JavaScript is disabled in your browser. Please enable JavaScript to view this website.
AB249158

Anti-PDE7A/HCP1 antibody [EPR7731] - BSA and Azide free

Be the first to review this product! Submit a review

|

(2 Publications)

Rabbit Recombinant Monoclonal PDE7A/HCP1 antibody. Carrier free. Suitable for IHC-P, ICC/IF, WB and reacts with Human samples. Cited in 2 publications.

View Alternative Names

HCP1, TM22, cAMP-specific phosphodiesterase 7A, PDE7A

3 Images
Immunocytochemistry/ Immunofluorescence - Anti-PDE7A/HCP1 antibody [EPR7731] - BSA and Azide free (AB249158)
  • ICC/IF

Unknown

Immunocytochemistry/ Immunofluorescence - Anti-PDE7A/HCP1 antibody [EPR7731] - BSA and Azide free (AB249158)

This data was developed using ab154857, the same antibody clone in a different buffer formulation.

Immunofluorescent analysis of HuT78 cells labeling PDE7A/HCP1 with ab154857 at 1/250 dilution.

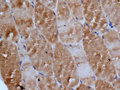
Immunohistochemistry (Formalin/PFA-fixed paraffin-embedded sections) - Anti-PDE7A/HCP1 antibody [EPR7731] - BSA and Azide free (AB249158)
  • IHC-P

Unknown

Immunohistochemistry (Formalin/PFA-fixed paraffin-embedded sections) - Anti-PDE7A/HCP1 antibody [EPR7731] - BSA and Azide free (AB249158)

This data was developed using ab154857, the same antibody clone in a different buffer formulation.

Immunohistochemical analysis of paraffin-embedded Human skeletal muscle tissue labeling PDE7A/HCP1 with ab154857 at 1/100 dilution.

Perform heat mediated antigen retrieval before commencing with IHC staining protocol.

Western blot - Anti-PDE7A/HCP1 antibody [EPR7731] - BSA and Azide free (AB249158)
  • WB

Unknown

Western blot - Anti-PDE7A/HCP1 antibody [EPR7731] - BSA and Azide free (AB249158)

This data was developed using ab154857, the same antibody clone in a different buffer formulation.

All lanes:

Western blot - Anti-PDE7A/HCP1 antibody [EPR7731] (<a href='/en-us/products/primary-antibodies/pde7a-hcp1-antibody-epr7731-ab154857'>ab154857</a>) at 1/1000 dilution

All lanes:

HuT78 cell lysate at 10 µg

Secondary

All lanes:

Goat anti-rabbit HRP at 1/2000 dilution

Predicted band size: 56 kDa

false

Key facts

Host species

Rabbit

Clonality

Monoclonal

Clone number

EPR7731

Isotype

IgG

Carrier free

Yes

Reacts with

Human

Applications

WB, ICC/IF, IHC-P

applications

Immunogen

The exact immunogen used to generate this antibody is proprietary information.

Reactivity data

{ "title": "Reactivity Data", "filters": { "stats": ["", "Species", "Dilution Info", "Notes"], "tabs": { "all-applications": {"fullname" : "All Applications", "shortname": "All Applications"}, "IHCP" : {"fullname" : "Immunohistochemistry (Formalin/PFA-fixed paraffin-embedded sections)", "shortname":"IHC-P"}, "ICCIF" : {"fullname" : "Immunocytochemistry/ Immunofluorescence", "shortname":"ICC/IF"}, "IP" : {"fullname" : "Immunoprecipitation", "shortname":"IP"}, "FlowCyt" : {"fullname" : "Flow Cytometry", "shortname":"Flow Cyt"}, "WB" : {"fullname" : "Western blot", "shortname":"WB"} }, "product-promise": { "all": "all", "testedAndGuaranteed": "tested", "guaranteed": "expected", "predicted": "predicted", "notRecommended": "not-recommended" } }, "values": { "Human": { "IHCP-species-checked": "testedAndGuaranteed", "IHCP-species-dilution-info": "", "IHCP-species-notes": "<p></p> Perform heat-mediated antigen retrieval before commencing with IHC staining protocol.", "ICCIF-species-checked": "testedAndGuaranteed", "ICCIF-species-dilution-info": "", "ICCIF-species-notes": "<p></p>", "IP-species-checked": "notRecommended", "IP-species-dilution-info": "", "IP-species-notes": "<p></p>", "FlowCyt-species-checked": "notRecommended", "FlowCyt-species-dilution-info": "", "FlowCyt-species-notes": "<p></p>", "WB-species-checked": "testedAndGuaranteed", "WB-species-dilution-info": "", "WB-species-notes": "<p></p>" } } }

Product details

ab249158 is the carrier-free version of ab154857.

Patented technology
Our RabMAb® technology is a patented hybridoma-based technology for making rabbit monoclonal antibodies. For details on our patents, please refer to RabMAb® patents.

What are the advantages of a recombinant monoclonal antibody?
This product is a recombinant monoclonal antibody, which offers several advantages including:

  • - High batch-to-batch consistency and reproducibility
  • - Improved sensitivity and specificity
  • - Long-term security of supply
  • - Animal-free batch production

For more information, read more on recombinant antibodies.

Conjugation ready
Our carrier-free antibodies are typically supplied in a PBS-only formulation, purified and free of BSA, sodium azide and glycerol. This conjugation-ready format is designed for use with fluorochromes, metal isotopes, oligonucleotides, and enzymes, which makes them ideal for antibody labelling, functional and cell-based assays, flow-based assays (e.g. mass cytometry) and Multiplex Imaging applications.

Use our conjugation kits for antibody conjugates that are ready-to-use in as little as 20 minutes with 1 minute hands-on-time and 100% antibody recovery: available for fluorescent dyes, HRP, biotin and gold.

Compatibility
This product is compatible with the Maxpar® Antibody Labeling Kit from Fluidigm, without the need for antibody preparation. Maxpar® is a trademark of Fluidigm Canada Inc.

Properties and storage information

Form
Liquid
Purification technique
Affinity purification Protein A
Storage buffer
pH: 7.2 - 7.4 Constituents: PBS
Shipped at conditions
Blue Ice
Appropriate short-term storage conditions
+4°C
Appropriate long-term storage conditions
+4°C
Storage information
Do Not Freeze

Supplementary information

This supplementary information is collated from multiple sources and compiled automatically.

PDE7A also known as HCP1 is a phosphodiesterase enzyme responsible for breaking down cAMP an important signaling molecule in cells. This protein has a molecular weight of approximately 52 kDa. PDE7A is expressed in various tissues including muscles and immune cells. It plays a role in regulating cellular levels of cAMP which affects various physiological processes. HCP1 and HCP1 protein are common alternate labels used to refer to PDE7A.
Biological function summary

PDE7A influences immune response and muscle functions through its enzymatic activity on cAMP. The protein does not function alone but participates within larger protein complexes that modulate cAMP signaling. Its activity can affect immune cell activation offering an important checkpoint in the immune system. Additionally PDE7A's interaction with muscle cells highlights its role in controlling muscle contraction and energy metabolism.

Pathways

PDE7A has significant roles emphasizing the cAMP and immune signaling pathways. It helps control the levels of cAMP which is important for signal transduction. PDE7A interacts with proteins like PKA (Protein Kinase A) that rely on cAMP as a secondary messenger. Through this pathway PDE7A contributes to regulating processes such as inflammatory responses and metabolic pathways interlinking with other proteins like CREB which influences gene expression.

PDE7A's role connects it to conditions such as inflammatory diseases and certain muscular disorders. Abnormal PDE7A function can lead to dysregulation in inflammation implicating it in diseases such as rheumatoid arthritis. In the context of muscular disorders PDE7A levels affect muscle function and are related to conditions such as muscle dystrophy. It shares connections with TNF-alpha a protein involved in inflammation and immune system regulation further linking PDE7A to these disorders.

Product protocols

For this product, it's our understanding that no specific protocols are required. You can visit:

Target data

Hydrolyzes the second messenger cAMP, which is a key regulator of many important physiological processes (PubMed : 19350606, PubMed : 8389765, PubMed : 9195912). May have a role in muscle signal transduction (PubMed : 9195912).
See full target information PDE7A

Publications (2)

Recent publications for all applications. Explore the full list and refine your search

Developmental cell 60:2744-2760.e9 PubMed40460835

2025

ATG9A and ARFIP2 cooperate to control PI4P levels for lysosomal repair.

Applications

Unspecified application

Species

Unspecified reactive species

Stefano De Tito,Eugenia Almacellas,Daniel Dai Yu,Emily Millard,Wenxin Zhang,Cecilia de Heus,Christophe Queval,Javier H Hervás,Enrica Pellegrino,Ioanna Panagi,Ditte Fogde,Teresa L M Thurston,Judith Klumperman,Maximiliano Gutierrez,Sharon A Tooze

International journal of clinical and experimental 13:2973-2983 PubMed33425098

2020

Adsorption of miR-218 by lncRNA HOTAIR regulates PDE7A and affects glioma cell proliferation, invasion, and apoptosis.

Applications

Unspecified application

Species

Unspecified reactive species

Yigong Wei,Kun Zhou,Cheng Wang,Xiaolin Du,Qing Xiao,Changyi Chen
View all publications

Product promise

We are committed to supporting your work with high-quality reagents, and we're here for you every step of the way. In the unlikely event that one of our products does not perform as expected, you're protected by our Product Promise.
For full details, please see our Terms & Conditions

Please note: All products are 'FOR RESEARCH USE ONLY. NOT FOR USE IN DIAGNOSTIC OR THERAPEUTIC PROCEDURES'.

For licensing inquiries, please contact partnerships@abcam.com