JavaScript is disabled in your browser. Please enable JavaScript to view this website.
AB246695

Anti-PD-L1 antibody [EPR19759] - Low endotoxin, Azide free

Be the first to review this product! Submit a review

|

(0 Publication)

Rabbit Recombinant Monoclonal PD-L1 antibody. Carrier free. Suitable for IHC-P, IP, WB, ICC/IF, Flow Cyt (Intra) and reacts with Human, Transfected cell lysate, Transfected cell line - Human samples.

View Alternative Names

CD274, B7H1, PDCD1L1, PDCD1LG1, PDL1, Programmed cell death 1 ligand 1, PD-L1, PDCD1 ligand 1, Programmed death ligand 1, hPD-L1, B7 homolog 1, B7-H1

10 Images
Immunohistochemistry (Formalin/PFA-fixed paraffin-embedded sections) - Anti-PD-L1 antibody [EPR19759] - Low endotoxin, Azide free (AB246695)
  • IHC-P

Lab

Immunohistochemistry (Formalin/PFA-fixed paraffin-embedded sections) - Anti-PD-L1 antibody [EPR19759] - Low endotoxin, Azide free (AB246695)

This data was developed using the same antibody clone in a different buffer formulation containing PBS, BSA, glycerol, and sodium azide (ab213524).

Immunohistochemical analysis of formalin fixed paraffin embedded Human tonsil labelling PD L1 with ab213524 at a concentration of 0.5 µg/ml. The immunostaining was performed on a Ventana DISCOVERY ULTRA (Roche Tissue Diagnostics) instrument with a OptiView DAB IHC Detection Kit. Heat mediated antigen retrieval was performed with DISCOVERY cell conditioning solution (CC1) 100°C, pH8.5 for 32mins.

ab213524 anti PD L1 antibody EPR19759 was incubated for 16mins at 37°C. Sections were counterstained with Hematoxylin II. Image inset shows absence of staining in secondary antibody only control.

Customers are encouraged to optimise antigen retrieval conditions, antibody concentration, incubation times and temperature for best results in their own IHC assay workflow (automated and manual)

Immunocytochemistry/ Immunofluorescence - Anti-PD-L1 antibody [EPR19759] - Low endotoxin, Azide free (AB246695)
  • ICC/IF

Supplier Data

Immunocytochemistry/ Immunofluorescence - Anti-PD-L1 antibody [EPR19759] - Low endotoxin, Azide free (AB246695)

Immunofluorescent analysis of 4% paraformaldehyde-fixed, 0.1% Triton X-100 permeabilized NCI-H1975 (Human lung non small cell carcinoma cell line) cells labeling PD-L1 with ab213524 at 1/100 dilution, followed by Goat Anti-Rabbit IgG (Alexa Fluor® 488) (ab150077) secondary antibody at 1/1000 dilution (green).

Confocal image showing weakly membrane and cytoplasmic staining on NCI-H1975 cells.

The nuclear counterstain is DAPI (blue).

Tubulin is detected with Anti-alpha Tubulin mouse MAb (ab7291) at 1/1000 dilution, followed by Goat Anti-Mouse IgG H&L (Alexa Fluor® 594) (ab150120) secondary antibody at 1/1000 dilution (red).

The negative controls are as follows : -

-ve control 1 : ab213524 at 1/100 dilution followed by Goat Anti-Mouse IgG H&L (Alexa Fluor® 594) (ab150120) secondary antibody at 1/1000 dilution.

-ve control 2 : Anti-alpha Tubulin mouse MAb (ab7291) at 1/1000 dilution followed by Goat Anti-Rabbit IgG H&L (Alexa Fluor® 488) (ab150077) secondary antibody at 1/1000 dilution.

This data was developed using the same antibody clone in a different buffer formulation containing PBS, BSA, glycerol, and sodium azide (ab213524).

Immunohistochemistry (Formalin/PFA-fixed paraffin-embedded sections) - Anti-PD-L1 antibody [EPR19759] - Low endotoxin, Azide free (AB246695)
  • IHC-P

Supplier Data

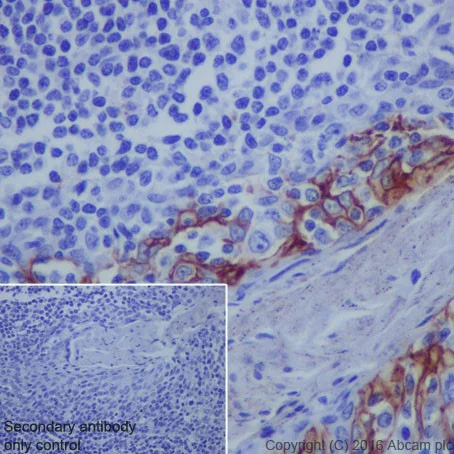
Immunohistochemistry (Formalin/PFA-fixed paraffin-embedded sections) - Anti-PD-L1 antibody [EPR19759] - Low endotoxin, Azide free (AB246695)

Immunohistochemical analysis of paraffin-embedded human tonsil tissue labeling PD-L1 with ab213524 at 1/250 dilution, followed by Rabbit specific IHC polymer detection kit HRP/DAB (ab209101).

Membrane staining on the human tonsil crypt epithelium is observed.

Counter stained with Hematoxylin.

This data was developed using the same antibody clone in a different buffer formulation containing PBS, BSA, glycerol, and sodium azide (ab213524).

Secondary antibody only control : Used PBS instead of primary antibody, secondary antibody is rabbit specific IHC polymer detection kit HRP/DAB (ab209101).

Heat mediated antigen retrieval was performed before commencing with IHC staining protocol.

Immunohistochemistry (Formalin/PFA-fixed paraffin-embedded sections) - Anti-PD-L1 antibody [EPR19759] - Low endotoxin, Azide free (AB246695)
  • IHC-P

Supplier Data

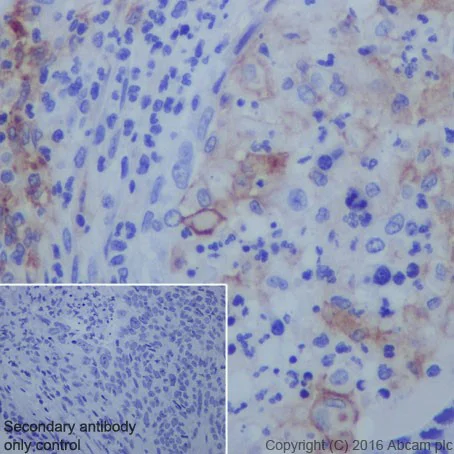
Immunohistochemistry (Formalin/PFA-fixed paraffin-embedded sections) - Anti-PD-L1 antibody [EPR19759] - Low endotoxin, Azide free (AB246695)

Immunohistochemical analysis of paraffin-embedded human stomach cancer tissue labeling PD-L1 with ab213524 at 1/250 dilution, followed by Rabbit specific IHC polymer detection kit HRP/DAB (ab209101).

Membrane staining on the human stomach cancer is observed.

Counter stained with Hematoxylin.

Secondary antibody only control : Used PBS instead of primary antibody, secondary antibody is rabbit specific IHC polymer detection kit HRP/DAB (ab209101).

This data was developed using the same antibody clone in a different buffer formulation containing PBS, BSA, glycerol, and sodium azide (ab213524).

Heat mediated antigen retrieval was performed before commencing with IHC staining protocol.

Immunohistochemistry (Formalin/PFA-fixed paraffin-embedded sections) - Anti-PD-L1 antibody [EPR19759] - Low endotoxin, Azide free (AB246695)
  • IHC-P

Supplier Data

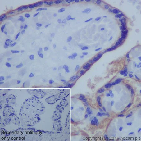
Immunohistochemistry (Formalin/PFA-fixed paraffin-embedded sections) - Anti-PD-L1 antibody [EPR19759] - Low endotoxin, Azide free (AB246695)

Immunohistochemical analysis of paraffin-embedded human placenta tissue labeling PD-L1 with ab213524 at 1/250 dilution, followed by Rabbit specific IHC polymer detection kit HRP/DAB (ab209101).

Membrane staining on the human placenta is observed.

Counter stained with Hematoxylin.

This data was developed using the same antibody clone in a different buffer formulation containing PBS, BSA, glycerol, and sodium azide (ab213524).

Secondary antibody only control : Used PBS instead of primary antibody, secondary antibody is rabbit specific IHC polymer detection kit HRP/DAB (ab209101)

Heat mediated antigen retrieval was performed before commencing with IHC staining protocol.

Immunohistochemistry (Formalin/PFA-fixed paraffin-embedded sections) - Anti-PD-L1 antibody [EPR19759] - Low endotoxin, Azide free (AB246695)
  • IHC-P

Unknown

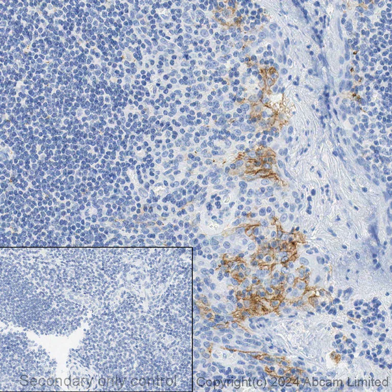
Immunohistochemistry (Formalin/PFA-fixed paraffin-embedded sections) - Anti-PD-L1 antibody [EPR19759] - Low endotoxin, Azide free (AB246695)

Anti-PD-L1 antibody [EPR19759] (ab213524)
Immunohistochemistry (Formalin/PFA-fixed paraffin-embedded sections) analysis of human tonsil tissue labelling PD-L1 with ab213524 at a dilution of 1 : 250. Heat mediated antigen retrieval was performed using AR9 antigen retrieval solution, and microwave treatment for 15 min at 20% power. Anti-Rabbit/Mouse HRP polymer (PerkinElmer Opal Polymer HRP Ms Plus Rb) was used as secondary antibody. Opal tyramide amplification was performed using Opal 520 fluorophore. Counterstained with DAPI stain. Image scanned with Vectra 3.0 and analyzed via Phenochart software.
This image was courteously provided by Dr. Houssein Abdul Sater, Georgia Cancer Center.

This data was developed using the same antibody clone in a different buffer formulation containing PBS, BSA, glycerol, and sodium azide (ab213524).

Immunoprecipitation - Anti-PD-L1 antibody [EPR19759] - Low endotoxin, Azide free (AB246695)
  • IP

Supplier Data

Immunoprecipitation - Anti-PD-L1 antibody [EPR19759] - Low endotoxin, Azide free (AB246695)

PD-L1 was immunoprecipitated from 0.35 mg of NCI-H1975 (Human non-small cell lung cancer cell line) whole cell lysate with ab213524 at 1/30 dilution.

Western blot was performed from the immunoprecipitate using ab213524 at 1/1000 dilution.

VeriBlot for IP secondary antibody (HRP) (ab131366), was used as secondary antibody at 1/10000 dilution.

Lane 1 : NCI-H1975 whole cell lysate 10μg (Input).

Lane 2 : ab213524 IP in NCI-H1975 whole cell lysate.

Lane 3 : Rabbit monoclonal IgG (ab172730) instead of ab213524 in NCI-H1975 whole cell lysate.

Blocking and dilution buffer and concentration : 5% NFDM/TBST.

Exposure time : 3 minutes.

This data was developed using the same antibody clone in a different buffer formulation containing PBS, BSA, glycerol, and sodium azide (ab213524).

All lanes:

Immunoprecipitation - Anti-PD-L1 antibody [EPR19759] (<a href='/en-us/products/primary-antibodies/pd-l1-antibody-epr19759-ab213524'>ab213524</a>)

Predicted band size: 33 kDa

false

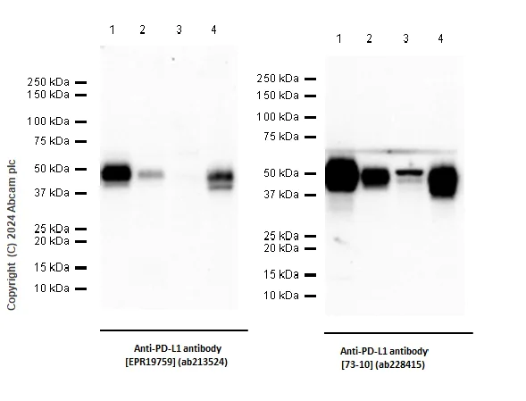
Western blot - Anti-PD-L1 antibody [EPR19759] - Low endotoxin, Azide free (AB246695)
  • WB

Lab

Western blot - Anti-PD-L1 antibody [EPR19759] - Low endotoxin, Azide free (AB246695)

ab228415 works better than ab213524 in western blot testing. We suggest optimizing experimental protocols (increasing lysate amount, using lower dilution or higher sensitivity ECL substrate) to improve results. Blocking/Diluting buffer and concentration : 5% NFDM/TBST This data was developed using the same antibody clone in a different buffer formulation containing PBS, BSA, glycerol, and sodium azide (ab213524).

All lanes:

Western blot - Anti-PD-L1 antibody [EPR19759] (<a href='/en-us/products/primary-antibodies/pd-l1-antibody-epr19759-ab213524'>ab213524</a>) at 1/1000 dilution

Lane 1:

PC-3 (human prostate adenocarcinoma epithelial cell) whole cell lysate at 20 µg

Lane 2:

A375 (human malignant melanoma epithelial cell) whole cell lysate at 20 µg

Lane 3:

HeLa (human cervix adenocarcinoma epithelial cell) whole cell lysate at 20 µg

Lane 4:

A549 (human lung carcinoma epithelial cell) whole cell lysate at 20 µg

Secondary

All lanes:

Western blot - Goat Anti-Rabbit IgG H&L (HRP) (<a href='/en-us/products/secondary-antibodies/goat-rabbit-igg-h-l-hrp-ab97051'>ab97051</a>) at 1/20000 dilution

Observed band size: 40-60 kDa

false

Exposure time: 100s

Immunocytochemistry/ Immunofluorescence - Anti-PD-L1 antibody [EPR19759] - Low endotoxin, Azide free (AB246695)
  • ICC/IF

Supplier Data

Immunocytochemistry/ Immunofluorescence - Anti-PD-L1 antibody [EPR19759] - Low endotoxin, Azide free (AB246695)

Immunofluorescent analysis of 4% paraformaldehyde-fixed, 0.1% Triton X-100 permeabilized CHO (Chinese hamster ovary cell line) cells labeling PD-L1 with ab213524 at 1/100 dilution, followed by Goat Anti-Rabbit IgG (Alexa Fluor® 488) (ab150077) secondary antibody at 1/1000 dilution (green).

Confocal image showing membrane and cytoplasmic staining on CHO-PDL1 cells.

The nuclear counterstain is DAPI (blue).

Tubulin is detected with Anti-alpha Tubulin mouse MAb (ab7291) at 1/1000 dilution, followed by Goat Anti-Mouse IgG H&L (Alexa Fluor® 594) (ab150120) secondary antibody at 1/1000 dilution (red).

The negative controls are as follows : -

-ve control 1 : ab213524 at 1/100 dilution, followed by Goat Anti-Mouse IgG H&L (Alexa Fluor® 594) (ab150120) secondary antibody at 1/1000 dilution.

-ve control 2 : Anti-alpha Tubulin mouse MAb (ab7291) at 1/1000 dilution, followed by Goat Anti-Rabbit IgG H&L (Alexa Fluor® 488) (ab150077) secondary antibody at 1/1000 dilution.

This data was developed using the same antibody clone in a different buffer formulation containing PBS, BSA, glycerol, and sodium azide (ab213524).

Flow Cytometry (Intracellular) - Anti-PD-L1 antibody [EPR19759] - Low endotoxin, Azide free (AB246695)
  • Flow Cyt (Intra)

Lab

Flow Cytometry (Intracellular) - Anti-PD-L1 antibody [EPR19759] - Low endotoxin, Azide free (AB246695)

Intracellular Flow Cytometry analysis of CHO-PD-L1 (red) and CHO-S (blue) cells labelling PD-L1 with ab213524 at 1/500. Cells were fixed with 4% paraformaldehyde, permeabilized with 0.1% tween-20-PBS and blocked with 10% goat serum. An Alexa Fluor® 488-conjugated goat anti-rabbit IgG (1/2000) was used as the secondary antibody.

This data was developed using the same antibody clone in a different buffer formulation containing PBS, BSA, glycerol, and sodium azide (ab213524).

Key facts

Host species

Rabbit

Clonality

Monoclonal

Clone number

EPR19759

Isotype

IgG

Carrier free

Yes

Reacts with

Human

Applications

IHC-P, IP, Flow Cyt (Intra), WB, ICC/IF

applications

Immunogen

The exact immunogen used to generate this antibody is proprietary information.

Specificity

FURTHER INFORMATION ON SPECIFICITY (Chinese Version) available under the Product Protocol section.

Reactivity data

{ "title": "Reactivity Data", "filters": { "stats": ["", "Species", "Dilution Info", "Notes"], "tabs": { "all-applications": {"fullname" : "All Applications", "shortname": "All Applications"}, "IHCP" : {"fullname" : "Immunohistochemistry (Formalin/PFA-fixed paraffin-embedded sections)", "shortname":"IHC-P"}, "IP" : {"fullname" : "Immunoprecipitation", "shortname":"IP"}, "WB" : {"fullname" : "Western blot", "shortname":"WB"}, "ICCIF" : {"fullname" : "Immunocytochemistry/ Immunofluorescence", "shortname":"ICC/IF"}, "FlowCytIntra" : {"fullname" : "Flow Cytometry (Intracellular)", "shortname":"Flow Cyt (Intra)"} }, "product-promise": { "all": "all", "testedAndGuaranteed": "tested", "guaranteed": "expected", "predicted": "predicted", "notRecommended": "not-recommended" } }, "values": { "Human": { "IHCP-species-checked": "testedAndGuaranteed", "IHCP-species-dilution-info": "", "IHCP-species-notes": "<p>Antigen retrieval: Universal HIER antigen retrieval reagent (<a href='/en-us/products/ihc-kits/universal-hier-antigen-retrieval-reagent-10x-ab208572'>ab208572</a>).</p>", "IP-species-checked": "testedAndGuaranteed", "IP-species-dilution-info": "", "IP-species-notes": "<p></p>", "WB-species-checked": "testedAndGuaranteed", "WB-species-dilution-info": "1/1000", "WB-species-notes": "<p><a href='/en-us/products/primary-antibodies/pd-l1-antibody-73-10-ab228415'>ab228415</a> works better than this product in western blot testing.</p>", "ICCIF-species-checked": "testedAndGuaranteed", "ICCIF-species-dilution-info": "", "ICCIF-species-notes": "<p></p>", "FlowCytIntra-species-checked": "guaranteed", "FlowCytIntra-species-dilution-info": "", "FlowCytIntra-species-notes": "" }, "Transfected cell line - Human": { "IHCP-species-checked": "notRecommended", "IHCP-species-dilution-info": "", "IHCP-species-notes": "", "IP-species-checked": "notRecommended", "IP-species-dilution-info": "", "IP-species-notes": "", "WB-species-checked": "notRecommended", "WB-species-dilution-info": "", "WB-species-notes": "", "ICCIF-species-checked": "testedAndGuaranteed", "ICCIF-species-dilution-info": "", "ICCIF-species-notes": "<p></p>", "FlowCytIntra-species-checked": "testedAndGuaranteed", "FlowCytIntra-species-dilution-info": "", "FlowCytIntra-species-notes": "<p></p>" }, "Transfected cell lysate": { "IHCP-species-checked": "notRecommended", "IHCP-species-dilution-info": "", "IHCP-species-notes": "", "IP-species-checked": "notRecommended", "IP-species-dilution-info": "", "IP-species-notes": "", "WB-species-checked": "testedAndGuaranteed", "WB-species-dilution-info": "", "WB-species-notes": "<p><a href='/en-us/products/primary-antibodies/pd-l1-antibody-73-10-ab228415'>ab228415</a> works better than this product in western blot testing.</p>", "ICCIF-species-checked": "notRecommended", "ICCIF-species-dilution-info": "", "ICCIF-species-notes": "", "FlowCytIntra-species-checked": "notRecommended", "FlowCytIntra-species-dilution-info": "", "FlowCytIntra-species-notes": "" } } }

Product details

ab246695 is the carrier-free version of ab213524.

Patented technology
Our RabMAb® technology is a patented hybridoma-based technology for making rabbit monoclonal antibodies. For details on our patents, please refer to RabMAb® patents.

What are the advantages of a recombinant monoclonal antibody?
This product is a recombinant monoclonal antibody, which offers several advantages including:

  • - High batch-to-batch consistency and reproducibility
  • - Improved sensitivity and specificity
  • - Long-term security of supply
  • - Animal-free batch production

For more information, read more on recombinant antibodies.

Conjugation ready
Our carrier-free antibodies are typically supplied in a PBS-only formulation, purified and free of BSA, sodium azide and glycerol. This conjugation-ready format is designed for use with fluorochromes, metal isotopes, oligonucleotides, and enzymes, which makes them ideal for antibody labelling, functional and cell-based assays, flow-based assays (e.g. mass cytometry) and Multiplex Imaging applications.

Use our conjugation kits for antibody conjugates that are ready-to-use in as little as 20 minutes with 1 minute hands-on-time and 100% antibody recovery: available for fluorescent dyes, HRP, biotin and gold.

Compatibility
This product is compatible with the Maxpar® Antibody Labeling Kit from Fluidigm, without the need for antibody preparation. Maxpar® is a trademark of Fluidigm Canada Inc.

What does low endotoxin mean?
Our low endotoxin, azide-free formats have low endotoxin level (1 EU/mg, determined by the TAL assay) and are free from azide, to achieve consistent experimental results in functional assays.

Properties and storage information

Form
Liquid
Purification technique
Affinity purification Protein A
Purification notes
Endotoxin level is less than 1 EU/ml as determined by the TAL test.
Storage buffer
pH: 7.2 - 7.4 Constituents: PBS
Shipped at conditions
Blue Ice
Appropriate short-term storage conditions
+4°C
Appropriate long-term storage conditions
+4°C
Storage information
Do Not Freeze

Supplementary information

This supplementary information is collated from multiple sources and compiled automatically.

PD-L1 also known as Programmed Death-Ligand 1 or CD274 is a protein involved in immune modulation. Mechanically PD-L1 interacts with its receptors particularly PD-1 to regulate cellular immune responses. This transmembrane protein has a calculated molecular weight of approximately 33 kDa. PD-L1 is expressed on various cell types including tumor cells and immune cells such as dendritic cells macrophages and B cells. Its expression is often upregulated in response to inflammatory cytokines.
Biological function summary

PD-L1 plays a central role in immune evasion mechanisms utilized by tumors. It is not part of a larger protein complex but directly interacts with PD-1 and CD80. When PD-L1 binds to PD-1 it sends inhibitory signals leading to decreased T cell activation and proliferation allowing cancer cells to avoid immune destruction. PD-L1 expression provides a mechanism for tumors to suppress immune surveillance facilitating tumor progression.

Pathways

PD-L1 is integral to the immune checkpoint pathway which is an important regulator of immune response. The interaction between PD-L1 and PD-1 provides a mechanism for immune tolerance which is part of the broader adaptive immune system pathway. PD-L1 is related to other immune checkpoint proteins such as CTLA-4 in its function to limit autoreactivity and promote immune homeostasis.

PD-L1 is most associated with cancer particularly in tumors such as melanoma and non-small cell lung cancer. PD-L1 expression on tumor cells often correlates with poor prognosis. PD-L1 directly interacts with PD-1 in these cancers a target for immunotherapies such as checkpoint inhibitors which aim to block this interaction and restore immune activity against tumors. PD-L1 involvement extends to autoimmune disorders where altered expression can impact tolerance and lead to immune-related tissue damage.

Product protocols

For this product, it's our understanding that no specific protocols are required. You can visit:

Target data

Plays a critical role in induction and maintenance of immune tolerance to self (PubMed : 11015443, PubMed : 28813410, PubMed : 28813417, PubMed : 31399419). As a ligand for the inhibitory receptor PDCD1/PD-1, modulates the activation threshold of T-cells and limits T-cell effector response (PubMed : 11015443, PubMed : 28813410, PubMed : 28813417, PubMed : 36727298). Through a yet unknown activating receptor, may costimulate T-cell subsets that predominantly produce interleukin-10 (IL10) (PubMed : 10581077). Can also act as a transcription coactivator : in response to hypoxia, translocates into the nucleus via its interaction with phosphorylated STAT3 and promotes transcription of GSDMC, leading to pyroptosis (PubMed : 32929201).. The PDCD1-mediated inhibitory pathway is exploited by tumors to attenuate anti-tumor immunity and escape destruction by the immune system, thereby facilitating tumor survival (PubMed : 28813410, PubMed : 28813417). The interaction with PDCD1/PD-1 inhibits cytotoxic T lymphocytes (CTLs) effector function (By similarity). The blockage of the PDCD1-mediated pathway results in the reversal of the exhausted T-cell phenotype and the normalization of the anti-tumor response, providing a rationale for cancer immunotherapy (By similarity).
See full target information CD274

Product promise

We are committed to supporting your work with high-quality reagents, and we're here for you every step of the way. In the unlikely event that one of our products does not perform as expected, you're protected by our Product Promise.
For full details, please see our Terms & Conditions

Please note: All products are 'FOR RESEARCH USE ONLY. NOT FOR USE IN DIAGNOSTIC OR THERAPEUTIC PROCEDURES'.

For licensing inquiries, please contact partnerships@abcam.com