JavaScript is disabled in your browser. Please enable JavaScript to view this website.
AB51868

Anti-PDGF AA antibody [MM0013-6D35]

Be the first to review this product! Submit a review

|

(2 Publications)

Mouse Monoclonal PDGF-AA antibody. Carrier free. Suitable for WB, IHC-P and reacts with Human samples. Cited in 2 publications. Immunogen corresponding to Recombinant Full Length Protein corresponding to Human PDGFA.

View Alternative Names

PDGF1, PDGFA, Platelet-derived growth factor subunit A, PDGF subunit A, PDGF-1, Platelet-derived growth factor A chain, Platelet-derived growth factor alpha polypeptide

2 Images
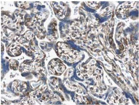
Immunohistochemistry (Formalin/PFA-fixed paraffin-embedded sections) - Anti-PDGF AA antibody [MM0013-6D35] (AB51868)
  • IHC-P

Unknown

Immunohistochemistry (Formalin/PFA-fixed paraffin-embedded sections) - Anti-PDGF AA antibody [MM0013-6D35] (AB51868)

ab51868 at 1/200 dilution staining PDGF AA in human placental tissue section by Immunohistochemistry (Formalin/PFA fixed paraffin-embedded sections). Pretreatment with proteinase K is required.

Western blot - Anti-PDGF AA antibody [MM0013-6D35] (AB51868)
  • WB

Supplier Data

Western blot - Anti-PDGF AA antibody [MM0013-6D35] (AB51868)

All lanes:

Western blot - Anti-PDGF AA antibody [MM0013-6D35] (ab51868) at 1/1000 dilution

All lanes:

Human placenta tissue lysate

Predicted band size: 24 kDa

Observed band size: 29 kDa

false

Key facts

Host species

Mouse

Clonality

Monoclonal

Clone number

MM0013-6D35

Isotype

IgG2

Carrier free

Yes

Reacts with

Human

Applications

IHC-P, WB

applications

Immunogen

Recombinant Full Length Protein corresponding to Human PDGFA.

P04085

Reactivity data

{ "title": "Reactivity Data", "filters": { "stats": ["", "Species", "Dilution Info", "Notes"], "tabs": { "all-applications": {"fullname" : "All Applications", "shortname": "All Applications"}, "WB" : {"fullname" : "Western blot", "shortname":"WB"}, "IHCP" : {"fullname" : "Immunohistochemistry (Formalin/PFA-fixed paraffin-embedded sections)", "shortname":"IHC-P"} }, "product-promise": { "all": "all", "testedAndGuaranteed": "tested", "guaranteed": "expected", "predicted": "predicted", "notRecommended": "not-recommended" } }, "values": { "Human": { "WB-species-checked": "testedAndGuaranteed", "WB-species-dilution-info": "1/1000 - 1/2000", "WB-species-notes": "<p></p>", "IHCP-species-checked": "testedAndGuaranteed", "IHCP-species-dilution-info": "", "IHCP-species-notes": "<p></p> Perform enzymatic antigen retrieval before commencing with IHC staining protocol." } } }

Properties and storage information

Form
Liquid
Purification technique
Affinity purification Protein G
Purification notes
The IgG fraction of culture supernatant was purified by protein G affinity chromatography
Storage buffer
Constituents: PBS
Shipped at conditions
Blue Ice
Appropriate short-term storage conditions
+4°C
Appropriate long-term storage conditions
-20°C
Aliquoting information
Upon delivery aliquot
Storage information
Avoid freeze / thaw cycle

Supplementary information

This supplementary information is collated from multiple sources and compiled automatically.

Platelet-derived growth factor AA or PDGF-AA is a member of the PDGF protein family which is involved in various cellular processes. The PDGF-AA protein has a molecular mass of approximately 24 kDa. It is expressed in a wide range of tissues including fibroblasts smooth muscle cells and neurons. The protein is considered a homodimer composed of two A chains and it plays an important role in cell signaling by binding to PDGF receptors on the surface of target cells.
Biological function summary

PDGF-AA influences cell proliferation migration and differentiation. It acts as a mitogen especially for mesenchymal cells such as fibroblasts and smooth muscle cells. PDGF-AA is often part of a signaling complex where it activates PDGF receptor-alpha (PDGFR-α) leading to autophosphorylation and subsequent activation of downstream effectors. This strengthens tissue development and wound healing processes.

Pathways

PDGF-AA integrates into critical signaling pathways like the PI3K/AKT pathway and the MAPK/ERK pathway. These pathways regulate cell growth and survival. PDGF-AA binds specifically to PDGFR-α which shares importance with other PDGF isoforms such as PDGF-BB in orchestrating cellular responses through similar pathways thereby ensuring precise physiological outcomes.

PDGF-AA is implicated in conditions like cancer and fibrosis. Aberrant signaling involving PDGF-AA can lead to unchecked cell proliferation contributing to tumorigenesis. Similarly PDGF-AA is connected to fibrotic diseases where excessive tissue scarring occurs due to overactive fibroblast stimulation. PDGF-BB another member of the PDGF protein family often gets studied alongside PDGF-AA for their combined roles in these pathological states.

Product protocols

For this product, it's our understanding that no specific protocols are required. You can visit:

Target data

Growth factor that plays an essential role in the regulation of embryonic development, cell proliferation, cell migration, survival and chemotaxis. Potent mitogen for cells of mesenchymal origin. Required for normal lung alveolar septum formation during embryogenesis, normal development of the gastrointestinal tract, normal development of Leydig cells and spermatogenesis. Required for normal oligodendrocyte development and normal myelination in the spinal cord and cerebellum. Plays an important role in wound healing. Signaling is modulated by the formation of heterodimers with PDGFB (By similarity).
See full target information PDGFA

Publications (2)

Recent publications for all applications. Explore the full list and refine your search

PloS one 20:e0315673 PubMed39775258

2025

Revealing the impact of tadalafil-loaded proniosomal gel against dexamethasone-delayed wound healing via modulating oxido-inflammatory response and TGF-β/Macrophage activation pathway in rabbit model.

Applications

Unspecified application

Species

Unspecified reactive species

Nermin A Helmy,Elsayed A Abdel Aziz,Mustafa Abd El Raouf,Reda M S Korany,Doaa A Mansour,Sara M Baraka,Arwa A Hassan,Eman Gomaa,Mennatullah M Faisal,Walaa A A Basha,Esraa M Fahmy,Rashed A Alhotan,Anam Ayyoub,Shaimaa Selim

FASEB journal : official publication of the Federation of American Societies for Experimental Biology 37:e22837 PubMed36934389

2023

ZNF32 prevents the activation of cancer-associated fibroblasts through negative regulation of TGFB1 transcription in breast cancer.

Applications

Unspecified application

Species

Unspecified reactive species

Qin Li,Hang Yuan,Gang Zhao,Jie Zhang,Siqi Li,Di Gong,Tianyu Feng,Qiming Kou,Qijing Wang,Guanru Wang,Shan Li,Kai Li,Ping Lin
View all publications

Product promise

We are committed to supporting your work with high-quality reagents, and we're here for you every step of the way. In the unlikely event that one of our products does not perform as expected, you're protected by our Product Promise.
For full details, please see our Terms & Conditions

Please note: All products are 'FOR RESEARCH USE ONLY. NOT FOR USE IN DIAGNOSTIC OR THERAPEUTIC PROCEDURES'.

For licensing inquiries, please contact partnerships@abcam.com