JavaScript is disabled in your browser. Please enable JavaScript to view this website.
AB283336

Anti-PD-L2 antibody [CAL28] - Mouse IgG1 (Chimeric) - BSA and Azide free

Be the first to review this product! Submit a review

|

(0 Publication)

Mouse Recombinant Monoclonal PD-L2 antibody. Carrier free. Suitable for IP, WB and reacts with Human samples.

View Alternative Names

CD273, B7DC, PDCD1L2, PDL2, PDCD1LG2, Programmed cell death 1 ligand 2, PD-1 ligand 2, PD-L2, PDCD1 ligand 2, Programmed death ligand 2, Butyrophilin B7-DC, B7-DC

2 Images
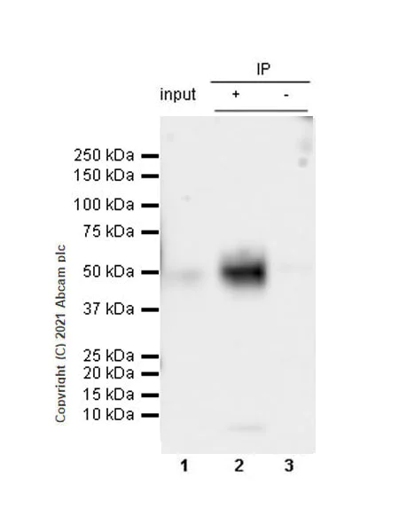
Immunoprecipitation - Anti-PD-L2 antibody [CAL28] - Mouse IgG1 (Chimeric) - BSA and Azide free (AB283336)
  • IP

Supplier Data

Immunoprecipitation - Anti-PD-L2 antibody [CAL28] - Mouse IgG1 (Chimeric) - BSA and Azide free (AB283336)

This data was developed using ab283344 the same antibody clone in a different buffer formulation.

PD-L2 was immunoprecipitated from 0.35 mg HDLM-2 whole cell lysate 10 ug with ab283344 at 1/30 dilution (2ug in 0.35mg lysates). Western blot was performed on the immunoprecipitate using ab283344 at 1/1000 dilution. mouse IgG for IP (HRP) (ab131368) was used at 1/10000 dilution.

Lane 1 : HDLM-2 (human Hodgkin lymphoma) whole cell lysate 10 μg

Lane 2 : ab283344 IP in HDLM-2 whole cell lysate

Lane 3 : Mouse monoclonal IgG (ab18443) instead of ab283347 in THDLM-2 whole cell lysate

Blocking and dilution buffer and concentration : 5% NFDM/TBST.

Exposure time : 41 seconds

All lanes:

Immunoprecipitation - Anti-PD-L2 antibody [CAL28] - Mouse IgG1 (Chimeric) (<a href='/en-us/products/primary-antibodies/pd-l2-antibody-cal28-mouse-igg1-chimeric-ab283344'>ab283344</a>)

Predicted band size: 31 kDa

false

Western blot - Anti-PD-L2 antibody [CAL28] - Mouse IgG1 (Chimeric) - BSA and Azide free (AB283336)
  • WB

Supplier Data

Western blot - Anti-PD-L2 antibody [CAL28] - Mouse IgG1 (Chimeric) - BSA and Azide free (AB283336)

This data was developed using ab283344 the same antibody clone in a different buffer formulation.

Blocking and diluting buffer : 5% NFDM/TBST

Exposure time : 26 seconds

Negative control : Jurkat. (PMID : 27631416).

All lanes:

Western blot - Anti-PD-L2 antibody [CAL28] - Mouse IgG1 (Chimeric) (<a href='/en-us/products/primary-antibodies/pd-l2-antibody-cal28-mouse-igg1-chimeric-ab283344'>ab283344</a>) at 1/1000 dilution

Lane 1:

HDLM-2 (human Hodgkin lymphoma) whole cell lysate at 20 µg

Lane 2:

Jurkat (human T cell leukemia cell line from peripheral blood) whole cell lysate at 20 µg

Secondary

All lanes:

Peroxidase-Conjugated Goat anti-Mouse IgG (H+L) at 1/5000 dilution

Predicted band size: 31 kDa

Observed band size: 45-60 kDa

false

Key facts

Host species

Mouse

Clonality

Monoclonal

Clone number

CAL28

Isotype

IgG1

Carrier free

Yes

Reacts with

Human

Applications

WB, IP

applications

Reactivity data

{ "title": "Reactivity Data", "filters": { "stats": ["", "Species", "Dilution Info", "Notes"], "tabs": { "all-applications": {"fullname" : "All Applications", "shortname": "All Applications"}, "IP" : {"fullname" : "Immunoprecipitation", "shortname":"IP"}, "WB" : {"fullname" : "Western blot", "shortname":"WB"}, "FlowCytIntra" : {"fullname" : "Flow Cytometry (Intracellular)", "shortname":"Flow Cyt (Intra)"} }, "product-promise": { "all": "all", "testedAndGuaranteed": "tested", "guaranteed": "expected", "predicted": "predicted", "notRecommended": "not-recommended" } }, "values": { "Human": { "IP-species-checked": "testedAndGuaranteed", "IP-species-dilution-info": "", "IP-species-notes": "<p></p>", "WB-species-checked": "testedAndGuaranteed", "WB-species-dilution-info": "", "WB-species-notes": "<p></p>", "FlowCytIntra-species-checked": "notRecommended", "FlowCytIntra-species-dilution-info": "", "FlowCytIntra-species-notes": "<p></p>" } } }

Product details

ab283336 is the carrier-free version of ab283344.

This mouse monoclonal chimeric antibody has been engineered from a RabMAb parent antibody (ab256386). By necessity, some rabbit sequence is retained as part of the variable domain. When multiplexing with other rabbit-derived antibodies, using cross absorbed Fc-reactive secondary antibodies are recommended.

What are the advantages of a recombinant monoclonal antibody?
This product is a recombinant monoclonal antibody, which offers several advantages including:

  • - High batch-to-batch consistency and reproducibility
  • - Improved sensitivity and specificity
  • - Long-term security of supply
  • - Animal-free batch production

For more information, read more on recombinant antibodies.

Conjugation ready
Our carrier-free antibodies are typically supplied in a PBS-only formulation, purified and free of BSA, sodium azide and glycerol. This conjugation-ready format is designed for use with fluorochromes, metal isotopes, oligonucleotides, and enzymes, which makes them ideal for antibody labelling, functional and cell-based assays, flow-based assays (e.g. mass cytometry) and Multiplex Imaging applications.

Use our conjugation kits for antibody conjugates that are ready-to-use in as little as 20 minutes with 1 minute hands-on-time and 100% antibody recovery: available for fluorescent dyes, HRP, biotin and gold.

Compatibility
This product is compatible with the Maxpar® Antibody Labeling Kit from Fluidigm, without the need for antibody preparation. Maxpar® is a trademark of Fluidigm Canada Inc.

Properties and storage information

Form
Liquid
Purification technique
Affinity purification Protein A
Storage buffer
pH: 7.2 - 7.4 Constituents: PBS
Shipped at conditions
Blue Ice
Appropriate short-term storage conditions
+4°C
Appropriate long-term storage conditions
+4°C
Storage information
Do Not Freeze

Supplementary information

This supplementary information is collated from multiple sources and compiled automatically.

PD-L2 also known as PDCD1LG2 or B7-DC is a member of the B7 protein family that plays a role in immune system regulation. This protein has a molecular mass of approximately 25 kDa. PD-L2 is expressed in antigen-presenting cells such as dendritic cells and macrophages. Expression is also located in some subsets of T cells and B cells. The PD-L2 can act as a second ligand for the PD-1 receptor which is important in immune checkpoints.
Biological function summary

PD-L2 offers protection to tissues from autoimmunity by regulating T-cell activation and fostering tolerance. By engaging with its receptor PD-1 PD-L2 forms a complex that modulates the immune response to prevent overactivation. This interaction limits the immune system's potential damage to healthy tissues maintaining proper immune function in diverse environments.

Pathways

PD-L2 participates in the immune checkpoint pathways where it works closely with PD-1 to mediate immune responses. PD-L2 forms an important part of the program death-1 (PD-1) pathway which plays a prominent role in downregulating T-cell activity. It relates to proteins such as PD-L1 which also interacts with PD-1 modulating immune tolerance and response to infections or tumors.

PD-L2 involvement has been significant in cancer immunology and autoimmune conditions. Its interaction with PD-1 relates to the suppression of immune responses in tumors contributing to cancer progression. PD-L2's function as an immune checkpoint ligand associates with autoimmune diseases like rheumatoid arthritis where immune regulation goes awry. Both PD-1 and PD-L2 represent potential targets for therapeutic interventions due to their roles in these conditions.

Product protocols

For this product, it's our understanding that no specific protocols are required. You can visit:

Target data

Involved in the costimulatory signal, essential for T-cell proliferation and IFNG production in a PDCD1-independent manner. Interaction with PDCD1 inhibits T-cell proliferation by blocking cell cycle progression and cytokine production (By similarity).
See full target information PDCD1LG2

Product promise

We are committed to supporting your work with high-quality reagents, and we're here for you every step of the way. In the unlikely event that one of our products does not perform as expected, you're protected by our Product Promise.
For full details, please see our Terms & Conditions

Please note: All products are 'FOR RESEARCH USE ONLY. NOT FOR USE IN DIAGNOSTIC OR THERAPEUTIC PROCEDURES'.

For licensing inquiries, please contact partnerships@abcam.com