JavaScript is disabled in your browser. Please enable JavaScript to view this website.
AB124392

Anti-PDGFR alpha antibody

3

(3 Reviews)

|

(14 Publications)

Rabbit Polyclonal PDGFR alpha antibody. Suitable for IHC-P and reacts with Human samples. Cited in 14 publications. Immunogen corresponding to Synthetic Peptide within Human PDGFRA aa 1000 to C-terminus conjugated to Keyhole Limpet Haemocyanin.

View Alternative Names

CD140a, PDGFR2, RHEPDGFRA, PDGFRA, Platelet-derived growth factor receptor alpha, PDGF-R-alpha, PDGFR-alpha, Alpha platelet-derived growth factor receptor, Alpha-type platelet-derived growth factor receptor, CD140 antigen-like family member A, CD140a antigen, Platelet-derived growth factor alpha receptor, Platelet-derived growth factor receptor 2, PDGFR-2

1 Images
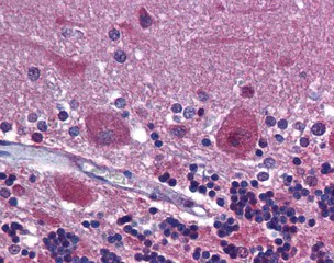
Immunohistochemistry (Formalin/PFA-fixed paraffin-embedded sections) - Anti-PDGFR alpha antibody (AB124392)
  • IHC-P

Unknown

Immunohistochemistry (Formalin/PFA-fixed paraffin-embedded sections) - Anti-PDGFR alpha antibody (AB124392)

ab124392, at 1/100 dilution, staining PDGFR alpha in formalin-fixed, paraffin-embedded human brain cerebellum tissue by Immunohistochemistry.

Key facts

Host species

Rabbit

Clonality

Polyclonal

Isotype

IgG

Carrier free

No

Reacts with

Human

Applications

IHC-P

applications

Immunogen

Synthetic Peptide within Human PDGFRA aa 1000 to C-terminus conjugated to Keyhole Limpet Haemocyanin. The exact immunogen used to generate this antibody is proprietary information.

P16234

Reactivity data

{ "title": "Reactivity Data", "filters": { "stats": ["", "Species", "Dilution Info", "Notes"], "tabs": { "all-applications": {"fullname" : "All Applications", "shortname": "All Applications"}, "IHCP" : {"fullname" : "Immunohistochemistry (Formalin/PFA-fixed paraffin-embedded sections)", "shortname":"IHC-P"} }, "product-promise": { "all": "all", "testedAndGuaranteed": "tested", "guaranteed": "expected", "predicted": "predicted", "notRecommended": "not-recommended" } }, "values": { "Human": { "IHCP-species-checked": "testedAndGuaranteed", "IHCP-species-dilution-info": "1/100", "IHCP-species-notes": "<p></p>" }, "Rat": { "IHCP-species-checked": "predicted", "IHCP-species-dilution-info": "", "IHCP-species-notes": "" }, "Chicken": { "IHCP-species-checked": "predicted", "IHCP-species-dilution-info": "", "IHCP-species-notes": "" }, "Cow": { "IHCP-species-checked": "predicted", "IHCP-species-dilution-info": "", "IHCP-species-notes": "" }, "Dog": { "IHCP-species-checked": "predicted", "IHCP-species-dilution-info": "", "IHCP-species-notes": "" }, "Horse": { "IHCP-species-checked": "predicted", "IHCP-species-dilution-info": "", "IHCP-species-notes": "" }, "Pig": { "IHCP-species-checked": "predicted", "IHCP-species-dilution-info": "", "IHCP-species-notes": "" }, "Rabbit": { "IHCP-species-checked": "predicted", "IHCP-species-dilution-info": "", "IHCP-species-notes": "" }, "Xenopus laevis": { "IHCP-species-checked": "predicted", "IHCP-species-dilution-info": "", "IHCP-species-notes": "" } } }

Properties and storage information

Form
Liquid
Purification technique
Affinity purification Immunogen
Storage buffer
pH: 7.4 Preservative: 0.05% Sodium azide Constituents: 99% Tris glycine, 0.88% Sodium chloride
Shipped at conditions
Blue Ice
Appropriate long-term storage conditions
+4°C
Aliquoting information
Upon delivery aliquot
Storage information
Do Not Freeze

Supplementary information

This supplementary information is collated from multiple sources and compiled automatically.

PDGFR alpha also known as platelet-derived growth factor receptor alpha is a cell surface receptor tyrosine kinase with a mass of approximately 123 kDa. It plays a mechanical role in transmitting signals across the cell membrane initiating cellular responses. PDGFR alpha is widely expressed in mesenchymal cells including fibroblasts and smooth muscle cells. Researchers frequently employ techniques such as PDGFRA IHC and PDGFRA staining to study the localization and expression levels in tissues.
Biological function summary

PDGFR alpha mediates cell proliferation survival and differentiation especially in embryonic development and wound healing. The receptor often forms a complex by dimerizing with itself or with PDGFR beta to activate intracellular signaling cascades. This process is initiated upon ligand binding which triggers autophosphorylation on tyrosine residues. The receptor is also recognized in the detection of PDGFRA with assays such as PDGFRA ELISA.

Pathways

PDGFR alpha significantly affects the MAPK and PI3K/AKT signaling pathways which regulate cellular growth and survival signals. Through these pathways PDGFR alpha interacts with related proteins like SHP-2 and PI3K contributing to signal transduction involved in cellular responses. This role links PDGFR alpha to important cellular processes via its kinase activity and signal integration.

PDGFR alpha is implicated in conditions such as gastrointestinal stromal tumors (GISTs) and idiopathic pulmonary fibrosis (IPF). It connects to proteins such as KIT in GISTs where mutations cause aberrant receptor signaling leading to tumorigenesis. Aberrant PDGFR alpha signaling also associates with IPF a disorder characterized by increased fibroblast proliferation and fibrotic tissue formation. These connections make PDGFR alpha a significant target for research and therapeutic intervention.

Product protocols

For this product, it's our understanding that no specific protocols are required. You can visit:

Target data

Tyrosine-protein kinase that acts as a cell-surface receptor for PDGFA, PDGFB and PDGFC and plays an essential role in the regulation of embryonic development, cell proliferation, survival and chemotaxis. Depending on the context, promotes or inhibits cell proliferation and cell migration. Plays an important role in the differentiation of bone marrow-derived mesenchymal stem cells. Required for normal skeleton development and cephalic closure during embryonic development. Required for normal development of the mucosa lining the gastrointestinal tract, and for recruitment of mesenchymal cells and normal development of intestinal villi. Plays a role in cell migration and chemotaxis in wound healing. Plays a role in platelet activation, secretion of agonists from platelet granules, and in thrombin-induced platelet aggregation. Binding of its cognate ligands - homodimeric PDGFA, homodimeric PDGFB, heterodimers formed by PDGFA and PDGFB or homodimeric PDGFC -leads to the activation of several signaling cascades; the response depends on the nature of the bound ligand and is modulated by the formation of heterodimers between PDGFRA and PDGFRB. Phosphorylates PIK3R1, PLCG1, and PTPN11. Activation of PLCG1 leads to the production of the cellular signaling molecules diacylglycerol and inositol 1,4,5-trisphosphate, mobilization of cytosolic Ca(2+) and the activation of protein kinase C. Phosphorylates PIK3R1, the regulatory subunit of phosphatidylinositol 3-kinase, and thereby mediates activation of the AKT1 signaling pathway. Mediates activation of HRAS and of the MAP kinases MAPK1/ERK2 and/or MAPK3/ERK1. Promotes activation of STAT family members STAT1, STAT3 and STAT5A and/or STAT5B. Receptor signaling is down-regulated by protein phosphatases that dephosphorylate the receptor and its down-stream effectors, and by rapid internalization of the activated receptor.
See full target information PDGFRA

Publications (14)

Recent publications for all applications. Explore the full list and refine your search

European heart journal open 5:oeaf031 PubMed40201591

2025

Inhibiting atrial natriuretic peptide clearance reduces myocardial fibrosis and improves cardiac function in diabetic rats.

Applications

Unspecified application

Species

Unspecified reactive species

Jules Joel Bakhos,Youakim Saliba,Joelle Hajal,Guy Achkouty,Hrag Oskaridjian,Miguel Albuquerque,Chloé Azevedo,Albert Semaan,Nadine Suffee,Elise Balse,Stéphane N Hatem,Nassim Fares

The Journal of veterinary medical science 85:1004-1009 PubMed37532540

2023

Toceranib phosphate and firocoxib-mediated partial response in a dog with advanced intranasal sarcoma.

Applications

Unspecified application

Species

Unspecified reactive species

Hironari Osada,Taiga Okazawa,Kazuya Kushida,Miori Kishimoto,Mitsuhiro Ikeda,Hirotaka Kondo,Junpei Kimura,Keitaro Ohmori

Journal of orthopaedic research : official publication of the Orthopaedic Research Society 40:2743-2753 PubMed35239216

2022

Fibroadipogenic progenitor cell response peaks prior to progressive fatty infiltration after rotator cuff tendon tear.

Applications

Unspecified application

Species

Unspecified reactive species

Amil Sahai,Derek L Jones,Marcus Hughes,Alex Pu,Katrina Williams,Shama R Iyer,Chozha Rathinam,Derik L Davis,Richard M Lovering,Mohit N Gilotra

eLife 10: PubMed34423781

2021

Subventricular zone/white matter microglia reconstitute the empty adult microglial niche in a dynamic wave.

Applications

Unspecified application

Species

Unspecified reactive species

Lindsay A Hohsfield,Allison R Najafi,Yasamine Ghorbanian,Neelakshi Soni,Joshua Crapser,Dario X Figueroa Velez,Shan Jiang,Sarah E Royer,Sung Jin Kim,Caden M Henningfield,Aileen Anderson,Sunil P Gandhi,Ali Mortazavi,Matthew A Inlay,Kim N Green

Frontiers in oncology 11:697247 PubMed34434895

2021

An Integrative Metabolomic and Network Pharmacology Study Revealing the Regulating Properties of Xihuang Pill That Improves Anlotinib Effects in Lung Cancer.

Applications

Unspecified application

Species

Unspecified reactive species

Chunyu Li,Zhihong Wang,Wei Chen,Bo Cao,Mingyu Zhang,Qiong Gu,Shuya Qi,Xiaofei Fei,Yafei Shi,Xingjie Li,RuiSheng Li,Jiabo Wang,Guohui Li

Stem cells and development 30:374-385 PubMed33599158

2021

A Comparative Assessment of Marker Expression Between Cardiomyocyte Differentiation of Human Induced Pluripotent Stem Cells and the Developing Pig Heart.

Applications

Unspecified application

Species

Unspecified reactive species

Karin Lauschke,Luca Volpini,Yong Liu,Anne Marie Vinggaard,Vanessa Jane Hall

International journal of molecular sciences 21: PubMed32878299

2020

Identification of CD34+/PGDFRα+ Valve Interstitial Cells (VICs) in Human Aortic Valves: Association of Their Abundance, Morphology and Spatial Organization with Early Calcific Remodeling.

Applications

Unspecified application

Species

Unspecified reactive species

Grzegorz J Lis,Andrzej Dubrowski,Maciej Lis,Bernard Solewski,Karolina Witkowska,Veronika Aleksandrovych,Ewa Jasek-Gajda,Mateusz K Hołda,Krzysztof Gil,Jan A Litwin

Oxidative medicine and cellular longevity 2020:8282157 PubMed32566103

2020

Differential Gender-Dependent Patterns of Cardiac Fibrosis and Fibroblast Phenotypes in Aging Mice.

Applications

Unspecified application

Species

Unspecified reactive species

Angela Achkar,Youakim Saliba,Nassim Fares

Cell reports 29:270-282.e5 PubMed31597091

2019

Identification of a Paracrine Signaling Mechanism Linking CD34 Progenitors to the Regulation of Visceral Fat Expansion and Remodeling.

Applications

Unspecified application

Species

Unspecified reactive species

Márcio Buffolo,Karla Maria Pires,Maroua Ferhat,Olesya Ilkun,Aman Makaju,Alan Achenbach,Faith Bowman,Donald L Atkinson,William L Holland,Ez-Zoubir Amri,Bhagirath Chaurasia,Sarah Franklin,Sihem Boudina

Cell death and differentiation 26:1396-1410 PubMed30323271

2018

Conditional deletion of platelet derived growth factor receptor alpha (Pdgfra) in urorectal mesenchyme causes mesenchyme apoptosis and urorectal developmental anomalies in mice.

Applications

Unspecified application

Species

Unspecified reactive species

Chen Qian,Zhongluan Wu,Roy Chun-Laam Ng,Maria-Mercè Garcia-Barceló,Zheng-Wei Yuan,Kenneth Kak Yuen Wong,Paul Kwong Hang Tam,Vincent Chi Hang Lui
View all publications

Product promise

We are committed to supporting your work with high-quality reagents, and we're here for you every step of the way. In the unlikely event that one of our products does not perform as expected, you're protected by our Product Promise.
For full details, please see our Terms & Conditions

Please note: All products are 'FOR RESEARCH USE ONLY. NOT FOR USE IN DIAGNOSTIC OR THERAPEUTIC PROCEDURES'.

For licensing inquiries, please contact partnerships@abcam.com