JavaScript is disabled in your browser. Please enable JavaScript to view this website.
AB111310

Anti-PDGF B antibody

Be the first to review this product! Submit a review

|

(3 Publications)

Goat Polyclonal PDGF B antibody. Suitable for IHC-P and reacts with Human samples. Cited in 3 publications. Immunogen corresponding to Synthetic Peptide within Human PDGFB conjugated to Keyhole Limpet Haemocyanin.

View Alternative Names

PDGF2, SIS, PDGFB, Platelet-derived growth factor subunit B, PDGF subunit B, PDGF-2, Platelet-derived growth factor B chain, Platelet-derived growth factor beta polypeptide, Proto-oncogene c-Sis

2 Images
Immunohistochemistry (Formalin/PFA-fixed paraffin-embedded sections) - Anti-PDGF B antibody (AB111310)
  • IHC-P

Unknown

Immunohistochemistry (Formalin/PFA-fixed paraffin-embedded sections) - Anti-PDGF B antibody (AB111310)

Immunohistochemistry Image of Human Placenta tissue : Formalin-Fixed and Paraffin-Embedded (FFPE) and stained with anti-PDGF B antibody (ab111310) at 3.75 μg/ml. After incubation with the primary antibody, slides were incubated with biotinylated secondary antibody, followed by alkaline phosphatase streptavidin and chromogen. The stained slides were evaluated by a pathologist to confirm staining specificity.

Immunohistochemistry (Formalin/PFA-fixed paraffin-embedded sections) - Anti-PDGF B antibody (AB111310)
  • IHC-P

Unknown

Immunohistochemistry (Formalin/PFA-fixed paraffin-embedded sections) - Anti-PDGF B antibody (AB111310)

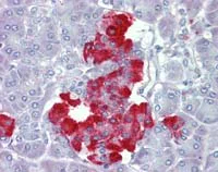
Immunohistochemistry Image of Human Pancreas tissue : Formalin Fixed and Paraffin Embedded (FFPE) and stained with anti PDGF B antibody (ab111310) at 3.75 μg/ml. After incubation with the primary antibody, slides were incubated with biotinylated secondary antibody, followed by alkaline phosphatase streptavidin and chromogen. The stained slides were evaluated by a pathologist to confirm staining specificity.

Key facts

Host species

Goat

Clonality

Polyclonal

Isotype

IgG

Carrier free

No

Reacts with

Human

Applications

IHC-P

applications

Immunogen

Synthetic Peptide within Human PDGFB conjugated to Keyhole Limpet Haemocyanin. The exact immunogen used to generate this antibody is proprietary information.

P01127

Reactivity data

{ "title": "Reactivity Data", "filters": { "stats": ["", "Species", "Dilution Info", "Notes"], "tabs": { "all-applications": {"fullname" : "All Applications", "shortname": "All Applications"}, "IHCP" : {"fullname" : "Immunohistochemistry (Formalin/PFA-fixed paraffin-embedded sections)", "shortname":"IHC-P"} }, "product-promise": { "all": "all", "testedAndGuaranteed": "tested", "guaranteed": "expected", "predicted": "predicted", "notRecommended": "not-recommended" } }, "values": { "Human": { "IHCP-species-checked": "testedAndGuaranteed", "IHCP-species-dilution-info": "3.75 µg/mL", "IHCP-species-notes": "<p></p>" }, "Mouse": { "IHCP-species-checked": "predicted", "IHCP-species-dilution-info": "", "IHCP-species-notes": "" }, "Rat": { "IHCP-species-checked": "predicted", "IHCP-species-dilution-info": "", "IHCP-species-notes": "" }, "Cow": { "IHCP-species-checked": "predicted", "IHCP-species-dilution-info": "", "IHCP-species-notes": "" }, "Dog": { "IHCP-species-checked": "predicted", "IHCP-species-dilution-info": "", "IHCP-species-notes": "" }, "Sheep": { "IHCP-species-checked": "predicted", "IHCP-species-dilution-info": "", "IHCP-species-notes": "" } } }

Properties and storage information

Form
Liquid
Purification technique
Affinity purification Immunogen
Storage buffer
pH: 7.3 Preservative: 0.02% Sodium azide Constituents: Tris buffered saline, 0.5% BSA
Shipped at conditions
Blue Ice
Appropriate short-term storage duration
1-2 weeks
Appropriate short-term storage conditions
+4°C
Appropriate long-term storage conditions
-20°C
Aliquoting information
Upon delivery aliquot

Supplementary information

This supplementary information is collated from multiple sources and compiled automatically.

PDGF-B also known as platelet-derived growth factor subunit B or PDGF-BB is a critical protein involved in various cellular processes. Composed of 241 amino acids PDGF-B exhibits a molecular mass of approximately 27 kDa. Scientists recognize this protein for its expression primarily in platelets but it also appears in a range of other tissues including smooth muscle cells and fibroblasts. The PDGF-B protein plays a substantial role in the regulation of growth and division inducing pathways important for cellular proliferation.
Biological function summary

PDGF-B influences cellular signaling processes and facilitates interactions that are a part of the PDGF receptor system. PDGF-B can form a homo-dimerization commonly known as the PDGF-BB dimer which is an active form. When PDGF-B binds to its receptor specifically the PDGF receptor β (PDGFR-β) it triggers pathways that control various cellular activities including growth and survival. The interaction of PDGF-B with the receptor is an important step that modulates several downstream signaling pathways.

Pathways

PDGF-B activates significant pathways such as the MAPK/ERK and PI3K/AKT pathways. These pathways play a major role in the regulation of cell proliferation and differentiation. Through these pathways PDGF-B exhibits interactions with proteins like Ras and Akt which are integral in transmitting signals within the cell. These cascades result in the promotion of processes such as angiogenesis and wound healing highlighting the importance of PDGF-B in cellular function.

Researchers have linked PDGF-B to pathologies such as cancer and atherosclerosis. For instance overexpression of PDGF-B can lead to abnormal vascular growth contributing to tumor development in cancers. It also plays a role in the progression of atherosclerosis by promoting the migration and proliferation of smooth muscle cells leading to plaque formation. In these contexts PDGF-B shows interaction with other proteins such as VEGF in tumor angiogenesis and LDL in atherosclerotic developments reinforcing its involvement in these conditions.

Product protocols

For this product, it's our understanding that no specific protocols are required. You can visit:

Target data

Growth factor that plays an essential role in the regulation of embryonic development, cell proliferation, cell migration, survival and chemotaxis. Potent mitogen for cells of mesenchymal origin (PubMed : 26599395). Required for normal proliferation and recruitment of pericytes and vascular smooth muscle cells in the central nervous system, skin, lung, heart and placenta. Required for normal blood vessel development, and for normal development of kidney glomeruli. Plays an important role in wound healing. Signaling is modulated by the formation of heterodimers with PDGFA (By similarity).
See full target information PDGFB

Publications (3)

Recent publications for all applications. Explore the full list and refine your search

Experimental neurology 306:132-137 PubMed29753649

2018

Comparison of subacute and chronic scar tissues after complete spinal cord transection.

Applications

Unspecified application

Species

Unspecified reactive species

Xing Li,Bin Yang,Zhifeng Xiao,Yannan Zhao,Sufang Han,Yanyun Yin,Bing Chen,Jianwu Dai

Oncology letters 14:3103-3109 PubMed28928847

2017

Anti-angiogenic effect of arsenic trioxide in lung cancer via inhibition of endothelial cell migration, proliferation and tube formation.

Applications

Unspecified application

Species

Unspecified reactive species

Meng-Hang Yang,Ke-Jie Chang,Jin-Cheng Zheng,Hai Huang,Guang-Yuan Sun,Xue-Wei Zhao,Bing Li,Qing-Yu Xiu

BMC musculoskeletal disorders 14:199 PubMed23815774

2013

Foxc2 regulates osteogenesis and angiogenesis of bone marrow mesenchymal stem cells.

Applications

WB, ICC/IF

Species

Rat, Rat

Wulin You,Hongwei Gao,Lihong Fan,Dapeng Duan,Chunsheng Wang,Kunzheng Wang
View all publications

Product promise

We are committed to supporting your work with high-quality reagents, and we're here for you every step of the way. In the unlikely event that one of our products does not perform as expected, you're protected by our Product Promise.
For full details, please see our Terms & Conditions

Please note: All products are 'FOR RESEARCH USE ONLY. NOT FOR USE IN DIAGNOSTIC OR THERAPEUTIC PROCEDURES'.

For licensing inquiries, please contact partnerships@abcam.com