heat mediated antigen retrieval via the pressure cooker method before commencing with IHC staining protocol.

Immunohistochemistry (Formalin/PFA-fixed paraffin-embedded sections) - Anti-PCNA antibody [EPR3821] - BSA and Azide free (AB218310)
  • IHC-P

Unknown

Immunohistochemistry (Formalin/PFA-fixed paraffin-embedded sections) - Anti-PCNA antibody [EPR3821] - BSA and Azide free (AB218310)

Immunohistochemical staining of paraffin embedded human cervical carcinoma with purified ab92552 at a working dilution of 1/250. The secondary antibody used is HRP goat anti-rabbit IgG H&L (ab97051) at 1/500. The sample is counter-stained with hematoxylin. Antigen retrieval was perfomed using Tris-EDTA buffer, pH 9.0. PBS was used instead of the primary antibody as the negative control, and is shown in the inset.This data was developed using the same antibody clone in a different buffer formulation containing PBS, BSA, glycerol, and sodium azide (ab92552).

Immunohistochemistry (Formalin/PFA-fixed paraffin-embedded sections) - Anti-PCNA antibody [EPR3821] - BSA and Azide free (AB218310)
  • IHC-P

Lab

Immunohistochemistry (Formalin/PFA-fixed paraffin-embedded sections) - Anti-PCNA antibody [EPR3821] - BSA and Azide free (AB218310)

This data was developed using ab92552 the same antibody clone in a different buffer formulation.

Immunohistochemical analysis of formalin fixed paraffin embedded human breast carcinoma labelling PCNA with ab92552 at a concentration of 0.01µg/ml. The immunostaining was performed on a Ventana DISCOVERY ULTRA (Roche Tissue Diagnostics) instrument with a OptiView DAB IHC Detection Kit. Heat mediated antigen retrieval was performed with DISCOVERY cell conditioning solution (CC1) 100°C, pH8.5 for 32 mins. ab92552 Anti-PCNA antibody [EPR3821] was incubated for 16 mins at 37°C. Sections were counterstained with Hematoxylin II. Image inset shows absence of staining in secondary antibody only control.

Customers are encouraged to optimise antigen retrieval conditions, antibody concentration, incubation times and temperature for best results in their own IHC assay workflow (automated and manual).

Immunohistochemistry (Formalin/PFA-fixed paraffin-embedded sections) - Anti-PCNA antibody [EPR3821] - BSA and Azide free (AB218310)
  • IHC-P

Unknown

Immunohistochemistry (Formalin/PFA-fixed paraffin-embedded sections) - Anti-PCNA antibody [EPR3821] - BSA and Azide free (AB218310)

Unpurified ab92552 showing positive staining in human normal colon tissue.

This data was developed using the same antibody clone in a different buffer formulation containing PBS, BSA, glycerol, and sodium azide (ab92552).

Perform heat mediated antigen retrieval via the pressure cooker method before commencing with IHC staining protocol.

Immunocytochemistry/ Immunofluorescence - Anti-PCNA antibody [EPR3821] - BSA and Azide free (AB218310)
  • ICC/IF

Unknown

Immunocytochemistry/ Immunofluorescence - Anti-PCNA antibody [EPR3821] - BSA and Azide free (AB218310)

Immunofluorescence staining of A431 cells with purified ab92552 at a working dilution of 1/100, counter-stained with DAPI. The secondary antibody was Alexa Fluor® 488 goat anti-rabbit (ab150077), used at a dilution of 1/1000. ab7291, a mouse anti-tubulin antibody (1/1000), was used to stain tubulin along with ab150120 (Alexa Fluor® 594 goat anti-mouse, 1/1000), shown in the top right hand panel. The cells were fixed in 4% PFA and permeabilized using 0.1% Triton X 100. The negative controls are shown in bottom middle and right hand panels - for negative control 1, purified ab92552 was used at a dilution of 1/500 followed by an Alexa Fluor® 594 goat anti-mouse antibody (ab150120) at a dilution of 1/500. For negative control 2, ab7291 (mouse anti-tubulin) was used at a dilution of 1/500 followed by an Alexa Fluor® 488 goat anti-rabbit antibody (ab150077) at a dilution of 1/400.

This data was developed using the same antibody clone in a different buffer formulation containing PBS, BSA, glycerol, and sodium azide (ab92552).

Immunohistochemistry (Formalin/PFA-fixed paraffin-embedded sections) - Anti-PCNA antibody [EPR3821] - BSA and Azide free (AB218310)
  • IHC-P

Unknown

Immunohistochemistry (Formalin/PFA-fixed paraffin-embedded sections) - Anti-PCNA antibody [EPR3821] - BSA and Azide free (AB218310)

Unpurified ab92552 showing positive staining in human urinary bladder carcinoma tissue.

This data was developed using the same antibody clone in a different buffer formulation containing PBS, BSA, glycerol, and sodium azide (ab92552).

Perform heat mediated antigen retrieval via the pressure cooker method before commencing with IHC staining protocol.

Immunocytochemistry/ Immunofluorescence - Anti-PCNA antibody [EPR3821] - BSA and Azide free (AB218310)
  • ICC/IF

Unknown

Immunocytochemistry/ Immunofluorescence - Anti-PCNA antibody [EPR3821] - BSA and Azide free (AB218310)

Unpurified ab92552 at 1/100 dilution staining PCNA in HeLa cells by Immunofluorescence.

This data was developed using the same antibody clone in a different buffer formulation containing PBS, BSA, glycerol, and sodium azide (ab92552).

Immunoprecipitation - Anti-PCNA antibody [EPR3821] - BSA and Azide free (AB218310)
  • IP

Unknown

Immunoprecipitation - Anti-PCNA antibody [EPR3821] - BSA and Azide free (AB218310)

ab92552 (purified) at 1/20 immunoprecipitating PCNA in 10 μg HeLa (Lanes 1 and 2, observed at 29 kDa). Lane 3 - PBS. For western blotting, HRP Veriblot for IP (ab131366) was used for detection at 1/10 000 dilution. Blocking buffer and concentration : 5% NFDM/TBST Dilution buffer and concentration : 5% NFDM/TBST

This data was developed using the same antibody clone in a different buffer formulation containing PBS, BSA, glycerol, and sodium azide (ab92552).

All lanes:

Immunoprecipitation - Anti-PCNA antibody [EPR3821] (<a href='/en-us/products/primary-antibodies/pcna-antibody-epr3821-ab92552'>ab92552</a>)

Predicted band size: 29 kDa

false

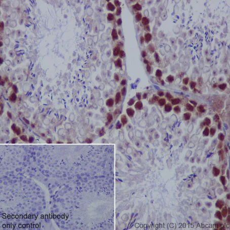
Immunohistochemistry (Formalin/PFA-fixed paraffin-embedded sections) - Anti-PCNA antibody [EPR3821] - BSA and Azide free (AB218310)
  • IHC-P

Unknown

Immunohistochemistry (Formalin/PFA-fixed paraffin-embedded sections) - Anti-PCNA antibody [EPR3821] - BSA and Azide free (AB218310)

Immunohistochemical staining of paraffin embedded mouse testis with purified ab92552 at a working dilution of 1/250. The secondary antibody used is HRP goat anti-rabbit IgG H&L (ab97051) at 1/500. The sample is counter-stained with hematoxylin. Antigen retrieval was perfomed using Tris-EDTA buffer, pH 9.0. PBS was used instead of the primary antibody as the negative control, and is shown in the inset.This data was developed using the same antibody clone in a different buffer formulation containing PBS, BSA, glycerol, and sodium azide (ab92552).

Immunohistochemistry (Formalin/PFA-fixed paraffin-embedded sections) - Anti-PCNA antibody [EPR3821] - BSA and Azide free (AB218310)
  • IHC-P

Unknown

Immunohistochemistry (Formalin/PFA-fixed paraffin-embedded sections) - Anti-PCNA antibody [EPR3821] - BSA and Azide free (AB218310)

Immunohistochemical staining of paraffin embedded rat liver with purified ab92552 at a working dilution of 1/250. The secondary antibody used is HRP goat anti-rabbit IgG H&L (ab97051) at 1/500. The sample is counter-stained with hematoxylin. Antigen retrieval was perfomed using Tris-EDTA buffer, pH 9.0. PBS was used instead of the primary antibody as the negative control, and is shown in the inset.This data was developed using the same antibody clone in a different buffer formulation containing PBS, BSA, glycerol, and sodium azide (ab92552).

  • Unconjugated

    Anti-PCNA antibody [EPR3821]

  • HRP

    HRP Anti-PCNA antibody [EPR3821]

  • 665 Alexa Fluor® 647

    Alexa Fluor® 647 Anti-PCNA antibody [EPR3821]

  • 519 Alexa Fluor® 488

    Alexa Fluor® 488 Anti-PCNA antibody [EPR3821]

  • 578 PE

    PE Anti-PCNA antibody [EPR3821]

Key facts

Host species

Rabbit

Clonality

Monoclonal

Clone number

EPR3821

Isotype

IgG

Carrier free

Yes

Reacts with

Mouse, Rat, Human

Applications

WB, IP, Flow Cyt (Intra), IHC-P, ICC/IF

applications

Immunogen

The exact immunogen used to generate this antibody is proprietary information.

Reactivity data

{ "title": "Reactivity Data", "filters": { "stats": ["", "Species", "Dilution Info", "Notes"], "tabs": { "all-applications": {"fullname" : "All Applications", "shortname": "All Applications"}, "IHCP" : {"fullname" : "Immunohistochemistry (Formalin/PFA-fixed paraffin-embedded sections)", "shortname":"IHC-P"}, "IP" : {"fullname" : "Immunoprecipitation", "shortname":"IP"}, "WB" : {"fullname" : "Western blot", "shortname":"WB"}, "ICCIF" : {"fullname" : "Immunocytochemistry/ Immunofluorescence", "shortname":"ICC/IF"}, "FlowCytIntra" : {"fullname" : "Flow Cytometry (Intracellular)", "shortname":"Flow Cyt (Intra)"} }, "product-promise": { "all": "all", "testedAndGuaranteed": "tested", "guaranteed": "expected", "predicted": "predicted", "notRecommended": "not-recommended" } }, "values": { "Human": { "IHCP-species-checked": "testedAndGuaranteed", "IHCP-species-dilution-info": "", "IHCP-species-notes": "<p>The use of an HRP/AP polymerized antibody is recommended for a secondary antibody.</p> Perform heat-mediated antigen retrieval via the pressure cooker method before commencing with IHC staining protocol.", "IP-species-checked": "testedAndGuaranteed", "IP-species-dilution-info": "", "IP-species-notes": "<p></p>", "WB-species-checked": "guaranteed", "WB-species-dilution-info": "", "WB-species-notes": "<p></p>", "ICCIF-species-checked": "testedAndGuaranteed", "ICCIF-species-dilution-info": "", "ICCIF-species-notes": "<p>Use with methanol fixed samples.</p>", "FlowCytIntra-species-checked": "testedAndGuaranteed", "FlowCytIntra-species-dilution-info": "", "FlowCytIntra-species-notes": "<p><a href='/en-us/products/primary-antibodies/rabbit-igg-monoclonal-epr25a-isotype-control-low-endotoxin-azide-free-ab199376'>ab199376</a> - Rabbit monoclonal IgG, is suitable for use as an isotype control with this antibody.</p>" }, "Mouse": { "IHCP-species-checked": "predicted", "IHCP-species-dilution-info": "", "IHCP-species-notes": "", "IP-species-checked": "predicted", "IP-species-dilution-info": "", "IP-species-notes": "", "WB-species-checked": "guaranteed", "WB-species-dilution-info": "", "WB-species-notes": "<p></p>", "ICCIF-species-checked": "predicted", "ICCIF-species-dilution-info": "", "ICCIF-species-notes": "", "FlowCytIntra-species-checked": "predicted", "FlowCytIntra-species-dilution-info": "", "FlowCytIntra-species-notes": "" }, "Rat": { "IHCP-species-checked": "predicted", "IHCP-species-dilution-info": "", "IHCP-species-notes": "", "IP-species-checked": "predicted", "IP-species-dilution-info": "", "IP-species-notes": "", "WB-species-checked": "guaranteed", "WB-species-dilution-info": "", "WB-species-notes": "<p></p>", "ICCIF-species-checked": "predicted", "ICCIF-species-dilution-info": "", "ICCIF-species-notes": "", "FlowCytIntra-species-checked": "predicted", "FlowCytIntra-species-dilution-info": "", "FlowCytIntra-species-notes": "" } } }

Product details

ab218310 is the carrier-free version of ab92552.

Patented technology
Our RabMAb® technology is a patented hybridoma-based technology for making rabbit monoclonal antibodies. For details on our patents, please refer to RabMAb® patents.

What are the advantages of a recombinant monoclonal antibody?
This product is a recombinant monoclonal antibody, which offers several advantages including:

  • - High batch-to-batch consistency and reproducibility
  • - Improved sensitivity and specificity
  • - Long-term security of supply
  • - Animal-free batch production

For more information, read more on recombinant antibodies.

Conjugation ready
Our carrier-free antibodies are typically supplied in a PBS-only formulation, purified and free of BSA, sodium azide and glycerol. This conjugation-ready format is designed for use with fluorochromes, metal isotopes, oligonucleotides, and enzymes, which makes them ideal for antibody labelling, functional and cell-based assays, flow-based assays (e.g. mass cytometry) and Multiplex Imaging applications.

Use our conjugation kits for antibody conjugates that are ready-to-use in as little as 20 minutes with 1 minute hands-on-time and 100% antibody recovery: available for fluorescent dyes, HRP, biotin and gold.

Compatibility
This product is compatible with the Maxpar® Antibody Labeling Kit from Fluidigm, without the need for antibody preparation. Maxpar® is a trademark of Fluidigm Canada Inc.

Properties and storage information

Form
Liquid
Purification technique
Affinity purification Protein A
Storage buffer
pH: 7.2 - 7.4 Constituents: PBS
Shipped at conditions
Blue Ice
Appropriate short-term storage conditions
+4°C
Appropriate long-term storage conditions
+4°C
Storage information
Do Not Freeze

Supplementary information

This supplementary information is collated from multiple sources and compiled automatically.

PCNA or Proliferating Cell Nuclear Antigen functions as a sliding clamp for DNA polymerases during DNA replication. This important role enables it to coordinate the orderly duplication of the genome by increasing the processivity of DNA polymerase δ. PCNA weighs approximately 29 kDa and forms a homotrimeric ring structure. It is expressed in the nucleus of cells often found abundantly in proliferating cells. Aside from its main name some people also refer to it as PC10.
Biological function summary

This protein serves a core function in cell cycle regulation and DNA repair. PCNA acts as a scaffold for the assembly of numerous proteins involved in DNA processing forming part of the replication fork complex. It interacts with cyclins and cyclin-dependent kinases (CDKs) linking DNA synthesis to cell cycle progression. Furthermore PCNA partners with proteins involved in DNA mismatch repair base excision repair and nucleotide excision repair.

Pathways

PCNA is integral in the DNA replication and repair pathways. It closely associates with the p21 protein which regulates the cell cycle by inhibiting cyclin-CDK complexes upon DNA damage. PCNA also plays a part in the ubiquitin-proteasome pathway where its modification by ubiquitin impacts how cells respond to DNA damage. This modification recruits specific proteins for DNA repair highlighting its central role in maintaining genomic stability.

PCNA is linked to cancer and autoimmune diseases. Its overexpression is common in various cancers reflecting its role in cell proliferation and the cell cycle. PCNA antibodies are sometimes found in the serum of patients with systemic lupus erythematosus (SLE) a connection also related to alterations in the p21 protein pathway. The interaction between PCNA and disease-specific proteins emphasizes its importance in both cell proliferation and immune system disorders.

Product protocols

For this product, it's our understanding that no specific protocols are required. You can visit:

Target data

Auxiliary protein of DNA polymerase delta and epsilon, is involved in the control of eukaryotic DNA replication by increasing the polymerase's processibility during elongation of the leading strand (PubMed : 35585232). Induces a robust stimulatory effect on the 3'-5' exonuclease and 3'-phosphodiesterase, but not apurinic-apyrimidinic (AP) endonuclease, APEX2 activities. Has to be loaded onto DNA in order to be able to stimulate APEX2. Plays a key role in DNA damage response (DDR) by being conveniently positioned at the replication fork to coordinate DNA replication with DNA repair and DNA damage tolerance pathways (PubMed : 24939902). Acts as a loading platform to recruit DDR proteins that allow completion of DNA replication after DNA damage and promote postreplication repair : Monoubiquitinated PCNA leads to recruitment of translesion (TLS) polymerases, while 'Lys-63'-linked polyubiquitination of PCNA is involved in error-free pathway and employs recombination mechanisms to synthesize across the lesion (PubMed : 24695737).
See full target information PCNA

Publications (3)

Recent publications for all applications. Explore the full list and refine your search

Developmental cell 59:869-881.e6 PubMed38359832

2024

Multimodal mass spectrometry imaging identifies cell-type-specific metabolic and lipidomic variation in the mammalian liver.

Applications

Unspecified application

Species

Unspecified reactive species

Hua Tian,Presha Rajbhandari,Jay Tarolli,Aubrianna M Decker,Taruna V Neelakantan,Tina Angerer,Fereshteh Zandkarimi,Helen Remotti,Gilles Frache,Nicholas Winograd,Brent R Stockwell

Biological trace element research 202:1612-1627 PubMed37500819

2023

Reversal Effects of Royal Jelly and Propolis Against Cadmium-Induced Hepatorenal Toxicity in Rats.

Applications

Unspecified application

Species

Unspecified reactive species

Eman M Omar,Norhan S El-Sayed,Fatma Y Elnozahy,Eman Hassan,Alaa Amr,Maria Augustyniak,Lamia M El-Samad,Abeer El Wakil

Cancers 15: PubMed36765785

2023

Flexible Cyclic Immunofluorescence (cyCIF) Using Oligonucleotide Barcoded Antibodies.

Applications

Unspecified application

Species

Unspecified reactive species

Nathan P McMahon,Jocelyn A Jones,Ashley N Anderson,Matthew S Dietz,Melissa H Wong,Summer L Gibbs
View all publications

Product promise

We are committed to supporting your work with high-quality reagents, and we're here for you every step of the way. In the unlikely event that one of our products does not perform as expected, you're protected by our Product Promise.
For full details, please see our Terms & Conditions

Please note: All products are 'FOR RESEARCH USE ONLY. NOT FOR USE IN DIAGNOSTIC OR THERAPEUTIC PROCEDURES'.

For licensing inquiries, please contact partnerships@abcam.com