JavaScript is disabled in your browser. Please enable JavaScript to view this website.
AB251611

Anti-PD-L1 antibody [CAL10] - BSA and Azide free

  • BOND RX™ Validated
  • RabMAb
  • Advanced Validation
  • Recombinant
  • KO Validated
  • What is this?

4

(1 Review)

|

(1 Publication)

Rabbit Recombinant Monoclonal PD-L1 antibody. Carrier free. Suitable for IHC-P, IP, ELISA, WB, mIHC, ICC/IF and reacts with Human, Transfected cell line - Human, Recombinant fragment - Human, Transfected cell lysate - Human samples. Cited in 1 publication.

View Alternative Names

CD274, B7H1, PDCD1L1, PDCD1LG1, PDL1, Programmed cell death 1 ligand 1, PD-L1, PDCD1 ligand 1, Programmed death ligand 1, hPD-L1, B7 homolog 1, B7-H1

18 Images
Multiplex immunohistochemistry - Anti-PD-L1 antibody [CAL10] - BSA and Azide free (AB251611)
  • mIHC

Collaborator

Multiplex immunohistochemistry - Anti-PD-L1 antibody [CAL10] - BSA and Azide free (AB251611)

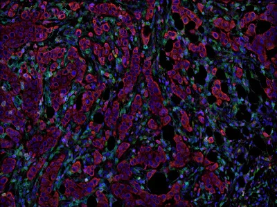
Fluorescence multiplex immunohistochemical analysis of Human breast cancer tissue (formalin-fixed paraffin-embedded section).

Merged staining of Anti-PD-L1 (ab251611; cyan; Opal™ 520), Anti-Granzyme B (ab219803; yellow; Opal™ 540), Anti-PD1 (ab251613; magenta; Opal™ 570), Anti-pan Cytokeratin (ab264485; red; Opal™ 620), Anti-EpCAM (ab225894; red; Opal™ 620), Anti-CD8 alpha (ab251596; green; Opal™ 650) and Anti-FOXP3 (ab96048; orange; Opal™ 690). EpCAM and pan-cytokeratin share the same dye and color. Dyes are pseudo-colored for better contrast of the markers.

The immunostaining was performed on a Leica Biosystems BOND® MAX instrument with an Opal™ 6-Plex Detection Kit (NEL821001KT, Akoya Biosciences®).

The section was incubated in six rounds of staining; sequentially for ab251611 (1/750 dilution), ab219803 (1/250 dilution), ab251613 (1/750 dilution), ab264485 (0.5 μg/ml), ab225894 (1/1250 dilution), ab251596 (1/1500 dilution) and ab96048 (10 μg/ml); each using a separate fluorescent tyramide signal amplification system. EDTA based antigen retrieval (Leica Biosystems BOND® Epitope Retrieval Solution 2, pH 9.0, 20 minutes) was used in between rounds of tyramide signal amplification to remove the antibody from the previous round, to avoid any cross-reactivity. DAPI (dark blue) was used as a nuclear counter stain.
Microscopy and pseudocoloring of individual Opal™ dyes was performed using a Vectra 3 Imaging System (Akoya Biosciences®).

This data is courtesy of ImmunoAtlas and it can be found here.

This data was developed using the same antibody clone in a different buffer formulation containing PBS and sodium azide (ab237726).

This image is courtesy of ImmunoAtlas.

Immunohistochemistry (Formalin/PFA-fixed paraffin-embedded sections) - Anti-PD-L1 antibody [CAL10] - BSA and Azide free (AB251611)
  • IHC-P

Lab

Immunohistochemistry (Formalin/PFA-fixed paraffin-embedded sections) - Anti-PD-L1 antibody [CAL10] - BSA and Azide free (AB251611)

Tissue Microarrays stained for "Anti-PD-L1 antibody [CAL10]" using "ab237726"in immunohistochemical analysis. This table provides a detailed overview of positive (tick mark) and negative (cross mark) staining per sample type tested. The sections were pre-treated using Heat mediated antigen retrieval using Bond™ Epitope Retrieval Solution 2 (pH 9.0) for 30 minutes. The sections were incubated with ab237726 for 15 mins at room temperature followed by a ready to use LeicaDS9800 (Bond™ Polymer Refine Detection). The immunostaining was performed on a Leica Biosystems BOND® RX instrument.

Immunohistochemistry (Formalin/PFA-fixed paraffin-embedded sections) - Anti-PD-L1 antibody [CAL10] - BSA and Azide free (AB251611)
  • IHC-P

Lab

Immunohistochemistry (Formalin/PFA-fixed paraffin-embedded sections) - Anti-PD-L1 antibody [CAL10] - BSA and Azide free (AB251611)

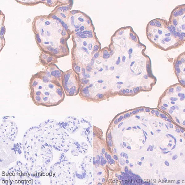
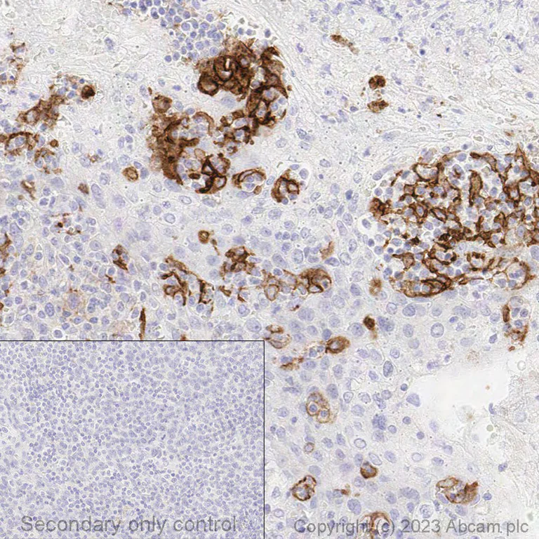
Immunohistochemical analysis of formalin-fixed paraffin-embedded human placenta labelling PD-L1 with ab237726 at a dilution of 2µg/ml. The immunostaining was performed on a Ventana DISCOVERY ULTRA (Roche Tissue Diagnostics) instrument with an OptiView DAB IHC Detection Kit. Heat mediated antigen retrieval was conducted for 32min with ULTRA cell conditioning solution (CC1 pH8.5). ab237726 anti PD-L1 antibody was incubated at 37°C for 16min. Sections were counterstained is with Hematoxylin II. Image inset shows absence of staining in secondary antibody only control.

This data was developed using ab237726, the same antibody clone in a different buffer formulation.

Immunohistochemistry (Formalin/PFA-fixed paraffin-embedded sections) - Anti-PD-L1 antibody [CAL10] - BSA and Azide free (AB251611)
  • IHC-P

Lab

Immunohistochemistry (Formalin/PFA-fixed paraffin-embedded sections) - Anti-PD-L1 antibody [CAL10] - BSA and Azide free (AB251611)

Immunohistochemical analysis of formalin-fixed paraffin-embedded human tonsil labelling PD-L1 with ab237726 at a dilution of 1µg/ml. The immunostaining was performed on a Ventana DISCOVERY ULTRA (Roche Tissue Diagnostics) instrument with an OptiView DAB IHC Detection Kit. Heat mediated antigen retrieval was conducted for 32min with ULTRA cell conditioning solution (CC1 pH8.5). ab237726 anti PD-L1 antibody was incubated at 37°C for 16min. Sections were counterstained is with Hematoxylin II. Image inset shows absence of staining in secondary antibody only control.

This data was developed using ab237726, the same antibody clone in a different buffer formulation.

Multiplex immunohistochemistry - Anti-PD-L1 antibody [CAL10] - BSA and Azide free (AB251611)
  • mIHC

Collaborator

Multiplex immunohistochemistry - Anti-PD-L1 antibody [CAL10] - BSA and Azide free (AB251611)

Fluorescence multiplex immunohistochemical analysis of Human breast cancer tissue (formalin-fixed paraffin-embedded section).

Merged staining of Anti-PD-L1 (ab251611; cyan; Opal™ 520), Anti-Granzyme B (ab219803; yellow; Opal™ 540), Anti-PD1 (ab251613; magenta; Opal™ 570), Anti-pan Cytokeratin (ab264485; red; Opal™ 620), Anti-EpCAM (ab225894; red; Opal™ 620), Anti-CD8 alpha (ab251596; green; Opal™ 650) and Anti-FOXP3 (ab96048; orange; Opal™ 690). EpCAM and pan-cytokeratin share the same dye and color. Dyes are pseudo-colored for better contrast of the markers.

The immunostaining was performed on a Leica Biosystems BOND® MAX instrument with an Opal™ 6-Plex Detection Kit (NEL821001KT, Akoya Biosciences®).

The section was incubated in six rounds of staining; sequentially for ab251611 (1/750 dilution), ab219803 (1/250 dilution), ab251613 (1/750 dilution), ab264485 (0.5 μg/ml), ab225894 (1/1250 dilution), ab251596 (1/1500 dilution) and ab96048 (10 μg/ml); each using a separate fluorescent tyramide signal amplification system. EDTA based antigen retrieval (Leica Biosystems BOND® Epitope Retrieval Solution 2, pH 9.0, 20 minutes) was used in between rounds of tyramide signal amplification to remove the antibody from the previous round, to avoid any cross-reactivity. DAPI (dark blue) was used as a nuclear counter stain.
Microscopy and pseudocoloring of individual Opal™ dyes was performed using a Vectra 3 Imaging System (Akoya Biosciences®).

This data was developed using the same antibody clone in a different buffer formulation containing PBS and sodium azide (ab237726).

This data is courtesy of ImmunoAtlas and it can be found here.

This image is courtesy of ImmunoAtlas.

Multiplex immunohistochemistry - Anti-PD-L1 antibody [CAL10] - BSA and Azide free (AB251611)
  • mIHC

Collaborator

Multiplex immunohistochemistry - Anti-PD-L1 antibody [CAL10] - BSA and Azide free (AB251611)

Fluorescence multiplex immunohistochemical analysis of Human breast cancer tissue (formalin-fixed paraffin-embedded section).

Merged staining of Anti-PD-L1 (ab251611; cyan; Opal™ 520), Anti-Granzyme B (ab219803; yellow; Opal™ 540), Anti-PD1 (ab251613; magenta; Opal™ 570), Anti-pan Cytokeratin (ab264485; red; Opal™ 620), Anti-EpCAM (ab225894; red; Opal™ 620), Anti-CD8 alpha (ab251596; green; Opal™ 650) and Anti-FOXP3 (ab96048; orange; Opal™ 690). EpCAM and pan-cytokeratin share the same dye and color. Dyes are pseudo-colored for better contrast of the markers.

The immunostaining was performed on a Leica Biosystems BOND® MAX instrument with an Opal™ 6-Plex Detection Kit (NEL821001KT, Akoya Biosciences®).

The section was incubated in six rounds of staining; sequentially for ab251611 (1/750 dilution), ab219803 (1/250 dilution), ab251613 (1/750 dilution), ab264485 (0.5 μg/ml), ab225894 (1/1250 dilution), ab251596 (1/1500 dilution) and ab96048 (10 μg/ml); each using a separate fluorescent tyramide signal amplification system. EDTA based antigen retrieval (Leica Biosystems BOND® Epitope Retrieval Solution 2, pH 9.0, 20 minutes) was used in between rounds of tyramide signal amplification to remove the antibody from the previous round, to avoid any cross-reactivity. DAPI (dark blue) was used as a nuclear counter stain.
Microscopy and pseudocoloring of individual Opal™ dyes was performed using a Vectra 3 Imaging System (Akoya Biosciences®).

This data was developed using the same antibody clone in a different buffer formulation containing PBS and sodium azide (ab237726).

This data is courtesy of ImmunoAtlas and it can be found here.

This image is courtesy of ImmunoAtlas.

Multiplex immunohistochemistry - Anti-PD-L1 antibody [CAL10] - BSA and Azide free (AB251611)
  • mIHC

Collaborator

Multiplex immunohistochemistry - Anti-PD-L1 antibody [CAL10] - BSA and Azide free (AB251611)

Fluorescence multiplex immunohistochemical analysis of Human breast cancer tissue (formalin-fixed paraffin-embedded section).

Merged staining of Anti-PD-L1 (ab251611; cyan; Opal™ 520), Anti-Granzyme B (ab219803; yellow; Opal™ 540), Anti-PD1 (ab251613; magenta; Opal™ 570), Anti-pan Cytokeratin (ab264485; red; Opal™ 620), Anti-EpCAM (ab225894; red; Opal™ 620), Anti-CD8 alpha (ab251596; green; Opal™ 650) and Anti-FOXP3 (ab96048; orange; Opal™ 690). EpCAM and pan-cytokeratin share the same dye and color. Dyes are pseudo-colored for better contrast of the markers.

The immunostaining was performed on a Leica Biosystems BOND® MAX instrument with an Opal™ 6-Plex Detection Kit (NEL821001KT, Akoya Biosciences®).

The section was incubated in six rounds of staining; sequentially for ab251611 (1/750 dilution), ab219803 (1/250 dilution), ab251613 (1/750 dilution), ab264485 (0.5 μg/ml), ab225894 (1/1250 dilution), ab251596 (1/1500 dilution) and ab96048 (10 μg/ml); each using a separate fluorescent tyramide signal amplification system. EDTA based antigen retrieval (Leica Biosystems BOND® Epitope Retrieval Solution 2, pH 9.0, 20 minutes) was used in between rounds of tyramide signal amplification to remove the antibody from the previous round, to avoid any cross-reactivity. DAPI (dark blue) was used as a nuclear counter stain.
Microscopy and pseudocoloring of individual Opal™ dyes was performed using a Vectra 3 Imaging System (Akoya Biosciences®).

This data was developed using the same antibody clone in a different buffer formulation containing PBS and sodium azide (ab237726).

This data is courtesy of ImmunoAtlas and it can be found here.

This image is courtesy of ImmunoAtlas.

Multiplex immunohistochemistry - Anti-PD-L1 antibody [CAL10] - BSA and Azide free (AB251611)
  • mIHC

Collaborator

Multiplex immunohistochemistry - Anti-PD-L1 antibody [CAL10] - BSA and Azide free (AB251611)

Fluorescence multiplex immunohistochemical analysis of Human breast cancer tissue (formalin-fixed paraffin-embedded section).

Merged staining of Anti-PD-L1 (ab251611; cyan; Opal™ 520), Anti-Granzyme B (ab219803; yellow; Opal™ 540), Anti-PD1 (ab251613; magenta; Opal™ 570), Anti-pan Cytokeratin (ab264485; red; Opal™ 620), Anti-EpCAM (ab225894; red; Opal™ 620), Anti-CD8 alpha (ab251596; green; Opal™ 650) and Anti-FOXP3 (ab96048; orange; Opal™ 690). EpCAM and pan-cytokeratin share the same dye and color. Dyes are pseudo-colored for better contrast of the markers.

The immunostaining was performed on a Leica Biosystems BOND® MAX instrument with an Opal™ 6-Plex Detection Kit (NEL821001KT, Akoya Biosciences®).

The section was incubated in six rounds of staining; sequentially for ab251611 (1/750 dilution), ab219803 (1/250 dilution), ab251613 (1/750 dilution), ab264485 (0.5 μg/ml), ab225894 (1/1250 dilution), ab251596 (1/1500 dilution) and ab96048 (10 μg/ml); each using a separate fluorescent tyramide signal amplification system. EDTA based antigen retrieval (Leica Biosystems BOND® Epitope Retrieval Solution 2, pH 9.0, 20 minutes) was used in between rounds of tyramide signal amplification to remove the antibody from the previous round, to avoid any cross-reactivity. DAPI (dark blue) was used as a nuclear counter stain.
Microscopy and pseudocoloring of individual Opal™ dyes was performed using a Vectra 3 Imaging System (Akoya Biosciences®).

This data was developed using the same antibody clone in a different buffer formulation containing PBS and sodium azide (ab237726).

This data is courtesy of ImmunoAtlas and it can be found here.

This image is courtesy of ImmunoAtlas.

Western blot - Anti-PD-L1 antibody [CAL10] - BSA and Azide free (AB251611)
  • WB

Lab

Western blot - Anti-PD-L1 antibody [CAL10] - BSA and Azide free (AB251611)

This data was developed using the same antibody clone in a different buffer formulation containing PBS and sodium azide (ab237726).

Blocking/Dilution buffer : 5% NFDM/TBST.

All lanes:

Western blot - Anti-PD-L1 antibody [CAL10] (<a href='/en-us/products/primary-antibodies/pd-l1-antibody-cal10-ab237726'>ab237726</a>) at 1/1000 dilution

All lanes:

Human placenta lysate at 20 µg

Secondary

All lanes:

Western blot - Goat Anti-Rabbit IgG H&L (HRP) (<a href='/en-us/products/secondary-antibodies/goat-rabbit-igg-h-l-hrp-ab97051'>ab97051</a>) at 1/100000 dilution

Predicted band size: 33 kDa

false

Exposure time: 26s

Western blot - Anti-PD-L1 antibody [CAL10] - BSA and Azide free (AB251611)
  • WB

Lab

Western blot - Anti-PD-L1 antibody [CAL10] - BSA and Azide free (AB251611)

ab228415 works better than ab237726 in western blot testing. We suggest optimizing experimental protocols (increasing lysate amount, using lower dilution or higher sensitivity ECL substrate) to improve results. Blocking/Diluting buffer and concentration : 5% NFDM/TBST This data was developed using ab237726, the same antibody clone in a different buffer formulation.

Lanes 1 - 4:

Western blot - Anti-PD-L1 antibody [CAL10] (<a href='/en-us/products/primary-antibodies/pd-l1-antibody-cal10-ab237726'>ab237726</a>) at 1/1000 dilution

Lanes 1 - 4:

Western blot - Anti-PD-L1 antibody [CAL10] - BSA and Azide free (ab251611)

Lane 1:

PC-3 (human prostate adenocarcinoma epithelial cell) whole cell lysate at 20 µg

Lane 2:

A375 (human malignant melanoma epithelial cell) whole cell lysate at 20 µg

Lane 3:

HeLa (human cervix adenocarcinoma epithelial cell) whole cell lysate at 20 µg

Lane 4:

A549 (human lung carcinoma epithelial cell) whole cell lysate at 20 µg

Secondary

All lanes:

Western blot - Goat Anti-Rabbit IgG H&L (HRP) (<a href='/en-us/products/secondary-antibodies/goat-rabbit-igg-h-l-hrp-ab97051'>ab97051</a>) at 1/20000 dilution

Observed band size: 40-60 kDa

false

Exposure time: 100s

Immunohistochemistry (Formalin/PFA-fixed paraffin-embedded sections) - Anti-PD-L1 antibody [CAL10] - BSA and Azide free (AB251611)
  • IHC-P

Lab

Immunohistochemistry (Formalin/PFA-fixed paraffin-embedded sections) - Anti-PD-L1 antibody [CAL10] - BSA and Azide free (AB251611)

Immunohistochemical analysis of paraffin-embedded human placenta tissue labeling PD-L1 with ab237726 at 1/1000 dilution, followed by a ready to use Goat Anti-Rabbit IgG H&L (HRP). Membranous staining on the human placenta. The section was incubated with ab237726 for 15 mins at room temperature. The immunostaining was performed on a Leica Biosystems BOND® RX instrument. Counterstained with hematoxylin. Secondary antibody only control : Used PBS instead of primary antibody, secondary antibody is a ready to use Goat Anti-Rabbit IgG H&L (HRP). Heat mediated antigen retrieval with Tris-EDTA buffer (pH 9.0, epitope retrieval solution 2) for 30 mins.

This data was developed using the same antibody clone in a different buffer formulation containing PBS and sodium azide (ab237726).

Immunohistochemistry (Formalin/PFA-fixed paraffin-embedded sections) - Anti-PD-L1 antibody [CAL10] - BSA and Azide free (AB251611)
  • IHC-P

Lab

Immunohistochemistry (Formalin/PFA-fixed paraffin-embedded sections) - Anti-PD-L1 antibody [CAL10] - BSA and Azide free (AB251611)

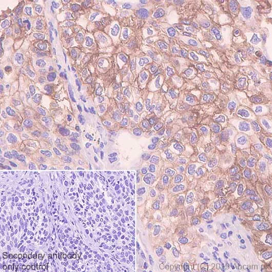
Immunohistochemical analysis of paraffin-embedded human lung carcinoma tissue labeling PD-L1 with ab237726 at 1/1000 dilution, followed by a ready to use Goat Anti-Rabbit IgG H&L (HRP). Mainly membranous staining on the human lung carcinoma. The section was incubated with ab237726 for 15 mins at room temperature. The immunostaining was performed on a Leica Biosystems BOND® RX instrument. Counterstained with hematoxylin. Secondary antibody only control : Used PBS instead of primary antibody, secondary antibody is a ready to use Goat Anti-Rabbit IgG H&L (HRP). Heat mediated antigen retrieval with Tris-EDTA buffer (pH 9.0, epitope retrieval solution 2) for 30 mins.

This data was developed using the same antibody clone in a different buffer formulation containing PBS and sodium azide (ab237726).

Immunohistochemistry (Formalin/PFA-fixed paraffin-embedded sections) - Anti-PD-L1 antibody [CAL10] - BSA and Azide free (AB251611)
  • IHC-P

Supplier Data

Immunohistochemistry (Formalin/PFA-fixed paraffin-embedded sections) - Anti-PD-L1 antibody [CAL10] - BSA and Azide free (AB251611)

IHC image of ab237726 staining PD-L1 in PD-L1 Dynamic Range Analyte Control formalin fixed paraffin embedded cell lines (HistoCyte Laboratories), performed on a Leica BOND RX (standard Protocol F, Polymer Refine kit). The section was pre-treated using heat mediated antigen retrieval with sodium citrate buffer (pH6, epitope retrieval solution 1) for 30 mins at 98°C. The section was then incubated with ab237726, 1μg/ml working concentration, for 15 mins at room temperature and detected using an HRP conjugated compact polymer system for 8 minutes at room temperature. DAB was used as the chromogen for 10 minutes at room temperature. The section was then counterstained with hematoxylin, blued, dehydrated, cleared and mounted with DPX.

For other IHC staining systems (automated and non-automated) customers should optimize variable parameters such as antigen retrieval conditions, primary antibody concentration and antibody incubation times.

This data was developed using the same antibody clone in a different buffer formulation containing PBS and sodium azide (ab237726).

Immunocytochemistry/ Immunofluorescence - Anti-PD-L1 antibody [CAL10] - BSA and Azide free (AB251611)
  • ICC/IF

Lab

Immunocytochemistry/ Immunofluorescence - Anti-PD-L1 antibody [CAL10] - BSA and Azide free (AB251611)

Immunofluorescent analysis of 4% paraformaldehyde-fixed, 0.1% Triton X-100 permeabilized CHO-PD-L1 (PD-L1 stably expressed Chinese hamster ovary epithelial cell) and CHO-S (chinese hamster ovary epithelial cell) cells labeling PD-L1 with ab237726 at 1/100 dilution, followed by Goat Anti-Rabbit IgG H&L (Alexa Fluor® 488) (ab150077) secondary antibody at 1/1000 dilution (green). Confocal image showing membranous and cytoplasmic staining in CHO-PD-L1 cells. The nuclear counter stain is DAPI (blue). Counterstained with ab195889 Anti-alpha Tubulin antibody [DM1A] - Microtubule Marker (Alexa Fluor® 594) at a 1/200 dilution (red). The negative control is the secondary antibody only.

This data was developed using the same antibody clone in a different buffer formulation containing PBS and sodium azide (ab237726).

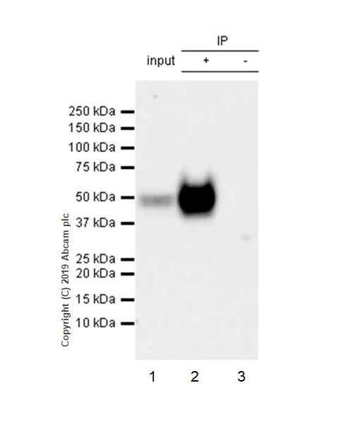
Immunoprecipitation - Anti-PD-L1 antibody [CAL10] - BSA and Azide free (AB251611)
  • IP

Lab

Immunoprecipitation - Anti-PD-L1 antibody [CAL10] - BSA and Azide free (AB251611)

PD-L1 was immunoprecipitated from 0.35 mg NCI-H1975 (human non-small cell lung cancer cell line) whole cell lysate with ab237726 at 1/30 dilution. Western blot was performed from the immunoprecipitate using ab237726 at 1/1000 dilution. VeriBlot for IP Detection Reagent (HRP) (ab131366), was used at 1/5000 dilution.
Lane 1 : NCI-H1975 whole cell lysate 10 μg (Input).
Lane 2 : ab237726 IP in NCI-H1975 whole cell lysate.
Lane 3 : Rabbit monoclonal IgG (ab172730) instead of ab237726 in NCI-H1975 whole cell lysate.
Blocking/Dilution buffer : 5% NFDM/TBST.
Exposure time : 30 seconds.

The molecular mass observed is consistent with what has been described in the literature (PMID : 26546452).

This data was developed using the same antibody clone in a different buffer formulation containing PBS and sodium azide (ab237726).

All lanes:

Immunoprecipitation - Anti-PD-L1 antibody [CAL10] (<a href='/en-us/products/primary-antibodies/pd-l1-antibody-cal10-ab237726'>ab237726</a>)

Predicted band size: 33 kDa

false

ELISA - Anti-PD-L1 antibody [CAL10] - BSA and Azide free (AB251611)
  • ELISA

Supplier Data

ELISA - Anti-PD-L1 antibody [CAL10] - BSA and Azide free (AB251611)

ELISA - Anti-PD-L1 antibody [CAL10] (ab237726).

Western blot - Anti-PD-L1 antibody [CAL10] - BSA and Azide free (AB251611)
  • WB

Lab

Western blot - Anti-PD-L1 antibody [CAL10] - BSA and Azide free (AB251611)

This data was developed using the same antibody clone in a different buffer formulation containing PBS and sodium azide (ab237726).

Blocking/Dilution buffer : 5% NFDM/TBST.

All lanes:

Western blot - Anti-PD-L1 antibody [CAL10] (<a href='/en-us/products/primary-antibodies/pd-l1-antibody-cal10-ab237726'>ab237726</a>) at 1/1000 dilution

Lane 1:

CHO-S (Chinese hamster ovary epithelial cell) whole cell lysate at 20 µg

Lane 2:

CHO-PD-L1 (PD-L1 stably expressed Chinese hamster ovary epithelial cell) whole cell lysate at 20 µg

Secondary

All lanes:

Western blot - Goat Anti-Rabbit IgG H&L (HRP) (<a href='/en-us/products/secondary-antibodies/goat-rabbit-igg-h-l-hrp-ab97051'>ab97051</a>) at 1/100000 dilution

Predicted band size: 33 kDa

false

Exposure time: 3s

Western blot - Anti-PD-L1 antibody [CAL10] - BSA and Azide free (AB251611)
  • WB

Lab

Western blot - Anti-PD-L1 antibody [CAL10] - BSA and Azide free (AB251611)

This data was developed using the same antibody clone in a different buffer formulation containing PBS and sodium azide (ab237726).

Blocking/Dilution buffer : 5% NFDM/TBST.

The molecular mass observed is consistent with what has been described in the literature (PMID : 26546452).

All lanes:

Western blot - Anti-PD-L1 antibody [CAL10] (<a href='/en-us/products/primary-antibodies/pd-l1-antibody-cal10-ab237726'>ab237726</a>) at 1/1000 dilution

Lane 1:

A549 (Human lung carcinoma epithelial cell) whole cell lysate at 20 µg

Lane 2:

A549 treated with 100ng/ml IFN gamma for 48h whole cell lysate at 20 µg

Secondary

All lanes:

Western blot - Goat Anti-Rabbit IgG H&L (HRP) (<a href='/en-us/products/secondary-antibodies/goat-rabbit-igg-h-l-hrp-ab97051'>ab97051</a>) at 1/100000 dilution

Predicted band size: 33 kDa

false

Exposure time: 26s

Key facts

Host species

Rabbit

Clonality

Monoclonal

Clone number

CAL10

Isotype

IgG

Carrier free

Yes

Reacts with

Human

Applications

mIHC, IHC-P, ICC/IF, WB, ELISA, IP

applications

Immunogen

The exact immunogen used to generate this antibody is proprietary information.

Reactivity data

{ "title": "Reactivity Data", "filters": { "stats": ["", "Species", "Dilution Info", "Notes"], "tabs": { "all-applications": {"fullname" : "All Applications", "shortname": "All Applications"}, "IHCP" : {"fullname" : "Immunohistochemistry (Formalin/PFA-fixed paraffin-embedded sections)", "shortname":"IHC-P"}, "IP" : {"fullname" : "Immunoprecipitation", "shortname":"IP"}, "FlowCyt" : {"fullname" : "Flow Cytometry", "shortname":"Flow Cyt"}, "ELISA" : {"fullname" : "ELISA", "shortname":"ELISA"}, "WB" : {"fullname" : "Western blot", "shortname":"WB"}, "mIHC" : {"fullname" : "Multiplex immunohistochemistry", "shortname":"mIHC"}, "ICCIF" : {"fullname" : "Immunocytochemistry/ Immunofluorescence", "shortname":"ICC/IF"} }, "product-promise": { "all": "all", "testedAndGuaranteed": "tested", "guaranteed": "expected", "predicted": "predicted", "notRecommended": "not-recommended" } }, "values": { "Human": { "IHCP-species-checked": "testedAndGuaranteed", "IHCP-species-dilution-info": "", "IHCP-species-notes": "<p></p>", "IP-species-checked": "testedAndGuaranteed", "IP-species-dilution-info": "", "IP-species-notes": "<p></p>", "FlowCyt-species-checked": "notRecommended", "FlowCyt-species-dilution-info": "", "FlowCyt-species-notes": "<p></p>", "ELISA-species-checked": "guaranteed", "ELISA-species-dilution-info": "", "ELISA-species-notes": "", "WB-species-checked": "testedAndGuaranteed", "WB-species-dilution-info": "", "WB-species-notes": "<p><a href='/en-us/products/primary-antibodies/pd-l1-antibody-73-10-ab228415'>ab228415</a> works better than this product in western blot testing.</p>", "mIHC-species-checked": "testedAndGuaranteed", "mIHC-species-dilution-info": "", "mIHC-species-notes": "<p></p>", "ICCIF-species-checked": "guaranteed", "ICCIF-species-dilution-info": "", "ICCIF-species-notes": "" }, "Recombinant fragment - Human": { "IHCP-species-checked": "notRecommended", "IHCP-species-dilution-info": "", "IHCP-species-notes": "", "IP-species-checked": "notRecommended", "IP-species-dilution-info": "", "IP-species-notes": "", "FlowCyt-species-checked": "notRecommended", "FlowCyt-species-dilution-info": "", "FlowCyt-species-notes": "", "ELISA-species-checked": "testedAndGuaranteed", "ELISA-species-dilution-info": "", "ELISA-species-notes": "<p></p>", "WB-species-checked": "notRecommended", "WB-species-dilution-info": "", "WB-species-notes": "", "mIHC-species-checked": "notRecommended", "mIHC-species-dilution-info": "", "mIHC-species-notes": "", "ICCIF-species-checked": "notRecommended", "ICCIF-species-dilution-info": "", "ICCIF-species-notes": "" }, "Transfected cell line - Human": { "IHCP-species-checked": "testedAndGuaranteed", "IHCP-species-dilution-info": "", "IHCP-species-notes": "<p></p>", "IP-species-checked": "notRecommended", "IP-species-dilution-info": "", "IP-species-notes": "", "FlowCyt-species-checked": "notRecommended", "FlowCyt-species-dilution-info": "", "FlowCyt-species-notes": "", "ELISA-species-checked": "notRecommended", "ELISA-species-dilution-info": "", "ELISA-species-notes": "", "WB-species-checked": "notRecommended", "WB-species-dilution-info": "", "WB-species-notes": "", "mIHC-species-checked": "notRecommended", "mIHC-species-dilution-info": "", "mIHC-species-notes": "", "ICCIF-species-checked": "notRecommended", "ICCIF-species-dilution-info": "", "ICCIF-species-notes": "" }, "Transfected cell lysate - Human": { "IHCP-species-checked": "notRecommended", "IHCP-species-dilution-info": "", "IHCP-species-notes": "", "IP-species-checked": "notRecommended", "IP-species-dilution-info": "", "IP-species-notes": "", "FlowCyt-species-checked": "notRecommended", "FlowCyt-species-dilution-info": "", "FlowCyt-species-notes": "", "ELISA-species-checked": "notRecommended", "ELISA-species-dilution-info": "", "ELISA-species-notes": "", "WB-species-checked": "testedAndGuaranteed", "WB-species-dilution-info": "", "WB-species-notes": "<p><a href='/en-us/products/primary-antibodies/pd-l1-antibody-73-10-ab228415'>ab228415</a> works better than this product in western blot testing.</p>", "mIHC-species-checked": "notRecommended", "mIHC-species-dilution-info": "", "mIHC-species-notes": "", "ICCIF-species-checked": "testedAndGuaranteed", "ICCIF-species-dilution-info": "", "ICCIF-species-notes": "<p></p>" } } }

You may be interested in:

AB277712

Human PD-L1 ELISA Kit [28-8]

0

0 Reviews

View product

We recommend this product because it’s often used in the same experiment or related research.

We advise that you always check the datasheet to ensure it fits your experiments, or contact ourtechnical teamfor help.

Product details

ab251611 is the carrier-free version of ab237726.

Conjugation ready
Our carrier-free antibodies are typically supplied in a PBS-only formulation, purified and free of BSA, sodium azide and glycerol. This conjugation-ready format is designed for use with fluorochromes, metal isotopes, oligonucleotides, and enzymes, which makes them ideal for antibody labelling, functional and cell-based assays, flow-based assays (e.g. mass cytometry) and Multiplex Imaging applications.

Use our conjugation kits for antibody conjugates that are ready-to-use in as little as 20 minutes with 1 minute hands-on-time and 100% antibody recovery: available for fluorescent dyes, HRP, biotin and gold.

Compatibility
This product is compatible with the Maxpar® Antibody Labeling Kit from Fluidigm, without the need for antibody preparation. Maxpar® is a trademark of Fluidigm Canada Inc.

Properties and storage information

Form
Liquid
Purification technique
Affinity purification Protein A
Purification notes
Purity is greater than 99%.
Storage buffer
pH: 7.2 - 7.4 Constituents: PBS
Shipped at conditions
Blue Ice
Appropriate short-term storage conditions
+4°C
Appropriate long-term storage conditions
+4°C
Storage information
Do Not Freeze

Supplementary information

This supplementary information is collated from multiple sources and compiled automatically.

PD-L1 also known as Programmed Death-Ligand 1 or CD274 is a protein involved in immune modulation. Mechanically PD-L1 interacts with its receptors particularly PD-1 to regulate cellular immune responses. This transmembrane protein has a calculated molecular weight of approximately 33 kDa. PD-L1 is expressed on various cell types including tumor cells and immune cells such as dendritic cells macrophages and B cells. Its expression is often upregulated in response to inflammatory cytokines.
Biological function summary

PD-L1 plays a central role in immune evasion mechanisms utilized by tumors. It is not part of a larger protein complex but directly interacts with PD-1 and CD80. When PD-L1 binds to PD-1 it sends inhibitory signals leading to decreased T cell activation and proliferation allowing cancer cells to avoid immune destruction. PD-L1 expression provides a mechanism for tumors to suppress immune surveillance facilitating tumor progression.

Pathways

PD-L1 is integral to the immune checkpoint pathway which is an important regulator of immune response. The interaction between PD-L1 and PD-1 provides a mechanism for immune tolerance which is part of the broader adaptive immune system pathway. PD-L1 is related to other immune checkpoint proteins such as CTLA-4 in its function to limit autoreactivity and promote immune homeostasis.

PD-L1 is most associated with cancer particularly in tumors such as melanoma and non-small cell lung cancer. PD-L1 expression on tumor cells often correlates with poor prognosis. PD-L1 directly interacts with PD-1 in these cancers a target for immunotherapies such as checkpoint inhibitors which aim to block this interaction and restore immune activity against tumors. PD-L1 involvement extends to autoimmune disorders where altered expression can impact tolerance and lead to immune-related tissue damage.

Product protocols

For this product, it's our understanding that no specific protocols are required. You can visit:

Target data

Plays a critical role in induction and maintenance of immune tolerance to self (PubMed : 11015443, PubMed : 28813410, PubMed : 28813417, PubMed : 31399419). As a ligand for the inhibitory receptor PDCD1/PD-1, modulates the activation threshold of T-cells and limits T-cell effector response (PubMed : 11015443, PubMed : 28813410, PubMed : 28813417, PubMed : 36727298). Through a yet unknown activating receptor, may costimulate T-cell subsets that predominantly produce interleukin-10 (IL10) (PubMed : 10581077). Can also act as a transcription coactivator : in response to hypoxia, translocates into the nucleus via its interaction with phosphorylated STAT3 and promotes transcription of GSDMC, leading to pyroptosis (PubMed : 32929201).. The PDCD1-mediated inhibitory pathway is exploited by tumors to attenuate anti-tumor immunity and escape destruction by the immune system, thereby facilitating tumor survival (PubMed : 28813410, PubMed : 28813417). The interaction with PDCD1/PD-1 inhibits cytotoxic T lymphocytes (CTLs) effector function (By similarity). The blockage of the PDCD1-mediated pathway results in the reversal of the exhausted T-cell phenotype and the normalization of the anti-tumor response, providing a rationale for cancer immunotherapy (By similarity).
See full target information CD274

Publications (1)

Recent publications for all applications. Explore the full list and refine your search

Cancer research 80:1102-1117 PubMed31911557

2020

The Immunosuppressive Microenvironment in BRCA1-IRIS-Overexpressing TNBC Tumors Is Induced by Bidirectional Interaction with Tumor-Associated Macrophages.

Applications

Unspecified application

Species

Unspecified reactive species

Eman Sami,Bibbin T Paul,James A Koziol,Wael M ElShamy
View all publications

Product promise

We are committed to supporting your work with high-quality reagents, and we're here for you every step of the way. In the unlikely event that one of our products does not perform as expected, you're protected by our Product Promise.
For full details, please see our Terms & Conditions

Associated Products

Select an associated product type
Alternative Product
Primary Antibodies

AB228463

Anti-PD-L1 antibody [SP142] - C-terminal, prediluted

primary-antibodies

pd-l1-antibody-sp142-c-terminal-prediluted-ab228463

0

(0 reviews)

Alternative Product
Primary Antibodies

AB213524

Anti-PD-L1 antibody [EPR19759]

primary-antibodies

pd-l1-antibody-epr19759-ab213524

5

(1 reviews)

Alternative Product
Primary Antibodies

AB205921

Anti-PD-L1 antibody [28-8]

primary-antibodies

pd-l1-antibody-28-8-ab205921

4

(15 reviews)

Alternative Product
Primary Antibodies

AB228415

Anti-PD-L1 antibody [73-10]

primary-antibodies

pd-l1-antibody-73-10-ab228415

5

(1 reviews)

Alternative Product
Primary Antibodies

AB274896

Alexa Fluor® 555 Anti-PD-L1 antibody [73-10]

primary-antibodies

alexa-fluor-555-pd-l1-antibody-73-10-ab274896

4

(1 reviews)

Alternative Product
Primary Antibodies

AB228462

Anti-PD-L1 antibody [SP142] - C-terminal

primary-antibodies

pd-l1-antibody-sp142-c-terminal-ab228462

5

(2 reviews)

Alternative Version
Primary Antibodies

AB267565

Alexa Fluor® 647 Anti-PD-L1 antibody [CAL10]

primary-antibodies

alexa-fluor-647-pd-l1-antibody-cal10-ab267565

5

(1 reviews)

Alternative Version
Primary Antibodies

AB307643

Alexa Fluor® 555 Anti-PD-L1 antibody [CAL10]

primary-antibodies

alexa-fluor-555-pd-l1-antibody-cal10-ab307643

0

(0 reviews)

Please note: All products are 'FOR RESEARCH USE ONLY. NOT FOR USE IN DIAGNOSTIC OR THERAPEUTIC PROCEDURES'.

For licensing inquiries, please contact partnerships@abcam.com