JavaScript is disabled in your browser. Please enable JavaScript to view this website.
AB131258

Anti-PDCD7 antibody [EPR8231]

Be the first to review this product! Submit a review

|

(1 Publication)

Rabbit Recombinant Monoclonal PDCD7 antibody. Suitable for IHC-P, WB, ICC/IF and reacts with Human, Mouse, Rat samples. Cited in 1 publication.

View Alternative Names

Programmed cell death protein 7, ES18, hES18, PDCD7

8 Images
Immunohistochemistry (Formalin/PFA-fixed paraffin-embedded sections) - Anti-PDCD7 antibody [EPR8231] (AB131258)
  • IHC-P

Unknown

Immunohistochemistry (Formalin/PFA-fixed paraffin-embedded sections) - Anti-PDCD7 antibody [EPR8231] (AB131258)

Immunohistochemical analysis using ab131258 showing positive staining in Normal breast tissue.

Perform heat mediated antigen retrieval with citrate buffer pH 6 before commencing with IHC staining protocol.

Immunohistochemistry (Formalin/PFA-fixed paraffin-embedded sections) - Anti-PDCD7 antibody [EPR8231] (AB131258)
  • IHC-P

Unknown

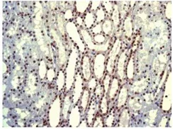
Immunohistochemistry (Formalin/PFA-fixed paraffin-embedded sections) - Anti-PDCD7 antibody [EPR8231] (AB131258)

Immunohistochemical analysis of paraffin embedded Human kidney tissue labelling PDCD7 with ab131258 antibody at 1/50 dilution.

Perform heat mediated antigen retrieval with citrate buffer pH 6 before commencing with IHC staining protocol.

Immunohistochemistry (Formalin/PFA-fixed paraffin-embedded sections) - Anti-PDCD7 antibody [EPR8231] (AB131258)
  • IHC-P

Unknown

Immunohistochemistry (Formalin/PFA-fixed paraffin-embedded sections) - Anti-PDCD7 antibody [EPR8231] (AB131258)

Immunohistochemical analysis using ab131258 showing positive staining in Normal colon tissue.

Perform heat mediated antigen retrieval with citrate buffer pH 6 before commencing with IHC staining protocol.

Immunohistochemistry (Formalin/PFA-fixed paraffin-embedded sections) - Anti-PDCD7 antibody [EPR8231] (AB131258)
  • IHC-P

Unknown

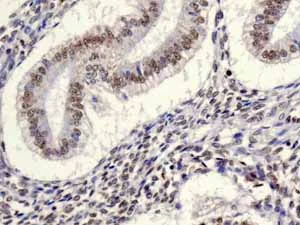
Immunohistochemistry (Formalin/PFA-fixed paraffin-embedded sections) - Anti-PDCD7 antibody [EPR8231] (AB131258)

Immunohistochemical analysis using ab131258 showing positive staining in Normal uterus tissue.

Perform heat mediated antigen retrieval with citrate buffer pH 6 before commencing with IHC staining protocol.

Immunocytochemistry/ Immunofluorescence - Anti-PDCD7 antibody [EPR8231] (AB131258)
  • ICC/IF

Unknown

Immunocytochemistry/ Immunofluorescence - Anti-PDCD7 antibody [EPR8231] (AB131258)

Immunofluorescent analysis of MCF7 cells labelling PDCD7 with ab131258 at /150 dilution.

Immunohistochemistry (Formalin/PFA-fixed paraffin-embedded sections) - Anti-PDCD7 antibody [EPR8231] (AB131258)
  • IHC-P

Unknown

Immunohistochemistry (Formalin/PFA-fixed paraffin-embedded sections) - Anti-PDCD7 antibody [EPR8231] (AB131258)

Immunohistochemical analysis using ab131258 showing positive staining in Normal brain tissue.

Perform heat mediated antigen retrieval with citrate buffer pH 6 before commencing with IHC staining protocol.

Western blot - Anti-PDCD7 antibody [EPR8231] (AB131258)
  • WB

Unknown

Western blot - Anti-PDCD7 antibody [EPR8231] (AB131258)

All lanes:

Western blot - Anti-PDCD7 antibody [EPR8231] (ab131258) at 1/1000 dilution

Lane 1:

HeLa cell lysate at 10 µg

Lane 2:

Jurkat cell lysate at 10 µg

Lane 3:

MCF7 cell lysate at 10 µg

Lane 4:

Caco 2 cell lysate at 10 µg

Secondary

All lanes:

HRP labelled Goat anti Rabbit IgG at 1/2000 dilution

Predicted band size: 55 kDa

false

OI-RD Scanning - Anti-PDCD7 antibody [EPR8231] (AB131258)
  • OI-RD Scanning

Unknown

OI-RD Scanning - Anti-PDCD7 antibody [EPR8231] (AB131258)

We have systematically measured KD (the equilibrium dissociation constant between the antibody and its antigen), of more than 840 recombinant antibodies to assess not only their individual KD values but also to see the average affinity of antibody. Based on the comparison with published literature values for mouse monoclonal antibodies, Recombinant antibodies appear to be on average 1-2 order of magnitude higher affinity.

Key facts

Host species

Rabbit

Clonality

Monoclonal

Clone number

EPR8231

Isotype

IgG

Carrier free

No

Reacts with

Human

Applications

ICC/IF, WB, IHC-P

applications

Immunogen

The exact immunogen used to generate this antibody is proprietary information.

Reactivity data

{ "title": "Reactivity Data", "filters": { "stats": ["", "Species", "Dilution Info", "Notes"], "tabs": { "all-applications": {"fullname" : "All Applications", "shortname": "All Applications"}, "IHCP" : {"fullname" : "Immunohistochemistry (Formalin/PFA-fixed paraffin-embedded sections)", "shortname":"IHC-P"}, "IP" : {"fullname" : "Immunoprecipitation", "shortname":"IP"}, "WB" : {"fullname" : "Western blot", "shortname":"WB"}, "ICCIF" : {"fullname" : "Immunocytochemistry/ Immunofluorescence", "shortname":"ICC/IF"} }, "product-promise": { "all": "all", "testedAndGuaranteed": "tested", "guaranteed": "expected", "predicted": "predicted", "notRecommended": "not-recommended" } }, "values": { "Human": { "IHCP-species-checked": "testedAndGuaranteed", "IHCP-species-dilution-info": "1/50 - 1/100", "IHCP-species-notes": "<p></p>", "IP-species-checked": "notRecommended", "IP-species-dilution-info": "", "IP-species-notes": "<p></p>", "WB-species-checked": "testedAndGuaranteed", "WB-species-dilution-info": "1/1000 - 1/10000", "WB-species-notes": "<p></p>", "ICCIF-species-checked": "testedAndGuaranteed", "ICCIF-species-dilution-info": "1/50 - 1/100", "ICCIF-species-notes": "<p></p>" }, "Mouse": { "IHCP-species-checked": "predicted", "IHCP-species-dilution-info": "", "IHCP-species-notes": "", "IP-species-checked": "notRecommended", "IP-species-dilution-info": "", "IP-species-notes": "", "WB-species-checked": "guaranteed", "WB-species-dilution-info": "", "WB-species-notes": "<p></p>", "ICCIF-species-checked": "predicted", "ICCIF-species-dilution-info": "", "ICCIF-species-notes": "" }, "Rat": { "IHCP-species-checked": "predicted", "IHCP-species-dilution-info": "", "IHCP-species-notes": "", "IP-species-checked": "notRecommended", "IP-species-dilution-info": "", "IP-species-notes": "", "WB-species-checked": "guaranteed", "WB-species-dilution-info": "", "WB-species-notes": "<p></p>", "ICCIF-species-checked": "predicted", "ICCIF-species-dilution-info": "", "ICCIF-species-notes": "" } } }

Product details

Patented technology
Our RabMAb® technology is a patented hybridoma-based technology for making rabbit monoclonal antibodies. For details on our patents, please refer to RabMAb® patents.

What are the advantages of a recombinant monoclonal antibody?
This product is a recombinant monoclonal antibody, which offers several advantages including:

  • - High batch-to-batch consistency and reproducibility
  • - Improved sensitivity and specificity
  • - Long-term security of supply
  • - Animal-free batch production

For more information, read more on recombinant antibodies.

Properties and storage information

Form
Liquid
Purification technique
Affinity purification Protein A
Storage buffer
pH: 7.2 - 7.4 Preservative: 0.01% Sodium azide Constituents: PBS, 50% Tissue culture supernatant, 40% Glycerol (glycerin, glycerine), 0.05% BSA
Shipped at conditions
Blue Ice
Appropriate short-term storage conditions
+4°C
Appropriate long-term storage conditions
-20°C
Storage information
Stable for 12 months at -20°C

Supplementary information

This supplementary information is collated from multiple sources and compiled automatically.

Programmed cell death 7 commonly known as PDCD7 is an essential protein in the regulation of cellular apoptosis. PDCD7 weighs about 59 kDa. It is found predominantly in the nucleus though expression can also be seen in the cytoplasm of various cell types. This protein is encoded by the PDCD7 gene and its expression is noticeable in different tissues including lymphoid tissues indicating a role in immune system regulation.
Biological function summary

PDCD7 contributes to the initiation and progression of apoptosis by interacting with other proteins and forming complexes essential for cellular function. Although PDCD7 itself is not a component of the spliceosome complex it plays a supporting role in RNA splicing indirectly linking it to this significant cellular machinery. This connection influences both cell death and gene expression showcasing its diverse biological role.

Pathways

Several studies highlight PDCD7's involvement in the apoptotic pathway including the intrinsic pathway where it connects with proteins like caspases to execute cell death. It also has a lesser-known role in the spliceosome and its function in RNA processing. In this context PDCD7 interacts with proteins like the FAS receptor which is important in regulating apoptosis following cellular stress or damage.

PDCD7 is linked to certain cancers due to its role in apoptosis. Alterations in PDCD7 expression can contribute to malignancies as disrupted apoptosis often leads to unchecked cell proliferation. PDCD7's connection with proteins such as BCL2 which inhibit apoptosis further supports these links to cancer pathogenesis. Additionally abnormal PDCD7 function might influence autoimmune diseases although research continues to uncover the precise mechanisms involved.

Product protocols

For this product, it's our understanding that no specific protocols are required. You can visit:

Target data

Promotes apoptosis when overexpressed.
See full target information PDCD7

Publications (1)

Recent publications for all applications. Explore the full list and refine your search

Human molecular genetics 22:4136-47 PubMed23740936

2013

Decreased number of Gemini of coiled bodies and U12 snRNA level in amyotrophic lateral sclerosis.

Applications

Unspecified application

Species

Unspecified reactive species

Tomohiko Ishihara,Yuko Ariizumi,Atsushi Shiga,Taisuke Kato,Chun-Feng Tan,Tatsuya Sato,Yukari Miki,Mariko Yokoo,Takeshi Fujino,Akihide Koyama,Akio Yokoseki,Masatoyo Nishizawa,Akiyoshi Kakita,Hitoshi Takahashi,Osamu Onodera
View all publications

Product promise

We are committed to supporting your work with high-quality reagents, and we're here for you every step of the way. In the unlikely event that one of our products does not perform as expected, you're protected by our Product Promise.
For full details, please see our Terms & Conditions

Please note: All products are 'FOR RESEARCH USE ONLY. NOT FOR USE IN DIAGNOSTIC OR THERAPEUTIC PROCEDURES'.

For licensing inquiries, please contact partnerships@abcam.com