JavaScript is disabled in your browser. Please enable JavaScript to view this website.
AB244332

Anti-PD-L2 antibody

Be the first to review this product! Submit a review

|

(3 Publications)

Rabbit Polyclonal PD-L2 antibody. Suitable for IHC-P, ICC/IF and reacts with Human samples. Cited in 3 publications. Immunogen corresponding to Recombinant Fragment Protein within Human PDCD1LG2 aa 100-250.

View Alternative Names

CD273, B7DC, PDCD1L2, PDL2, PDCD1LG2, Programmed cell death 1 ligand 2, PD-1 ligand 2, PD-L2, PDCD1 ligand 2, Programmed death ligand 2, Butyrophilin B7-DC, B7-DC

5 Images
Immunohistochemistry (Formalin/PFA-fixed paraffin-embedded sections) - Anti-PD-L2 antibody (AB244332)
  • IHC-P

Unknown

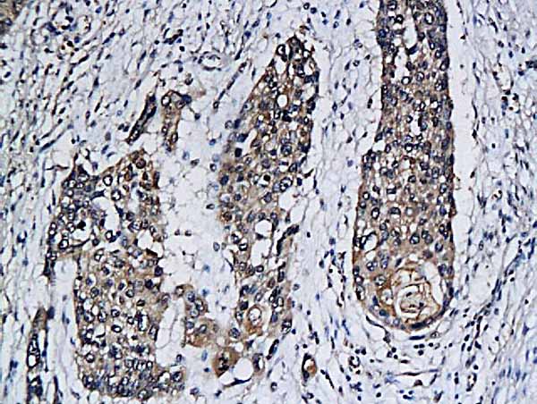
Immunohistochemistry (Formalin/PFA-fixed paraffin-embedded sections) - Anti-PD-L2 antibody (AB244332)

Formalin-fixed, paraffin-embedded human fallopian tube tissue stained for PD-L2 with ab244332 at a 1/200 dilution in immunohistochemical analysis.

Immunohistochemistry (Formalin/PFA-fixed paraffin-embedded sections) - Anti-PD-L2 antibody (AB244332)
  • IHC-P

Supplier Data

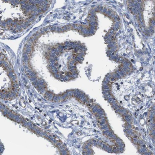
Immunohistochemistry (Formalin/PFA-fixed paraffin-embedded sections) - Anti-PD-L2 antibody (AB244332)

Formalin-fixed, paraffin-embedded human colon tissue stained for PD-L2 with ab244332 at a 1/200 dilution in immunohistochemical analysis.

Immunocytochemistry/ Immunofluorescence - Anti-PD-L2 antibody (AB244332)
  • ICC/IF

Unknown

Immunocytochemistry/ Immunofluorescence - Anti-PD-L2 antibody (AB244332)

PFA fixed, Triton X-100 permeabilized U-2 OS (Human bone osteosarcoma epithelial cell line) cells labeling PD-L2 using ab244332 at 4 μg/ml (green) in ICC/IF.

Immunohistochemistry (Formalin/PFA-fixed paraffin-embedded sections) - Anti-PD-L2 antibody (AB244332)
  • IHC-P

Unknown

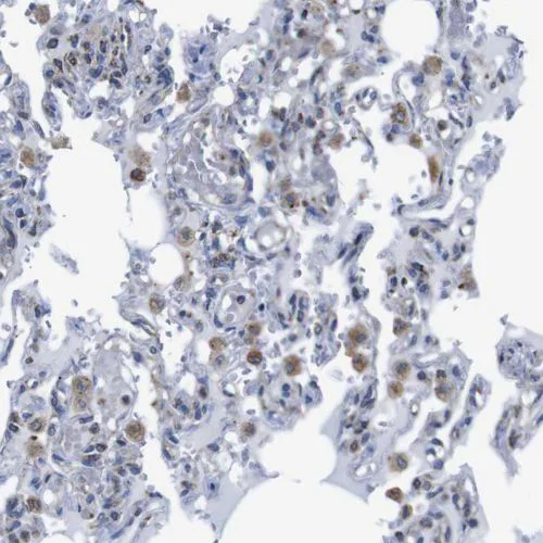
Immunohistochemistry (Formalin/PFA-fixed paraffin-embedded sections) - Anti-PD-L2 antibody (AB244332)

Formalin-fixed, paraffin-embedded human lung tissue stained for PD-L2 with ab244332 at a 1/50 dilution in immunohistochemical analysis.

Immunohistochemistry (Formalin/PFA-fixed paraffin-embedded sections) - Anti-PD-L2 antibody (AB244332)
  • IHC-P

Unknown

Immunohistochemistry (Formalin/PFA-fixed paraffin-embedded sections) - Anti-PD-L2 antibody (AB244332)

Formalin-fixed, paraffin-embedded human tonsil tissue stained for PD-L2 with ab244332 at a 1/50 dilution in immunohistochemical analysis.

Key facts

Host species

Rabbit

Clonality

Polyclonal

Isotype

IgG

Carrier free

No

Reacts with

Human

Applications

IHC-P, ICC/IF

applications

Immunogen

Recombinant Fragment Protein within Human PDCD1LG2 aa 100-250. The exact immunogen used to generate this antibody is proprietary information.

Q9BQ51

Reactivity data

{ "title": "Reactivity Data", "filters": { "stats": ["", "Species", "Dilution Info", "Notes"], "tabs": { "all-applications": {"fullname" : "All Applications", "shortname": "All Applications"}, "IHCP" : {"fullname" : "Immunohistochemistry (Formalin/PFA-fixed paraffin-embedded sections)", "shortname":"IHC-P"}, "ICCIF" : {"fullname" : "Immunocytochemistry/ Immunofluorescence", "shortname":"ICC/IF"} }, "product-promise": { "all": "all", "testedAndGuaranteed": "tested", "guaranteed": "expected", "predicted": "predicted", "notRecommended": "not-recommended" } }, "values": { "Human": { "IHCP-species-checked": "testedAndGuaranteed", "IHCP-species-dilution-info": "1/200 - 1/500", "IHCP-species-notes": "<p></p> Perform heat-mediated antigen retrieval with citrate buffer pH 6 before commencing with IHC staining protocol.", "ICCIF-species-checked": "testedAndGuaranteed", "ICCIF-species-dilution-info": "0.25-2 µg/mL", "ICCIF-species-notes": "<p>Fixation/Permeabilization: PFA/Triton X-100.</p>" } } }

Properties and storage information

Form
Liquid
Purification technique
Affinity purification Immunogen
Storage buffer
pH: 7.2 Preservative: 0.02% Sodium azide Constituents: PBS, 40% Glycerol (glycerin, glycerine)
Shipped at conditions
Blue Ice
Appropriate short-term storage duration
1-2 weeks
Appropriate short-term storage conditions
+4°C
Appropriate long-term storage conditions
-20°C
Aliquoting information
Upon delivery aliquot
Storage information
Avoid freeze / thaw cycle

Supplementary information

This supplementary information is collated from multiple sources and compiled automatically.

PD-L2 also known as PDCD1LG2 or B7-DC is a member of the B7 protein family that plays a role in immune system regulation. This protein has a molecular mass of approximately 25 kDa. PD-L2 is expressed in antigen-presenting cells such as dendritic cells and macrophages. Expression is also located in some subsets of T cells and B cells. The PD-L2 can act as a second ligand for the PD-1 receptor which is important in immune checkpoints.
Biological function summary

PD-L2 offers protection to tissues from autoimmunity by regulating T-cell activation and fostering tolerance. By engaging with its receptor PD-1 PD-L2 forms a complex that modulates the immune response to prevent overactivation. This interaction limits the immune system's potential damage to healthy tissues maintaining proper immune function in diverse environments.

Pathways

PD-L2 participates in the immune checkpoint pathways where it works closely with PD-1 to mediate immune responses. PD-L2 forms an important part of the program death-1 (PD-1) pathway which plays a prominent role in downregulating T-cell activity. It relates to proteins such as PD-L1 which also interacts with PD-1 modulating immune tolerance and response to infections or tumors.

PD-L2 involvement has been significant in cancer immunology and autoimmune conditions. Its interaction with PD-1 relates to the suppression of immune responses in tumors contributing to cancer progression. PD-L2's function as an immune checkpoint ligand associates with autoimmune diseases like rheumatoid arthritis where immune regulation goes awry. Both PD-1 and PD-L2 represent potential targets for therapeutic interventions due to their roles in these conditions.

Product protocols

For this product, it's our understanding that no specific protocols are required. You can visit:

Target data

Involved in the costimulatory signal, essential for T-cell proliferation and IFNG production in a PDCD1-independent manner. Interaction with PDCD1 inhibits T-cell proliferation by blocking cell cycle progression and cytokine production (By similarity).
See full target information PDCD1LG2

Publications (3)

Recent publications for all applications. Explore the full list and refine your search

Journal for immunotherapy of cancer 12: PubMed38589248

2024

PD-1 downregulation enhances CAR-T cell antitumor efficiency by preserving a cell memory phenotype and reducing exhaustion.

Applications

Unspecified application

Species

Unspecified reactive species

Wanyan Ouyang,Shi-Wei Jin,Nan Xu,Wei-Yang Liu,Han Zhao,Liuqingqing Zhang,Liqing Kang,Yi Tao,Yuanfang Liu,Yan Wang,Jin Wang,Feng Liu,Lei Yu,Zhiqiang Liu,Jian-Qing Mi

Scientific reports 13:22634 PubMed38114557

2023

Linking tumor immune infiltrate and systemic immune mediators to treatment response and prognosis in advanced cervical cancer.

Applications

Unspecified application

Species

Unspecified reactive species

Patrícia Rocha Martins,Kátia Luciano Pereira Morais,Nayane Alves de Lima Galdino,Adriana Jacauna,Sálua O C Paula,Wagner C S Magalhães,Luciana W Zuccherato,Larissa S Campos,Paulo Guilherme O Salles,Kenneth J Gollob

Reproductive biology and endocrinology : RB&E 19:114 PubMed34289871

2021

Mifepristone inhibited the expression of B7-H2, B7-H3, B7-H4 and PD-L2 in adenomyosis.

Applications

Unspecified application

Species

Unspecified reactive species

Xiaoyan Qin,Wenjing Sun,Chong Wang,Mingjiang Li,Xingbo Zhao,Changzhong Li,Hui Zhang
View all publications

Product promise

We are committed to supporting your work with high-quality reagents, and we're here for you every step of the way. In the unlikely event that one of our products does not perform as expected, you're protected by our Product Promise.
For full details, please see our Terms & Conditions

Please note: All products are 'FOR RESEARCH USE ONLY. NOT FOR USE IN DIAGNOSTIC OR THERAPEUTIC PROCEDURES'.

For licensing inquiries, please contact partnerships@abcam.com