JavaScript is disabled in your browser. Please enable JavaScript to view this website.
AB228857

Anti-PD1 antibody [EPR20665] - BSA and Azide free

4

(2 Reviews)

|

(3 Publications)

Rabbit Recombinant Monoclonal PD1 antibody. Carrier free. Suitable for WB, ICC/IF, IHC-P and reacts with Mouse samples. Cited in 3 publications.

View Alternative Names

CD279, Pd1, Pdcd1, Programmed cell death protein 1, Protein PD-1, mPD-1

3 Images
Immunocytochemistry/ Immunofluorescence - Anti-PD1 antibody [EPR20665] - BSA and Azide free (AB228857)
  • ICC/IF

Unknown

Immunocytochemistry/ Immunofluorescence - Anti-PD1 antibody [EPR20665] - BSA and Azide free (AB228857)

This ICC/IF data was generated using the same anti-PD1 antibody clone, EPR20665, in a different buffer formulation (cat# ab214421).

Immunofluorescent analysis of 100% methanol-fixed EL4.IL-2 (mouse lymphoma T lymphocyte) cells labeling PD1 with ab214421 at 1/100 dilution, followed by Goat anti-rabbit IgG (Alexa Fluor® 488) (ab150077) secondary antibody at 1/1000 dilution (green). Confocal image showing cytoplasmic staining on EL4.IL-2 cell line.

The nuclear counterstain is DAPI (blue). Tubulin is detected with Anti-alpha Tubulin antibody [DM1A] - Microtubule Marker (Alexa Fluor® 594) (ab195889) (red) at 1/200 dilution.

Secondary antibody only control : Used PBS instead of primary antibody, secondary antibody is Goat Anti-Rabbit IgG H&L (Alexa Fluor® 488) (ab150077) secondary antibody at 1/1000 dilution.

Immunohistochemistry (Formalin/PFA-fixed paraffin-embedded sections) - Anti-PD1 antibody [EPR20665] - BSA and Azide free (AB228857)
  • IHC-P

Unknown

Immunohistochemistry (Formalin/PFA-fixed paraffin-embedded sections) - Anti-PD1 antibody [EPR20665] - BSA and Azide free (AB228857)

Immunohistochemical analysis of paraffin-embedded mouse thymus tissue labeling PD1 with ab214421 at 1/1000 dilution, followed by Goat Anti-Rabbit IgG H&L (HRP) Ready to use. Sporadic cytoplasmic staining on mouse thymus medulla. (PMID : 21750671, PMID : 17640856). Counter stained with hematoxylin.

Secondary antibody only control : Used PBS instead of primary antibody, secondary antibody is Goat Anti-Rabbit IgG H&L (HRP) Ready to use.

This data was developed using the same antibody clone in a different buffer formulation containing PBS, BSA, glycerol, and sodium azide (ab214421).

Heat mediated antigen retrieval was performed with Tris/EDTA buffer pH 9.0 before commencing with IHC staining protocol.

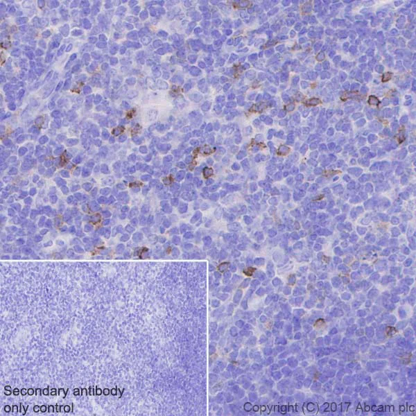
Immunohistochemistry (Formalin/PFA-fixed paraffin-embedded sections) - Anti-PD1 antibody [EPR20665] - BSA and Azide free (AB228857)
  • IHC-P

Unknown

Immunohistochemistry (Formalin/PFA-fixed paraffin-embedded sections) - Anti-PD1 antibody [EPR20665] - BSA and Azide free (AB228857)

This IHC data was generated using the same anti-PD1 antibody clone, EPR20665, in a different buffer formulation (cat# ab214421).

Immunohistochemical analysis of paraffin-embedded mouse spleen tissue labeling PD1 with ab214421 at 1/1000 dilution, followed by Goat Anti-Rabbit IgG H&L (HRP) Ready to use. Cytoplasmic staining on the germinal center of mouse spleen. (PMID : 21750671, PMID : 17640856). Counter stained with hematoxylin.

Secondary antibody only control : Used PBS instead of primary antibody, secondary antibody is Goat Anti-Rabbit IgG H&L (HRP) Ready to use.

Heat mediated antigen retrieval was performed with Tris/EDTA buffer pH 9.0 before commencing with IHC staining protocol.

Key facts

Host species

Rabbit

Clonality

Monoclonal

Clone number

EPR20665

Isotype

IgG

Carrier free

Yes

Reacts with

Mouse

Applications

WB, ICC/IF, IHC-P

applications

Immunogen

The exact immunogen used to generate this antibody is proprietary information.

Reactivity data

{ "title": "Reactivity Data", "filters": { "stats": ["", "Species", "Dilution Info", "Notes"], "tabs": { "all-applications": {"fullname" : "All Applications", "shortname": "All Applications"}, "WB" : {"fullname" : "Western blot", "shortname":"WB"}, "ICCIF" : {"fullname" : "Immunocytochemistry/ Immunofluorescence", "shortname":"ICC/IF"}, "IHCFr" : {"fullname" : "Immunohistochemistry (Frozen sections)", "shortname":"IHC-Fr"}, "IHCP" : {"fullname" : "Immunohistochemistry (Formalin/PFA-fixed paraffin-embedded sections)", "shortname":"IHC-P"} }, "product-promise": { "all": "all", "testedAndGuaranteed": "tested", "guaranteed": "expected", "predicted": "predicted", "notRecommended": "not-recommended" } }, "values": { "Mouse": { "WB-species-checked": "testedAndGuaranteed", "WB-species-dilution-info": "", "WB-species-notes": "<p></p>", "ICCIF-species-checked": "testedAndGuaranteed", "ICCIF-species-dilution-info": "", "ICCIF-species-notes": "<p></p>", "IHCFr-species-checked": "notRecommended", "IHCFr-species-dilution-info": "", "IHCFr-species-notes": "<p></p>", "IHCP-species-checked": "testedAndGuaranteed", "IHCP-species-dilution-info": "", "IHCP-species-notes": "<p></p>" } } }

Product details

ab228857 is the carrier-free version of ab214421.

Conjugation ready
Our carrier-free antibodies are typically supplied in a PBS-only formulation, purified and free of BSA, sodium azide and glycerol. This conjugation-ready format is designed for use with fluorochromes, metal isotopes, oligonucleotides, and enzymes, which makes them ideal for antibody labelling, functional and cell-based assays, flow-based assays (e.g. mass cytometry) and Multiplex Imaging applications.

Use our conjugation kits for antibody conjugates that are ready-to-use in as little as 20 minutes with 1 minute hands-on-time and 100% antibody recovery: available for fluorescent dyes, HRP, biotin and gold.

Compatibility
This product is compatible with the Maxpar® Antibody Labeling Kit from Fluidigm, without the need for antibody preparation. Maxpar® is a trademark of Fluidigm Canada Inc.

Properties and storage information

Form
Liquid
Purification technique
Affinity purification Protein A
Storage buffer
pH: 7.2 - 7.4 Constituents: PBS
Shipped at conditions
Blue Ice
Appropriate short-term storage conditions
+4°C
Appropriate long-term storage conditions
+4°C
Storage information
Do Not Freeze

Supplementary information

This supplementary information is collated from multiple sources and compiled automatically.

PD1 also known as Programmed Cell Death Protein 1 or PDCD1 is a transmembrane protein that plays a critical role in regulating immune responses. It has a mass of approximately 55 kDa. PD1 is expressed on the surface of T cells B cells and some myeloid cells. PD1’s expression increases upon activation of these immune cells assisting in maintaining peripheral tolerance. Researchers often use PD1 mouse models and chimeric antibodies to explore the function of PD1 for experimental purposes. Antibodies such as anti-PD1 such as EH12.2H7 help in blocking PD1 interaction to study its role further.
Biological function summary

PD1 serves as an inhibitory receptor acting as a checkpoint in the immune system. It becomes part of an immune-suppressive complex when it binds with its ligands PD-L1 or PD-L2 which are expressed on various cell types including some tumor cells. This interaction suppresses the proliferation of T cells and cytokine production contributing to immune homeostasis. By controlling T cell activity PD1 limits autoimmunity but can also reduce the immune system's capability to attack cancer cells.

Pathways

PD1 functions in the immune checkpoint pathway a critical regulatory circuit in immune regulation. The engagement of PD1 with its ligands initiates a cascade that inhibits the function and proliferation of T cells through downstream SHP-2 phosphatase activity. This pathway frequently involves other regulatory proteins like CTLA-4 and is an important mechanism by which the body modulates immune responses. Related pathways often intersect with those involving T cell receptor signaling and contribute to the overall modulation of immune activity.

PD1 has a significant role in cancer and autoimmune disorders. PD1 expression can allow tumors to evade immune surveillance making PD1 a target for cancer therapies such as anti-PD1 antibodies which aim to block PD1 and restore T cell activity. The interaction of PD1 with cancer-related proteins like PD-L1 facilitates tumor immune evasion. In autoimmune disorders PD1’s regulation of immune balance can become dysregulated leading to persistent immune activation and tissue damage. Understanding PD1 and its interaction with proteins such as PD-L1 helps in developing therapeutic strategies for both cancer and autoimmune conditions.

Product protocols

For this product, it's our understanding that no specific protocols are required. You can visit:

Target data

Inhibitory receptor on antigen activated T-cells that plays a critical role in induction and maintenance of immune tolerance to self (PubMed : 10485649, PubMed : 11209085, PubMed : 11698646, PubMed : 21300912). Delivers inhibitory signals upon binding to ligands, such as CD274/PDCD1L1 and CD273/PDCD1LG2 (PubMed : 11015443, PubMed : 11224527, PubMed : 18287011, PubMed : 18641123, PubMed : 22641383). Following T-cell receptor (TCR) engagement, PDCD1 associates with CD3-TCR in the immunological synapse and directly inhibits T-cell activation (PubMed : 22641383). Suppresses T-cell activation through the recruitment of PTPN11/SHP-2 : following ligand-binding, PDCD1 is phosphorylated within the ITSM motif, leading to the recruitment of the protein tyrosine phosphatase PTPN11/SHP-2 that mediates dephosphorylation of key TCR proximal signaling molecules, such as ZAP70, PRKCQ/PKCtheta and CD247/CD3zeta (PubMed : 11698646, PubMed : 22641383). The PDCD1-mediated inhibitory pathway is exploited by tumors to attenuate anti-tumor immunity and facilitate tumor survival (By similarity).
See full target information Pdcd1

Publications (3)

Recent publications for all applications. Explore the full list and refine your search

Immunology and cell biology 101:610-624 PubMed37114567

2023

Defective N-glycosylation in tumor-infiltrating CD8 T cells impairs IFN-γ-mediated effector function.

Applications

Unspecified application

Species

Unspecified reactive species

Soyeon Kim,Hyungyu Min,Jinwoo Nah,Jinguk Jeong,Kyungsoo Park,Wooseob Kim,Youngjin Lee,Jieun Kim,Jungeun An,Rho Hyun Seong

Heliyon 8:e10775 PubMed36212004

2022

Efficacy of bivalent 1BBL genetic vaccine combined with anti-PD1 antibody in MC38 tumor model of mice.

Applications

Unspecified application

Species

Unspecified reactive species

Yuzhen Li,Xiaodan Zhu,Jianliang You,Baonan Zhang,Xiaona Huang,Chunhui Jin

Aging 14:2004-2013 PubMed35196650

2022

MKRN2 inhibits the proliferation of gastric cancer by downregulating PKM2.

Applications

Unspecified application

Species

Unspecified reactive species

Zheng Liu,Shuyao Xiang,Xingchen Guo,Jinghuan Zhou,Lixin Liao,Jiaxin Kou,Jun Zhang
View all publications

Product promise

We are committed to supporting your work with high-quality reagents, and we're here for you every step of the way. In the unlikely event that one of our products does not perform as expected, you're protected by our Product Promise.
For full details, please see our Terms & Conditions

Please note: All products are 'FOR RESEARCH USE ONLY. NOT FOR USE IN DIAGNOSTIC OR THERAPEUTIC PROCEDURES'.

For licensing inquiries, please contact partnerships@abcam.com