JavaScript is disabled in your browser. Please enable JavaScript to view this website.
AB279305

Anti-PD-L1 antibody [CAL10] - Mouse IgG2a (Chimeric) - BSA and Azide free

Be the first to review this product! Submit a review

|

(0 Publication)

Knockout Tested Mouse Recombinant Monoclonal PD-L1 antibody. Carrier free. Suitable for IHC-P, ICC, WB, Flow Cyt (Intra) and reacts with Human, Recombinant fragment - Human samples.

View Alternative Names

CD274, B7H1, PDCD1L1, PDCD1LG1, PDL1, Programmed cell death 1 ligand 1, PD-L1, PDCD1 ligand 1, Programmed death ligand 1, hPD-L1, B7 homolog 1, B7-H1

5 Images
Immunohistochemistry (Formalin/PFA-fixed paraffin-embedded sections) - Anti-PD-L1 antibody [CAL10] - Mouse IgG2a (Chimeric) - BSA and Azide free (AB279305)
  • IHC-P

Lab

Immunohistochemistry (Formalin/PFA-fixed paraffin-embedded sections) - Anti-PD-L1 antibody [CAL10] - Mouse IgG2a (Chimeric) - BSA and Azide free (AB279305)

This data was produced using ab279293, the same clone in a different formulation.

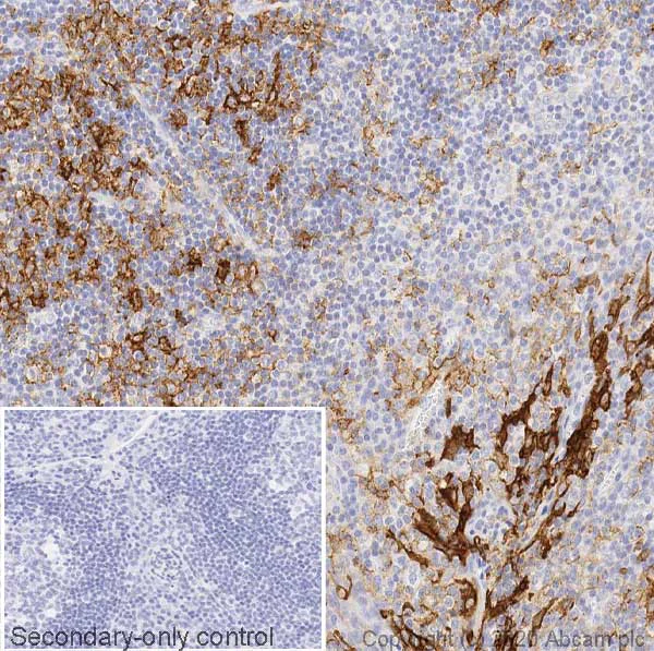
IHC image of PD-L1 staining in a section of formalin-fixed paraffin-embedded normal human tonsil* performed on a Leica BONDTM system using the standard protocol F.

The section was pre-treated using heat mediated antigen retrieval with sodium citrate buffer (pH6, epitope retrieval solution 1) for 20mins. The section was then incubated with ab279293, 1ug/ml, for 15 mins at room temperature. A rabbit anti-mouse IgG2a, was added for 8 mins at room temperature and detected using an HRP conjugated goat anti-rabbit compact polymer system. DAB was used as the chromogen. The section was then counterstained with haematoxylin and mounted with DPX. The inset secondary-only control image is taken from an identical assay without primary antibody.
For other IHC staining systems (automated and non-automated) customers should optimize variable parameters such as antigen retrieval conditions, primary antibody concentration and antibody incubation times.

*Tissue obtained from the Human Research Tissue Bank, supported by the NIHR Cambridge Biomedical Research Centre

Western blot - Anti-PD-L1 antibody [CAL10] - Mouse IgG2a (Chimeric) - BSA and Azide free (AB279305)
  • WB

Lab

Western blot - Anti-PD-L1 antibody [CAL10] - Mouse IgG2a (Chimeric) - BSA and Azide free (AB279305)

False colour image of Western blot : Anti-PD-L1 antibody [CAL10] – Mouse IgG2a (Chimeric) staining at 1/1000 dilution, shown in green; Rabbit Anti-GAPDH antibody [EPR16891] (ab181602) loading control staining at 1/20000 dilution, shown in red. In Western blot, ab279293 was shown to bind specifically to PD-L1. A band was observed at 45-65 kDa in treated wild-type A549 cell lysates with no signal observed at this size in Cd274 knockout cell line ab267054 (knockout cell lysate ab256831). To generate this image, wild-type and Cd274 knockout A549 cell lysates were analysed. First, samples were run on an SDS-PAGE gel then transferred onto a nitrocellulose membrane. Membranes were blocked in fluorescent western blot (TBS-based) blocking solution before incubation with primary antibodies overnight at 4 °C. Blots were washed four times in TBS-T, incubated with secondary antibodies for 1 h at room temperature, washed again four times then imaged. Secondary antibodies used were Goat anti-Mouse IgG H&L 800CW and Goat anti-Rabbit IgG H&L 680RD at 1/20000 dilution.

All lanes:

Western blot - Anti-PD-L1 antibody [CAL10] - Mouse IgG2a (Chimeric) (<a href='/en-us/products/primary-antibodies/pd-l1-antibody-cal10-mouse-igg2a-chimeric-ab279293'>ab279293</a>) at 1/1000 dilution

Lane 1:

Wild-type A549 Treated IFN-gamma (100 ng/mL, 48 h) cell lysate at 20 µg

Lane 2:

Wild-type A549 Vehicle Control IFN-gamma (0 ng/mL, 48 h) cell lysate at 20 µg

Lane 3:

CD274 knockout A549 Treated IFN-gamma (100 ng/mL, 48 h) cell lysate at 20 µg

Lane 4:

CD274 knockout A549 Vehicle Control IFN-gamma (0 ng/mL, 48 h) cell lysate at 20 µg

Lane 5:

Human Placenta cell lysate at 20 µg

Secondary

Lanes 1 - 5:

Goat anti-Mouse IgG H&L 800CW at 1/20000 dilution

Lanes 1 - 5:

Goat anti-Rabbit IgG H&L 680RD at 1/20000 dilution

Observed band size: 45-65 kDa

false

Immunocytochemistry/ Immunofluorescence - Anti-PD-L1 antibody [CAL10] - Mouse IgG2a (Chimeric) - BSA and Azide free (AB279305)
  • ICC/IF

Supplier Data

Immunocytochemistry/ Immunofluorescence - Anti-PD-L1 antibody [CAL10] - Mouse IgG2a (Chimeric) - BSA and Azide free (AB279305)

This data was produced using ab279293, the same clone in a different formulation.

Immunocytochemical analysis of 4% paraformaldehyde-fixed, 0.1% Triton X-100-fixed permeabilized CHO-PD-L1 cells labeling PD-L1 with ab279293 at 1/100 dilution, followed by ab150113 Goat Anti-Mouse IgG H&L (Alexa Fluor® 488) antibody at 1/1000 dilution (Green). ab179513 Anti-beta Tubulin rabbit monoclonal antibody was used to counterstain tubulin at 1/200 dilution, followed by ab150080 Goat Anti-Rabbit IgG H&L (Alexa Fluor® 594) at a 1/500 dilution (Red). The nuclear counterstain was DAPI (Blue). Confocal image showing membranous and cytoplasmic staining in CHO-PD-L1 cells.

Negative control 1 : ab279293 at a 1/100 dilution followed by ab150080 at a 1/200 dilution.

Negative control 2 : ab179513 at a 1/200 dilution followed by ab150157 at a 1/1000 dilution.

Flow Cytometry (Intracellular) - Anti-PD-L1 antibody [CAL10] - Mouse IgG2a (Chimeric) - BSA and Azide free (AB279305)
  • Flow Cyt (Intra)

Supplier Data

Flow Cytometry (Intracellular) - Anti-PD-L1 antibody [CAL10] - Mouse IgG2a (Chimeric) - BSA and Azide free (AB279305)

This data was produced using ab279293, the same clone in a different formulation.

Flow cytometric analysis of 4% paraformaldehyde-fixed, 90% methanol-permeabilized CHO-s (Chinese hamster ovary epithelial cell, Blue) / CHO-PDL1 (PD-L1 stably expessed Chinese hamster ovary epithelial cell, Red) labelling PD-L1 with ab279293 at 1/50 dilution (0.1μg).

Goat Anti-Mouse IgG (Alexa Fluor® 488, ab150113) at 1/2000 dilution was used as the secondary antibody.

Western blot - Anti-PD-L1 antibody [CAL10] - Mouse IgG2a (Chimeric) - BSA and Azide free (AB279305)
  • WB

Supplier Data

Western blot - Anti-PD-L1 antibody [CAL10] - Mouse IgG2a (Chimeric) - BSA and Azide free (AB279305)

This data was produced using ab279293, the same clone in a different formulation.

Blocking/Dilution buffer : 5% NFDM/TBST.

All lanes:

Western blot - Anti-PD-L1 antibody [CAL10] - Mouse IgG2a (Chimeric) (<a href='/en-us/products/primary-antibodies/pd-l1-antibody-cal10-mouse-igg2a-chimeric-ab279293'>ab279293</a>) at 1/1000 dilution

Lane 1:

CHO-S (Chinese hamster ovary epithelial cell) whole cell lysate at 20 µg

Lane 2:

CHO-PD-L1 (PD-L1 stably expressed Chinese hamster ovary epithelial cell) whole cell lysate at 20 µg

Lane 3:

Human placenta tissue lysate at 20 µg

Lane 4:

NCI-H1299 (human lung carcinoma epithelial cell), whole cell lysate at 20 µg

Secondary

All lanes:

Peroxidase-Conjugated Goat anti-Mouse IgG (H+L) at 1/5000 dilution

Predicted band size: 33 kDa

Observed band size: 40-60 kDa

false

  • Unconjugated

    Anti-PD-L1 antibody [CAL10] - Mouse IgG2a (Chimeric)

  • Carrier free

    Anti-PD-L1 antibody [CAL10] - Mouse IgG1 (Chimeric) - BSA and Azide free

  • 565 Alexa Fluor® 555

    Alexa Fluor® 555 Anti-PD-L1 antibody [CAL10]

Key facts

Host species

Mouse

Clonality

Monoclonal

Clone number

CAL10

Isotype

IgG2a

Carrier free

Yes

Reacts with

Human

Applications

ICC, Flow Cyt (Intra), WB, IHC-P

applications

Immunogen

The exact immunogen used to generate this antibody is proprietary information.

Reactivity data

{ "title": "Reactivity Data", "filters": { "stats": ["", "Species", "Dilution Info", "Notes"], "tabs": { "all-applications": {"fullname" : "All Applications", "shortname": "All Applications"}, "IHCP" : {"fullname" : "Immunohistochemistry (Formalin/PFA-fixed paraffin-embedded sections)", "shortname":"IHC-P"}, "ICC" : {"fullname" : "Immunocytochemistry", "shortname":"ICC"}, "WB" : {"fullname" : "Western blot", "shortname":"WB"}, "FlowCytIntra" : {"fullname" : "Flow Cytometry (Intracellular)", "shortname":"Flow Cyt (Intra)"} }, "product-promise": { "all": "all", "testedAndGuaranteed": "tested", "guaranteed": "expected", "predicted": "predicted", "notRecommended": "not-recommended" } }, "values": { "Human": { "IHCP-species-checked": "testedAndGuaranteed", "IHCP-species-dilution-info": "", "IHCP-species-notes": "<p></p>", "ICC-species-checked": "guaranteed", "ICC-species-dilution-info": "", "ICC-species-notes": "", "WB-species-checked": "testedAndGuaranteed", "WB-species-dilution-info": "", "WB-species-notes": "<p></p>", "FlowCytIntra-species-checked": "guaranteed", "FlowCytIntra-species-dilution-info": "", "FlowCytIntra-species-notes": "<p></p>" }, "Recombinant fragment - Human": { "IHCP-species-checked": "notRecommended", "IHCP-species-dilution-info": "", "IHCP-species-notes": "", "ICC-species-checked": "testedAndGuaranteed", "ICC-species-dilution-info": "", "ICC-species-notes": "<p></p>", "WB-species-checked": "testedAndGuaranteed", "WB-species-dilution-info": "", "WB-species-notes": "<p></p>", "FlowCytIntra-species-checked": "testedAndGuaranteed", "FlowCytIntra-species-dilution-info": "", "FlowCytIntra-species-notes": "<p></p>" } } }

Product details

ab279305 is the carrier free version of ab279293.

This mouse monoclonal chimeric antibody has been engineered from a RabMAb parent antibody (ab237726). By necessity, some rabbit sequence is retained as part of the variable domain. When multiplexing with other rabbit-derived antibodies, using cross absorbed Fc-reactive secondary antibodies are recommended.

Conjugation ready
Our carrier-free antibodies are typically supplied in a PBS-only formulation, purified and free of BSA, sodium azide and glycerol. This conjugation-ready format is designed for use with fluorochromes, metal isotopes, oligonucleotides, and enzymes, which makes them ideal for antibody labelling, functional and cell-based assays, flow-based assays (e.g. mass cytometry) and Multiplex Imaging applications.

Use our conjugation kits for antibody conjugates that are ready-to-use in as little as 20 minutes with 1 minute hands-on-time and 100% antibody recovery: available for fluorescent dyes, HRP, biotin and gold.

Compatibility
This product is compatible with the Maxpar® Antibody Labeling Kit from Fluidigm, without the need for antibody preparation. Maxpar® is a trademark of Fluidigm Canada Inc.

Properties and storage information

Form
Liquid
Purification technique
Affinity purification Protein A
Storage buffer
Constituents: PBS
Shipped at conditions
Blue Ice
Appropriate short-term storage conditions
+4°C
Appropriate long-term storage conditions
+4°C
Storage information
Do Not Freeze

Supplementary information

This supplementary information is collated from multiple sources and compiled automatically.

PD-L1 also known as Programmed Death-Ligand 1 or CD274 is a protein involved in immune modulation. Mechanically PD-L1 interacts with its receptors particularly PD-1 to regulate cellular immune responses. This transmembrane protein has a calculated molecular weight of approximately 33 kDa. PD-L1 is expressed on various cell types including tumor cells and immune cells such as dendritic cells macrophages and B cells. Its expression is often upregulated in response to inflammatory cytokines.
Biological function summary

PD-L1 plays a central role in immune evasion mechanisms utilized by tumors. It is not part of a larger protein complex but directly interacts with PD-1 and CD80. When PD-L1 binds to PD-1 it sends inhibitory signals leading to decreased T cell activation and proliferation allowing cancer cells to avoid immune destruction. PD-L1 expression provides a mechanism for tumors to suppress immune surveillance facilitating tumor progression.

Pathways

PD-L1 is integral to the immune checkpoint pathway which is an important regulator of immune response. The interaction between PD-L1 and PD-1 provides a mechanism for immune tolerance which is part of the broader adaptive immune system pathway. PD-L1 is related to other immune checkpoint proteins such as CTLA-4 in its function to limit autoreactivity and promote immune homeostasis.

PD-L1 is most associated with cancer particularly in tumors such as melanoma and non-small cell lung cancer. PD-L1 expression on tumor cells often correlates with poor prognosis. PD-L1 directly interacts with PD-1 in these cancers a target for immunotherapies such as checkpoint inhibitors which aim to block this interaction and restore immune activity against tumors. PD-L1 involvement extends to autoimmune disorders where altered expression can impact tolerance and lead to immune-related tissue damage.

Product protocols

For this product, it's our understanding that no specific protocols are required. You can visit:

Target data

Plays a critical role in induction and maintenance of immune tolerance to self (PubMed : 11015443, PubMed : 28813410, PubMed : 28813417, PubMed : 31399419). As a ligand for the inhibitory receptor PDCD1/PD-1, modulates the activation threshold of T-cells and limits T-cell effector response (PubMed : 11015443, PubMed : 28813410, PubMed : 28813417, PubMed : 36727298). Through a yet unknown activating receptor, may costimulate T-cell subsets that predominantly produce interleukin-10 (IL10) (PubMed : 10581077). Can also act as a transcription coactivator : in response to hypoxia, translocates into the nucleus via its interaction with phosphorylated STAT3 and promotes transcription of GSDMC, leading to pyroptosis (PubMed : 32929201).. The PDCD1-mediated inhibitory pathway is exploited by tumors to attenuate anti-tumor immunity and escape destruction by the immune system, thereby facilitating tumor survival (PubMed : 28813410, PubMed : 28813417). The interaction with PDCD1/PD-1 inhibits cytotoxic T lymphocytes (CTLs) effector function (By similarity). The blockage of the PDCD1-mediated pathway results in the reversal of the exhausted T-cell phenotype and the normalization of the anti-tumor response, providing a rationale for cancer immunotherapy (By similarity).
See full target information CD274

Product promise

We are committed to supporting your work with high-quality reagents, and we're here for you every step of the way. In the unlikely event that one of our products does not perform as expected, you're protected by our Product Promise.
For full details, please see our Terms & Conditions

Please note: All products are 'FOR RESEARCH USE ONLY. NOT FOR USE IN DIAGNOSTIC OR THERAPEUTIC PROCEDURES'.

For licensing inquiries, please contact partnerships@abcam.com