JavaScript is disabled in your browser. Please enable JavaScript to view this website.
AB250386

Anti-PCQAP / MED15 antibody [EPR13309] - BSA and Azide free

Be the first to review this product! Submit a review

|

(0 Publication)

Rabbit Recombinant Monoclonal PCQAP / MED15 antibody. Carrier free. Suitable for ICC/IF, WB, IHC-P, Flow Cyt (Intra) and reacts with Human, Mouse, Rat samples.

View Alternative Names

ARC105, CTG7A, PCQAP, TIG1, TNRC7, MED15, Mediator of RNA polymerase II transcription subunit 15, Activator-recruited cofactor 105 kDa component, CTG repeat protein 7a, Mediator complex subunit 15, Positive cofactor 2 glutamine/Q-rich-associated protein, TPA-inducible gene 1 protein, Trinucleotide repeat-containing gene 7 protein, PC2 glutamine/Q-rich-associated protein, TIG-1

9 Images
Immunohistochemistry (Formalin/PFA-fixed paraffin-embedded sections) - Anti-PCQAP / MED15 antibody [EPR13309] - BSA and Azide free (AB250386)
  • IHC-P

Lab

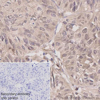
Immunohistochemistry (Formalin/PFA-fixed paraffin-embedded sections) - Anti-PCQAP / MED15 antibody [EPR13309] - BSA and Azide free (AB250386)

This data was developed using ab181158, the same antibody clone in a different buffer formulation.

Immunohistochemistry (Formalin/PFA-fixed paraffin-embedded sections) analysis of Human lung carcinoma tissue sections labeling PCQAP/MED15 with purified ab181158 at 1 : 250 dilution (1.28 μg/ml). Heat mediated antigen retrieval was performed using EDTA Buffer, pH9.0. Tissue was counterstained with Hematoxylin. ImmunoHistoProbe one step HRP Polymer (ready to use) secondary antibody was used at 1 : 0 dilution. PBS instead of the primary antibody was used as the negative control.

Western blot - Anti-PCQAP / MED15 antibody [EPR13309] - BSA and Azide free (AB250386)
  • WB

Lab

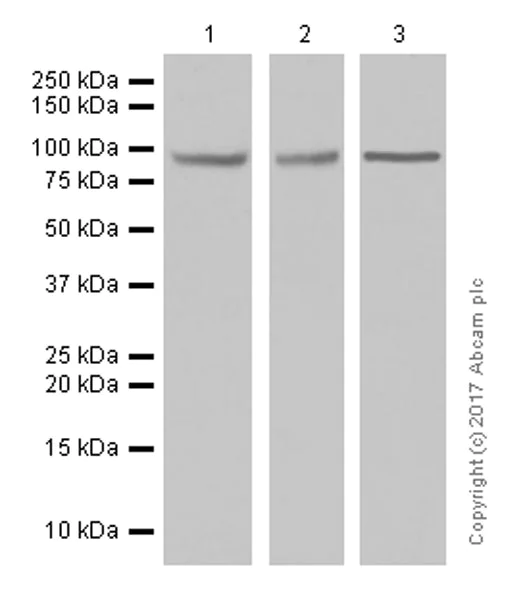
Western blot - Anti-PCQAP / MED15 antibody [EPR13309] - BSA and Azide free (AB250386)

This data was developed using ab181158, the same antibody clone in a different buffer formulation.

Blocking and dilution buffer : 5% NFDM/TBST.

All lanes:

Western blot - Anti-PCQAP / MED15 antibody [EPR13309] (<a href='/en-us/products/primary-antibodies/pcqap-med15-antibody-epr13309-ab181158'>ab181158</a>) at 1/1000 dilution

Lane 1:

293 (Human embryonic kidney epithelial cell) whole cell lysates at 20 µg

Lane 2:

K562 (Human chronic myelogenous leukemia lymphoblast) whole cell lysates at 20 µg

Lane 3:

C6 (Rat glial tumor glial cell) whole cell lysates at 20 µg

Secondary

All lanes:

Western blot - Goat Anti-Rabbit IgG H&L (HRP) (<a href='/en-us/products/secondary-antibodies/goat-rabbit-igg-h-l-hrp-ab97051'>ab97051</a>) at 1/20000 dilution

Predicted band size: 87 kDa

Observed band size: 97 kDa

false

Western blot - Anti-PCQAP / MED15 antibody [EPR13309] - BSA and Azide free (AB250386)
  • WB

Lab

Western blot - Anti-PCQAP / MED15 antibody [EPR13309] - BSA and Azide free (AB250386)

This data was developed using ab181158, the same antibody clone in a different buffer formulation.

Blocking and dilution buffer : 5% NFDM/TBST.

All lanes:

Western blot - Anti-PCQAP / MED15 antibody [EPR13309] (<a href='/en-us/products/primary-antibodies/pcqap-med15-antibody-epr13309-ab181158'>ab181158</a>) at 1/1000 dilution

Lane 1:

Mouse placenta lysates at 15 µg

Lane 2:

Mouse spleen lysates at 15 µg

Secondary

All lanes:

Western blot - Goat Anti-Rabbit IgG H&L (HRP) (<a href='/en-us/products/secondary-antibodies/goat-rabbit-igg-h-l-hrp-ab97051'>ab97051</a>) at 1/20000 dilution

Predicted band size: 87 kDa

false

Flow Cytometry (Intracellular) - Anti-PCQAP / MED15 antibody [EPR13309] - BSA and Azide free (AB250386)
  • Flow Cyt (Intra)

Lab

Flow Cytometry (Intracellular) - Anti-PCQAP / MED15 antibody [EPR13309] - BSA and Azide free (AB250386)

This data was developed using ab181158, the same antibody clone in a different buffer formulation.

Intracellular Flow Cytometry analysis of HeLa (Human cervix adenocarcinoma epithelial cell) cells labeling PCQAP/MED15 with purified ab181158 at 1/30 dilution (10 ug/ml) (red). Cells were fixed with 4% Paraformaldehyde. A Goat anti rabbit IgG (Alexa Fluor® 488) secondary antibody was used at 1/2000 dilution. Isotype control - 90% methanol. Unlabeled control - Rabbit monoclonal IgG (Black). Cell without incubation with primary antibody and secondary antibody (Blue).

Immunocytochemistry/ Immunofluorescence - Anti-PCQAP / MED15 antibody [EPR13309] - BSA and Azide free (AB250386)
  • ICC/IF

Lab

Immunocytochemistry/ Immunofluorescence - Anti-PCQAP / MED15 antibody [EPR13309] - BSA and Azide free (AB250386)

This data was developed using ab181158, the same antibody clone in a different buffer formulation.

Immunocytochemistry/ Immunofluorescence analysis of HeLa (Human cervix adenocarcinoma epithelial cell) cells labeling PCQAP/MED15 with Purified ab181158 at 1 : 100 dilution (3.2μg/ml). Cells were fixed in 4% Paraformaldehyde and permeabilized with 0.1% tritonX-100. Cells were counterstained with ab195889 Anti-alpha Tubulin antibody [DM1A] - Microtubule Marker (Alexa Fluor® 594) 1 : 200 (2.5 μg/ml). ab150077 Goat anti rabbit IgG(Alexa Fluor® 488) was used as the secondary antibody at 1 : 1000 dilution. DAPI nuclear counterstain. PBS instead of the primary antibody was used as the secondary antibody only control.

Flow Cytometry (Intracellular) - Anti-PCQAP / MED15 antibody [EPR13309] - BSA and Azide free (AB250386)
  • Flow Cyt (Intra)

Supplier Data

Flow Cytometry (Intracellular) - Anti-PCQAP / MED15 antibody [EPR13309] - BSA and Azide free (AB250386)

This data was developed using ab181158, the same antibody clone in a different buffer formulation.

Intracellular flow cytometric analysis of 2% paraformaldehyde-fixed 293 cells labeling PCQAP / MED15 with unpurified ab181158 at 1/50 dilution (red), compared to a Rabbit monoclonal IgG isotype control (green), followed by Goat anti rabbit IgG (FITC) secondary at 1/150 dilution.

Immunocytochemistry/ Immunofluorescence - Anti-PCQAP / MED15 antibody [EPR13309] - BSA and Azide free (AB250386)
  • ICC/IF

Supplier Data

Immunocytochemistry/ Immunofluorescence - Anti-PCQAP / MED15 antibody [EPR13309] - BSA and Azide free (AB250386)

This data was developed using ab181158, the same antibody clone in a different buffer formulation.

Immunofluorescent analysis of acetone-fixed HeLa cells labeling PCQAP / MED15 with unpurified ab181158 at 1/100 dilution followed by Goat anti rabbit IgG (Alexa Fluor® 555) secondary antibody at 1/200 diution. Counter stained with Dapi (blue).

Immunohistochemistry (Formalin/PFA-fixed paraffin-embedded sections) - Anti-PCQAP / MED15 antibody [EPR13309] - BSA and Azide free (AB250386)
  • IHC-P

Supplier Data

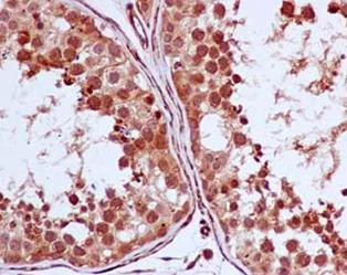
Immunohistochemistry (Formalin/PFA-fixed paraffin-embedded sections) - Anti-PCQAP / MED15 antibody [EPR13309] - BSA and Azide free (AB250386)

This data was developed using ab181158, the same antibody clone in a different buffer formulation.

Immunohistochemical analysis of paraffin-embedded Human testis tissue labeling PCQAP / MED15 with unpurified ab181158 at 1/250 dilution followed by prediluted HRP Polymer for Rabbit IgG. Counterstained with Hematoxylin.

Western blot - Anti-PCQAP / MED15 antibody [EPR13309] - BSA and Azide free (AB250386)
  • WB

Supplier Data

Western blot - Anti-PCQAP / MED15 antibody [EPR13309] - BSA and Azide free (AB250386)

This data was developed using ab181158, the same antibody clone in a different buffer formulation.

All lanes:

Western blot - Anti-PCQAP / MED15 antibody [EPR13309] (<a href='/en-us/products/primary-antibodies/pcqap-med15-antibody-epr13309-ab181158'>ab181158</a>) at 1/1000 dilution

Lane 1:

293 cell lysate at 20 µg

Lane 2:

K562 cell lysate at 20 µg

Lane 3:

HeLa cell lysate at 20 µg

Secondary

All lanes:

Goat Anti-Rabbit IgG, (H+L), Peroxidase conjugate at 1/1000 dilution

Predicted band size: 87 kDa

Observed band size: 97 kDa

false

Key facts

Host species

Rabbit

Clonality

Monoclonal

Clone number

EPR13309

Isotype

IgG

Carrier free

Yes

Reacts with

Mouse, Rat, Human

Applications

ICC/IF, Flow Cyt (Intra), IHC-P, WB

applications

Immunogen

The exact immunogen used to generate this antibody is proprietary information.

Reactivity data

{ "title": "Reactivity Data", "filters": { "stats": ["", "Species", "Dilution Info", "Notes"], "tabs": { "all-applications": {"fullname" : "All Applications", "shortname": "All Applications"}, "ICCIF" : {"fullname" : "Immunocytochemistry/ Immunofluorescence", "shortname":"ICC/IF"}, "WB" : {"fullname" : "Western blot", "shortname":"WB"}, "IHCP" : {"fullname" : "Immunohistochemistry (Formalin/PFA-fixed paraffin-embedded sections)", "shortname":"IHC-P"}, "FlowCytIntra" : {"fullname" : "Flow Cytometry (Intracellular)", "shortname":"Flow Cyt (Intra)"} }, "product-promise": { "all": "all", "testedAndGuaranteed": "tested", "guaranteed": "expected", "predicted": "predicted", "notRecommended": "not-recommended" } }, "values": { "Human": { "ICCIF-species-checked": "testedAndGuaranteed", "ICCIF-species-dilution-info": "", "ICCIF-species-notes": "<p></p>", "WB-species-checked": "testedAndGuaranteed", "WB-species-dilution-info": "", "WB-species-notes": "<p></p>", "IHCP-species-checked": "testedAndGuaranteed", "IHCP-species-dilution-info": "", "IHCP-species-notes": "<p>The mouse and rat recommendation is based on the WB results. This antibody may not be suitable for IHC with mouse or rat samples.</p>", "FlowCytIntra-species-checked": "testedAndGuaranteed", "FlowCytIntra-species-dilution-info": "", "FlowCytIntra-species-notes": "<p></p>" }, "Mouse": { "ICCIF-species-checked": "guaranteed", "ICCIF-species-dilution-info": "", "ICCIF-species-notes": "", "WB-species-checked": "testedAndGuaranteed", "WB-species-dilution-info": "", "WB-species-notes": "<p></p>", "IHCP-species-checked": "guaranteed", "IHCP-species-dilution-info": "", "IHCP-species-notes": "", "FlowCytIntra-species-checked": "guaranteed", "FlowCytIntra-species-dilution-info": "", "FlowCytIntra-species-notes": "" }, "Rat": { "ICCIF-species-checked": "guaranteed", "ICCIF-species-dilution-info": "", "ICCIF-species-notes": "", "WB-species-checked": "testedAndGuaranteed", "WB-species-dilution-info": "", "WB-species-notes": "<p></p>", "IHCP-species-checked": "guaranteed", "IHCP-species-dilution-info": "", "IHCP-species-notes": "", "FlowCytIntra-species-checked": "guaranteed", "FlowCytIntra-species-dilution-info": "", "FlowCytIntra-species-notes": "" } } }

Product details

ab250386 is the carrier-free version of ab181158.

Patented technology
Our RabMAb® technology is a patented hybridoma-based technology for making rabbit monoclonal antibodies. For details on our patents, please refer to RabMAb® patents.

What are the advantages of a recombinant monoclonal antibody?
This product is a recombinant monoclonal antibody, which offers several advantages including:

  • - High batch-to-batch consistency and reproducibility
  • - Improved sensitivity and specificity
  • - Long-term security of supply
  • - Animal-free batch production

For more information, read more on recombinant antibodies.

Conjugation ready
Our carrier-free antibodies are typically supplied in a PBS-only formulation, purified and free of BSA, sodium azide and glycerol. This conjugation-ready format is designed for use with fluorochromes, metal isotopes, oligonucleotides, and enzymes, which makes them ideal for antibody labelling, functional and cell-based assays, flow-based assays (e.g. mass cytometry) and Multiplex Imaging applications.

Use our conjugation kits for antibody conjugates that are ready-to-use in as little as 20 minutes with 1 minute hands-on-time and 100% antibody recovery: available for fluorescent dyes, HRP, biotin and gold.

Compatibility
This product is compatible with the Maxpar® Antibody Labeling Kit from Fluidigm, without the need for antibody preparation. Maxpar® is a trademark of Fluidigm Canada Inc.

Properties and storage information

Form
Liquid
Purification technique
Affinity purification Protein A
Storage buffer
pH: 7.2 - 7.4 Constituents: PBS
Shipped at conditions
Blue Ice
Appropriate short-term storage conditions
+4°C
Appropriate long-term storage conditions
+4°C
Storage information
Do Not Freeze

Supplementary information

This supplementary information is collated from multiple sources and compiled automatically.

PCQAP also known as MED15 is a subunit of the Mediator complex an essential coactivator for transcription. MED15 helps facilitate the transcription process in eukaryotic cells by bridging transcription factors and RNA polymerase II. Its molecular mass is approximately 100 kDa. The protein is expressed widely in various tissues suggesting it has multiple roles in cellular processes.
Biological function summary

PCQAP/MED15 is important in regulating gene expression. It forms part of the large Mediator complex which interacts with various transcription factors to initiate and control chromosomal transcription. This interaction aids in the precise regulation of gene expression necessary for cell differentiation and development. Its function is quite important in the transcription machinery within the cell nucleus.

Pathways

PCQAP/MED15 integrates into the signal transduction and gene expression pathways. It has an involvement in the Wnt signaling pathway a system essential for embryonic development and cell growth. MED15 acts in conjunction with other proteins such as β-catenin which transduces the Wnt signal to the nucleus where MED15 participates in the transcriptional regulation of target genes.

PCQAP/MED15 has connections to cancer and certain neurological disorders. Its misregulation or mutation can lead to transcriptional dysregulation contributing to the onset of cancers by affecting genes that control cell proliferation. In neurological disorders PCQAP/MED15 impacts the expression of genes involved in neural functions with possible ties to disorders like Huntington's disease. The protein interacts with p53 a well-known tumor suppressor protein highlighting its role in disease development and progression.

Product protocols

For this product, it's our understanding that no specific protocols are required. You can visit:

Target data

Component of the Mediator complex, a coactivator involved in the regulated transcription of nearly all RNA polymerase II-dependent genes. Mediator functions as a bridge to convey information from gene-specific regulatory proteins to the basal RNA polymerase II transcription machinery. Mediator is recruited to promoters by direct interactions with regulatory proteins and serves as a scaffold for the assembly of a functional preinitiation complex with RNA polymerase II and the general transcription factors. Required for cholesterol-dependent gene regulation. Positively regulates the Nodal signaling pathway.
See full target information MED15

Product promise

We are committed to supporting your work with high-quality reagents, and we're here for you every step of the way. In the unlikely event that one of our products does not perform as expected, you're protected by our Product Promise.
For full details, please see our Terms & Conditions

Please note: All products are 'FOR RESEARCH USE ONLY. NOT FOR USE IN DIAGNOSTIC OR THERAPEUTIC PROCEDURES'.

For licensing inquiries, please contact partnerships@abcam.com