JavaScript is disabled in your browser. Please enable JavaScript to view this website.
AB288308

Anti-PD-L2 antibody [EPR25200-50] - BSA and Azide free

Be the first to review this product! Submit a review

|

(0 Publication)

Rabbit Recombinant Monoclonal PD-L2 antibody. Carrier free. Suitable for IP, WB, IHC-P and reacts with Human samples.

View Alternative Names

CD273, B7DC, PDCD1L2, PDL2, PDCD1LG2, Programmed cell death 1 ligand 2, PD-1 ligand 2, PD-L2, PDCD1 ligand 2, Programmed death ligand 2, Butyrophilin B7-DC, B7-DC

6 Images
Immunohistochemistry (Formalin/PFA-fixed paraffin-embedded sections) - Anti-PD-L2 antibody [EPR25200-50] - BSA and Azide free (AB288308)
  • IHC-P

Supplier Data

Immunohistochemistry (Formalin/PFA-fixed paraffin-embedded sections) - Anti-PD-L2 antibody [EPR25200-50] - BSA and Azide free (AB288308)

This data was developed using ab288298, the same antibody clone in a different buffer formulation.

Immunohistochemical analysis of paraffin-embedded Human endometrial cancer tissue labelling PD-L2 with ab288298 at 1/1000 (0.546 ug/ml) followed by a ready to use LeicaDS9800 (Bond™, Polymer Refine Detection) was used. Positive staining on human endometrial cancer (PMID : 27446374). The section was incubated with ab288298 for 30 mins at room temperature. The immunostaining was performed on a Leica Biosystems BOND® RX instrument. Counterstained with Hematoxylin.

Secondary antibody only control : Secondary antibody is a ready to use LeicaDS9800 (Bond™, Polymer Refine Detection) was used.

Heat mediated antigen retrieval with Citrate buffer (pH 6.0, epitope retrieval solution 1) for 20 mins

Immunohistochemistry (Formalin/PFA-fixed paraffin-embedded sections) - Anti-PD-L2 antibody [EPR25200-50] - BSA and Azide free (AB288308)
  • IHC-P

Supplier Data

Immunohistochemistry (Formalin/PFA-fixed paraffin-embedded sections) - Anti-PD-L2 antibody [EPR25200-50] - BSA and Azide free (AB288308)

This data was developed using ab288298, the same antibody clone in a different buffer formulation.

Immunohistochemical analysis of paraffin-embedded Panel A HDLM-2 Panel B Jurkat labelling PD-L2 with ab288298 at 1/1000 (0.546 ug/ml) followed by a ready to use LeicaDS9800 (Bond™, Polymer Refine Detection) was used. Positive cell line HDLM-2 (Panel A) was positive and negative cell line Jurkat (Panel B) was negative.The section was incubated with ab288298 for 30 mins at room temperature.The immunostaining was performed on a Leica Biosystems BOND® RX instrument Counterstained with Hematoxylin.

Secondary antibody only control : Secondary antibody is a ready to use LeicaDS9800 (Bond™, Polymer Refine Detection).

Heat mediated antigen retrieval with Citrate buffer (pH 6.0, epitope retrieval solution 1) for 20 mins

Immunohistochemistry (Formalin/PFA-fixed paraffin-embedded sections) - Anti-PD-L2 antibody [EPR25200-50] - BSA and Azide free (AB288308)
  • IHC-P

Supplier Data

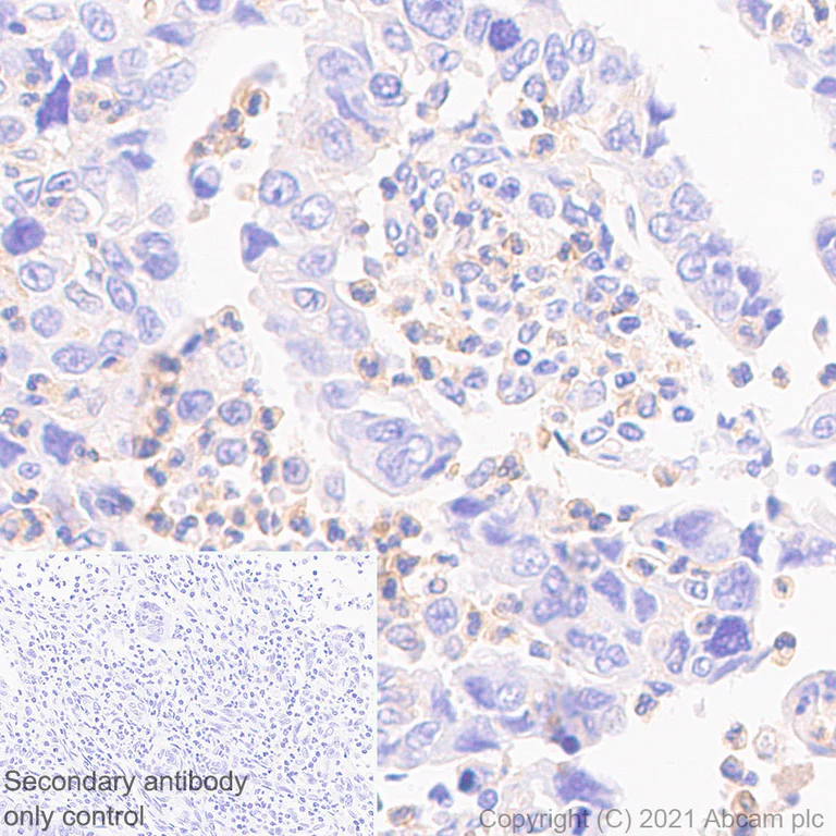
Immunohistochemistry (Formalin/PFA-fixed paraffin-embedded sections) - Anti-PD-L2 antibody [EPR25200-50] - BSA and Azide free (AB288308)

This data was developed using ab288298, the same antibody clone in a different buffer formulation.

Immunohistochemical analysis of paraffin-embedded Human breast cancer tissue labelling PD-L2 with ab288298 at 1/1000 (0.546 ug/ml) followed by a ready to use LeicaDS9800 (Bond™, Polymer Refine Detection) was used. Positive staining on human breast cancer. The section was incubated with ab288298 for 30 mins at room temperature. The immunostaining was performed on a Leica Biosystems BOND® RX instrument. Counterstained with Hematoxylin.

Secondary antibody only control : Secondary antibody is a ready to use LeicaDS9800 (Bond™, Polymer Refine Detection).

Heat mediated antigen retrieval with Citrate buffer (pH 6.0, epitope retrieval solution 1) for 20 mins

Immunohistochemistry (Formalin/PFA-fixed paraffin-embedded sections) - Anti-PD-L2 antibody [EPR25200-50] - BSA and Azide free (AB288308)
  • IHC-P

Supplier Data

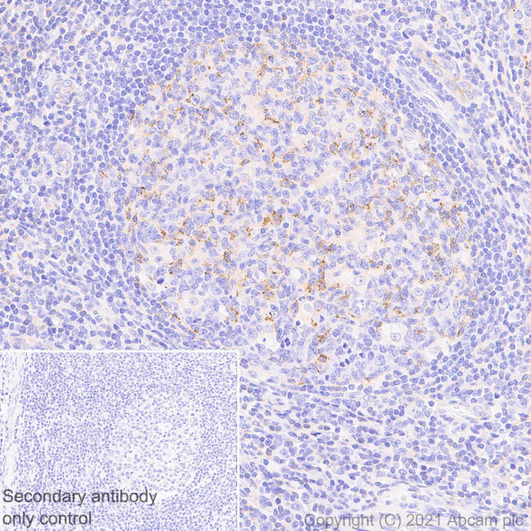
Immunohistochemistry (Formalin/PFA-fixed paraffin-embedded sections) - Anti-PD-L2 antibody [EPR25200-50] - BSA and Azide free (AB288308)

This data was developed using ab288298, the same antibody clone in a different buffer formulation.

Immunohistochemical analysis of paraffin-embedded Human tonsil tissue labelling PD-L2 with ab288298 at 1/1000 (0.546 ug/ml) followed by a ready to use LeicaDS9800 (Bond™, Polymer Refine Detection) was used. Positive staining is found in the germinal centre of human tonsil. The section was incubated with ab288298 for 30 mins at room temperature. The immunostaining was performed on a Leica Biosystems BOND® RX instrument. Counterstained with Hematoxylin.

Secondary antibody only control : Secondary antibody is a ready to use LeicaDS9800 (Bond™, Polymer Refine Detection).

Heat mediated antigen retrieval with Citrate buffer (pH 6.0, epitope retrieval solution 1) for 20 mins

Immunoprecipitation - Anti-PD-L2 antibody [EPR25200-50] - BSA and Azide free (AB288308)
  • IP

Supplier Data

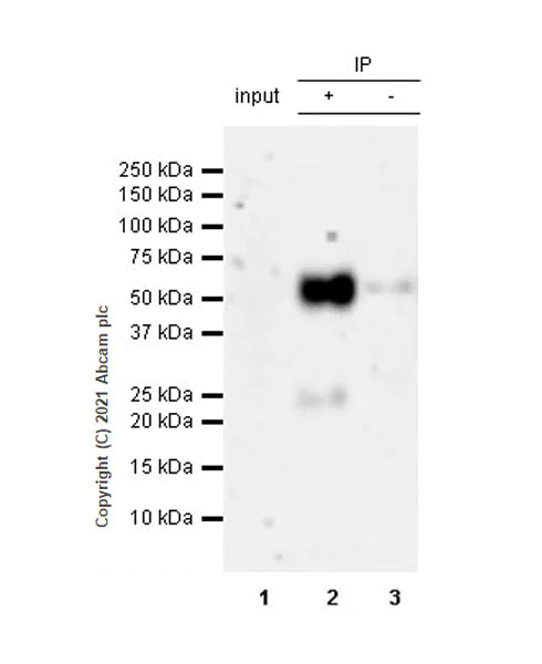
Immunoprecipitation - Anti-PD-L2 antibody [EPR25200-50] - BSA and Azide free (AB288308)

This data was developed using ab288298, the same antibody clone in a different buffer formulation.

PD-L2 was immunoprecipitated from 0.35 mg HDLM-2 (human Hodgkin lymphoma) whole cell lysate with ab288298 at 1/30 dilution (2ug in 0.35mg lysates). Western blot was performed on the immunoprecipitate using ab288298 at 1/1000 dilution. VeriBlot for IP secondary antibody(HRP)(ab131366) was used at 1/5000 dilution.

Lane 1 : HDLM-2 (human Hodgkin lymphoma) whole cell lysate 10 ug

Lane 2 : ab288298 IP in HDLM-2 whole cell lysate

Lane 3 : Rabbit monoclonal IgG (ab172730) instead of ab288298 in HDLM-2 whole cell lysate

Blocking and dilution buffer and concentration : 5% NFDM/TBST.

Exposure time : 92 seconds

All lanes:

Immunoprecipitation - Anti-PD-L2 antibody [EPR25200-50] (<a href='/en-us/products/primary-antibodies/pd-l2-antibody-epr25200-50-ab288298'>ab288298</a>)

Predicted band size: 31 kDa

Observed band size: 45-60 kDa

false

Western blot - Anti-PD-L2 antibody [EPR25200-50] - BSA and Azide free (AB288308)
  • WB

Lab

Western blot - Anti-PD-L2 antibody [EPR25200-50] - BSA and Azide free (AB288308)

This data was developed using ab288298, the same antibody clone in a different buffer formulation.

Blocking and diluting buffer and concentration : 5% NFDM/TBST

Negative control : Jurkat (PMID : 27631416).

This blot was developed using a high sensitivity ECL substrate. The high-sensitivity ECL substrate used allows for the detection of proteins in the mid-femtogram range.

All lanes:

Western blot - Anti-PD-L2 antibody [EPR25200-50] (<a href='/en-us/products/primary-antibodies/pd-l2-antibody-epr25200-50-ab288298'>ab288298</a>) at 1/1000 dilution

Lane 1:

HDLM-2 (human Hodgkin lymphoma) whole cell lysate at 20 µg

Lane 2:

Jurkat (human T cell leukemia T lymphocyte) whole cell lysate at 20 µg

Secondary

All lanes:

Goat Anti-Rabbit IgG, (H+L), Peroxidase conjugated (<a href='/en-us/products/secondary-antibodies/goat-rabbit-igg-h-l-hrp-ab97051'>ab97051</a>) at 1/100000 dilution

Predicted band size: 31 kDa

Observed band size: 45-60 kDa

false

Exposure time: 125s

Key facts

Host species

Rabbit

Clonality

Monoclonal

Clone number

EPR25200-50

Isotype

IgG

Carrier free

Yes

Reacts with

Human

Applications

WB, IHC-P, IP

applications

Immunogen

The exact immunogen used to generate this antibody is proprietary information.

Reactivity data

{ "title": "Reactivity Data", "filters": { "stats": ["", "Species", "Dilution Info", "Notes"], "tabs": { "all-applications": {"fullname" : "All Applications", "shortname": "All Applications"}, "ICCIF" : {"fullname" : "Immunocytochemistry/ Immunofluorescence", "shortname":"ICC/IF"}, "IP" : {"fullname" : "Immunoprecipitation", "shortname":"IP"}, "FlowCyt" : {"fullname" : "Flow Cytometry", "shortname":"Flow Cyt"}, "WB" : {"fullname" : "Western blot", "shortname":"WB"}, "IHCP" : {"fullname" : "Immunohistochemistry (Formalin/PFA-fixed paraffin-embedded sections)", "shortname":"IHC-P"} }, "product-promise": { "all": "all", "testedAndGuaranteed": "tested", "guaranteed": "expected", "predicted": "predicted", "notRecommended": "not-recommended" } }, "values": { "Human": { "ICCIF-species-checked": "notRecommended", "ICCIF-species-dilution-info": "", "ICCIF-species-notes": "<p></p>", "IP-species-checked": "testedAndGuaranteed", "IP-species-dilution-info": "", "IP-species-notes": "<p></p>", "FlowCyt-species-checked": "notRecommended", "FlowCyt-species-dilution-info": "", "FlowCyt-species-notes": "<p></p>", "WB-species-checked": "testedAndGuaranteed", "WB-species-dilution-info": "", "WB-species-notes": "<p></p>", "IHCP-species-checked": "testedAndGuaranteed", "IHCP-species-dilution-info": "", "IHCP-species-notes": "<p></p>" }, "Mouse": { "ICCIF-species-checked": "notRecommended", "ICCIF-species-dilution-info": "", "ICCIF-species-notes": "<p></p>", "IP-species-checked": "notRecommended", "IP-species-dilution-info": "", "IP-species-notes": "", "FlowCyt-species-checked": "notRecommended", "FlowCyt-species-dilution-info": "", "FlowCyt-species-notes": "<p></p>", "WB-species-checked": "notRecommended", "WB-species-dilution-info": "", "WB-species-notes": "<p></p>", "IHCP-species-checked": "notRecommended", "IHCP-species-dilution-info": "", "IHCP-species-notes": "<p></p>" }, "Rat": { "ICCIF-species-checked": "notRecommended", "ICCIF-species-dilution-info": "", "ICCIF-species-notes": "", "IP-species-checked": "notRecommended", "IP-species-dilution-info": "", "IP-species-notes": "", "FlowCyt-species-checked": "notRecommended", "FlowCyt-species-dilution-info": "", "FlowCyt-species-notes": "", "WB-species-checked": "notRecommended", "WB-species-dilution-info": "", "WB-species-notes": "<p></p>", "IHCP-species-checked": "notRecommended", "IHCP-species-dilution-info": "", "IHCP-species-notes": "<p></p>" } } }

Product details

ab288308 is the carrier-free version of ab288298.

Patented technology
Our RabMAb® technology is a patented hybridoma-based technology for making rabbit monoclonal antibodies. For details on our patents, please refer to RabMAb® patents.

What are the advantages of a recombinant monoclonal antibody?
This product is a recombinant monoclonal antibody, which offers several advantages including:

  • - High batch-to-batch consistency and reproducibility
  • - Improved sensitivity and specificity
  • - Long-term security of supply
  • - Animal-free batch production

For more information, read more on recombinant antibodies.

Conjugation ready
Our carrier-free antibodies are typically supplied in a PBS-only formulation, purified and free of BSA, sodium azide and glycerol. This conjugation-ready format is designed for use with fluorochromes, metal isotopes, oligonucleotides, and enzymes, which makes them ideal for antibody labelling, functional and cell-based assays, flow-based assays (e.g. mass cytometry) and Multiplex Imaging applications.

Use our conjugation kits for antibody conjugates that are ready-to-use in as little as 20 minutes with 1 minute hands-on-time and 100% antibody recovery: available for fluorescent dyes, HRP, biotin and gold.

Compatibility
This product is compatible with the Maxpar® Antibody Labeling Kit from Fluidigm, without the need for antibody preparation. Maxpar® is a trademark of Fluidigm Canada Inc.

Properties and storage information

Form
Liquid
Purification technique
Affinity purification Protein A
Storage buffer
pH: 7.4 Constituents: PBS
Shipped at conditions
Blue Ice
Appropriate short-term storage conditions
+4°C
Appropriate long-term storage conditions
+4°C

Supplementary information

This supplementary information is collated from multiple sources and compiled automatically.

PD-L2 also known as PDCD1LG2 or B7-DC is a member of the B7 protein family that plays a role in immune system regulation. This protein has a molecular mass of approximately 25 kDa. PD-L2 is expressed in antigen-presenting cells such as dendritic cells and macrophages. Expression is also located in some subsets of T cells and B cells. The PD-L2 can act as a second ligand for the PD-1 receptor which is important in immune checkpoints.
Biological function summary

PD-L2 offers protection to tissues from autoimmunity by regulating T-cell activation and fostering tolerance. By engaging with its receptor PD-1 PD-L2 forms a complex that modulates the immune response to prevent overactivation. This interaction limits the immune system's potential damage to healthy tissues maintaining proper immune function in diverse environments.

Pathways

PD-L2 participates in the immune checkpoint pathways where it works closely with PD-1 to mediate immune responses. PD-L2 forms an important part of the program death-1 (PD-1) pathway which plays a prominent role in downregulating T-cell activity. It relates to proteins such as PD-L1 which also interacts with PD-1 modulating immune tolerance and response to infections or tumors.

PD-L2 involvement has been significant in cancer immunology and autoimmune conditions. Its interaction with PD-1 relates to the suppression of immune responses in tumors contributing to cancer progression. PD-L2's function as an immune checkpoint ligand associates with autoimmune diseases like rheumatoid arthritis where immune regulation goes awry. Both PD-1 and PD-L2 represent potential targets for therapeutic interventions due to their roles in these conditions.

Product protocols

For this product, it's our understanding that no specific protocols are required. You can visit:

Target data

Involved in the costimulatory signal, essential for T-cell proliferation and IFNG production in a PDCD1-independent manner. Interaction with PDCD1 inhibits T-cell proliferation by blocking cell cycle progression and cytokine production (By similarity).
See full target information PDCD1LG2

Product promise

We are committed to supporting your work with high-quality reagents, and we're here for you every step of the way. In the unlikely event that one of our products does not perform as expected, you're protected by our Product Promise.
For full details, please see our Terms & Conditions

Please note: All products are 'FOR RESEARCH USE ONLY. NOT FOR USE IN DIAGNOSTIC OR THERAPEUTIC PROCEDURES'.

For licensing inquiries, please contact partnerships@abcam.com