JavaScript is disabled in your browser. Please enable JavaScript to view this website.
AB237728

Anti-PD1 antibody [CAL20]

  • BOND RX™ Validated
  • 20ul selling size
  • RabMAb
  • Advanced Validation
  • Recombinant
  • What is this?

5

(1 Review)

|

(29 Publications)

Anti-PD1 antibody [CAL20] (ab237728) is a rabbit monoclonal antibody detecting PD1 in Western Blot, IHC-P, ICC/IF, mIHC. Suitable for Human, Rhesus monkey.

- Multiplex IHC validated on the Leica BOND® MAX using Opal reagents
- Biophysical QC for unrivalled batch-batch consistency

View Alternative Names

CD279, PD1, PDCD1, Programmed cell death protein 1, Protein PD-1, hPD-1

16 Images
Multiplex immunohistochemistry - Anti-PD1 antibody [CAL20] (AB237728)
  • mIHC

Lab

Multiplex immunohistochemistry - Anti-PD1 antibody [CAL20] (AB237728)

Multiplex immunohistochemistry analysis of formalin/PFA-fixed paraffin-embedded Human tonsil tissue staining PD-L1 with ab205921 at a 1 : 500 (2.19 ug/ml) dilution; PD1 with ab237728 at 1 : 2000 (0.525 ug/ml) dilution and CD68 with ab213363 at 1 : 500 (1.26 ug/ml) dilution followed by a ready to use secondary antibody Opal Polymer HRP Ms + Rb.

Panel A : merged staining of anti-CD68 (magenta; Opal690), anti-PD-L1 (green; Opal520) and anti-PD1 (red; Opal570) on human tonsil.
Panel B : anti-PD-L1 stained on cells involved in T cell inhibition.
Panel C : anti-PD1 stained on antigen-stimulated T cells.
Panel D : anti-CD68 stained on macrophages.

The section was incubated in three rounds of staining : in the order of ab213363 and ab205921 for 30 mins, then ab237728 for 10 mins at room temperature. Each round was followed by a separate fluorescent tyramide signal amplification system.

The immunostaining was performed on a Leica Biosystems BOND® RX instrument with an Opal 4-color kit. Image acquisition was performed with Leica SP8 confocal microscope.

Heat mediated antigen retrieval with Tris-EDTA buffer (pH 9.0, epitope retrieval solution2) for 20 mins

Immunocytochemistry/ Immunofluorescence - Anti-PD1 antibody [CAL20] (AB237728)
  • ICC/IF

Supplier Data

Immunocytochemistry/ Immunofluorescence - Anti-PD1 antibody [CAL20] (AB237728)

Immunofluorescent analysis of 4% paraformaldehyde-fixed, 0.1% Triton X-100 permeabilized MOLT-4 (human lymphoblastic leukemia cell line) cells labeling PD1 with ab237728 at 1/50 dilution, followed by Goat Anti-Rabbit IgG H&L (Alexa Fluor® 488) (ab150077) secondary antibody at 1/1000 dilution (green). Confocal image showing membranous staining in MOLT-4 cells treated with PMA (10ng/ml 24h) and Ionomycin(500ng/ml 24h). The nuclear counter stain is DAPI (blue). Tubulin is detected with Anti-alpha Tubulin antibody [DM1A] - Microtubule Marker (Alexa Fluor® 594) (ab195889) at 1/200 dilution (red).

Secondary antibody only control : Used PBS instead of primary antibody, followed by Goat Anti-Rabbit IgG H&L (Alexa Fluor® 488) (ab150077) secondary antibody at 1/1000 dilution.

Cells were either untreated, ot treated with treated with PMA (10ng/ml 24h) and Ionomycin (500ng/ml 24h).

Immunohistochemistry (Formalin/PFA-fixed paraffin-embedded sections) - Anti-PD1 antibody [CAL20] (AB237728)
  • IHC-P

Supplier Data

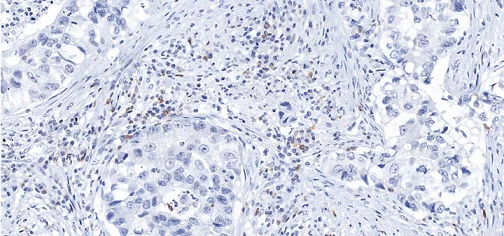
Immunohistochemistry (Formalin/PFA-fixed paraffin-embedded sections) - Anti-PD1 antibody [CAL20] (AB237728)

Formalin-fixed, paraffin-embedded human lung carcinoma tissue stained for PD1 using ab237728 at 0.125 μg/ml dilution in immunohistochemical analysis.

Immunohistochemistry (Formalin/PFA-fixed paraffin-embedded sections) - Anti-PD1 antibody [CAL20] (AB237728)
  • IHC-P

Supplier Data

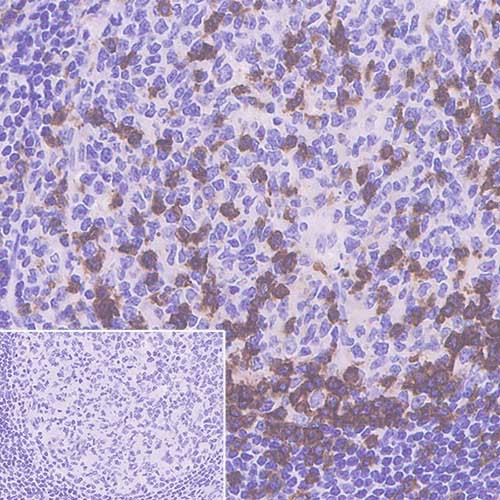
Immunohistochemistry (Formalin/PFA-fixed paraffin-embedded sections) - Anti-PD1 antibody [CAL20] (AB237728)

Formalin-fixed, paraffin-embedded human lymph node tissue stained for PD1 using ab237728 at 0.125 μg/ml dilution in immunohistochemical analysis.

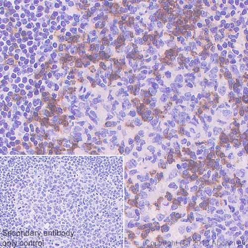
Immunohistochemistry (Formalin/PFA-fixed paraffin-embedded sections) - Anti-PD1 antibody [CAL20] (AB237728)
  • IHC-P

Supplier Data

Immunohistochemistry (Formalin/PFA-fixed paraffin-embedded sections) - Anti-PD1 antibody [CAL20] (AB237728)

Immunohistochemical analysis of paraffin-embeded human tonsil tissue labeling PD1 with ab237728 at 1/500 dilution, followed by Goat Anti-Rabbit IgG H&L (HRP) ready to use. Positive staining on the human tonsil.is observed. Counter stained with hematoxylin.

Secondary antibody only control : Used PBS instead of primary antibody, secondary antibody is Goat Anti-Rabbit IgG H&L (HRP) ready to use.

Heat mediated antigen retrieval with Tris-EDTA buffer (pH 9.0) for 30 mins.

The section was incubated with ab237728 for 15 mins at room temperature.

The immunostaining was performed on a Leica Biosystems BOND® RX instrument.

Multiplex immunohistochemistry - Anti-PD1 antibody [CAL20] (AB237728)
  • mIHC

Collaborator

Multiplex immunohistochemistry - Anti-PD1 antibody [CAL20] (AB237728)

Fluorescence multiplex immunohistochemical analysis of Human breast cancer tissue (formalin-fixed paraffin-embedded section).

Merged staining of Anti-PD-L1 (ab251611; cyan; Opal™ 520), Anti-Granzyme B (ab219803; yellow; Opal™ 540), Anti-PD1 (ab251613; magenta; Opal™ 570), Anti-pan Cytokeratin (ab264485; red; Opal™ 620), Anti-EpCAM (ab225894; red; Opal™ 620), Anti-CD8 alpha (ab251596; green; Opal™ 650) and Anti-FOXP3 (ab96048; orange; Opal™ 690). EpCAM and pan-cytokeratin share the same dye and color. Dyes are pseudo-colored for better contrast of the markers.

The immunostaining was performed on a Leica Biosystems BOND® MAX instrument with an Opal™ 6-Plex Detection Kit (NEL821001KT, Akoya Biosciences®).

The section was incubated in six rounds of staining; sequentially for ab251611 (1/750 dilution), ab219803 (1/250 dilution), ab251613 (1/750 dilution), ab264485 (0.5 μg/ml), ab225894 (1/1250 dilution), ab251596 (1/1500 dilution) and ab96048 (10 μg/ml); each using a separate fluorescent tyramide signal amplification system. EDTA based antigen retrieval (Leica Biosystems BOND® Epitope Retrieval Solution 2, pH 9.0, 20 minutes) was used in between rounds of tyramide signal amplification to remove the antibody from the previous round, to avoid any cross-reactivity. DAPI (dark blue) was used as a nuclear counter stain.
Microscopy and pseudocoloring of individual Opal™ dyes was performed using a Vectra 3 Imaging System (Akoya Biosciences®).

This data is courtesy of ImmunoAtlas and it can be found here.

This image is courtesy of ImmunoAtlas.

Multiplex immunohistochemistry - Anti-PD1 antibody [CAL20] (AB237728)
  • mIHC

Collaborator

Multiplex immunohistochemistry - Anti-PD1 antibody [CAL20] (AB237728)

Fluorescence multiplex immunohistochemical analysis of Human breast cancer tissue (formalin-fixed paraffin-embedded section).

Merged staining of Anti-PD-L1 (ab251611; cyan; Opal™ 520), Anti-Granzyme B (ab219803; yellow; Opal™ 540), Anti-PD1 (ab251613; magenta; Opal™ 570), Anti-pan Cytokeratin (ab264485; red; Opal™ 620), Anti-EpCAM (ab225894; red; Opal™ 620), Anti-CD8 alpha (ab251596; green; Opal™ 650) and Anti-FOXP3 (ab96048; orange; Opal™ 690). EpCAM and pan-cytokeratin share the same dye and color. Dyes are pseudo-colored for better contrast of the markers.

The immunostaining was performed on a Leica Biosystems BOND® MAX instrument with an Opal™ 6-Plex Detection Kit (NEL821001KT, Akoya Biosciences®).

The section was incubated in six rounds of staining; sequentially for ab251611 (1/750 dilution), ab219803 (1/250 dilution), ab251613 (1/750 dilution), ab264485 (0.5 μg/ml), ab225894 (1/1250 dilution), ab251596 (1/1500 dilution) and ab96048 (10 μg/ml); each using a separate fluorescent tyramide signal amplification system. EDTA based antigen retrieval (Leica Biosystems BOND® Epitope Retrieval Solution 2, pH 9.0, 20 minutes) was used in between rounds of tyramide signal amplification to remove the antibody from the previous round, to avoid any cross-reactivity. DAPI (dark blue) was used as a nuclear counter stain.
Microscopy and pseudocoloring of individual Opal™ dyes was performed using a Vectra 3 Imaging System (Akoya Biosciences®).

This data is courtesy of ImmunoAtlas and it can be found here.

This image is courtesy of ImmunoAtlas.

Multiplex immunohistochemistry - Anti-PD1 antibody [CAL20] (AB237728)
  • mIHC

Collaborator

Multiplex immunohistochemistry - Anti-PD1 antibody [CAL20] (AB237728)

Fluorescence multiplex immunohistochemical analysis of Human breast cancer tissue (formalin-fixed paraffin-embedded section).

Merged staining of Anti-PD-L1 (ab251611; cyan; Opal™ 520), Anti-Granzyme B (ab219803; yellow; Opal™ 540), Anti-PD1 (ab251613; magenta; Opal™ 570), Anti-pan Cytokeratin (ab264485; red; Opal™ 620), Anti-EpCAM (ab225894; red; Opal™ 620), Anti-CD8 alpha (ab251596; green; Opal™ 650) and Anti-FOXP3 (ab96048; orange; Opal™ 690). EpCAM and pan-cytokeratin share the same dye and color. Dyes are pseudo-colored for better contrast of the markers.

The immunostaining was performed on a Leica Biosystems BOND® MAX instrument with an Opal™ 6-Plex Detection Kit (NEL821001KT, Akoya Biosciences®).

The section was incubated in six rounds of staining; sequentially for ab251611 (1/750 dilution), ab219803 (1/250 dilution), ab251613 (1/750 dilution), ab264485 (0.5 μg/ml), ab225894 (1/1250 dilution), ab251596 (1/1500 dilution) and ab96048 (10 μg/ml); each using a separate fluorescent tyramide signal amplification system. EDTA based antigen retrieval (Leica Biosystems BOND® Epitope Retrieval Solution 2, pH 9.0, 20 minutes) was used in between rounds of tyramide signal amplification to remove the antibody from the previous round, to avoid any cross-reactivity. DAPI (dark blue) was used as a nuclear counter stain.
Microscopy and pseudocoloring of individual Opal™ dyes was performed using a Vectra 3 Imaging System (Akoya Biosciences®).

This data is courtesy of ImmunoAtlas and it can be found here.

This image is courtesy of ImmunoAtlas.

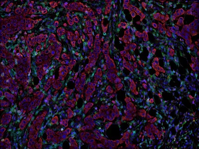
Multiplex immunohistochemistry - Anti-PD1 antibody [CAL20] (AB237728)
  • mIHC

Supplier Data

Multiplex immunohistochemistry - Anti-PD1 antibody [CAL20] (AB237728)

Fluorescence multiplex immunohistochemical analysis of normal human tonsil tissue (formalin-fixed paraffin-embedded section).

Merged staining of anti-PD1 (ab237728; orange; Opal™520) anti-PDL1 (ab237726; green; Opal™540) anti-CD68 (ab192847; yellow; Opal™570) anti-CD3 epsilon (ab16669; red; Opal™620) anti-Ki67 (ab16667; light blue; Opal™650) and anti-PanCK (ab7753; grey; Opal™690).

The immunostaining was performed on a Leica Biosystems BOND® RX instrument with an Opal™ 7-color automation IHC kit (NEL821001KT Akoya Biosciences®).

The section was incubated in six rounds of staining; in the order of ab237728 (1/500 dilution), ab237726 (1/500 dilution), ab192847 (1/300 dilution), ab16669 (1/300 dilution), ab16667 (1/200 dilution) and ab7753 (1/200 dilution); each using a separate fluorescent tyramide signal amplification system.

Sodium citrate antigen retrieval (Leica ER1 pH6.0 30 minutes) was used in between rounds of tyramide signal amplification to remove the antibody from the previous round to avoid any cross-reactivity.

DAPI (dark blue) was used as a nuclear counter stain.

Microscopy and pseudocoloring of individual Opal™ dyes was performed using a Vectra Polaris.

Immunohistochemistry (Formalin/PFA-fixed paraffin-embedded sections) - Anti-PD1 antibody [CAL20] (AB237728)
  • IHC-P

Collaborator

Immunohistochemistry (Formalin/PFA-fixed paraffin-embedded sections) - Anti-PD1 antibody [CAL20] (AB237728)

The BOND™ Polymer Refine Detection System on the BOND RX Automated Stainer (DS9800, Leica Biosystems, Wetzlar, Germany) was used for immunohistochemical labelling of formalin-fixed, paraffin-embedded (FFPE) tissues. The protocol includes a peroxide block, post-primary reagent, polymer detection, DAB chromogen, and haematoxylin counterstain, all automated to minimize variability. Antigen retrieval was performed by heat-induced epitope retrieval (HIER) for 20 minutes in Tris-EDTA buffer (BOND Epitope Retrieval Solution 2, AR9640, Leica Biosystems, Wetzlar, Germany). For mouse and rabbit antibodies, the sequence comprised peroxide block (10 min), primary antibody incubation (30 min), post-primary (10 min), polymer (10 min), DAB (10 min), and haematoxylin (8 min). For rat antibodies, an anti-rat step (1 : 300 dilution, Vector Laboratories, California, USA; 20 min) was included prior to polymer application (15 min).

Immunohistochemistry (Formalin/PFA-fixed paraffin-embedded sections) - Anti-PD1 antibody [CAL20] (AB237728)
  • IHC-P

Lab

Immunohistochemistry (Formalin/PFA-fixed paraffin-embedded sections) - Anti-PD1 antibody [CAL20] (AB237728)

Tissue Microarrays stained for "Anti-PD1 antibody [CAL20]" using "ab237728"in immunohistochemical analysis. This table provides a detailed overview of positive (tick mark) and negative (cross mark) staining per sample type tested. The sections were pre-treated using Heat mediated antigen retrieval using Bond™ Epitope Retrieval Solution 2 (pH 9.0) for 30 minutes. The sections were incubated with ab237728 for 15 mins at room temperature followed by a ready to use LeicaDS9800 (Bond™ Polymer Refine Detection). The immunostaining was performed on a Leica Biosystems BOND® RX instrument.

Multiplex immunohistochemistry - Anti-PD1 antibody [CAL20] (AB237728)
  • mIHC

Collaborator

Multiplex immunohistochemistry - Anti-PD1 antibody [CAL20] (AB237728)

Fluorescence multiplex immunohistochemical analysis of Human breast cancer tissue (formalin-fixed paraffin-embedded section).

Merged staining of Anti-PD-L1 (ab251611; cyan; Opal™ 520), Anti-Granzyme B (ab219803; yellow; Opal™ 540), Anti-PD1 (ab251613; magenta; Opal™ 570), Anti-pan Cytokeratin (ab264485; red; Opal™ 620), Anti-EpCAM (ab225894; red; Opal™ 620), Anti-CD8 alpha (ab251596; green; Opal™ 650) and Anti-FOXP3 (ab96048; orange; Opal™ 690). EpCAM and pan-cytokeratin share the same dye and color. Dyes are pseudo-colored for better contrast of the markers.

The immunostaining was performed on a Leica Biosystems BOND® MAX instrument with an Opal™ 6-Plex Detection Kit (NEL821001KT, Akoya Biosciences®).

The section was incubated in six rounds of staining; sequentially for ab251611 (1/750 dilution), ab219803 (1/250 dilution), ab251613 (1/750 dilution), ab264485 (0.5 μg/ml), ab225894 (1/1250 dilution), ab251596 (1/1500 dilution) and ab96048 (10 μg/ml); each using a separate fluorescent tyramide signal amplification system. EDTA based antigen retrieval (Leica Biosystems BOND® Epitope Retrieval Solution 2, pH 9.0, 20 minutes) was used in between rounds of tyramide signal amplification to remove the antibody from the previous round, to avoid any cross-reactivity. DAPI (dark blue) was used as a nuclear counter stain.
Microscopy and pseudocoloring of individual Opal™ dyes was performed using a Vectra 3 Imaging System (Akoya Biosciences®).

This data is courtesy of ImmunoAtlas and it can be found here.

This image is courtesy of ImmunoAtlas.

Multiplex immunohistochemistry - Anti-PD1 antibody [CAL20] (AB237728)
  • mIHC

Collaborator

Multiplex immunohistochemistry - Anti-PD1 antibody [CAL20] (AB237728)

Fluorescence multiplex immunohistochemical analysis of Human breast cancer tissue (formalin-fixed paraffin-embedded section).

Merged staining of Anti-PD-L1 (ab251611; cyan; Opal™ 520), Anti-Granzyme B (ab219803; yellow; Opal™ 540), Anti-PD1 (ab251613; magenta; Opal™ 570), Anti-pan Cytokeratin (ab264485; red; Opal™ 620), Anti-EpCAM (ab225894; red; Opal™ 620), Anti-CD8 alpha (ab251596; green; Opal™ 650) and Anti-FOXP3 (ab96048; orange; Opal™ 690). EpCAM and pan-cytokeratin share the same dye and color. Dyes are pseudo-colored for better contrast of the markers.

The immunostaining was performed on a Leica Biosystems BOND® MAX instrument with an Opal™ 6-Plex Detection Kit (NEL821001KT, Akoya Biosciences®).

The section was incubated in six rounds of staining; sequentially for ab251611 (1/750 dilution), ab219803 (1/250 dilution), ab251613 (1/750 dilution), ab264485 (0.5 μg/ml), ab225894 (1/1250 dilution), ab251596 (1/1500 dilution) and ab96048 (10 μg/ml); each using a separate fluorescent tyramide signal amplification system. EDTA based antigen retrieval (Leica Biosystems BOND® Epitope Retrieval Solution 2, pH 9.0, 20 minutes) was used in between rounds of tyramide signal amplification to remove the antibody from the previous round, to avoid any cross-reactivity. DAPI (dark blue) was used as a nuclear counter stain.
Microscopy and pseudocoloring of individual Opal™ dyes was performed using a Vectra 3 Imaging System (Akoya Biosciences®).

This data is courtesy of ImmunoAtlas and it can be found here.

This image is courtesy of ImmunoAtlas.

Western blot - Anti-PD1 antibody [CAL20] (AB237728)
  • WB

Lab

Western blot - Anti-PD1 antibody [CAL20] (AB237728)

False colour image of Western blot : Anti-PD1 antibody [CAL20] staining at 1/500 dilution, shown in green; Mouse anti-GAPDH antibody [6C5] (ab8245) loading control staining at 1/20000 dilution, shown in red. In Western blot, ab237728 was shown to bind specifically to PD1. A band was observed at 48 kDa in wild-type HeLa cell lysates with no signal observed at this size in PDCD1 CRISPR-Cas9 edited cell line ab255417 (CRISPR-Cas9 edited cell lysate ab263794). The band observed in the CRISPR-Cas9 edited lysate lane below 48 kDa is likely to represent a truncated form of PD1. This has not been investigated further and the functional properties of the gene product have not been determined. To generate this image, wild-type and PDCD1 CRISPR-Cas9 edited HeLa cell lysates were analysed. First, samples were run on an SDS-PAGE gel then transferred onto a nitrocellulose membrane. Membranes were blocked in fluorescent western blot (TBS-based) blocking solution before incubation with primary antibodies overnight at 4 °C. Blots were washed four times in TBS-T, incubated with secondary antibodies for 1 h at room temperature, washed again four times then imaged. Secondary antibodies used were Goat anti-Rabbit IgG H&L 800CW and Goat anti-Mouse IgG H&L 680RD at 1/20000 dilution.

All lanes:

Western blot - Anti-PD1 antibody [CAL20] (ab237728) at 1/500 dilution

Lane 1:

Wild-type HeLa Vehicle Control lonomycin (0 ng/mL, 24h) + PMA (10 ng/mL, 24 h) cell lysate at 20 µg

Lane 2:

Wild-type HeLa Treated lonomycin (500 ng/mL, 24h) + PMA (10 ng/mL, 24 h) cell lysate at 20 µg

Lanes 3 - 4:

Western blot - Human PDCD1 (PD1) knockout HeLa cell line (<a href='/en-us/products/cell-lines/human-pdcd1-pd1-knockout-hela-cell-line-ab255417'>ab255417</a>)

Lane 3:

PDCD1 knockout HeLa vehicle Control lonomycin (0ng/mL 24h) + PMA (10ng/mL 24h) cell lysate at 20 µg

Lane 4:

PDCD1 knockout HeLa lonomycin (500ng/mL 24h) + PMA (10ng/mL 24h) cell lysate at 20 µg

false

Western blot - Anti-PD1 antibody [CAL20] (AB237728)
  • WB

Supplier Data

Western blot - Anti-PD1 antibody [CAL20] (AB237728)

Blocking and dilution buffer : 5% NFDM/TBST.

All lanes:

Western blot - Anti-PD1 antibody [CAL20] (ab237728) at 1/1000 dilution

Lane 1:

Untreated MOLT-4 (human lymphoblastic leukemia cell line), whole cell lysate at 20 µg

Lane 2:

MOLT-4 (treated with 10ng/ml PMA and 500ng/ml Ionomycin for 24h), whole cell lysate at 20 µg

Secondary

All lanes:

Western blot - Goat Anti-Rabbit IgG H&L (HRP) (<a href='/en-us/products/secondary-antibodies/goat-rabbit-igg-h-l-hrp-ab97051'>ab97051</a>) at 1/100000 dilution

Predicted band size: 32 kDa

Observed band size: 50-55 kDa

false

Exposure time: 3min

Immunohistochemistry (Formalin/PFA-fixed paraffin-embedded sections) - Anti-PD1 antibody [CAL20] (AB237728)
  • IHC-P

Collaborator

Immunohistochemistry (Formalin/PFA-fixed paraffin-embedded sections) - Anti-PD1 antibody [CAL20] (AB237728)

Immunohistochemical analysis of paraffin-embeded Rhesus monkey tonsil tissue labeling PD1 with ab251613 followed by Polink 1 Polymer HRP anti-Rabbit IgG.

Heat mediated antigen retrieval-Buffer/Enzyme Used : Dako pH9.

This data was developed using the same antibody clone in a different buffer formulation (ab251613).

This image is courtesy of Dr. Chi Ngai Chan

  • Carrier free

    Anti-PD1 antibody [CAL20] - BSA and Azide free

Key facts

Host species

Rabbit

Clonality

Monoclonal

Clone number

CAL20

Isotype

IgG

Carrier free

No

Reacts with

Human, Rhesus monkey, Pig, Llama, Cow, Goat, Sheep, Horse

Applications

WB, mIHC, ICC/IF, IHC-P

applications

Immunogen

The exact immunogen used to generate this antibody is proprietary information.

Reactivity data

{ "title": "Reactivity Data", "filters": { "stats": ["", "Species", "Dilution Info", "Notes"], "tabs": { "all-applications": {"fullname" : "All Applications", "shortname": "All Applications"}, "IP" : {"fullname" : "Immunoprecipitation", "shortname":"IP"}, "FlowCyt" : {"fullname" : "Flow Cytometry", "shortname":"Flow Cyt"}, "WB" : {"fullname" : "Western blot", "shortname":"WB"}, "mIHC" : {"fullname" : "Multiplex immunohistochemistry", "shortname":"mIHC"}, "ICCIF" : {"fullname" : "Immunocytochemistry/ Immunofluorescence", "shortname":"ICC/IF"}, "IHCP" : {"fullname" : "Immunohistochemistry (Formalin/PFA-fixed paraffin-embedded sections)", "shortname":"IHC-P"} }, "product-promise": { "all": "all", "testedAndGuaranteed": "tested", "guaranteed": "expected", "predicted": "predicted", "notRecommended": "not-recommended" } }, "values": { "Human": { "IP-species-checked": "notRecommended", "IP-species-dilution-info": "", "IP-species-notes": "<p></p>", "FlowCyt-species-checked": "notRecommended", "FlowCyt-species-dilution-info": "", "FlowCyt-species-notes": "<p></p>", "WB-species-checked": "testedAndGuaranteed", "WB-species-dilution-info": "1/1000", "WB-species-notes": "<p></p>", "mIHC-species-checked": "testedAndGuaranteed", "mIHC-species-dilution-info": "", "mIHC-species-notes": "<p></p>", "ICCIF-species-checked": "testedAndGuaranteed", "ICCIF-species-dilution-info": "1/50", "ICCIF-species-notes": "<p></p>", "IHCP-species-checked": "testedAndGuaranteed", "IHCP-species-dilution-info": "1/500", "IHCP-species-notes": "<p></p> Perform heat-mediated antigen retrieval with Tris/EDTA buffer pH 9.0 before commencing with IHC staining protocol." }, "Cow": { "IP-species-checked": "notRecommended", "IP-species-dilution-info": "", "IP-species-notes": "", "FlowCyt-species-checked": "notRecommended", "FlowCyt-species-dilution-info": "", "FlowCyt-species-notes": "", "WB-species-checked": "guaranteed", "WB-species-dilution-info": "", "WB-species-notes": "", "mIHC-species-checked": "guaranteed", "mIHC-species-dilution-info": "", "mIHC-species-notes": "", "ICCIF-species-checked": "guaranteed", "ICCIF-species-dilution-info": "", "ICCIF-species-notes": "", "IHCP-species-checked": "testedAndGuaranteed", "IHCP-species-dilution-info": "1/300", "IHCP-species-notes": "<p></p> Perform heat-mediated antigen retrieval with Tris/EDTA buffer pH 9.0 before commencing with IHC staining protocol." }, "Goat": { "IP-species-checked": "notRecommended", "IP-species-dilution-info": "", "IP-species-notes": "", "FlowCyt-species-checked": "notRecommended", "FlowCyt-species-dilution-info": "", "FlowCyt-species-notes": "", "WB-species-checked": "guaranteed", "WB-species-dilution-info": "", "WB-species-notes": "", "mIHC-species-checked": "guaranteed", "mIHC-species-dilution-info": "", "mIHC-species-notes": "", "ICCIF-species-checked": "guaranteed", "ICCIF-species-dilution-info": "", "ICCIF-species-notes": "", "IHCP-species-checked": "testedAndGuaranteed", "IHCP-species-dilution-info": "1/300", "IHCP-species-notes": "<p></p> Perform heat-mediated antigen retrieval with Tris/EDTA buffer pH 9.0 before commencing with IHC staining protocol." }, "Horse": { "IP-species-checked": "notRecommended", "IP-species-dilution-info": "", "IP-species-notes": "", "FlowCyt-species-checked": "notRecommended", "FlowCyt-species-dilution-info": "", "FlowCyt-species-notes": "", "WB-species-checked": "guaranteed", "WB-species-dilution-info": "", "WB-species-notes": "", "mIHC-species-checked": "guaranteed", "mIHC-species-dilution-info": "", "mIHC-species-notes": "", "ICCIF-species-checked": "guaranteed", "ICCIF-species-dilution-info": "", "ICCIF-species-notes": "", "IHCP-species-checked": "testedAndGuaranteed", "IHCP-species-dilution-info": "1/300", "IHCP-species-notes": "<p></p> Perform heat-mediated antigen retrieval with Tris/EDTA buffer pH 9.0 before commencing with IHC staining protocol." }, "Llama": { "IP-species-checked": "notRecommended", "IP-species-dilution-info": "", "IP-species-notes": "", "FlowCyt-species-checked": "notRecommended", "FlowCyt-species-dilution-info": "", "FlowCyt-species-notes": "", "WB-species-checked": "guaranteed", "WB-species-dilution-info": "", "WB-species-notes": "", "mIHC-species-checked": "guaranteed", "mIHC-species-dilution-info": "", "mIHC-species-notes": "", "ICCIF-species-checked": "guaranteed", "ICCIF-species-dilution-info": "", "ICCIF-species-notes": "", "IHCP-species-checked": "testedAndGuaranteed", "IHCP-species-dilution-info": "1/300", "IHCP-species-notes": "<p></p> Perform heat-mediated antigen retrieval with Tris/EDTA buffer pH 9.0 before commencing with IHC staining protocol." }, "Pig": { "IP-species-checked": "notRecommended", "IP-species-dilution-info": "", "IP-species-notes": "", "FlowCyt-species-checked": "notRecommended", "FlowCyt-species-dilution-info": "", "FlowCyt-species-notes": "", "WB-species-checked": "guaranteed", "WB-species-dilution-info": "", "WB-species-notes": "", "mIHC-species-checked": "guaranteed", "mIHC-species-dilution-info": "", "mIHC-species-notes": "", "ICCIF-species-checked": "guaranteed", "ICCIF-species-dilution-info": "", "ICCIF-species-notes": "", "IHCP-species-checked": "testedAndGuaranteed", "IHCP-species-dilution-info": "1/300", "IHCP-species-notes": "<p></p> Perform heat-mediated antigen retrieval with Tris/EDTA buffer pH 9.0 before commencing with IHC staining protocol." }, "Rhesus monkey": { "IP-species-checked": "notRecommended", "IP-species-dilution-info": "", "IP-species-notes": "<p></p>", "FlowCyt-species-checked": "notRecommended", "FlowCyt-species-dilution-info": "", "FlowCyt-species-notes": "<p></p>", "WB-species-checked": "guaranteed", "WB-species-dilution-info": "", "WB-species-notes": "", "mIHC-species-checked": "guaranteed", "mIHC-species-dilution-info": "", "mIHC-species-notes": "", "ICCIF-species-checked": "guaranteed", "ICCIF-species-dilution-info": "", "ICCIF-species-notes": "", "IHCP-species-checked": "testedAndGuaranteed", "IHCP-species-dilution-info": "1/500", "IHCP-species-notes": "<p></p> Perform heat-mediated antigen retrieval with Tris/EDTA buffer pH 9.0 before commencing with IHC staining protocol." }, "Sheep": { "IP-species-checked": "notRecommended", "IP-species-dilution-info": "", "IP-species-notes": "", "FlowCyt-species-checked": "notRecommended", "FlowCyt-species-dilution-info": "", "FlowCyt-species-notes": "", "WB-species-checked": "guaranteed", "WB-species-dilution-info": "", "WB-species-notes": "", "mIHC-species-checked": "guaranteed", "mIHC-species-dilution-info": "", "mIHC-species-notes": "", "ICCIF-species-checked": "guaranteed", "ICCIF-species-dilution-info": "", "ICCIF-species-notes": "", "IHCP-species-checked": "testedAndGuaranteed", "IHCP-species-dilution-info": "1/300", "IHCP-species-notes": "<p></p> Perform heat-mediated antigen retrieval with Tris/EDTA buffer pH 9.0 before commencing with IHC staining protocol." } } }

Product details

What is this antibody validated in?
Anti-PD1 antibody [CAL20] (ab237728) is a rabbit recombinant monoclonal antibody and is validated for use in Western Blot (WB), Immunohistochemistry (IHC-P), Immunocytochemistry/immunofluorescence (ICC/IF), Multiplex IHC (mIHC) in Human, Rhesus monkey samples.

What is the molecular weight of PD1?
Anti-PD1 [CAL20] (ab237728) specifically detects a band for PD1 (UniProt: Q15116) at a molecular weight of 32kDa.

Trusted by the scientific community
Anti-PD1 [CAL20] (ab237728) was first used in a scientific publication in 2018 and has been cited over 10 times in peer-reviewed journals.

Trial sizes available!
Test your antibody or perform pre-screening before committing to a larger quantity. Sold in 10µl. Discover our selection of trial-size antibodies.

Other related products
We have a range of other formats of antibody clone [CAL20] also available for your convenience: ab237728, Carrier free - ab251613, ab300009

Properties and storage information

Form
Liquid
Purification technique
Affinity purification Protein A
Purification notes
Purity >99%
Storage buffer
pH: 7.2 - 7.4 Preservative: 0.05% Sodium azide Constituents: PBS
Shipped at conditions
Blue Ice
Appropriate short-term storage duration
1-2 weeks
Appropriate short-term storage conditions
+4°C
Appropriate long-term storage conditions
-20°C
Aliquoting information
Upon delivery aliquot
Storage information
Avoid freeze / thaw cycle

Supplementary information

This supplementary information is collated from multiple sources and compiled automatically.

PD1 also known as Programmed Cell Death Protein 1 or PDCD1 is a transmembrane protein that plays a critical role in regulating immune responses. It has a mass of approximately 55 kDa. PD1 is expressed on the surface of T cells B cells and some myeloid cells. PD1's expression increases upon activation of these immune cells assisting in maintaining peripheral tolerance. Researchers often use PD1 mouse models and chimeric antibodies to explore the function of PD1 for experimental purposes. Antibodies such as anti-PD1 such as EH12.2H7 help in blocking PD1 interaction to study its role further.
Biological function summary

PD1 serves as an inhibitory receptor acting as a checkpoint in the immune system. It becomes part of an immune-suppressive complex when it binds with its ligands PD-L1 or PD-L2 which are expressed on various cell types including some tumor cells. This interaction suppresses the proliferation of T cells and cytokine production contributing to immune homeostasis. By controlling T cell activity PD1 limits autoimmunity but can also reduce the immune system's capability to attack cancer cells.

Pathways

PD1 functions in the immune checkpoint pathway a critical regulatory circuit in immune regulation. The engagement of PD1 with its ligands initiates a cascade that inhibits the function and proliferation of T cells through downstream SHP-2 phosphatase activity. This pathway frequently involves other regulatory proteins like CTLA-4 and is an important mechanism by which the body modulates immune responses. Related pathways often intersect with those involving T cell receptor signaling and contribute to the overall modulation of immune activity.

PD1 has a significant role in cancer and autoimmune disorders. PD1 expression can allow tumors to evade immune surveillance making PD1 a target for cancer therapies such as anti-PD1 antibodies which aim to block PD1 and restore T cell activity. The interaction of PD1 with cancer-related proteins like PD-L1 facilitates tumor immune evasion. In autoimmune disorders PD1's regulation of immune balance can become dysregulated leading to persistent immune activation and tissue damage. Understanding PD1 and its interaction with proteins such as PD-L1 helps in developing therapeutic strategies for both cancer and autoimmune conditions.

Product protocols

For this product, it's our understanding that no specific protocols are required. You can visit:

Target data

Inhibitory receptor on antigen activated T-cells that plays a critical role in induction and maintenance of immune tolerance to self (PubMed : 21276005, PubMed : 31754127, PubMed : 32184441, PubMed : 37208329). Delivers inhibitory signals upon binding to ligands CD274/PDCD1L1 and CD273/PDCD1LG2 (PubMed : 21276005, PubMed : 26602187). Following T-cell receptor (TCR) engagement, PDCD1 associates with TCR-CD3 in the immunological synapse and directly inhibits T-cell activation (PubMed : 32184441). Suppresses T-cell activation through the recruitment of PTPN11/SHP-2 : following ligand-binding, PDCD1 is phosphorylated within the ITSM motif, leading to the recruitment of the protein tyrosine phosphatase PTPN11/SHP-2 that mediates dephosphorylation of key TCR proximal signaling molecules, such as ZAP70, PRKCQ/PKCtheta and CD247/CD3zeta (PubMed : 32184441).. The PDCD1-mediated inhibitory pathway is exploited by tumors to attenuate anti-tumor immunity and escape destruction by the immune system, thereby facilitating tumor survival (PubMed : 28951311). The interaction with CD274/PDCD1L1 inhibits cytotoxic T lymphocytes (CTLs) effector function (PubMed : 28951311). The blockage of the PDCD1-mediated pathway results in the reversal of the exhausted T-cell phenotype and the normalization of the anti-tumor response, providing a rationale for cancer immunotherapy (PubMed : 22658127, PubMed : 25034862, PubMed : 25399552).
See full target information PDCD1

Publications (29)

Recent publications for all applications. Explore the full list and refine your search

Frontiers in immunology 16:1656242 PubMed40895577

2025

PD-1 and LAG-3 were optimal combination of immune checkpoints for predicting poor clinical outcomes of patients with ovarian cancer.

Applications

Unspecified application

Species

Unspecified reactive species

Yifan Wu,Cunte Chen,Yingwen Cui,Ruoyao Zou,Yaoxiang Yang,Fengjie Sun,Yanzi Du,Peipei Wang

Signal transduction and targeted therapy 10:223 PubMed40670349

2025

Comprehensive genomic and transcriptomic analyses reveal prognostic stratification for esophageal squamous cell carcinoma.

Applications

Unspecified application

Species

Unspecified reactive species

Jian Gao,Qiming Wang,Fangqiu Fu,Yue Zhao,Teng Yang,Xiangze Li,Yihua Sun,Hong Hu,Longfei Ma,Longsheng Miao,Xiaoyang Luo,Ting Ye,Yiliang Zhang,Yang Zhang,Ziling Huang,Hang Li,Longlong Shao,Midie Xu,Kuaile Zhao,Shiyue Zhang,Mou Zhang,Jun Wang,Chong Dai,Xiaoxiao Shang,Tingyi An,Yawei Zhang,Jiaqing Xiang,Zhiwei Cao,Bin Li,Haiquan Chen

BMC pulmonary medicine 25:283 PubMed40483449

2025

Impact of irae characteristics on efficacy of consolidative immunotherapy following chemoradiotherapy in locally advanced NSCLC.

Applications

Unspecified application

Species

Unspecified reactive species

Xiufen Wang,Xuebing Fu,Qiaohong Liu,Juan Li,Yihui Ge,Jian Zhang,Shuyun Wang,Leirong Wang,Dahai Wang,Yanxin Sun,Yiling Gan,Haodong Sun,Zhen Wang,Yuping Sun,Aiqin Gao

Journal of ovarian research 18:76 PubMed40205496

2025

Single-cell RNA sequencing reveals the intra-tumoral heterogeneity and immune microenvironment of small cell carcinoma of the ovary, hypercalcemic type.

Applications

Unspecified application

Species

Unspecified reactive species

Yi Gao,Kewei Zheng,Haowen Tan,Mingyi Kang,Bingjian Lu,Ling Chen,Jing Xu,Chong Lu,Ranran Chai,Congjian Xu,Yu Kang

Discover oncology 16:27 PubMed39786598

2025

MUC5B regulates alterations in the immune microenvironment in nasopharyngeal carcinoma via the Wnt/β-catenin signaling pathway.

Applications

Unspecified application

Species

Unspecified reactive species

Hongming Wang

Experimental hematology & oncology 13:119 PubMed39696410

2024

Identification of a novel subtype of SPP1 + macrophages expressing SIRPα: implications for tumor immune evasion and treatment response prediction.

Applications

Unspecified application

Species

Unspecified reactive species

Kun Chen,Yida Li,Jianjiao Ni,Xi Yang,Yue Zhou,Yechun Pang,Ruiting Ye,Hongru Chen,Silai Yu,Peng Wang,Zhengfei Zhu

Genome medicine 16:138 PubMed39593114

2024

Integrated analyses of multi-omic data derived from paired primary lung cancer and brain metastasis reveal the metabolic vulnerability as a novel therapeutic target.

Applications

Unspecified application

Species

Unspecified reactive species

Hao Duan,Jianlan Ren,Shiyou Wei,Zhenyu Yang,Chuan Li,Zhenning Wang,Meichen Li,Zhi Wei,Yu Liu,Xiuqi Wang,Hongbin Lan,Zhen Zeng,Maodi Xie,Yuan Xie,Suwen Wu,Wanming Hu,Chengcheng Guo,Xiangheng Zhang,Lun Liang,Chengwei Yu,Yanhao Mou,Yu Jiang,Houde Li,Eric Sugarman,Rebecca A Deek,Zexin Chen,Tao Li,Yaohui Chen,Maojin Yao,Likun Chen,Lunxu Liu,Gao Zhang,Yonggao Mou

Discover oncology 15:654 PubMed39541053

2024

Pan-cancer analysis of STAT3 indicates its potential prognostic value and correlation with immune cell infiltration in prostate cancer.

Applications

Unspecified application

Species

Unspecified reactive species

Zhouting Tuo,Hesong Zhang,Ke He,Zhiwei Jiang,Chao Jiang,Xin Chen,Haichao Yuan

Frontiers in immunology 15:1483497 PubMed39493749

2024

Tertiary lymphoid structure-related score as a predictor for survival prognosis and immunotherapy response in head and neck squamous cell carcinoma.

Applications

Unspecified application

Species

Unspecified reactive species

Fan Wu,Haotian Cao,Siqi Ren,Jiaying Wu,Xin Liu,Qunxing Li,Qiuping Xu,Jiali Chen,Ruixin Wang,Suling Chen,Shijia Kuang,Binbin Xia,Yanyan Li,Liansheng Wang,Jintao Li,Bowen Li,Jinsong Li,Tianjun Lan

Molecular cancer 23:239 PubMed39449040

2024

A multidimensional recommendation framework for identifying biological targets to aid the diagnosis and treatment of liver metastasis in patients with colorectal cancer.

Applications

Unspecified application

Species

Unspecified reactive species

Feng Qi,Na Gao,Jia Li,Chenfei Zhou,Jinling Jiang,Bin Zhou,Liting Guo,Xiaohui Feng,Jun Ji,Qu Cai,Liu Yang,Rongjia Zhu,Xinyi Que,Junwei Wu,Wenqi Xi,Wenxing Qin,Jun Zhang
View all publications

Product promise

We are committed to supporting your work with high-quality reagents, and we're here for you every step of the way. In the unlikely event that one of our products does not perform as expected, you're protected by our Product Promise.
For full details, please see our Terms & Conditions

Please note: All products are 'FOR RESEARCH USE ONLY. NOT FOR USE IN DIAGNOSTIC OR THERAPEUTIC PROCEDURES'.

For licensing inquiries, please contact partnerships@abcam.com