JavaScript is disabled in your browser. Please enable JavaScript to view this website.
AB252808

Anti-PDGF B antibody [326A] - BSA and Azide free

4

(1 Review)

|

(0 Publication)

Rat Recombinant Monoclonal PDGF B antibody. Carrier free. Suitable for IHC-P and reacts with Human samples.

View Alternative Names

PDGF2, SIS, PDGFB, Platelet-derived growth factor subunit B, PDGF subunit B, PDGF-2, Platelet-derived growth factor B chain, Platelet-derived growth factor beta polypeptide, Proto-oncogene c-Sis

3 Images
Immunohistochemistry (Formalin/PFA-fixed paraffin-embedded sections) - Anti-PDGF B antibody [326A] - BSA and Azide free (AB252808)
  • IHC-P

Lab

Immunohistochemistry (Formalin/PFA-fixed paraffin-embedded sections) - Anti-PDGF B antibody [326A] - BSA and Azide free (AB252808)

Immunohistochemical analysis of paraffin-embedded human cerebrum tissue labeling PDGF B with ab107101 at 2.56 μg/ml followed by ready to use Goat Anti-Rat IgG H&L (HRP polymer) (ab214882). Positive staining on human cerebrum. The section was incubated with ab107101 for 30 mins at room temperature. The immunostaining was performed on a Leica Biosystems BOND® RX instrument. Counterstained with Hematoxylin. Secondary antibody only control : Secondary antibody is ready to use Goat Anti-Rat IgG H&L (HRP polymer) (ab214882).

Heat mediated antigen retrieval with Tris-EDTA buffer (pH 9.0, epitope retrieval solution2) for 20 mins.

This image was produced using the same antibody clone but in a different formulation containing PBS, sodium azide, glycerol and BSA (ab107101).

Immunohistochemistry (Formalin/PFA-fixed paraffin-embedded sections) - Anti-PDGF B antibody [326A] - BSA and Azide free (AB252808)
  • IHC-P

Lab

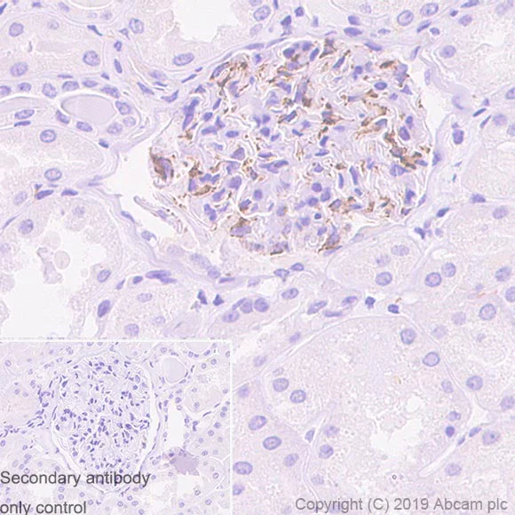
Immunohistochemistry (Formalin/PFA-fixed paraffin-embedded sections) - Anti-PDGF B antibody [326A] - BSA and Azide free (AB252808)

Immunohistochemical analysis of paraffin-embedded human kidney tissue labeling PDGF B with ab107101 at 2.56 μg/ml followed by ready to use Goat Anti-Rat IgG H&L (HRP polymer) (ab214882). Positive staining on glomerus of human kidney. The section was incubated with ab107101 for 30 mins at room temperature. The immunostaining was performed on a Leica Biosystems BOND® RX instrument. Counterstained with Hematoxylin. Secondary antibody only control : Secondary antibody is ready to use Goat Anti-Rat IgG H&L (HRP polymer) (ab214882).

Heat mediated antigen retrieval with Tris-EDTA buffer (pH 9.0, epitope retrieval solution2) for 20 mins.

This image was produced using the same antibody clone but in a different formulation containing PBS, sodium azide, glycerol and BSA (ab107101).

Immunohistochemistry (Formalin/PFA-fixed paraffin-embedded sections) - Anti-PDGF B antibody [326A] - BSA and Azide free (AB252808)
  • IHC-P

Lab

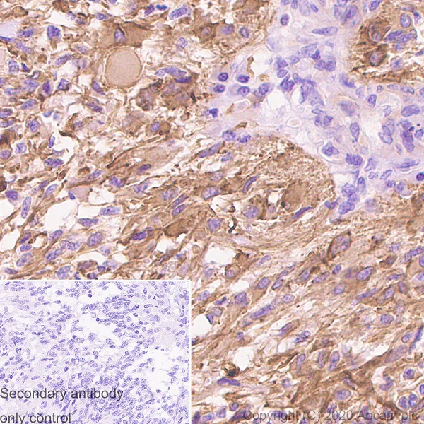
Immunohistochemistry (Formalin/PFA-fixed paraffin-embedded sections) - Anti-PDGF B antibody [326A] - BSA and Azide free (AB252808)

Immunohistochemical analysis of paraffin-embedded human glioma tissue labeling PDGF B with ab107101 at 2.56 μg/ml followed by ready to use Goat Anti-Rat IgG H&L (HRP polymer) (ab214882). Positive staining on human glioma. The section was incubated with ab107101 for 30 mins at room temperature. The immunostaining was performed on a Leica Biosystems BOND® RX instrument. Counterstained with Hematoxylin. Secondary antibody only control : Secondary antibody is ready to use Goat Anti-Rat IgG H&L (HRP polymer) (ab214882).

Heat mediated antigen retrieval with Tris-EDTA buffer (pH 9.0, epitope retrieval solution2) for 20 mins.

This image was produced using the same antibody clone but in a different formulation containing PBS, sodium azide, glycerol and BSA (ab107101).

Key facts

Host species

Rat

Clonality

Monoclonal

Clone number

326A

Isotype

IgG2b

Carrier free

Yes

Reacts with

Human

Applications

IHC-P

applications

Immunogen

The exact immunogen used to generate this antibody is proprietary information.

Reactivity data

{ "title": "Reactivity Data", "filters": { "stats": ["", "Species", "Dilution Info", "Notes"], "tabs": { "all-applications": {"fullname" : "All Applications", "shortname": "All Applications"}, "IHCP" : {"fullname" : "Immunohistochemistry (Formalin/PFA-fixed paraffin-embedded sections)", "shortname":"IHC-P"} }, "product-promise": { "all": "all", "testedAndGuaranteed": "tested", "guaranteed": "expected", "predicted": "predicted", "notRecommended": "not-recommended" } }, "values": { "Human": { "IHCP-species-checked": "testedAndGuaranteed", "IHCP-species-dilution-info": "2.56 µg/mL", "IHCP-species-notes": "<p></p>" }, "Mouse": { "IHCP-species-checked": "notRecommended", "IHCP-species-dilution-info": "2.56 µg/mL", "IHCP-species-notes": "<p></p>" }, "Rat": { "IHCP-species-checked": "notRecommended", "IHCP-species-dilution-info": "2.56 µg/mL", "IHCP-species-notes": "<p></p>" } } }

Product details

ab252808 is the carrier-free version of ab107101.

What are the advantages of a recombinant monoclonal antibody?
This product is a recombinant monoclonal antibody, which offers several advantages including:

  • - High batch-to-batch consistency and reproducibility
  • - Improved sensitivity and specificity
  • - Long-term security of supply
  • - Animal-free batch production

For more information, read more on recombinant antibodies.

Want a custom formulation?
This antibody clone is manufactured by Abcam. If you require a custom buffer formulation or conjugation for your experiments, please contact orders@abcam.com

Conjugation ready
Our carrier-free antibodies are typically supplied in a PBS-only formulation, purified and free of BSA, sodium azide and glycerol. This conjugation-ready format is designed for use with fluorochromes, metal isotopes, oligonucleotides, and enzymes, which makes them ideal for antibody labelling, functional and cell-based assays, flow-based assays (e.g. mass cytometry) and Multiplex Imaging applications.

Use our conjugation kits for antibody conjugates that are ready-to-use in as little as 20 minutes with 1 minute hands-on-time and 100% antibody recovery: available for fluorescent dyes, HRP, biotin and gold.

Compatibility
This product is compatible with the Maxpar® Antibody Labeling Kit from Fluidigm, without the need for antibody preparation. Maxpar® is a trademark of Fluidigm Canada Inc.

Properties and storage information

Form
Liquid
Purification technique
Affinity purification Protein A
Storage buffer
pH: 7.2 - 7.4 Constituents: PBS
Shipped at conditions
Blue Ice
Appropriate short-term storage conditions
+4°C
Appropriate long-term storage conditions
+4°C
Storage information
Do Not Freeze

Supplementary information

This supplementary information is collated from multiple sources and compiled automatically.

PDGF-B also known as platelet-derived growth factor subunit B or PDGF-BB is a critical protein involved in various cellular processes. Composed of 241 amino acids PDGF-B exhibits a molecular mass of approximately 27 kDa. Scientists recognize this protein for its expression primarily in platelets but it also appears in a range of other tissues including smooth muscle cells and fibroblasts. The PDGF-B protein plays a substantial role in the regulation of growth and division inducing pathways important for cellular proliferation.
Biological function summary

PDGF-B influences cellular signaling processes and facilitates interactions that are a part of the PDGF receptor system. PDGF-B can form a homo-dimerization commonly known as the PDGF-BB dimer which is an active form. When PDGF-B binds to its receptor specifically the PDGF receptor β (PDGFR-β) it triggers pathways that control various cellular activities including growth and survival. The interaction of PDGF-B with the receptor is an important step that modulates several downstream signaling pathways.

Pathways

PDGF-B activates significant pathways such as the MAPK/ERK and PI3K/AKT pathways. These pathways play a major role in the regulation of cell proliferation and differentiation. Through these pathways PDGF-B exhibits interactions with proteins like Ras and Akt which are integral in transmitting signals within the cell. These cascades result in the promotion of processes such as angiogenesis and wound healing highlighting the importance of PDGF-B in cellular function.

Researchers have linked PDGF-B to pathologies such as cancer and atherosclerosis. For instance overexpression of PDGF-B can lead to abnormal vascular growth contributing to tumor development in cancers. It also plays a role in the progression of atherosclerosis by promoting the migration and proliferation of smooth muscle cells leading to plaque formation. In these contexts PDGF-B shows interaction with other proteins such as VEGF in tumor angiogenesis and LDL in atherosclerotic developments reinforcing its involvement in these conditions.

Product protocols

For this product, it's our understanding that no specific protocols are required. You can visit:

Target data

Growth factor that plays an essential role in the regulation of embryonic development, cell proliferation, cell migration, survival and chemotaxis. Potent mitogen for cells of mesenchymal origin (PubMed : 26599395). Required for normal proliferation and recruitment of pericytes and vascular smooth muscle cells in the central nervous system, skin, lung, heart and placenta. Required for normal blood vessel development, and for normal development of kidney glomeruli. Plays an important role in wound healing. Signaling is modulated by the formation of heterodimers with PDGFA (By similarity).
See full target information PDGFB

Product promise

We are committed to supporting your work with high-quality reagents, and we're here for you every step of the way. In the unlikely event that one of our products does not perform as expected, you're protected by our Product Promise.
For full details, please see our Terms & Conditions

Please note: All products are 'FOR RESEARCH USE ONLY. NOT FOR USE IN DIAGNOSTIC OR THERAPEUTIC PROCEDURES'.

For licensing inquiries, please contact partnerships@abcam.com