JavaScript is disabled in your browser. Please enable JavaScript to view this website.
AB246698

Anti-PD-L1 antibody [73-10] - Low endotoxin, Azide free

Be the first to review this product! Submit a review

|

(1 Publication)

Rabbit Recombinant Monoclonal PD-L1 antibody. Carrier free. Suitable for IHC-P, IP, WB, ICC/IF, Flow Cyt (Intra) and reacts with Human, Recombinant fragment, Recombinant fragment - Human samples. Cited in 1 publication.

View Alternative Names

CD274, B7H1, PDCD1L1, PDCD1LG1, PDL1, Programmed cell death 1 ligand 1, PD-L1, PDCD1 ligand 1, Programmed death ligand 1, hPD-L1, B7 homolog 1, B7-H1

19 Images
Immunohistochemistry (Formalin/PFA-fixed paraffin-embedded sections) - Anti-PD-L1 antibody [73-10] - Low endotoxin, Azide free (AB246698)
  • IHC-P

PubMed

Immunohistochemistry (Formalin/PFA-fixed paraffin-embedded sections) - Anti-PD-L1 antibody [73-10] - Low endotoxin, Azide free (AB246698)

Immunohistochemistry (Formalin/PFA-fixed paraffin-embedded sections) Staining PD-L1 in human non-small cell lung cancer tissue using 73-10 at 0.25μg/ml incubated for 30 minutes at room temperature. Antigen Retrieval was done with Target Retrieval Solution, high pH. Detection was done with EnVision FLEX/HRP. Hematoxylin EnVision FLEX was used as a counter stain.

A : Diffuse expression of PD-L1 (IHC) on tumor cell membranes of a squamous cell carcinoma, including central regions of trabeculae. Prominent labeling of cells in the TME compartment at the tumor-nest-TME interface suggesting presence of an immunological synapse (inset arrow).

B : Patchy expression of PD-L1 in a squamous cell carcinoma at the tumor-nest-TME interface (inset arrow). Minimal to no PD-L1 expression in the trabeculae (asterisk) if compared with (A)

C : No to minimal PD-L1 expression in both tumor and TME compartments in an adenocarcinoma.

D : Diffuse expression of PD-L1 by tumor-nests in an adenocarcinoma with minimal TME staining.

F : TME expression only. No to minimal PD-L1 expression in tumor cells of a squamous cell carcinoma, with widespread staining in the TME compartment.

This data was developed using the same antibody clone in a different buffer formulation containing PBS, BSA, glycerol and sodium azide (ab228415).

Image from Silva MA et al., PLoS One. 2018;13(6):e0196464. Fig 4.; 10.1371/journal.pone.0196464.

Immunohistochemistry (Formalin/PFA-fixed paraffin-embedded sections) - Anti-PD-L1 antibody [73-10] - Low endotoxin, Azide free (AB246698)
  • IHC-P

Supplier Data

Immunohistochemistry (Formalin/PFA-fixed paraffin-embedded sections) - Anti-PD-L1 antibody [73-10] - Low endotoxin, Azide free (AB246698)

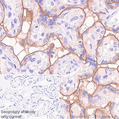
Immunohistochemical analysis of paraffin-embedded human placenta tissue labeling PD-L1 with ab228415 at 1/5000 dilution. The tissue was incubated with ab228415 at 4°C overnight. followed by Rabbit specific IHC polymer detection kit HRP/DAB (ab209101) ready to use. Membranous and cytoplasmic staining in human placenta (PMID : 12538684) is observed. Counter stained with hematoxylin.

Secondary antibody only control : Used PBS instead of primary antibody, secondary antibody is Rabbit specific IHC polymer detection kit HRP/DAB (ab209101).

Antigen retrieval : Universal HIER antigen retrieval reagent (10X) (ab208572).

Immunohistochemistry (Formalin/PFA-fixed paraffin-embedded sections) - Anti-PD-L1 antibody [73-10] - Low endotoxin, Azide free (AB246698)
  • IHC-P

Lab

Immunohistochemistry (Formalin/PFA-fixed paraffin-embedded sections) - Anti-PD-L1 antibody [73-10] - Low endotoxin, Azide free (AB246698)

Immunohistochemistry (Formalin/PFA-fixed paraffin-embedded sections) of Human placenta stainging PD-L1 with ab228415 at 1/500 dilution. Heat mediated antigen retrieval was performed using Bond™ Epitope Retrieval Solution 2 (pH 9.0) for 10 mins. The section was incubated with ab228415 for 10 mins at room temperature. The secondary antibody used was ready to use Rabbit specific IHC polymer detection kit HRP/DAB (ab209101). Counter stained Hematoxylin. Performed on a Leica Biosystems BOND® RX instrument.

This data was developed using the same antibody clone in a different buffer formulation containing PBS, BSA, glycerol and sodium azide (ab228415).

Immunohistochemistry (Formalin/PFA-fixed paraffin-embedded sections) - Anti-PD-L1 antibody [73-10] - Low endotoxin, Azide free (AB246698)
  • IHC-P

Unknown

Immunohistochemistry (Formalin/PFA-fixed paraffin-embedded sections) - Anti-PD-L1 antibody [73-10] - Low endotoxin, Azide free (AB246698)

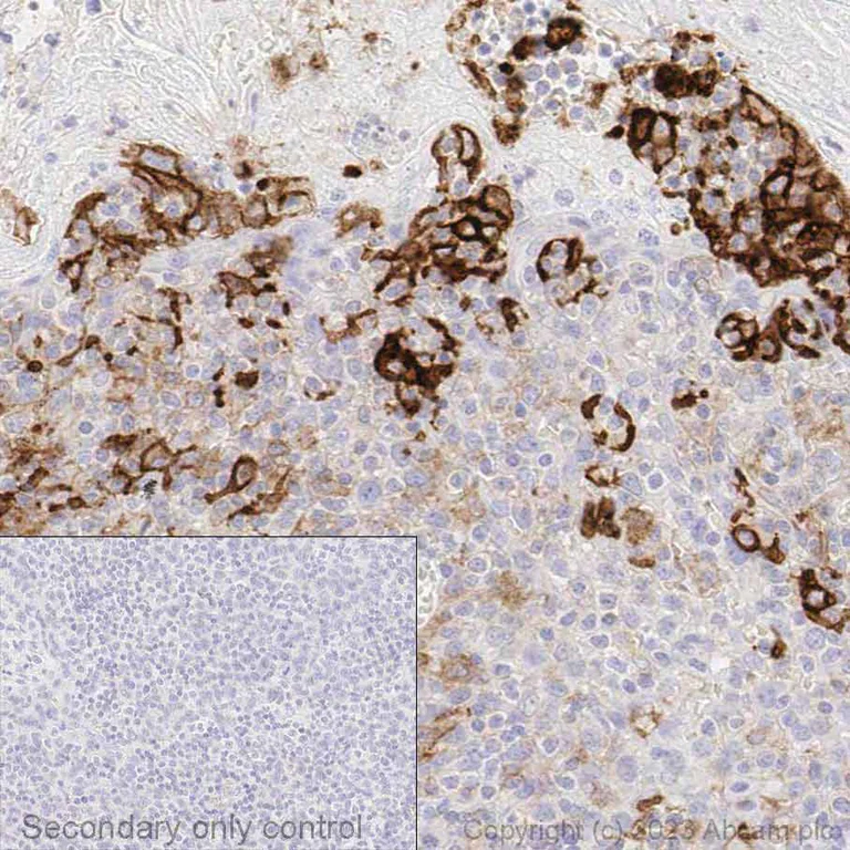
Immunohistochemistry (Formalin/PFA-fixed paraffin-embedded sections) of Human tonsil stainging PD-L1 with ab228415 at 1/500 dilution. Heat mediated antigen retrieval was performed using Bond™ Epitope Retrieval Solution 2 (pH 9.0) for 10 mins. The section was incubated with ab228415 for 10 mins at room temperature. The secondary antibody used was ready to use Rabbit specific IHC polymer detection kit HRP/DAB (ab209101). Counter stained Hematoxylin. Performed on a Leica Biosystems BOND® RX instrument.

This data was developed using the same antibody clone in a different buffer formulation containing PBS, BSA, glycerol and sodium azide (ab228415).

Immunohistochemistry (Formalin/PFA-fixed paraffin-embedded sections) - Anti-PD-L1 antibody [73-10] - Low endotoxin, Azide free (AB246698)
  • IHC-P

Lab

Immunohistochemistry (Formalin/PFA-fixed paraffin-embedded sections) - Anti-PD-L1 antibody [73-10] - Low endotoxin, Azide free (AB246698)

Immunohistochemistry (Formalin/PFA-fixed paraffin-embedded sections) of Human lung carcinoma stainging PD-L1 with ab228415 at 1/500 dilution. Heat mediated antigen retrieval was performed using Bond™ Epitope Retrieval Solution 2 (pH 9.0) for 10 mins. The section was incubated with ab228415 for 10 mins at room temperature. The secondary antibody used was ready to use Rabbit specific IHC polymer detection kit HRP/DAB (ab209101). Counter stained Hematoxylin. Performed on a Leica Biosystems BOND® RX instrument.

This data was developed using the same antibody clone in a different buffer formulation containing PBS, BSA, glycerol and sodium azide (ab228415).

Immunohistochemistry (Formalin/PFA-fixed paraffin-embedded sections) - Anti-PD-L1 antibody [73-10] - Low endotoxin, Azide free (AB246698)
  • IHC-P

Supplier Data

Immunohistochemistry (Formalin/PFA-fixed paraffin-embedded sections) - Anti-PD-L1 antibody [73-10] - Low endotoxin, Azide free (AB246698)

IHC image of ab228415 staining PD-L1 in human tonsil formalin fixed paraffin embedded tissue sections*, performed on a Leica BOND RX (standard Protocol F, Polymer Refine kit). The section was pre-treated using heat mediated antigen retrieval with EDTA buffer (pH9, epitope retrieval solution 2) for 30 mins at 98°C. The section was then incubated with ab228415, 0.06μg/ml working concentration, for 15 mins at room temperature and detected using an HRP conjugated compact polymer system for 8 minutes at room temperature. DAB was used as the chromogen for 10 minutes at room temperature. The section was then counterstained with hematoxylin, blued, dehydrated, cleared and mounted with DPX.

For other IHC staining systems (automated and non-automated) customers should optimize variable parameters such as antigen retrieval conditions, primary antibody concentration and antibody incubation times.

*Tissue obtained from the Human Research Tissue Bank, supported by the NIHR Cambridge Biomedical Research Centre

This image was generated using ab228415, the same antibody but with BSA and Azide

Immunohistochemistry (Formalin/PFA-fixed paraffin-embedded sections) - Anti-PD-L1 antibody [73-10] - Low endotoxin, Azide free (AB246698)
  • IHC-P

Unknown

Immunohistochemistry (Formalin/PFA-fixed paraffin-embedded sections) - Anti-PD-L1 antibody [73-10] - Low endotoxin, Azide free (AB246698)

Immunohistochemical analysis of paraffin-embedded human lung carcinoma tissue labeling PD-L1 with ab228415 at 1/5000 dilution. The tissue was incubated with ab228415 at 4°C overnight, followed by Rabbit specific IHC polymer detection kit HRP/DAB (ab209101) ready to use. Membranous and weakly cytoplasmic staining in human lung carcinoma (PMID : 23460533) is observed. Counter stained with hematoxylin.

Secondary antibody only control : Used PBS instead of primary antibody, secondary antibody is Rabbit specific IHC polymer detection kit HRP/DAB (ab209101).

Antigen retrieval : Universal HIER antigen retrieval reagent (10X) (ab208572).

Immunohistochemistry (Formalin/PFA-fixed paraffin-embedded sections) - Anti-PD-L1 antibody [73-10] - Low endotoxin, Azide free (AB246698)
  • IHC-P

Unknown

Immunohistochemistry (Formalin/PFA-fixed paraffin-embedded sections) - Anti-PD-L1 antibody [73-10] - Low endotoxin, Azide free (AB246698)

Anti-PD-L1 antibody [73-10 ] (ab228415)
Immunohistochemistry (Formalin/PFA-fixed paraffin-embedded sections) analysis of human tonsil tissue labelling PD-L1 with ab228415 at a dilution of 1 : 2500. Heat mediated antigen retrieval was performed using AR9 antigen retrieval solution, and microwave treatment for 15 min at 20% power. Anti-Rabbit/Mouse HRP polymer (Vector Labs) was used as secondary antibody. Opal tyramide amplification was performed using Opal 520 fluorophore.. Counterstained with DAPI stain. Image scanned with Vectra 3.0 and analyzed via software.
This image was courteously provided by Dr. Houssein Abdul Sater, Georgia Cancer Center.

This data was developed using the same antibody clone in a different buffer formulation containing PBS, BSA, glycerol and sodium azide (ab228415).

Immunohistochemistry (Formalin/PFA-fixed paraffin-embedded sections) - Anti-PD-L1 antibody [73-10] - Low endotoxin, Azide free (AB246698)
  • IHC-P

Unknown

Immunohistochemistry (Formalin/PFA-fixed paraffin-embedded sections) - Anti-PD-L1 antibody [73-10] - Low endotoxin, Azide free (AB246698)

Immunohistochemical analysis of paraffin-embedded human tonsil tissue labeling PD-L1 with ab228415 at 1/5000 dilution. The tissue was incubated with ab228415 at 4° overnight, followed by Rabbit specific IHC polymer detection kit HRP/DAB (ab209101) ready to use. Cytoplasmic and membranous staining in human tonsil is observed. Counter stained with hematoxylin.

Secondary antibody only control : Used PBS instead of primary antibody, secondary antibody is Rabbit specific IHC polymer detection kit HRP/DAB (ab209101).

Antigen retrieval : Universal HIER antigen retrieval reagent (10X) (ab208572).

Immunohistochemistry (Formalin/PFA-fixed paraffin-embedded sections) - Anti-PD-L1 antibody [73-10] - Low endotoxin, Azide free (AB246698)
  • IHC-P

PubMed

Immunohistochemistry (Formalin/PFA-fixed paraffin-embedded sections) - Anti-PD-L1 antibody [73-10] - Low endotoxin, Azide free (AB246698)

Immunohistochemistry (Formalin/PFA-fixed paraffin-embedded sections) Staining PD-L1 in human non-small cell lung cancer tissue with >50% PD-L1-positive tumor cells were compared with tissue with lower PD-L1 expression using 73-10 at 0.25μg/ml incubated for 30 minutes at room temperature. Antigen Retrieval was done with Target Retrieval Solution high pH. Detection was done with EnVision FLEX/HRP. Hematoxylin EnVision FLEX was used as a counter stain.

This data was developed using the same antibody clone in a different buffer formulation containing PBS BSA glycerol and sodium azide (ab228415).

Image from Silva MA et al., PLoS One. 2018;13(6):e0196464. Fig 3(B).; 10.1371/journal.pone.0196464.

Immunohistochemistry (Formalin/PFA-fixed paraffin-embedded sections) - Anti-PD-L1 antibody [73-10] - Low endotoxin, Azide free (AB246698)
  • IHC-P

PubMed

Immunohistochemistry (Formalin/PFA-fixed paraffin-embedded sections) - Anti-PD-L1 antibody [73-10] - Low endotoxin, Azide free (AB246698)

Immunohistochemistry (Formalin/PFA-fixed paraffin-embedded sections) of lung cancer tissue samples. Comparing the staining PD-L1 with different monoclonal antibodies. 73-10 showed higher sensitivity to PD-L1 compared to the other clones. For further details on this image please see PubMed ID : 29800747.

This data was developed using the same antibody clone in a different buffer formulation containing PBS, BSA, glycerol and sodium azide (ab228415).

Heat mediated antigen retrieval was performed before commencing with IHC staining protocol.

Image from Tsao MS et al., J Thorac Oncol. 2018;13(9):1302-1311. Fig 3.; 10.1016/j.jtho.2018.05.013 with permission from Elsevier.

Immunohistochemistry (Formalin/PFA-fixed paraffin-embedded sections) - Anti-PD-L1 antibody [73-10] - Low endotoxin, Azide free (AB246698)
  • IHC-P

Lab

Immunohistochemistry (Formalin/PFA-fixed paraffin-embedded sections) - Anti-PD-L1 antibody [73-10] - Low endotoxin, Azide free (AB246698)

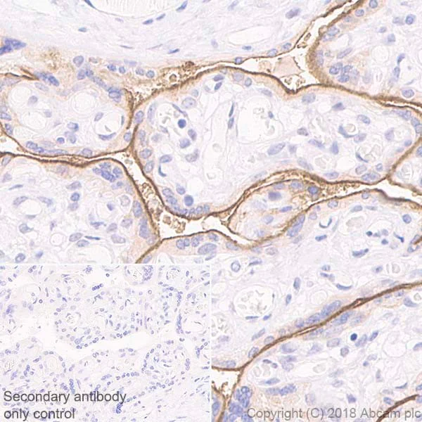
Immunohistochemical analysis of formalin-fixed paraffin-embedded human placenta labelling PD-L1 with ab228415 at a concentration of 0.1µg/ml. The immunostaining was performed on a Ventana DISCOVERY ULTRA (Roche Tissue Diagnostics) instrument with an OptiView DAB IHC Detection Kit. Heat mediated antigen retrieval was conducted for 32min with ULTRA cell conditioning solution (CC1 pH8.5). ab228415 anti PD-L1 antibody was incubated at 37°C for 16min. Sections were counterstained with Hematoxylin II. Image inset shows absence of staining in secondary antibody only control.

This data was developed using the same antibody clone in a different buffer formulation containing PBS, BSA, glycerol, and sodium azide (ab228415).

Immunohistochemistry (Formalin/PFA-fixed paraffin-embedded sections) - Anti-PD-L1 antibody [73-10] - Low endotoxin, Azide free (AB246698)
  • IHC-P

Lab

Immunohistochemistry (Formalin/PFA-fixed paraffin-embedded sections) - Anti-PD-L1 antibody [73-10] - Low endotoxin, Azide free (AB246698)

Immunohistochemical analysis of formalin-fixed paraffin-embedded human tonsil labelling PD-L1 with ab228415 at a concentration of 0.1µg/ml. The immunostaining was performed on a Ventana DISCOVERY ULTRA (Roche Tissue Diagnostics) instrument with an OptiView DAB IHC Detection Kit. Heat mediated antigen retrieval was conducted for 32min with ULTRA cell conditioning solution (CC1 pH8.5). ab228415 anti PD-L1 antibody was incubated at 37°C for 16min. Sections were counterstained with Hematoxylin II. Image inset shows absence of staining in secondary antibody only control.

This data was developed using the same antibody clone in a different buffer formulation containing PBS, BSA, glycerol, and sodium azide (ab228415).

Immunoprecipitation - Anti-PD-L1 antibody [73-10] - Low endotoxin, Azide free (AB246698)
  • IP

Unknown

Immunoprecipitation - Anti-PD-L1 antibody [73-10] - Low endotoxin, Azide free (AB246698)

PD-L1 was immunoprecipitated from 0.35 mg of NCI-H1975 (human non-small cell lung cancer cell line) whole cell lysate with ab228415 at 1/30 dilution. Western blot was performed from the immunoprecipitate using ab228415 at 1/1,000 dilution. VeriBlot for IP Detection Reagent (HRP) (ab131366), was used for detection at 1/5,000 dilution.

Lane 1 : NCI-H1975 whole cell lysate 10 μg (Input).

Lane 2 : ab228415 IP in NCI-H1975 whole cell lysate (+).

Lane 3 : Rabbit monoclonal IgG (ab172730) instead of ab228415 in NCI-H1975 whole cell lysate (-).

Blocking/Dilution buffer : 5% NFDM/TBST.

Exposure time : 30 seconds.

This data was developed using the same antibody clone in a different buffer formulation containing PBS, BSA, glycerol and sodium azide (ab228415).

All lanes:

Immunoprecipitation - Anti-PD-L1 antibody [73-10] (<a href='/en-us/products/primary-antibodies/pd-l1-antibody-73-10-ab228415'>ab228415</a>)

Predicted band size: 33 kDa

false

Flow Cytometry (Intracellular) - Anti-PD-L1 antibody [73-10] - Low endotoxin, Azide free (AB246698)
  • Flow Cyt (Intra)

Unknown

Flow Cytometry (Intracellular) - Anti-PD-L1 antibody [73-10] - Low endotoxin, Azide free (AB246698)

Intracellular flow cytometric analysis of 4% paraformaldehyde-fixed, 90% methanol-permeabilized CHO-PD-L1 (PD-L1 stably expressed Chinese hamster ovary epithelial cell, Red) / CHO-S (Chinese hamster ovary epithelial cell, Blue) cell lines labeling PD-L1 with ab228415 at 1/100 dilution (red). Goat Anti-Rabbit IgG H&L (Alexa Fluor® 488) (ab150077) at 1/2000 dilution was used as the secondary antibody.

This data was developed using the same antibody clone in a different buffer formulation containing PBS, BSA, glycerol and sodium azide (ab228415).

Immunohistochemistry (Formalin/PFA-fixed paraffin-embedded sections) - Anti-PD-L1 antibody [73-10] - Low endotoxin, Azide free (AB246698)
  • IHC-P

Supplier Data

Immunohistochemistry (Formalin/PFA-fixed paraffin-embedded sections) - Anti-PD-L1 antibody [73-10] - Low endotoxin, Azide free (AB246698)

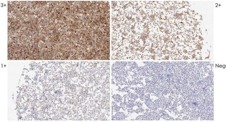
Immunohistochemical staining of PD-L1 in formalin-fixed, paraffin embedded reference standard with negative (-), low positive (+), intermediate positive (++) and strong positive (+++) controlled protein expressing cell lines (‚CD274 (PD-L1) Expression IHC Reference Standard, catalog ID HD787, horizon) using clone 73-10 [ab228415] at a dilution of 2μg/ml. Incubate for 30 minutes at room temperature. Heat mediated antigen retrieval in high pH buffer (Tris/EDTA buffer, pH 9, during 20 min at 95°C). Block sample with peroxidase blocking buffer (EnVision Flex Peroxidase-Blocking Reagent) for 5 minutes. Signal detection with Autostainer Link from Dako and EnVision Flex Kit, High pH (Code K8000).

This data was developed using the same antibody clone in a different buffer formulation containing PBS, BSA, glycerol and sodium azide (ab228415).

Immunohistochemistry (Formalin/PFA-fixed paraffin-embedded sections) - Anti-PD-L1 antibody [73-10] - Low endotoxin, Azide free (AB246698)
  • IHC-P

Supplier Data

Immunohistochemistry (Formalin/PFA-fixed paraffin-embedded sections) - Anti-PD-L1 antibody [73-10] - Low endotoxin, Azide free (AB246698)

IHC image of ab228415 staining PD-L1 in PD-L1 Dynamic Range Analyte Control formalin fixed paraffin embedded cell lines (HistoCyte Laboratories), performed on a Leica BOND RX (standard Protocol F, Polymer Refine kit). The section was pre-treated using heat mediated antigen retrieval with EDTA buffer (pH9, epitope retrieval solution 2) for 30 mins at 98°C. The section was then incubated with ab228415, 0.06μg/ml working concentration, for 15 mins at room temperature and detected using an HRP conjugated compact polymer system for 8 minutes at room temperature. DAB was used as the chromogen for 10 minutes at room temperature. The section was then counterstained with hematoxylin, blued, dehydrated, cleared and mounted with DPX.

For other IHC staining systems (automated and non-automated) customers should optimize variable parameters such as antigen retrieval conditions, primary antibody concentration and antibody incubation times.

This image was generated using ab228415, the same antibody but with BSA and Azide

Immunocytochemistry/ Immunofluorescence - Anti-PD-L1 antibody [73-10] - Low endotoxin, Azide free (AB246698)
  • ICC/IF

Unknown

Immunocytochemistry/ Immunofluorescence - Anti-PD-L1 antibody [73-10] - Low endotoxin, Azide free (AB246698)

Immunofluorescent analysis of 4% paraformaldehyde-fixed, 0.1% Triton X-100 permeabilized CHO-PD-L1 (PD-L1 stably expressed Chinese hamster ovary epithelial cell) cells labeling PD-L1 with ab228415 at 1/200 dilution followed by Goat Anti-Rabbit IgG H&L (Alexa Fluor® 488) (ab150077) secondary antibody at 1/1,000 dilution (green). Confocal image showing membranous staining on CHO-PD-L1 cells.

The nuclear counter stain is DAPI (blue). Tubulin is detected with anti-alpha Tubulin antibody [DM1A] - Microtubule Marker (Alexa Fluor® 594) (ab195889) (red) at 1/200 dilution.

Secondary antibody only control : Used PBS instead of primary antibody, secondary antibody is Goat Anti-Rabbit IgG H&L (Alexa Fluor® 488) (ab150077) secondary antibody at 1/1,000 dilution.

This data was developed using the same antibody clone in a different buffer formulation containing PBS, BSA, glycerol and sodium azide (ab228415).

Immunohistochemistry (Formalin/PFA-fixed paraffin-embedded sections) - Anti-PD-L1 antibody [73-10] - Low endotoxin, Azide free (AB246698)
  • IHC-P

Supplier Data

Immunohistochemistry (Formalin/PFA-fixed paraffin-embedded sections) - Anti-PD-L1 antibody [73-10] - Low endotoxin, Azide free (AB246698)

Immunohistochemical staining of PD-L1 in formalin-fixed, paraffin embedded Formalin-fixed, paraffin-embedded reference standard with negative (-), low positive (+), intermediate positive (++) and strong positive (+++) controlled protein expressing cell lines (‚CD274 (PD-L1) Expression IHC Reference Standard', catalog ID HD787, horizon) using clone 73-10 [ab228415] at a dilution of 10μg/ml. Incubate for 30 minutes at 37°C. Heat mediated antigen retrieval in sCC1 (Tris/EDTA buffer, pH 8). Signal detection with BenchMark XT from Roche/Ventana and ultraView Universal DAB Detection Kit (Code 760-500).

This data was developed using the same antibody clone in a different buffer formulation containing PBS, BSA, glycerol and sodium azide (ab228415).

Key facts

Host species

Rabbit

Clonality

Monoclonal

Clone number

73-10

Isotype

IgG

Carrier free

Yes

Reacts with

Human

Applications

IP, Flow Cyt (Intra), IHC-P, ICC/IF, WB

applications

Immunogen

The exact immunogen used to generate this antibody is proprietary information.

Reactivity data

{ "title": "Reactivity Data", "filters": { "stats": ["", "Species", "Dilution Info", "Notes"], "tabs": { "all-applications": {"fullname" : "All Applications", "shortname": "All Applications"}, "IHCP" : {"fullname" : "Immunohistochemistry (Formalin/PFA-fixed paraffin-embedded sections)", "shortname":"IHC-P"}, "IP" : {"fullname" : "Immunoprecipitation", "shortname":"IP"}, "WB" : {"fullname" : "Western blot", "shortname":"WB"}, "ICCIF" : {"fullname" : "Immunocytochemistry/ Immunofluorescence", "shortname":"ICC/IF"}, "FlowCytIntra" : {"fullname" : "Flow Cytometry (Intracellular)", "shortname":"Flow Cyt (Intra)"} }, "product-promise": { "all": "all", "testedAndGuaranteed": "tested", "guaranteed": "expected", "predicted": "predicted", "notRecommended": "not-recommended" } }, "values": { "Human": { "IHCP-species-checked": "testedAndGuaranteed", "IHCP-species-dilution-info": "", "IHCP-species-notes": "<p></p>", "IP-species-checked": "testedAndGuaranteed", "IP-species-dilution-info": "", "IP-species-notes": "<p></p>", "WB-species-checked": "guaranteed", "WB-species-dilution-info": "", "WB-species-notes": "<p></p>", "ICCIF-species-checked": "guaranteed", "ICCIF-species-dilution-info": "", "ICCIF-species-notes": "", "FlowCytIntra-species-checked": "guaranteed", "FlowCytIntra-species-dilution-info": "", "FlowCytIntra-species-notes": "" }, "Recombinant fragment": { "IHCP-species-checked": "notRecommended", "IHCP-species-dilution-info": "", "IHCP-species-notes": "", "IP-species-checked": "notRecommended", "IP-species-dilution-info": "", "IP-species-notes": "", "WB-species-checked": "guaranteed", "WB-species-dilution-info": "", "WB-species-notes": "<p></p>", "ICCIF-species-checked": "notRecommended", "ICCIF-species-dilution-info": "", "ICCIF-species-notes": "", "FlowCytIntra-species-checked": "notRecommended", "FlowCytIntra-species-dilution-info": "", "FlowCytIntra-species-notes": "" }, "Recombinant fragment - Human": { "IHCP-species-checked": "notRecommended", "IHCP-species-dilution-info": "", "IHCP-species-notes": "", "IP-species-checked": "notRecommended", "IP-species-dilution-info": "", "IP-species-notes": "", "WB-species-checked": "notRecommended", "WB-species-dilution-info": "", "WB-species-notes": "", "ICCIF-species-checked": "testedAndGuaranteed", "ICCIF-species-dilution-info": "", "ICCIF-species-notes": "<p></p>", "FlowCytIntra-species-checked": "testedAndGuaranteed", "FlowCytIntra-species-dilution-info": "", "FlowCytIntra-species-notes": "<p></p>" } } }

Product details

ab246698 is the carrier-free version of ab226766.

Clone 73-10 is also known as clone MKP1A07310.
Clone 73-10 has been tested within Blueprint Phase 2 project.
See PMID 29800747 for more details.

Patented technology
Our RabMAb® technology is a patented hybridoma-based technology for making rabbit monoclonal antibodies. For details on our patents, please refer to RabMAb® patents.

What are the advantages of a recombinant monoclonal antibody?
This product is a recombinant monoclonal antibody, which offers several advantages including:

  • - High batch-to-batch consistency and reproducibility
  • - Improved sensitivity and specificity
  • - Long-term security of supply
  • - Animal-free batch production

For more information, read more on recombinant antibodies.

Conjugation ready
Our carrier-free antibodies are typically supplied in a PBS-only formulation, purified and free of BSA, sodium azide and glycerol. This conjugation-ready format is designed for use with fluorochromes, metal isotopes, oligonucleotides, and enzymes, which makes them ideal for antibody labelling, functional and cell-based assays, flow-based assays (e.g. mass cytometry) and Multiplex Imaging applications.

Use our conjugation kits for antibody conjugates that are ready-to-use in as little as 20 minutes with 1 minute hands-on-time and 100% antibody recovery: available for fluorescent dyes, HRP, biotin and gold.

What does low endotoxin mean?
Our low endotoxin, azide-free formats have low endotoxin level (1 EU/mg, determined by the TAL assay) and are free from azide, to achieve consistent experimental results in functional assays.

Properties and storage information

Form
Liquid
Purification technique
Affinity purification Protein A
Purification notes
Endotoxin level is less than 1 EU/ml as determined by the TAL test.
Storage buffer
pH: 7.2 - 7.4 Constituents: PBS
Shipped at conditions
Blue Ice
Appropriate short-term storage conditions
+4°C
Appropriate long-term storage conditions
+4°C
Storage information
Do Not Freeze

Supplementary information

This supplementary information is collated from multiple sources and compiled automatically.

PD-L1 also known as Programmed Death-Ligand 1 or CD274 is a protein involved in immune modulation. Mechanically PD-L1 interacts with its receptors particularly PD-1 to regulate cellular immune responses. This transmembrane protein has a calculated molecular weight of approximately 33 kDa. PD-L1 is expressed on various cell types including tumor cells and immune cells such as dendritic cells macrophages and B cells. Its expression is often upregulated in response to inflammatory cytokines.
Biological function summary

PD-L1 plays a central role in immune evasion mechanisms utilized by tumors. It is not part of a larger protein complex but directly interacts with PD-1 and CD80. When PD-L1 binds to PD-1 it sends inhibitory signals leading to decreased T cell activation and proliferation allowing cancer cells to avoid immune destruction. PD-L1 expression provides a mechanism for tumors to suppress immune surveillance facilitating tumor progression.

Pathways

PD-L1 is integral to the immune checkpoint pathway which is an important regulator of immune response. The interaction between PD-L1 and PD-1 provides a mechanism for immune tolerance which is part of the broader adaptive immune system pathway. PD-L1 is related to other immune checkpoint proteins such as CTLA-4 in its function to limit autoreactivity and promote immune homeostasis.

PD-L1 is most associated with cancer particularly in tumors such as melanoma and non-small cell lung cancer. PD-L1 expression on tumor cells often correlates with poor prognosis. PD-L1 directly interacts with PD-1 in these cancers a target for immunotherapies such as checkpoint inhibitors which aim to block this interaction and restore immune activity against tumors. PD-L1 involvement extends to autoimmune disorders where altered expression can impact tolerance and lead to immune-related tissue damage.

Product protocols

For this product, it's our understanding that no specific protocols are required. You can visit:

Target data

Plays a critical role in induction and maintenance of immune tolerance to self (PubMed : 11015443, PubMed : 28813410, PubMed : 28813417, PubMed : 31399419). As a ligand for the inhibitory receptor PDCD1/PD-1, modulates the activation threshold of T-cells and limits T-cell effector response (PubMed : 11015443, PubMed : 28813410, PubMed : 28813417, PubMed : 36727298). Through a yet unknown activating receptor, may costimulate T-cell subsets that predominantly produce interleukin-10 (IL10) (PubMed : 10581077). Can also act as a transcription coactivator : in response to hypoxia, translocates into the nucleus via its interaction with phosphorylated STAT3 and promotes transcription of GSDMC, leading to pyroptosis (PubMed : 32929201).. The PDCD1-mediated inhibitory pathway is exploited by tumors to attenuate anti-tumor immunity and escape destruction by the immune system, thereby facilitating tumor survival (PubMed : 28813410, PubMed : 28813417). The interaction with PDCD1/PD-1 inhibits cytotoxic T lymphocytes (CTLs) effector function (By similarity). The blockage of the PDCD1-mediated pathway results in the reversal of the exhausted T-cell phenotype and the normalization of the anti-tumor response, providing a rationale for cancer immunotherapy (By similarity).
See full target information CD274

Publications (1)

Recent publications for all applications. Explore the full list and refine your search

Discover. Oncology 14:28 PubMed36853387

2023

Estrogen-dependent activation of NCOA3 couples with p300 and NF-κB to mediate antiapoptotic genes in ER-positive breast cancer cells.

Applications

Unspecified application

Species

Unspecified reactive species

Jun Wang,Zhiyong Zhou
View all publications

Product promise

We are committed to supporting your work with high-quality reagents, and we're here for you every step of the way. In the unlikely event that one of our products does not perform as expected, you're protected by our Product Promise.
For full details, please see our Terms & Conditions

Please note: All products are 'FOR RESEARCH USE ONLY. NOT FOR USE IN DIAGNOSTIC OR THERAPEUTIC PROCEDURES'.

For licensing inquiries, please contact partnerships@abcam.com