JavaScript is disabled in your browser. Please enable JavaScript to view this website.
AB313772

Anti-PDGFR alpha (mutated D842V) antibody [EPR26304-280] - BSA and Azide free

Be the first to review this product! Submit a review

|

(0 Publication)

Rabbit Recombinant Monoclonal PDGFR alpha mutated D842V antibody. Carrier free. Suitable for WB, IHC-P, ICC/IF, Flow Cyt (Intra), IP and reacts with Transfected cell lysate - Human, Transfected cell line - Human samples.

View Alternative Names

CD140a, PDGFR2, RHEPDGFRA, PDGFRA, Platelet-derived growth factor receptor alpha, PDGF-R-alpha, PDGFR-alpha, Alpha platelet-derived growth factor receptor, Alpha-type platelet-derived growth factor receptor, CD140 antigen-like family member A, CD140a antigen, Platelet-derived growth factor alpha receptor, Platelet-derived growth factor receptor 2, PDGFR-2

7 Images
Flow Cytometry (Intracellular) - Anti-PDGFR alpha (mutated D842V) antibody [EPR26304-280] - BSA and Azide free (AB313772)
  • Flow Cyt (Intra)

Supplier Data

Flow Cytometry (Intracellular) - Anti-PDGFR alpha (mutated D842V) antibody [EPR26304-280] - BSA and Azide free (AB313772)

This data was developed using ab313771, the same antibody clone in a different buffer formulation. Flow cytometric analysis of 293T (human embryonic kidney epithelial cell) transfected with a human wild-type PDGFRA expression vector containing a Myc tag (left); human PDGFRA (D842V) expression vector containing a Myc tag (right). Cells were fixed with 4% paraformaldehyde and permeabilised with 90% methanol. Cell labelling of PDGFRA (D842V) with ab313771 at 1/50 dilution. A Goat Anti-Rabbit IgG (Alexa Fluor® 488, ab150081) was used at 1/5000 dilution. No cross-reactivity with human wild-type PDGFRA.

Immunohistochemistry (Formalin/PFA-fixed paraffin-embedded sections) - Anti-PDGFR alpha (mutated D842V) antibody [EPR26304-280] - BSA and Azide free (AB313772)
  • IHC-P

Supplier Data

Immunohistochemistry (Formalin/PFA-fixed paraffin-embedded sections) - Anti-PDGFR alpha (mutated D842V) antibody [EPR26304-280] - BSA and Azide free (AB313772)

This data was developed using ab313771, the same antibody clone in a different buffer formulation.

Immunohistochemical analysis of paraffin-embedded (A, D) human endometrial tissue; (B, E) human placenta; (C, F) human colon carcinoma.

A-C : Sections were incubated with anti-PDGFRA [EPR22059-270] (ab203491; 1 : 2000 [0.28µg/mL]) for 30 mins at room temperature. Positive staining on human endometrium (image A), placenta (image B), and colon carcinoma (image C). D-F : Sections were incubated with anti-PDGFRA D842V [EPR26304-280] (ab313771; 1 : 4000 [0.13µg/mL]) for 30 mins at room temperature. The immunostaining was performed on a Leica Biosystems BOND® RX instrument counterstained with Hematoxylin. No staining on human endometrium (image D), placenta (image E), or colon carcinoma (image F). No cross-reactivity with human wild-type PDGFRA.

Secondary antibody only control : Secondary antibody is a ready to use LeicaDS9800 (Bond™ Polymer Refine Detection).

Heat mediated antigen retrieval was performed with Tris-EDTA buffer (pH 9.0, Epitope Retrieval Solution2) for 20 mins.

Immunocytochemistry/ Immunofluorescence - Anti-PDGFR alpha (mutated D842V) antibody [EPR26304-280] - BSA and Azide free (AB313772)
  • ICC/IF

Supplier Data

Immunocytochemistry/ Immunofluorescence - Anti-PDGFR alpha (mutated D842V) antibody [EPR26304-280] - BSA and Azide free (AB313772)

This data was developed using ab313771, the same antibody clone in a different buffer formulation.

Immunofluorescent analysis of 4% paraformaldehyde-fixed, 0.1% TritonX-100 permeabilized 293T (human embryonic kidney epithelial cell) labelling PDGFRA (D842V) with ab313771 at 1/500 dilution, followed by ab150081 Goat Anti-Rabbit IgG H&L (Alexa Fluor® 488) preadsorbed antibody at 1/1000 dilution (Green). Cells were counterstained with anti-Myc tag Mouse mab [9E10] (Alexa Fluor® 594) at 1/100 dilution (Red). The Nuclear counterstain is DAPI (Blue).

Confocal image showing cytoplasmic and membrane staining in 293T overexpressing human PDGFRA (D842V). No staining in 293T cells overexpressing human wild-type PDGFRA. Image was taken with a confocal microscope (Leica-Microsystems, TCS SP8).

Secondary antibody only control : Secondary antibody is ab150081 Goat Anti-Rabbit IgG H&L (Alexa Fluor® 488) preadsorbed at 1/1000 (2 µg/mL) dilution.

Immunohistochemistry (Formalin/PFA-fixed paraffin-embedded sections) - Anti-PDGFR alpha (mutated D842V) antibody [EPR26304-280] - BSA and Azide free (AB313772)
  • IHC-P

Supplier Data

Immunohistochemistry (Formalin/PFA-fixed paraffin-embedded sections) - Anti-PDGFR alpha (mutated D842V) antibody [EPR26304-280] - BSA and Azide free (AB313772)

This data was developed using ab313771, the same antibody clone in a different buffer formulation. Immunohistochemical analysis of paraffin-embedded 293T (human embryonic kidney epithelial cell) transfected with (A & D) human PDGFRA (D842V) expression vector containing a His tag; (B & E) human wild-type PDGFRA expression vector containing a His tag; (C & F) empty vector containing a His tag. A-C : whole cell pellet labelling of human wild-type and mutated PDGFRA with ab203491 at 1/2000 dilution (0.28 µg/ml). D-F : whole cell pellet labelling of human PDGFRA (D842V) with ab313771 at 1/4000 dilution (0.13 µg/ml). Sections were incubated with ab203491or ab313771 for 30 mins at room temperature. The immunostaining was performed on a Leica Biosystems BOND® RX instrument counterstained with Hematoxylin This antibody recognizes human PDGFR (D842V) but not human wild-type PDGFRA. Positive staining on 293T overexpressing human PDGFR (D842V) (image D). No staining on 293T overexpressing human wild-type PDGFRA (image E) or the empty vector control (image F). Secondary antibody only control : Secondary antibody is a ready to use LeicaDS9800 (Bond™ Polymer Refine Detection). Heat mediated antigen retrieval was performed with Tris-EDTA buffer (pH 9.0, Epitope Retrieval Solution2) for 20 mins

Immunohistochemistry (Formalin/PFA-fixed paraffin-embedded sections) - Anti-PDGFR alpha (mutated D842V) antibody [EPR26304-280] - BSA and Azide free (AB313772)
  • IHC-P

Supplier Data

Immunohistochemistry (Formalin/PFA-fixed paraffin-embedded sections) - Anti-PDGFR alpha (mutated D842V) antibody [EPR26304-280] - BSA and Azide free (AB313772)

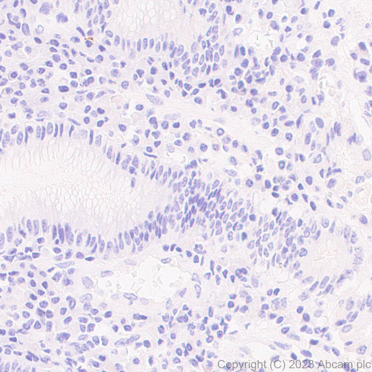
This data was developed using ab313771, the same antibody clone in a different buffer formulation. Immunohistochemical analysis of paraffin-embedded Human stomach tissue labeling PDGFR alpha (mutated D842V) with ab313771 at 1/4000 (0.13 ug/ml) followed by a ready to use LeicaDS9800 (Bond™ Polymer Refine Detection). Negative control : No staining was observed in all normal tissues tested. The section was incubated with ab313771 for 30 mins at room temperature. The immunostaining was performed on a Leica Biosystems BOND® RX instrument. Counterstained with Hematoxylin. Secondary antibody only control : Secondary antibody is a ready to use LeicaDS9800 (Bond™ Polymer Refine Detection). Heat mediated antigen retrieval was performed with Tris-EDTA buffer (pH 9.0, Epitope Retrieval Solution2) for 20 mins.

Immunoprecipitation - Anti-PDGFR alpha (mutated D842V) antibody [EPR26304-280] - BSA and Azide free (AB313772)
  • IP

Supplier Data

Immunoprecipitation - Anti-PDGFR alpha (mutated D842V) antibody [EPR26304-280] - BSA and Azide free (AB313772)

This data was developed using ab313771, the same antibody clone in a different buffer formulation. PDGFRA (D842V) was immunoprecipitated from 0.35 mg of 293T (human embryonic kidney epithelial cell) transfected with a human PDGFRA (D842V) expression vector containing a His tag using ab313771 at 1/30 dilution (2µg in 0.35mg whole cell lysate). Western blot was performed on the immunoprecipitate using ab313771 at 1/1000 dilution. VeriBlot for IP secondary antibody (HRP)(ab131366) was used at 1/5000 dilution. Isotype control - Rabbit monoclonal IgG (ab172730). Lanes 1-3 : 293T (human embryonic kidney epithelial cell) transfected with a human PDGFRA (D842V) expression vector containing a His tag Lane 1 : whole cell lysate at 2µg Lane 2 : IP with ab313771 Lane 3 : IP with Isotype control (ab172730) Blocking and dilution buffer and concentration : 5% NFDM/TBST. Exposure time : 24 seconds

All lanes:

Immunoprecipitation - Anti-PDGFR alpha (mutated D842V) antibody [EPR26304-280] (<a href='/en-us/products/primary-antibodies/pdgfr-alpha-mutated-d842v-antibody-epr26304-280-ab313771'>ab313771</a>) at 1/30 dilution

All lanes:

293T cells transfected with a human PDGFRA (D842V) expression vector containing a His-tag whole cell lysate

Secondary

All lanes:

Immunoprecipitation - VeriBlot for IP Detection Reagent (HRP) (<a href='/en-us/products/reagents/veriblot-for-ip-detection-reagent-hrp-ab131366'>ab131366</a>) at 1/5000 dilution

false

Exposure time: 24s

Western blot - Anti-PDGFR alpha (mutated D842V) antibody [EPR26304-280] - BSA and Azide free (AB313772)
  • WB

Supplier Data

Western blot - Anti-PDGFR alpha (mutated D842V) antibody [EPR26304-280] - BSA and Azide free (AB313772)

This data was developed using ab313771, the same antibody clone in a different buffer formulation. This antibody recognizes human PDGFR (D842V) but not human wild-type PDGFRA. In western blot, anti-GAPDH antibody [EPR16891] - Loading Control (ab181602) staining at 1/200000 dilution and anti-PDGFRA antibody (ab203491) staining at 1/1000 dilution. A-172 cells are negative for wild-type PDGFRA (PMID : 8425771).

All lanes:

Western blot - Anti-PDGFR alpha (mutated D842V) antibody [EPR26304-280] (<a href='/en-us/products/primary-antibodies/pdgfr-alpha-mutated-d842v-antibody-epr26304-280-ab313771'>ab313771</a>) at 1/1000 dilution

Lane 1:

293T cells transfected with an empty vector containing a His-tag, whole cell lysate at 20 µg

Lane 2:

293T cells transfected with a human wild-type PDGFRA expression vector containing a His-tag, whole cell lysate at 2 µg

Lane 3:

293T cells transfected with a human PDGFRA (D842V) expression vector containing a His-tag, whole cell lysate at 2 µg

Lane 4:

293T cells transfected with a human PDGFRA (D842V) expression vector containing a His-tag, whole cell lysate at 0.4 µg

Lane 5:

MG-63 (human osteosarcoma fibroblast) whole cell lysate at 20 µg

Lane 6:

A-204 (human muscle rhabdomyosarcoma cell) whole cell lysate at 20 µg

Lane 7:

A-172 (human brain glioblastoma ) whole cell lysate at 20 µg

Secondary

All lanes:

Western blot - Goat Anti-Rabbit IgG H&L (HRP) (<a href='/en-us/products/secondary-antibodies/goat-rabbit-igg-h-l-hrp-ab97051'>ab97051</a>) at 1/100000 dilution

Observed band size: 160 kDa

false

Exposure time: 180s

  • Unconjugated

    Anti-PDGFR alpha (mutated D842V) antibody [EPR26304-280]

Key facts

Host species

Rabbit

Clonality

Monoclonal

Clone number

EPR26304-280

Isotype

IgG

Carrier free

Yes

Reacts with

Human

Applications

Flow Cyt (Intra), WB, IP, IHC-P, ICC/IF

applications

Immunogen

The exact immunogen used to generate this antibody is proprietary information.

Specificity

This antibody has not been validated in endogenous samples.

Reactivity data

{ "title": "Reactivity Data", "filters": { "stats": ["", "Species", "Dilution Info", "Notes"], "tabs": { "all-applications": {"fullname" : "All Applications", "shortname": "All Applications"}, "WB" : {"fullname" : "Western blot", "shortname":"WB"}, "IHCP" : {"fullname" : "Immunohistochemistry (Formalin/PFA-fixed paraffin-embedded sections)", "shortname":"IHC-P"}, "ICCIF" : {"fullname" : "Immunocytochemistry/ Immunofluorescence", "shortname":"ICC/IF"}, "FlowCytIntra" : {"fullname" : "Flow Cytometry (Intracellular)", "shortname":"Flow Cyt (Intra)"}, "IP" : {"fullname" : "Immunoprecipitation", "shortname":"IP"} }, "product-promise": { "all": "all", "testedAndGuaranteed": "tested", "guaranteed": "expected", "predicted": "predicted", "notRecommended": "not-recommended" } }, "values": { "Human": { "WB-species-checked": "predicted", "WB-species-dilution-info": "", "WB-species-notes": "", "IHCP-species-checked": "predicted", "IHCP-species-dilution-info": "", "IHCP-species-notes": "", "ICCIF-species-checked": "predicted", "ICCIF-species-dilution-info": "", "ICCIF-species-notes": "", "FlowCytIntra-species-checked": "predicted", "FlowCytIntra-species-dilution-info": "", "FlowCytIntra-species-notes": "", "IP-species-checked": "predicted", "IP-species-dilution-info": "", "IP-species-notes": "" }, "Transfected cell line - Human": { "WB-species-checked": "notRecommended", "WB-species-dilution-info": "", "WB-species-notes": "", "IHCP-species-checked": "testedAndGuaranteed", "IHCP-species-dilution-info": "", "IHCP-species-notes": "<p></p> Perform heat-mediated antigen retrieval with Tris/EDTA buffer pH 9.0 before commencing with IHC staining protocol.", "ICCIF-species-checked": "testedAndGuaranteed", "ICCIF-species-dilution-info": "", "ICCIF-species-notes": "<p></p>", "FlowCytIntra-species-checked": "testedAndGuaranteed", "FlowCytIntra-species-dilution-info": "", "FlowCytIntra-species-notes": "<p></p>", "IP-species-checked": "notRecommended", "IP-species-dilution-info": "", "IP-species-notes": "" }, "Transfected cell lysate - Human": { "WB-species-checked": "testedAndGuaranteed", "WB-species-dilution-info": "", "WB-species-notes": "<p></p>", "IHCP-species-checked": "notRecommended", "IHCP-species-dilution-info": "", "IHCP-species-notes": "", "ICCIF-species-checked": "notRecommended", "ICCIF-species-dilution-info": "", "ICCIF-species-notes": "", "FlowCytIntra-species-checked": "notRecommended", "FlowCytIntra-species-dilution-info": "", "FlowCytIntra-species-notes": "", "IP-species-checked": "testedAndGuaranteed", "IP-species-dilution-info": "", "IP-species-notes": "<p></p>" } } }

Product details

Patented technology
Our RabMAb® technology is a patented hybridoma-based technology for making rabbit monoclonal antibodies. For details on our patents, please refer to RabMAb® patents.

What are the advantages of a recombinant monoclonal antibody?
This product is a recombinant monoclonal antibody, which offers several advantages including:

  • - High batch-to-batch consistency and reproducibility
  • - Improved sensitivity and specificity
  • - Long-term security of supply
  • - Animal-free batch production

For more information, read more on recombinant antibodies.

Conjugation ready
Our carrier-free antibodies are typically supplied in a PBS-only formulation, purified and free of BSA, sodium azide and glycerol. This conjugation-ready format is designed for use with fluorochromes, metal isotopes, oligonucleotides, and enzymes, which makes them ideal for antibody labelling, functional and cell-based assays, flow-based assays (e.g. mass cytometry) and Multiplex Imaging applications.

Use our conjugation kits for antibody conjugates that are ready-to-use in as little as 20 minutes with 1 minute hands-on-time and 100% antibody recovery: available for fluorescent dyes, HRP, biotin and gold.

Compatibility
This product is compatible with the Maxpar® Antibody Labeling Kit from Fluidigm, without the need for antibody preparation. Maxpar® is a trademark of Fluidigm Canada Inc.

Properties and storage information

Form
Liquid
Purification technique
Affinity purification Protein A
Storage buffer
pH: 7.2 - 7.4 Constituents: PBS
Shipped at conditions
Blue Ice
Appropriate short-term storage conditions
+4°C
Appropriate long-term storage conditions
+4°C

Supplementary information

This supplementary information is collated from multiple sources and compiled automatically.

PDGFR alpha also known as platelet-derived growth factor receptor alpha is a cell surface receptor tyrosine kinase with a mass of approximately 123 kDa. It plays a mechanical role in transmitting signals across the cell membrane initiating cellular responses. PDGFR alpha is widely expressed in mesenchymal cells including fibroblasts and smooth muscle cells. Researchers frequently employ techniques such as PDGFRA IHC and PDGFRA staining to study the localization and expression levels in tissues.
Biological function summary

PDGFR alpha mediates cell proliferation survival and differentiation especially in embryonic development and wound healing. The receptor often forms a complex by dimerizing with itself or with PDGFR beta to activate intracellular signaling cascades. This process is initiated upon ligand binding which triggers autophosphorylation on tyrosine residues. The receptor is also recognized in the detection of PDGFRA with assays such as PDGFRA ELISA.

Pathways

PDGFR alpha significantly affects the MAPK and PI3K/AKT signaling pathways which regulate cellular growth and survival signals. Through these pathways PDGFR alpha interacts with related proteins like SHP-2 and PI3K contributing to signal transduction involved in cellular responses. This role links PDGFR alpha to important cellular processes via its kinase activity and signal integration.

PDGFR alpha is implicated in conditions such as gastrointestinal stromal tumors (GISTs) and idiopathic pulmonary fibrosis (IPF). It connects to proteins such as KIT in GISTs where mutations cause aberrant receptor signaling leading to tumorigenesis. Aberrant PDGFR alpha signaling also associates with IPF a disorder characterized by increased fibroblast proliferation and fibrotic tissue formation. These connections make PDGFR alpha a significant target for research and therapeutic intervention.

Product protocols

For this product, it's our understanding that no specific protocols are required. You can visit:

Target data

Tyrosine-protein kinase that acts as a cell-surface receptor for PDGFA, PDGFB and PDGFC and plays an essential role in the regulation of embryonic development, cell proliferation, survival and chemotaxis. Depending on the context, promotes or inhibits cell proliferation and cell migration. Plays an important role in the differentiation of bone marrow-derived mesenchymal stem cells. Required for normal skeleton development and cephalic closure during embryonic development. Required for normal development of the mucosa lining the gastrointestinal tract, and for recruitment of mesenchymal cells and normal development of intestinal villi. Plays a role in cell migration and chemotaxis in wound healing. Plays a role in platelet activation, secretion of agonists from platelet granules, and in thrombin-induced platelet aggregation. Binding of its cognate ligands - homodimeric PDGFA, homodimeric PDGFB, heterodimers formed by PDGFA and PDGFB or homodimeric PDGFC -leads to the activation of several signaling cascades; the response depends on the nature of the bound ligand and is modulated by the formation of heterodimers between PDGFRA and PDGFRB. Phosphorylates PIK3R1, PLCG1, and PTPN11. Activation of PLCG1 leads to the production of the cellular signaling molecules diacylglycerol and inositol 1,4,5-trisphosphate, mobilization of cytosolic Ca(2+) and the activation of protein kinase C. Phosphorylates PIK3R1, the regulatory subunit of phosphatidylinositol 3-kinase, and thereby mediates activation of the AKT1 signaling pathway. Mediates activation of HRAS and of the MAP kinases MAPK1/ERK2 and/or MAPK3/ERK1. Promotes activation of STAT family members STAT1, STAT3 and STAT5A and/or STAT5B. Receptor signaling is down-regulated by protein phosphatases that dephosphorylate the receptor and its down-stream effectors, and by rapid internalization of the activated receptor.
See full target information PDGFRA mutated D842V

Product promise

We are committed to supporting your work with high-quality reagents, and we're here for you every step of the way. In the unlikely event that one of our products does not perform as expected, you're protected by our Product Promise.
For full details, please see our Terms & Conditions

Please note: All products are 'FOR RESEARCH USE ONLY. NOT FOR USE IN DIAGNOSTIC OR THERAPEUTIC PROCEDURES'.

For licensing inquiries, please contact partnerships@abcam.com