JavaScript is disabled in your browser. Please enable JavaScript to view this website.
AB151454

Anti-PDE10A antibody - C-terminal

4

(1 Review)

|

(3 Publications)

Rabbit Polyclonal PDE10A antibody. Suitable for WB, IHC-P, ICC/IF and reacts with Mouse, Rat, Human samples. Cited in 3 publications. Immunogen corresponding to Recombinant Fragment Protein within Human PDE10A aa 500 to C-terminus.

View Alternative Names

PDE10A

6 Images
Western blot - Anti-PDE10A antibody - C-terminal (AB151454)
  • WB

Supplier Data

Western blot - Anti-PDE10A antibody - C-terminal (AB151454)

Samples were separated by 7.5 % SDS.

All lanes:

Western blot - Anti-PDE10A antibody - C-terminal (ab151454) at 1/1000 dilution

Lane 1:

H1299 whole cell extracts at 30 µg

Lane 2:

HCT116 whole cell extracts at 30 µg

Secondary

All lanes:

HRP-conjugated anti-rabbit IgG antibody

Predicted band size: 88 kDa

false

Western blot - Anti-PDE10A antibody - C-terminal (AB151454)
  • WB

Supplier Data

Western blot - Anti-PDE10A antibody - C-terminal (AB151454)

Samples were separated by 7.5 % SDS.

All lanes:

Western blot - Anti-PDE10A antibody - C-terminal (ab151454) at 1/1000 dilution

All lanes:

HCT116 whole cell extract at 30 µg

Secondary

All lanes:

HRP-conjugated anti-rabbit IgG antibody

Predicted band size: 88 kDa

false

Western blot - Anti-PDE10A antibody - C-terminal (AB151454)
  • WB

Supplier Data

Western blot - Anti-PDE10A antibody - C-terminal (AB151454)

Samples were separated by 7.5 % SDS.

All lanes:

Western blot - Anti-PDE10A antibody - C-terminal (ab151454) at 1/10000 dilution

Lane 1:

Non-transfected 293T whole cell extracts at 30 µg

Lane 2:

Transfected 293T whole cell extracts at 30 µg

Secondary

All lanes:

HRP-conjugated anti-rabbit IgG antibody

Predicted band size: 88 kDa

false

Western blot - Anti-PDE10A antibody - C-terminal (AB151454)
  • WB

Supplier Data

Western blot - Anti-PDE10A antibody - C-terminal (AB151454)

Samples were separated by 7.5 % SDS.

All lanes:

Western blot - Anti-PDE10A antibody - C-terminal (ab151454) at 1/3000 dilution

Lane 1:

Mouse brain tissue extracts at 50 µg

Lane 2:

Rat brain tissue extracts at 50 µg

Secondary

All lanes:

HRP-conjugated anti-rabbit IgG antibody

Predicted band size: 88 kDa

false

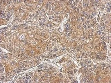
Immunohistochemistry (Formalin/PFA-fixed paraffin-embedded sections) - Anti-PDE10A antibody - C-terminal (AB151454)
  • IHC-P

Unknown

Immunohistochemistry (Formalin/PFA-fixed paraffin-embedded sections) - Anti-PDE10A antibody - C-terminal (AB151454)

Immunohistochemical analysis of paraffin embedded Human Cal27 xenograft tissue labeling PDE10A with ab151454 at 1/500.

Immunocytochemistry/ Immunofluorescence - Anti-PDE10A antibody - C-terminal (AB151454)
  • ICC/IF

Unknown

Immunocytochemistry/ Immunofluorescence - Anti-PDE10A antibody - C-terminal (AB151454)

Immunofluorescence analysis of methanol fixed HeLa cells labeling PDE10A with ab151454 at 1/200. The lower panel shows costaining with Hoechst 33342.

Key facts

Host species

Rabbit

Clonality

Polyclonal

Isotype

IgG

Carrier free

No

Reacts with

Mouse, Rat, Human

Applications

WB, IHC-P, ICC/IF

applications

Immunogen

Recombinant Fragment Protein within Human PDE10A aa 500 to C-terminus. The exact immunogen used to generate this antibody is proprietary information.

Q9Y233

Reactivity data

{ "title": "Reactivity Data", "filters": { "stats": ["", "Species", "Dilution Info", "Notes"], "tabs": { "all-applications": {"fullname" : "All Applications", "shortname": "All Applications"}, "WB" : {"fullname" : "Western blot", "shortname":"WB"}, "IHCP" : {"fullname" : "Immunohistochemistry (Formalin/PFA-fixed paraffin-embedded sections)", "shortname":"IHC-P"}, "ICCIF" : {"fullname" : "Immunocytochemistry/ Immunofluorescence", "shortname":"ICC/IF"} }, "product-promise": { "all": "all", "testedAndGuaranteed": "tested", "guaranteed": "expected", "predicted": "predicted", "notRecommended": "not-recommended" } }, "values": { "Human": { "WB-species-checked": "testedAndGuaranteed", "WB-species-dilution-info": "1/500 - 1/20000", "WB-species-notes": "<p></p>", "IHCP-species-checked": "testedAndGuaranteed", "IHCP-species-dilution-info": "1/100 - 1/1000", "IHCP-species-notes": "<p></p>", "ICCIF-species-checked": "testedAndGuaranteed", "ICCIF-species-dilution-info": "1/100 - 1/1000", "ICCIF-species-notes": "<p></p>" }, "Mouse": { "WB-species-checked": "testedAndGuaranteed", "WB-species-dilution-info": "1/500 - 1/20000", "WB-species-notes": "<p></p>", "IHCP-species-checked": "guaranteed", "IHCP-species-dilution-info": "", "IHCP-species-notes": "", "ICCIF-species-checked": "guaranteed", "ICCIF-species-dilution-info": "", "ICCIF-species-notes": "" }, "Rat": { "WB-species-checked": "testedAndGuaranteed", "WB-species-dilution-info": "1/500 - 1/20000", "WB-species-notes": "<p></p>", "IHCP-species-checked": "guaranteed", "IHCP-species-dilution-info": "", "IHCP-species-notes": "", "ICCIF-species-checked": "guaranteed", "ICCIF-species-dilution-info": "", "ICCIF-species-notes": "" } } }

Properties and storage information

Form
Liquid
Purification technique
Affinity purification Immunogen
Storage buffer
pH: 7 Preservative: 0.025% Proclin 300 Constituents: PBS, 20% Glycerol (glycerin, glycerine)
Shipped at conditions
Blue Ice
Appropriate short-term storage conditions
+4°C
Appropriate long-term storage conditions
-20°C
Aliquoting information
Upon delivery aliquot
Storage information
Avoid freeze / thaw cycle

Supplementary information

This supplementary information is collated from multiple sources and compiled automatically.

Phosphodiesterase 10A (PDE10A) also known as phosphodiesterase 10 is an enzyme that hydrolyzes cyclic nucleotides such as cAMP and cGMP into non-cyclic forms which reduces their signaling effects. PDE10A has a molecular weight of approximately 89 kDa. This enzyme shows higher expression in the brain especially in the striatum a region important for motor control and certain cognitive functions. It occurs in other tissues at lower levels but its role there is less clear.
Biological function summary

PDE10A modulates intracellular signaling pathways critical for neurological processes by controlling levels of cyclic nucleotides. Although PDE10A acts independently it interacts with various signaling molecules affecting neuronal signaling. It exerts significant influence over the dopamine and glutamate neurotransmitter systems important for regulating neuronal excitability and synaptic transmission.

Pathways

Several neurological pathways rely on the function of PDE10A to maintain homeostasis. The enzyme plays a role in the cAMP and cGMP signaling pathways both of which are fundamental in mediating various cellular responses. PDE10A shares functional relationships with other phosphodiesterase family members such as PDE1 and PDE2 which also regulate cyclic nucleotide levels in the central nervous system.

An altered PDE10A function links to several neurological conditions including Huntington's disease and schizophrenia. Dysregulation of dopamine signaling within these disorders implicates PDE10A since it modulates this neurotransmitter pathway. In schizophrenia abnormal PDE10A activity could affect proteins like D2 dopamine receptors contributing to altered signaling in neural circuits associated with this disorder.

Product protocols

For this product, it's our understanding that no specific protocols are required. You can visit:

Target data

Plays a role in signal transduction by regulating the intracellular concentration of cyclic nucleotides (PubMed : 10373451, PubMed : 10393245, PubMed : 16330539, PubMed : 17389385, PubMed : 27058447). Can hydrolyze both cAMP and cGMP, but has higher affinity for cAMP and is more efficient with cAMP as substrate (PubMed : 10373451, PubMed : 10393245, PubMed : 17389385, PubMed : 27058447). May play a critical role in regulating cAMP and cGMP levels in the striatum, a region of the brain that contributes to the control of movement and cognition (PubMed : 27058447).
See full target information PDE10A

Publications (3)

Recent publications for all applications. Explore the full list and refine your search

Brain : a journal of neurology 148:1588-1603 PubMed39546628

2024

Single-nucleus transcriptomics reveals disease- and pathology-specific signatures in α-synucleinopathies.

Applications

Unspecified application

Species

Unspecified reactive species

Gonzalo S Nido,Martina Castelli,Sepideh Mostafavi,Anna Rubiolo,Omnia Shadad,Guido Alves,Ole-Bjørn Tysnes,Irene H Flønes,Christian Dölle,Charalampos Tzoulis

The Prostate 82:97-106 PubMed34633095

2021

AT-rich interaction domain 5A regulates the transcription of interleukin-6 gene in prostate cancer cells.

Applications

Unspecified application

Species

Unspecified reactive species

Wataru Ikeuchi,Yuriko Wakita,Guoxiang Zhang,Chun Li,Keiichi Itakura,Takahiro Yamakawa

Molecular therapy : the journal of the American Society of Gene Therapy 29:1086-1101 PubMed33221436

2020

PDE10A Inhibition Reduces the Manifestation of Pathology in DMD Zebrafish and Represses the Genetic Modifier PITPNA.

Applications

Unspecified application

Species

Unspecified reactive species

Matthias R Lambert,Janelle M Spinazzola,Jeffrey J Widrick,Anna Pakula,James R Conner,Janice E Chin,Jane M Owens,Louis M Kunkel
View all publications

Product promise

We are committed to supporting your work with high-quality reagents, and we're here for you every step of the way. In the unlikely event that one of our products does not perform as expected, you're protected by our Product Promise.
For full details, please see our Terms & Conditions

Please note: All products are 'FOR RESEARCH USE ONLY. NOT FOR USE IN DIAGNOSTIC OR THERAPEUTIC PROCEDURES'.

For licensing inquiries, please contact partnerships@abcam.com