JavaScript is disabled in your browser. Please enable JavaScript to view this website.
AB279292

Anti-PD-L1 antibody [CAL10] - Mouse IgG1 (Chimeric)

5

(1 Review)

|

(7 Publications)

Anti-PD-L1 antibody [CAL10] - Mouse IgG1 (Chimeric) (ab279292) is a mouse monoclonal antibody detecting PD-L1 in Western Blot, Flow Cytometry (Intra), Flow Cytometry, IHC-P, ICC/IF. Suitable for Human.

- KO validated for confirmed specificity
- Biophysical QC for unrivalled batch-batch consistency

View Alternative Names

CD274, B7H1, PDCD1L1, PDCD1LG1, PDL1, Programmed cell death 1 ligand 1, PD-L1, PDCD1 ligand 1, Programmed death ligand 1, hPD-L1, B7 homolog 1, B7-H1

6 Images
Immunohistochemistry (Formalin/PFA-fixed paraffin-embedded sections) - Anti-PD-L1 antibody [CAL10] - Mouse IgG1 (Chimeric) (AB279292)
  • IHC-P

Lab

Immunohistochemistry (Formalin/PFA-fixed paraffin-embedded sections) - Anti-PD-L1 antibody [CAL10] - Mouse IgG1 (Chimeric) (AB279292)

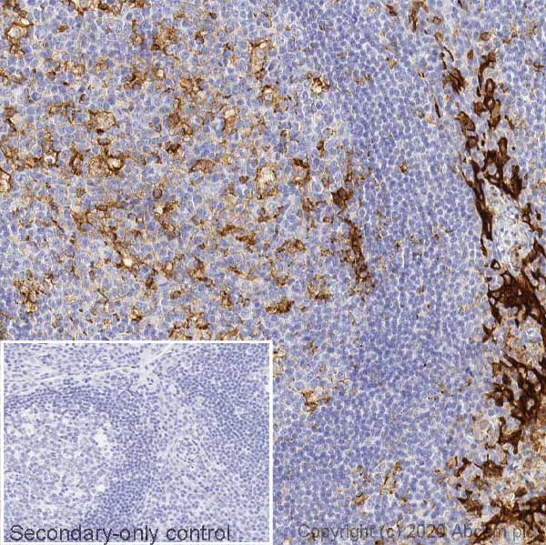
IHC image of PD-L1 staining in a section of formalin-fixed paraffin-embedded normal human tonsil* performed on a Leica BONDTM system using the standard protocol F.

The section was pre-treated using heat mediated antigen retrieval with sodium citrate buffer (pH6, epitope retrieval solution 1) for 20mins. The section was then incubated with ab279292, 1ug/ml, for 15 mins at room temperature. A rabbit anti-mouse IgG1, ab125913, was added for 8 mins at room temperature and detected using an HRP conjugated goat anti-rabbit compact polymer system. DAB was used as the chromogen. The section was then counterstained with haematoxylin and mounted with DPX. The inset secondary-only control image is taken from an identical assay without primary antibody.
For other IHC staining systems (automated and non-automated) customers should optimize variable parameters such as antigen retrieval conditions, primary antibody concentration and antibody incubation times.

*Tissue obtained from the Human Research Tissue Bank, supported by the NIHR Cambridge Biomedical Research Centre

Western blot - Anti-PD-L1 antibody [CAL10] - Mouse IgG1 (Chimeric) (AB279292)
  • WB

Lab

Western blot - Anti-PD-L1 antibody [CAL10] - Mouse IgG1 (Chimeric) (AB279292)

False colour image of Western blot : Anti-PD-L1 antibody [CAL10] - Mouse IgG1 staining at 1/1000 dilution, shown in green; Rabbit anti-alpha Tubulin antibody [EP1332Y] (ab52866) loading control staining at 1/20000 dilution, shown in red. In Western blot, ab279292 was shown to bind specifically to PD-L1. A band was observed at 48 kDa in treated wild-type A549 cell lysates with no signal observed at this size in Cd274 knockout cell line ab267054 (knockout cell lysate ab256831). To generate this image, wild-type and Cd274 knockout A549 cell lysates were analysed. First, samples were run on an SDS-PAGE gel then transferred onto a nitrocellulose membrane. Membranes were blocked in 3 % milk in TBS-0.1 % Tween® 20 (TBS-T) before incubation with primary antibodies overnight at 4 °C. Blots were washed four times in TBS-T, incubated with secondary antibodies for 1 h at room temperature, washed again four times then imaged. Secondary antibodies used were Goat anti-Mouse IgG H&L (IRDye® 800CW) preabsorbed (ab216772) and Goat anti-Rabbit IgG H&L (IRDye® 680RD) preabsorbed (ab216777) at 1/20000 dilution.

Lanes 1 - 2:

Western blot - Anti-PD-L1 antibody [CAL10] - Mouse IgG1 (Chimeric) (ab279292) at 1/1000 dilution

Lanes 1 - 2:

Western blot - Anti-PD-L1 antibody [CAL10] (<a href='/en-us/products/primary-antibodies/pd-l1-antibody-cal10-ab237726'>ab237726</a>) at 1/1000 dilution

Lane 1:

Wild-type A549 Treated IFN-gamma (100 ng/ml) for 48 hours cell lysate at 20 µg

Lane 2:

CD274 knockout A549 Treated IFN-gamma (100 ng/ml) for 48 hours cell lysate at 20 µg

Lane 2:

Western blot - Human CD274 (PD-L1) knockout A549 cell line (<a href='/en-us/products/cell-lines/human-cd274-pd-l1-knockout-a549-cell-line-ab267054'>ab267054</a>)

Predicted band size: 33 kDa

Observed band size: 48 kDa

false

Western blot - Anti-PD-L1 antibody [CAL10] - Mouse IgG1 (Chimeric) (AB279292)
  • WB

Supplier Data

Western blot - Anti-PD-L1 antibody [CAL10] - Mouse IgG1 (Chimeric) (AB279292)

Blocking/Dilution buffer : 5% NFDM/TBST.

All lanes:

Western blot - Anti-PD-L1 antibody [CAL10] - Mouse IgG1 (Chimeric) (ab279292) at 1/1000 dilution

Lane 1:

CHO-S (Chinese hamster ovary epithelial cell) whole cell lysate at 20 µg

Lane 2:

CHO-PD-L1 (PD-L1 stably expressed Chinese hamster ovary epithelial cell) whole cell lysate at 20 µg

Lane 3:

Human placenta tissue lysate at 20 µg

Lane 4:

NCI-H1299 (human lung carcinoma epithelial cell), whole cell lysate at 20 µg

Secondary

All lanes:

Peroxidase-Conjugated Goat anti-Mouse IgG (H+L) at 1/5000 dilution

Predicted band size: 33 kDa

Observed band size: 40-60 kDa

false

Exposure time: 15s

Western blot - Anti-PD-L1 antibody [CAL10] - Mouse IgG1 (Chimeric) (AB279292)
  • WB

Lab

Western blot - Anti-PD-L1 antibody [CAL10] - Mouse IgG1 (Chimeric) (AB279292)

False colour image of Western blot : Anti-PD-L1 antibody [CAL10] – Mouse IgG1 (Chimeric); Rabbit anti-Vinculin antibody (ab219649) loading control staining at 1/1000 dilution, shown in red. In Western blot, ab279292 was shown to bind specifically to PD-L1. A band was observed at 45 kDa in wild-type A549 cell lysates with no signal observed at this size in Cd274 knockout cell line. To generate this image, wild-type and Cd274 knockout A549 cell lysates were analysed. First, samples were run on an SDS-PAGE gel then transferred onto a nitrocellulose membrane. Membranes were blocked in 3 % milk in TBS-0.1 % Tween® 20 (TBS-T) before incubation with primary antibodies overnight at 4 °C. Blots were washed four times in TBS-T, incubated with secondary antibodies for 1 h at room temperature, washed again four times then imaged. Secondary antibodies used were Goat anti-Mouse IgG H&L 800CW and Goat anti-Rabbit IgG H&L 680RD at 1/20000 dilution.

All lanes:

Western blot - Anti-PD-L1 antibody [CAL10] - Mouse IgG1 (Chimeric) (ab279292) at 1/1000 dilution

Lanes 1 - 2:

Western blot - Human wild-type A549 cell line (ab255450)

Lane 1:

Wild-type A549 Control IFN-gamma (0 ng/mL, 48 h) at 20 µg

Lane 2:

Wild-type A549 Treated IFN-gamma (100 ng/mL, 48 h) at 20 µg

Lanes 3 - 4:

Western blot - Human CD274 (PD-L1) knockout A549 cell line (<a href='/en-us/products/cell-lines/human-cd274-pd-l1-knockout-a549-cell-line-ab267055'>ab267055</a>)

Lane 3:

CD274 knockout A549 Control IFN-gamma (0 ng/mL, 48 h) at 20 µg

Lane 4:

CD274 knockout A549 Treated IFN-gamma (100 ng/mL, 48 h) at 20 µg

Secondary

All lanes:

Goat anti-Mouse IgG H&L 800CW and Goat anti-Rabbit IgG H&L 680RD at 1/20000 dilution

Predicted band size: 33 kDa

Observed band size: 45 kDa

false

Immunocytochemistry/ Immunofluorescence - Anti-PD-L1 antibody [CAL10] - Mouse IgG1 (Chimeric) (AB279292)
  • ICC/IF

Supplier Data

Immunocytochemistry/ Immunofluorescence - Anti-PD-L1 antibody [CAL10] - Mouse IgG1 (Chimeric) (AB279292)

Immunocytochemical analysis of 4% paraformaldehyde-fixed, 0.1% Triton X-100-fixed permeabilized CHO-PD-L1 cells labeling PD-L1 with ab279292 at 1/100 dilution, followed by ab150113 Goat Anti-MouseIgG H&L (Alexa Fluor® 488) antibody at 1/1000 dilution (Green). ab179513 Anti-beta Tubulin rabbit monoclonal antibody was used to counterstain tubulin at 1/200 dilution, followed by ab150080 Goat Anti-Rabbit IgG H&L (Alexa Fluor® 594) at a 1/500 dilution (Red). The nuclear counterstain was DAPI (Blue). Confocal image showing membranous and cytoplasmic staining in CHO-PD-L1 cells.

Negative control 1 : ab279292 at a 1/100 dilution followed by ab150080 at a 1/200 dilution.

Negative control 2 : ab179513 at a 1/200 dilution followed by ab150157 at a 1/1000 dilution.

Flow Cytometry (Intracellular) - Anti-PD-L1 antibody [CAL10] - Mouse IgG1 (Chimeric) (AB279292)
  • Flow Cyt (Intra)

Supplier Data

Flow Cytometry (Intracellular) - Anti-PD-L1 antibody [CAL10] - Mouse IgG1 (Chimeric) (AB279292)

Flow cytometric analysis of 4% paraformaldehyde-fixed, 90% methanol-permeabilized CHO-s (Chinese hamster ovary epithelial cell, Blue) / CHO-PDL1 (PD-L1 stably expessed Chinese hamster ovary epithelial cell, Red) labelling PD-L1 with ab279292 at 1/50 dilution (0.1μg).

Goat Anti-Mouse IgG (Alexa Fluor® 488, ab150113) at 1/2000 dilution was used as the secondary antibody.

Key facts

Host species

Mouse

Clonality

Monoclonal

Clone number

CAL10

Isotype

IgG1

Carrier free

No

Reacts with

Human

Applications

WB, ICC/IF, Flow Cyt (Intra), IHC-P

applications

Immunogen

The exact immunogen used to generate this antibody is proprietary information.

Reactivity data

{ "title": "Reactivity Data", "filters": { "stats": ["", "Species", "Dilution Info", "Notes"], "tabs": { "all-applications": {"fullname" : "All Applications", "shortname": "All Applications"}, "IHCP" : {"fullname" : "Immunohistochemistry (Formalin/PFA-fixed paraffin-embedded sections)", "shortname":"IHC-P"}, "ICCIF" : {"fullname" : "Immunocytochemistry/ Immunofluorescence", "shortname":"ICC/IF"}, "WB" : {"fullname" : "Western blot", "shortname":"WB"}, "FlowCytIntra" : {"fullname" : "Flow Cytometry (Intracellular)", "shortname":"Flow Cyt (Intra)"} }, "product-promise": { "all": "all", "testedAndGuaranteed": "tested", "guaranteed": "expected", "predicted": "predicted", "notRecommended": "not-recommended" } }, "values": { "Human": { "IHCP-species-checked": "testedAndGuaranteed", "IHCP-species-dilution-info": "", "IHCP-species-notes": "<p></p> Perform heat-mediated antigen retrieval with citrate buffer pH 6 before commencing with IHC staining protocol.", "ICCIF-species-checked": "guaranteed", "ICCIF-species-dilution-info": "", "ICCIF-species-notes": "", "WB-species-checked": "testedAndGuaranteed", "WB-species-dilution-info": "1/1000", "WB-species-notes": "<p></p>", "FlowCytIntra-species-checked": "guaranteed", "FlowCytIntra-species-dilution-info": "", "FlowCytIntra-species-notes": "" }, "Transfected cell line - Human": { "IHCP-species-checked": "notRecommended", "IHCP-species-dilution-info": "", "IHCP-species-notes": "", "ICCIF-species-checked": "testedAndGuaranteed", "ICCIF-species-dilution-info": "1/100", "ICCIF-species-notes": "<p></p>", "WB-species-checked": "notRecommended", "WB-species-dilution-info": "", "WB-species-notes": "", "FlowCytIntra-species-checked": "testedAndGuaranteed", "FlowCytIntra-species-dilution-info": "1/50", "FlowCytIntra-species-notes": "<p></p>" }, "Transfected cell lysate - Human": { "IHCP-species-checked": "notRecommended", "IHCP-species-dilution-info": "", "IHCP-species-notes": "", "ICCIF-species-checked": "notRecommended", "ICCIF-species-dilution-info": "", "ICCIF-species-notes": "", "WB-species-checked": "testedAndGuaranteed", "WB-species-dilution-info": "1/1000", "WB-species-notes": "<p></p>", "FlowCytIntra-species-checked": "notRecommended", "FlowCytIntra-species-dilution-info": "", "FlowCytIntra-species-notes": "" } } }

Product details

What is this antibody validated in?
Anti-PD-L1 antibody [CAL10] - Mouse IgG1 (Chimeric) (ab279292) is a mouse recombinant monoclonal antibody and is validated for use in Western Blot (WB), Flow Cytometry (Intra), Flow Cytometry (Flow Cyt), Immunohistochemistry (IHC-P), Immunocytochemistry/immunofluorescence (ICC/IF) in Human samples.

Trial sizes available!
Test your antibody or perform pre-screening before committing to a larger quantity. Sold in 10µl. Discover our selection of trial-size antibodies.

Specificity confirmed
The specificity of Anti-PD-L1 antibody [CAL10] - Mouse IgG1 (Chimeric) (ab279292) has been confirmed by Western blot testing in CD274 Knockout A549 cell line, ab267054.

Other related products
We have a range of other formats of antibody clone [CAL10] also available for your convenience: ab237726, Carrier free - ab251611, Alexa Fluor® 647 - ab267565, ab279292, ab279293, ab279294, Carrier free - ab279304, Carrier free - ab279305, Carrier free - ab279306, Alexa Fluor® 555 - ab307643

Properties and storage information

Form
Liquid
Purification technique
Affinity purification Protein A
Storage buffer
pH: 7.2 - 7.4 Preservative: 0.01% Sodium azide Constituents: PBS, 40% Glycerol (glycerin, glycerine), 0.05% BSA
Shipped at conditions
Blue Ice
Appropriate short-term storage duration
1-2 weeks
Appropriate short-term storage conditions
+4°C
Appropriate long-term storage conditions
-20°C
Aliquoting information
Upon delivery aliquot
Storage information
Avoid freeze / thaw cycle

Supplementary information

This supplementary information is collated from multiple sources and compiled automatically.

PD-L1 also known as Programmed Death-Ligand 1 or CD274 is a protein involved in immune modulation. Mechanically PD-L1 interacts with its receptors particularly PD-1 to regulate cellular immune responses. This transmembrane protein has a calculated molecular weight of approximately 33 kDa. PD-L1 is expressed on various cell types including tumor cells and immune cells such as dendritic cells macrophages and B cells. Its expression is often upregulated in response to inflammatory cytokines.
Biological function summary

PD-L1 plays a central role in immune evasion mechanisms utilized by tumors. It is not part of a larger protein complex but directly interacts with PD-1 and CD80. When PD-L1 binds to PD-1 it sends inhibitory signals leading to decreased T cell activation and proliferation allowing cancer cells to avoid immune destruction. PD-L1 expression provides a mechanism for tumors to suppress immune surveillance facilitating tumor progression.

Pathways

PD-L1 is integral to the immune checkpoint pathway which is an important regulator of immune response. The interaction between PD-L1 and PD-1 provides a mechanism for immune tolerance which is part of the broader adaptive immune system pathway. PD-L1 is related to other immune checkpoint proteins such as CTLA-4 in its function to limit autoreactivity and promote immune homeostasis.

PD-L1 is most associated with cancer particularly in tumors such as melanoma and non-small cell lung cancer. PD-L1 expression on tumor cells often correlates with poor prognosis. PD-L1 directly interacts with PD-1 in these cancers a target for immunotherapies such as checkpoint inhibitors which aim to block this interaction and restore immune activity against tumors. PD-L1 involvement extends to autoimmune disorders where altered expression can impact tolerance and lead to immune-related tissue damage.

Product protocols

For this product, it's our understanding that no specific protocols are required. You can visit:

Target data

Plays a critical role in induction and maintenance of immune tolerance to self (PubMed : 11015443, PubMed : 28813410, PubMed : 28813417, PubMed : 31399419). As a ligand for the inhibitory receptor PDCD1/PD-1, modulates the activation threshold of T-cells and limits T-cell effector response (PubMed : 11015443, PubMed : 28813410, PubMed : 28813417, PubMed : 36727298). Through a yet unknown activating receptor, may costimulate T-cell subsets that predominantly produce interleukin-10 (IL10) (PubMed : 10581077). Can also act as a transcription coactivator : in response to hypoxia, translocates into the nucleus via its interaction with phosphorylated STAT3 and promotes transcription of GSDMC, leading to pyroptosis (PubMed : 32929201).. The PDCD1-mediated inhibitory pathway is exploited by tumors to attenuate anti-tumor immunity and escape destruction by the immune system, thereby facilitating tumor survival (PubMed : 28813410, PubMed : 28813417). The interaction with PDCD1/PD-1 inhibits cytotoxic T lymphocytes (CTLs) effector function (By similarity). The blockage of the PDCD1-mediated pathway results in the reversal of the exhausted T-cell phenotype and the normalization of the anti-tumor response, providing a rationale for cancer immunotherapy (By similarity).
See full target information CD274

Publications (7)

Recent publications for all applications. Explore the full list and refine your search

Nature communications 16:5621 PubMed40595567

2025

Connexin43 hemichannel blockade turns microglia neuroprotective and mitigates cognitive deficits in a mouse model of amyloidosis.

Applications

Unspecified application

Species

Unspecified reactive species

Yixun Su,Hui Li,Wenjie Zhang,Shi Tao,Qi Wang,Xuan Zhang,Mi Zhou,Xiaomin Huang,Chenmeng Wang,Yong Tang,Hui Chen,Alexei Verkhratsky,Zhengbao Zha,Jianqin Niu,Chenju Yi

EJNMMI radiopharmacy and chemistry 10:5 PubMed39843795

2025

Lutetium-177 labeled iPD-L1 as a novel immunomodulator for cancer-targeted radiotherapy.

Applications

Unspecified application

Species

Unspecified reactive species

Myrna Luna-Gutiérrez,Erika Azorín-Vega,Rigoberto Oros-Pantoja,Blanca Ocampo-García,Pedro Cruz-Nova,Nallely Jiménez-Mancilla,Gerardo Bravo-Villegas,Clara Santos-Cuevas,Laura Meléndez-Alafort,Guillermina Ferro-Flores

Molecular cancer 23:285 PubMed39736629

2024

The miR-23a/27a/24 - 2 cluster drives immune evasion and resistance to PD-1/PD-L1 blockade in non-small cell lung cancer.

Applications

Unspecified application

Species

Unspecified reactive species

Hao Luo,Bin Hu,Xiang-Rong Gu,Jing Chen,Xiao-Qing Fan,Wei Zhang,Ren-Tao Wang,Xian-Dong He,Wei Guo,Nan Dai,Dan Jian,Qing Li,Cheng-Xiong Xu,Hua Jin

Cell biology international 48:1588-1598 PubMed39030886

2024

AML cell-derived exosomes suppress the activation and cytotoxicity of NK cells in AML via PD-1/PD-L1 pathway.

Applications

Unspecified application

Species

Unspecified reactive species

Dandan Wang,Fanchen Zhou,Leiyu He,Xiaohong Wang,Lingrui Song,Haoyu Wang,Shibo Sun,Zhaoming Guo,Kun Ma,Jianqiang Xu,Changhao Cui

International journal of biological sciences 20:2555-2575 PubMed38725861

2024

Aberrant Expression of SLC7A11 Impairs the Antimicrobial Activities of Macrophages in Osteomyelitis in Mice.

Applications

Unspecified application

Species

Unspecified reactive species

Bingsheng Yang,Wen Shu,Jin Hu,Zhongwen Wang,Jichang Wu,Jianwen Su,Jianye Tan,Bin Yu,Xianrong Zhang

Molecular therapy : the journal of the American Society of Gene Therapy 32:2000-2020 PubMed38659226

2024

Oncolytic adenovirus in treating malignant ascites: A phase II trial and longitudinal single-cell study.

Applications

Unspecified application

Species

Unspecified reactive species

Yalei Zhang,Ling Qian,Kun Chen,Sijia Gu,Zhiqiang Meng,Jia Wang,Ye Li,Peng Wang

Cancers 15: PubMed38001573

2023

Long Non-Coding RNA LOC339059 Attenuates IL-6/STAT3-Signaling-Mediated PDL1 Expression and Macrophage M2 Polarization by Interacting with c-Myc in Gastric Cancer.

Applications

Unspecified application

Species

Unspecified reactive species

Haibo Han,Guangyu Ding,Shanshan Wang,Junling Meng,Yunwei Lv,Wei Yang,Hong Zhang,Xianzi Wen,Wei Zhao
View all publications

Product promise

We are committed to supporting your work with high-quality reagents, and we're here for you every step of the way. In the unlikely event that one of our products does not perform as expected, you're protected by our Product Promise.
For full details, please see our Terms & Conditions

Please note: All products are 'FOR RESEARCH USE ONLY. NOT FOR USE IN DIAGNOSTIC OR THERAPEUTIC PROCEDURES'.

For licensing inquiries, please contact partnerships@abcam.com