JavaScript is disabled in your browser. Please enable JavaScript to view this website.
AB232801

Anti-PDE1A antibody

Be the first to review this product! Submit a review

|

(1 Publication)

Rabbit Polyclonal PDE1A antibody. Suitable for WB, IHC-P and reacts with Pig, Human samples. Cited in 1 publication. Immunogen corresponding to Recombinant Fragment Protein within Human PDE1A aa 1-350.

View Alternative Names

Cam-PDE 1A, 61 kDa Cam-PDE, hCam-1, PDE1A

4 Images
Immunohistochemistry (Formalin/PFA-fixed paraffin-embedded sections) - Anti-PDE1A antibody (AB232801)
  • IHC-P

Supplier Data

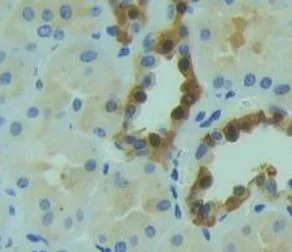
Immunohistochemistry (Formalin/PFA-fixed paraffin-embedded sections) - Anti-PDE1A antibody (AB232801)

Formalin-fixed, paraffin-embedded human kidney tissue stained for PDE1A using ab232801 at 20 μg/ml in immunohistochemical analysis. DAB staining.

Immunohistochemistry (Formalin/PFA-fixed paraffin-embedded sections) - Anti-PDE1A antibody (AB232801)
  • IHC-P

Supplier Data

Immunohistochemistry (Formalin/PFA-fixed paraffin-embedded sections) - Anti-PDE1A antibody (AB232801)

Formalin-fixed, paraffin-embedded human liver tissue stained for PDE1A using ab232801 at 10 μg/ml in immunohistochemical analysis. DAB staining.

Western blot - Anti-PDE1A antibody (AB232801)
  • WB

Supplier Data

Western blot - Anti-PDE1A antibody (AB232801)

All lanes:

Western blot - Anti-PDE1A antibody (ab232801) at 2 µg/mL

All lanes:

Pig kidney lysate

Predicted band size: 61 kDa

false

Western blot - Anti-PDE1A antibody (AB232801)
  • WB

Supplier Data

Western blot - Anti-PDE1A antibody (AB232801)

All lanes:

Western blot - Anti-PDE1A antibody (ab232801) at 2 µg/mL

All lanes:

Recombinant human PDE1A protein

Predicted band size: 61 kDa

false

Key facts

Host species

Rabbit

Clonality

Polyclonal

Isotype

IgG

Carrier free

No

Reacts with

Human, Pig

Applications

IHC-P, WB

applications

Immunogen

Recombinant Fragment Protein within Human PDE1A aa 1-350. The exact immunogen used to generate this antibody is proprietary information.

P54750

Reactivity data

{ "title": "Reactivity Data", "filters": { "stats": ["", "Species", "Dilution Info", "Notes"], "tabs": { "all-applications": {"fullname" : "All Applications", "shortname": "All Applications"}, "WB" : {"fullname" : "Western blot", "shortname":"WB"}, "IHCP" : {"fullname" : "Immunohistochemistry (Formalin/PFA-fixed paraffin-embedded sections)", "shortname":"IHC-P"} }, "product-promise": { "all": "all", "testedAndGuaranteed": "tested", "guaranteed": "expected", "predicted": "predicted", "notRecommended": "not-recommended" } }, "values": { "Human": { "WB-species-checked": "testedAndGuaranteed", "WB-species-dilution-info": "0.2-2 µg/mL", "WB-species-notes": "<p></p>", "IHCP-species-checked": "testedAndGuaranteed", "IHCP-species-dilution-info": "5-20 µg/mL", "IHCP-species-notes": "<p></p>" }, "Mouse": { "WB-species-checked": "predicted", "WB-species-dilution-info": "", "WB-species-notes": "", "IHCP-species-checked": "predicted", "IHCP-species-dilution-info": "", "IHCP-species-notes": "" }, "Cow": { "WB-species-checked": "predicted", "WB-species-dilution-info": "", "WB-species-notes": "", "IHCP-species-checked": "predicted", "IHCP-species-dilution-info": "", "IHCP-species-notes": "" }, "Pig": { "WB-species-checked": "testedAndGuaranteed", "WB-species-dilution-info": "0.2-2 µg/mL", "WB-species-notes": "<p></p>", "IHCP-species-checked": "guaranteed", "IHCP-species-dilution-info": "", "IHCP-species-notes": "" } } }

Properties and storage information

Form
Liquid
Purification technique
Affinity purification Immunogen
Purification notes
ab232801 was purified by antigen-specific affinity chromatography followed by Protein A affinity chromatography.
Storage buffer
pH: 7.4 Preservative: 0.02% Sodium azide Constituents: PBS, 55.77% Glycerol (glycerin, glycerine)
Shipped at conditions
Blue Ice
Appropriate short-term storage duration
1-2 weeks
Appropriate short-term storage conditions
+4°C
Appropriate long-term storage conditions
-20°C
Aliquoting information
Upon delivery aliquot
Storage information
Avoid freeze / thaw cycle

Supplementary information

This supplementary information is collated from multiple sources and compiled automatically.

Phosphodiesterase 1A also known as PDE1A is a protein that breaks down cyclic nucleotides like cAMP and cGMP in cells. This enzyme belongs to the PDE family which influences cyclic nucleotide signaling. PDE1A has a molecular mass of about 61 kDa. The protein expresses widely across various tissues including the brain heart and lungs. Its activity relies on calcium/calmodulin which makes it an important player in cellular processes that involve calcium-dependent signaling.
Biological function summary

PDE1A regulates the levels of cyclic nucleotides within cells impacting signaling pathways that control various physiological responses. It does not exist as part of a larger complex but it works closely with other signaling molecules. PDE1A modulates cellular responses to external signals by controlling the degradation rate of cyclic AMP and cyclic GMP influencing functions like muscle contraction and neuronal signaling.

Pathways

PDE1A plays important roles in pathways such as the cAMP signaling pathway and the calcium signaling pathway. It interacts with proteins such as Protein Kinase A (PKA) in the cAMP pathway where it fine-tunes the cellular response to external stimuli like hormones. By regulating these pathways PDE1A helps maintain cellular homeostasis and influences how cells respond in various signaling contexts.

PDE1A is linked to cardiovascular diseases and certain neurological disorders. In cardiovascular conditions abnormal PDE1A activity may contribute to uncontrolled muscle contractions and heart failure. In neurological disorders changes in PDE1A expression can disrupt normal neuronal signaling and are associated with conditions such as schizophrenia. The protein's interaction with calcium/calmodulin is critical in these conditions affecting how cells respond to signaling changes that contribute to disease development.

Product protocols

For this product, it's our understanding that no specific protocols are required. You can visit:

Target data

Calcium/calmodulin-dependent cyclic nucleotide phosphodiesterase with a dual specificity for the second messengers cGMP and cAMP, which are key regulators of many important physiological processes. Has a higher efficiency with cGMP compared to cAMP.
See full target information PDE1A

Publications (1)

Recent publications for all applications. Explore the full list and refine your search

Investigative ophthalmology & visual science 64:15 PubMed38095908

2023

JAM-C Is Important for Lens Epithelial Cell Proliferation and Lens Fiber Maturation in Murine Lens Development.

Applications

Unspecified application

Species

Unspecified reactive species

Qihang Sun,Jiani Li,Jingyu Ma,Yuxing Zheng,Rong Ju,Xuri Li,Xiangrong Ren,Lijuan Huang,Rongyuan Chen,Xuhua Tan,Lixia Luo
View all publications

Product promise

We are committed to supporting your work with high-quality reagents, and we're here for you every step of the way. In the unlikely event that one of our products does not perform as expected, you're protected by our Product Promise.
For full details, please see our Terms & Conditions

Please note: All products are 'FOR RESEARCH USE ONLY. NOT FOR USE IN DIAGNOSTIC OR THERAPEUTIC PROCEDURES'.

For licensing inquiries, please contact partnerships@abcam.com