JavaScript is disabled in your browser. Please enable JavaScript to view this website.
AB186928

Anti-PD1 antibody [EPR4877(2)] - BSA and Azide free

1

(1 Review)

|

(10 Publications)

Anti-PD1 antibody [EPR4877(2)] - BSA and Azide free (ab186928) is a rabbit recombinant monoclonal antibody provided in a PBS only buffer for easy conjugation detecting PD1 in IHC-P. Suitable for Human.

- BSA, sodium azide, and glycerol-free for easy conjugation
- Biophysical QC for unrivalled batch-batch consistency

View Alternative Names

CD279, PD1, PDCD1, Programmed cell death protein 1, Protein PD-1, hPD-1

13 Images
Immunohistochemistry (Formalin/PFA-fixed paraffin-embedded sections) - Anti-PD1 antibody [EPR4877(2)] - BSA and Azide free (AB186928)
  • IHC-P

Lab

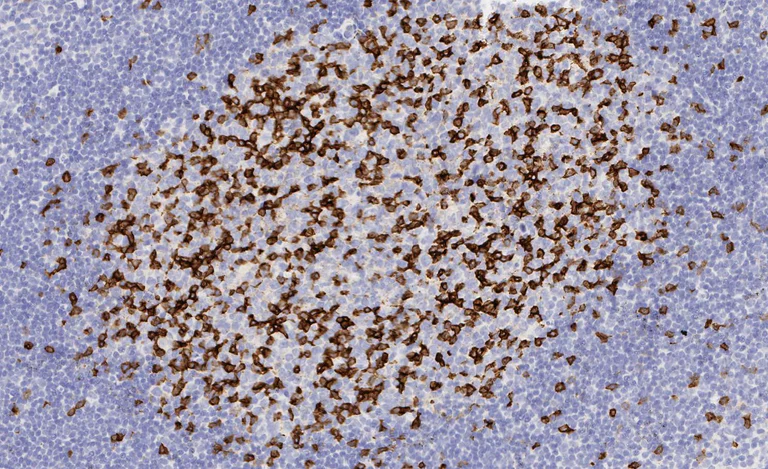
Immunohistochemistry (Formalin/PFA-fixed paraffin-embedded sections) - Anti-PD1 antibody [EPR4877(2)] - BSA and Azide free (AB186928)

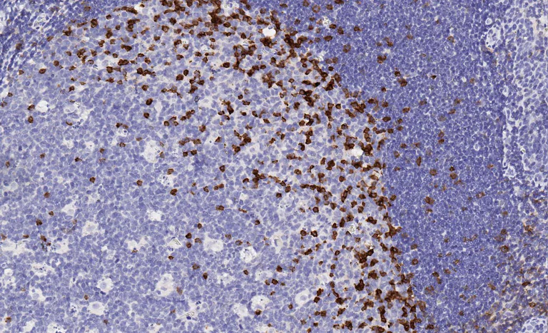
Immunohistochemistry (Paraffin-embedded sections) analysis of Human angioimmunoblastic T-cell lymphoma tissue labeling PD1 with ab186928 at 1/1000. Heat mediated antigen retrieval was perfomed using Tris/EDTA buffer pH 9. Anti-rabbit IgG H&L (HRP) (ab97051) was used as the secondary antibody at 1/500. Counterstained with hematoxylin.

Immunohistochemistry (Formalin/PFA-fixed paraffin-embedded sections) - Anti-PD1 antibody [EPR4877(2)] - BSA and Azide free (AB186928)
  • IHC-P

Unknown

Immunohistochemistry (Formalin/PFA-fixed paraffin-embedded sections) - Anti-PD1 antibody [EPR4877(2)] - BSA and Azide free (AB186928)

Immunohistochemical analysis using ab137132 showing negative staining in human skeletal muscle tissue.

This data was developed using the same antibody clone in a different buffer formulation containing PBS, BSA, glycerol, and sodium azide (ab137132).

Immunohistochemistry (Formalin/PFA-fixed paraffin-embedded sections) - Anti-PD1 antibody [EPR4877(2)] - BSA and Azide free (AB186928)
  • IHC-P

Unknown

Immunohistochemistry (Formalin/PFA-fixed paraffin-embedded sections) - Anti-PD1 antibody [EPR4877(2)] - BSA and Azide free (AB186928)

Immunohistochemistry (Formalin/PFA-fixed paraffin-embedded sections) analysis of human tonsil tissue labelling PD1 with ab137132 at a dilution of 1/500. Heat mediated antigen retrieval was performed using EDTA antigen retrieval solution, and microwave treatment for 20 min at 20% power. Anti-Rabbit HRP polymer was used as secondary antibody. Opal tyramide amplification was performed using Opal 540 fluorophore. Counterstained with DAPI stain.

Image scanned with Vectra 3.0 and analyzed via Inform software.

This image was courteously provided by Dr. Houssein Abdul Sater, Georgia Cancer Center.

This data was developed using the same antibody clone in a different buffer formulation containing PBS, BSA, glycerol, and sodium azide (ab137132).

Immunohistochemistry (Formalin/PFA-fixed paraffin-embedded sections) - Anti-PD1 antibody [EPR4877(2)] - BSA and Azide free (AB186928)
  • IHC-P

Unknown

Immunohistochemistry (Formalin/PFA-fixed paraffin-embedded sections) - Anti-PD1 antibody [EPR4877(2)] - BSA and Azide free (AB186928)

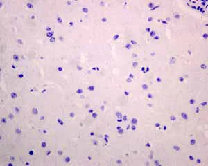
Immunohistochemical analysis using ab137132 showing negative staining in normal human brain tissue.

This data was developed using the same antibody clone in a different buffer formulation containing PBS, BSA, glycerol, and sodium azide (ab137132).

Immunohistochemistry (Formalin/PFA-fixed paraffin-embedded sections) - Anti-PD1 antibody [EPR4877(2)] - BSA and Azide free (AB186928)
  • IHC-P

Lab

Immunohistochemistry (Formalin/PFA-fixed paraffin-embedded sections) - Anti-PD1 antibody [EPR4877(2)] - BSA and Azide free (AB186928)

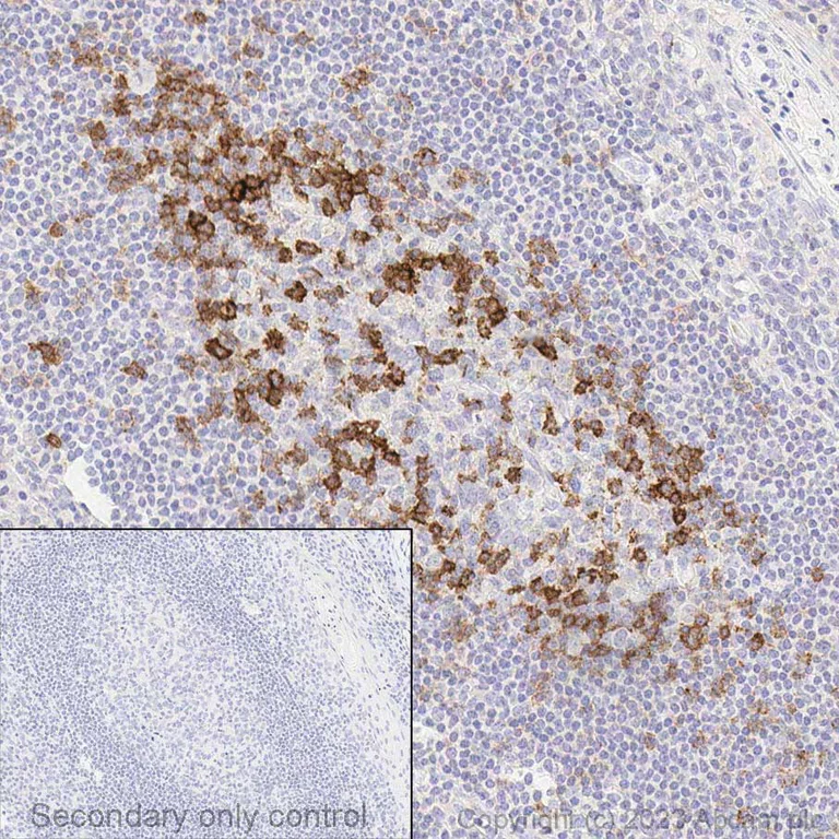
Immunohistochemistry (Paraffin-embedded sections) analysis of Human tonsil tissue labeling PD1 with ab186928 at 1/1000. Heat mediated antigen retrieval was perfomed using Tris/EDTA buffer pH 9. Anti-rabbit IgG H&L (HRP) (ab97051) was used as the secondary antibody at 1/500. Counterstained with hematoxylin.

Immunohistochemistry (Formalin/PFA-fixed paraffin-embedded sections) - Anti-PD1 antibody [EPR4877(2)] - BSA and Azide free (AB186928)
  • IHC-P

Unknown

Immunohistochemistry (Formalin/PFA-fixed paraffin-embedded sections) - Anti-PD1 antibody [EPR4877(2)] - BSA and Azide free (AB186928)

Immunohistochemical (Formalin/PFA-fixed paraffin-embedded sections) analysis of human tonsil tissue labeling PD1 with ab137132 at a dilution of 1/250. Anti-Rabbit HRP polymer was used as the secondary detection system. Heat-mediated antigen retrieval was performed using EDTA based pH 9.0 buffer.

Immunohistochemistry (Formalin/PFA-fixed paraffin-embedded sections) - Anti-PD1 antibody [EPR4877(2)] - BSA and Azide free (AB186928)
  • IHC-P

Unknown

Immunohistochemistry (Formalin/PFA-fixed paraffin-embedded sections) - Anti-PD1 antibody [EPR4877(2)] - BSA and Azide free (AB186928)

Immunohistochemical (Formalin/PFA-fixed paraffin-embedded sections) analysis of human tonsil tissue labeling PD1 with ab137132 at a dilution of 1/250. Anti-Rabbit HRP polymer was used as the secondary detection system. Heat-mediated antigen retrieval was performed using citrate based pH 6.0 buffer.

Immunohistochemistry (Formalin/PFA-fixed paraffin-embedded sections) - Anti-PD1 antibody [EPR4877(2)] - BSA and Azide free (AB186928)
  • IHC-P

Unknown

Immunohistochemistry (Formalin/PFA-fixed paraffin-embedded sections) - Anti-PD1 antibody [EPR4877(2)] - BSA and Azide free (AB186928)

Clone EPR4877(2) (ab186928) has been successfully conjugated by Abcam. This image was generated using Anti-PD1 antibody [EPR4877(2)] (Alexa Fluor® 647). Please refer to ab201825 for protocol details.

IHC image of PD1 staining in a section of formalin-fixed paraffin-embedded normal human tonsil*.

The section was pre-treated using heat mediated antigen retrieval with sodium citrate buffer (pH6) in a Dako Pascal pressure cooker using the standard factory-set regime. Non-specific protein-protein interactions were then blocked in TBS containing 0.025% (v/v) Triton X-100, 0.3M (w/v) glycine and 1% (w/v) BSA for 1h at room temperature.  The section was then incubated overnight at +4°C in TBS containing 0.025% (v/v) Triton X-100 and 1% (w/v) BSA with ab201825 at 1/100 dilution (shown in red) and counterstained using ab195887, Mouse monoclonal to alpha Tubulin (Alexa Fluor® 488), at 1/250 dilution (shown in green). Nuclear DNA was labelled with DAPI (shown in blue). The section was then mounted using Fluoromount®.

Image was taken with a confocal microscope (Leica-Microsystems, TCS SP8).

For other IHC staining systems (automated and non-automated), customers should optimize variable parameters such as antigen retrieval conditions, antibody concentrations and incubation times.

*Tissue obtained from the Human Research Tissue Bank, supported by the NIHR Cambridge Biomedical Research Centre.

Immunohistochemistry (Formalin/PFA-fixed paraffin-embedded sections) - Anti-PD1 antibody [EPR4877(2)] - BSA and Azide free (AB186928)
  • IHC-P

Unknown

Immunohistochemistry (Formalin/PFA-fixed paraffin-embedded sections) - Anti-PD1 antibody [EPR4877(2)] - BSA and Azide free (AB186928)

Immunohistochemistry (Formalin/PFA-fixed paraffin-embedded sections) analysis of human tonsil tissue labelling PD1 with purified ab137132 at 1/500. Heat mediated antigen retrieval was performed using Tris/EDTA buffer pH 9. ab97051, a HRP-conjugated goat anti-rabbit IgG (H+L) was used as the secondary antibody (1/500). Negative control using PBS instead of primary antibody. Counterstained with hematoxylin.

This data was developed using the same antibody clone in a different buffer formulation containing PBS, BSA, glycerol, and sodium azide (ab137132).

Immunohistochemistry (Formalin/PFA-fixed paraffin-embedded sections) - Anti-PD1 antibody [EPR4877(2)] - BSA and Azide free (AB186928)
  • IHC-P

Supplier Data

Immunohistochemistry (Formalin/PFA-fixed paraffin-embedded sections) - Anti-PD1 antibody [EPR4877(2)] - BSA and Azide free (AB186928)

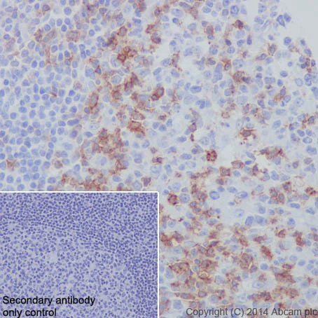
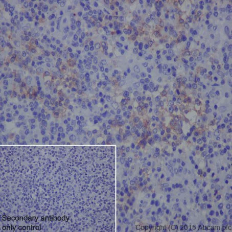
Immunohistochemical analysis of formalin fixed paraffin embedded human tonsil labelling PD-L1 with ab186928 at a concentration of 5µg/ml. The immunostaining was performed on a Ventana DISCOVERY ULTRA (Roche Tissue Diagnostics) instrument with an OptiView DAB IHC Detection Kit. Heat mediated antigen retrieval was conducted for 32min with ULTRA cell conditioning solution (CC1 pH8.5). ab186928 anti PD-L1 antibody was incubated at 37oC for 16min. Sections were counterstained is with Hematoxylin II. Image inset shows absence of staining in secondary antibody only control.

Immunohistochemistry (Formalin/PFA-fixed paraffin-embedded sections) - Anti-PD1 antibody [EPR4877(2)] - BSA and Azide free (AB186928)
  • IHC-P

Unknown

Immunohistochemistry (Formalin/PFA-fixed paraffin-embedded sections) - Anti-PD1 antibody [EPR4877(2)] - BSA and Azide free (AB186928)

Immunohistochemistry (Formalin/PFA-fixed paraffin-embedded sections) analysis of human tonsil tissue labelling PD1 with unpurified ab137132 at a dilution of 1/250.

This data was developed using the same antibody clone in a different buffer formulation containing PBS, BSA, glycerol, and sodium azide (ab137132).

Immunohistochemistry (Formalin/PFA-fixed paraffin-embedded sections) - Anti-PD1 antibody [EPR4877(2)] - BSA and Azide free (AB186928)
  • IHC-P

Unknown

Immunohistochemistry (Formalin/PFA-fixed paraffin-embedded sections) - Anti-PD1 antibody [EPR4877(2)] - BSA and Azide free (AB186928)

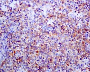
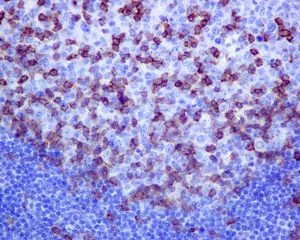
Immunohistochemistry (Formalin/PFA-fixed paraffin-embedded sections) analysis of human T-cell lymphoma tissue labelling PD1 with unpurified ab137132 at a dilution of 1/250.

This data was developed using the same antibody clone in a different buffer formulation containing PBS, BSA, glycerol, and sodium azide (ab137132).

Immunohistochemistry (Formalin/PFA-fixed paraffin-embedded sections) - Anti-PD1 antibody [EPR4877(2)] - BSA and Azide free (AB186928)
  • IHC-P

Lab

Immunohistochemistry (Formalin/PFA-fixed paraffin-embedded sections) - Anti-PD1 antibody [EPR4877(2)] - BSA and Azide free (AB186928)

Tissue Microarrays stained for "Anti-PD1 antibody [EPR4877(2)]" using "ab137132"in immunohistochemical analysis. This table provides a detailed overview of positive (tick mark) and negative (cross mark) staining per sample type tested. The sections were pre-treated using Heat mediated antigen retrieval using Bond™ Epitope Retrieval Solution 2 (pH 9.0) for 20 minutes. The sections were incubated with ab137132 for 30 mins at room temperature followed by a ready to use Rabbit specific IHC polymer detection kit HRP/DAB (ab209101). The immunostaining was performed on a Leica Biosystems BOND® RX instrument.

Key facts

Host species

Rabbit

Clonality

Monoclonal

Clone number

EPR4877(2)

Isotype

IgG

Carrier free

Yes

Reacts with

Human

Applications

IHC-P

applications

Immunogen

The exact immunogen used to generate this antibody is proprietary information.

Reactivity data

{ "title": "Reactivity Data", "filters": { "stats": ["", "Species", "Dilution Info", "Notes"], "tabs": { "all-applications": {"fullname" : "All Applications", "shortname": "All Applications"}, "IHCP" : {"fullname" : "Immunohistochemistry (Formalin/PFA-fixed paraffin-embedded sections)", "shortname":"IHC-P"} }, "product-promise": { "all": "all", "testedAndGuaranteed": "tested", "guaranteed": "expected", "predicted": "predicted", "notRecommended": "not-recommended" } }, "values": { "Human": { "IHCP-species-checked": "testedAndGuaranteed", "IHCP-species-dilution-info": "1 µg/mL", "IHCP-species-notes": "<p></p>" } } }

Product details

What is this antibody validated in?
Anti-PD1 antibody [EPR4877(2)] - BSA and Azide free (ab186928) is a rabbit recombinant monoclonal antibody and is validated for use in Immunohistochemistry (IHC-P) in Human samples.

Other related products
We have a range of other formats of antibody clone [EPR4877(2)] also available for your convenience: ab137132, Carrier free - ab186928, Alexa Fluor® 647 - ab201825, Alexa Fluor® 555 - ab275126, Alexa Fluor® 594 - ab275349, Alexa Fluor® 488 - ab311022, Alexa Fluor® 568 - ab313074, Alexa Fluor® 750 - ab321110

Patented technology
Our RabMAb® technology is a patented hybridoma-based technology for making rabbit monoclonal antibodies. For details on our patents, please refer to RabMAb® patents.

What are the advantages of a recombinant monoclonal antibody?
This product is a recombinant monoclonal antibody, which offers several advantages including:

  • - High batch-to-batch consistency and reproducibility
  • - Improved sensitivity and specificity
  • - Long-term security of supply
  • - Animal-free batch production

For more information, read more on recombinant antibodies.

Conjugation ready
Our carrier-free antibodies are typically supplied in a PBS-only formulation, purified and free of BSA, sodium azide and glycerol. This conjugation-ready format is designed for use with fluorochromes, metal isotopes, oligonucleotides, and enzymes, which makes them ideal for antibody labelling, functional and cell-based assays, flow-based assays (e.g. mass cytometry) and Multiplex Imaging applications.

Use our conjugation kits for antibody conjugates that are ready-to-use in as little as 20 minutes with 1 minute hands-on-time and 100% antibody recovery: available for fluorescent dyes, HRP, biotin and gold.

Compatibility
This product is compatible with the Maxpar® Antibody Labeling Kit from Fluidigm, without the need for antibody preparation. Maxpar® is a trademark of Fluidigm Canada Inc.

Properties and storage information

Form
Liquid
Purification technique
Affinity purification Protein A
Storage buffer
pH: 7.2 - 7.4 Constituents: PBS
Shipped at conditions
Blue Ice
Appropriate short-term storage conditions
+4°C
Appropriate long-term storage conditions
+4°C
Storage information
Do Not Freeze

Supplementary information

This supplementary information is collated from multiple sources and compiled automatically.

PD1 also known as Programmed Cell Death Protein 1 or PDCD1 is a transmembrane protein that plays a critical role in regulating immune responses. It has a mass of approximately 55 kDa. PD1 is expressed on the surface of T cells B cells and some myeloid cells. PD1’s expression increases upon activation of these immune cells assisting in maintaining peripheral tolerance. Researchers often use PD1 mouse models and chimeric antibodies to explore the function of PD1 for experimental purposes. Antibodies such as anti-PD1 such as EH12.2H7 help in blocking PD1 interaction to study its role further.
Biological function summary

PD1 serves as an inhibitory receptor acting as a checkpoint in the immune system. It becomes part of an immune-suppressive complex when it binds with its ligands PD-L1 or PD-L2 which are expressed on various cell types including some tumor cells. This interaction suppresses the proliferation of T cells and cytokine production contributing to immune homeostasis. By controlling T cell activity PD1 limits autoimmunity but can also reduce the immune system's capability to attack cancer cells.

Pathways

PD1 functions in the immune checkpoint pathway a critical regulatory circuit in immune regulation. The engagement of PD1 with its ligands initiates a cascade that inhibits the function and proliferation of T cells through downstream SHP-2 phosphatase activity. This pathway frequently involves other regulatory proteins like CTLA-4 and is an important mechanism by which the body modulates immune responses. Related pathways often intersect with those involving T cell receptor signaling and contribute to the overall modulation of immune activity.

PD1 has a significant role in cancer and autoimmune disorders. PD1 expression can allow tumors to evade immune surveillance making PD1 a target for cancer therapies such as anti-PD1 antibodies which aim to block PD1 and restore T cell activity. The interaction of PD1 with cancer-related proteins like PD-L1 facilitates tumor immune evasion. In autoimmune disorders PD1’s regulation of immune balance can become dysregulated leading to persistent immune activation and tissue damage. Understanding PD1 and its interaction with proteins such as PD-L1 helps in developing therapeutic strategies for both cancer and autoimmune conditions.

Product protocols

For this product, it's our understanding that no specific protocols are required. You can visit:

Target data

The protein expressed by the gene PDCD1 functions as an inhibitory receptor on antigen-activated T-cells, playing a critical role in the induction and maintenance of immune tolerance to self. It delivers inhibitory signals by binding to the ligands CD274/PDCD1L1 and CD273/PDCD1LG2. Tumors exploit the PDCD1-mediated inhibitory pathway to attenuate anti-tumor immunity, enabling tumor survival by evading immune system destruction. The interaction with CD274/PDCD1L1 inhibits the effector function of cytotoxic T lymphocytes (CTLs). Blocking the PDCD1-mediated pathway can reverse the exhausted T-cell phenotype and normalize the anti-tumor response, providing a rationale for cancer immunotherapy. This supplementary information is collated from multiple sources and compiled automatically.
See full target information PDCD1

Publications (10)

Recent publications for all applications. Explore the full list and refine your search

Nature immunology 26:1182-1197 PubMed40588561

2025

Chemosensor receptors are lipid-detecting regulators of macrophage function in cancer.

Applications

Unspecified application

Species

Unspecified reactive species

Giulia Marelli,Nicolò Morina,Simone Puccio,Marta Iovino,Marta Pandini,Federica Portale,Mattia Carvetta,Divya Mishra,Elisabetta Diana,Greta Meregalli,Elvezia Paraboschi,Javier Cibella,Clelia Peano,Gianluca Basso,Gabriele De Simone,Chiara Camisaschi,Elena Magrini,Giulio Sartori,Elham Karimi,Piergiuseppe Colombo,Massimo Lazzeri,Paolo Casale,Lavinia Morosi,Giuseppe Martano,Rosanna Asselta,Eduardo Bonavita,Hiro Matsunami,Francesco Bertoni,Logan Walsh,Enrico Lugli,Diletta Di Mitri

iScience 27:110550 PubMed39165839

2024

Multiplex spatial omics reveals changes in immune-epithelial crosstalk during inflammation and dysplasia development in chronic IBD patients.

Applications

Unspecified application

Species

Unspecified reactive species

Matthijs J D Baars,Evelien Floor,Neeraj Sinha,José J M Ter Linde,Stephanie van Dam,Mojtaba Amini,Isaäc J Nijman,Joren R Ten Hove,Julia Drylewicz,G Johan A Offerhaus,Miangela M Laclé,Bas Oldenburg,Yvonne Vercoulen

Cell reports. Medicine 5:101438 PubMed38401548

2024

A signature of enhanced proliferation associated with response and survival to anti-PD-L1 therapy in early-stage non-small cell lung cancer.

Applications

Unspecified application

Species

Unspecified reactive species

Nasser K Altorki,Bhavneet Bhinder,Alain C Borczuk,Olivier Elemento,Vivek Mittal,Timothy E McGraw

Nature communications 14:8435 PubMed38114518

2023

Neoadjuvant durvalumab plus radiation versus durvalumab alone in stages I-III non-small cell lung cancer: survival outcomes and molecular correlates of a randomized phase II trial.

Applications

Unspecified application

Species

Unspecified reactive species

Nasser K Altorki,Zachary H Walsh,Johannes C Melms,Jeffery L Port,Benjamin E Lee,Abu Nasar,Cathy Spinelli,Lindsay Caprio,Meri Rogava,Patricia Ho,Paul J Christos,Ashish Saxena,Olivier Elemento,Bhavneet Bhinder,Casey Ager,Amit Dipak Amin,Nicholas J Sanfilippo,Vivek Mittal,Alain C Borczuk,Silvia C Formenti,Benjamin Izar,Timothy E McGraw

iScience 26:107891 PubMed37766980

2023

Highly multiplexed spatial analysis identifies tissue-resident memory T cells as drivers of ulcerative and immune checkpoint inhibitor colitis.

Applications

Unspecified application

Species

Unspecified reactive species

Mick J M van Eijs,José J M Ter Linde,Matthijs J D Baars,Mojtaba Amini,Miangela M Laclé,Eelco C Brand,Eveline M Delemarre,Julia Drylewicz,Stefan Nierkens,Rik J Verheijden,Bas Oldenburg,Yvonne Vercoulen,Karijn P M Suijkerbuijk,Femke van Wijk

Frontiers in immunology 14:1162669 PubMed37207208

2023

Naproxen chemoprevention induces proliferation of cytotoxic lymphocytes in Lynch Syndrome colorectal mucosa.

Applications

Unspecified application

Species

Unspecified reactive species

Charles M Bowen,Nan Deng,Laura Reyes-Uribe,Edwin Roger Parra,Pedro Rocha,Luisa M Solis,Ignacio I Wistuba,Valerie O Sepeda,Lana Vornik,Marjorie Perloff,Eva Szabo,Asad Umar,Krishna M Sinha,Powel H Brown,Eduardo Vilar

Blood cancer journal 13:57 PubMed37088806

2023

Combined inhibition of BCL-2 and MCL-1 overcomes BAX deficiency-mediated resistance of TP53-mutant acute myeloid leukemia to individual BH3 mimetics.

Applications

Unspecified application

Species

Unspecified reactive species

Bing Z Carter,Po Yee Mak,Wenjing Tao,Edward Ayoub,Lauren B Ostermann,Xuelin Huang,Sanam Loghavi,Steffen Boettcher,Yuki Nishida,Vivian Ruvolo,Paul E Hughes,Phuong K Morrow,Torsten Haferlach,Steven Kornblau,Muharrem Muftuoglu,Michael Andreeff

Cancers 15: PubMed36765785

2023

Flexible Cyclic Immunofluorescence (cyCIF) Using Oligonucleotide Barcoded Antibodies.

Applications

Unspecified application

Species

Unspecified reactive species

Nathan P McMahon,Jocelyn A Jones,Ashley N Anderson,Matthew S Dietz,Melissa H Wong,Summer L Gibbs

Cell reports 39:110639 PubMed35385730

2022

Global evolution of the tumor microenvironment associated with progression from preinvasive invasive to invasive human lung adenocarcinoma.

Applications

Unspecified application

Species

Unspecified reactive species

Nasser K Altorki,Alain C Borczuk,Sebron Harrison,Lauren K Groner,Bhavneet Bhinder,Vivek Mittal,Olivier Elemento,Timothy E McGraw

Cancer immunology research 7:644-657 PubMed30745366

2019

Immune Profiling and Quantitative Analysis Decipher the Clinical Role of Immune-Checkpoint Expression in the Tumor Immune Microenvironment of DLBCL.

Applications

Unspecified application

Species

Unspecified reactive species

Ziju Y Xu-Monette,Min Xiao,Qingyan Au,Raghav Padmanabhan,Bing Xu,Nicholas Hoe,Sandra Rodríguez-Perales,Raul Torres-Ruiz,Ganiraju C Manyam,Carlo Visco,Yi Miao,Xiaohong Tan,Hongwei Zhang,Alexandar Tzankov,Jing Wang,Karen Dybkær,Wayne Tam,Hua You,Govind Bhagat,Eric D Hsi,Maurilio Ponzoni,Andrés J M Ferreri,Michael B Møller,Miguel A Piris,J Han van Krieken,Jane N Winter,Jason R Westin,Lan V Pham,L Jeffrey Medeiros,George Z Rassidakis,Yong Li,Gordon J Freeman,Ken H Young
View all publications

Product promise

We are committed to supporting your work with high-quality reagents, and we're here for you every step of the way. In the unlikely event that one of our products does not perform as expected, you're protected by our Product Promise.
For full details, please see our Terms & Conditions

Please note: All products are 'FOR RESEARCH USE ONLY. NOT FOR USE IN DIAGNOSTIC OR THERAPEUTIC PROCEDURES'.

For licensing inquiries, please contact partnerships@abcam.com