JavaScript is disabled in your browser. Please enable JavaScript to view this website.
AB228463

Anti-PD-L1 antibody [SP142] - C-terminal, prediluted

Be the first to review this product! Submit a review

|

(21 Publications)

Rabbit Recombinant Monoclonal PD-L1 antibody. C-terminal. Suitable for IHC-P and reacts with Human samples. Cited in 21 publications.

View Alternative Names

CD274, B7H1, PDCD1L1, PDCD1LG1, PDL1, Programmed cell death 1 ligand 1, PD-L1, PDCD1 ligand 1, Programmed death ligand 1, hPD-L1, B7 homolog 1, B7-H1

10 Images
Immunohistochemistry (Formalin/PFA-fixed paraffin-embedded sections) - Anti-PD-L1 antibody [SP142] - C-terminal, prediluted (AB228463)
  • IHC-P

Supplier Data

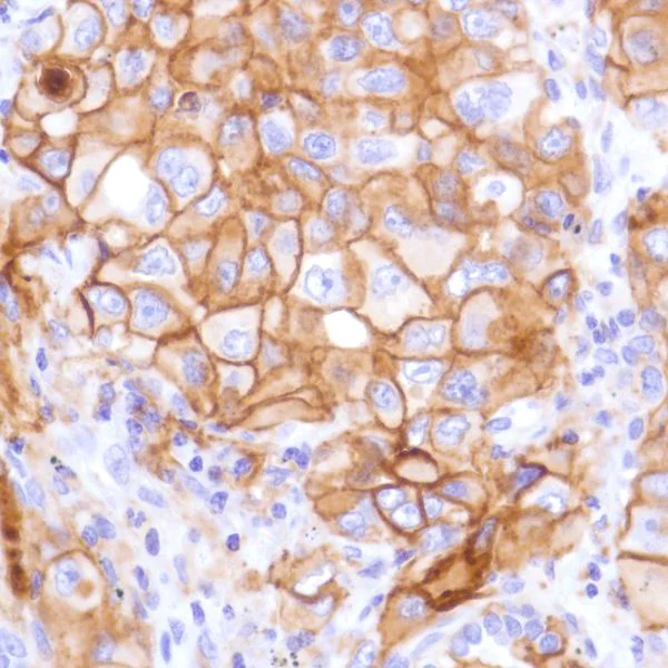
Immunohistochemistry (Formalin/PFA-fixed paraffin-embedded sections) - Anti-PD-L1 antibody [SP142] - C-terminal, prediluted (AB228463)

Formalin-fixed, paraffin-embedded human skin squamous cell carcinoma tissue stained for PD-L1 using ab228463 in immunohistochemical analysis.

Immunohistochemistry (Formalin/PFA-fixed paraffin-embedded sections) - Anti-PD-L1 antibody [SP142] - C-terminal, prediluted (AB228463)
  • IHC-P

Lab

Immunohistochemistry (Formalin/PFA-fixed paraffin-embedded sections) - Anti-PD-L1 antibody [SP142] - C-terminal, prediluted (AB228463)

IHC image of ab228462 staining PD-L1 in PD-L1 Dynamic Range Analyte Control formalin fixed paraffin embedded cell lines (HistoCyte Laboratories), performed on a Leica BOND RX (standard Protocol F, Polymer Refine kit). The section was pre-treated using heat mediated antigen retrieval with EDTA buffer (pH9, epitope retrieval solution 2) for 30 mins at 98°C. The section was then incubated with ab228462, 1/400 working dilution, for 15 mins at room temperature and detected using an HRP conjugated compact polymer system for 8 minutes at room temperature. DAB was used as the chromogen for 10 minutes at room temperature. The section was then counterstained with hematoxylin, blued, dehydrated, cleared and mounted with DPX.

For other IHC staining systems (automated and non-automated) customers should optimize variable parameters such as antigen retrieval conditions, primary antibody concentration and antibody incubation times.

Immunohistochemistry (Formalin/PFA-fixed paraffin-embedded sections) - Anti-PD-L1 antibody [SP142] - C-terminal, prediluted (AB228463)
  • IHC-P

Supplier Data

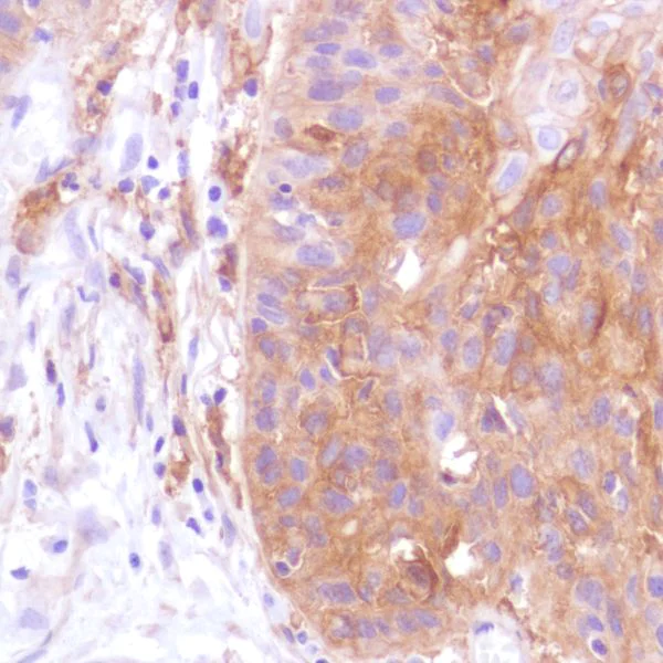
Immunohistochemistry (Formalin/PFA-fixed paraffin-embedded sections) - Anti-PD-L1 antibody [SP142] - C-terminal, prediluted (AB228463)

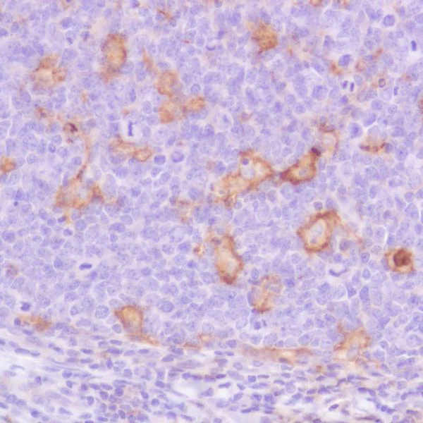
Formalin-fixed, paraffin-embedded human Hodgkin's lymphoma tissue stained for PD-L1 using ab228463 in immunohistochemical analysis.

Immunohistochemistry (Formalin/PFA-fixed paraffin-embedded sections) - Anti-PD-L1 antibody [SP142] - C-terminal, prediluted (AB228463)
  • IHC-P

Supplier Data

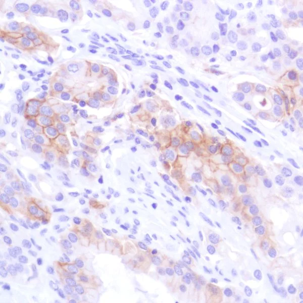
Immunohistochemistry (Formalin/PFA-fixed paraffin-embedded sections) - Anti-PD-L1 antibody [SP142] - C-terminal, prediluted (AB228463)

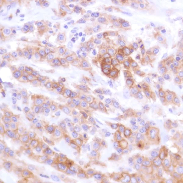
Formalin-fixed, paraffin-embedded human lung squamous cell carcinoma tissue stained for PD-L1 using ab228463 in immunohistochemical analysis.

Immunohistochemistry (Formalin/PFA-fixed paraffin-embedded sections) - Anti-PD-L1 antibody [SP142] - C-terminal, prediluted (AB228463)
  • IHC-P

Supplier Data

Immunohistochemistry (Formalin/PFA-fixed paraffin-embedded sections) - Anti-PD-L1 antibody [SP142] - C-terminal, prediluted (AB228463)

Formalin-fixed paraffin-embedded human pancreatic adenocarcinoma tissue stained for PD-L1 using ab228462 at 1/100 dilution in immunohistochemical analysis.

Perform heat mediated antigen retrieval with Tris/EDTA buffer pH 9.0 before commencing with IHC staining protocol.

Immunohistochemistry (Formalin/PFA-fixed paraffin-embedded sections) - Anti-PD-L1 antibody [SP142] - C-terminal, prediluted (AB228463)
  • IHC-P

Supplier Data

Immunohistochemistry (Formalin/PFA-fixed paraffin-embedded sections) - Anti-PD-L1 antibody [SP142] - C-terminal, prediluted (AB228463)

Formalin-fixed paraffin-embedded human prostate adenocarcinoma tissue stained for PD-L1 using ab228462 at 1/100 dilution in immunohistochemical analysis.

Perform heat mediated antigen retrieval with Tris/EDTA buffer pH 9.0 before commencing with IHC staining protocol.

Immunohistochemistry (Formalin/PFA-fixed paraffin-embedded sections) - Anti-PD-L1 antibody [SP142] - C-terminal, prediluted (AB228463)
  • IHC-P

Supplier Data

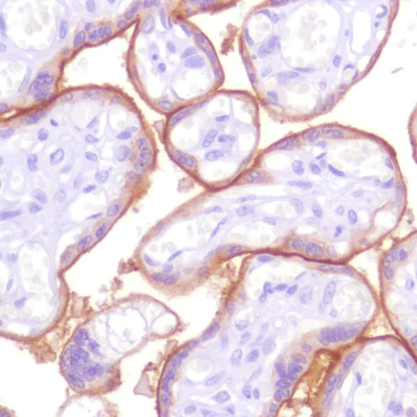
Immunohistochemistry (Formalin/PFA-fixed paraffin-embedded sections) - Anti-PD-L1 antibody [SP142] - C-terminal, prediluted (AB228463)

Formalin-fixed paraffin-embedded human placenta tissue stained for PD-L1 using ab228462 at 1/100 dilution in immunohistochemical analysis.

Perform heat mediated antigen retrieval with Tris/EDTA buffer pH 9.0 before commencing with IHC staining protocol.

This data was developed using the same antibody clone in a different buffer formulation containing PBS, BSA, glycerol, and sodium azide (ab228462).

Immunohistochemistry (Formalin/PFA-fixed paraffin-embedded sections) - Anti-PD-L1 antibody [SP142] - C-terminal, prediluted (AB228463)
  • IHC-P

Supplier Data

Immunohistochemistry (Formalin/PFA-fixed paraffin-embedded sections) - Anti-PD-L1 antibody [SP142] - C-terminal, prediluted (AB228463)

Formalin-fixed paraffin-embedded human tonsil tissue stained for PD-L1 using ab228462 at 1/100 dilution in immunohistochemical analysis.

Perform heat mediated antigen retrieval with Tris/EDTA buffer pH 9.0 before commencing with IHC staining protocol.

Immunohistochemistry (Formalin/PFA-fixed paraffin-embedded sections) - Anti-PD-L1 antibody [SP142] - C-terminal, prediluted (AB228463)
  • IHC-P

Supplier Data

Immunohistochemistry (Formalin/PFA-fixed paraffin-embedded sections) - Anti-PD-L1 antibody [SP142] - C-terminal, prediluted (AB228463)

Formalin-fixed, paraffin-embedded human cervical squamous cell carcinoma tissue stained for PD-L1 using ab228463 in immunohistochemical analysis.

Immunohistochemistry (Formalin/PFA-fixed paraffin-embedded sections) - Anti-PD-L1 antibody [SP142] - C-terminal, prediluted (AB228463)
  • IHC-P

Lab

Immunohistochemistry (Formalin/PFA-fixed paraffin-embedded sections) - Anti-PD-L1 antibody [SP142] - C-terminal, prediluted (AB228463)

IHC image of ab228462 staining PD-L1 in human tonsil formalin fixed paraffin embedded tissue sections*, performed on a Leica BOND RX (standard Protocol F, Polymer Refine kit). The section was pre-treated using heat mediated antigen retrieval with EDTA buffer (pH9, epitope retrieval solution 2) for 30 mins at 98°C. The section was then incubated with ab228462, 1/400 working dilution, for 15 mins at room temperature and detected using an HRP conjugated compact polymer system for 8 minutes at room temperature. DAB was used as the chromogen for 10 minutes at room temperature. The section was then counterstained with hematoxylin, blued, dehydrated, cleared and mounted with DPX.

Key facts

Host species

Rabbit

Clonality

Monoclonal

Clone number

SP142

Isotype

IgG

Carrier free

No

Reacts with

Human

Applications

IHC-P

applications

Immunogen

The exact immunogen used to generate this antibody is proprietary information.

Reactivity data

{ "title": "Reactivity Data", "filters": { "stats": ["", "Species", "Dilution Info", "Notes"], "tabs": { "all-applications": {"fullname" : "All Applications", "shortname": "All Applications"}, "IHCP" : {"fullname" : "Immunohistochemistry (Formalin/PFA-fixed paraffin-embedded sections)", "shortname":"IHC-P"} }, "product-promise": { "all": "all", "testedAndGuaranteed": "tested", "guaranteed": "expected", "predicted": "predicted", "notRecommended": "not-recommended" } }, "values": { "Human": { "IHCP-species-checked": "testedAndGuaranteed", "IHCP-species-dilution-info": "1/1", "IHCP-species-notes": "<p>Ready to use.</p><p>Boil tissue section in EDTA buffer, pH 8.0 for 10 minutes followed by cooling at room temperature for 20 minutes.</p><p>Primary antibody incubation for 10 minutes at room temperature.</p>" } } }

Properties and storage information

Form
Liquid
Purification technique
Affinity purification Protein A/G
Purification notes
Purified from TCS by protein A/G.
Storage buffer
pH: 7.6 Preservative: 0.1% Sodium azide Constituents: Tris buffered saline, 1% BSA
Shipped at conditions
Blue Ice
Appropriate short-term storage conditions
+4°C
Appropriate long-term storage conditions
+4°C
Storage information
Do Not Freeze

Supplementary information

This supplementary information is collated from multiple sources and compiled automatically.

PD-L1 also known as Programmed Death-Ligand 1 or CD274 is a protein involved in immune modulation. Mechanically PD-L1 interacts with its receptors particularly PD-1 to regulate cellular immune responses. This transmembrane protein has a calculated molecular weight of approximately 33 kDa. PD-L1 is expressed on various cell types including tumor cells and immune cells such as dendritic cells macrophages and B cells. Its expression is often upregulated in response to inflammatory cytokines.
Biological function summary

PD-L1 plays a central role in immune evasion mechanisms utilized by tumors. It is not part of a larger protein complex but directly interacts with PD-1 and CD80. When PD-L1 binds to PD-1 it sends inhibitory signals leading to decreased T cell activation and proliferation allowing cancer cells to avoid immune destruction. PD-L1 expression provides a mechanism for tumors to suppress immune surveillance facilitating tumor progression.

Pathways

PD-L1 is integral to the immune checkpoint pathway which is an important regulator of immune response. The interaction between PD-L1 and PD-1 provides a mechanism for immune tolerance which is part of the broader adaptive immune system pathway. PD-L1 is related to other immune checkpoint proteins such as CTLA-4 in its function to limit autoreactivity and promote immune homeostasis.

PD-L1 is most associated with cancer particularly in tumors such as melanoma and non-small cell lung cancer. PD-L1 expression on tumor cells often correlates with poor prognosis. PD-L1 directly interacts with PD-1 in these cancers a target for immunotherapies such as checkpoint inhibitors which aim to block this interaction and restore immune activity against tumors. PD-L1 involvement extends to autoimmune disorders where altered expression can impact tolerance and lead to immune-related tissue damage.

Product protocols

For this product, it's our understanding that no specific protocols are required. You can visit:

Target data

Plays a critical role in induction and maintenance of immune tolerance to self (PubMed : 11015443, PubMed : 28813410, PubMed : 28813417, PubMed : 31399419). As a ligand for the inhibitory receptor PDCD1/PD-1, modulates the activation threshold of T-cells and limits T-cell effector response (PubMed : 11015443, PubMed : 28813410, PubMed : 28813417, PubMed : 36727298). Through a yet unknown activating receptor, may costimulate T-cell subsets that predominantly produce interleukin-10 (IL10) (PubMed : 10581077). Can also act as a transcription coactivator : in response to hypoxia, translocates into the nucleus via its interaction with phosphorylated STAT3 and promotes transcription of GSDMC, leading to pyroptosis (PubMed : 32929201).. The PDCD1-mediated inhibitory pathway is exploited by tumors to attenuate anti-tumor immunity and escape destruction by the immune system, thereby facilitating tumor survival (PubMed : 28813410, PubMed : 28813417). The interaction with PDCD1/PD-1 inhibits cytotoxic T lymphocytes (CTLs) effector function (By similarity). The blockage of the PDCD1-mediated pathway results in the reversal of the exhausted T-cell phenotype and the normalization of the anti-tumor response, providing a rationale for cancer immunotherapy (By similarity).
See full target information CD274

Publications (21)

Recent publications for all applications. Explore the full list and refine your search

Nature medicine 24:724-730 PubMed29867227

2018

Immune recognition of somatic mutations leading to complete durable regression in metastatic breast cancer.

Applications

Unspecified application

Species

Unspecified reactive species

Nikolaos Zacharakis,Harshini Chinnasamy,Mary Black,Hui Xu,Yong-Chen Lu,Zhili Zheng,Anna Pasetto,Michelle Langhan,Thomas Shelton,Todd Prickett,Jared Gartner,Li Jia,Katarzyna Trebska-McGowan,Robert P Somerville,Paul F Robbins,Steven A Rosenberg,Stephanie L Goff,Steven A Feldman

Molecular oncology 11:1495-1507 PubMed28627792

2017

β-Catenin in desmoid-type fibromatosis: deep insights into the role of T41A and S45F mutations on protein structure and gene expression.

Applications

Unspecified application

Species

Unspecified reactive species

Chiara Colombo,Antonino Belfiore,Nicholas Paielli,Loris De Cecco,Silvana Canevari,Erik Laurini,Maurizio Fermeglia,Sabrina Pricl,Paolo Verderio,Stefano Bottelli,Marco Fiore,Silvia Stacchiotti,Elena Palassini,Alessandro Gronchi,Silvana Pilotti,Federica Perrone

Human pathology 71:20-29 PubMed28782638

2017

Prognostic value of programmed death ligand 1, p53, and Ki-67 in patients with advanced-stage colorectal cancer.

Applications

Unspecified application

Species

Unspecified reactive species

Lisha Wang,Zebing Liu,Kurt W Fisher,Fei Ren,Jiaojie Lv,Darrell D Davidson,Lee A Baldridge,Xiang Du,Liang Cheng

Modern pathology : an official journal of the Unit 30:1551-1560 PubMed28731046

2017

PD-L1 expression and the immune microenvironment in primary invasive lobular carcinomas of the breast.

Applications

Unspecified application

Species

Unspecified reactive species

Elizabeth D Thompson,Janis M Taube,Rebecca J Asch-Kendrick,Aleksandra Ogurtsova,Haiying Xu,Rajni Sharma,Alan Meeker,Pedram Argani,Leisha A Emens,Ashley Cimino-Mathews

Applied immunohistochemistry & molecular morphology : AIMM 26:83-93 PubMed28719380

2017

Comparison of Different Antibody Clones for Immunohistochemistry Detection of Programmed Cell Death Ligand 1 (PD-L1) on Non-Small Cell Lung Carcinoma.

Applications

Unspecified application

Species

Unspecified reactive species

Edwin R Parra,Pamela Villalobos,Barbara Mino,Jaime Rodriguez-Canales

Cancer management and research 9:249-258 PubMed28721097

2017

Tumor cell PD-L1 predicts poor local control for rectal cancer patients following neoadjuvant radiotherapy.

Applications

Unspecified application

Species

Unspecified reactive species

Lingdong Shao,Qingqin Peng,Kaixin Du,Junyan He,Yaping Dong,Xiaoyi Lin,Jinluan Li,Junxin Wu

Diagnostic pathology 12:45 PubMed28623908

2017

Programmed death-ligand 1 (PD-L1) is expressed in a significant number of the uterine cervical carcinomas.

Applications

Unspecified application

Species

Unspecified reactive species

Opal L Reddy,Peter I Shintaku,Neda A Moatamed

Cancer medicine 6:1614-1626 PubMed28602029

2017

The prognostic impact of programmed cell death ligand 1 and human leukocyte antigen class I in pancreatic cancer.

Applications

Unspecified application

Species

Unspecified reactive species

Daisuke Imai,Tomoharu Yoshizumi,Shinji Okano,Hideaki Uchiyama,Toru Ikegami,Norifumi Harimoto,Shinji Itoh,Yuji Soejima,Shinichi Aishima,Yoshinao Oda,Yoshihiko Maehara

British journal of cancer 117:203-209 PubMed28595259

2017

Molecular profiling of signet ring cell colorectal cancer provides a strong rationale for genomic targeted and immune checkpoint inhibitor therapies.

Applications

Unspecified application

Species

Unspecified reactive species

Muhammad A Alvi,Maurice B Loughrey,Philip Dunne,Stephen McQuaid,Richard Turkington,Marc-Aurel Fuchs,Claire McGready,Victoria Bingham,Brendan Pang,Wendy Moore,Perry Maxwell,Mark Lawler,Jacqueline A James,Graeme I Murray,Richard H Wilson,Manuel Salto-Tellez

Oncology letters 14:958-964 PubMed28693258

2017

MLH1 expression predicts the response to preoperative therapy and is associated with PD-L1 expression in esophageal cancer.

Applications

Unspecified application

Species

Unspecified reactive species

Kota Momose,Makoto Yamasaki,Koji Tanaka,Yasuhiro Miyazaki,Tomoki Makino,Tsuyoshi Takahashi,Yukinori Kurokawa,Kiyokazu Nakajima,Shuji Takiguchi,Masaki Mori,Yuichiro Doki
View all publications

Product promise

We are committed to supporting your work with high-quality reagents, and we're here for you every step of the way. In the unlikely event that one of our products does not perform as expected, you're protected by our Product Promise.
For full details, please see our Terms & Conditions

Please note: All products are 'FOR RESEARCH USE ONLY. NOT FOR USE IN DIAGNOSTIC OR THERAPEUTIC PROCEDURES'.

For licensing inquiries, please contact partnerships@abcam.com