JavaScript is disabled in your browser. Please enable JavaScript to view this website.
AB92729

Anti-PCNA antibody [EPR3822]

Be the first to review this product! Submit a review

|

(11 Publications)

Rabbit Recombinant Monoclonal PCNA antibody. Suitable for IHC-P, WB and reacts with Human samples. Cited in 11 publications.

View Alternative Names

Proliferating cell nuclear antigen, PCNA, Cyclin

3 Images
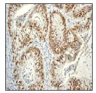
Immunohistochemistry (Formalin/PFA-fixed paraffin-embedded sections) - Anti-PCNA antibody [EPR3822] (AB92729)
  • IHC-P

Unknown

Immunohistochemistry (Formalin/PFA-fixed paraffin-embedded sections) - Anti-PCNA antibody [EPR3822] (AB92729)

ab92729 at 1/50 dilution staining PCNA in paraffin embedded Human colonic adenocarcinoma tissue by Immunohistochemisty.

Perform heat mediated antigen retrieval before commencing with IHC staining protocol.

Immunohistochemistry (Formalin/PFA-fixed paraffin-embedded sections) - Anti-PCNA antibody [EPR3822] (AB92729)
  • IHC-P

Unknown

Immunohistochemistry (Formalin/PFA-fixed paraffin-embedded sections) - Anti-PCNA antibody [EPR3822] (AB92729)

ab92729 at 1/50 dilution staining PCNA in paraffin embedded Human tonsil tissue by Immunohistochemisty.

Perform heat mediated antigen retrieval before commencing with IHC staining protocol.

Western blot - Anti-PCNA antibody [EPR3822] (AB92729)
  • WB

Unknown

Western blot - Anti-PCNA antibody [EPR3822] (AB92729)

All lanes:

Western blot - Anti-PCNA antibody [EPR3822] (ab92729) at 1/1000 dilution

Lane 1:

HeLa cell lysate at 10 µg

Lane 2:

HepG2 cell lysate at 10 µg

Lane 3:

293T cell lysate at 10 µg

Secondary

All lanes:

HRP labelled goat anti-rabbit IgG at 1/2000 dilution

Predicted band size: 29 kDa

false

  • Carrier free

    Anti-PCNA antibody [EPR3822] - BSA and Azide free

Key facts

Host species

Rabbit

Clonality

Monoclonal

Clone number

EPR3822

Isotype

IgG

Carrier free

No

Reacts with

Human

Applications

WB, IHC-P

applications

Immunogen

The exact immunogen used to generate this antibody is proprietary information.

Reactivity data

{ "title": "Reactivity Data", "filters": { "stats": ["", "Species", "Dilution Info", "Notes"], "tabs": { "all-applications": {"fullname" : "All Applications", "shortname": "All Applications"}, "IHCP" : {"fullname" : "Immunohistochemistry (Formalin/PFA-fixed paraffin-embedded sections)", "shortname":"IHC-P"}, "ICCIF" : {"fullname" : "Immunocytochemistry/ Immunofluorescence", "shortname":"ICC/IF"}, "IP" : {"fullname" : "Immunoprecipitation", "shortname":"IP"}, "WB" : {"fullname" : "Western blot", "shortname":"WB"} }, "product-promise": { "all": "all", "testedAndGuaranteed": "tested", "guaranteed": "expected", "predicted": "predicted", "notRecommended": "not-recommended" } }, "values": { "Human": { "IHCP-species-checked": "testedAndGuaranteed", "IHCP-species-dilution-info": "1/50 - 1/100", "IHCP-species-notes": "<p></p>", "ICCIF-species-checked": "notRecommended", "ICCIF-species-dilution-info": "", "ICCIF-species-notes": "<p></p>", "IP-species-checked": "notRecommended", "IP-species-dilution-info": "", "IP-species-notes": "<p></p>", "WB-species-checked": "testedAndGuaranteed", "WB-species-dilution-info": "1/1000 - 1/5000", "WB-species-notes": "<p></p>" }, "Mouse": { "IHCP-species-checked": "predicted", "IHCP-species-dilution-info": "", "IHCP-species-notes": "", "ICCIF-species-checked": "notRecommended", "ICCIF-species-dilution-info": "", "ICCIF-species-notes": "", "IP-species-checked": "notRecommended", "IP-species-dilution-info": "", "IP-species-notes": "", "WB-species-checked": "predicted", "WB-species-dilution-info": "", "WB-species-notes": "" } } }

You may be interested in:

AB196270

Human PCNA ELISA Kit

0

0 Reviews

View product

We recommend this product because it’s often used in the same experiment or related research.

We advise that you always check the datasheet to ensure it fits your experiments, or contact ourtechnical teamfor help.

Product details

Patented technology
Our RabMAb® technology is a patented hybridoma-based technology for making rabbit monoclonal antibodies. For details on our patents, please refer to RabMAb® patents.

What are the advantages of a recombinant monoclonal antibody?
This product is a recombinant monoclonal antibody, which offers several advantages including:

  • - High batch-to-batch consistency and reproducibility
  • - Improved sensitivity and specificity
  • - Long-term security of supply
  • - Animal-free batch production

For more information, read more on recombinant antibodies.

Species reactivity
Rat: We have preliminary internal testing data to indicate this antibody may not react with this species.
Please contact us for more information.

Properties and storage information

Form
Liquid
Purity
Tissue culture supernatant
Storage buffer
pH: 7.2 - 7.4 Preservative: 0.05% Sodium azide Constituents: 50% Tissue culture supernatant, 40% Glycerol (glycerin, glycerine), 9.85% Tris glycine, 0.1% BSA
Shipped at conditions
Blue Ice
Appropriate short-term storage conditions
+4°C
Appropriate long-term storage conditions
-20°C
Storage information
Stable for 12 months at -20°C

Supplementary information

This supplementary information is collated from multiple sources and compiled automatically.

PCNA or Proliferating Cell Nuclear Antigen functions as a sliding clamp for DNA polymerases during DNA replication. This important role enables it to coordinate the orderly duplication of the genome by increasing the processivity of DNA polymerase δ. PCNA weighs approximately 29 kDa and forms a homotrimeric ring structure. It is expressed in the nucleus of cells often found abundantly in proliferating cells. Aside from its main name some people also refer to it as PC10.
Biological function summary

This protein serves a core function in cell cycle regulation and DNA repair. PCNA acts as a scaffold for the assembly of numerous proteins involved in DNA processing forming part of the replication fork complex. It interacts with cyclins and cyclin-dependent kinases (CDKs) linking DNA synthesis to cell cycle progression. Furthermore PCNA partners with proteins involved in DNA mismatch repair base excision repair and nucleotide excision repair.

Pathways

PCNA is integral in the DNA replication and repair pathways. It closely associates with the p21 protein which regulates the cell cycle by inhibiting cyclin-CDK complexes upon DNA damage. PCNA also plays a part in the ubiquitin-proteasome pathway where its modification by ubiquitin impacts how cells respond to DNA damage. This modification recruits specific proteins for DNA repair highlighting its central role in maintaining genomic stability.

PCNA is linked to cancer and autoimmune diseases. Its overexpression is common in various cancers reflecting its role in cell proliferation and the cell cycle. PCNA antibodies are sometimes found in the serum of patients with systemic lupus erythematosus (SLE) a connection also related to alterations in the p21 protein pathway. The interaction between PCNA and disease-specific proteins emphasizes its importance in both cell proliferation and immune system disorders.

Product protocols

For this product, it's our understanding that no specific protocols are required. You can visit:

Target data

Auxiliary protein of DNA polymerase delta and epsilon, is involved in the control of eukaryotic DNA replication by increasing the polymerase's processibility during elongation of the leading strand (PubMed : 35585232). Induces a robust stimulatory effect on the 3'-5' exonuclease and 3'-phosphodiesterase, but not apurinic-apyrimidinic (AP) endonuclease, APEX2 activities. Has to be loaded onto DNA in order to be able to stimulate APEX2. Plays a key role in DNA damage response (DDR) by being conveniently positioned at the replication fork to coordinate DNA replication with DNA repair and DNA damage tolerance pathways (PubMed : 24939902). Acts as a loading platform to recruit DDR proteins that allow completion of DNA replication after DNA damage and promote postreplication repair : Monoubiquitinated PCNA leads to recruitment of translesion (TLS) polymerases, while 'Lys-63'-linked polyubiquitination of PCNA is involved in error-free pathway and employs recombination mechanisms to synthesize across the lesion (PubMed : 24695737).
See full target information PCNA

Publications (11)

Recent publications for all applications. Explore the full list and refine your search

Saudi journal of biological sciences 30:103806 PubMed37766887

2023

Interleukin-35 and Thymoquinone nanoparticle-based intervention for liver protection against paracetamol-induced liver injury in rats.

Applications

Unspecified application

Species

Unspecified reactive species

Maisa Siddiq Abduh,Sultan Ayesh Mohammed Saghir,Naif Ahmed Al-Gabri,Ahmad Faheem Ahmeda,Mouaadh Abdelkarim,Saleh Mohammad Aldaqal,Mohammed Abdullah Alshawsh

Molecular therapy. Nucleic acids 31:763-778 PubMed36937621

2023

Exosome-mediated inhibition of microRNA-449a promotes the amplification of mouse retinal progenitor cells and enhances their transplantation in retinal degeneration mouse models.

Applications

Unspecified application

Species

Unspecified reactive species

Chen Jun Guo,Xiu Li Cao,Yu Fei Zhang,Kang Yi Yue,Jing Han,Hong Yan,Hua Han,Min Hua Zheng

Annals of translational medicine 10:244 PubMed35402586

2022

Chemopreventive efficacy of salvianolic acid B phospholipid complex loaded nanoparticles against experimental oral carcinogenesis: implication of sustained drug release.

Applications

Unspecified application

Species

Unspecified reactive species

Wei Liu,Zengtong Zhou,Laikuan Zhu,Hongquan Li,Lan Wu

Histology and histopathology 37:637-654 PubMed35133000

2022

Depleting hsa_circ_0000567 suppresses acquired gefitinib resistance and proliferation of lung adenocarcinoma cells through regulating the miR-377-3p / ZFX axis: an in vitro and in vivo study.

Applications

Unspecified application

Species

Unspecified reactive species

Lanjun Wang,Mengqi Li,Rong Lian

Bioengineered 12:12940-12953 PubMed34847838

2021

Uncovering the action mechanism of homoharringtonine against colorectal cancer by using network pharmacology and experimental evaluation.

Applications

Unspecified application

Species

Unspecified reactive species

Muwen Qu,Junyi Li,Lingling Yuan

Oncology reports 45: PubMed33786634

2021

acts via the miR‑922/ axis to enhance malignant behavior of liver cancer cells.

Applications

Unspecified application

Species

Unspecified reactive species

Xinyu Liu,Hao Zhang,Pengcheng Zhou,Yaqun Yu,Haoye Zhang,Limin Chen,Jian Gong,Zhenguo Liu

Journal of nephrology 33:383-386 PubMed31586298

2019

Making urinary extracellular vesicles a clinically tractable source of biomarkers for inherited tubulopathies using a small volume precipitation method: proof of concept.

Applications

Unspecified application

Species

Unspecified reactive species

Timothy Lee Williams,Carlos Bastos,Nuno Faria,Fiona Eve Karet Frankl

JCI insight 4: PubMed30830869

2019

Direct activation of PP2A for the treatment of tyrosine kinase inhibitor-resistant lung adenocarcinoma.

Applications

Unspecified application

Species

Unspecified reactive species

Rita Tohmé,Sudeh Izadmehr,Sai Gandhe,Giancarlo Tabaro,Sanjay Vallabhaneni,Ava Thomas,Neal Vasireddi,Neil S Dhawan,Avi Ma'ayan,Neelesh Sharma,Matthew D Galsky,Michael Ohlmeyer,Jaya Sangodkar,Goutham Narla

Cancer research 78:2065-2080 PubMed29358171

2018

Small-Molecule Activators of Protein Phosphatase 2A for the Treatment of Castration-Resistant Prostate Cancer.

Applications

Unspecified application

Species

Unspecified reactive species

Kimberly McClinch,Rita A Avelar,David Callejas,Sudeh Izadmehr,Danica Wiredja,Abbey Perl,Jaya Sangodkar,David B Kastrinsky,Daniela Schlatzer,Maxwell Cooper,Janna Kiselar,Agnes Stachnik,Shen Yao,Divya Hoon,Daniel McQuaid,Nilesh Zaware,Yixuan Gong,David L Brautigan,Stephen R Plymate,Cynthia C T Sprenger,William K Oh,Alice C Levine,Alexander Kirschenbaum,John P Sfakianos,Rosalie Sears,Analisa DiFeo,Yiannis Ioannou,Michael Ohlmeyer,Goutham Narla,Matthew D Galsky

PloS one 8:e75137 PubMed24098681

2013

Increased protein stability of CDKN1C causes a gain-of-function phenotype in patients with IMAGe syndrome.

Applications

WB

Species

Human

Naoki Hamajima,Yoshikazu Johmura,Satoshi Suzuki,Makoto Nakanishi,Shinji Saitoh
View all publications

Product promise

We are committed to supporting your work with high-quality reagents, and we're here for you every step of the way. In the unlikely event that one of our products does not perform as expected, you're protected by our Product Promise.
For full details, please see our Terms & Conditions

Associated Products

Select an associated product type
Alternative Product
Primary Antibodies

AB152112

Anti-PCNA antibody

primary-antibodies

pcna-antibody-ab152112

3

(2 reviews)

Alternative Product
Primary Antibodies

AB70472

Anti-PCNA antibody [5E6/2]

primary-antibodies

pcna-antibody-5e6-2-ab70472

1

(1 reviews)

Alternative Product
Primary Antibodies

AB233658

PE Anti-PCNA antibody [PC10]

primary-antibodies

pe-pcna-antibody-pc10-ab233658

0

(0 reviews)

Alternative Product
Primary Antibodies

AB265609

Anti-PCNA antibody [BLR075G]

primary-antibodies

pcna-antibody-blr075g-ab265609

0

(0 reviews)

Alternative Product
Primary Antibodies

AB265585

Anti-PCNA antibody [PC10]

primary-antibodies

pcna-antibody-pc10-ab265585

0

(0 reviews)

Alternative Product
Primary Antibodies

AB19166

Anti-PCNA antibody

primary-antibodies

pcna-antibody-ab19166

0

(0 reviews)

Alternative Product
Primary Antibodies

AB272076

Anti-PCNA antibody [BLR075G] - BSA free

primary-antibodies

pcna-antibody-blr075g-bsa-free-ab272076

0

(0 reviews)

Alternative Product
Primary Antibodies

AB29

Anti-PCNA antibody [PC10]

primary-antibodies

pcna-antibody-pc10-ab29

5

(72 reviews)

Alternative Product
Primary Antibodies

AB193964

Alexa Fluor® 647 Anti-PCNA antibody [EPR3821]

primary-antibodies

alexa-fluor-647-pcna-antibody-epr3821-ab193964

0

(0 reviews)

Alternative Product
Primary Antibodies

AB193965

HRP Anti-PCNA antibody [EPR3821]

primary-antibodies

hrp-pcna-antibody-epr3821-ab193965

5

(3 reviews)

Alternative Product
Primary Antibodies

AB201673

HRP Anti-PCNA antibody [PC10]

primary-antibodies

hrp-pcna-antibody-pc10-ab201673

0

(0 reviews)

Alternative Product
Primary Antibodies

AB201674

Alexa Fluor® 647 Anti-PCNA antibody [PC10]

primary-antibodies

alexa-fluor-647-pcna-antibody-pc10-ab201674

0

(0 reviews)

Alternative Product
Primary Antibodies

AB92552

Anti-PCNA antibody [EPR3821]

primary-antibodies

pcna-antibody-epr3821-ab92552

5

(12 reviews)

Alternative Product
Primary Antibodies

AB218310

Anti-PCNA antibody [EPR3821] - BSA and Azide free

primary-antibodies

pcna-antibody-epr3821-bsa-and-azide-free-ab218310

0

(0 reviews)

Alternative Product
Primary Antibodies

AB193963

Alexa Fluor® 488 Anti-PCNA antibody [EPR3821]

primary-antibodies

alexa-fluor-488-pcna-antibody-epr3821-ab193963

0

(0 reviews)

Please note: All products are 'FOR RESEARCH USE ONLY. NOT FOR USE IN DIAGNOSTIC OR THERAPEUTIC PROCEDURES'.

For licensing inquiries, please contact partnerships@abcam.com