JavaScript is disabled in your browser. Please enable JavaScript to view this website.
AB182565

Anti-PDE1B antibody [EPR12293(2)]

4

(1 Review)

|

(3 Publications)

Rabbit Recombinant Monoclonal PDE1B antibody. Suitable for WB, IHC-P and reacts with Mouse, Rat, Human samples. Cited in 3 publications.

View Alternative Names

PDES1B, PDE1B, Cam-PDE 1B, 63 kDa Cam-PDE

7 Images
Immunohistochemistry (Formalin/PFA-fixed paraffin-embedded sections) - Anti-PDE1B antibody [EPR12293(2)] (AB182565)
  • IHC-P

Unknown

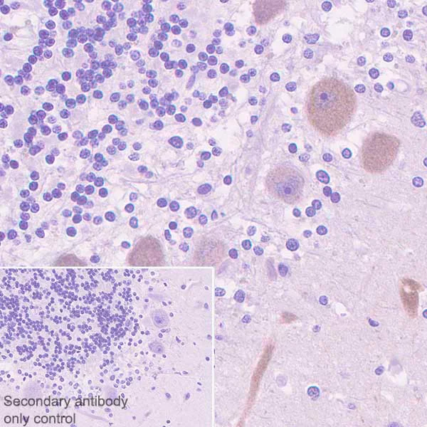
Immunohistochemistry (Formalin/PFA-fixed paraffin-embedded sections) - Anti-PDE1B antibody [EPR12293(2)] (AB182565)

Immunohistochemistry (Formalin/PFA-fixed paraffin-embedded sections) analysis of human cerebellum tissue sections labeling PDE1B with purified ab182565 at 1/100 dilution (9.43 μg/ml). Heat mediated antigen retrieval using Bond™ Epitope Retrieval Solution 1 (pH 6.0). Rabbit specific IHC polymer detection kit HRP/DAB (ab209101) was used as the secondary antibody. Negative control : PBS instead of the primary antibody. Hematoxylin was used as a counterstain.

Immunohistochemistry (Formalin/PFA-fixed paraffin-embedded sections) - Anti-PDE1B antibody [EPR12293(2)] (AB182565)
  • IHC-P

Unknown

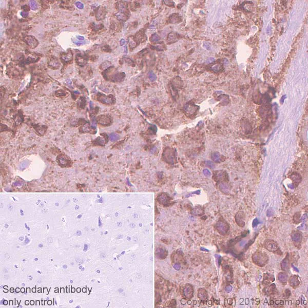
Immunohistochemistry (Formalin/PFA-fixed paraffin-embedded sections) - Anti-PDE1B antibody [EPR12293(2)] (AB182565)

Immunohistochemical analysis of paraffin-embedded Human cerebellum tissue labeling PDE1B with unpurified ab182565 at 1/100 dilution followed by prediluted HRP Polymer for Rabbit IgG. Counter stained with Hematoxylin.

Perform heat mediated antigen retrieval with EDTA buffer pH 9 before commencing with IHC staining protocol.

Immunohistochemistry (Formalin/PFA-fixed paraffin-embedded sections) - Anti-PDE1B antibody [EPR12293(2)] (AB182565)
  • IHC-P

Unknown

Immunohistochemistry (Formalin/PFA-fixed paraffin-embedded sections) - Anti-PDE1B antibody [EPR12293(2)] (AB182565)

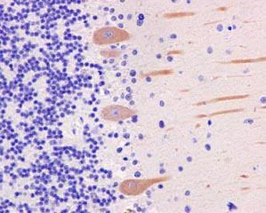
Immunohistochemistry (Formalin/PFA-fixed paraffin-embedded sections) analysis of rat cerebrum tissue sections labeling PDE1B with purified ab182565 at 1/2000 dilution (0.47 μg/ml). Heat mediated antigen retrieval using Bond™ Epitope Retrieval Solution 1 (pH 6.0). Rabbit specific IHC polymer detection kit HRP/DAB (ab209101) was used as the secondary antibody. Negative control : PBS instead of the primary antibody. Hematoxylin was used as a counterstain.

Immunohistochemistry (Formalin/PFA-fixed paraffin-embedded sections) - Anti-PDE1B antibody [EPR12293(2)] (AB182565)
  • IHC-P

Unknown

Immunohistochemistry (Formalin/PFA-fixed paraffin-embedded sections) - Anti-PDE1B antibody [EPR12293(2)] (AB182565)

Immunohistochemistry (Formalin/PFA-fixed paraffin-embedded sections) analysis of mouse cerebrum tissue sections labeling PDE1B with purified ab182565 at 1/2000 dilution (0.47 μg/ml). Heat mediated antigen retrieval using Bond™ Epitope Retrieval Solution 1 (pH 6.0). Rabbit specific IHC polymer detection kit HRP/DAB (ab209101) was used as the secondary antibody. Negative control : PBS instead of the primary antibody. Hematoxylin was used as a counterstain.

Western blot - Anti-PDE1B antibody [EPR12293(2)] (AB182565)
  • WB

Lab

Western blot - Anti-PDE1B antibody [EPR12293(2)] (AB182565)

All lanes:

Western blot - Anti-PDE1B antibody [EPR12293(2)] (ab182565) at 1/1000 dilution

Lane 1:

Human cerebellum lysates at 20 µg

Lane 2:

Human brain lysates at 20 µg

Secondary

All lanes:

Goat Anti-Rabbit IgG (HRP) with minimal cross-reactivity with human IgG at 1/2000 dilution

Predicted band size: 61 kDa

Observed band size: 61 kDa

false

Western blot - Anti-PDE1B antibody [EPR12293(2)] (AB182565)
  • WB

Lab

Western blot - Anti-PDE1B antibody [EPR12293(2)] (AB182565)

All lanes:

Western blot - Anti-PDE1B antibody [EPR12293(2)] (ab182565) at 1/5000 dilution

All lanes:

Mouse brain lysates at 20 µg

Secondary

All lanes:

Goat Anti-Rabbit IgG (HRP) with minimal cross-reactivity with human IgG at 1/5000 dilution

Predicted band size: 61 kDa

Observed band size: 61 kDa

false

Western blot - Anti-PDE1B antibody [EPR12293(2)] (AB182565)
  • WB

Lab

Western blot - Anti-PDE1B antibody [EPR12293(2)] (AB182565)

All lanes:

Western blot - Anti-PDE1B antibody [EPR12293(2)] (ab182565) at 1/10000 dilution

All lanes:

Rat brain lysates at 15 µg

Secondary

All lanes:

Goat Anti-Rabbit IgG (HRP) with minimal cross-reactivity with human IgG at 1/5000 dilution

Predicted band size: 61 kDa

Observed band size: 61 kDa

false

  • Carrier free

    Anti-PDE1B antibody [EPR12293(2)] - BSA and Azide free

Key facts

Host species

Rabbit

Clonality

Monoclonal

Clone number

EPR12293(2)

Isotype

IgG

Carrier free

No

Reacts with

Mouse, Rat, Human

Applications

WB, IHC-P

applications

Immunogen

The exact immunogen used to generate this antibody is proprietary information.

Reactivity data

{ "title": "Reactivity Data", "filters": { "stats": ["", "Species", "Dilution Info", "Notes"], "tabs": { "all-applications": {"fullname" : "All Applications", "shortname": "All Applications"}, "WB" : {"fullname" : "Western blot", "shortname":"WB"}, "IHCP" : {"fullname" : "Immunohistochemistry (Formalin/PFA-fixed paraffin-embedded sections)", "shortname":"IHC-P"} }, "product-promise": { "all": "all", "testedAndGuaranteed": "tested", "guaranteed": "expected", "predicted": "predicted", "notRecommended": "not-recommended" } }, "values": { "Human": { "WB-species-checked": "testedAndGuaranteed", "WB-species-dilution-info": "1/1000 - 1/10000", "WB-species-notes": "<p></p>", "IHCP-species-checked": "testedAndGuaranteed", "IHCP-species-dilution-info": "1/100 - 1/2000", "IHCP-species-notes": "<p>1:100 in human tissues / 1:2000 in mouse and rat tissues</p> Perform heat-mediated antigen retrieval with Tris/EDTA buffer pH 9.0 before commencing with IHC staining protocol." }, "Mouse": { "WB-species-checked": "testedAndGuaranteed", "WB-species-dilution-info": "1/1000 - 1/10000", "WB-species-notes": "<p></p>", "IHCP-species-checked": "testedAndGuaranteed", "IHCP-species-dilution-info": "1/100 - 1/2000", "IHCP-species-notes": "<p>1:100 in human tissues / 1:2000 in mouse and rat tissues</p> Perform heat-mediated antigen retrieval with Tris/EDTA buffer pH 9.0 before commencing with IHC staining protocol." }, "Rat": { "WB-species-checked": "testedAndGuaranteed", "WB-species-dilution-info": "1/1000 - 1/10000", "WB-species-notes": "<p></p>", "IHCP-species-checked": "testedAndGuaranteed", "IHCP-species-dilution-info": "1/100 - 1/2000", "IHCP-species-notes": "<p>1:100 in human tissues / 1:2000 in mouse and rat tissues</p> Perform heat-mediated antigen retrieval with Tris/EDTA buffer pH 9.0 before commencing with IHC staining protocol." } } }

Product details

Patented technology
Our RabMAb® technology is a patented hybridoma-based technology for making rabbit monoclonal antibodies. For details on our patents, please refer to RabMAb® patents.

What are the advantages of a recombinant monoclonal antibody?
This product is a recombinant monoclonal antibody, which offers several advantages including:

  • - High batch-to-batch consistency and reproducibility
  • - Improved sensitivity and specificity
  • - Long-term security of supply
  • - Animal-free batch production

For more information, read more on recombinant antibodies.

Properties and storage information

Form
Liquid
Purification technique
Affinity purification Protein A
Storage buffer
pH: 7.2 Preservative: 0.01% Sodium azide Constituents: PBS, 40% Glycerol (glycerin, glycerine), 0.05% BSA
Shipped at conditions
Blue Ice
Appropriate short-term storage duration
1-2 weeks
Appropriate short-term storage conditions
+4°C
Appropriate long-term storage conditions
-20°C
Aliquoting information
Upon delivery aliquot
Storage information
Avoid freeze / thaw cycle

Supplementary information

This supplementary information is collated from multiple sources and compiled automatically.

PDE1B also known as phosphodiesterase 1B is an enzyme that importantly regulates intracellular levels of cyclic nucleotides by hydrolyzing cAMP and cGMP. With a molecular mass of approximately 66 kDa PDE1B shows a widespread tissue distribution with significant expression in the brain heart and vascular smooth muscle. The enzyme functions as a calmodulin-dependent phosphodiesterase activating in the presence of calcium levels above basal.
Biological function summary

PDE1B plays an essential role in the signaling pathways that rely on cyclic nucleotides as second messengers. It regulates calcium-mediated signal transduction affecting activities of cells such as neurons and cardiac cells. While PDE1B primarily functions as a homodimer its activity interfaces with several other cellular processes through its regulation of cyclic nucleotide concentrations modulating downstream effects.

Pathways

PDE1B acts mainly in the cAMP and cGMP signaling pathways both of which are important for cellular responses to external stimuli. It modulates the degradation of these second messengers influencing associated proteins like protein kinase A (PKA) and protein kinase G (PKG). By controlling the half-life of cAMP and cGMP PDE1B plays an important role in signal cascades that govern processes such as learning memory and blood vessel relaxation.

PDE1B has associations with neurological and cardiovascular diseases. Abnormal expression of PDE1B can contribute to conditions such as schizophrenia and hypertension. Through its involvement in cyclic nucleotide signaling PDE1B is connected to proteins like D2 dopamine receptor in schizophrenia and angiotensin II receptors in hypertension where dysregulated signaling can impact disease progression and response to treatment.

Product protocols

For this product, it's our understanding that no specific protocols are required. You can visit:

Target data

Cyclic nucleotide phosphodiesterase with a dual specificity for the second messengers cAMP and cGMP, which are key regulators of many important physiological processes (PubMed : 15260978, PubMed : 8855339, PubMed : 9419816). Has a preference for cGMP as a substrate (PubMed : 9419816).
See full target information PDE1B

Publications (3)

Recent publications for all applications. Explore the full list and refine your search

The international journal of neuropsychopharmacology 27: PubMed39099166

2024

Identification of Phosphodiesterase-7A (PDE7A) as a Novel Target for Reducing Ethanol Consumption in Mice.

Applications

Unspecified application

Species

Unspecified reactive species

Ran Wei,Fangjiao Zong,Jiahao Dong,Wei Zhao,Fangfang Zhang,Wei Wang,Shuang Zhao,Ziqi Wang,Fang Zhang,Han-Ting Zhang

Scientific reports 14:13790 PubMed38877061

2024

PDE1B, a potential biomarker associated with tumor microenvironment and clinical prognostic significance in osteosarcoma.

Applications

Unspecified application

Species

Unspecified reactive species

Qingzhong Chen,Chunmiao Xing,Qiaoyun Zhang,Zhijun Du,Jian Kong,Zhongwei Qian

Psychopharmacology 234:1803-1813 PubMed28337525

2017

Phosphodiesterase-1b (Pde1b) knockout mice are resistant to forced swim and tail suspension induced immobility and show upregulation of Pde10a.

Applications

Unspecified application

Species

Unspecified reactive species

Jillian R Hufgard,Michael T Williams,Matthew R Skelton,Olivera Grubisha,Filipa M Ferreira,Helen Sanger,Mary E Wright,Tracy M Reed-Kessler,Kurt Rasmussen,Ronald S Duman,Charles V Vorhees
View all publications

Product promise

We are committed to supporting your work with high-quality reagents, and we're here for you every step of the way. In the unlikely event that one of our products does not perform as expected, you're protected by our Product Promise.
For full details, please see our Terms & Conditions

Please note: All products are 'FOR RESEARCH USE ONLY. NOT FOR USE IN DIAGNOSTIC OR THERAPEUTIC PROCEDURES'.

For licensing inquiries, please contact partnerships@abcam.com