JavaScript is disabled in your browser. Please enable JavaScript to view this website.
AB309364

Anti-PD1 antibody [RM1033] - BSA and Azide free

  • BOND RX™ Validated
  • Recombinant
  • Advanced Validation
  • RabMAb
  • What is this?

Be the first to review this product! Submit a review

|

(0 Publication)

Rabbit Recombinant Multiclonal PD1 antibody. Carrier free. Suitable for mIHC, WB, IHC-P, ICC/IF and reacts with Human, Mouse samples.

View Alternative Names

CD279, PD1, PDCD1, Programmed cell death protein 1, Protein PD-1, hPD-1

5 Images
Immunohistochemistry (Formalin/PFA-fixed paraffin-embedded sections) - Anti-PD1 antibody [RM1033] - BSA and Azide free (AB309364)
  • IHC-P

Supplier Data

Immunohistochemistry (Formalin/PFA-fixed paraffin-embedded sections) - Anti-PD1 antibody [RM1033] - BSA and Azide free (AB309364)

This data was developed using ab309363, the same antibody clone in a different buffer formulation. Immunohistochemical analysis of paraffin-embedded Human cerebrum tissue labeling PD1 with ab309363 at 1/4000 (0.125 ug/ml) followed by a ready to use LeicaDS9800 (Bond™ Polymer Refine Detection). Negative control : no staining on human cerebrum. The section was incubated with ab309363 for 30 mins at room temperature.The immunostaining was performed on a Leica Biosystems BOND® RX instrument Counterstained with Hematoxylin. Secondary antibody only control : Secondary antibody is a ready to use LeicaDS9800 (Bond™ Polymer Refine Detection). Heat mediated antigen retrieval with Tris-EDTA buffer (pH 9.0, epitope retrieval solution2) for 20 mins

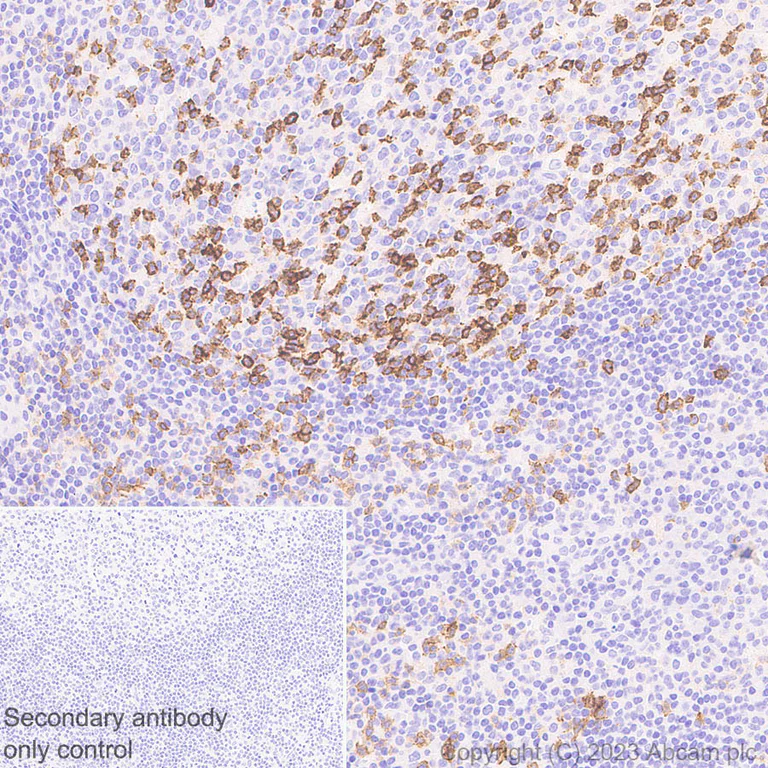
Immunohistochemistry (Formalin/PFA-fixed paraffin-embedded sections) - Anti-PD1 antibody [RM1033] - BSA and Azide free (AB309364)
  • IHC-P

Supplier Data

Immunohistochemistry (Formalin/PFA-fixed paraffin-embedded sections) - Anti-PD1 antibody [RM1033] - BSA and Azide free (AB309364)

This data was developed using ab309363, the same antibody clone in a different buffer formulation. Immunohistochemical analysis of paraffin-embedded Human tonsil tissue labeling PD1 with ab309363 at 1/4000 (0.125 ug/ml) followed by a ready to use LeicaDS9800 (Bond™ Polymer Refine Detection). Positive staining on human tonsil. The section was incubated with ab309363 for 30 mins at room temperature.The immunostaining was performed on a Leica Biosystems BOND® RX instrument Counterstained with Hematoxylin. Secondary antibody only control : Secondary antibody is a ready to use LeicaDS9800 (Bond™ Polymer Refine Detection). Heat mediated antigen retrieval with Tris-EDTA buffer (pH 9.0, epitope retrieval solution2) for 20 mins

Multiplex immunohistochemistry - Anti-PD1 antibody [RM1033] - BSA and Azide free (AB309364)
  • mIHC

Supplier Data

Multiplex immunohistochemistry - Anti-PD1 antibody [RM1033] - BSA and Azide free (AB309364)

This data was produced using ab309363, the same clone but in a different formulation.

Multiplex immunohistochemistry analysis of formalin/PFA-fixed paraffin-embedded human tonsil tissue staining PD1 with ab309363 at a 1/4000 dilution ( 0.125 μg/ml), ab228462 anti-PD-L1 used at 1/100 dilution (0.52 μg/ml) and ab213363 anti-CD68 used at a 1/500 dilution (1.26 μg/ml).

Panel A : merged staining of anti-CD68 (gray; Opal™690), anti-PD1 (green; Opal™520) and anti-PD-L1 (red; Opal™570) on human tonsil.
Panel B : anti-PD1 stained on antigen-stimulated T cells.
Panel C : anti-PD-L1 stained on cells involved in T cell inhibition.
Panel D : anti-CD68 stained on macrophages.

The section was incubated in three rounds of staining : in the order of ab213363 and ab309363 for 30 mins, then ab228462 for 10 mins at room temperature.

Heat mediated antigen retrieval with Tris-EDTA buffer (pH 9.0, epitope retrieval solution2) for 20 mins. Each round was followed by a separate fluorescent tyramide signal amplification system.

The immunostaining was performed on a Leica Biosystems BOND® RX instrument with an Opal™ 4-color kit. Image acquisition was performed with Leica SP8 confocal microscope.

Immunocytochemistry/ Immunofluorescence - Anti-PD1 antibody [RM1033] - BSA and Azide free (AB309364)
  • ICC/IF

Supplier Data

Immunocytochemistry/ Immunofluorescence - Anti-PD1 antibody [RM1033] - BSA and Azide free (AB309364)

This data was developed using ab309363, the same antibody clone in a different buffer formulation. Immunofluorescent analysis of 4% Paraformaldehyde-fixed, 0.1% TritonX-100 permeabilized EL-4 (mouse lymphoma T lymphocyte) cells labelling PD1 with ab309363 at 1/50 (10.02 ug/ml) dilution, followed by ab150081 Goat Anti-Rabbit IgG H&L (Alexa Fluor® 488) preadsorbed antibody at 1/1000 2ug/mL dilution (Green). Confocal image showing membranous and cytoplasmic staining in EL-4 cell line.Negative control : CTLL-2 (PMID : 1396582).Image was taken with a confocal microscope (Leica-Microsystems, TCS SP8). is observed. ab195889 Anti-alpha Tubulin mouse monoclonal antibody - Microtubule Marker (Alexa Fluor® 594) was used to counterstain tubulin at 1/200 2.5ug/ml dilution (Red). The Nuclear counterstain was DAPI (Blue). Secondary antibody only control : Secondary antibody is ab150081 Goat Anti-Rabbit IgG H&L (Alexa Fluor® 488) preadsorbed at 1/1000 2ug/mL dilution.

Western blot - Anti-PD1 antibody [RM1033] - BSA and Azide free (AB309364)
  • WB

Supplier Data

Western blot - Anti-PD1 antibody [RM1033] - BSA and Azide free (AB309364)

This data was developed using ab309363, the same antibody clone in a different buffer formulation. Blocking and diluting buffer and concentration : 5% NFDM/TBST Negative control : CTLL-2 (PMID : 1396582). In Western blot, anti-GAPDH antibody (ab181602) staining at 1/20, 0000 dilution. Exposure time : 125 seconds

All lanes:

Western blot - Anti-PD1 antibody [RM1033] (<a href='/en-us/products/primary-antibodies/pd1-antibody-rm1033-ab309363'>ab309363</a>) at 1/1000 dilution

Lane 1:

MOLT-4 (human lymphoblastic leukemia T lymphoblast) whole cell lysate at 20 µg

Lane 2:

EL4 (mouse lymphoma T lymphocyte) whole cell lysate at 20 µg

Lane 3:

EL4.IL-2 (mouse lymphoma T lymphocyte) whole cell lysate at 20 µg

Lane 4:

CTLL-2 (mouse T lymphocyte) whole cell lysate at 20 µg

Lane 5:

Human tomsil tissue lysate at 20 µg

Secondary

All lanes:

Western blot - Goat Anti-Rabbit IgG H&L (HRP) (<a href='/en-us/products/secondary-antibodies/goat-rabbit-igg-h-l-hrp-ab97051'>ab97051</a>) at 1/100000 dilution

Observed band size: 60 kDa,80 kDa

false

Exposure time: 125s

Key facts

Host species

Rabbit

Clonality

Multiclonal

Clone number

RM1033

Isotype

IgG

Carrier free

Yes

Reacts with

Human, Mouse

Applications

WB, ICC/IF, mIHC, IHC-P

applications

Immunogen

This product was produced with the following immunogens:

The exact immunogen used to generate this antibody is proprietary information.

The exact immunogen used to generate this antibody is proprietary information.

The exact immunogen used to generate this antibody is proprietary information.

Reactivity data

{ "title": "Reactivity Data", "filters": { "stats": ["", "Species", "Dilution Info", "Notes"], "tabs": { "all-applications": {"fullname" : "All Applications", "shortname": "All Applications"}, "mIHC" : {"fullname" : "Multiplex immunohistochemistry", "shortname":"mIHC"}, "WB" : {"fullname" : "Western blot", "shortname":"WB"}, "IHCP" : {"fullname" : "Immunohistochemistry (Formalin/PFA-fixed paraffin-embedded sections)", "shortname":"IHC-P"}, "ICCIF" : {"fullname" : "Immunocytochemistry/ Immunofluorescence", "shortname":"ICC/IF"}, "FlowCyt" : {"fullname" : "Flow Cytometry", "shortname":"Flow Cyt"}, "IP" : {"fullname" : "Immunoprecipitation", "shortname":"IP"} }, "product-promise": { "all": "all", "testedAndGuaranteed": "tested", "guaranteed": "expected", "predicted": "predicted", "notRecommended": "not-recommended" } }, "values": { "Human": { "mIHC-species-checked": "testedAndGuaranteed", "mIHC-species-dilution-info": "", "mIHC-species-notes": "<p></p>", "WB-species-checked": "testedAndGuaranteed", "WB-species-dilution-info": "", "WB-species-notes": "<p></p>", "IHCP-species-checked": "testedAndGuaranteed", "IHCP-species-dilution-info": "", "IHCP-species-notes": "<p></p>", "ICCIF-species-checked": "guaranteed", "ICCIF-species-dilution-info": "", "ICCIF-species-notes": "", "FlowCyt-species-checked": "notRecommended", "FlowCyt-species-dilution-info": "", "FlowCyt-species-notes": "<p></p>", "IP-species-checked": "notRecommended", "IP-species-dilution-info": "", "IP-species-notes": "<p></p>" }, "Mouse": { "mIHC-species-checked": "notRecommended", "mIHC-species-dilution-info": "", "mIHC-species-notes": "<p></p>", "WB-species-checked": "testedAndGuaranteed", "WB-species-dilution-info": "", "WB-species-notes": "<p></p>", "IHCP-species-checked": "notRecommended", "IHCP-species-dilution-info": "", "IHCP-species-notes": "<p></p>", "ICCIF-species-checked": "testedAndGuaranteed", "ICCIF-species-dilution-info": "", "ICCIF-species-notes": "<p></p>", "FlowCyt-species-checked": "notRecommended", "FlowCyt-species-dilution-info": "", "FlowCyt-species-notes": "", "IP-species-checked": "notRecommended", "IP-species-dilution-info": "", "IP-species-notes": "<p></p>" }, "Rat": { "mIHC-species-checked": "notRecommended", "mIHC-species-dilution-info": "", "mIHC-species-notes": "", "WB-species-checked": "notRecommended", "WB-species-dilution-info": "", "WB-species-notes": "<p></p>", "IHCP-species-checked": "notRecommended", "IHCP-species-dilution-info": "", "IHCP-species-notes": "<p></p>", "ICCIF-species-checked": "notRecommended", "ICCIF-species-dilution-info": "", "ICCIF-species-notes": "", "FlowCyt-species-checked": "notRecommended", "FlowCyt-species-dilution-info": "", "FlowCyt-species-notes": "", "IP-species-checked": "notRecommended", "IP-species-dilution-info": "", "IP-species-notes": "" } } }

Product details

What are recombinant multiclonals?
Recombinant multiclonals are a mixture of recombinant antibodies co-expressed from a library of heavy and light chains. They offer several advantages including:

  • - The sensitivity of polyclonal antibodies by recognising multiple epitopes
  • - High batch-to-batch consistency and reproducibility
  • - Improved sensitivity and specificity
  • - Long-term security of supply
  • - Animal-free batch production

View our range of recombinant multiclonal antibodies.

Patented technology
Our RabMAb® technology is a patented hybridoma-based technology for making rabbit monoclonal antibodies. For details on our patents, please refer to RabMAb® patents.

Conjugation ready
Our carrier-free antibodies are typically supplied in a PBS-only formulation, purified and free of BSA, sodium azide and glycerol. This conjugation-ready format is designed for use with fluorochromes, metal isotopes, oligonucleotides, and enzymes, which makes them ideal for antibody labelling, functional and cell-based assays, flow-based assays (e.g. mass cytometry) and Multiplex Imaging applications.

Use our conjugation kits for antibody conjugates that are ready-to-use in as little as 20 minutes with 1 minute hands-on-time and 100% antibody recovery: available for fluorescent dyes, HRP, biotin and gold.

Compatibility
This product is compatible with the Maxpar® Antibody Labeling Kit from Fluidigm, without the need for antibody preparation. Maxpar® is a trademark of Fluidigm Canada Inc.

Properties and storage information

Form
Liquid
Purification technique
Affinity purification Protein A
Storage buffer
pH: 7.2 - 7.4 Constituents: PBS
Shipped at conditions
Blue Ice
Appropriate short-term storage conditions
+4°C
Appropriate long-term storage conditions
+4°C

Supplementary information

This supplementary information is collated from multiple sources and compiled automatically.

PD1 also known as Programmed Cell Death Protein 1 or PDCD1 is a transmembrane protein that plays a critical role in regulating immune responses. It has a mass of approximately 55 kDa. PD1 is expressed on the surface of T cells B cells and some myeloid cells. PD1’s expression increases upon activation of these immune cells assisting in maintaining peripheral tolerance. Researchers often use PD1 mouse models and chimeric antibodies to explore the function of PD1 for experimental purposes. Antibodies such as anti-PD1 such as EH12.2H7 help in blocking PD1 interaction to study its role further.
Biological function summary

PD1 serves as an inhibitory receptor acting as a checkpoint in the immune system. It becomes part of an immune-suppressive complex when it binds with its ligands PD-L1 or PD-L2 which are expressed on various cell types including some tumor cells. This interaction suppresses the proliferation of T cells and cytokine production contributing to immune homeostasis. By controlling T cell activity PD1 limits autoimmunity but can also reduce the immune system's capability to attack cancer cells.

Pathways

PD1 functions in the immune checkpoint pathway a critical regulatory circuit in immune regulation. The engagement of PD1 with its ligands initiates a cascade that inhibits the function and proliferation of T cells through downstream SHP-2 phosphatase activity. This pathway frequently involves other regulatory proteins like CTLA-4 and is an important mechanism by which the body modulates immune responses. Related pathways often intersect with those involving T cell receptor signaling and contribute to the overall modulation of immune activity.

PD1 has a significant role in cancer and autoimmune disorders. PD1 expression can allow tumors to evade immune surveillance making PD1 a target for cancer therapies such as anti-PD1 antibodies which aim to block PD1 and restore T cell activity. The interaction of PD1 with cancer-related proteins like PD-L1 facilitates tumor immune evasion. In autoimmune disorders PD1’s regulation of immune balance can become dysregulated leading to persistent immune activation and tissue damage. Understanding PD1 and its interaction with proteins such as PD-L1 helps in developing therapeutic strategies for both cancer and autoimmune conditions.

Product protocols

For this product, it's our understanding that no specific protocols are required. You can visit:

Target data

The protein expressed by the gene PDCD1 functions as an inhibitory receptor on antigen-activated T-cells, playing a critical role in the induction and maintenance of immune tolerance to self. It delivers inhibitory signals by binding to the ligands CD274/PDCD1L1 and CD273/PDCD1LG2. Tumors exploit the PDCD1-mediated inhibitory pathway to attenuate anti-tumor immunity, enabling tumor survival by evading immune system destruction. The interaction with CD274/PDCD1L1 inhibits the effector function of cytotoxic T lymphocytes (CTLs). Blocking the PDCD1-mediated pathway can reverse the exhausted T-cell phenotype and normalize the anti-tumor response, providing a rationale for cancer immunotherapy. This supplementary information is collated from multiple sources and compiled automatically.
See full target information PDCD1

Product promise

We are committed to supporting your work with high-quality reagents, and we're here for you every step of the way. In the unlikely event that one of our products does not perform as expected, you're protected by our Product Promise.
For full details, please see our Terms & Conditions

Please note: All products are 'FOR RESEARCH USE ONLY. NOT FOR USE IN DIAGNOSTIC OR THERAPEUTIC PROCEDURES'.

For licensing inquiries, please contact partnerships@abcam.com