JavaScript is disabled in your browser. Please enable JavaScript to view this website.
AB80590

Anti-PDCD4 antibody [EPR3431]

  • BOND RX™ Validated
  • RabMAb
  • Recombinant
  • KO Validated
  • What is this?

Be the first to review this product! Submit a review

|

(31 Publications)

Rabbit Recombinant Monoclonal PDCD4 antibody. Suitable for ICC/IF, IP, WB, Flow Cyt (Intra), IHC-P and reacts with Human samples. Cited in 31 publications.

View Alternative Names

H731, PDCD4, Programmed cell death protein 4, Neoplastic transformation inhibitor protein, Nuclear antigen H731-like, Protein 197/15a

8 Images
Immunohistochemistry (Formalin/PFA-fixed paraffin-embedded sections) - Anti-PDCD4 antibody [EPR3431] (AB80590)
  • IHC-P

Supplier Data

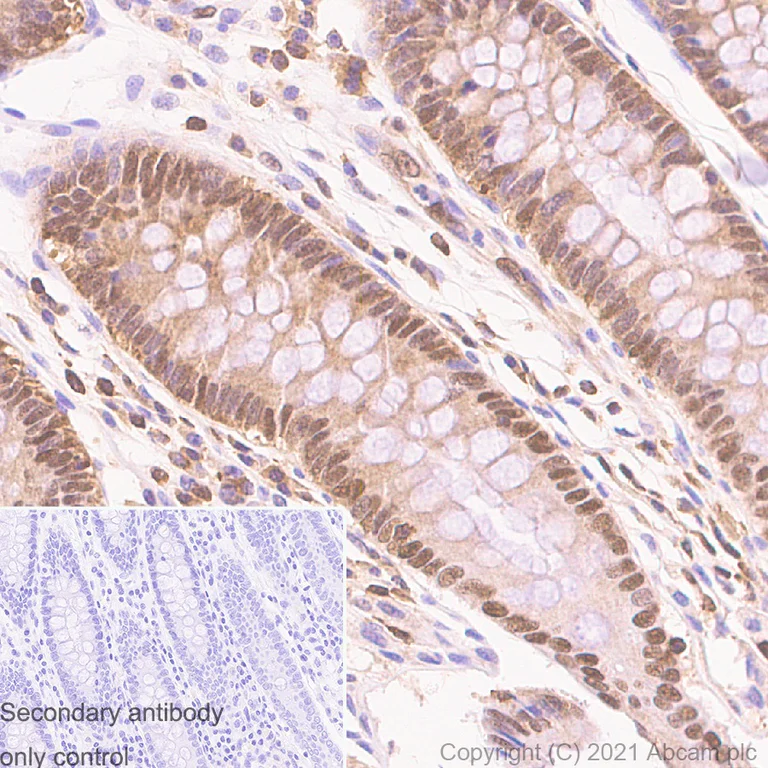
Immunohistochemistry (Formalin/PFA-fixed paraffin-embedded sections) - Anti-PDCD4 antibody [EPR3431] (AB80590)

Immunohistochemistry (Formalin/PFA-fixed paraffin-embedded sections) analysis of human colon tissue sections labeling PDCD4 with Purified ab80590 at 1 : 3000 dilution (0.05 µg/mL). Heat mediated antigen retrieval was performed using Heat mediated antigen retrieval using Bond™ Epitope Retrieval Solution 2 (pH 9.0) . Tissue was counterstained with Hematoxylin. Rabbit specific IHC polymer detection kit HRP/DAB (ab209101) secondary antibody was used. PBS instead of the primary antibody was used as the negative control.

Flow Cytometry (Intracellular) - Anti-PDCD4 antibody [EPR3431] (AB80590)
  • Flow Cyt (Intra)

Lab

Flow Cytometry (Intracellular) - Anti-PDCD4 antibody [EPR3431] (AB80590)

Flow Cytometry analysis of HeLa (Human cervix adenocarcinoma epithelial cell) cells labeling PDCD4 with purified ab80590 at 1/1000 dilution (1 μg/mL) (Red). Cells were fixed with 4% Paraformaldehyde and permeabilised with 90% Methanol. A Goat anti rabbit IgG (Alexa Fluor® 488, ab150077) secondary antibody was used at 1/2000. Isotype control - Rabbit monoclonal IgG (Black). Unlabeled control - Cell without incubation with primary antibody and secondary antibody (Blue).

Immunocytochemistry/ Immunofluorescence - Anti-PDCD4 antibody [EPR3431] (AB80590)
  • ICC/IF

Supplier Data

Immunocytochemistry/ Immunofluorescence - Anti-PDCD4 antibody [EPR3431] (AB80590)

Immunocytochemistry analysis of HeLa (Human cervix adenocarcinoma epithelial cell) cells labeling PDCD4 with Purified ab80590 at 1 : 50 dilution (2.9 µg/ml). Cells were fixed in 4% Paraformaldehyde and permeabilized with 0.1% tritonX-100. Cells were counterstained with ab195889 Anti-alpha Tubulin antibody [DM1A] - Microtubule Marker (Alexa Fluor® 594) 1 : 200 (2.5 µg/ml). Goat anti rabbit IgG (Alexa Fluor® 488, ab150077) was used as the secondary antibody at 1 : 1000 (2 µg/ml) dilution. DAPI (blue) was used as nuclear counterstain. PBS instead of the primary antibody was used as the secondary antibody only control.

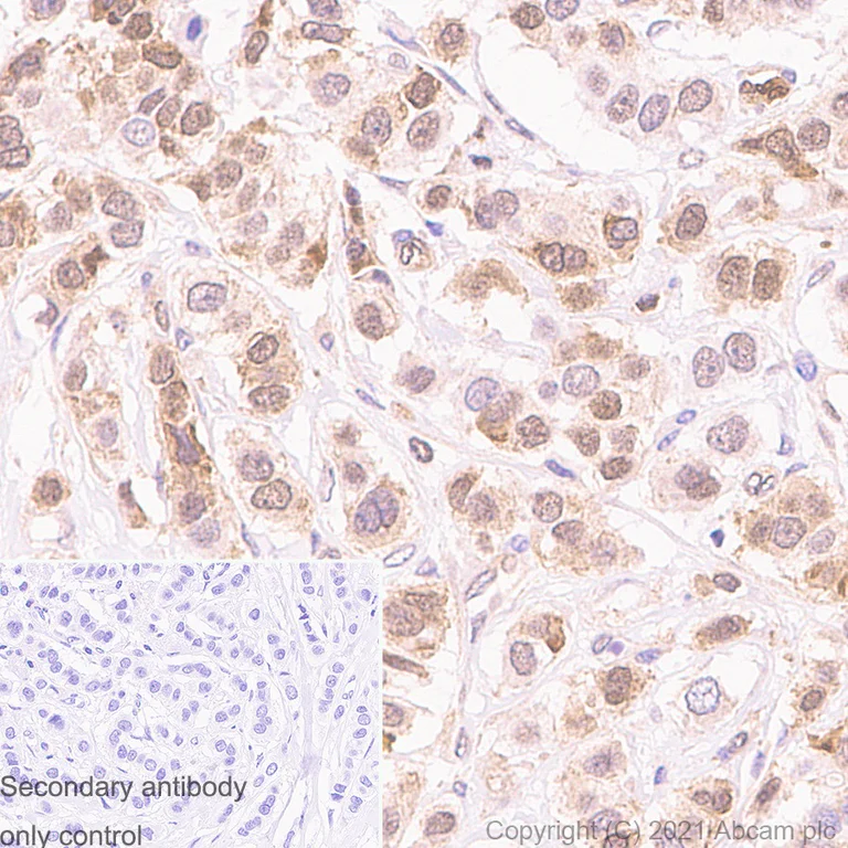
Immunohistochemistry (Formalin/PFA-fixed paraffin-embedded sections) - Anti-PDCD4 antibody [EPR3431] (AB80590)
  • IHC-P

Supplier Data

Immunohistochemistry (Formalin/PFA-fixed paraffin-embedded sections) - Anti-PDCD4 antibody [EPR3431] (AB80590)

Immunohistochemistry (Formalin/PFA-fixed paraffin-embedded sections) analysis of human breast cancer tissue sections labeling PDCD4 with Purified ab80590 at 1 : 3000 dilution (0.05 µg/mL). Heat mediated antigen retrieval was performed using Heat mediated antigen retrieval using Bond™ Epitope Retrieval Solution 2 (pH 9.0) . Tissue was counterstained with Hematoxylin. Rabbit specific IHC polymer detection kit HRP/DAB (ab209101) secondary antibody was used. PBS instead of the primary antibody was used as the negative control.

Immunoprecipitation - Anti-PDCD4 antibody [EPR3431] (AB80590)
  • IP

Lab

Immunoprecipitation - Anti-PDCD4 antibody [EPR3431] (AB80590)

Lane 1 (input) : HeLa (Human cervix adenocarcinoma epithelial cell) whole cell lysate, 10μg
Lane 2 (+) : ab80590 & HeLa whole cell lysate
Lane 3 (-) : Rabbit monoclonal IgG (ab172730) instead of ab80590 in HeLa whole cell lysate

ab80590 (Purified) at 1/30 dilution (20 μg/ml) immunoprecipitating PDCD4 in HeLa whole cell lysate. For western blotting, ab80590 at 1/500 and VeriBlot for IP Detection Reagent (HRP) (ab131366) was used for detection at 1/1000 dilution.
Blocking and diluting buffer : 5% NFDM /TBST .

All lanes:

Immunoprecipitation - Anti-PDCD4 antibody [EPR3431] (ab80590)

Predicted band size: 51 kDa

false

Western blot - Anti-PDCD4 antibody [EPR3431] (AB80590)
  • WB

Unknown

Western blot - Anti-PDCD4 antibody [EPR3431] (AB80590)

All lanes:

Western blot - Anti-PDCD4 antibody [EPR3431] (ab80590) at 1/1000 dilution

Lane 1:

HeLa (Human cervix adenocarcinoma epithelial cell) whole cell lysate at 20 µg

Lane 2:

HEK-293 (Human embryonic kidney epithelial cell) whole cell lysate at 20 µg

Lane 3:

Jurkat (Human T cell leukemia T lymphocyte) whole cell lysate at 20 µg

Secondary

All lanes:

Western blot - Goat Anti-Rabbit IgG H&L (HRP) (<a href='/en-us/products/secondary-antibodies/goat-rabbit-igg-h-l-hrp-ab97051'>ab97051</a>) at 1/20000 dilution

Predicted band size: 51 kDa

Observed band size: 52 kDa

false

Western blot - Anti-PDCD4 antibody [EPR3431] (AB80590)
  • WB

Lab

Western blot - Anti-PDCD4 antibody [EPR3431] (AB80590)

Lanes 1 - 4 : Merged signal (red and green). Green - ab80590 observed at 52 kDa. Red - loading control, ab9484, observed at 37 kDa.

ab80590 was shown to specifically react with PDCD4 in wild-type HAP1 cells as signal was lost in PDCD4 knockout cells. Wild-type and PDCD4 knockout samples were subjected to SDS-PAGE. ab80590 and ab9484 (Mouse anti-GAPDH loading control) were incubated overnight at 4°C both at 1/20000 dilution. Blots were developed with Goat anti-Rabbit IgG H&L (IRDye® 800CW) preabsorbed ab216773 and Goat anti-Mouse IgG H&L (IRDye® 680RD) preabsorbed ab216776 secondary antibodies at 1/10000 dilution for 1 hour at room temperature before imaging.

All lanes:

Western blot - Anti-PDCD4 antibody [EPR3431] (ab80590) at 1/20000 dilution

Lane 1:

Wild-type HAP1 whole cell lysate at 20 µg

Lane 2:

PDCD4 knockout HAP1 whole cell lysate at 20 µg

Lane 3:

HeLa whole cell lysate at 20 µg

Lane 4:

HEK293 whole cell lysate at 20 µg

Predicted band size: 51 kDa

false

Western blot - Anti-PDCD4 antibody [EPR3431] (AB80590)
  • WB

Lab

Western blot - Anti-PDCD4 antibody [EPR3431] (AB80590)

Lanes 1- 2 : Merged signal (red and green). Green - ab80590 observed at 51 kDa. Red - Anti-GAPDH antibody [6C5] - Loading Control (ab8245) observed at 37 kDa.

ab80590 was shown to react with PDCD4 in wild-type HeLa cells in western blot. Loss of signal was observed when knockout cell line ab261833 (knockout cell lysate ab257278) was used. Wild-type HeLa and PDCD4 knockout HeLa cell lysates were subjected to SDS-PAGE. Membrane was blocked for 1 hour at room temperature in 0.1% TBST with 3% non-fat dried milk. ab80590 and Anti-GAPDH antibody [6C5] - Loading Control (ab8245) overnight at 4°C at a 1 in 20000 dilution and a 1 in 20000 dilution respectively. Blots were developed with Goat anti-Rabbit IgG H&L (IRDye®800CW) preadsorbed (ab216773) and Goat anti-Mouse IgG H&L (IRDye®680RD) preadsorbed (ab216776) secondary antibodies at 1 in 20000 dilution for 1 hour at room temperature before imaging.

All lanes:

Western blot - Anti-PDCD4 antibody [EPR3431] (ab80590) at 1/20000 dilution

Lane 1:

Wild-type HeLa cell lysate at 20 µg

Lane 2:

PDCD4 knockout HeLa cell lysate at 20 µg

Lane 2:

Western blot - Human PDCD4 knockout HeLa cell line (<a href='/en-us/products/cell-lines/human-pdcd4-knockout-hela-cell-line-ab261833'>ab261833</a>)

Predicted band size: 51 kDa

Observed band size: 51 kDa

false

Key facts

Host species

Rabbit

Clonality

Monoclonal

Clone number

EPR3431

Isotype

IgG

Carrier free

No

Reacts with

Human

Applications

IHC-P, WB, ICC/IF, Flow Cyt (Intra), IP

applications

Immunogen

The exact immunogen used to generate this antibody is proprietary information.

Reactivity data

{ "title": "Reactivity Data", "filters": { "stats": ["", "Species", "Dilution Info", "Notes"], "tabs": { "all-applications": {"fullname" : "All Applications", "shortname": "All Applications"}, "ICCIF" : {"fullname" : "Immunocytochemistry/ Immunofluorescence", "shortname":"ICC/IF"}, "IP" : {"fullname" : "Immunoprecipitation", "shortname":"IP"}, "WB" : {"fullname" : "Western blot", "shortname":"WB"}, "FlowCytIntra" : {"fullname" : "Flow Cytometry (Intracellular)", "shortname":"Flow Cyt (Intra)"}, "IHCP" : {"fullname" : "Immunohistochemistry (Formalin/PFA-fixed paraffin-embedded sections)", "shortname":"IHC-P"} }, "product-promise": { "all": "all", "testedAndGuaranteed": "tested", "guaranteed": "expected", "predicted": "predicted", "notRecommended": "not-recommended" } }, "values": { "Human": { "ICCIF-species-checked": "testedAndGuaranteed", "ICCIF-species-dilution-info": "1/50", "ICCIF-species-notes": "<p>For unpurified use: 1/100 - 1/250.</p>", "IP-species-checked": "testedAndGuaranteed", "IP-species-dilution-info": "1/20", "IP-species-notes": "<p>For unpurified use: 1/30.</p>", "WB-species-checked": "testedAndGuaranteed", "WB-species-dilution-info": "1/1000", "WB-species-notes": "<p>For unpurified use: 1/20000 - 1/100000.</p>", "FlowCytIntra-species-checked": "testedAndGuaranteed", "FlowCytIntra-species-dilution-info": "1/1000", "FlowCytIntra-species-notes": "<p><a href='/en-us/products/primary-antibodies/rabbit-igg-monoclonal-epr25a-isotype-control-ab172730'>ab172730</a> - Rabbit monoclonal IgG, is suitable for use as an isotype control with this antibody.</p>", "IHCP-species-checked": "testedAndGuaranteed", "IHCP-species-dilution-info": "1/3000", "IHCP-species-notes": "<p></p> Perform heat-mediated antigen retrieval with Tris/EDTA buffer pH 9.0 before commencing with IHC staining protocol." } } }

Product details

Patented technology
Our RabMAb® technology is a patented hybridoma-based technology for making rabbit monoclonal antibodies. For details on our patents, please refer to RabMAb® patents.

What are the advantages of a recombinant monoclonal antibody?
This product is a recombinant monoclonal antibody, which offers several advantages including:

  • - High batch-to-batch consistency and reproducibility
  • - Improved sensitivity and specificity
  • - Long-term security of supply
  • - Animal-free batch production

For more information, read more on recombinant antibodies.

Properties and storage information

Form
Liquid
Purification technique
Affinity purification Protein A
Storage buffer
pH: 7.2 - 7.4 Preservative: 0.01% Sodium azide Constituents: PBS, 40% Glycerol (glycerin, glycerine), 0.05% BSA
Shipped at conditions
Blue Ice
Appropriate short-term storage conditions
+4°C
Appropriate long-term storage conditions
-20°C
Storage information
Stable for 12 months at -20°C

Supplementary information

This supplementary information is collated from multiple sources and compiled automatically.

The PDCD4 protein also known as Programmed Cell Death 4 is a multifunctional tumor suppressor. With a molecular mass of approximately 64 kDa it plays an important role in regulating gene expression and inhibiting cellular transformation. PDCD4 is expressed in various tissues including the lung kidney and heart where it modulates different cellular pathways. Its ability to bind RNA and interact with eukaryotic initiation factor 4A (eIF4A) highlights its important role in translation regulation.
Biological function summary

PDCD4 inhibits translation by binding to the eIF4A RNA helicase blocking the translation initiation complex. This action stabilizes mRNA and reduces protein synthesis impacting processes such as cell growth and proliferation. Although PDCD4 functions mainly as a monomer it can also interact with other proteins to form complexes that enhance its regulatory activity. More specifically its role in controlling AP-1 transcription factor activity steps into the spotlight in influencing cellular responses.

Pathways

PDCD4 primarily interacts with signaling mechanisms related to apoptosis and inflammation. The protein is integral in the mTOR signaling pathway which governs cell growth in response to nutrient availability. PDCD4 also impacts the PI3K/AKT pathway linking its activity to cellular survival and metabolism. Through these pathways PDCD4 associates with proteins such as p53 and NF-kB connecting it to broader cellular and molecular networks involved in maintaining cellular integrity.

PDCD4 is significantly implicated in cancer progression and inflammation-related conditions. Its downregulation or loss frequently occurs in several cancers including breast and lung cancer leading to unchecked cell proliferation and tumor growth. PDCD4's interaction with proteins like c-Myc further demonstrates its importance in oncogenic pathways. Additionally its role in inflammation positions it as a critical factor in disorders such as Crohn’s disease where abnormal inflammatory responses are prominent.

Product protocols

For this product, it's our understanding that no specific protocols are required. You can visit:

Target data

Inhibits translation initiation and cap-dependent translation. May excert its function by hindering the interaction between EIF4A1 and EIF4G. Inhibits the helicase activity of EIF4A. Modulates the activation of JUN kinase. Down-regulates the expression of MAP4K1, thus inhibiting events important in driving invasion, namely, MAPK85 activation and consequent JUN-dependent transcription. May play a role in apoptosis. Tumor suppressor. Inhibits tumor promoter-induced neoplastic transformation. Binds RNA (By similarity).
See full target information PDCD4

Publications (31)

Recent publications for all applications. Explore the full list and refine your search

Journal of nanobiotechnology 22:803 PubMed39734237

2024

Targeting AURKA with multifunctional nanoparticles in CRPC therapy.

Applications

Unspecified application

Species

Unspecified reactive species

Bin Deng,Binghu Ke,Qixing Tian,Yukui Gao,Qiliang Zhai,Wenqiang Zhang

Discover oncology 15:339 PubMed39117970

2024

STC2 suppresses triple-negative breast cancer migration and invasion by inhibition on EMT and promotion on cell apoptosis.

Applications

Unspecified application

Species

Unspecified reactive species

Ruiwen Lei,Chaoling Yao,Renfeng Huang,Wanming Wu,Linyang Ou,Chuansheng Yang

Journal of virology 98:e0006024 PubMed38557170

2024

PDCD4 restricts PRRSV replication in an eIF4A-dependent manner and is antagonized by the viral nonstructural protein 9.

Applications

Unspecified application

Species

Unspecified reactive species

Ruiping Wei,Xiaoxiao Zhang,Xiaoying Wang,Lu Li,Yajie Fu,Yaosheng Chen,Xiaohong Liu,Chunhe Guo

Cell death & disease 14:337 PubMed37217493

2023

The deleted in oral cancer (DOC1 aka CDK2AP1) tumor suppressor gene is downregulated in oral squamous cell carcinoma by multiple microRNAs.

Applications

Unspecified application

Species

Unspecified reactive species

Roberto Stabile,Mario Román Cabezas,Mathijs P Verhagen,Francesco A Tucci,Thierry P P van den Bosch,Maria J De Herdt,Berdine van der Steen,Alex L Nigg,Meng Chen,Cristina Ivan,Masayoshi Shimizu,Senada Koljenović,Jose A Hardillo,C Peter Verrijzer,Robert J Baatenburg de Jong,George A Calin,Riccardo Fodde

Cells 11: PubMed36230970

2022

mA Modification of Long Non-Coding RNA HNF1A-AS1 Facilitates Cell Cycle Progression in Colorectal Cancer via IGF2BP2-Mediated CCND1 mRNA Stabilization.

Applications

Unspecified application

Species

Unspecified reactive species

Yibo Bian,Yang Wang,Shufen Xu,Zhishuang Gao,Chao Li,Zongyao Fan,Jie Ding,Keming Wang

Nature communications 13:2904 PubMed35614056

2022

O-GlcNAc modification of leucyl-tRNA synthetase 1 integrates leucine and glucose availability to regulate mTORC1 and the metabolic fate of leucine.

Applications

Unspecified application

Species

Unspecified reactive species

Kibum Kim,Hee Chan Yoo,Byung Gyu Kim,Sulhee Kim,Yulseung Sung,Ina Yoon,Ya Chun Yu,Seung Joon Park,Jong Hyun Kim,Kyungjae Myung,Kwang Yeon Hwang,Sunghoon Kim,Jung Min Han

Frontiers in cell and developmental biology 10:861327 PubMed35573679

2022

Gender Differential Expression of AR/miR-21 Signaling Axis and Its Protective Effect on Renal Ischemia-Reperfusion Injury.

Applications

Unspecified application

Species

Unspecified reactive species

Gaomin Huang,Qiu Yao,Zhenfeng Ye,Yawei Huang,Chiyu Zhang,Yi Jiang,Xiaoqing Xi

Cancers 13: PubMed34885115

2021

The MEK/ERK/miR-21 Signaling Is Critical in Osimertinib Resistance in EGFR-Mutant Non-Small Cell Lung Cancer Cells.

Applications

Unspecified application

Species

Unspecified reactive species

Wen-Chien Huang,Vijesh Kumar Yadav,Wei-Hong Cheng,Chun-Hua Wang,Ming-Shou Hsieh,Ting-Yi Huang,Shiou-Fu Lin,Chi-Tai Yeh,Kuang-Tai Kuo

Experimental and therapeutic medicine 22:1453 PubMed34721695

2021

MicroRNA-424 alleviates neurocyte injury by targeting PDCD4 in a cellular model of cerebral ischemic stroke.

Applications

Unspecified application

Species

Unspecified reactive species

Hou-Wei Ren,Bin Gu,Yue-Zhan Zhang,Ting Guo,Qian Wang,Yue-Qin Shen,Jun Wang

Nature communications 12:3953 PubMed34172725

2021

A smart multiantenna gene theranostic system based on the programmed assembly of hypoxia-related siRNAs.

Applications

Unspecified application

Species

Unspecified reactive species

Xue Gong,Haizhou Wang,Ruomeng Li,Kaiyue Tan,Jie Wei,Jing Wang,Chen Hong,Jinhua Shang,Xiaoqing Liu,Jing Liu,Fuan Wang
View all publications

Product promise

We are committed to supporting your work with high-quality reagents, and we're here for you every step of the way. In the unlikely event that one of our products does not perform as expected, you're protected by our Product Promise.
For full details, please see our Terms & Conditions

Please note: All products are 'FOR RESEARCH USE ONLY. NOT FOR USE IN DIAGNOSTIC OR THERAPEUTIC PROCEDURES'.

For licensing inquiries, please contact partnerships@abcam.com