JavaScript is disabled in your browser. Please enable JavaScript to view this website.
AB243644

Anti-PD1 antibody [EPR23119-111]

  • BOND RX™ Validated
  • 20ul selling size
  • RabMAb
  • Advanced Validation
  • Recombinant
  • What is this?

Be the first to review this product! Submit a review

|

(3 Publications)

Rabbit Recombinant Monoclonal PD1 antibody. Suitable for WB, IHC-P, mIHC and reacts with Human samples. Cited in 3 publications.

View Alternative Names

CD279, PD1, PDCD1, Programmed cell death protein 1, Protein PD-1, hPD-1

8 Images
Immunohistochemistry (Formalin/PFA-fixed paraffin-embedded sections) - Anti-PD1 antibody [EPR23119-111] (AB243644)
  • IHC-P

Unknown

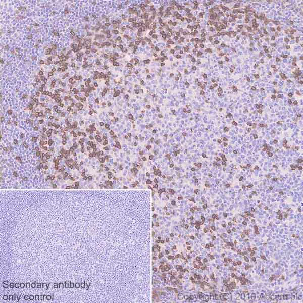
Immunohistochemistry (Formalin/PFA-fixed paraffin-embedded sections) - Anti-PD1 antibody [EPR23119-111] (AB243644)

Immunohistochemical analysis of paraffin-embedded Human tonsil tissue labeling PD1 with ab243644 at 1/500 followed by a ready to use Rabbit specific IHC polymer detection kit HRP/DAB (ab209101). Membranous staining on germinal center of human tonsil (PMID : 29042640, PMID : 16819321) is observed.
The section was incubated with ab243644 for 30 mins at room temperature.
The immunostaining was performed on a Leica Biosystems BOND® RX instrument Counterstained with Hematoxylin.

Secondary antibody only control : Secondary antibody is a ready to use Rabbit specific IHC polymer detection kit HRP/DAB (ab209101).

Heat mediated antigen retrieval with Tris-EDTA buffer (pH 9.0, epitope retrieval solution2) for 20 mins

Immunohistochemistry (Formalin/PFA-fixed paraffin-embedded sections) - Anti-PD1 antibody [EPR23119-111] (AB243644)
  • IHC-P

Unknown

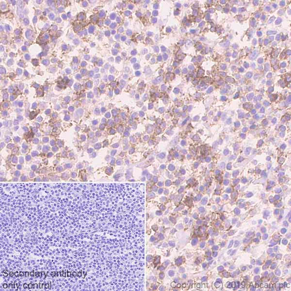
Immunohistochemistry (Formalin/PFA-fixed paraffin-embedded sections) - Anti-PD1 antibody [EPR23119-111] (AB243644)

Immunohistochemical analysis of paraffin-embedded Human Hodgkin's lymphoma tissue labeling PD1 with ab243644 at 1/500 followed by a ready to use Rabbit specific IHC polymer detection kit HRP/DAB (ab209101). Positive staining on human Hodgkin's lymphoma (PMID : 16819321) is observed.
The section was incubated with ab243644 for 30 mins at room temperature.
The immunostaining was performed on a Leica Biosystems BOND® RX instrument Counterstained with Hematoxylin.

Secondary antibody only control : Secondary antibody is a ready to use Rabbit specific IHC polymer detection kit HRP/DAB (ab209101).

Heat mediated antigen retrieval with Tris-EDTA buffer (pH 9.0, epitope retrieval solution2) for 20 mins

Immunohistochemistry (Formalin/PFA-fixed paraffin-embedded sections) - Anti-PD1 antibody [EPR23119-111] (AB243644)
  • IHC-P

Unknown

Immunohistochemistry (Formalin/PFA-fixed paraffin-embedded sections) - Anti-PD1 antibody [EPR23119-111] (AB243644)

Immunohistochemistry (Formalin/PFA-fixed paraffin-embedded sections) analysis of Human spleen tissue labelling PDI with ab243644 at 1.02 μg/mL (B), PD-L 1 with ab213524 at 1/100 dilution (C) and CD68 with ab213363 at 1/300 dilution (D). Anti-Rabbit and Mouse Polymer HRP was used as a secondary antibody, and DAPI was used for a nuclear counter stain. Heat mediated antigen retrieval with Tris-EDTA buffer (pH 9.0, epitope retrieval solution 2) for 20mins. Heat mediated antigen retrieval (Leica ER2, PH9.0, 20 minutes) was used in between rounds of tyramide signal amplification to remove the antibodies from the previous round, to avoid any cross-reactivity.

Panel A : merged staining of anti- PD1 (green, Opal™520), anti- PD-L1 (red, Opal™570) and anti- CD68 (yellow, Opal™690).

Panel B : Anti- PD1 stained on antigen-stimulated T cells.

Panel C : anti- PD-L1 stained on cells involved in T cell inhibition

Panel D : anti-CD68 stained on macrophages.

The section was incubated in three rounds of staining : in the order of ab243644, ab213363 and ab213524 for 30 mins at room temperature. Each round was followed by a separate fluorescent tyramide signal amplification system.

The immunostaining was performed on a Leica Biosystems BOND® RX instrument with an Opal™ 4-color kit. Image acquisition was performed with Leica SP8 confocal microscope.

Multiplex immunohistochemistry - Anti-PD1 antibody [EPR23119-111] (AB243644)
  • mIHC

Lab

Multiplex immunohistochemistry - Anti-PD1 antibody [EPR23119-111] (AB243644)

Immunohistochemistry (Formalin/PFA-fixed paraffin-embedded sections) analysis of Human tonsil labelling PD1 with ab243644 at 1/500 dilution (1.02 µg/mL) (D), Ki67 with ab16667 at 1/200 dilution (0.15 μg/ml) (B) and PD-L1 with ab228462 at 1/100 dilution (0.52 μg/ml) (C). Opal Polymer HRP Ms + Rb was used as a secondary antibody, and DAPI was used for a nuclear counter stain. Heat mediated antigen retrieval with Citrate buffer (pH 6.0, epitope retrieval solution 1) for 20 mins. Panel A : merged staining of anti-Ki67 (magenta; Opal™690), anti-PD-L1 (red; Opal™570) and anti-PD1 (green; Opal™520) on human tonsil. Panel B : anti-Ki67 stained on nucleus of proliferating cells. Panel C : anti-PD-L1 stained on membrane of cells involved in T cell inhibition. Panel D : anti-PD1 stained on antigen-stimulated T cells. The section was incubated in three rounds of staining : in the order of ab16667 for 10 mins, ab243644 for 30 mins and ab228462 for 10 mins at room temperature. Each round was followed by a separate fluorescent tyramide signal amplification system. The immunostaining was performed on a Leica Biosystems BOND® RX instrument with an Opal™ 4-color kit. Image acquisition was performed with Leica SP8 confocal microscope.

Immunohistochemistry (Formalin/PFA-fixed paraffin-embedded sections) - Anti-PD1 antibody [EPR23119-111] (AB243644)
  • IHC-P

Unknown

Immunohistochemistry (Formalin/PFA-fixed paraffin-embedded sections) - Anti-PD1 antibody [EPR23119-111] (AB243644)

Immunohistochemical analysis of paraffin-embedded Human endometrial carcinoma tissue labeling PD1 with ab243644 at 1/500 followed by a ready to use Rabbit specific IHC polymer detection kit HRP/DAB (ab209101). Positive staining on human endometrial carcinoma stroma (PMID : 27446374) is observed.
The section was incubated with ab243644 for 30 mins at room temperature.
The immunostaining was performed on a Leica Biosystems BOND® RX instrument Counterstained with Hematoxylin.

Secondary antibody only control : Secondary antibody is a ready to use Rabbit specific IHC polymer detection kit HRP/DAB (ab209101).

Heat mediated antigen retrieval with Tris-EDTA buffer (pH 9.0, epitope retrieval solution2) for 20 mins

Multiplex immunohistochemistry - Anti-PD1 antibody [EPR23119-111] (AB243644)
  • mIHC

Supplier Data

Multiplex immunohistochemistry - Anti-PD1 antibody [EPR23119-111] (AB243644)

Immunohistochemistry (Formalin/PFA-fixed paraffin-embedded sections) analysis of Human tonsil labelling PD1 with ab243644 at 1/500 dilution (1.02 µg/mL) (D), CD8 with ab178089 at 1/100 dilution (0.83 μg/ml) (C) and TIM 3 with ab242080 at 1/500 dilution (2.09 μg/ml) (B). Opal Polymer HRP Ms + Rb was used as a secondary antibody, and DAPI was used for a nuclear counter stain. Heat mediated antigen retrieval with Tris-EDTA buffer (pH 9.0, epitope retrieval solution 2) for 20 mins.   Panel A : merged staining of anti-TIM 3 (green; Opal™690), anti-CD8 (red; Opal™520) and anti-PD1 (gray; Opal™570) on human tonsil. Panel B : anti-TIM 3 stained on membrane of a subset of immune cells. Panel C : anti-CD8 stained on membrane of a subset of T cells. Panel D : anti-PD1 stained on membrane of a subset of lymphocytes. The section was incubated in three rounds of staining : in the order of ab242080, ab243644 and ab178089 for 30 mins at room temperature. Each round was followed by a separate fluorescent tyramide signal amplification system. The immunostaining was performed on a Leica Biosystems BOND® RX instrument with an Opal™ 4-color kit. Image acquisition was performed with Leica SP8 confocal microscope.

Western blot - Anti-PD1 antibody [EPR23119-111] (AB243644)
  • WB

Lab

Western blot - Anti-PD1 antibody [EPR23119-111] (AB243644)

Blocking and diluting buffer and concentration : 5% NFDM/TBST.

This blot was developed using a higher sensitivity ECL substrate. The expression profile/ molecular weight observed is consistent with what has been described in the literature (PMID : 30487606, 31783892).

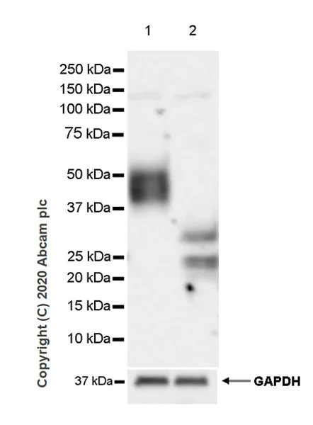
All lanes:

Western blot - Anti-PD1 antibody [EPR23119-111] (ab243644) at 1/1000 dilution

Lane 1:

Untreated MOLT-4 (human lymphoblastic leukemia T lymphoblast) at 20 µg

Lane 2:

MOLT-4 treated with 500ng/ml Ionomycin and 10ng/ml Phorbol-12-myristate-13-acetate (PMA) for 24 hours at 20 µg

Secondary

All lanes:

Western blot - VeriBlot for IP Detection Reagent (HRP) (<a href='/en-us/products/reagents/veriblot-for-ip-detection-reagent-hrp-ab131366'>ab131366</a>) at 1/1000 dilution

Predicted band size: 32 kDa

Observed band size: 50-55 kDa

true

Exposure time: 48s

Western blot - Anti-PD1 antibody [EPR23119-111] (AB243644)
  • WB

Lab

Western blot - Anti-PD1 antibody [EPR23119-111] (AB243644)

Blocking and diluting buffer and concentration : 5% NFDM/TBST.

This blot was developed using a higher sensitivity ECL substrate. The expression profile/ molecular weight observed is consistent with what has been described in the literature (PMID : 30487606, 31783892).

All lanes:

Western blot - Anti-PD1 antibody [EPR23119-111] (ab243644) at 1/1000 dilution

Lane 1:

Human tonsil tissue lysate at 20 µg

Lane 2:

Human tonsil tissue lysate treated with PNGase F at 20 µg

Secondary

All lanes:

Western blot - VeriBlot for IP Detection Reagent (HRP) (<a href='/en-us/products/reagents/veriblot-for-ip-detection-reagent-hrp-ab131366'>ab131366</a>) at 1/1000 dilution

Predicted band size: 32 kDa

Observed band size: 50-55 kDa

true

Exposure time: 48s

  • Carrier free

    Anti-PD1 antibody [EPR23119-111] - BSA and Azide free

Key facts

Host species

Rabbit

Clonality

Monoclonal

Clone number

EPR23119-111

Isotype

IgG

Carrier free

No

Reacts with

Human

Applications

IHC-P, mIHC, WB

applications

Immunogen

The exact immunogen used to generate this antibody is proprietary information.

Reactivity data

{ "title": "Reactivity Data", "filters": { "stats": ["", "Species", "Dilution Info", "Notes"], "tabs": { "all-applications": {"fullname" : "All Applications", "shortname": "All Applications"}, "ICCIF" : {"fullname" : "Immunocytochemistry/ Immunofluorescence", "shortname":"ICC/IF"}, "WB" : {"fullname" : "Western blot", "shortname":"WB"}, "IHCP" : {"fullname" : "Immunohistochemistry (Formalin/PFA-fixed paraffin-embedded sections)", "shortname":"IHC-P"}, "mIHC" : {"fullname" : "Multiplex immunohistochemistry", "shortname":"mIHC"} }, "product-promise": { "all": "all", "testedAndGuaranteed": "tested", "guaranteed": "expected", "predicted": "predicted", "notRecommended": "not-recommended" } }, "values": { "Human": { "ICCIF-species-checked": "notRecommended", "ICCIF-species-dilution-info": "", "ICCIF-species-notes": "<p></p>", "WB-species-checked": "testedAndGuaranteed", "WB-species-dilution-info": "1/1000", "WB-species-notes": "<p></p>", "IHCP-species-checked": "testedAndGuaranteed", "IHCP-species-dilution-info": "1/500", "IHCP-species-notes": "<p></p>", "mIHC-species-checked": "testedAndGuaranteed", "mIHC-species-dilution-info": "1/500", "mIHC-species-notes": "<p></p>" }, "Mouse": { "ICCIF-species-checked": "notRecommended", "ICCIF-species-dilution-info": "", "ICCIF-species-notes": "", "WB-species-checked": "notRecommended", "WB-species-dilution-info": "", "WB-species-notes": "", "IHCP-species-checked": "notRecommended", "IHCP-species-dilution-info": "1/500", "IHCP-species-notes": "<p></p>", "mIHC-species-checked": "notRecommended", "mIHC-species-dilution-info": "", "mIHC-species-notes": "" }, "Rat": { "ICCIF-species-checked": "notRecommended", "ICCIF-species-dilution-info": "", "ICCIF-species-notes": "", "WB-species-checked": "notRecommended", "WB-species-dilution-info": "", "WB-species-notes": "", "IHCP-species-checked": "notRecommended", "IHCP-species-dilution-info": "1/500", "IHCP-species-notes": "<p></p>", "mIHC-species-checked": "notRecommended", "mIHC-species-dilution-info": "", "mIHC-species-notes": "" } } }

Product details

Patented technology
Our RabMAb® technology is a patented hybridoma-based technology for making rabbit monoclonal antibodies. For details on our patents, please refer to RabMAb® patents.

What are the advantages of a recombinant monoclonal antibody?
This product is a recombinant monoclonal antibody, which offers several advantages including:

  • - High batch-to-batch consistency and reproducibility
  • - Improved sensitivity and specificity
  • - Long-term security of supply
  • - Animal-free batch production

For more information, read more on recombinant antibodies.

Properties and storage information

Form
Liquid
Purification technique
Affinity purification Protein A
Storage buffer
pH: 7.2 - 7.4 Preservative: 0.01% Sodium azide Constituents: PBS, 40% Glycerol (glycerin, glycerine), 0.05% BSA
Shipped at conditions
Blue Ice
Appropriate short-term storage duration
1-2 weeks
Appropriate short-term storage conditions
+4°C
Appropriate long-term storage conditions
-20°C
Aliquoting information
Upon delivery aliquot
Storage information
Avoid freeze / thaw cycle

Supplementary information

This supplementary information is collated from multiple sources and compiled automatically.

PD1 also known as Programmed Cell Death Protein 1 or PDCD1 is a transmembrane protein that plays a critical role in regulating immune responses. It has a mass of approximately 55 kDa. PD1 is expressed on the surface of T cells B cells and some myeloid cells. PD1’s expression increases upon activation of these immune cells assisting in maintaining peripheral tolerance. Researchers often use PD1 mouse models and chimeric antibodies to explore the function of PD1 for experimental purposes. Antibodies such as anti-PD1 such as EH12.2H7 help in blocking PD1 interaction to study its role further.
Biological function summary

PD1 serves as an inhibitory receptor acting as a checkpoint in the immune system. It becomes part of an immune-suppressive complex when it binds with its ligands PD-L1 or PD-L2 which are expressed on various cell types including some tumor cells. This interaction suppresses the proliferation of T cells and cytokine production contributing to immune homeostasis. By controlling T cell activity PD1 limits autoimmunity but can also reduce the immune system's capability to attack cancer cells.

Pathways

PD1 functions in the immune checkpoint pathway a critical regulatory circuit in immune regulation. The engagement of PD1 with its ligands initiates a cascade that inhibits the function and proliferation of T cells through downstream SHP-2 phosphatase activity. This pathway frequently involves other regulatory proteins like CTLA-4 and is an important mechanism by which the body modulates immune responses. Related pathways often intersect with those involving T cell receptor signaling and contribute to the overall modulation of immune activity.

PD1 has a significant role in cancer and autoimmune disorders. PD1 expression can allow tumors to evade immune surveillance making PD1 a target for cancer therapies such as anti-PD1 antibodies which aim to block PD1 and restore T cell activity. The interaction of PD1 with cancer-related proteins like PD-L1 facilitates tumor immune evasion. In autoimmune disorders PD1’s regulation of immune balance can become dysregulated leading to persistent immune activation and tissue damage. Understanding PD1 and its interaction with proteins such as PD-L1 helps in developing therapeutic strategies for both cancer and autoimmune conditions.

Product protocols

For this product, it's our understanding that no specific protocols are required. You can visit:

Target data

The protein expressed by the gene PDCD1 functions as an inhibitory receptor on antigen-activated T-cells, playing a critical role in the induction and maintenance of immune tolerance to self. It delivers inhibitory signals by binding to the ligands CD274/PDCD1L1 and CD273/PDCD1LG2. Tumors exploit the PDCD1-mediated inhibitory pathway to attenuate anti-tumor immunity, enabling tumor survival by evading immune system destruction. The interaction with CD274/PDCD1L1 inhibits the effector function of cytotoxic T lymphocytes (CTLs). Blocking the PDCD1-mediated pathway can reverse the exhausted T-cell phenotype and normalize the anti-tumor response, providing a rationale for cancer immunotherapy. This supplementary information is collated from multiple sources and compiled automatically.
See full target information PDCD1

Publications (3)

Recent publications for all applications. Explore the full list and refine your search

Frontiers in oncology 11:802257 PubMed35155199

2022

PET/CT Imaging of Activated Cancer-Associated Fibroblasts Predict Response to PD-1 Blockade in Gastric Cancer Patients.

Applications

Unspecified application

Species

Unspecified reactive species

Xiaoxiang Rong,Jinyu Lv,Yantan Liu,Zhaojun Wang,Dongqiang Zeng,Yuedan Li,Shaowei Li,Jianhua Wu,Zheyu Shen,Min Shi,Wangjun Liao,Zhenzhen Wu,Chunlin Wang

Molecular medicine reports 24: PubMed34633052

2021

Tong‑fu‑li‑fei decoction attenuates immunosuppression to protect the intestinal‑mucosal barrier in sepsis by inhibiting the PD‑1/PD‑L1 signaling pathway.

Applications

Unspecified application

Species

Unspecified reactive species

Li Chen,Lan Li,Suzhao Zou,Qianhua Liao,Bo Lv

OncoTargets and therapy 13:9785-9795 PubMed33061457

2020

MiRNA505/NET1 Axis Acts as a CD8 T-TIL Regulator in Non-Small Cell Lung Cancer.

Applications

Unspecified application

Species

Unspecified reactive species

Pengyuan Zhu,Zhenchuan Liu,Haitao Huang,Chongjun Zhong,Yongxin Zhou
View all publications

Product promise

We are committed to supporting your work with high-quality reagents, and we're here for you every step of the way. In the unlikely event that one of our products does not perform as expected, you're protected by our Product Promise.
For full details, please see our Terms & Conditions

Please note: All products are 'FOR RESEARCH USE ONLY. NOT FOR USE IN DIAGNOSTIC OR THERAPEUTIC PROCEDURES'.

For licensing inquiries, please contact partnerships@abcam.com