JavaScript is disabled in your browser. Please enable JavaScript to view this website.
AB228415

Anti-PD-L1 antibody [73-10]

  • BOND RX™ Validated
  • KO Validated
  • RabMAb
  • Recombinant
  • What is this?

5

(1 Review)

|

(27 Publications)

Anti-PD-L1 antibody [73-10] (ab228415) is a rabbit monoclonal antibody detecting PD-L1 in Western Blot, Flow Cytometry (Intra), Flow Cytometry, IP, IHC-P, IHC-Fr, ICC/IF. Suitable for Human.

- KO validated for confirmed specificity
- Biophysical QC for unrivalled batch-batch consistency
- Over 20 publications

View Alternative Names

CD274, B7H1, PDCD1L1, PDCD1LG1, PDL1, Programmed cell death 1 ligand 1, PD-L1, PDCD1 ligand 1, Programmed death ligand 1, hPD-L1, B7 homolog 1, B7-H1

25 Images
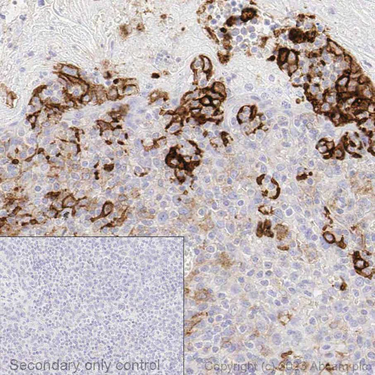
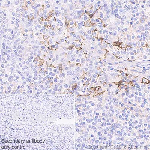
Immunohistochemistry (Frozen sections) - Anti-PD-L1 antibody [73-10] (AB228415)
  • IHC-Fr

Lab

Immunohistochemistry (Frozen sections) - Anti-PD-L1 antibody [73-10] (AB228415)

IHC image of PD-L1 staining in a section of frozen normal human tonsil* performed on a Leica BOND™ system using the standard protocol. The section was fixed in 10% paraformaldehyde (10 min) prior to staining. The section was incubated with ab228415, 0.05ugml, for 15 mins at room temperature and detected using an HRP conjugated compact polymer system. DAB was used as the chromogen. The section was then counterstained with haematoxylin and mounted with DPX. The inset secondary-only control image is taken from an identical assay without primary antibody.

For other IHC staining systems (automated and non-automated) customers should optimize variable parameters such as antigen retrieval conditions, primary antibody concentration and antibody incubation times.

*Tissue obtained from the Human Research Tissue Bank, supported by the NIHR Cambridge Biomedical Research Centre

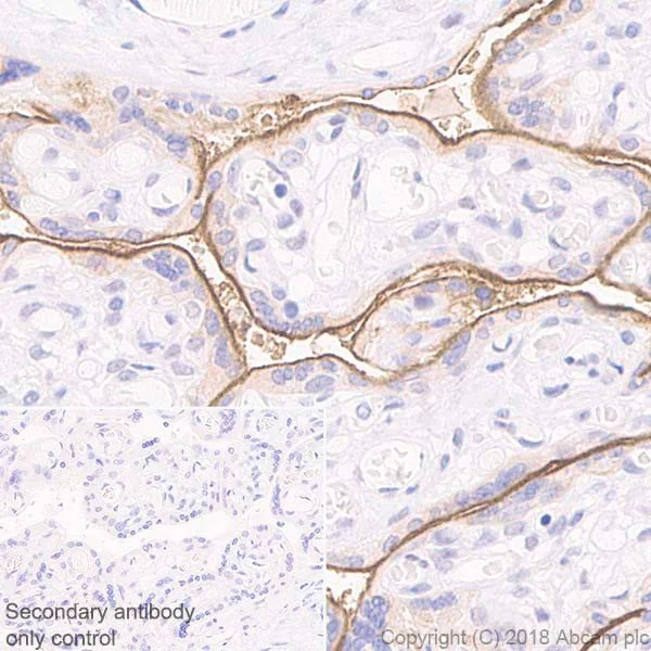
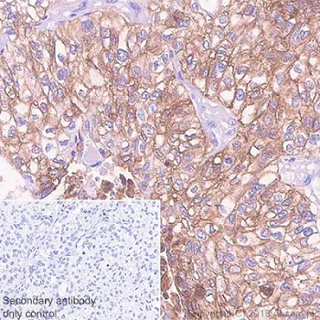
Immunohistochemistry (Formalin/PFA-fixed paraffin-embedded sections) - Anti-PD-L1 antibody [73-10] (AB228415)
  • IHC-P

Lab

Immunohistochemistry (Formalin/PFA-fixed paraffin-embedded sections) - Anti-PD-L1 antibody [73-10] (AB228415)

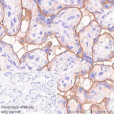
Immunohistochemical analysis of formalin-fixed paraffin-embedded human tonsil labelling PD-L1 with ab228415 at a concentration of 0.1µg/ml. The immunostaining was performed on a Ventana DISCOVERY ULTRA (Roche Tissue Diagnostics) instrument with an OptiView DAB IHC Detection Kit. Heat mediated antigen retrieval was conducted for 32min with ULTRA cell conditioning solution (CC1 pH8.5). ab228415 anti PD-L1 antibody was incubated at 37°C for 16min. Sections were counterstained is with Hematoxylin II. Image inset shows absence of staining in secondary antibody only control.

Immunohistochemistry (Formalin/PFA-fixed paraffin-embedded sections) - Anti-PD-L1 antibody [73-10] (AB228415)
  • IHC-P

PubMed

Immunohistochemistry (Formalin/PFA-fixed paraffin-embedded sections) - Anti-PD-L1 antibody [73-10] (AB228415)

Immunohistochemistry (Formalin/PFA-fixed paraffin-embedded sections) of lung cancer tissue samples. Comparing the staining PD-L1 with different monoclonal antibodies. 73-10 showed higher sensitivity to PD-L1 compared to the other clones. For further details on this image please see PubMed ID : 29800747.

Image from Tsao MS et al., J Thorac Oncol. 2018;13(9):1302-1311. Fig 3.; 10.1016/j.jtho.2018.05.013 with permission from Elsevier.

Immunohistochemistry (Formalin/PFA-fixed paraffin-embedded sections) - Anti-PD-L1 antibody [73-10] (AB228415)
  • IHC-P

Lab

Immunohistochemistry (Formalin/PFA-fixed paraffin-embedded sections) - Anti-PD-L1 antibody [73-10] (AB228415)

Tissue Microarrays stained for "Anti-PD-L1 antibody [73-10]" using "ab228415"in immunohistochemical analysis. This table provides a detailed overview of positive (tick mark) and negative (cross mark) staining per sample type tested. The sections were pre-treated using Heat mediated antigen retrieval using Bond™ Epitope Retrieval Solution 2 (pH 9.0) for 20 minutes. The sections were incubated with ab228415 for 10 mins at room temperature followed by a ready to use Rabbit specific IHC polymer detection kit HRP/DAB (ab209101). The immunostaining was performed on a Leica Biosystems BOND® RX instrument.

Immunohistochemistry (Formalin/PFA-fixed paraffin-embedded sections) - Anti-PD-L1 antibody [73-10] (AB228415)
  • IHC-P

PubMed

Immunohistochemistry (Formalin/PFA-fixed paraffin-embedded sections) - Anti-PD-L1 antibody [73-10] (AB228415)

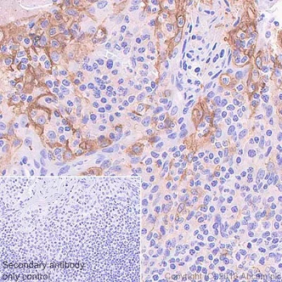
Immunohistochemistry (Formalin/PFA-fixed paraffin-embedded sections) Staining PD-L1 in human non-small cell lung cancer tissue using 73-10 at 0.25μg/ml incubated for 30 minutes at room temperature. Antigen Retrieval was done with Target Retrieval Solution, high pH. Detection was done with EnVision FLEX/HRP. Hematoxylin EnVision FLEX was used as a counter stain.

A : Diffuse expression of PD-L1 (IHC) on tumor cell membranes of a squamous cell carcinoma, including central regions of trabeculae. Prominent labeling of cells in the TME compartment at the tumor-nest-TME interface suggesting presence of an immunological synapse (inset arrow).

B : Patchy expression of PD-L1 in a squamous cell carcinoma at the tumor-nest-TME interface (inset arrow). Minimal to no PD-L1 expression in the trabeculae (asterisk) if compared with (A)

C : No to minimal PD-L1 expression in both tumor and TME compartments in an adenocarcinoma.

D : Diffuse expression of PD-L1 by tumor-nests in an adenocarcinoma with minimal TME staining.

F : TME expression only. No to minimal PD-L1 expression in tumor cells of a squamous cell carcinoma, with widespread staining in the TME compartment.

Image from Silva MA et al., PLoS One. 2018;13(6):e0196464. Fig 4.; 10.1371/journal.pone.0196464.

Immunohistochemistry (Formalin/PFA-fixed paraffin-embedded sections) - Anti-PD-L1 antibody [73-10] (AB228415)
  • IHC-P

Lab

Immunohistochemistry (Formalin/PFA-fixed paraffin-embedded sections) - Anti-PD-L1 antibody [73-10] (AB228415)

Immunohistochemical analysis of formalin-fixed paraffin-embedded human placenta labelling PD-L1 with ab228415 at a concentration of 0.1µg/ml. The immunostaining was performed on a Ventana DISCOVERY ULTRA (Roche Tissue Diagnostics) instrument with an OptiView DAB IHC Detection Kit. Heat mediated antigen retrieval was conducted for 32min with ULTRA cell conditioning solution (CC1 pH8.5). ab228415 anti PD-L1 antibody was incubated at 37°C for 16min. Sections were counterstained with Hematoxylin II. Image inset shows absence of staining in secondary antibody only control.

Immunohistochemistry (Formalin/PFA-fixed paraffin-embedded sections) - Anti-PD-L1 antibody [73-10] (AB228415)
  • IHC-P

PubMed

Immunohistochemistry (Formalin/PFA-fixed paraffin-embedded sections) - Anti-PD-L1 antibody [73-10] (AB228415)

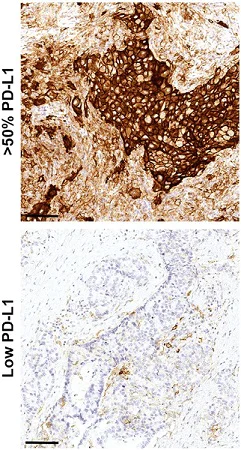
Immunohistochemistry (Formalin/PFA-fixed paraffin-embedded sections) Staining PD-L1 in human non-small cell lung cancer tissue with >50% PD-L1-positive tumor cells were compared with tissue with lower PD-L1 expression using 73-10 at 0.25μg/ml incubated for 30 minutes at room temperature. Antigen Retrieval was done with Target Retrieval Solution high pH. Detection was done with EnVision FLEX/HRP. Hematoxylin EnVision FLEX was used as a counter stain.

Image from Silva MA et al., PLoS One. 2018;13(6):e0196464. Fig 3(B).; 10.1371/journal.pone.0196464.

Western blot - Anti-PD-L1 antibody [73-10] (AB228415)
  • WB

Lab

Western blot - Anti-PD-L1 antibody [73-10] (AB228415)

Blocking/Diluting buffer and concentration : 5% NFDM/TBST. Expression of PD-L1 varied widely among the tumor cell lines.

All lanes:

Western blot - Anti-PD-L1 antibody [73-10] (ab228415) at 1/1000 dilution

Lane 1:

MDA-MB-231 (Human breast adenocarcinoma epithelial cell) whole cell lysate at 20 µg

Lane 2:

MCF7 (Human breast adenocarcinoma epithelial cell) whole cell lysate at 20 µg

Lane 3:

SK-BR-3 (Human breast adenocarcinoma epithelial cell) whole cell lysate at 20 µg

Lane 4:

H1975 (Human non-small cell lung cancer epithelial cell) whole cell lysate at 20 µg

Lane 5:

NCI-H1299 (Human lung carcinoma epithelial cell) whole cell lysate at 20 µg

Lane 6:

A549 (Human lung carcinoma epithelial cell) whole cell lysate at 20 µg

Lane 7:

SW480 (Human colorectal adenocarcinoma epithelial cell) whole cell lysate at 20 µg

Lane 8:

HCT 116 (Human colorectal carcinoma epithelial cell) whole cell lysate at 20 µg

Lane 9:

PC-3 (Human prostate adenocarcinoma epithelial cell) whole cell lysate at 20 µg

Lane 10:

DU 145 (Human prostate carcinoma epithelial cell) whole cell lysate at 20 µg

Lane 11:

A375 (Human malignant melanoma epithelial cell) whole cell lysate at 20 µg

Lane 12:

MeWo (Human malignant melanoma fibroblast) whole cell lysate at 20 µg

Lane 13:

U-87 MG (Human glioblastoma-astrocytoma epithelial cell) whole cell lysate at 20 µg

Lane 14:

Huh7 (Human hepatocellular carcinoma epithelial cell) whole cell lysate at 20 µg

Lane 15:

HepG2 (Human hepatocellular carcinoma epithelial cell) whole cell lysate at 20 µg

Lane 16:

BXPC-3 (Human pancreas adenocarcinoma epithelial cell) whole cell lysate at 20 µg

Lane 17:

PANC-1 (Human pancreatic epithelioid carcinoma epithelial cell) whole cell lysate at 20 µg

Lane 18:

NIH:OVCAR-3 (Human ovary adenocarcinoma epithelial cell) whole cell lysate at 20 µg

Lane 19:

SK-OV-3 (Human ovarian cancer epithelial cell) whole cell lysate at 20 µg

Lane 20:

HeLa (Human cervix adenocarcinoma epithelial cell) whole cell lysate at 20 µg

Secondary

All lanes:

Western blot - Goat Anti-Rabbit IgG H&L (HRP) (<a href='/en-us/products/secondary-antibodies/goat-rabbit-igg-h-l-hrp-ab97051'>ab97051</a>) at 1/20000 dilution

Predicted band size: 33 kDa

Observed band size: 40-60 kDa

false

Exposure time: 120s

Flow Cytometry (Intracellular) - Anti-PD-L1 antibody [73-10] (AB228415)
  • Flow Cyt (Intra)

Unknown

Flow Cytometry (Intracellular) - Anti-PD-L1 antibody [73-10] (AB228415)

Intracellular flow cytometric analysis of 4% paraformaldehyde-fixed, 90% methanol-permeabilized CHO-PD-L1 (PD-L1 stably expressed Chinese hamster ovary epithelial cell, Red) / CHO-S (Chinese hamster ovary epithelial cell, Blue) cell lines labeling PD-L1 with ab228415 at 1/100 dilution (red). Goat Anti-Rabbit IgG H&L (Alexa Fluor® 488) (ab150077) at 1/2000 dilution was used as the secondary antibody.

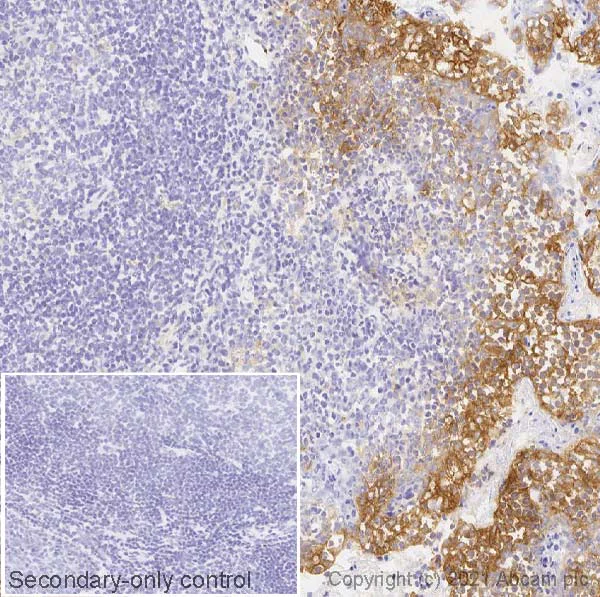
Immunohistochemistry (Formalin/PFA-fixed paraffin-embedded sections) - Anti-PD-L1 antibody [73-10] (AB228415)
  • IHC-P

Unknown

Immunohistochemistry (Formalin/PFA-fixed paraffin-embedded sections) - Anti-PD-L1 antibody [73-10] (AB228415)

Immunohistochemistry (Formalin/PFA-fixed paraffin-embedded sections) of human tonsil staining PD-L1 with ab228415 at 1/500 dilution. Heat mediated antigen retrieval using Bond™ Epitope Retrieval Solution 2 (pH 9.0) for 10 mins. The section was incubated with ab228415 for 10 mins at room temperature. The secondary antibody used was ready to use Rabbit specific IHC polymer detection kit HRP/DAB (ab209101). Counter stained Hematoxylin. Performed on a Leica Biosystems BOND® RX instrument.

Immunohistochemistry (Formalin/PFA-fixed paraffin-embedded sections) - Anti-PD-L1 antibody [73-10] (AB228415)
  • IHC-P

Supplier Data

Immunohistochemistry (Formalin/PFA-fixed paraffin-embedded sections) - Anti-PD-L1 antibody [73-10] (AB228415)

Immunohistochemical analysis of paraffin-embedded human placenta tissue labeling PD-L1 with ab228415 at 1/5000 dilution. The tissue was incubated with ab228415 at 4℃ overnight. followed by Rabbit specific IHC polymer detection kit HRP/DAB (ab209101) ready to use. Membranous and cytoplasmic staining in human placenta (PMID : 12538684) is observed. Counter stained with hematoxylin.

Secondary antibody only control : Used PBS instead of primary antibody, secondary antibody is Rabbit specific IHC polymer detection kit HRP/DAB (ab209101).

Antigen retrieval : Universal HIER antigen retrieval reagent (10X) (ab208572).

Immunohistochemistry (Formalin/PFA-fixed paraffin-embedded sections) - Anti-PD-L1 antibody [73-10] (AB228415)
  • IHC-P

Lab

Immunohistochemistry (Formalin/PFA-fixed paraffin-embedded sections) - Anti-PD-L1 antibody [73-10] (AB228415)

Immunohistochemistry (Formalin/PFA-fixed paraffin-embedded sections) of human placenta staining PD-L1 with ab228415 at 1/500 dilution. Heat mediated antigen retrieval using Bond™ Epitope Retrieval Solution 2 (pH 9.0) for 10 mins. The section was incubated with ab228415 for 10 mins at room temperature. The secondary antibody used was ready to use Rabbit specific IHC polymer detection kit HRP/DAB (ab209101). Counter stained Hematoxylin. Performed on a Leica Biosystems BOND® RX instrument.

Immunohistochemistry (Formalin/PFA-fixed paraffin-embedded sections) - Anti-PD-L1 antibody [73-10] (AB228415)
  • IHC-P

Supplier Data

Immunohistochemistry (Formalin/PFA-fixed paraffin-embedded sections) - Anti-PD-L1 antibody [73-10] (AB228415)

IHC image of ab228415 staining PD-L1 in human tonsil formalin fixed paraffin embedded tissue sections*, performed on a Leica BOND RX (standard Protocol F, Polymer Refine kit). The section was pre-treated using heat mediated antigen retrieval with EDTA buffer (pH9, epitope retrieval solution 2) for 30 mins at 98°C. The section was then incubated with ab228415, 0.06μg/ml working concentration, for 15 mins at room temperature and detected using an HRP conjugated compact polymer system for 8 minutes at room temperature. DAB was used as the chromogen for 10 minutes at room temperature. The section was then counterstained with hematoxylin, blued, dehydrated, cleared and mounted with DPX.

For other IHC staining systems (automated and non-automated) customers should optimize variable parameters such as antigen retrieval conditions, primary antibody concentration and antibody incubation times.

*Tissue obtained from the Human Research Tissue Bank, supported by the NIHR Cambridge Biomedical Research Centre

Immunohistochemistry (Formalin/PFA-fixed paraffin-embedded sections) - Anti-PD-L1 antibody [73-10] (AB228415)
  • IHC-P

Supplier Data

Immunohistochemistry (Formalin/PFA-fixed paraffin-embedded sections) - Anti-PD-L1 antibody [73-10] (AB228415)

IHC image of ab228415 staining PD-L1 in PD-L1 Dynamic Range Analyte Control formalin fixed paraffin embedded cell lines (HistoCyte Laboratories), performed on a Leica BOND RX (standard Protocol F, Polymer Refine kit). The section was pre-treated using heat mediated antigen retrieval with EDTA buffer (pH9, epitope retrieval solution 2) for 30 mins at 98°C. The section was then incubated with ab228415, 0.06μg/ml working concentration, for 15 mins at room temperature and detected using an HRP conjugated compact polymer system for 8 minutes at room temperature. DAB was used as the chromogen for 10 minutes at room temperature. The section was then counterstained with hematoxylin, blued, dehydrated, cleared and mounted with DPX.

For other IHC staining systems (automated and non-automated) customers should optimize variable parameters such as antigen retrieval conditions, primary antibody concentration and antibody incubation times.

Immunohistochemistry (Formalin/PFA-fixed paraffin-embedded sections) - Anti-PD-L1 antibody [73-10] (AB228415)
  • IHC-P

Supplier Data

Immunohistochemistry (Formalin/PFA-fixed paraffin-embedded sections) - Anti-PD-L1 antibody [73-10] (AB228415)

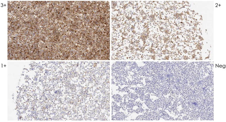
Immunohistochemical staining of PD-L1 in formalin-fixed, paraffin embedded reference standard with negative (-), low positive (+), intermediate positive (++) and strong positive (+++) controlled protein expressing cell lines (‚CD274 (PD-L1) Expression IHC Reference Standard, catalog ID HD787, horizon) using clone 73-10 [ab228415] at a dilution of 2μg/ml. Incubate for 30 minutes at room temperature. Heat mediated antigen retrieval in high pH buffer (Tris/EDTA buffer, pH 9, during 20 min at 95°C). Block sample with peroxidase blocking buffer (EnVision Flex Peroxidase-Blocking Reagent) for 5 minutes. Signal detection with Autostainer Link from Dako and EnVision Flex Kit, High pH (Code K8000).

Immunohistochemistry (Formalin/PFA-fixed paraffin-embedded sections) - Anti-PD-L1 antibody [73-10] (AB228415)
  • IHC-P

Unknown

Immunohistochemistry (Formalin/PFA-fixed paraffin-embedded sections) - Anti-PD-L1 antibody [73-10] (AB228415)

Immunohistochemical analysis of paraffin-embedded human tonsil tissue labeling PD-L1 with ab228415 at 1/5000 dilution. The tissue was incubated with ab228415 at 4° overnight, followed by Rabbit specific IHC polymer detection kit HRP/DAB (ab209101) ready to use. Cytoplasmic and membranous staining in human tonsil is observed. Counter stained with hematoxylin.

Secondary antibody only control : Used PBS instead of primary antibody, secondary antibody is Rabbit specific IHC polymer detection kit HRP/DAB (ab209101).

Antigen retrieval : Universal HIER antigen retrieval reagent (10X) (ab208572).

Immunohistochemistry (Formalin/PFA-fixed paraffin-embedded sections) - Anti-PD-L1 antibody [73-10] (AB228415)
  • IHC-P

Unknown

Immunohistochemistry (Formalin/PFA-fixed paraffin-embedded sections) - Anti-PD-L1 antibody [73-10] (AB228415)

Anti-PD-L1 antibody [73-10 ] (ab228415)
Immunohistochemistry (Formalin/PFA-fixed paraffin-embedded sections) analysis of human tonsil tissue labelling PD-L1 with ab228415 at a dilution of 1 : 2500. Heat mediated antigen retrieval was performed using AR9 antigen retrieval solution, and microwave treatment for 15 min at 20% power. Anti-Rabbit/Mouse HRP polymer (Vector Labs) was used as secondary antibody. Opal tyramide amplification was performed using Opal 520 fluorophore.. Counterstained with DAPI stain. Image scanned with Vectra 3.0 and analyzed via software.
This image was courteously provided by Dr. Houssein Abdul Sater, Georgia Cancer Center.

Immunocytochemistry/ Immunofluorescence - Anti-PD-L1 antibody [73-10] (AB228415)
  • ICC/IF

Unknown

Immunocytochemistry/ Immunofluorescence - Anti-PD-L1 antibody [73-10] (AB228415)

Immunofluorescent analysis of 4% paraformaldehyde-fixed, 0.1% Triton X-100 permeabilized CHO-PD-L1 (PD-L1 stably expressed Chinese hamster ovary epithelial cell) cells labeling PD-L1 with ab228415 at 1/200 dilution followed by Goat Anti-Rabbit IgG H&L (Alexa Fluor® 488) (ab150077) secondary antibody at 1/1,000 dilution (green). Confocal image showing membranous staining on CHO-PD-L1 cells.

The nuclear counter stain is DAPI (blue). Tubulin is detected with anti-alpha Tubulin antibody [DM1A] - Microtubule Marker (Alexa Fluor® 594) (ab195889) (red) at 1/200 dilution.

Secondary antibody only control : Used PBS instead of primary antibody, secondary antibody is Goat Anti-Rabbit IgG H&L (Alexa Fluor® 488) (ab150077) secondary antibody at 1/1,000 dilution.

Immunohistochemistry (Formalin/PFA-fixed paraffin-embedded sections) - Anti-PD-L1 antibody [73-10] (AB228415)
  • IHC-P

Supplier Data

Immunohistochemistry (Formalin/PFA-fixed paraffin-embedded sections) - Anti-PD-L1 antibody [73-10] (AB228415)

Immunohistochemical staining of PD-L1 in formalin-fixed, paraffin embedded Formalin-fixed, paraffin-embedded reference standard with negative (-), low positive (+), intermediate positive (++) and strong positive (+++) controlled protein expressing cell lines (‚CD274 (PD-L1) Expression IHC Reference Standard', catalog ID HD787, horizon) using clone 73-10 [ab228415] at a dilution of 10μg/ml. Incubate for 30 minutes at 37°C. Heat mediated antigen retrieval in sCC1 (Tris/EDTA buffer, pH 8). Signal detection with BenchMark XT from Roche/Ventana and ultraView Universal DAB Detection Kit (Code 760-500).

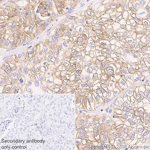
Immunohistochemistry (Formalin/PFA-fixed paraffin-embedded sections) - Anti-PD-L1 antibody [73-10] (AB228415)
  • IHC-P

Lab

Immunohistochemistry (Formalin/PFA-fixed paraffin-embedded sections) - Anti-PD-L1 antibody [73-10] (AB228415)

Immunohistochemistry (Formalin/PFA-fixed paraffin-embedded sections) of human lung carcinoma staining PD-L1 with ab228415 at 1/500 dilution. Heat mediated antigen retrieval using Bond™ Epitope Retrieval Solution 2 (pH 9.0) for 10 mins. The section was incubated with ab228415 for 10 mins at room temperature. The secondary antibody used was ready to use Rabbit specific IHC polymer detection kit HRP/DAB (ab209101). Counter stained Hematoxylin. Performed on a Leica Biosystems BOND® RX instrument.

Immunohistochemistry (Formalin/PFA-fixed paraffin-embedded sections) - Anti-PD-L1 antibody [73-10] (AB228415)
  • IHC-P

Unknown

Immunohistochemistry (Formalin/PFA-fixed paraffin-embedded sections) - Anti-PD-L1 antibody [73-10] (AB228415)

Immunohistochemical analysis of paraffin-embedded human lung carcinoma tissue labeling PD-L1 with ab228415 at 1/5000 dilution. The tissue was incubated with ab228415 at 4℃ overnight, followed by Rabbit specific IHC polymer detection kit HRP/DAB (ab209101) ready to use. Membranous and weakly cytoplasmic staining in human lung carcinoma (PMID : 23460533) is observed. Counter stained with hematoxylin.

Secondary antibody only control : Used PBS instead of primary antibody, secondary antibody is Rabbit specific IHC polymer detection kit HRP/DAB (ab209101).

Antigen retrieval : Universal HIER antigen retrieval reagent (10X) (ab208572).

Immunoprecipitation - Anti-PD-L1 antibody [73-10] (AB228415)
  • IP

Unknown

Immunoprecipitation - Anti-PD-L1 antibody [73-10] (AB228415)

PD-L1 was immunoprecipitated from 0.35 mg of NCI-H1975 (human non-small cell lung cancer cell line) whole cell lysate with ab228415 at 1/30 dilution. Western blot was performed from the immunoprecipitate using ab228415 at 1/1,000 dilution. VeriBlot for IP Detection Reagent (HRP) (ab131366), was used for detection at 1/5,000 dilution.

Lane 1 : NCI-H1975 whole cell lysate 10 μg (Input).

Lane 2 : ab228415 IP in NCI-H1975 whole cell lysate (+).

Lane 3 : Rabbit monoclonal IgG (ab172730) instead of ab228415 in NCI-H1975 whole cell lysate (-).

Blocking/Dilution buffer : 5% NFDM/TBST.

Exposure time : 30 seconds.

All lanes:

Immunoprecipitation - Anti-PD-L1 antibody [73-10] (ab228415)

Predicted band size: 33 kDa

false

Western blot - Anti-PD-L1 antibody [73-10] (AB228415)
  • WB

Supplier Data

Western blot - Anti-PD-L1 antibody [73-10] (AB228415)

Blocking/Dilution buffer : 5% NFDM/TBST.

All lanes:

Western blot - Anti-PD-L1 antibody [73-10] (ab228415) at 1/1000 dilution

Lane 1:

CHO-S (Chinese hamster ovary epithelial cell) at 10 µg

Lane 2:

CHO-PD-L1 (PD-L1 stably expressed Chinese hamster ovary epithelial cell) at 10 µg

Secondary

All lanes:

Western blot - Goat Anti-Rabbit IgG H&L (HRP) (<a href='/en-us/products/secondary-antibodies/goat-rabbit-igg-h-l-hrp-ab97051'>ab97051</a>) at 1/100000 dilution

Predicted band size: 33 kDa

Observed band size: 40-60 kDa

false

Exposure time: 15s

Western blot - Anti-PD-L1 antibody [73-10] (AB228415)
  • WB

Supplier Data

Western blot - Anti-PD-L1 antibody [73-10] (AB228415)

Blocking/Dilution buffer : 5% NFDM/TBST.

The molecular mass observed is consistent with what has been described in the literature (PMID : 26546452).

All lanes:

Western blot - Anti-PD-L1 antibody [73-10] (ab228415) at 1/1000 dilution

Lane 1:

NCI-H1975 (human non-small cell lung cancer cell line), whole cell lysate at 20 µg

Lane 2:

Human placenta at 20 µg

Lane 3:

Human thymus at 20 µg

Secondary

All lanes:

Western blot - Goat Anti-Rabbit IgG H&L (HRP) (<a href='/en-us/products/secondary-antibodies/goat-rabbit-igg-h-l-hrp-ab97051'>ab97051</a>) at 1/50000 dilution

Predicted band size: 33 kDa

false

Exposure time: 70s

Western blot - Anti-PD-L1 antibody [73-10] (AB228415)
  • WB

Lab

Western blot - Anti-PD-L1 antibody [73-10] (AB228415)

Western blot : Anti-CD274 antibody [73-10] (ab228415) staining at 1/1000 dilution, shown in green; Mouse anti-Alpha Tubulin [DM1A] (ab7291) loading control staining at 1/20000 dilution, shown in magenta. In Western blot, ab228415 was shown to bind specifically to CD274. A band was observed at 40-60 kDa in treated wild-type A549 cell lysates with no signal observed at this size in CD274 knockout cell line ab267054 (knockout cell lysate ab256831). To generate this image, wild-type and CD274 knockout A549 cell lysates were analysed. First, samples were run on an SDS-PAGE gel then transferred onto a nitrocellulose membrane. Membranes were blocked in 3 % milk in TBS-0.1 % Tween® 20 (TBS-T) before incubation with primary antibodies overnight at 4 °C. Blots were washed four times in TBS-T, incubated with secondary antibodies for 1 h at room temperature, washed again four times then imaged. Secondary antibodies used were Goat anti-Rabbit IgG H&L 800CW and Goat anti-Mouse IgG H&L 680RD at 1/20000 dilution.

All lanes:

Western blot - Anti-PD-L1 antibody [73-10] (ab228415) at 1/1000 dilution

Lane 1:

Wild-type A549 Treated IFN-gamma (100 ng/mL, 48 h) cell lysate at 20 µg

Lane 2:

Wild-type A549 Vehicle Control IFN-gamma (0 ng/mL, 48 h) cell lysate at 20 µg

Lane 3:

CD274 knockout A549 Treated IFN-gamma (100 ng/mL, 48 h) cell lysate at 20 µg

Lane 4:

CD274 knockout A549 Vehicle Control IFN-gamma (0 ng/mL, 48 h) cell lysate at 20 µg

Secondary

All lanes:

Goat anti-Rabbit IgG H&L 800CW and Goat anti-Mouse IgG H&L 680RD at 1/20000 dilution

false

Key facts

Host species

Rabbit

Clonality

Monoclonal

Clone number

73-10

Isotype

IgG

Carrier free

No

Reacts with

Human

Applications

IP, IHC-Fr, IHC-P, ICC/IF, WB, Flow Cyt (Intra)

applications

Immunogen

The exact immunogen used to generate this antibody is proprietary information.

Reactivity data

{ "title": "Reactivity Data", "filters": { "stats": ["", "Species", "Dilution Info", "Notes"], "tabs": { "all-applications": {"fullname" : "All Applications", "shortname": "All Applications"}, "IHCP" : {"fullname" : "Immunohistochemistry (Formalin/PFA-fixed paraffin-embedded sections)", "shortname":"IHC-P"}, "IP" : {"fullname" : "Immunoprecipitation", "shortname":"IP"}, "WB" : {"fullname" : "Western blot", "shortname":"WB"}, "ICCIF" : {"fullname" : "Immunocytochemistry/ Immunofluorescence", "shortname":"ICC/IF"}, "IHCFr" : {"fullname" : "Immunohistochemistry (Frozen sections)", "shortname":"IHC-Fr"}, "FlowCytIntra" : {"fullname" : "Flow Cytometry (Intracellular)", "shortname":"Flow Cyt (Intra)"} }, "product-promise": { "all": "all", "testedAndGuaranteed": "tested", "guaranteed": "expected", "predicted": "predicted", "notRecommended": "not-recommended" } }, "values": { "Human": { "IHCP-species-checked": "testedAndGuaranteed", "IHCP-species-dilution-info": "1/500", "IHCP-species-notes": "<p>Recommended incubation time: 10 mins at room temperature</p> Perform heat-mediated antigen retrieval before commencing with IHC staining protocol.", "IP-species-checked": "testedAndGuaranteed", "IP-species-dilution-info": "1/30", "IP-species-notes": "<p></p>", "WB-species-checked": "testedAndGuaranteed", "WB-species-dilution-info": "1/1000", "WB-species-notes": "<p></p>", "ICCIF-species-checked": "guaranteed", "ICCIF-species-dilution-info": "", "ICCIF-species-notes": "", "IHCFr-species-checked": "testedAndGuaranteed", "IHCFr-species-dilution-info": "0.05 µg/mL", "IHCFr-species-notes": "<p></p>", "FlowCytIntra-species-checked": "guaranteed", "FlowCytIntra-species-dilution-info": "", "FlowCytIntra-species-notes": "" }, "Transfected cell line": { "IHCP-species-checked": "notRecommended", "IHCP-species-dilution-info": "", "IHCP-species-notes": "", "IP-species-checked": "notRecommended", "IP-species-dilution-info": "", "IP-species-notes": "", "WB-species-checked": "notRecommended", "WB-species-dilution-info": "", "WB-species-notes": "", "ICCIF-species-checked": "testedAndGuaranteed", "ICCIF-species-dilution-info": "1/200", "ICCIF-species-notes": "<p></p>", "IHCFr-species-checked": "notRecommended", "IHCFr-species-dilution-info": "", "IHCFr-species-notes": "", "FlowCytIntra-species-checked": "testedAndGuaranteed", "FlowCytIntra-species-dilution-info": "1/100", "FlowCytIntra-species-notes": "<p></p>" }, "Transfected cell lysate": { "IHCP-species-checked": "notRecommended", "IHCP-species-dilution-info": "", "IHCP-species-notes": "", "IP-species-checked": "notRecommended", "IP-species-dilution-info": "", "IP-species-notes": "", "WB-species-checked": "testedAndGuaranteed", "WB-species-dilution-info": "1/1000", "WB-species-notes": "<p></p>", "ICCIF-species-checked": "notRecommended", "ICCIF-species-dilution-info": "", "ICCIF-species-notes": "", "IHCFr-species-checked": "notRecommended", "IHCFr-species-dilution-info": "", "IHCFr-species-notes": "", "FlowCytIntra-species-checked": "notRecommended", "FlowCytIntra-species-dilution-info": "", "FlowCytIntra-species-notes": "" } } }

You may be interested in:

AB277712

Human PD-L1 ELISA Kit [28-8]

0

0 Reviews

View product

We recommend this product because it’s often used in the same experiment or related research.

We advise that you always check the datasheet to ensure it fits your experiments, or contact ourtechnical teamfor help.

Product details

Properties and storage information

Form
Liquid
Purification technique
Affinity purification Protein A
Storage buffer
pH: 7.2 - 7.4 Preservative: 0.01% Sodium azide Constituents: PBS, 40% Glycerol (glycerin, glycerine), 0.05% BSA
Shipped at conditions
Blue Ice
Appropriate short-term storage duration
1-2 weeks
Appropriate short-term storage conditions
+4°C
Appropriate long-term storage conditions
-20°C
Aliquoting information
Upon delivery aliquot
Storage information
Avoid freeze / thaw cycle

Supplementary information

This supplementary information is collated from multiple sources and compiled automatically.

PD-L1 also known as Programmed Death-Ligand 1 or CD274 is a protein involved in immune modulation. Mechanically PD-L1 interacts with its receptors particularly PD-1 to regulate cellular immune responses. This transmembrane protein has a calculated molecular weight of approximately 33 kDa. PD-L1 is expressed on various cell types including tumor cells and immune cells such as dendritic cells macrophages and B cells. Its expression is often upregulated in response to inflammatory cytokines.
Biological function summary

PD-L1 plays a central role in immune evasion mechanisms utilized by tumors. It is not part of a larger protein complex but directly interacts with PD-1 and CD80. When PD-L1 binds to PD-1 it sends inhibitory signals leading to decreased T cell activation and proliferation allowing cancer cells to avoid immune destruction. PD-L1 expression provides a mechanism for tumors to suppress immune surveillance facilitating tumor progression.

Pathways

PD-L1 is integral to the immune checkpoint pathway which is an important regulator of immune response. The interaction between PD-L1 and PD-1 provides a mechanism for immune tolerance which is part of the broader adaptive immune system pathway. PD-L1 is related to other immune checkpoint proteins such as CTLA-4 in its function to limit autoreactivity and promote immune homeostasis.

PD-L1 is most associated with cancer particularly in tumors such as melanoma and non-small cell lung cancer. PD-L1 expression on tumor cells often correlates with poor prognosis. PD-L1 directly interacts with PD-1 in these cancers a target for immunotherapies such as checkpoint inhibitors which aim to block this interaction and restore immune activity against tumors. PD-L1 involvement extends to autoimmune disorders where altered expression can impact tolerance and lead to immune-related tissue damage.

Product protocols

For this product, it's our understanding that no specific protocols are required. You can visit:

Target data

Plays a critical role in induction and maintenance of immune tolerance to self (PubMed : 11015443, PubMed : 28813410, PubMed : 28813417, PubMed : 31399419). As a ligand for the inhibitory receptor PDCD1/PD-1, modulates the activation threshold of T-cells and limits T-cell effector response (PubMed : 11015443, PubMed : 28813410, PubMed : 28813417, PubMed : 36727298). Through a yet unknown activating receptor, may costimulate T-cell subsets that predominantly produce interleukin-10 (IL10) (PubMed : 10581077). Can also act as a transcription coactivator : in response to hypoxia, translocates into the nucleus via its interaction with phosphorylated STAT3 and promotes transcription of GSDMC, leading to pyroptosis (PubMed : 32929201).. The PDCD1-mediated inhibitory pathway is exploited by tumors to attenuate anti-tumor immunity and escape destruction by the immune system, thereby facilitating tumor survival (PubMed : 28813410, PubMed : 28813417). The interaction with PDCD1/PD-1 inhibits cytotoxic T lymphocytes (CTLs) effector function (By similarity). The blockage of the PDCD1-mediated pathway results in the reversal of the exhausted T-cell phenotype and the normalization of the anti-tumor response, providing a rationale for cancer immunotherapy (By similarity).
See full target information CD274

Publications (27)

Recent publications for all applications. Explore the full list and refine your search

Frontiers in immunology 13:985051 PubMed36248853

2022

Identification and validation of ferroptosis-related lncRNA signature as a prognostic model for skin cutaneous melanoma.

Applications

Unspecified application

Species

Unspecified reactive species

Sen Guo,Jianru Chen,Xiuli Yi,Zifan Lu,Weinan Guo

Cell death & disease 12:1033 PubMed34718325

2021

Gut-derived lipopolysaccharide remodels tumoral microenvironment and synergizes with PD-L1 checkpoint blockade via TLR4/MyD88/AKT/NF-κB pathway in pancreatic cancer.

Applications

Unspecified application

Species

Unspecified reactive species

Hanlin Yin,Ning Pu,Qiangda Chen,Jicheng Zhang,Guochao Zhao,Xuefeng Xu,Dansong Wang,Tiantao Kuang,Dayong Jin,Wenhui Lou,Wenchuan Wu

Frontiers in molecular biosciences 8:759495 PubMed34708079

2021

Tumor Microenvironment Characterization in Breast Cancer Identifies Prognostic and Neoadjuvant Chemotherapy Relevant Signatures.

Applications

Unspecified application

Species

Unspecified reactive species

Fei Ji,Jiao-Mei Yuan,Hong-Fei Gao,Ai-Qi Xu,Zheng Yang,Ci-Qiu Yang,Liu-Lu Zhang,Mei Yang,Jie-Qing Li,Teng Zhu,Min-Yi Cheng,Si-Yan Wu,Kun Wang

Cancer science 112:4457-4469 PubMed34402138

2021

Chemokine C-C motif ligand 21 synergized with programmed death-ligand 1 blockade restrains tumor growth.

Applications

Unspecified application

Species

Unspecified reactive species

Qiangda Chen,Hanlin Yin,Ning Pu,Jicheng Zhang,Guochao Zhao,Wenhui Lou,Wenchuan Wu

Cancer management and research 13:4935-4946 PubMed34188546

2021

Prognostic Significance of Serum PD-L1 Level in Patients with Locally Advanced or Metastatic Esophageal Squamous Cell Carcinoma Treated with Combination Cytotoxic Chemotherapy.

Applications

Unspecified application

Species

Unspecified reactive species

Rong Fu,Chuan-Qing Jing,Xiu-Rong Li,Zhao-Feng Tan,Hui-Jie Li

Molecular therapy. Nucleic acids 25:468-482 PubMed34589270

2021

TAM-derived extracellular vesicles containing microRNA-29a-3p explain the deterioration of ovarian cancer.

Applications

Unspecified application

Species

Unspecified reactive species

Lili Lu,Wanwen Ling,Zhengyi Ruan

BMC cancer 21:239 PubMed33676425

2021

Prognostic significance of PD-L1-positive cancer-associated fibroblasts in patients with triple-negative breast cancer.

Applications

Unspecified application

Species

Unspecified reactive species

Katsuhiro Yoshikawa,Mitsuaki Ishida,Hirotsugu Yanai,Koji Tsuta,Mitsugu Sekimoto,Tomoharu Sugie

American journal of translational research 13:672-683 PubMed33594317

2021

POU2F1 induces the immune escape in lung cancer by up-regulating PD-L1.

Applications

Unspecified application

Species

Unspecified reactive species

Fei Li,Tianyi Wang,Yinpeng Huang

Molecular cancer 20:11 PubMed33413365

2021

A comparability study of natural and deglycosylated PD-L1 levels in lung cancer: evidence from immunohistochemical analysis.

Applications

IHC-P

Species

Human

Jie Mei,Junying Xu,Xuejing Yang,Dingyi Gu,Weijian Zhou,Huiyu Wang,Chaoying Liu

Endocrine connections : PubMed33475525

2021

Prognostic value of PD-L1 expression in bronchopulmonary neuroendocrine tumours.

Applications

Unspecified application

Species

Unspecified reactive species

Erik Rösner,Daniel Kaemmerer,Elisa Neubauer,Jörg Sänger,Amelie Lupp
View all publications

Product promise

We are committed to supporting your work with high-quality reagents, and we're here for you every step of the way. In the unlikely event that one of our products does not perform as expected, you're protected by our Product Promise.
For full details, please see our Terms & Conditions
websiteProtocolBooklet
en

Associated Products

Select an associated product type
Alternative Product
Primary Antibodies

AB210189

PE Anti-PD-L1 antibody [10F.9G2]

primary-antibodies

pe-pd-l1-antibody-10f9g2-ab210189

0

(0 reviews)

Alternative Product
Primary Antibodies

AB259283

Anti-PD-L1 antibody [29E.2A3]

primary-antibodies

pd-l1-antibody-29e2a3-ab259283

0

(0 reviews)

Alternative Product
Primary Antibodies

AB228463

Anti-PD-L1 antibody [SP142] - C-terminal, prediluted

primary-antibodies

pd-l1-antibody-sp142-c-terminal-prediluted-ab228463

0

(0 reviews)

Alternative Product
Primary Antibodies

AB213359

Alexa Fluor® 568 Anti-PD-L1 antibody [28-8]

primary-antibodies

alexa-fluor-568-pd-l1-antibody-28-8-ab213359

0

(0 reviews)

Alternative Product
Primary Antibodies

AB209960

Alexa Fluor® 647 Anti-PD-L1 antibody [28-8] - Extracellular domain

primary-antibodies

alexa-fluor-647-pd-l1-antibody-28-8-extracellular-domain-ab209960

0

(0 reviews)

Alternative Product
Primary Antibodies

AB215251

Alexa Fluor® 647 Anti-PD-L1 antibody [EPR19759]

primary-antibodies

alexa-fluor-647-pd-l1-antibody-epr19759-ab215251

0

(0 reviews)

Alternative Product
Primary Antibodies

AB267563

Alexa Fluor® 647 Anti-PD-L1 antibody [SP142]

primary-antibodies

alexa-fluor-647-pd-l1-antibody-sp142-ab267563

4

(2 reviews)

Alternative Product
Primary Antibodies

AB216742

Alexa Fluor® 594 Anti-PD-L1 antibody [EPR19759]

primary-antibodies

alexa-fluor-594-pd-l1-antibody-epr19759-ab216742

0

(0 reviews)

Alternative Product
Primary Antibodies

AB206967

APC Anti-PD-L1 antibody [28-8]

primary-antibodies

apc-pd-l1-antibody-28-8-ab206967

0

(0 reviews)

Alternative Product
Primary Antibodies

AB220314

Alexa Fluor® 568 Anti-PD-L1 antibody [EPR19759]

primary-antibodies

alexa-fluor-568-pd-l1-antibody-epr19759-ab220314

0

(0 reviews)

Alternative Product
Primary Antibodies

AB209959

Alexa Fluor® 488 Anti-PD-L1 antibody [28-8]

primary-antibodies

alexa-fluor-488-pd-l1-antibody-28-8-ab209959

5

(1 reviews)

Alternative Product
Primary Antibodies

AB209962

PE Anti-PD-L1 antibody [28-8]

primary-antibodies

pe-pd-l1-antibody-28-8-ab209962

0

(0 reviews)

Alternative Product
Primary Antibodies

AB224027

FITC Anti-PD-L1 antibody [28-8]

primary-antibodies

fitc-pd-l1-antibody-28-8-ab224027

0

(0 reviews)

Alternative Product
Primary Antibodies

AB209961

HRP Anti-PD-L1 antibody [28-8]

primary-antibodies

hrp-pd-l1-antibody-28-8-ab209961

0

(0 reviews)

Alternative Product
Primary Antibodies

AB213358

Alexa Fluor® 555 Anti-PD-L1 antibody [28-8]

primary-antibodies

alexa-fluor-555-pd-l1-antibody-28-8-ab213358

2

(1 reviews)

Alternative Version
Primary Antibodies

AB246698

Anti-PD-L1 antibody [73-10] - Low endotoxin, Azide free

primary-antibodies

pd-l1-antibody-73-10-low-endotoxin-azide-free-ab246698

0

(0 reviews)

Please note: All products are 'FOR RESEARCH USE ONLY. NOT FOR USE IN DIAGNOSTIC OR THERAPEUTIC PROCEDURES'.

For licensing inquiries, please contact partnerships@abcam.com