JavaScript is disabled in your browser. Please enable JavaScript to view this website.
AB317026

Anti-PDE3B antibody [EPR28229-71]

Be the first to review this product! Submit a review

|

(0 Publication)

Rabbit Recombinant Monoclonal PDE3B antibody. Suitable for Dot, WB, IP and reacts with Recombinant fragment - Human, Human samples.

View Alternative Names

CGIPDE1, Cyclic GMP-inhibited phosphodiesterase B, CGIP1, CGI-PDE B, PDE3B

5 Images
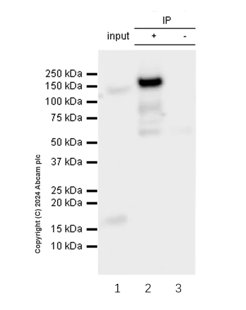
Immunoprecipitation - Anti-PDE3B antibody [EPR28229-71] (AB317026)
  • IP

Supplier Data

Immunoprecipitation - Anti-PDE3B antibody [EPR28229-71] (AB317026)

PDE3B was immunoprecipitated from 0.35 mg HeLa (human cervix adenocarcinoma epithelial cell) whole cell lysate with ab317026 at 1/30 dilution (2ug in 0.35mg lysates). Western blot was performed on the immunoprecipitate using ab317026 at 1/1000 dilution. VeriBlot for IP secondary antibody(HRP)(ab131366) was used at 1/5000 dilution.

Lane 1 : HeLa (human cervix adenocarcinoma epithelial cell) whole cell lysate
Lane 2 : ab317026 IP in HeLa (human cervix adenocarcinoma epithelial cell) whole cell lysate
Lane 3 : Rabbit monoclonal IgG (ab172730) instead of ab317026 in HeLa whole cell lysate

Lysates were freshly made and used for Western blotting immediately to minimize protein degradation.

All lanes:

Immunoprecipitation - Anti-PDE3B antibody [EPR28229-71] (ab317026) at 1/30 dilution

All lanes:

HeLa (human cervix adenocarcinoma epithelial cell) whole cell lysate

Secondary

All lanes:

Immunoprecipitation - VeriBlot for IP Detection Reagent (HRP) (<a href='/en-us/products/reagents/veriblot-for-ip-detection-reagent-hrp-ab131366'>ab131366</a>) at 1/5000 dilution

false

Exposure time: 24s

Western blot - Anti-PDE3B antibody [EPR28229-71] (AB317026)
  • WB

Supplier Data

Western blot - Anti-PDE3B antibody [EPR28229-71] (AB317026)

Lysates were freshly made and used for Western blotting immediately to minimize protein degradation.

The identity of the lower MW band at approximately 20 kDa is unknown.

In Western blot, Anti-GAPDH antibody [EPR16891] - Loading Control (ab181602) staining at 1/200000 dilution.

All lanes:

Western blot - Anti-PDE3B antibody [EPR28229-71] (ab317026) at 1/1000 dilution

Lane 1:

HeLa (human cervical adenocarcinoma epithelial cell) transfected with scrambled siRNA control whole cell lysate at 20 µg

Lane 2:

HeLa transfected with siRNA specifically targeting PDE3B whole cell lysate at 20 µg

Secondary

All lanes:

Western blot - Goat Anti-Rabbit IgG H&L (HRP) (<a href='/en-us/products/secondary-antibodies/goat-rabbit-igg-h-l-hrp-ab97051'>ab97051</a>) at 1/100000 dilution

Observed band size: 145 kDa,36 kDa

false

Exposure time: 59s

Western blot - Anti-PDE3B antibody [EPR28229-71] (AB317026)
  • WB

Supplier Data

Western blot - Anti-PDE3B antibody [EPR28229-71] (AB317026)

Lysates were freshly made and used for Western blotting immediately to minimize protein degradation.

The identity of the lower MW band at approximately 20 kDa is unknown.

In Western blot, Anti-GAPDH antibody [EPR16891] - Loading Control (ab181602) staining at 1/200000 dilution.

All lanes:

Western blot - Anti-PDE3B antibody [EPR28229-71] (ab317026) at 1/1000 dilution

Lane 1:

HeLa (human cervical adenocarcinoma epithelial cell) whole cell lysate at 20 µg

Lane 2:

293T (human embryonic kidney epithelial cell) whole cell lysate at 20 µg

Secondary

All lanes:

Western blot - Goat Anti-Rabbit IgG H&L (HRP) (<a href='/en-us/products/secondary-antibodies/goat-rabbit-igg-h-l-hrp-ab97051'>ab97051</a>) at 1/100000 dilution

Observed band size: 145 kDa,36 kDa

false

Exposure time: 15s

Western blot - Anti-PDE3B antibody [EPR28229-71] (AB317026)
  • WB

Supplier Data

Western blot - Anti-PDE3B antibody [EPR28229-71] (AB317026)

Blocking and diluting buffer and concentration : 5% NFDM/TBST.

Low expression : human skeletal muscle.

The identity of the lower MW band at approximately 20 kDa is unknown.

In Western blot, Anti-GAPDH antibody [EPR16891] - Loading Control (ab181602) staining at 1/200000 dilution.

All lanes:

Western blot - Anti-PDE3B antibody [EPR28229-71] (ab317026) at 1/1000 dilution

Lane 1:

Human adipocytes tissue lysate at 20 µg

Lane 2:

Human liver tissue lysate at 20 µg

Lane 3:

Human skeletal muscle tissue lysate at 20 µg

Secondary

All lanes:

Western blot - Goat Anti-Rabbit IgG H&L (HRP) (<a href='/en-us/products/secondary-antibodies/goat-rabbit-igg-h-l-hrp-ab97051'>ab97051</a>) at 1/100000 dilution

Observed band size: 145 kDa,36 kDa

false

Exposure time: 70s

Dot Blot - Anti-PDE3B antibody [EPR28229-71] (AB317026)
  • Dot

Supplier Data

Dot Blot - Anti-PDE3B antibody [EPR28229-71] (AB317026)

Dot blot analysis of PDE3B using ab317026 at 1 : 1000 (0.498 ug/ml) followed by a Goat Anti-Rabbit IgG, (H+L), Peroxidase conjugated (ab97051) at 1 : 100,000 dilution.

Blocking and diluting buffer and concentration : 5% NFDM/TBST.

This antibody does not cross-react with human PDE3A.

All lanes:

Dot Blot - Anti-PDE3B antibody [EPR28229-71] (ab317026) at 1/1000 dilution

Lane 1:

His-tagged human PDE3B protein

Lane 2:

His-tagged human PDE3A protein

Secondary

All lanes:

Dot Blot - Goat Anti-Rabbit IgG H&L (HRP) (<a href='/en-us/products/secondary-antibodies/goat-rabbit-igg-h-l-hrp-ab97051'>ab97051</a>) at 1/100000 dilution

false

Exposure time: 180s

  • Carrier free

    Anti-PDE3B antibody [EPR28229-71] - BSA and Azide free

Key facts

Host species

Rabbit

Clonality

Monoclonal

Clone number

EPR28229-71

Isotype

IgG

Carrier free

No

Reacts with

Human

Applications

Dot, IP, WB

applications

Immunogen

The exact immunogen used to generate this antibody is proprietary information.

Reactivity data

{ "title": "Reactivity Data", "filters": { "stats": ["", "Species", "Dilution Info", "Notes"], "tabs": { "all-applications": {"fullname" : "All Applications", "shortname": "All Applications"}, "Dot" : {"fullname" : "Dot Blot", "shortname":"Dot"}, "WB" : {"fullname" : "Western blot", "shortname":"WB"}, "IP" : {"fullname" : "Immunoprecipitation", "shortname":"IP"}, "IHCP" : {"fullname" : "Immunohistochemistry (Formalin/PFA-fixed paraffin-embedded sections)", "shortname":"IHC-P"} }, "product-promise": { "all": "all", "testedAndGuaranteed": "tested", "guaranteed": "expected", "predicted": "predicted", "notRecommended": "not-recommended" } }, "values": { "Human": { "Dot-species-checked": "guaranteed", "Dot-species-dilution-info": "", "Dot-species-notes": "", "WB-species-checked": "testedAndGuaranteed", "WB-species-dilution-info": "1/1000", "WB-species-notes": "<p></p>", "IP-species-checked": "testedAndGuaranteed", "IP-species-dilution-info": "1/30", "IP-species-notes": "<p></p>", "IHCP-species-checked": "notRecommended", "IHCP-species-dilution-info": "", "IHCP-species-notes": "<p></p>" }, "Mouse": { "Dot-species-checked": "notRecommended", "Dot-species-dilution-info": "", "Dot-species-notes": "", "WB-species-checked": "notRecommended", "WB-species-dilution-info": "", "WB-species-notes": "<p></p>", "IP-species-checked": "notRecommended", "IP-species-dilution-info": "", "IP-species-notes": "", "IHCP-species-checked": "notRecommended", "IHCP-species-dilution-info": "", "IHCP-species-notes": "<p></p>" }, "Rat": { "Dot-species-checked": "notRecommended", "Dot-species-dilution-info": "", "Dot-species-notes": "", "WB-species-checked": "notRecommended", "WB-species-dilution-info": "", "WB-species-notes": "<p></p>", "IP-species-checked": "notRecommended", "IP-species-dilution-info": "", "IP-species-notes": "", "IHCP-species-checked": "notRecommended", "IHCP-species-dilution-info": "", "IHCP-species-notes": "<p></p>" }, "Recombinant fragment - Human": { "Dot-species-checked": "testedAndGuaranteed", "Dot-species-dilution-info": "1/1000", "Dot-species-notes": "<p></p>", "WB-species-checked": "notRecommended", "WB-species-dilution-info": "", "WB-species-notes": "", "IP-species-checked": "notRecommended", "IP-species-dilution-info": "", "IP-species-notes": "", "IHCP-species-checked": "notRecommended", "IHCP-species-dilution-info": "", "IHCP-species-notes": "" } } }

Product details

Patented technology
Our RabMAb® technology is a patented hybridoma-based technology for making rabbit monoclonal antibodies. For details on our patents, please refer to RabMAb® patents.

What are the advantages of a recombinant monoclonal antibody?
This product is a recombinant monoclonal antibody, which offers several advantages including:

  • - High batch-to-batch consistency and reproducibility
  • - Improved sensitivity and specificity
  • - Long-term security of supply
  • - Animal-free batch production

For more information, read more on recombinant antibodies.

Properties and storage information

Form
Liquid
Purification technique
Affinity purification Protein A
Storage buffer
pH: 7.2 - 7.4 Preservative: 0.01% Sodium azide Constituents: PBS, 40% Glycerol (glycerin, glycerine), 0.05% BSA
Shipped at conditions
Blue Ice
Appropriate short-term storage duration
1-2 weeks
Appropriate short-term storage conditions
+4°C
Appropriate long-term storage conditions
-20°C
Aliquoting information
Upon delivery aliquot
Storage information
Avoid freeze / thaw cycle

Supplementary information

This supplementary information is collated from multiple sources and compiled automatically.

PDE3B also known as cGMP-inhibited phosphodiesterase B is an enzyme with a role in cyclic nucleotide signaling. It possesses a molecular mass of approximately 133 kDa. PDE3B predominantly gets expressed in adipose tissue liver and to some extent in the heart. It breaks down cyclic adenosine monophosphate (cAMP) and cyclic guanosine monophosphate (cGMP) which play key roles in cellular signaling. By hydrolyzing these cyclic nucleotides into their non-cyclic forms PDE3B regulates intracellular levels of these molecules.
Biological function summary

In adipose tissue and liver PDE3B modulates lipogenesis and lipolysis which are vital processes for energy balance. This enzyme interacts with signaling pathways that involve protein kinase A (PKA) and insulin signaling. PDE3B operates as part of larger protein complexes and influences the metabolic rate by regulating the availability of the cAMP for phosphorylation reactions. The activity of PDE3B links closely to the control of energy homeostasis due to its regulatory function on lipid metabolism.

Pathways

PDE3B is integral to the insulin signaling pathway and adiponectin signaling pathway both important in glucose and lipid homeostasis. Within these pathways it functions alongside proteins like AKT and PKA where its activity modulates their signaling efficiency. By controlling the balance of cAMP PDE3B influences signaling cascades that are important for the adaptive cellular responses to hormones and nutrients.

PDE3B connects to conditions such as obesity and type 2 diabetes due to its involvement in energy homeostasis and lipid metabolism. In type 2 diabetes the dysregulation of PDE3B activity affects insulin signaling and glucose uptake. Additionally in the context of obesity PDE3B activity shifts the balance of lipolysis and lipogenesis influencing adipose tissue mass and function. Proteins such as insulin receptors and PKA become closely tied to PDE3B in these disorders highlighting its role in metabolic disease mechanisms.

Product protocols

For this product, it's our understanding that no specific protocols are required. You can visit:

Target data

Cyclic nucleotide phosphodiesterase with a dual-specificity for the second messengers cAMP and cGMP, which are key regulators of many important physiological process (PubMed : 14592490, PubMed : 21393242). Regulates angiogenesis by inhibiting the cAMP-dependent guanine nucleotide exchange factor RAPGEF3 and downstream phosphatidylinositol 3-kinase gamma-mediated signaling (PubMed : 21393242). Controls cardiac contractility by reducing cAMP concentration in cardiocytes (By similarity).
See full target information PDE3B

Product promise

We are committed to supporting your work with high-quality reagents, and we're here for you every step of the way. In the unlikely event that one of our products does not perform as expected, you're protected by our Product Promise.
For full details, please see our Terms & Conditions

Please note: All products are 'FOR RESEARCH USE ONLY. NOT FOR USE IN DIAGNOSTIC OR THERAPEUTIC PROCEDURES'.

For licensing inquiries, please contact partnerships@abcam.com