JavaScript is disabled in your browser. Please enable JavaScript to view this website.
AB181158

Anti-PCQAP / MED15 antibody [EPR13309]

Be the first to review this product! Submit a review

|

(3 Publications)

Rabbit Recombinant Monoclonal PCQAP / MED15 antibody. Suitable for WB, ICC/IF, Flow Cyt (Intra), IHC-P and reacts with Mouse, Rat, Human samples. Cited in 3 publications.

View Alternative Names

ARC105, CTG7A, PCQAP, TIG1, TNRC7, MED15, Mediator of RNA polymerase II transcription subunit 15, Activator-recruited cofactor 105 kDa component, CTG repeat protein 7a, Mediator complex subunit 15, Positive cofactor 2 glutamine/Q-rich-associated protein, TPA-inducible gene 1 protein, Trinucleotide repeat-containing gene 7 protein, PC2 glutamine/Q-rich-associated protein, TIG-1

9 Images
Immunocytochemistry/ Immunofluorescence - Anti-PCQAP / MED15 antibody [EPR13309] (AB181158)
  • ICC/IF

Lab

Immunocytochemistry/ Immunofluorescence - Anti-PCQAP / MED15 antibody [EPR13309] (AB181158)

Immunocytochemistry/ Immunofluorescence analysis of HeLa (Human cervix adenocarcinoma epithelial cell) cells labeling PCQAP/MED15 with Purified ab181158 at 1 : 100 dilution (3.2μg/ml). Cells were fixed in 4% Paraformaldehyde and permeabilized with 0.1% tritonX-100. Cells were counterstained with ab195889 Anti-alpha Tubulin antibody [DM1A] - Microtubule Marker (Alexa Fluor® 594) 1 : 200 (2.5 μg/ml). ab150077 Goat anti rabbit IgG(Alexa Fluor® 488) was used as the secondary antibody at 1 : 1000 dilution. DAPI nuclear counterstain. PBS instead of the primary antibody was used as the secondary antibody only control.

Immunohistochemistry (Formalin/PFA-fixed paraffin-embedded sections) - Anti-PCQAP / MED15 antibody [EPR13309] (AB181158)
  • IHC-P

Supplier Data

Immunohistochemistry (Formalin/PFA-fixed paraffin-embedded sections) - Anti-PCQAP / MED15 antibody [EPR13309] (AB181158)

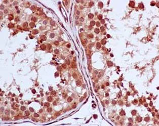
Immunohistochemical analysis of paraffin-embedded Human testis tissue labeling PCQAP / MED15 with unpurified ab181158 at 1/250 dilution followed by prediluted HRP Polymer for Rabbit IgG. Counterstained with Hematoxylin.

Immunohistochemistry (Formalin/PFA-fixed paraffin-embedded sections) - Anti-PCQAP / MED15 antibody [EPR13309] (AB181158)
  • IHC-P

Lab

Immunohistochemistry (Formalin/PFA-fixed paraffin-embedded sections) - Anti-PCQAP / MED15 antibody [EPR13309] (AB181158)

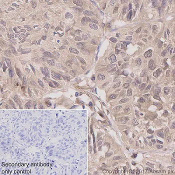
Immunohistochemistry (Formalin/PFA-fixed paraffin-embedded sections) analysis of Human lung carcinoma tissue sections labeling PCQAP/MED15 with purified ab181158 at 1 : 250 dilution (1.28 μg/ml). Heat mediated antigen retrieval was performed using EDTA Buffer pH9.0. Tissue was counterstained with Hematoxylin. ImmunoHistoProbe one step HRP Polymer (ready to use) secondary antibody was used at 1 : 0 dilution. PBS instead of the primary antibody was used as the negative control.

Flow Cytometry (Intracellular) - Anti-PCQAP / MED15 antibody [EPR13309] (AB181158)
  • Flow Cyt (Intra)

Lab

Flow Cytometry (Intracellular) - Anti-PCQAP / MED15 antibody [EPR13309] (AB181158)

Intracellular Flow Cytometry analysis of HeLa (Human cervix adenocarcinoma epithelial cell) cells labeling PCQAP/MED15 with purified ab181158 at 1/30 dilution (10 ug/ml) (red). Cells were fixed with 4% Paraformaldehyde. A Goat anti rabbit IgG (Alexa Fluor® 488) secondary antibody was used at 1/2000 dilution. Isotype control - 90% methanol. Unlabeled control - Rabbit monoclonal IgG (Black). Cell without incubation with primary antibody and secondary antibody (Blue).

Flow Cytometry (Intracellular) - Anti-PCQAP / MED15 antibody [EPR13309] (AB181158)
  • Flow Cyt (Intra)

Supplier Data

Flow Cytometry (Intracellular) - Anti-PCQAP / MED15 antibody [EPR13309] (AB181158)

Intracellular flow cytometric analysis of 2% paraformaldehyde-fixed293 cells labeling PCQAP / MED15 with unpurified ab181158at 1/50 dilution (red), compared to aRabbit monoclonal IgG isotype control (green), followed by Goat anti rabbit IgG (FITC) secondary at 1/150 dilution.

Immunocytochemistry/ Immunofluorescence - Anti-PCQAP / MED15 antibody [EPR13309] (AB181158)
  • ICC/IF

Supplier Data

Immunocytochemistry/ Immunofluorescence - Anti-PCQAP / MED15 antibody [EPR13309] (AB181158)

Immunofluorescent analysis of acetone-fixed HeLa cells labeling PCQAP / MED15 with unpurified ab181158 at 1/100 dilution followed by Goat anti rabbit IgG (Alexa Fluor® 555) secondary antibody at 1/200 diution. Counter stained with Dapi (blue).

Western blot - Anti-PCQAP / MED15 antibody [EPR13309] (AB181158)
  • WB

Supplier Data

Western blot - Anti-PCQAP / MED15 antibody [EPR13309] (AB181158)

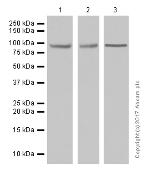
All lanes:

Western blot - Anti-PCQAP / MED15 antibody [EPR13309] (ab181158) at 1/1000 dilution

Lane 1:

293 cell lysate at 20 µg

Lane 2:

K562 cell lysate at 20 µg

Lane 3:

HeLa cell lysate at 20 µg

Secondary

All lanes:

Goat Anti-Rabbit IgG, (H+L), Peroxidase conjugate at 1/1000 dilution

Predicted band size: 87 kDa

Observed band size: 97 kDa

false

Western blot - Anti-PCQAP / MED15 antibody [EPR13309] (AB181158)
  • WB

Lab

Western blot - Anti-PCQAP / MED15 antibody [EPR13309] (AB181158)

Blocking and diluting buffer : 5% NFDM/TBST

All lanes:

Western blot - Anti-PCQAP / MED15 antibody [EPR13309] (ab181158) at 1/1000 dilution

Lane 1:

293 (Human embryonic kidney epithelial cell) whole cell lysates at 20 µg

Lane 2:

K562 (Human chronic myelogenous leukemia lymphoblast) whole cell lysates at 20 µg

Lane 3:

C6 (Rat glial tumor glial cell) whole cell lysates at 20 µg

Secondary

All lanes:

Western blot - Goat Anti-Rabbit IgG H&L (HRP) (<a href='/en-us/products/secondary-antibodies/goat-rabbit-igg-h-l-hrp-ab97051'>ab97051</a>) at 1/20000 dilution

Predicted band size: 87 kDa

Observed band size: 97 kDa

false

Western blot - Anti-PCQAP / MED15 antibody [EPR13309] (AB181158)
  • WB

Lab

Western blot - Anti-PCQAP / MED15 antibody [EPR13309] (AB181158)

Blocking and diluting buffer : 5% NFDM/TBST

All lanes:

Western blot - Anti-PCQAP / MED15 antibody [EPR13309] (ab181158) at 1/1000 dilution

Lane 1:

Mouse placenta lysates at 15 µg

Lane 2:

Mouse spleen lysates at 15 µg

Secondary

All lanes:

Western blot - Goat Anti-Rabbit IgG H&L (HRP) (<a href='/en-us/products/secondary-antibodies/goat-rabbit-igg-h-l-hrp-ab97051'>ab97051</a>) at 1/20000 dilution

Predicted band size: 87 kDa

false

  • Carrier free

    Anti-PCQAP / MED15 antibody [EPR13309] - BSA and Azide free

Key facts

Host species

Rabbit

Clonality

Monoclonal

Clone number

EPR13309

Isotype

IgG

Carrier free

No

Reacts with

Mouse, Rat, Human

Applications

WB, IHC-P, Flow Cyt (Intra), ICC/IF

applications

Immunogen

The exact immunogen used to generate this antibody is proprietary information.

Reactivity data

{ "title": "Reactivity Data", "filters": { "stats": ["", "Species", "Dilution Info", "Notes"], "tabs": { "all-applications": {"fullname" : "All Applications", "shortname": "All Applications"}, "WB" : {"fullname" : "Western blot", "shortname":"WB"}, "ICCIF" : {"fullname" : "Immunocytochemistry/ Immunofluorescence", "shortname":"ICC/IF"}, "FlowCytIntra" : {"fullname" : "Flow Cytometry (Intracellular)", "shortname":"Flow Cyt (Intra)"}, "IHCP" : {"fullname" : "Immunohistochemistry (Formalin/PFA-fixed paraffin-embedded sections)", "shortname":"IHC-P"} }, "product-promise": { "all": "all", "testedAndGuaranteed": "tested", "guaranteed": "expected", "predicted": "predicted", "notRecommended": "not-recommended" } }, "values": { "Human": { "WB-species-checked": "testedAndGuaranteed", "WB-species-dilution-info": "1/1000 - 1/2000", "WB-species-notes": "<p></p>", "ICCIF-species-checked": "testedAndGuaranteed", "ICCIF-species-dilution-info": "1/50 - 1/100", "ICCIF-species-notes": "<p></p>", "FlowCytIntra-species-checked": "testedAndGuaranteed", "FlowCytIntra-species-dilution-info": "1/30", "FlowCytIntra-species-notes": "<p>For unpurified use at 1/50. <a href='/en-us/products/primary-antibodies/rabbit-igg-monoclonal-epr25a-isotype-control-ab172730'>ab172730</a> - Rabbit monoclonal IgG, is suitable for use as an isotype control with this antibody.</p>", "IHCP-species-checked": "testedAndGuaranteed", "IHCP-species-dilution-info": "1/100 - 1/250", "IHCP-species-notes": "<p>The mouse and rat recommendation is based on the WB results. This antibody may not be suitable for IHC with mouse or rat samples.</p>" }, "Mouse": { "WB-species-checked": "testedAndGuaranteed", "WB-species-dilution-info": "1/1000 - 1/2000", "WB-species-notes": "<p></p>", "ICCIF-species-checked": "guaranteed", "ICCIF-species-dilution-info": "", "ICCIF-species-notes": "", "FlowCytIntra-species-checked": "guaranteed", "FlowCytIntra-species-dilution-info": "", "FlowCytIntra-species-notes": "", "IHCP-species-checked": "notRecommended", "IHCP-species-dilution-info": "", "IHCP-species-notes": "<p></p>" }, "Rat": { "WB-species-checked": "testedAndGuaranteed", "WB-species-dilution-info": "1/1000 - 1/2000", "WB-species-notes": "<p></p>", "ICCIF-species-checked": "guaranteed", "ICCIF-species-dilution-info": "", "ICCIF-species-notes": "", "FlowCytIntra-species-checked": "guaranteed", "FlowCytIntra-species-dilution-info": "", "FlowCytIntra-species-notes": "", "IHCP-species-checked": "notRecommended", "IHCP-species-dilution-info": "", "IHCP-species-notes": "<p></p>" } } }

Product details

Patented technology
Our RabMAb® technology is a patented hybridoma-based technology for making rabbit monoclonal antibodies. For details on our patents, please refer to RabMAb® patents.

What are the advantages of a recombinant monoclonal antibody?
This product is a recombinant monoclonal antibody, which offers several advantages including:

  • - High batch-to-batch consistency and reproducibility
  • - Improved sensitivity and specificity
  • - Long-term security of supply
  • - Animal-free batch production

For more information, read more on recombinant antibodies.

Properties and storage information

Form
Liquid
Purification technique
Affinity purification Protein A
Storage buffer
Preservative: 0.01% Sodium azide Constituents: PBS, 40% Glycerol (glycerin, glycerine), 0.05% BSA
Shipped at conditions
Blue Ice
Appropriate short-term storage duration
1-2 weeks
Appropriate short-term storage conditions
+4°C
Appropriate long-term storage conditions
-20°C
Aliquoting information
Upon delivery aliquot
Storage information
Avoid freeze / thaw cycle

Supplementary information

This supplementary information is collated from multiple sources and compiled automatically.

PCQAP also known as MED15 is a subunit of the Mediator complex an essential coactivator for transcription. MED15 helps facilitate the transcription process in eukaryotic cells by bridging transcription factors and RNA polymerase II. Its molecular mass is approximately 100 kDa. The protein is expressed widely in various tissues suggesting it has multiple roles in cellular processes.
Biological function summary

PCQAP/MED15 is important in regulating gene expression. It forms part of the large Mediator complex which interacts with various transcription factors to initiate and control chromosomal transcription. This interaction aids in the precise regulation of gene expression necessary for cell differentiation and development. Its function is quite important in the transcription machinery within the cell nucleus.

Pathways

PCQAP/MED15 integrates into the signal transduction and gene expression pathways. It has an involvement in the Wnt signaling pathway a system essential for embryonic development and cell growth. MED15 acts in conjunction with other proteins such as β-catenin which transduces the Wnt signal to the nucleus where MED15 participates in the transcriptional regulation of target genes.

PCQAP/MED15 has connections to cancer and certain neurological disorders. Its misregulation or mutation can lead to transcriptional dysregulation contributing to the onset of cancers by affecting genes that control cell proliferation. In neurological disorders PCQAP/MED15 impacts the expression of genes involved in neural functions with possible ties to disorders like Huntington's disease. The protein interacts with p53 a well-known tumor suppressor protein highlighting its role in disease development and progression.

Product protocols

For this product, it's our understanding that no specific protocols are required. You can visit:

Target data

Component of the Mediator complex, a coactivator involved in the regulated transcription of nearly all RNA polymerase II-dependent genes. Mediator functions as a bridge to convey information from gene-specific regulatory proteins to the basal RNA polymerase II transcription machinery. Mediator is recruited to promoters by direct interactions with regulatory proteins and serves as a scaffold for the assembly of a functional preinitiation complex with RNA polymerase II and the general transcription factors. Required for cholesterol-dependent gene regulation. Positively regulates the Nodal signaling pathway.
See full target information MED15

Publications (3)

Recent publications for all applications. Explore the full list and refine your search

Cell discovery 11:69 PubMed40825935

2025

A phosphorylation switch in the Mediator MED15 controls cellular senescence and cognitive decline.

Applications

Unspecified application

Species

Unspecified reactive species

Haozheng Li,Yuanming Zheng,Chunlei Yuan,Jiayi Wang,Xiaying Zhao,Ming Yang,Defei Xiong,Yenan Yang,Yunpeng Dai,Yiming Gao,Yuqi Wang,Lei Xue,Gang Wang

BMC biology 19:245 PubMed34789250

2021

Formation of nuclear condensates by the Mediator complex subunit Med15 in mammalian cells.

Applications

Unspecified application

Species

Unspecified reactive species

Yuanyuan Shi,Jian Chen,Wei-Jie Zeng,Miao Li,Wenxue Zhao,Xing-Ding Zhang,Jie Yao

Oncology letters 15:4303-4313 PubMed29556287

2018

Increased mediator complex subunit 15 expression is associated with poor prognosis in hepatocellular carcinoma.

Applications

Unspecified application

Species

Unspecified reactive species

Kunyuan Wang,Chenxi Duan,Xuejing Zou,Yang Song,Wenwen Li,Lushan Xiao,Jie Peng,Liheng Yao,Qian Long,Li Liu
View all publications

Product promise

We are committed to supporting your work with high-quality reagents, and we're here for you every step of the way. In the unlikely event that one of our products does not perform as expected, you're protected by our Product Promise.
For full details, please see our Terms & Conditions

Please note: All products are 'FOR RESEARCH USE ONLY. NOT FOR USE IN DIAGNOSTIC OR THERAPEUTIC PROCEDURES'.

For licensing inquiries, please contact partnerships@abcam.com