JavaScript is disabled in your browser. Please enable JavaScript to view this website.
AB274418

Anti-PCSK2 antibody [EPR23578-19]

  • BOND RX™ Validated
  • 20ul selling size
  • RabMAb
  • Advanced Validation
  • Recombinant
  • What is this?

Be the first to review this product! Submit a review

|

(1 Publication)

Rabbit Recombinant Monoclonal PCSK2 antibody. Suitable for mIHC, ICC/IF, WB, Flow Cyt (Intra), IHC-P and reacts with Human samples. Cited in 1 publication.

View Alternative Names

NEC2, PCSK2, Neuroendocrine convertase 2, NEC 2, KEX2-like endoprotease 2, Prohormone convertase 2, Proprotein convertase 2, PC2

10 Images
Multiplex immunohistochemistry - Anti-PCSK2 antibody [EPR23578-19] (AB274418)
  • mIHC

Supplier Data

Multiplex immunohistochemistry - Anti-PCSK2 antibody [EPR23578-19] (AB274418)

Fluorescence multiplex immunohistochemical analysis of human adrenal gland (formalin-fixed paraffin-embedded section). Panel A shows merged staining of anti-PCSK2 stained on adrenal medulla (ab274418; gray; Opal™690) at 1 : 2000 (0.263 μg/ml) [Panel B], anti-CYP11A1 stained on adrenal cortex (ab272494; green; Opal™520) at 1 : 10000 (0.053 μg/ml) [Panel C], and anti-Neuropeptide Y stained on chromaffin cells (ab221145; red; Opal™570) at 1 : 2000 (0.279 μg/ml) [Panel D] on human adrenal gland. DAPI was used as a nuclear counter stain. Followed by Opal Polymer HRP Ms + Rb secondary antibody. The immunostaining was performed on a Leica Biosystems BOND® RX instrument with an Opal™ 4-color kit. Image acquisition was performed with Leica SP8 confocal microscope. The section was incubated in three rounds of staining : in the order of ab274418, ab272494, and ab221145 for 30 mins at room temperature. Each round was followed by a separate fluorescent tyramide signal amplification system. Heat mediated antigen retrieval with Tris-EDTA buffer (pH 9.0, epitope retrieval solution2) for 20 mins was used.

Multiplex immunohistochemistry - Anti-PCSK2 antibody [EPR23578-19] (AB274418)
  • mIHC

Supplier Data

Multiplex immunohistochemistry - Anti-PCSK2 antibody [EPR23578-19] (AB274418)

Fluorescence multiplex immunohistochemical analysis of human adrenal gland (formalin-fixed paraffin-embedded section). Panel A shows merged staining of anti-PCSK2 stained on adrenal medulla (ab274418; gray; Opal™690) at 1 : 2000 (0.263 μg/ml) [Panel B], anti-CYP11A1 stained on adrenal cortex (ab272494; green; Opal™520) at 1 : 10000 (0.053 μg/ml) [Panel C], and anti-Collagen VI stained on extracellular matrix (ab182744; red; Opal™570) at 1 : 1000 (1.518 μg/ml) [Panel D] on human adrenal gland. DAPI was used as a nuclear counter stain. Followed by Opal Polymer HRP Ms + Rb secondary antibody. The immunostaining was performed on a Leica Biosystems BOND® RX instrument with an Opal™ 4-color kit. Image acquisition was performed with Leica SP8 confocal microscope. The section was incubated in three rounds of staining : in the order of ab274418, ab272494, and ab182744 for 30 mins at room temperature. Each round was followed by a separate fluorescent tyramide signal amplification system. Heat mediated antigen retrieval with Tris-EDTA buffer (pH 9.0, epitope retrieval solution2) for 20 mins was used.

Immunocytochemistry/ Immunofluorescence - Anti-PCSK2 antibody [EPR23578-19] (AB274418)
  • ICC/IF

Unknown

Immunocytochemistry/ Immunofluorescence - Anti-PCSK2 antibody [EPR23578-19] (AB274418)

Immunofluorescent analysis of 4% Paraformaldehyde-fixed, 0.1% Triton X-100 permeabilized TT cells labelling PCSK2 with ab274418 at 1/100 (5.25 ug/ml) dilution, followed by ab150077 Goat Anti-Rabbit IgG H&L (Alexa Fluor® 488) antibody at 1/1000 dilution (Green). Confocal image showing cytoplamic staining in TT cell line. ab195889 Anti-alpha Tubulin mouse monoclonal antibody - Microtubule Marker (Alexa Fluor® 594) was used to counterstain tubulin at 1/200 dilution (Red). The Nuclear counterstain was DAPI (Blue).

Secondary antibody only control : Secondary antibody is ab150077 Goat Anti-Rabbit IgG H&L (Alexa Fluor® 488) at 1/1000 dilution.

Immunohistochemistry (Formalin/PFA-fixed paraffin-embedded sections) - Anti-PCSK2 antibody [EPR23578-19] (AB274418)
  • IHC-P

Unknown

Immunohistochemistry (Formalin/PFA-fixed paraffin-embedded sections) - Anti-PCSK2 antibody [EPR23578-19] (AB274418)

Immunohistochemical analysis of paraffin-embedded Human colon tissue labeling PCSK2 with ab274418 at 1/2000 dilution followed by a ready to use Rabbit specific IHC polymer detection kit HRP/DAB (ab209101). Postive staining on myenteric neurons of human colon (PMID : 7829629). The section was incubated with ab274418 for 30 mins at room temperature. The immunostaining was performed on a Leica Biosystems BOND® RX instrument. Counterstained with Hematoxylin.

Secondary antibody only control : Secondary antibody is a ready to use Rabbit specific IHC polymer detection kit HRP/DAB (ab209101).

Heat mediated antigen retrieval with Tris-EDTA buffer (pH 9.0, epitope retrieval solution2) for 20 mins.

Flow Cytometry (Intracellular) - Anti-PCSK2 antibody [EPR23578-19] (AB274418)
  • Flow Cyt (Intra)

Unknown

Flow Cytometry (Intracellular) - Anti-PCSK2 antibody [EPR23578-19] (AB274418)

Intracellular flow cytometric analysis of 4% paraformaldehyde fixed, 90% methanol permeabilized TT (Human thyroid carcinoma epithelial cell) cells labelling PCSK2 with ab274418 at 1/500 dilution (0.1ug) (Red) compared with a Rabbit monoclonal IgG (ab172730) isotype control (Black) and an unlabelled control (cells without incubation with primary antibody and secondary antibody) (Blue).

A Goat anti rabbit IgG (Alexa Fluor® 488, ab150077) at 1/2000 dilution was used as the secondary antibody.

Immunohistochemistry (Formalin/PFA-fixed paraffin-embedded sections) - Anti-PCSK2 antibody [EPR23578-19] (AB274418)
  • IHC-P

Unknown

Immunohistochemistry (Formalin/PFA-fixed paraffin-embedded sections) - Anti-PCSK2 antibody [EPR23578-19] (AB274418)

Immunohistochemical analysis of paraffin-embedded Human adrenal gland tissue labeling PCSK2 with ab274418 at 1/2000 dilution followed by a ready to use Rabbit specific IHC polymer detection kit HRP/DAB (ab209101). Postive staining on human adrenal gland. The section was incubated with ab274418 for 30 mins at room temperature. The immunostaining was performed on a Leica Biosystems BON RX instrument. Counterstained with Hematoxylin.

Secondary antibody only control : Secondary antibody is a ready to use Rabbit specific IHC polymer detection kit HRP/DAB (ab209101).

Heat mediated antigen retrieval with Tris-EDTA buffer (pH 9.0, epitope retrieval solution2) for 20 mins.

Immunohistochemistry (Formalin/PFA-fixed paraffin-embedded sections) - Anti-PCSK2 antibody [EPR23578-19] (AB274418)
  • IHC-P

Unknown

Immunohistochemistry (Formalin/PFA-fixed paraffin-embedded sections) - Anti-PCSK2 antibody [EPR23578-19] (AB274418)

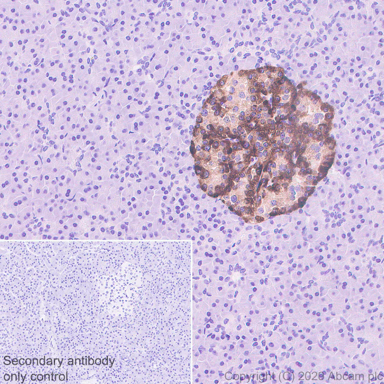
Immunohistochemical analysis of paraffin-embedded Human pancreas tissue labeling PCSK2 with ab274418 at 1/2000 dilution followed by a ready to use Rabbit specific IHC polymer detection kit HRP/DAB (ab209101). Postive staining on human pancreatic islets (PMID : 8916141, PMID : 7829629). The section was incubated with ab274418 for 30 mins at room temperature. The immunostaining was performed on a Leica Biosystems BOND. RX instrument Counterstained with Hematoxylin.

Secondary antibody only control : Secondary antibody is a ready to use Rabbit specific IHC polymer detection kit HRP/DAB (ab209101).

Heat mediated antigen retrieval with Tris-EDTA buffer (pH 9.0, epitope retrieval solution2) for 20 mins.

Multiplex immunohistochemistry - Anti-PCSK2 antibody [EPR23578-19] (AB274418)
  • mIHC

Supplier Data

Multiplex immunohistochemistry - Anti-PCSK2 antibody [EPR23578-19] (AB274418)

Fluorescence multiplex immunohistochemical analysis of human adrenal gland (formalin-fixed paraffin-embedded section). Panel A shows merged staining of anti-PCSK2 stained on adrenal medulla (ab274418; red; Opal™690) at 1 : 2000 (0.263 μg/ml) [Panel B], anti-C11B2/CYP11B2 stained on zona glomerulosa (ab249476; cyan; Opal™520) at 1 : 500 (4.478 μg/ml) [Panel C], and anti-SULT2A1 stained on zona reticularis (ab240333; yellow; Opal™570) at 1 : 500 (4.504 μg/ml) [Panel D] on human adrenal gland. DAPI was used as a nuclear counter stain. Followed by Opal Polymer HRP Ms + Rb secondary antibody. The immunostaining was performed on a Leica Biosystems BOND® RX instrument with an Opal™ 4-color kit. Image acquisition was performed with Leica SP8 confocal microscope. The section was incubated in three rounds of staining : in the order of ab274418, ab249476, and ab240333 for 30 mins at room temperature. Each round was followed by a separate fluorescent tyramide signal amplification system. Heat mediated antigen retrieval with Tris-EDTA buffer (pH 9.0, epitope retrieval solution2) for 20 mins was used.

Western blot - Anti-PCSK2 antibody [EPR23578-19] (AB274418)
  • WB

Unknown

Western blot - Anti-PCSK2 antibody [EPR23578-19] (AB274418)

Blocking and dilution buffer : 5% NFDM/TBST.

Exposure time : 3 minutes.

55-kDa PC2 is observed. The molecular weight observed is consistent with what has been described in the literature (PMID : 8557169, 14693708).
This blot was developed using a higher sensitivity ECL substrate.

All lanes:

Western blot - Anti-PCSK2 antibody [EPR23578-19] (ab274418) at 1/1000 dilution

All lanes:

Human brain tissue lysate at 40 µg

Secondary

All lanes:

Western blot - VeriBlot for IP Detection Reagent (HRP) (<a href='/en-us/products/reagents/veriblot-for-ip-detection-reagent-hrp-ab131366'>ab131366</a>) at 1/1000 dilution

Predicted band size: 71 kDa

Observed band size: 55 kDa

false

Western blot - Anti-PCSK2 antibody [EPR23578-19] (AB274418)
  • WB

Unknown

Western blot - Anti-PCSK2 antibody [EPR23578-19] (AB274418)

Blocking and dilution buffer : 5% NFDM/TBST.

Exposure time : 37 seconds.

70-kDa pro-PC2 is observed. The molecular weight observed is consistent with what has been described in the literature (PMID : 8557169, 14693708).

All lanes:

Western blot - Anti-PCSK2 antibody [EPR23578-19] (ab274418) at 1/1000 dilution

All lanes:

TT (human thyroid carcinoma epithelial cell) whole cell lysate at 40 µg

Secondary

All lanes:

Goat Anti-Rabbit IgG, (H+L), Peroxidase conjugated (<a href='/en-us/products/secondary-antibodies/goat-rabbit-igg-h-l-hrp-ab97051'>ab97051</a>) at 1/50000 dilution

Predicted band size: 71 kDa

Observed band size: 70 kDa

false

  • Carrier free

    Anti-PCSK2 antibody [EPR23578-19] - BSA and Azide free

  • Carrier free

    Anti-PCSK2 antibody [EPR23578-19] - BSA and Azide free (Detector)

Key facts

Host species

Rabbit

Clonality

Monoclonal

Clone number

EPR23578-19

Isotype

IgG

Carrier free

No

Reacts with

Human

Applications

mIHC, Flow Cyt (Intra), IHC-P, WB, ICC/IF

applications

Immunogen

The exact immunogen used to generate this antibody is proprietary information.

Reactivity data

{ "title": "Reactivity Data", "filters": { "stats": ["", "Species", "Dilution Info", "Notes"], "tabs": { "all-applications": {"fullname" : "All Applications", "shortname": "All Applications"}, "mIHC" : {"fullname" : "Multiplex immunohistochemistry", "shortname":"mIHC"}, "ICCIF" : {"fullname" : "Immunocytochemistry/ Immunofluorescence", "shortname":"ICC/IF"}, "IP" : {"fullname" : "Immunoprecipitation", "shortname":"IP"}, "WB" : {"fullname" : "Western blot", "shortname":"WB"}, "IHCFr" : {"fullname" : "Immunohistochemistry (Frozen sections)", "shortname":"IHC-Fr"}, "FlowCytIntra" : {"fullname" : "Flow Cytometry (Intracellular)", "shortname":"Flow Cyt (Intra)"}, "IHCP" : {"fullname" : "Immunohistochemistry (Formalin/PFA-fixed paraffin-embedded sections)", "shortname":"IHC-P"} }, "product-promise": { "all": "all", "testedAndGuaranteed": "tested", "guaranteed": "expected", "predicted": "predicted", "notRecommended": "not-recommended" } }, "values": { "Human": { "mIHC-species-checked": "testedAndGuaranteed", "mIHC-species-dilution-info": "1/2000", "mIHC-species-notes": "<p></p>", "ICCIF-species-checked": "testedAndGuaranteed", "ICCIF-species-dilution-info": "1/100", "ICCIF-species-notes": "<p></p>", "IP-species-checked": "notRecommended", "IP-species-dilution-info": "", "IP-species-notes": "<p></p>", "WB-species-checked": "testedAndGuaranteed", "WB-species-dilution-info": "1/1000", "WB-species-notes": "<p></p>", "IHCFr-species-checked": "notRecommended", "IHCFr-species-dilution-info": "", "IHCFr-species-notes": "<p></p>", "FlowCytIntra-species-checked": "testedAndGuaranteed", "FlowCytIntra-species-dilution-info": "1/500", "FlowCytIntra-species-notes": "<p></p>", "IHCP-species-checked": "testedAndGuaranteed", "IHCP-species-dilution-info": "1/2000", "IHCP-species-notes": "<p></p>" }, "Mouse": { "mIHC-species-checked": "notRecommended", "mIHC-species-dilution-info": "", "mIHC-species-notes": "", "ICCIF-species-checked": "notRecommended", "ICCIF-species-dilution-info": "", "ICCIF-species-notes": "", "IP-species-checked": "notRecommended", "IP-species-dilution-info": "", "IP-species-notes": "<p></p>", "WB-species-checked": "notRecommended", "WB-species-dilution-info": "1/1000", "WB-species-notes": "<p></p>", "IHCFr-species-checked": "notRecommended", "IHCFr-species-dilution-info": "", "IHCFr-species-notes": "<p></p>", "FlowCytIntra-species-checked": "notRecommended", "FlowCytIntra-species-dilution-info": "1/500", "FlowCytIntra-species-notes": "<p></p>", "IHCP-species-checked": "notRecommended", "IHCP-species-dilution-info": "1/2000", "IHCP-species-notes": "<p></p>" }, "Rat": { "mIHC-species-checked": "notRecommended", "mIHC-species-dilution-info": "", "mIHC-species-notes": "", "ICCIF-species-checked": "notRecommended", "ICCIF-species-dilution-info": "", "ICCIF-species-notes": "", "IP-species-checked": "notRecommended", "IP-species-dilution-info": "", "IP-species-notes": "", "WB-species-checked": "notRecommended", "WB-species-dilution-info": "1/1000", "WB-species-notes": "<p></p>", "IHCFr-species-checked": "notRecommended", "IHCFr-species-dilution-info": "", "IHCFr-species-notes": "<p></p>", "FlowCytIntra-species-checked": "notRecommended", "FlowCytIntra-species-dilution-info": "", "FlowCytIntra-species-notes": "", "IHCP-species-checked": "notRecommended", "IHCP-species-dilution-info": "1/2000", "IHCP-species-notes": "<p></p>" } } }

Product details

Patented technology
Our RabMAb® technology is a patented hybridoma-based technology for making rabbit monoclonal antibodies. For details on our patents, please refer to RabMAb® patents.

What are the advantages of a recombinant monoclonal antibody?
This product is a recombinant monoclonal antibody, which offers several advantages including:

  • - High batch-to-batch consistency and reproducibility
  • - Improved sensitivity and specificity
  • - Long-term security of supply
  • - Animal-free batch production

For more information, read more on recombinant antibodies.

Properties and storage information

Form
Liquid
Purification technique
Affinity purification Protein A
Storage buffer
Preservative: 0.01% Sodium azide Constituents: PBS, 40% Glycerol (glycerin, glycerine), 0.05% BSA
Shipped at conditions
Blue Ice
Appropriate short-term storage duration
1-2 weeks
Appropriate short-term storage conditions
+4°C
Appropriate long-term storage conditions
-20°C
Aliquoting information
Upon delivery aliquot
Storage information
Avoid freeze / thaw cycle

Supplementary information

This supplementary information is collated from multiple sources and compiled automatically.

The protein PCSK2 also known as proprotein convertase 2 is an enzyme with a molecular mass of approximately 75 kDa. It functions by processing various precursor proteins into their active forms. PCSK2 belongs to the family of serine proteases and is mainly expressed in endocrine and neuroendocrine tissues including the pituitary gland kidneys and pancreas. This protein is important in the maturation of peptide hormones and neuropeptides impacting physiological functions.
Biological function summary

PCSK2 is responsible for activating various prohormones into their active hormone counterparts. It accomplishes this by cleaving specific sites on precursor proteins. PCSK2 does not operate as part of a complex but independently participates in proteolytic processing essential for proper hormone functioning. This enzyme's activity is critical for the synthesis of key hormones like insulin and glucagon which regulate glucose metabolism.

Pathways

PCSK2 is a significant part of hormone processing pathways. Specifically it contributes to the insulin-processing pathway which is important for energy regulation and homeostasis. PCSK2 works closely with related proteins such as PCSK1 (proprotein convertase 1) in the cleavage of precursor forms of various hormones. The coordinated action of these enzymes ensures the production of bioactive hormones required for normal metabolic functions.

PCSK2 is associated with conditions like diabetes and obesity due to its role in processing hormones that regulate metabolism. Dysregulation or mutations in the PCSK2 gene can disrupt insulin and glucagon maturation leading to imbalances in blood sugar levels. Additionally variations in PCSK2 may influence fat storage and energy expenditure contributing to obesity. The interaction between PCSK2 and insulin-related pathways highlights its importance in maintaining metabolic health.

Product protocols

For this product, it's our understanding that no specific protocols are required. You can visit:

Target data

Serine endopeptidase which is involved in the processing of hormone and other protein precursors at sites comprised of pairs of basic amino acid residues. Responsible for the release of glucagon from proglucagon in pancreatic A cells.
See full target information PCSK2

Publications (1)

Recent publications for all applications. Explore the full list and refine your search

iScience 27:110836 PubMed39310774

2024

Single-cell sequencing reveals the heterogeneity of pancreatic neuroendocrine tumors under genomic instability and histological grading.

Applications

Unspecified application

Species

Unspecified reactive species

Zeng Ye,Yan Zhou,Yuheng Hu,Qiang Li,Zijin Xu,Xin Lou,Wuhu Zhang,Di Zhu,Cao Xie,Qingtong Zhou,Jing Gao,Hu Zhou,Dehua Yang,Yi Qin,Xiaowu Xu,Jie Chen,Shunrong Ji,Ming-Wei Wang,Xianjun Yu
View all publications

Product promise

We are committed to supporting your work with high-quality reagents, and we're here for you every step of the way. In the unlikely event that one of our products does not perform as expected, you're protected by our Product Promise.
For full details, please see our Terms & Conditions

Please note: All products are 'FOR RESEARCH USE ONLY. NOT FOR USE IN DIAGNOSTIC OR THERAPEUTIC PROCEDURES'.

For licensing inquiries, please contact partnerships@abcam.com